Fabrication and In Vivo Evaluation of In Situ pH-Sensitive Hydrogel of Sonidegib–Invasomes via Intratumoral Delivery for Basal Cell Skin Cancer Management
Abstract
1. Introduction
2. Results and Discussion
2.1. Experimental Design
2.2. Evaluation and Optimization of S-INV Formulation
2.2.1. Design Expert Software
2.2.2. Vesicle Size (VS) Assessment
2.2.3. Entrapment Efficiency (EE) Analysis
2.2.4. Optimization of S-INV Formulation
2.3. Assessment of Optimum S-INV Formulation
2.3.1. Homogeneity and Physical Stability Evaluation
2.3.2. Differential Scanning Calorimetry (DSC)
2.3.3. Transmission Electron Microscopy (TEM)
2.3.4. Stability Evaluation
2.4. Fabrication and Evaluation of IPHS-INV Formulation
2.4.1. pH Analysis
2.4.2. Viscosity Study
2.4.3. Ex Vivo Permeation Study
2.4.4. SDB’s Release Kinetics
2.5. In Vivo Assessment of IPHS-INV Formulation
2.5.1. Bioavailability Studies
2.5.2. Assessment of Effectiveness of Treatment
2.5.3. Tumor Volume
2.5.4. Body Weight Measurement
2.5.5. Mortality and General Behavior
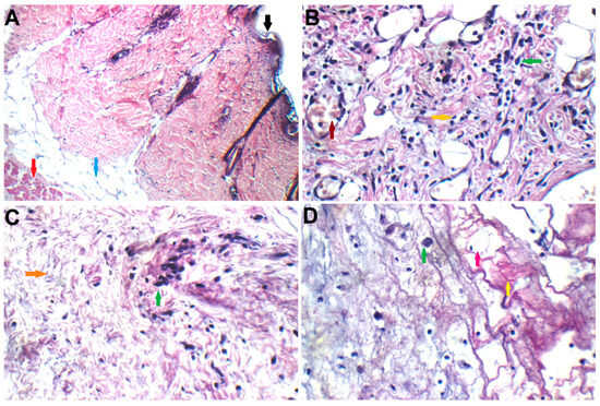
2.5.6. Histopathology Study
2.5.7. Targeting Study
2.5.8. Toxicity Studies
3. Materials and Methods
3.1. Materials
3.2. Preliminary and Optimization Studies
3.3. Preparation of S-INV Formulations
3.4. Characterization of S-INV Formulations
3.4.1. Analyzing EE
3.4.2. Analyzing VS
3.4.3. Optimization of S-INV Formulations
3.5. Analyzing the Optimum S-INV Formulation
3.5.1. Homogeneity and Physical Stability Evaluation
3.5.2. DSC
3.5.3. TEM
3.5.4. Stability Studies
3.6. Fabrication and Evaluation of IPHS-INV Formulation
3.6.1. Fabrication of IPHS-INV Formulation
3.6.2. pH Analysis
3.6.3. Rheological Study
3.6.4. Ex Vivo Skin Permeation Study
3.6.5. In Vitro Release Study
3.7. In Vivo Evaluation of IPHS-INV Formulation
3.7.1. Procedure
3.7.2. Bioavailability Studies
3.7.3. DMBA-Induced Skin Cancer and Management
3.7.4. Assessment of Effectiveness of Treatment
Tumor Volume Measurement
Body Weight Measurement
Mortality and General Behavior
Histopathology Study
3.7.5. Targeting Study
3.7.6. Toxicity Studies of IPHS-INV Formulation
General Behavior
Evaluation of Hematological Parameters
Determination of Biochemical Parameter
3.8. Statistical Analysis
4. Conclusions
Author Contributions
Funding
Institutional Review Board Statement
Informed Consent Statement
Data Availability Statement
Acknowledgments
Conflicts of Interest
References
- An, N.H. Pathological diagnosis in malignant skin tumors. Dermatology 2023, 42, 94. [Google Scholar]
- Rifai, C.; Hatta, M.; Tabri, F.; Sari, D.K.; Dwiyanti, R. Differentiation of the DMBA Signaling Pathway on the Development of Skin Tumor Based on Histopathological Changing. Pak. J. Life Soc. Sci. 2024, 22, 781–789. [Google Scholar] [CrossRef]
- Pal, H.C.; Katiyar, S.K. Cryptolepine, a plant alkaloid, inhibits the growth of non-melanoma skin cancer cells through inhibition of topoisomerase and induction of DNA damage. Molecules 2016, 21, 1758. [Google Scholar] [CrossRef]
