Effects of Alnus japonica Hot Water Extract and Oregonin on Muscle Loss and Muscle Atrophy in C2C12 Murine Skeletal Muscle Cells
Abstract
1. Introduction
2. Results
2.1. Phytochemical Analysis
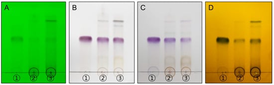
2.1.1. Qualitative Analysis of Alnus japonica Hot Water Extract (AJHW) and Alnus japonica Ethanol Extract (AJE) (TLC)
2.1.2. Measurement of the Molecular Weight of AJHW (LC-MS/MS)
2.1.3. Quantitative Chromatographic Analysis of AJHW and AJE (HPLC)
2.2. The Impact of Alnus japonica Hot Water Extract (AJHW) and Oregonin on the Viability of C2C12 Cells
2.2.1. Measurement of Cell Viability Under Normal Conditions
2.2.2. Impact of H2O2-Induced Myoblast Damage
2.2.3. Impact of Dexamethasone-Induced Myotube Damage
2.3. Effects of Alnus japonica Hot Water Extract (AJHW) and Oregonin on Muscle Apoptosis Biomarkers
2.3.1. Effects on H2O2-Induced Apoptosis in Myoblasts
2.3.2. Effects of Alnus japonica Hot Water Extract (AJHW) and Oregonin on Bax, Bcl-2, Cleaved Caspase-3, and Cleaved PARP Protein Expression
2.4. Effects of Alnus japonica Hot Water Extract (AJHW) and Oregonin on Muscle-Synthesis- and Muscle-Degradation-Related Proteins and Gene Expression
2.4.1. Effect of Alnus japonica Hot Water Extract (AJHW) and Oregonin on Dexamethasone-Induced Myotube Atrophy
2.4.2. Expression of Atrogin-1, MuRF1, Myogenin, and MyoD Protein in Dexamethasone-Treated C2C12 Myotubes
2.4.3. Effects on Muscle-Degradation- and Synthesis-Related Gene Expression
2.4.4. Akt/mTOR/FoxO-Signaling-Pathway-Related Muscle Protein Expression Investigation
3. Discussion
4. Materials and Methods
4.1. Plant Extract Materials
4.2. Extraction Method
4.2.1. Pilot-Scale Hot Water Extraction of the Bark of Alnus japonica
4.2.2. Preparation of Ethanol Extraction
4.3. Phytocemical Analysis
4.3.1. Qualitative Analysis of Oregonin (TLC)
4.3.2. Separation and Purification of Oregonin
4.3.3. Measurement of Oregonin Molecular Weight (LC-MS/MS)
4.3.4. Quantitative Chromatographic Analysis of Oregonin (HPLC)
4.4. Cell Culture and Treatment
4.5. Cell Viability Assay
4.5.1. Measurement of C2C12 Myoblast Viability Using MTT Assay
4.5.2. Measurement of Protective Effects Against H2O2-Induced Myoblast Damage
4.5.3. Measurement of Protective Effects Against Dexamethasone-Induced Myotube Damage
4.6. Effects of Alnus japonica Hot Water Extract (AJHW) and Oregonin on Muscle Apoptosis Biomarkers
4.6.1. Evaluation of Apoptosis in H2O2-Induced Myoblasts
4.6.2. Western Blot Analysis of Apoptosis Biomarkers in C2C12 Myoblasts
4.7. Effects of Alnus japonica Hot Water Extract (AJHW) and Oregonin on Muscle-Synthesis- and Muscle-Degradation-Related Proteins and Gene Expression
4.7.1. Measurement of Myotube Diameter
4.7.2. Real-Time Reverse Transcription Polymerase Chain Reaction (RT-PCR) Analysis
4.7.3. Western Blot Analysis of Muscle Protein Expression in C2C12 Myotubes
4.8. Statistical Analysis
5. Conclusions
Author Contributions
Funding
Institutional Review Board Statement
Informed Consent Statement
Data Availability Statement
Acknowledgments
Conflicts of Interest
Abbreviations
| AJHW | Alnus japonica hot water extract |
| AJE | Alnus japonica ethanol extract |
| ORE | Oregonin |
| DEX | Dexamethasone |
| UME | Ulmus Macrocarpa Hance extract |
| HPLC | High-performance liquid chromatography |
