Nephro- and Cardiotoxic Effects of Etoricoxib: Insights into Arachidonic Acid Metabolism and Beta-Adrenergic Receptor Expression in Experimental Mice
Abstract
1. Introduction
2. Results
2.1. The Effect of Etoricoxib and Celecoxib on Body Weight
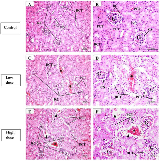
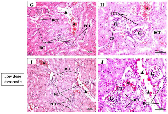
2.2. Histological Results of the Kidney
2.3. Histopathological Scoring of the Kidney
2.4. Histological Results of the Heart
2.5. Histopathological Scoring of the Heart
2.6. Analysis of Gene Expression
2.6.1. Gene Expression of Arachidonic-Metabolizing cyp450s in the Kidney
2.6.2. Gene Expression of Arachidonic Acid-Metabolizing cyp450s in the Heart
2.6.3. Gene Expression of ephx2 Gene in the Heart and Kidney
2.6.4. Expression of alox12 and cox2 Genes in the Kidney
2.6.5. Expression of alox12 and cox2 Genes in the Heart
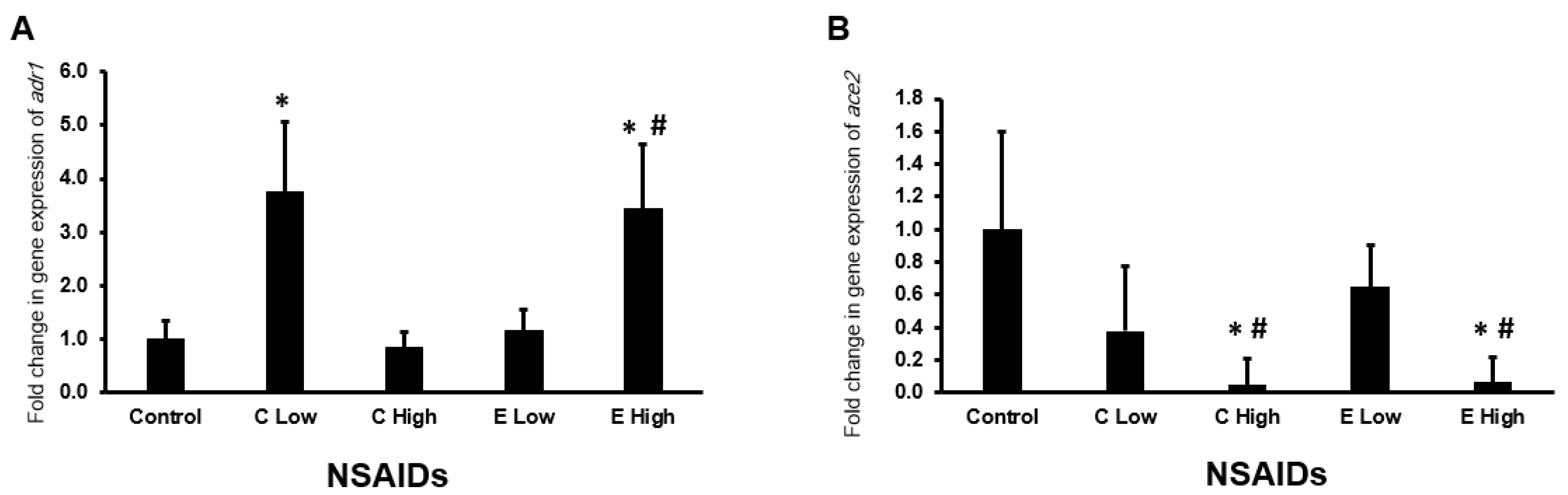
2.6.6. Expression of adrb1 and ace2 Genes in the Kidney
2.6.7. Expression of adrb1 and ace2 Genes in the Heart
3. Discussion
4. Materials and Methods
4.1. Chemicals
4.2. Experimental Animals
4.3. Experimental Protocol
4.4. Histological Analysis
Histopathological Scoring of the Kidney and Heart
4.5. RNA Extraction and cDNA Synthesis
4.6. Gene Expression Analysis
4.7. Statistical Analysis
5. Conclusions
Author Contributions
Funding
Institutional Review Board Statement
Informed Consent Statement
Data Availability Statement
Acknowledgments
Conflicts of Interest
References
- Meek, I.L.; Van de Laar, M.A.; Huizinga, T.W. Non-Steroidal Anti-Inflammatory Drugs: An Overview of Cardiovascular Risks. Pharmaceuticals 2010, 3, 2146–2162. [Google Scholar] [CrossRef] [PubMed]
- Cryer, B. The role of cyclooxygenase selective inhibitors in the gastrointestinal tract. Curr. Gastroenterol. Rep. 2003, 5, 453–458. [Google Scholar] [CrossRef] [PubMed]
- Robich, M.P.; Chu, L.M.; Burgess, T.A.; Feng, J.; Bianchi, C.; Sellke, F.W. Effects of selective cyclooxygenase-2 and nonselective cyclooxygenase inhibition on myocardial function and perfusion. J. Cardiovasc. Pharmacol. 2011, 57, 122–130. [Google Scholar] [CrossRef] [PubMed]
- Williams, D.; Singh, M.; Hind, C. The effect of the withdrawal of rofecoxib on prescribing patterns of COX-2 inhibitors in Scotland. Br. J. Clin. Pharmacol. 2006, 62, 366–368. [Google Scholar] [CrossRef][Green Version]
- De Vecchis, R.; Baldi, C.; Di Biase, G.; Ariano, C.; Cioppa, C.; Giasi, A.; Valente, L.; Cantatrione, S. Cardiovascular risk associated with celecoxib or etoricoxib: A meta-analysis of randomized controlled trials which adopted comparison with placebo or naproxen. Minerva Cardioangiol. 2014, 62, 437–448. [Google Scholar]