- Rogers, H.W.; Weinstock, M.A.; Feldman, S.R.; Coldiron, B.M. Incidence estimate of nonmelanoma skin cancer (keratinocyte carcinomas) in the US population, 2012. JAMA Dermatol. 2015, 151, 1081–1086. [Google Scholar] [CrossRef]
- Nanz, L.; Keim, U.; Katalinic, A.; Meyer, T.; Garbe, C.; Leiter, U. Epidemiology of keratinocyte skin cancer with a focus on cutaneous squamous cell carcinoma. Cancers 2024, 16, 606. [Google Scholar] [CrossRef] [PubMed]
- Leiter, U.; Keim, U.; Garbe, C. Epidemiology of skin cancer: Update 2019. Sunlight Vitam. D Ski. Cancer 2020, 1268, 123–139. [Google Scholar]
- Chen, M.; Zhou, A.; Khachemoune, A. Photodynamic therapy in treating a subset of basal cell carcinoma: Strengths, shortcomings, comparisons with surgical modalities, and potential role as adjunctive therapy. Am. J. Clin. Dermatol. 2024, 25, 99–118. [Google Scholar] [CrossRef]
- Nasim, M.; Khan, M.; Parveen, R.; Gull, A.; Khan, S.; Ali, J. Novel paradigm of therapeutic intervention for skin cancer: Challenges and opportunities. Future J. Pharm. Sci. 2024, 10, 112. [Google Scholar] [CrossRef]
- Villani, A.; Fabbrocini, G.; Costa, C.; Scalvenzi, M. Sonidegib: Safety and efficacy in treatment of advanced basal cell carcinoma. Dermatol. Ther. 2020, 10, 401–412. [Google Scholar] [CrossRef]
- Gutzmer, R.; Solomon, J.A. Hedgehog pathway inhibition for the treatment of basal cell carcinoma. Target. Oncol. 2019, 14, 253–267. [Google Scholar] [CrossRef] [PubMed]
- Nguyen, N.M.; Cho, J. Hedgehog pathway inhibitors as targeted cancer therapy and strategies to overcome drug resistance. Int. J. Mol. Sci. 2022, 23, 1733. [Google Scholar] [CrossRef]
- Danhof, R.; Lewis, K.; Brown, M. Small molecule inhibitors of the hedgehog pathway in the treatment of basal cell carcinoma of the skin. Am. J. Clin. Dermatol. 2018, 19, 195–207. [Google Scholar] [CrossRef] [PubMed]
- Dong, X.; Wang, C.; Chen, Z.; Zhao, W. Overcoming the resistance mechanisms of Smoothened inhibitors. Drug Discov. Today 2018, 23, 704–710. [Google Scholar] [CrossRef]
- Yun, W.S.; Kim, J.; Lim, D.-K.; Kim, D.-H.; Jeon, S.I.; Kim, K. Recent Studies and Progress in the Intratumoral Administration of Nano-Sized Drug Delivery Systems. Nanomaterials 2023, 13, 2225. [Google Scholar] [CrossRef] [PubMed]
- Chu, X.Y.; Huang, W.; Wang, Y.L.; Meng, L.W.; Chen, L.Q.; Jin, M.J.; Gao, C.S. Improving antitumor outcomes for palliative intratumoral injection therapy through lecithin–chitosan nanoparticles loading paclitaxel–cholesterol complex. Int. J. Nanomed. 2019, 14, 689–705. [Google Scholar] [CrossRef]
- Brachi, G.; Ruiz-Ramirez, J.; Dogra, P.; Wang, Z.; Cristini, V.; Ciardelli, G.; Mattu, C. Intratumoral injection of hydrogel-embedded nanoparticles enhances retention in glioblastoma. Nanoscale 2020, 12, 23838–23850. [Google Scholar] [CrossRef] [PubMed]