| TLC | Thin-layer chromatography |
| DAPI | 4′,6-Diamidino-2-phenylindole |
| LC-MS/MS | Liquid chromatography–tandem mass spectrometry |
| NMR | Nuclear magnetic resonance |
| ICD | International classification of diseases |
| RT-PCR | Real-time polymerase chain reaction |
| Bcl-2 | B-cell Lymphoma-2 |
| Bax | Bcl-2-Associated X Protein |
| PARP | Poly(ADP-Ribose) Polymerase |
| GAPDH | Glyceraldehyde-3-phosphate Dehydrogenase |
| Akt | Protein Kinase B |
| mTOR | Mammalian Target of Rapamycin |
| FoxO3α | Forkhead Box O3α |
| MuRF1 | Muscle RING-finger Protein 1 |
| MyoD | Myoblast Determination Protein |
| IGF-1 | Insulin-like Growth Factor-1 |
| NF-κB | Nuclear Factor Kappa-Light-Chain-Enhancer of Activated B Cells |
| NO | Nitric oxide |
| MMP-2 | Matrix Metalloproteinase-2 |
| IL-1 | Interleukin-1 |
| IL-2 | Interleukin-2 |
| IL-6 | Interleukin-6 |
| IL-10 | Interleukin-10 |
| IL-12p70 | Interleukin-12p70 |
| TNF-α | Tumor Necrosis Factor-alpha |
| COX-2 | Cyclooxygenase-2 |
| SNU-C1 | Seoul National University-Colon1 |
| t-BHP | tert-Butyl Hydroperoxide |
| HepG2 | Hepatocyte G2 |
References
- Frontera, W.R.; Ochala, J. Skeletal muscle: A brief review of structure and function. Calcif. Tissue Int. 2015, 96, 183–195. [Google Scholar] [CrossRef] [PubMed]
- Jeon, S.-H.; Choung, S.-Y. Oyster Hydrolysates Attenuate Muscle Atrophy via Regulating Protein Turnover and Mitochondria Biogenesis in C2C12 Cell and Immobilized Mice. Nutrients 2021, 13, 4385. [Google Scholar] [CrossRef] [PubMed]
- Rosenberg, I.H. Sarcopenia: Origins and clinical relevance. Clin. Geriatr. Med. 2011, 27, 337–339. [Google Scholar] [CrossRef] [PubMed]
- Pár, A.; Hegyi, J.P.; Váncsa, S.; Pár, G. Sarcopenia—2021: Patofiziológia, diagnózis, terápia. Orvosi Hetil. 2021, 162, 3–12. [Google Scholar] [CrossRef]
- Rhee, S.Y. Role of Sarcopenia in Diabetes Mellitus. J. Korean Diabetes 2013, 14, 178–182. [Google Scholar] [CrossRef][Green Version]
- Park, S.-E.; Choi, D.; Oh, K.; Kim, H.; Park, H.; Kim, K.-M. Effect of mixed plant-extract powder on the regulation of differentiation and oxidative stress-induced apoptosis in C2C12 cells. Food Sci. Preserv. 2024, 31, 298–306. [Google Scholar] [CrossRef]
- Wei, S.; Nguyen, T.T.; Zhang, Y.; Ryu, D.; Gariani, K. Sarcopenic obesity: Epidemiology, pathophysiology, cardiovascular disease, mortality, and management. Front. Endocrinol. 2023, 14, 1185221. [Google Scholar] [CrossRef] [PubMed]
- Rauen, M.; Bollheimer, L.C.; Nourbakhsh, M. Chapter 10—Underlying mechanisms of sarcopenic obesity. In Sarcopenia; Sakuma, K., Ed.; Elsevier: Amsterdam, The Netherlands, 2021; pp. 231–248. [Google Scholar] [CrossRef]
- Damluji, A.A.; Alfaraidhy, M.; AlHajri, N.; Rohant, N.N.; Kumar, M.; Al Malouf, C.; Bahrainy, S.; Ji Kwak, M.; Batchelor, W.B.; Forman, D.E.; et al. Sarcopenia and Cardiovascular Diseases. Circulation 2023, 147, 1534–1553. [Google Scholar] [CrossRef]
- Ardeljan, A.D.; Hurezeanu, R. Sarcopenia; Elsevier: Amsterdam, The Netherlands, 2020. [Google Scholar]
- Dent, E.; Morley, J.E.; Cruz-Jentoft, A.J.; Arai, H.; Kritchevsky, S.B.; Guralnik, J.; Bauer, J.M.; Pahor, M.; Clark, B.C.; Cesari, M.; et al. International Clinical Practice Guidelines for Sarcopenia (ICFSR): Screening, Diagnosis and Management. J. Nutr. Health Aging 2018, 22, 1148–1161. [Google Scholar] [CrossRef]
