Lyophilized Nasal Inserts of Atomoxetine HCl Solid Lipid Nanoparticles for Brain Targeting as a Treatment of Attention-Deficit/Hyperactivity Disorder (ADHD): A Pharmacokinetics Study on Rats
Abstract
1. Introduction
2. Results and Discussion
2.1. Evaluation of the Prepared ATM-Loaded SLNs
2.1.1. Entrapment Efficiency (EE%)
2.1.2. Particle Size (PS)
2.1.3. Zeta Potential and Polydispersity Index
2.1.4. Study of the In-Vitro Release Profile of ATM-Loaded SLNs
2.1.5. Kinetic Analysis of In-Vitro Release Data
2.1.6. Optimization of the Solid Lipid Nanoparticles Formulations
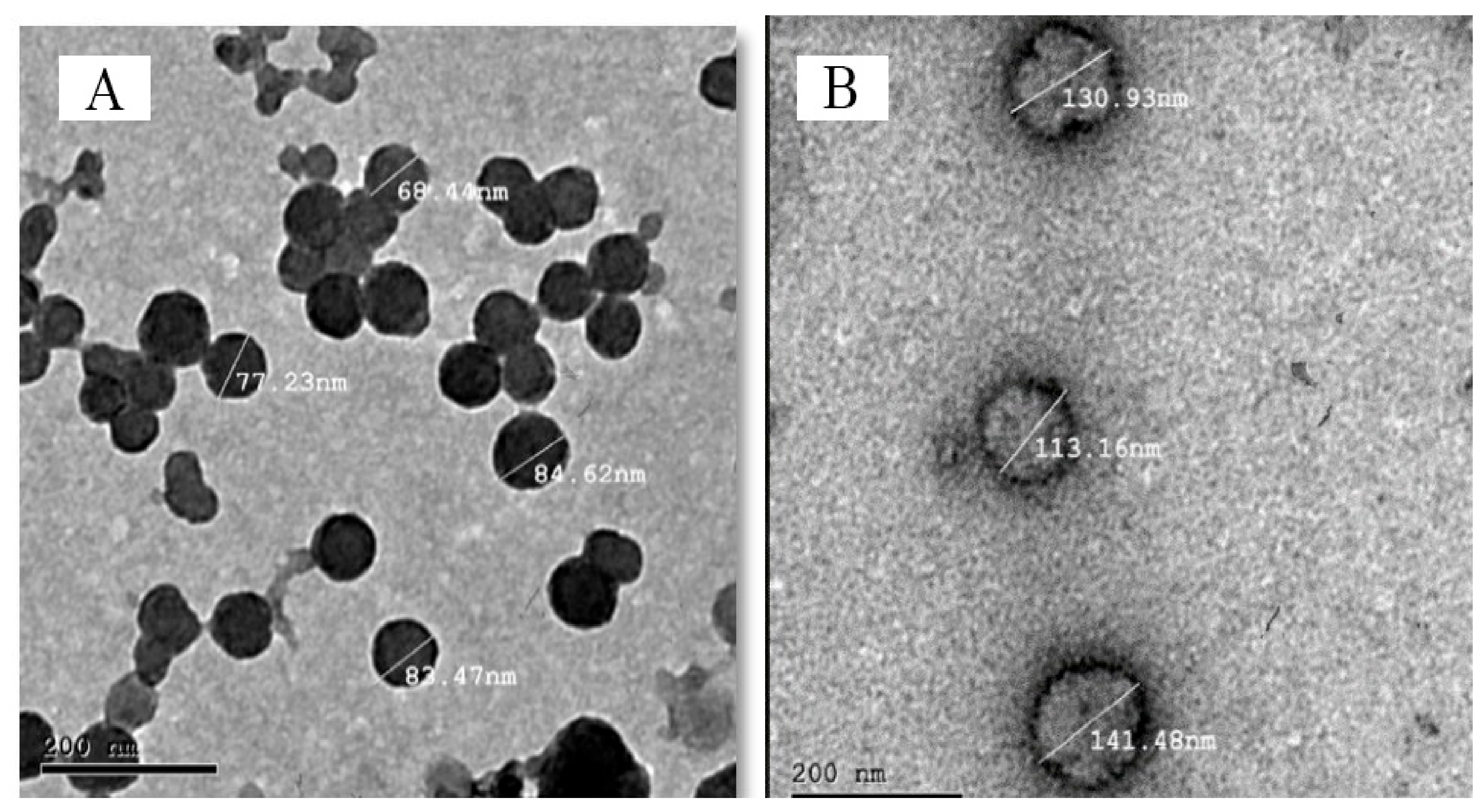
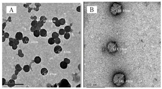
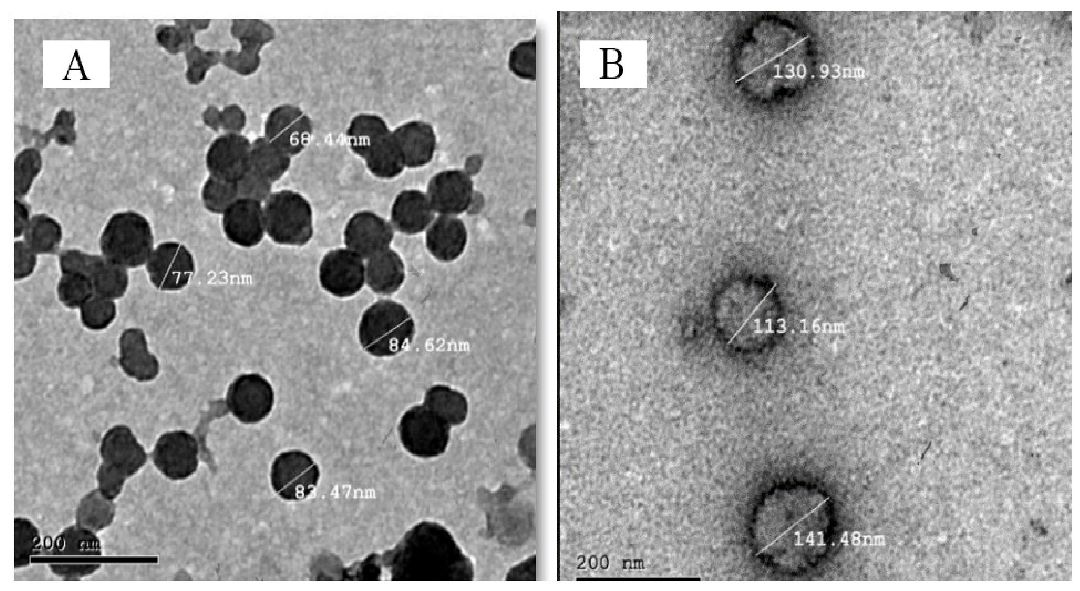
2.1.7. Transmission Electron Microscopy (TEM) of the Optimized SLNs Formulations
2.2. Characterization of Lyophilized Nasal Inserts of ATM-Loaded SLNs
2.2.1. Appearance
2.2.2. Determination of Drug Content of Lyophilized Nasal Inserts of ATM-Loaded SLNs Formulae
2.2.3. Mass Uniformity of the Solid Nasal Inserts
2.2.4. In-Vitro Drug Release of the Nasal Inserts
2.2.5. Disintegration Time
2.2.6. Muco-Adhesion Strength
2.2.7. Optimization of the Lyophilized Nasal Inserts of ATM-Loaded SLNs
2.2.8. Differential Scanning Calorimetry (DSC)
2.2.9. Residual Water Content of the Lyophilized Nasal Inserts
2.3. In Vivo Pharmacokinetics Study on Rats
3. Materials and Methods
3.1. Materials
3.2. Experimental Design
3.3. Preparation of Atomoxetine Loaded Solid Lipid Nanoparticles (ATM-SLNs)
3.4. Evaluation of the Prepared Atomoxetine HCl Solid Lipid Nanoparticles Dispersion Systems
3.4.1. Entrapment Efficiency (EE%)
3.4.2. Measurement of the Particle Size (PS), Zeta Potential (ZP) and Polydispersity Index (PDI)
3.4.3. In-Vitro Drug Release Study
3.4.4. Release Kinetics
3.4.5. Statistical Optimization of ATM-Loaded SLNs Formulae
3.4.6. Transmission Electron Microscope (TEM)
3.4.7. Experimental Design Construction of Lyophilized Nasal Inserts of ATM-Loaded SLNs
3.4.8. Preparation of Lyophilized Nasal Inserts of Atomoxetine Solid Lipid Nanoparticles (ATM-SLNs)