- Ainbinder, D.; Touitou, E. A new approach for skin tumor treatment: From delivery system characterization to in vivo evaluation. Drug Deliv. Transl. Res. 2011, 1, 53–65. [Google Scholar] [CrossRef] [PubMed]
- Oglesby, A.; Algazi, A.P.; Daud, A.I. Intratumoral and combination therapy in melanoma and other skin cancers. Am. J. Clin. Dermatol. 2019, 20, 781–796. [Google Scholar] [CrossRef]
- Le, U.M.; Shaker, D.S.; Sloat, B.R.; Cui, Z. A thermo-sensitive polymeric gel containing a gadolinium (Gd) compound encapsulated into liposomes significantly extended the retention of the Gd in tumors. Drug Dev. Ind. Pharm. 2008, 34, 413–418. [Google Scholar] [CrossRef] [PubMed]
- Shaker, D.S.; Shaker, M.A.; Hanafy, M.S. Cellular uptake, cytotoxicity and in-vivo evaluation of Tamoxifen citrate loaded niosomes. Int. J. Pharm. 2015, 493, 285–294. [Google Scholar] [CrossRef]
- Shaker, D.S.; Shaker, M.A.; Klingner, A.; Hanafy, M.S. In situ thermosensitive Tamoxifen citrate loaded hydrogels: An effective tool in breast cancer loco-regional therapy. J. Drug Deliv. Sci. Technol. 2016, 35, 155–164. [Google Scholar] [CrossRef]
- Kushwaha, S.K.S.; Rai, A.K.; Singh, S. Formulation and evaluation of pH sensitive hydrogel of camptothecin with enhanced solubility by using β-cyclodextrin. J. Pharm. Investig. 2014, 44, 265–272. [Google Scholar] [CrossRef]
- Kushwaha, S.K.; Kumar, P.; Rai, A.K. Formulation and evaluation of pH sensitive sustained release hydrogel of methotrexate. Clin. Cancer Drugs 2018, 5, 105–112. [Google Scholar] [CrossRef]
- Salem, H.F.; Kharshoum, R.M.; Abo El-Ela, F.I.; Abdellatif, K.R. Evaluation and optimization of pH-responsive niosomes as a carrier for efficient treatment of breast cancer. Drug Deliv. Transl. Res. 2018, 8, 633–644. [Google Scholar] [CrossRef]
- Salem, H.F.; Kharshoum, R.M.; Gamal, F.A.; Abo El-Ela, F.I.; Abdellatif, K.R. Treatment of breast cancer with engineered novel pH-sensitive triaryl-(Z)-olefin niosomes containing hydrogel: An in vitro and in vivo study. J. Liposome Res. 2020, 30, 126–135. [Google Scholar] [CrossRef]
- Jain, S.; Tripathi, S.; Tripathi, P.K. Invasomes: Potential vesicular systems for transdermal delivery of drug molecules. J. Drug Deliv. Sci. Technol. 2021, 61, 102166. [Google Scholar] [CrossRef]
- Lakshmi, P.; Kalpana, B.; Prasanthi, D. Invasomes-novel vesicular carriers for enhanced skin permeation. Syst. Rev. Pharm. 2013, 4, 26. [Google Scholar] [CrossRef]
- Dragicevic-Curic, N.; Scheglmann, D.; Albrecht, V.; Fahr, A. Development of different temoporfin-loaded invasomes—novel nanocarriers of temoporfin: Characterization, stability and in vitro skin penetration studies. Colloids Surf. B Biointerfaces 2009, 70, 198–206. [Google Scholar] [CrossRef]
- El-Nabarawi, M.A.; Shamma, R.N.; Farouk, F.; Nasralla, S.M. Dapsone-loaded invasomes as a potential treatment of acne: Preparation, characterization, and in vivo skin deposition assay. AAPS Pharmscitech 2018, 19, 2174–2184. [Google Scholar] [CrossRef]