- Bae, E.J.; Kim, Y.H. Factors Affecting Sarcopenia in Korean Adults by Age Groups. Osong Public Health Res. Perspect. 2017, 8, 169–178. [Google Scholar] [CrossRef]
- Han, J.W.; Kim, D.I.; Nam, H.C.; Chang, U.I.; Yang, J.M.; Song, D.S. Association between serum tumor necrosis factor-α and sarcopenia in liver cirrhosis. Clin. Mol. Hepatol. 2022, 28, 219–231. [Google Scholar] [CrossRef] [PubMed]
- Le, N.H.; Kim, C.S.; Park, T.; Park, J.H.; Sung, M.K.; Lee, D.G.; Hong, S.M.; Choe, S.Y.; Goto, T.; Kawada, T.; et al. Quercetin protects against obesity-induced skeletal muscle inflammation and atrophy. Mediat. Inflamm. 2014, 2014, 834294. [Google Scholar] [CrossRef] [PubMed]
- Lenk, K.; Schuler, G.; Adams, V. Skeletal muscle wasting in cachexia and sarcopenia: Molecular pathophysiology and impact of exercise training. J. Cachexia Sarcopenia Muscle 2010, 1, 9–21. [Google Scholar] [CrossRef] [PubMed]
- Li, Y.-P.; Chen, Y.; John, J.; Moylan, J.; Jin, B.; Mann, D.L.; Reid, M.B. TNF-α acts via p38 MAPK to stimulate expression of the ubiquitin ligase atrogin1/MAFbx in skeletal muscle. FASEB J. 2005, 19, 362–370. [Google Scholar] [CrossRef]
- Cho, M.-R.; Lee, S.; Song, S.-K. A Review of Sarcopenia Pathophysiology, Diagnosis, Treatment and Future Direction. J. Korean Med. Sci. 2022, 37, e146. [Google Scholar] [CrossRef] [PubMed]
- Rodriguez, J.; Vernus, B.; Chelh, I.; Cassar-Malek, I.; Gabillard, J.C.; Hadj Sassi, A.; Seiliez, I.; Picard, B.; Bonnieu, A. Myostatin and the skeletal muscle atrophy and hypertrophy signaling pathways. Cell. Mol. Life Sci. 2014, 71, 4361–4371. [Google Scholar] [CrossRef]
- Mukund, K.; Subramaniam, S. Skeletal muscle: A review of molecular structure and function, in health and disease. Wiley Interdiscip. Rev. Syst. Biol. Med. 2020, 12, e1462. [Google Scholar] [CrossRef]
- Goldberg, A.L. Probing the proteasome pathway. Nat. Biotechnol. 2000, 18, 494–496. [Google Scholar] [CrossRef]
- Mammucari, C.; Milan, G.; Romanello, V.; Masiero, E.; Rudolf, R.; Del Piccolo, P.; Burden, S.J.; Di Lisi, R.; Sandri, C.; Zhao, J.; et al. FoxO3 controls autophagy in skeletal muscle in vivo. Cell Metab. 2007, 6, 458–471. [Google Scholar] [CrossRef]
- Meng, S.-J.; Yu, L.-J. Oxidative Stress, Molecular Inflammation and Sarcopenia. Int. J. Mol. Sci. 2010, 11, 1509–1526. [Google Scholar] [CrossRef]
- Fulle, S.; Protasi, F.; Di Tano, G.; Pietrangelo, T.; Beltramin, A.; Boncompagni, S.; Vecchiet, L.; Fanò, G. The contribution of reactive oxygen species to sarcopenia and muscle ageing. Exp. Gerontol. 2004, 39, 17–24. [Google Scholar] [CrossRef] [PubMed]
- Seo, E.; Truong, C.-S.; Jun, H.-S. Psoralea corylifolia L. seed extract attenuates dexamethasone-induced muscle atrophy in mice by inhibition of oxidative stress and inflammation. J. Ethnopharmacol. 2022, 296, 115490. [Google Scholar] [CrossRef] [PubMed]
- Ascenzi, F.; Barberi, L.; Dobrowolny, G.; Villa Nova Bacurau, A.; Nicoletti, C.; Rizzuto, E.; Rosenthal, N.; Scicchitano, B.M.; Musarò, A. Effects of IGF-1 isoforms on muscle growth and sarcopenia. Aging Cell 2019, 18, e12954. [Google Scholar] [CrossRef] [PubMed]
- Sandri, M.; Sandri, C.; Gilbert, A.; Skurk, C.; Calabria, E.; Picard, A.; Walsh, K.; Schiaffino, S.; Lecker, S.H.; Goldberg, A.L. Foxo Transcription Factors Induce the Atrophy-Related Ubiquitin Ligase Atrogin-1 and Cause Skeletal Muscle Atrophy. Cell 2004, 117, 399–412. [Google Scholar] [CrossRef]