- Baracho, N.C.D.V.; Guizelli, G.P.; Carmello, B.L.; Sanches, D.d.S.; Silva, F.M.C.; dos Reis, J.M.; de Brito, J. Cardiovascular and hematologic effects produced by chronic treatment with etoricoxib in normotensive rats. Acta Cir. Bras. 2009, 24, 206–210. [Google Scholar] [CrossRef]
- Jarrar, Y.B.; Jarrar, Q.; Abed, A.; Abu-Shalhoob, M. Effects of nonsteroidal anti-inflammatory drugs on the expression of arachidonic acid-metabolizing Cyp450 genes in mouse hearts, kidneys, and livers. Prostaglandins Other Lipid Mediat. 2019, 141, 14–21. [Google Scholar] [CrossRef]
- Jarrar, Y.; Askar, N.; Gharaibeh, M.; Alqudah, M. Upregulation of Beta 1 and Arachidonic Acid Metabolizing Enzymes in the Mouse Hearts and Kidneys after Sub Chronic Administration of Rofecoxib. Curr. Mol. Pharmacol. 2023, 16, 381–392. [Google Scholar] [CrossRef]
- Roman, R.J. P-450 Metabolites of arachidonic acid in the control of cardiovascular function. Physiol. Rev. 2002, 82, 131–185. [Google Scholar] [CrossRef]
- DeLozier, T.C.; Kissling, G.E.; Coulter, S.J.; Dai, D.; Foley, J.F.; Bradbury, J.A.; Murphy, E.; Steenbergen, C.; Zeldin, D.C.; Goldstein, J.A. Detection of human CYP2C8, CYP2C9, and CYP2J2 in cardiovascular tissues. Drug Metab. Dispos. 2007, 35, 682–688. [Google Scholar] [CrossRef]
- Alsaad, A.M.; Zordoky, B.N.; El-Sherbeni, A.A.; El-Kadi, A.O. Chronic doxorubicin cardiotoxicity modulates cardiac cytochrome P450-mediated arachidonic acid metabolism in rats. Drug Metab. Dispos. 2012, 40, 2126–2135. [Google Scholar] [CrossRef] [PubMed]
- Wu, C.C.; Cheng, J.; Zhang, F.F.; Gotlinger, K.H.; Kelkar, M.; Zhang, Y.; Jat, J.L.; Falck, J.R.; Schwartzman, M.L. Androgen-dependent hypertension is mediated by 20-hydroxy-5,8,11,14-eicosatetraenoic acid-induced vascular dysfunction: Role of inhibitor of kappaB kinase. Hypertension 2011, 57, 788–794. [Google Scholar] [CrossRef] [PubMed]
- Hamza, R.Z.; Alaryani, F.S.; Omara, F.; Said, M.A.A.; El-Aziz, S.A.A.; El-Sheikh, S.M. Ascorbic Acid Ameliorates Cardiac and Hepatic Toxicity Induced by Azithromycin-Etoricoxib Drug Interaction. Curr. Issues Mol. Biol. 2022, 44, 2529–2541. [Google Scholar] [CrossRef] [PubMed]
- Nair, A.B.; Jacob, S. A simple practice guide for dose conversion between animals and human. J. Basic Clin. Pharm. 2016, 7, 27–31. [Google Scholar] [CrossRef]
- Varga, Z.; Sabzwari, S.R.A.; Vargova, V. Cardiovascular Risk of Nonsteroidal Anti-Inflammatory Drugs: An Under-Recognized Public Health Issue. Cureus 2017, 9, e1144. [Google Scholar] [CrossRef]
- Al-Doaiss, A.A.; Jarrar, Q.; Alshehri, M.; Jarrar, B. In vivo study of silver nanomaterials’ toxicity with respect to size. Toxicol. Ind. Health 2020, 36, 540–557. [Google Scholar] [CrossRef]
- Jarrar, Q.; Al-Doaiss, A.; Jarrar, B.M.; Alshehri, M. On the toxicity of gold nanoparticles: Histological, histochemical and ultrastructural alterations. Toxicol. Ind. Health 2022, 38, 789–800. [Google Scholar] [CrossRef]