- Salem, H.F.; Gamal, A.; Saeed, H.; Kamal, M.; Tulbah, A.S. Enhancing the bioavailability and efficacy of Vismodegib for the control of skin cancer: In vitro and in vivo studies. Pharmaceuticals 2022, 15, 126. [Google Scholar] [CrossRef]
- Babaie, S.; Del Bakhshayesh, A.R.; Ha, J.W.; Hamishehkar, H.; Kim, K.H. Invasome: A novel nanocarrier for transdermal drug delivery. Nanomaterials 2020, 10, 341. [Google Scholar] [CrossRef] [PubMed]
- Yi, Q.-F.; Yan, J.; Tang, S.-Y.; Huang, H.; Kang, L.-Y. Effect of borneol on the transdermal permeation of drugs with differing lipophilicity and molecular organization of stratum corneum lipids. Drug Dev. Ind. Pharm. 2016, 42, 1086–1093. [Google Scholar] [CrossRef]
- Lachenmeier, D.W. Safety evaluation of topical applications of ethanol on the skin and inside the oral cavity. J. Occup. Med. Toxicol. 2008, 3, 26. [Google Scholar] [CrossRef]
- Fouad, A.G.; Ali, M.R.; Naguib, D.M.; Farouk, H.O.; Zanaty, M.I.; El-Ela, F.I.A. Design, optimization, and in vivo evaluation of invasome-mediated candesartan for the control of diabetes-associated atherosclerosis. Drug Deliv. Transl. Res. 2024, 14, 474–490. [Google Scholar] [CrossRef]
- Salem, H.F.; Gamal, A.; Saeed, H.; Tulbah, A.S. The Impact of Improving Dermal Permeation on the Efficacy and Targeting of Liposome Nanoparticles as a Potential Treatment for Breast Cancer. Pharmaceutics 2021, 13, 1633. [Google Scholar] [CrossRef] [PubMed]
- Abdelbary, A.A.; AbouGhaly, M.H. Design and optimization of topical methotrexate loaded niosomes for enhanced management of psoriasis: Application of Box–Behnken design, in-vitro evaluation and in-vivo skin deposition study. Int. J. Pharm. 2015, 485, 235–243. [Google Scholar] [CrossRef]
- Awan, Z.A.; AlGhamdi, S.A.; Alhakamy, N.A.; Okbazghi, S.Z.; Alfaleh, M.A.; Badr-Eldin, S.M.; Rizg, W.Y. Optimized 2-methoxyestradiol invasomes fortified with apamin: A promising approach for suppression of A549 lung cancer cells. Drug Deliv. 2022, 29, 1536–1548. [Google Scholar] [CrossRef] [PubMed]
- Ahmed, O.A.; Badr-Eldin, S.M. Development of an optimized avanafil-loaded invasomal transdermal film: Ex vivo skin permeation and in vivo evaluation. Int. J. Pharm. 2019, 570, 118657. [Google Scholar] [CrossRef]
- El-Tokhy FSe Abdel-Mottaleb, M.M.; El-Ghany, E.A.; Geneidi, A.S. Design of long acting invasomal nanovesicles for improved transdermal permeation and bioavailability of asenapine maleate for the chronic treatment of schizophrenia. Int. J. Pharm. 2021, 608, 121080. [Google Scholar] [CrossRef]
- Abou-Taleb, H.A.; Zaki, R.M.; Hefny, A.A.; Afzal, O.; Shahataa, M.G.; El-Ela FI, A.; Fouad, A.G. In vitro and in vivo evaluation of isoxsuprine loaded invasomes for efficient treatment of diabetes-accelerated atherosclerosis. J. Drug Deliv. Sci. Technol. 2024, 96, 105686. [Google Scholar] [CrossRef]