3.5. In-Vitro Characterization of Lyophilized Inserts ATM-Loaded SLNs
3.5.1. Appearance
3.5.2. Assay of Drug Content
3.5.3. Uniformity of Weight
3.5.4. In-Vitro Dissolution of the Nasal Inserts
3.5.5. Disintegration Time
3.5.6. Determination of Mucoadhesion Strength of the Nasal Inserts
3.5.7. Residual Water Content of the Lyophilized Inserts
3.5.8. Optimization of the Lyophilized Nasal Inserts of ATM-Loaded SLNs
3.5.9. Differential Scanning Calorimetry (DSC)
3.6. In-Vivo Pharmacokinetics Study
3.6.1. Administration and Sampling
3.6.2. Sample Preparation
3.6.3. LC/MS/MS Analysis
3.6.4. Pharmacokinetics Parameters
3.6.5. Statistical Analysis
4. Conclusions
Author Contributions
Funding
Institutional Review Board Statement
Informed Consent Statement
Data Availability Statement
Conflicts of Interest
References
- Vázquez, J.C.; de la Torre, O.M.; Palomé, J.L.; Redolar-Ripoll, D. Effects of Caffeine Consumption on Attention Deficit Hyperactivity Disorder (ADHD) Treatment: A Systematic Review of Animal Studies. Nutrients 2022, 14, 739. [Google Scholar] [CrossRef] [PubMed]
- Cuffe, S.P.; Moore, C.G.; McKeown, R.E. Prevalence and Correlates of ADHD Symptoms in the National Health Interview Survey. J. Atten. Disord. 2005, 9, 392–401. [Google Scholar] [CrossRef] [PubMed]
- Arnsten, A.F.; Pliszka, S.R. Catecholamine influences on prefrontal cortical function: Relevance to treatment of attention deficit/hyperactivity disorder and related disorders. Pharmacol. Biochem. Behav. 2011, 99, 211–216. [Google Scholar] [CrossRef] [PubMed]
- Bowton, E.; Saunders, C.; Erreger, K.; Sakrikar, D.; Matthies, H.J.; Sen, N.; Jessen, T.; Colbran, R.J.; Caron, M.G.; Javitch, J.A.; et al. Dysregulation of Dopamine Transporters via Dopamine D2 Autoreceptors Triggers Anomalous Dopamine Efflux Associated with Attention-Deficit Hyperactivity Disorder. J. Neurosci. 2010, 30, 6048–6057. [Google Scholar] [CrossRef]
- Brown, J.T.; Bishop, J.R.; Sangkuhl, K.; Nurmi, E.L.; Mueller, D.J.; Dinh, J.C.; Gaedigk, A.; Klein, T.E.; Caudle, K.E.; McCracken, J.T.; et al. Clinical Pharmacogenetics Implementation Consortium Guideline for Cytochrome P450 (CYP) 2D6 Genotype and Atomoxetine Therapy. Clin. Pharmacol. Ther. 2019, 106, 94–102. [Google Scholar] [CrossRef]