- Stitt, T.N.; Drujan, D.; Clarke, B.A.; Panaro, F.; Timofeyva, Y.; Kline, W.O.; Gonzalez, M.; Yancopoulos, G.D.; Glass, D.J. The IGF-1/PI3K/Akt Pathway Prevents Expression of Muscle Atrophy-Induced Ubiquitin Ligases by Inhibiting FOXO Transcription Factors. Mol. Cell 2004, 14, 395–403. [Google Scholar] [CrossRef]
- Rolland, Y.; Dray, C.; Vellas, B.; Barreto, P.S. Current and investigational medications for the treatment of sarcopenia. Metabolism 2023, 149, 155597. [Google Scholar] [CrossRef]
- Atanasov, A.G.; Zotchev, S.B.; Dirsch, V.M.; Orhan, I.E.; Banach, M.; Rollinger, J.M.; Barreca, D.; Weckwerth, W.; Bauer, R.; Bayer, E.A.; et al. Natural products in drug discovery: Advances and opportunities. Nat. Rev. Drug Discov. 2021, 20, 200–216. [Google Scholar] [CrossRef]
- An, S.; Kim, Y.-G.; Kim, M.-H.; Lee, B.; Lee, S.-H.; Kwon, H.; Hwang, B.; Lee, H.Y. Comparison of Hepatic Detoxification activity and reducing Serum Alcohol concentration of Hovenia dulsis Thumb and Alnus japonica Steud. Korean J. Med. Crop Sci. 1999, 7, 263–268. [Google Scholar]
- Aguilar, M.I.; Rovelo, R.; Verjan, J.G.; Illescas, O.; Baeza, A.E.; De La Fuente, M.; Avila, I.; Navarrete, A. Anti-inflammatory activities, triterpenoids, and diarylheptanoids of Alnus acuminata ssp. arguta. Pharm. Biol. 2011, 49, 1052–1057. [Google Scholar] [CrossRef]
- Sati, S.C.; Sati, N.; Sati, O.P. Bioactive constituents and medicinal importance of genus Alnus. Pharmacogn. Rev. 2011, 5, 174–183. [Google Scholar] [CrossRef]
- Ren, X.; He, T.; Chang, Y.; Zhao, Y.; Chen, X.; Bai, S.; Wang, L.; Shen, M.; She, G. The Genus Alnus, A Comprehensive Outline of Its Chemical Constituents and Biological Activities. Molecules 2017, 22, 1383. [Google Scholar] [CrossRef] [PubMed]
- Tung, N.H.; Kim, S.K.; Ra, J.C.; Zhao, Y.-Z.; Sohn, D.H.; Kim, Y.H. Antioxidative and Hepatoprotective Diarylheptanoids from the Bark of Alnus japonica. Planta Med. 2010, 76, 626–629. [Google Scholar] [CrossRef] [PubMed]
- Lee, M.W.; Kim, J.H.; Jeong, D.W.; Ahn, K.H.; Toh, S.H.; Surh, Y.J. Inhibition of cyclooxygenase-2 expression by diarylheptanoids from the bark of Alnus hirsuta var. sibirica. Biol. Pharm. Bull. 2000, 23, 517–518. [Google Scholar] [CrossRef] [PubMed]
- Kim, J.-H.; Lee, K.W.; Lee, M.-W.; Lee, H.J.; Kim, S.-H.; Surh, Y.-J. Hirsutenone inhibits phorbol ester-induced upregulation of COX-2 and MMP-9 in cultured human mammary epithelial cells: NF-κB as a potential molecular target. FEBS Lett. 2006, 580, 385–392. [Google Scholar] [CrossRef]
- Lee, M.W.; Kim, N.Y.; Park, M.S.; Ahn, K.H.; Toh, S.H.; Hahn, D.R.; Kim, Y.C.; Chung, H.T. Diarylheptanoids with in vitro inducible nitric oxide synthesis inhibitory activity from Alnus hirsuta. Planta Med. 2000, 66, 551–553. [Google Scholar] [CrossRef]
- Lee, C.S.; Ko, H.H.; Seo, S.J.; Choi, Y.W.; Lee, M.W.; Myung, S.C.; Bang, H. Diarylheptanoid hirsutenone prevents tumor necrosis factor-α-stimulated production of inflammatory mediators in human keratinocytes through NF-κB inhibition. Int. Immunopharmacol. 2009, 9, 1097–1104. [Google Scholar] [CrossRef]
- Choi, S.E.; Kim, K.H.; Kwon, J.H.; Kim, S.B.; Kim, H.W.; Lee, M.W. Cytotoxic activities of diarylheptanoids from Alnus japonica. Arch. Pharmacal Res. 2008, 31, 1287–1289. [Google Scholar] [CrossRef]