- Kamran, M.; Ahad, A.; Aqil, M.; Imam, S.S.; Sultana, Y.; Ali, A. Design, formulation and optimization of novel soft nano-carriers for transdermal olmesartan medoxomil delivery: In vitro characterization and in vivo pharmacokinetic assessment. Int. J. Pharm. 2016, 505, 147–158. [Google Scholar] [CrossRef]
- Tavano, L. Liposomal gels in enhancing skin delivery of drugs. In Percutaneous Penetration Enhancers Chemical Methods in Penetration Enhancement: Drug Manipulation Strategies and Vehicle Effects; Springer: Berlin/Heidelberg, Germany, 2015; pp. 329–341. [Google Scholar]
- Madan, S.; Nehate, C.; Barman, T.K.; Rathore, A.S.; Koul, V. Design, preparation, and evaluation of liposomal gel formulations for treatment of acne: In vitro and in vivo studies. Drug Dev. Ind. Pharm. 2019, 45, 395–404. [Google Scholar] [CrossRef]
- Ganguly, S.; Dash, A.K. A novel in situ gel for sustained drug delivery and targeting. Int. J. Pharm. 2004, 276, 83–92. [Google Scholar] [CrossRef]
- Xuan, J.J.; Balakrishnan, P.; Oh, D.H.; Yeo, W.H.; Park, S.M.; Yong, C.S.; Choi, H.G. Rheological characterization and in vivo evaluation of thermosensitive poloxamer-based hydrogel for intramuscular injection of piroxicam. Int. J. Pharm. 2010, 395, 317–323. [Google Scholar] [CrossRef]
- Din, F.U.; Kim, J.S.; Lee, H.C.; Cheon, S.; Woo, M.R.; Woo, S.; Choi, H.G. Injectable dual thermoreversible hydrogel for sustained intramuscular drug delivery. J. Control. Release 2024, 374, 590–605. [Google Scholar] [CrossRef] [PubMed]
- Salem, H.F. Sustained-release progesterone nanosuspension following intramuscular injection in ovariectomized rats. Int. J. Nanomed. 2010, 5, 943–954. [Google Scholar] [CrossRef]
- Dragicevic-Curic, N.; Scheglmann, D.; Albrecht, V.; Fahr, A. Temoporfin-loaded invasomes: Development, characterization and in vitro skin penetration studies. J. Control. Release 2008, 127, 59–69. [Google Scholar] [CrossRef] [PubMed]
- Hossain, M.A.; Alam, S.; Paul, P. Development and evaluation of sustained release matrix tablets of indapamide using Methocel K15M CR. J. Appl. Pharm. Sci. 2013, 3, 085–090. [Google Scholar]
- Prusty, A.; Gupta, B.K.; Mishra, A. Formulation and In vivo evaluation of pharmacokinetics parameters of extended release matrix tablet containing drug benidipine hydrochloride by using PK solver software. Res. J. Pharm. Technol. 2022, 15, 4924–4930. [Google Scholar] [CrossRef]
- Waheed, A.; Aqil, M.; Ahad, A.; Imam, S.S.; Moolakkadath, T.; Iqbal, Z.; Ali, A. Improved bioavailability of raloxifene hydrochloride using limonene containing transdermal nano-sized vesicles. J. Drug Deliv. Sci. Technol. 2019, 52, 468–476. [Google Scholar] [CrossRef]
- Gamal, A.; Saeed, H.; El-Ela, F.I.A.; Salem, H.F. Improving the antitumor activity and bioavailability of sonidegib for the treatment of skin cancer. Pharmaceutics 2021, 13, 1560. [Google Scholar] [CrossRef]
- Das, I.; Das, S.; Saha, T. Saffron suppresses oxidative stress in DMBA-induced skin carcinoma: A histopathological study. Acta Histochem. 2010, 112, 317–327. [Google Scholar] [CrossRef] [PubMed]