- Crespo, C.; Liberia, T.; Nacher, J.; Varea, E.; Blasco-Ibáñez, J.M. Cranial Pair I: The Olfactory Nerve. Anat. Rec. 2019, 302, 405–427. [Google Scholar] [CrossRef]
- Bonferoni, M.C.; Rossi, S.; Sandri, G.; Ferrari, F.; Gavini, E.; Rassu, G.; Giunchedi, P. Nanoemulsions for “nose-to-brain” drug delivery. Pharmaceutics 2019, 11, 84. [Google Scholar] [CrossRef]
- Sun, Y.; Li, L.; Xie, H.; Wang, Y.; Gao, S.; Zhang, L.; Bo, F.; Yang, S.; Feng, A. Primary Studies on Construction and Evaluation of Ion-Sensitive in situ Gel Loaded with Paeonol-Solid Lipid Nanoparticles for Intranasal Drug Delivery. Int. J. Nanomed. 2020, 15, 3137–3160. [Google Scholar] [CrossRef]
- Gastaldi, L.; Battaglia, L.; Peira, E.; Chirio, D.; Muntoni, E.; Solazzi, I.; Gallarate, M.; Dosio, F. Solid lipid nanoparticles as vehicles of drugs to the brain: Current state of the art. Eur. J. Pharm. Biopharm. 2014, 87, 433–444. [Google Scholar] [CrossRef]
- Öztürk, A.A.; Aygül, A.; Şenel, B. Influence of glyceryl behenate, tripalmitin and stearic acid on the properties of clarithromycin incorporated solid lipid nanoparticles (SLNs): Formulation, characterization, antibacterial activity and cytotoxicity. J. Drug Deliv. Sci. Technol. 2019, 54, 101240. [Google Scholar] [CrossRef]
- Lerata, M.S.; D’Souza, S.; Sibuyi, N.R.; Dube, A.; Meyer, M.; Samaai, T.; Antunes, E.M.; Beukes, D.R. Encapsulation of Variabilin in Stearic Acid Solid Lipid Nanoparticles Enhances Its Anticancer Activity in Vitro. Molecules 2020, 25, 830. [Google Scholar] [CrossRef]
- Boyuklieva, R.; Pilicheva, B. Micro- and Nanosized Carriers for Nose-to-Brain Drug Delivery in Neurodegenerative Disorders. Biomedicines 2022, 10, 1706. [Google Scholar] [CrossRef] [PubMed]
- Dalpiaz, A.; Pavan, B. Nose-to-Brain Delivery of Antiviral Drugs: A Way to Overcome Their Active Efflux? Pharmaceutics 2018, 10, 39. [Google Scholar] [CrossRef] [PubMed]