- Choi, S.E. Extraction Method and Physiological Activity of High Content Oregonin Derived from Plant of Alnus sibirica Fisch. ex Turcz. Korean J. Pharmacogn. 2019, 50, 165–174. [Google Scholar]
- Park, D.; Kim, H.J.; Jung, S.Y.; Yook, C.-S.; Jin, C.; Lee, Y.S. A new diarylheptanoid glycoside from the stem bark of Alnus hirsuta and protective effects of diarylheptanoid derivatives in human HepG2 cells. Chem. Pharm. Bull. 2010, 58, 238–241. [Google Scholar] [CrossRef]
- Choi, S.E. Chemotaxonomic Significance of Oregonin in Alnus Species. Asian J. Chem. 2013, 25, 6989–6990. [Google Scholar] [CrossRef]
- Krasilnikova, J.; Lauberte, L.; Stoyanova, E.; Abadjieva, D.; Chervenkov, M.; Mori, M.; De Paolis, E.; Mladenova, V.; Telysheva, G.; Botta, B.; et al. Oregonin from Alnus incana bark affects DNA methyltransferases expression and mitochondrial DNA copies in mouse embryonic fibroblasts. J. Enzym. Inhib. Med. Chem. 2018, 33, 1055–1063. [Google Scholar] [CrossRef] [PubMed]
- Lee, O.; Kim, J.; Choi, Y.W.; Lee, M.; Park, G.; Oh, C. Efficacy of oregonin investigated by non-invasive evaluation in a B16 mouse melanoma model. Exp. Dermatol. 2013, 22, 842–844. [Google Scholar] [CrossRef] [PubMed]
- Kim, H.J.; Yeom, S.H.; Kim, M.K.; Shim, J.G.; Paek, I.N.; Lee, M.W. Nitric oxide and prostaglandin E2 synthesis inhibitory activities of diarylheptanoids from the barks of Alnus japonica steudel. Arch. Pharm. Res. 2005, 28, 177–179. [Google Scholar] [CrossRef] [PubMed]
- Lundqvist, A.; Magnusson, L.U.; Ullström, C.; Krasilnikova, J.; Telysheva, G.; Dizhbite, T.; Hultén, L.M. Oregonin reduces lipid accumulation and proinflammatory responses in primary human macrophages. Biochem. Biophys. Res. Commun. 2015, 458, 693–699. [Google Scholar] [CrossRef] [PubMed]
- Chi, J.-H.; Seo, G.S.; Lee, S.H. Oregonin inhibits inflammation and protects against barrier disruption in intestinal epithelial cells. Int. Immunopharmacol. 2018, 59, 134–140. [Google Scholar] [CrossRef]
- Joo, S.S.; Kim, H.J.; Kwon, H.S.; Lee, D.I. Augmentation of macrophage antitumor activities and nitric oxide production by oregonin. Arch. Pharm. Res. 2002, 25, 457–462. [Google Scholar] [CrossRef]
- Joo, S.S.; Kim, M.S.; Oh, W.S.; Lee, D.I. Enhancement of NK cytotoxicity, antimetastasis and elongation effect of survival time in B16-F10 melanoma cells by oregonin. Arch. Pharm. Res. 2002, 25, 493–499. [Google Scholar] [CrossRef]
- Lee, G.H.; Park, K.H.; Choi, S.E. Modulative Effect of Human Hair Dermal Papilla Cell Apoptosis by Oregonin from the Braches of Alnus japonica. Korean J. Plant Res. 2018, 31, 322–329. [Google Scholar] [CrossRef]
- Lee, H.; Seon Lee, K.; Hye Jeong, J.; Soo Yoon, J.; Hwan Hwang, S.; Kim, S.-Y.; Hum Yeon, S.; Ryu, J.-H. Extract of Alnus japonica prevents dexamethasone-induced muscle atrophy in mice. J. Funct. Foods 2023, 101, 105419. [Google Scholar] [CrossRef]
- Clarke, C.J.; Tu, W.C.; Levers, O.; Bröhl, A.; Hallett, J.P. Green and Sustainable Solvents in Chemical Processes. Chem. Rev. 2018, 118, 747–800. [Google Scholar] [CrossRef]
- Sik, B.; Hanczné, E.L.; Kapcsándi, V.; Ajtony, Z. Conventional and nonconventional extraction techniques for optimal extraction processes of rosmarinic acid from six Lamiaceae plants as determined by HPLC-DAD measurement. J. Pharm. Biomed. Anal. 2020, 184, 113173. [Google Scholar] [CrossRef]