- Augustine, D.; Rao, R.S.; Patil, S. Hyalinization as a histomorphological risk predictor in oral pathological lesions. J. Oral Biol. Craniofacial Res. 2021, 11, 415–422. [Google Scholar] [CrossRef]
- Ghlichloo, I.; Gerriets, V. Nonsteroidal Anti-Inflammatory Drugs (NSAIDs). In StatPearls; StatPearls: Treasure Island, FL, USA, 2023. [Google Scholar]
- Pascale, J.V.; Lucchesi, P.A.; Garcia, V. Unraveling the Role of 12- and 20-HETE in Cardiac Pathophysiology: G-Protein-Coupled Receptors, Pharmacological Inhibitors, and Transgenic Approaches. J. Cardiovasc. Pharmacol. 2021, 77, 707–717. [Google Scholar] [CrossRef]
- Lukovic, D.; Hasimbegovic, E.; Winkler, J.; Mester-Tonczar, J.; Muller-Zlabinger, K.; Han, E.; Spannbauer, A.; Traxler-Weidenauer, D.; Bergler-Klein, J.; Pavo, N.; et al. Identification of Gene Expression Signatures for Phenotype-Specific Drug Targeting of Cardiac Fibrosis. Int. J. Mol. Sci. 2023, 24, 6744. [Google Scholar] [CrossRef]
- Ungerer, M.; Böhm, M.; Elce, J.S.; Erdmann, E.; Lohse, M.J. Altered expression of beta-adrenergic receptor kinase and beta 1-adrenergic receptors in the failing human heart. Circulation 1993, 87, 454–463. [Google Scholar] [CrossRef] [PubMed]
- Banu, N.; Panikar, S.S.; Leal, L.R.; Leal, A.R. Protective role of ACE2 and its downregulation in SARS-CoV-2 infection leading to Macrophage Activation Syndrome: Therapeutic implications. Life Sci. 2020, 256, 117905. [Google Scholar] [CrossRef] [PubMed]
- Jarrar, Y.; Jarrar, Q.; Abu-Shalhoob, M.; Abed, A.; Sha’Ban, E. Relative Expression of Mouse Udp-glucuronosyl Transferase 2b1 Gene in the Livers, Kidneys, and Hearts: The Influence of Nonsteroidal Anti-inflammatory Drug Treatment. Curr. Drug Metab. 2019, 20, 918–923. [Google Scholar] [CrossRef]
- Ameer, O.Z. Hypertension in chronic kidney disease: What lies behind the scene. Front. Pharmacol. 2022, 13, 949260. [Google Scholar] [CrossRef]
- Watanabe, S.; Sawa, N.; Mizuno, H.; Yamanouchi, M.; Suwabe, T.; Hoshino, J.; Kinowaki, K.; Ohashi, K.; Fujii, T.; Yamaguchi, Y.; et al. Development of osmotic vacuolization of proximal tubular epithelial cells following treatment with sodium-glucose transport protein 2 inhibitors in type II diabetes mellitus patients-3 case reports. CEN Case Rep. 2021, 10, 563–569. [Google Scholar] [CrossRef]
- Imig, J.D.; Khan, A.H.; Burkhan, A.; Chen, G.; Adebesin, A.M.; Falck, J.R. Kidney-Targeted Epoxyeicosatrienoic Acid Analog, EET-F01, Reduces Inflammation, Oxidative Stress, and Cisplatin-Induced Nephrotoxicity. Int. J. Mol. Sci. 2021, 22, 2793. [Google Scholar] [CrossRef]
- Harris, R.C., Jr. Cyclooxygenase-2 inhibition and renal physiology. Am. J. Cardiol. 2002, 89, 10–17. [Google Scholar] [CrossRef]