- Ali, H.; Dixit, S.; Ali, D.; Alqahtani, S.M.; Alkahtani, S.; Alarifi, S. Isolation and evaluation of anticancer efficacy of stigmasterol in a mouse model of DMBA-induced skin carcinoma. Drug Des. Dev. Ther. 2015, 9, 2793–2800. [Google Scholar] [CrossRef] [PubMed]
- Ali, H.; Dixit, S. Quercetin attenuates the development of 7, 12-dimethyl benz (a) anthracene (DMBA) and croton oil-induced skin cancer in mice. J. Biomed. Res. 2015, 29, 139. [Google Scholar]
- Currier, N.; Solomon, S.E.; Demicco, E.G.; Chang, D.L.; Farago, M.; Ying, H.; Seldin, D.C. Oncogenic signaling pathways activated in DMBA-induced mouse mammary tumors. Toxicol. Pathol. 2005, 33, 726–737. [Google Scholar] [CrossRef]
- Karimi, B.; Ashrafi, M.; Shomali, T.; Yektaseresht, A. Therapeutic effect of simvastatin on DMBA-induced breast cancer in mice. Fundam. Clin. Pharmacol. 2019, 33, 84–93. [Google Scholar] [CrossRef] [PubMed]
- Bhattacharyya, S.S.; Paul, S.; Mandal, S.K.; Banerjee, A.; Boujedaini, N.; Khuda-Bukhsh, A.R. A synthetic coumarin (4-methyl-7 hydroxy coumarin) has anti-cancer potentials against DMBA-induced skin cancer in mice. Eur. J. Pharmacol. 2009, 614, 128–136. [Google Scholar] [CrossRef]
- Wang, J.; He, Z.; Zhao, J.; Xiao, W.; Xiong, L.; Chen, W. Anticarcinogenic effect of brucine on DMBA-induced skin cancer via regulation of PI3K/AKT signaling pathway. Pharmacogn. Mag. 2022, 18, 29–35. [Google Scholar]
- Dias, M.F.; de Figueiredo, B.C.P.; Teixeira-Neto, J.; Guerra, M.C.A.; Fialho, S.L.; Cunha, A.S. In vivo evaluation of antitumoral and antiangiogenic effect of imiquimod-loaded polymeric nanoparticles. Biomed. Pharmacother. 2018, 103, 1107–1114. [Google Scholar] [CrossRef]
- Abou-Taleb, H.A.; Aldosari, B.N.; Zaki, R.M.; Afzal, O.; Tulbah, A.S.; Shahataa, M.G.; Fouad, A.G. Formulation and Therapeutic Evaluation of Isoxsuprine-Loaded Nanoparticles against Diabetes-Associated Stroke. Pharmaceutics 2023, 15, 2242. [Google Scholar] [CrossRef] [PubMed]
- Gamal, A.; Aboelhadid, S.M.; Abo El-Ela, F.I.; Abdel-Baki AA, S.; Ibrahium, S.M.; El-Mallah, A.M.; Gadelhaq, S.M. Synthesis of carvacrol-loaded invasomes nanoparticles improved acaricide efficacy, cuticle invasion and inhibition of acetylcholinestrase against hard ticks. Microorganisms 2023, 11, 733. [Google Scholar] [CrossRef] [PubMed]
- El-Ela, F.I.A.; Gamal, A.; Elbanna, H.A.; ElBanna, A.H.; Salem, H.F.; Tulbah, A.S. In Vitro and In Vivo Evaluation of the Effectiveness and Safety of Amygdalin as a Cancer Therapy. Pharmaceuticals 2022, 15, 1306. [Google Scholar] [CrossRef]
- Chaudhary, H.; Kohli, K.; Amin, S.; Rathee, P.; Kumar, V. Optimization and formulation design of gels of Diclofenac and Curcumin for transdermal drug delivery by Box-Behnken statistical design. J. Pharm. Sci. 2011, 100, 580–593. [Google Scholar] [CrossRef] [PubMed]