- Vojvodić, S.; Čonić, B.S.; Torović, L. Safety assessment of herbal food supplements: Ethanol and residual solvents associated risk. J. Food Compos. Anal. 2023, 122, 105483. [Google Scholar] [CrossRef]
- Plaskova, A.; Mlcek, J. New insights of the application of water or ethanol-water plant extract rich in active compounds in food. Front. Nutr. 2023, 10, 1118761. [Google Scholar] [CrossRef] [PubMed]
- Kivilompolo, M.; Hyötyläinen, T. Comprehensive two-dimensional liquid chromatography in analysis of Lamiaceae herbs: Characterisation and quantification of antioxidant phenolic acids. J. Chromatogr. A 2007, 1145, 155–164. [Google Scholar] [CrossRef]
- Chaachouay, N.; Zidane, L. Plant-Derived Natural Products: A Source for Drug Discovery and Development. Drugs Drug Candidates 2024, 3, 184–207. [Google Scholar] [CrossRef]
- Jin, Y.; Hu, D.; Chen, Q.; Shi, C.; Ye, J.; Dai, Z.; Lu, Y. Water-based green and sustainable extraction protocols for value-added compounds from natural resources. Curr. Opin. Green. Sustain. Chem. 2023, 40, 100757. [Google Scholar] [CrossRef]
- Martinou, J.-C.; Youle, R.J. Mitochondria in Apoptosis: Bcl-2 Family Members and Mitochondrial Dynamics. Dev. Cell 2011, 21, 92–101. [Google Scholar] [CrossRef]
- Mallat, Z.; Tedgui, A. Apoptosis in the vasculature: Mechanisms and functional importance. Br. J. Pharmacol. 2000, 130, 947–962. [Google Scholar] [CrossRef]
- Bodine, S.C.; Baehr, L.M. Skeletal muscle atrophy and the E3 ubiquitin ligases MuRF1 and MAFbx/atrogin-1. Am. J. Physiol. Endocrinol. Metab. 2014, 307, E469–E484. [Google Scholar] [CrossRef]
- Yoshida, T.; Delafontaine, P. Mechanisms of IGF-1-Mediated Regulation of Skeletal Muscle Hypertrophy and Atrophy. Cells 2020, 9, 1970. [Google Scholar] [CrossRef]
- Leon, A.S. Attenuation of Adverse Effects of Aging on Skeletal Muscle by Regular Exercise and Nutritional Support. Am. J. Lifestyle Med. 2017, 11, 4–16. [Google Scholar] [CrossRef]
- Sani, A.; Hasegawa, K.; Yamaguchi, Y.; Panichayupakaranant, P.; Pengjam, Y. Inhibitory effects of curcuminoids on dexamethasone-induced muscle atrophy in differentiation of C2C12 cells. Phytomed. Plus 2021, 1, 100012. [Google Scholar] [CrossRef]
- U.S. Food and Drug Administration (FDA). Botanical Drug Development: Guidance for Industry. Available online: https://www.fda.gov/regulatory-information/search-fda-guidance-documents/botanical-drug-development-guidance-industry (accessed on 6 September 2024).
- European Medicines Agency (EMA). Ethanol Content in Herbal Medicinal Products and Traditional Herbal Medicinal Products Used in Children: Scientific Guideline. Available online: https://www.ema.europa.eu/en/ethanol-content-herbal-medicinal-products-traditional-herbal-medicinal-products-used-children-scientific-guideline (accessed on 6 September 2024).
- European Medicines Agency (EMA). ICH Guideline Q3C (R6) on Impurities: Guideline for Residual Solvents. Available online: https://database.ich.org/sites/default/files/Q3C-R6_Guideline_ErrorCorrection_2019_0410_0.pdf (accessed on 6 September 2024).
- Ministry of Food and Drug Safety(MFDS). Guidelines for Pharmaceutical Residual Solvents. (In Korean). Available online: https://www.nifds.go.kr/brd/m_15/view.do?seq=10028 (accessed on 6 September 2024).