- Alghamdi, B.S. The Effect of Melatonin and Exercise on Social Isolation-Related Behavioral Changes in Aged Rats. Front. Aging Neurosci. 2022, 14, 828965. [Google Scholar] [CrossRef]
- Alghamdi, B.S.; AboTaleb, H.A. Melatonin improves memory defects in a mouse model of multiple sclerosis by up-regulating cAMP-response element-binding protein and synapse-associated proteins in the prefrontal cortex. J. Integr. Neurosci. 2020, 19, 229–237. [Google Scholar]
- Abed, A.F.; Jarrar, Y.B.; Al-Ameer, H.J.; Al-Awaida, W.; Lee, S.J. The Protective Effect of Metformin against Oxandrolone-Induced Infertility in Male Rats. Curr. Pharm. Des. 2022, 28, 324–330. [Google Scholar] [CrossRef]
- Hou, F.; Li, S.; Wang, J.; Kang, X.; Weng, Y.; Xing, G. Identification and validation of reference genes for quantitative real-time PCR studies in long yellow daylily, Hemerocallis citrina Borani. PLoS ONE 2017, 12, e0174933. [Google Scholar] [CrossRef] [PubMed]
- Sayers, E.W.; Bolton, E.E.; Brister, J.R.; Canese, K.; Chan, J.; Comeau, D.C.; Connor, R.; Funk, K.; Kelly, C.; Kim, S.; et al. Database resources of the national center for biotechnology information. Nucleic Acids Res. 2022, 50, D20–D26. [Google Scholar] [CrossRef] [PubMed]
- Vardi, N.; Iraz, M.; Ozturk, F.; Ucar, M.; Gul, M.; Esrefoglu, M.; Otlu, A. Improving Effects of Melatonin on the Histological Alterations of Rat Kidneys Induced by Experimental Diabetes. J. Inonu. Univ. Med. Fac. 2005, 12, 145–152. [Google Scholar]
- Molh, A.K.; Ting, L.C.; Khan, J.; Al-Jashamy, K.; Jaafar, H.; Islam, M.N. Histopathological Studies of Cardiac Lesions after an Acute High Dose Administration of Methamphetamine. Malays. J. Med. Sci. 2008, 15, 23–30. [Google Scholar]
- Khirfan, F.; Jarrar, Y.; Al-Qirim, T.; Goh, K.W.; Jarrar, Q.; Ardianto, C.; Awad, M.; Al-Ameer, H.J.; Al-Awaida, W.; Moshawih, S.; et al. Analgesics Induce Alterations in the Expression of SARS-CoV-2 Entry and Arachidonic-Acid-Metabolizing Genes in the Mouse Lungs. Pharmaceuticals 2022, 15, 582. [Google Scholar] [CrossRef]
- Livak, K.J.; Schmittgen, T.D. Analysis of relative gene expression data using real-time quantitative PCR and the 2(-Delta Delta C(T)) Method. Methods 2001, 25, 402–408. [Google Scholar] [CrossRef]











| Groups | Heart (Weight %) | Kidneys (Weight %) |
|---|---|---|
| Control | 0.533 ± 0.010 | 0.762 ± 0.021 |
| celecoxib (35 mg/kg/day) | 0.508 ± 0.022 | 0.788 ± 0.025 * |
| celecoxib (70 mg/kg/day) | 0.605 ± 0.028 * | 0.793 ± 0.025 * |
| etoricoxib (10.5 mg/kg/day) | 0.563 ± 0.015 * | 0.711 ± 0.022 * |
| etoricoxib (21 mg/kg/day) | 0.553 ± 0.012 * | 0.766 ± 0.031 |
| Groups | Glomerular Degeneration | Tubular Degeneration | Inflammatory Cell Infiltration | Interstitial Hemorrhage | Interstitial Spaces |
|---|---|---|---|---|---|
| Control group | − | − | − | − | − |
| Low dose Celecoxib group | + | + | − | + | + |