- Abdelwahd, A.; Rasool, B.K.A. Optimizing and Evaluating the Transdermal Permeation of Hydrocortisone Transfersomes Formulation Based on Digital Analysis of the In Vitro Drug Release and Ex Vivo Studies. Recent Adv. Drug Deliv. Formul. 2022, 16, 122. [Google Scholar] [CrossRef]
- Ruiz, S.; Bernad Bernad, M.J.; Arellano, R.L.; Torres, R.D.; Del Carmen Caballero Chacón, S.; Estrada, D.V. In Vitro and In Vivo Profiles and Characterization of Insulin Nanocarriers Based in Flexible Liposomes Designed for Oral Administration. Lett. Drug Des. Discov. 2019, 16, 948–960. [Google Scholar] [CrossRef]
- Jayavarapu, K.R.; Parimalakrishnan, S.; Sundar, V. Development and validation of a new HPLC method for the detection of sonidegib in mobile phase and human plasma. Int. J. Pharm. Sci. Res. 2021, 12, 547–553. [Google Scholar]
- Ekeanyanwu, R.C.; Njoku, O.U. Acute and subacute oral toxicity study on the flavonoid rich fraction of Monodora tenuifolia seed in albino rats. Asian Pac. J. Trop. Biomed. 2014, 4, 194–202. [Google Scholar] [CrossRef] [PubMed]
- Patro, N.M.; Devi, K.; Pai, R.S.; Suresh, S. Evaluation of bioavailability, efficacy, and safety profile of doxorubicin-loaded solid lipid nanoparticles. J. Nanoparticle Res. 2013, 15, 2124. [Google Scholar] [CrossRef]








| Run | Independent Factors | Responses (n = 3) | |||
|---|---|---|---|---|---|
| Ethanol Concentration (%) | Phospholipid Concentration (%) | Cineole Concentration (%) | Entrapment Efficiency (% ± SD) | Vesicle Size (nm ± SD) | |
| F1 | 5 | 5 | 1 | 83.39 ± 0.61 | 314.9 ± 4.46 |
| F2 | 3 | 1 | 0.5 | 55.72 ± 0.71 | 181.2 ± 3.38 |
| F3 | 5 | 3 | 0.5 | 61.27 ± 0.76 | 221.9 ± 7.21 |
| F4 | 5 | 1 | 1 | 58.10 ± 0.51 | 190.1 ± 5.72 |
| F5 | 5 | 3 | 1.5 | 74.93 ± 0.72 | 263.9 ± 2.56 |
| F6 | 1 | 3 | 1.5 | 83.88 ± 0.56 | 280.3 ± 7.12 |
| F7 | 3 | 3 | 1 | 72.74 ± 0.59 | 249.0 ± 4.53 |
| F8 | 3 | 1 | 1.5 | 69.42 ± 0.81 | 222.1 ± 3.10 |
| F9 | 3 | 5 | 1.5 | 94.54 ± 0.63 | 349.2 ± 3.48 |
| F10 | 1 | 1 | 1 | 67.07 ± 0.74 | 211.2 ± 3.76 |
| F11 | 3 | 3 | 1 | 72.51 ± 0.46 | 250.0 ± 3.93 |
| F12 | 1 | 5 | 1 | 91.91 ± 0.47 | 337.5 ± 3.65 |
| F13 | 3 | 5 | 0.5 | 80.43 ± 0.63 | 307.4 ± 3.94 |
| F14 | 1 | 3 | 0.5 | 70.37 ± 0.54 | 238.7 ± 4.73 |
| F15 | 3 | 3 | 1 | 72.66 ± 0.85 | 249.5 ± 5.72 |
| Parameter | Models | |||||
|---|---|---|---|---|---|---|
| EE | VS | |||||
| Linear | 2FI | Quadratic | Linear | 2FI | Quadratic | |
| p-value | <0.0001 | <0.0001 | <0.0001 | <0.0001 | <0.0001 | <0.0001 |
| F-value | 1110.88 | 1744.12 | 3702.26 | 491.73 | 227.89 | 839.47 |
| R2 | 0.9963 | 0.9964 | 0.9965 | 0.9730 | 0.9730 | 0.9954 |
| Lack of Fit | <0.0001 | <0.0001 | 0.9863 | <0.0001 | <0.0001 | 0.9984 |
| Adjusted R2 | 0.9956 | 0.9958 | 0.9961 | 0.9710 | 0.9687 | 0.9942 |
| Predicted R2 | 0.9942 | 0.9949 | 0.9956 | 0.9674 | 0.9616 | 0.9924 |
| Adequate Precision | 112.0662 | 137.0447 | 186.7774 | 66.5953 | 48.4663 | 94.2374 |
| Formulation | Viscosity at 10 rpm (cP ± SD) | Permeation (µg/cm2 ± SD) | Steady State Flux (µg/cm2/h ± SD) | Release (% ± SD) |