- Sadidi, M.; Lentz, S.I.; Feldman, E.L. Hydrogen peroxide-induced Akt phosphorylation regulates Bax activation. Biochimie 2009, 91, 577–585. [Google Scholar] [CrossRef] [PubMed]
- Takeyama, N.; Miki, S.; Hirakawa, A.; Tanaka, T. Role of the Mitochondrial Permeability Transition and Cytochrome c Release in Hydrogen Peroxide-Induced Apoptosis. Exp. Cell Res. 2002, 274, 16–24. [Google Scholar] [CrossRef] [PubMed]
- Chaitanya, G.V.; Steven, A.J.; Babu, P.P. PARP-1 cleavage fragments: Signatures of cell-death proteases in neurodegeneration. Cell Commun. Signal. 2010, 8, 31. [Google Scholar] [CrossRef] [PubMed]
- Kim, M.S.; Park, S.; Kwon, Y.; Kim, T.; Lee, C.H.; Jang, H.; Kim, E.J.; Jung, J.I.; Min, S.; Park, K.-H.; et al. Effects of Ulmus macrocarpa Extract and Catechin 7-O-β-D-apiofuranoside on Muscle Loss and Muscle Atrophy in C2C12 Murine Skeletal Muscle Cells. Curr. Issues Mol. Biol. 2024, 46, 8320–8339. [Google Scholar] [CrossRef]
- Caesar, L.K.; Cech, N.B. Synergy and antagonism in natural product extracts: When 1 + 1 does not equal 2. Nat. Prod. Rep. 2019, 36, 869–888. [Google Scholar] [CrossRef]
- Hsieh, S.-K.; Lin, H.-Y.; Chen, C.-J.; Jhuo, C.-F.; Liao, K.-Y.; Chen, W.-Y.; Tzen, J.T.C. Promotion of myotube differentiation and attenuation of muscle atrophy in murine C2C12 myoblast cells treated with teaghrelin. Chem. Biol. Interact. 2020, 315, 108893. [Google Scholar] [CrossRef]
- Murton, A.J.; Constantin, D.; Greenhaff, P.L. The involvement of the ubiquitin proteasome system in human skeletal muscle remodelling and atrophy. Biochim. Biophys. Acta (BBA) Mol. Basis Dis. 2008, 1782, 730–743. [Google Scholar] [CrossRef]
- Chargé, S.B.; Rudnicki, M.A. Cellular and molecular regulation of muscle regeneration. Physiol. Rev. 2004, 84, 209–238. [Google Scholar] [CrossRef]
- Bodine, S.C.; Latres, E.; Baumhueter, S.; Lai, V.K.-M.; Nunez, L.; Clarke, B.A.; Poueymirou, W.T.; Panaro, F.J.; Na, E.; Dharmarajan, K. Identification of ubiquitin ligases required for skeletal muscle atrophy. Science 2001, 294, 1704–1708. [Google Scholar] [CrossRef] [PubMed]
- Kim, N.-H.; Lee, J.-Y.; Kim, C.Y. Protective Role of Ethanol Extract of Cibotium barometz (Cibotium Rhizome) against Dexamethasone-Induced Muscle Atrophy in C2C12 Myotubes. Int. J. Mol. Sci. 2023, 24, 14798. [Google Scholar] [CrossRef] [PubMed]
- Mammucari, C.; Schiaffino, S.; Sandri, M. Downstream of Akt: FoxO3 and mTOR in the regulation of autophagy in skeletal muscle. Autophagy 2008, 4, 524–526. [Google Scholar] [CrossRef] [PubMed]
- Sandri, M. Protein breakdown in muscle wasting: Role of autophagy-lysosome and ubiquitin-proteasome. Int. J. Biochem. Cell Biol. 2013, 45, 2121–2129. [Google Scholar] [CrossRef]
- Ko, E.K.; Choi, H.N.; Jin, H.Y.; Choi, S.E. Oregonin from the stems and leaves of Korean Alnus species (Betulaceae). J. Chem. Pharm. Res. 2015, 7, 234–238. [Google Scholar]



















| DEX (5 μM) | AJHW (μg/mL) | mRNA | |||
|---|---|---|---|---|---|
| Atrogin-1 | MuRF1 | MyoD | Myogenin | ||
| − | − | 0.10 ± 0.02 | 0.10 ± 0.02 | 3.10 ± 0.19 | 2.19 ± 0.23 |
| + | − | 1.00 ± 0.09 *** | 1.00 ± 0.11 *** | 1.00 ± 0.29 *** | 1.00 ± 0.07 *** |
| + | 2.5 | 1.02 ± 0.17 | 0.93 ± 0.15 | 1.38 ± 0.12 | 1.28 ± 0.17 |