| High dose Celecoxib group | ++ | ++ | ++ | ++ | ++ |
| Low dose eterocoxib group | + | + | + | + | + |
| High dose eterocoxib group | ++ | ++ | ++ | +++ | +++ |
| Groups | Loss of Striation | Myocardial Vacuolation | Myocardial Necrosis | Inflammatory Cell Infiltration | Focal Hemorrhages | Intramyocardial Spaces |
|---|---|---|---|---|---|---|
| Control group | − | − | − | − | − | − |
| Low dose Celecoxib group | + | + | − | − | − | + |
| High dose Celecoxib group | ++ | ++ | + | ++ | ++ | ++ |
| Low dose eterocoxib group | + | + | + | + | + | + |
| High dose eterocoxib group | ++ | ++ | ++ | ++ | +++ | ++ |
Disclaimer/Publisher’s Note: The statements, opinions and data contained in all publications are solely those of the individual author(s) and contributor(s) and not of MDPI and/or the editor(s). MDPI and/or the editor(s) disclaim responsibility for any injury to people or property resulting from any ideas, methods, instructions or products referred to in the content. |
© 2024 by the authors. Licensee MDPI, Basel, Switzerland. This article is an open access article distributed under the terms and conditions of the Creative Commons Attribution (CC BY) license (https://creativecommons.org/licenses/by/4.0/).
Share and Cite
Jamous, Y.F.; Alghamdi, B.S.; Jarrar, Y.; Hindi, E.A.; Alam, M.Z.; Abd El-Aziz, G.S.; Ibrahim, R.F.; Bakhlgi, R.; Algarni, S.M.; AboTaleb, H.A. Nephro- and Cardiotoxic Effects of Etoricoxib: Insights into Arachidonic Acid Metabolism and Beta-Adrenergic Receptor Expression in Experimental Mice. Pharmaceuticals 2024, 17, 1454. https://doi.org/10.3390/ph17111454
Jamous YF, Alghamdi BS, Jarrar Y, Hindi EA, Alam MZ, Abd El-Aziz GS, Ibrahim RF, Bakhlgi R, Algarni SM, AboTaleb HA. Nephro- and Cardiotoxic Effects of Etoricoxib: Insights into Arachidonic Acid Metabolism and Beta-Adrenergic Receptor Expression in Experimental Mice. Pharmaceuticals. 2024; 17(11):1454. https://doi.org/10.3390/ph17111454
Chicago/Turabian StyleJamous, Yahya F., Badrah S. Alghamdi, Yazun Jarrar, Emad A. Hindi, Mohammad Z. Alam, Gamal S. Abd El-Aziz, Rabee F. Ibrahim, Refal Bakhlgi, Salha M. Algarni, and Hanin A. AboTaleb. 2024. "Nephro- and Cardiotoxic Effects of Etoricoxib: Insights into Arachidonic Acid Metabolism and Beta-Adrenergic Receptor Expression in Experimental Mice" Pharmaceuticals 17, no. 11: 1454. https://doi.org/10.3390/ph17111454
APA StyleJamous, Y. F., Alghamdi, B. S., Jarrar, Y., Hindi, E. A., Alam, M. Z., Abd El-Aziz, G. S., Ibrahim, R. F., Bakhlgi, R., Algarni, S. M., & AboTaleb, H. A. (2024). Nephro- and Cardiotoxic Effects of Etoricoxib: Insights into Arachidonic Acid Metabolism and Beta-Adrenergic Receptor Expression in Experimental Mice. Pharmaceuticals, 17(11), 1454. https://doi.org/10.3390/ph17111454