|---|---|---|---|---|
| Free SDB | 57.27 ± 1.33 | 1.57 ± 0.06 | 98.86 ± 0.69 | |
| Free SDB hydrogel | 2446.40 ± 21.74 | 59.41 ± 1.51 | 1.60 ± 0.05 | 61.57 ± 0.97 |
| Optimum S-INV | 1282.35 ± 12.13 | 367.95 ± 6.32 ab | 10.7 ± 0.23 ab | 74.52 ± 0.54 ab |
| IPHS-INV | 6712.92 ± 84.26 a | 380.96 ± 7.57 ab | 11.22 ± 0.29 ab | 42.10 ± 0.58 ab |
| Pharmacokinetic Parameters | Oral Free Sonidegib (SDB) | Intratumoral IPHS-INV |
|---|---|---|
| t0.5 (h) | 5.64 ± 0.27 | 27.54 ± 1.75 a |
| Tmax (h) | 2 | 4 a |
| Cmax (ng/mL) | 528.13 ± 30.68 | 460.96 ± 12.87 a |
| AUC0−α (ng.h/mL) | 3134.81 ± 28.96 | 18,830.32 ± 606.18 a |
| MRT (h) | 8.18 ± 0.43 | 40.97 ± 2.19 a |
Disclaimer/Publisher’s Note: The statements, opinions and data contained in all publications are solely those of the individual author(s) and contributor(s) and not of MDPI and/or the editor(s). MDPI and/or the editor(s) disclaim responsibility for any injury to people or property resulting from any ideas, methods, instructions or products referred to in the content. |
© 2024 by the authors. Licensee MDPI, Basel, Switzerland. This article is an open access article distributed under the terms and conditions of the Creative Commons Attribution (CC BY) license (https://creativecommons.org/licenses/by/4.0/).
Share and Cite
Ghalwash, M.M.; Fouad, A.G.; Mohammed, N.H.; Nagib, M.M.; Khalil, S.F.A.; Belal, A.; Miski, S.F.; Albezrah, N.K.A.; Elsayed, A.; Hassan, A.H.E.; et al. Fabrication and In Vivo Evaluation of In Situ pH-Sensitive Hydrogel of Sonidegib–Invasomes via Intratumoral Delivery for Basal Cell Skin Cancer Management. Pharmaceuticals 2025, 18, 31. https://doi.org/10.3390/ph18010031
Ghalwash MM, Fouad AG, Mohammed NH, Nagib MM, Khalil SFA, Belal A, Miski SF, Albezrah NKA, Elsayed A, Hassan AHE, et al. Fabrication and In Vivo Evaluation of In Situ pH-Sensitive Hydrogel of Sonidegib–Invasomes via Intratumoral Delivery for Basal Cell Skin Cancer Management. Pharmaceuticals. 2025; 18(1):31. https://doi.org/10.3390/ph18010031
Chicago/Turabian StyleGhalwash, Maha M., Amr Gamal Fouad, Nada H. Mohammed, Marwa M. Nagib, Sherif Faysal Abdelfattah Khalil, Amany Belal, Samar F. Miski, Nisreen Khalid Aref Albezrah, Amani Elsayed, Ahmed H. E. Hassan, and et al. 2025. "Fabrication and In Vivo Evaluation of In Situ pH-Sensitive Hydrogel of Sonidegib–Invasomes via Intratumoral Delivery for Basal Cell Skin Cancer Management" Pharmaceuticals 18, no. 1: 31. https://doi.org/10.3390/ph18010031
APA StyleGhalwash, M. M., Fouad, A. G., Mohammed, N. H., Nagib, M. M., Khalil, S. F. A., Belal, A., Miski, S. F., Albezrah, N. K. A., Elsayed, A., Hassan, A. H. E., Roh, E. J., & El-Housiny, S. (2025). Fabrication and In Vivo Evaluation of In Situ pH-Sensitive Hydrogel of Sonidegib–Invasomes via Intratumoral Delivery for Basal Cell Skin Cancer Management. Pharmaceuticals, 18(1), 31. https://doi.org/10.3390/ph18010031