| + | 5 | 0.74 ± 0.13 | 0.67 ± 0.12 | 1.55 ± 0.18 | 1.88 ± 0.22 ## |
| + | 10 | 0.67 ± 0.04 # | 0.61 ± 0.03 ## | 1.60 ± 0.09 | 2.19 ± 0.21 ### |
| + | 20 | 0.51 ± 0.03 ## | 0.46 ± 0.03 ### | 1.98 ± 0.15 # | 1.69 ± 0.09 ### |
| DEX (5 μM) | ORE (μg/mL) | mRNA | |||
|---|---|---|---|---|---|
| Atrogin-1 | MuRF1 | MyoD | Myogenin | ||
| − | − | 0.09 ± 0.02 | 0.11 ± 0.02 | 3.32 ± 0.33 | 3.09 ± 0.37 |
| + | − | 1.00 ± 0.09 *** | 1.00 ± 0.12 *** | 1.00 ± 0.16 *** | 1.00 ± 0.10 ** |
| + | 1 | 0.67 ± 0.10 # | 0.92 ± 0.11 | 1.26 ± 0.14 | 1.36 ± 0.19 # |
| + | 5 | 0.57 ± 0.08 ## | 0.75 ± 0.05 | 2.06 ± 0.23 ## | 2.03 ± 0.22 ## |
| + | 10 | 0.38 ± 0.06 ### | 0.36 ± 0.05 ### | 2.72 ± 0.23 ### | 2.29 ± 0.15 ### |
| mRNA | Primer Sequence | GeneBank No. | |
|---|---|---|---|
| Atrogin-1 | Forward | 5′-GCCCTCCACACTAGTTGACC-3′ | NM_026346.3 |
| Reverse | 5′-GACGGATTGACAGCCAGGAA-3′ | ||
| MuRF1 | Forward | 5′-GAGGGCCATTGACTTTGGGA-3′ | NM_001039048.2 |
| Reverse | 5′-TTTACCCTCTGTGGTCACGC-3′ | ||
| MyoD1 | Forward | 5′-GCACTACAGTGGCGACTCAGAT-3′ | NM_010866.2 |
| Reverse | 5′-TAGTAGGCGGTGTCGTAGCCAT-3′ | ||
| Myogenin | Forward | 5′-CCATCCAGTACATTGAGCGCCT-3′ | NM_031189.2 |
| Reverse | 5′-CTGTGGGAGTTGCATTCACTGG-3′ | ||
| GAPDH | Forward | 5′-TGGGTGTGAACCATGAGAAG-3′ | NM_008084.3 |
| Reverse | 5′-GCTAAGCAGTTGGTGGTGC-3‘ | ||
Disclaimer/Publisher’s Note: The statements, opinions and data contained in all publications are solely those of the individual author(s) and contributor(s) and not of MDPI and/or the editor(s). MDPI and/or the editor(s) disclaim responsibility for any injury to people or property resulting from any ideas, methods, instructions or products referred to in the content. |
© 2024 by the authors. Licensee MDPI, Basel, Switzerland. This article is an open access article distributed under the terms and conditions of the Creative Commons Attribution (CC BY) license (https://creativecommons.org/licenses/by/4.0/).
Share and Cite
An, D.H.; Lee, C.H.; Kwon, Y.; Kim, T.H.; Kim, E.J.; Jung, J.I.; Min, S.; Cheong, E.J.; Kim, S.; Kim, H.K.; et al. Effects of Alnus japonica Hot Water Extract and Oregonin on Muscle Loss and Muscle Atrophy in C2C12 Murine Skeletal Muscle Cells. Pharmaceuticals 2024, 17, 1661. https://doi.org/10.3390/ph17121661
An DH, Lee CH, Kwon Y, Kim TH, Kim EJ, Jung JI, Min S, Cheong EJ, Kim S, Kim HK, et al. Effects of Alnus japonica Hot Water Extract and Oregonin on Muscle Loss and Muscle Atrophy in C2C12 Murine Skeletal Muscle Cells. Pharmaceuticals. 2024; 17(12):1661. https://doi.org/10.3390/ph17121661
Chicago/Turabian StyleAn, Da Hyeon, Chan Ho Lee, Yeeun Kwon, Tae Hee Kim, Eun Ji Kim, Jae In Jung, Sangil Min, Eun Ju Cheong, Sohyun Kim, Hee Kyu Kim, and et al. 2024. "Effects of Alnus japonica Hot Water Extract and Oregonin on Muscle Loss and Muscle Atrophy in C2C12 Murine Skeletal Muscle Cells" Pharmaceuticals 17, no. 12: 1661. https://doi.org/10.3390/ph17121661
APA StyleAn, D. H., Lee, C. H., Kwon, Y., Kim, T. H., Kim, E. J., Jung, J. I., Min, S., Cheong, E. J., Kim, S., Kim, H. K., & Choi, S. E. (2024). Effects of Alnus japonica Hot Water Extract and Oregonin on Muscle Loss and Muscle Atrophy in C2C12 Murine Skeletal Muscle Cells. Pharmaceuticals, 17(12), 1661. https://doi.org/10.3390/ph17121661