- Yadav, N.; Khatak, S.; Sara, U.S. Solid lipid nanoparticles—A review. Int. J. Appl. Pharm. 2013, 5, 8–18. [Google Scholar]
- Elkarray, S.M.; Farid, R.M.; Abd-Alhaseeb, M.M.; Omran, G.A.; Habib, D.A. Intranasal repaglinide-solid lipid nanoparticles integrated in situ gel outperform conventional oral route in hypoglycemic activity. J. Drug Deliv. Sci. Technol. 2022, 68, 103086. [Google Scholar] [CrossRef]
- Ebrahimi, H.A.; Javadzadeh, Y.; Hamidi, M.; Jalali, M.B. Repaglinide-loaded solid lipid nanoparticles: Effect of using different surfactants/stabilizers on physicochemical properties of nanoparticles. DARU J. Pharm. Sci. 2015, 23, 46. [Google Scholar] [CrossRef] [PubMed]
- Rojewska, M.; Bartkowiak, A.; Strzemiecka, B.; Jamrozik, A.; Voelkel, A.; Prochaska, K. Surface properties and surface free energy of cellulosic etc mucoadhesive polymers. Carbohydr. Polym. 2017, 171, 152–162. [Google Scholar] [CrossRef]
- Abdelmonem, R.; El Nabarawi, M.; Attia, A. Development of novel bioadhesive granisetron hydrochloride spanlastic gel and insert for brain targeting and study their effects on rats. Drug Deliv. 2018, 25, 70–77. [Google Scholar] [CrossRef]
- Abdelrahman, F.E.; Elsayed, I.; Gad, M.K.; Elshafeey, A.H.; Mohamed, M.I. Response surface optimization, Ex vivo and In vivo investigation of nasal spanlastics for bioavailability enhancement and brain targeting of risperidone. Int. J. Pharm. 2017, 530, 1–11. [Google Scholar] [CrossRef]
- Cai, S.; Yang, Q.; Bagby, T.R.; Forrest, M.L. Lymphatic drug delivery using engineered liposomes and solid lipid nanoparticles. Adv. Drug Deliv. Rev. 2011, 63, 901–908. [Google Scholar] [CrossRef]
- Peres, L.B.; Peres, L.B.; de Araújo, P.H.H.; Sayer, C. Solid lipid nanoparticles for encapsulation of hydrophilic drugs by an organic solvent free double emulsion technique. Colloids Surf. B Biointerfaces 2016, 140, 317–323. [Google Scholar] [CrossRef] [PubMed]
- Morsi, N.M.; Ghorab, D.M.; Badie, H.A. Brain targeted solid lipid nanoparticles for brain ischemia: Preparation and in vitro characterization. Pharm. Dev. Technol. 2013, 18, 736–744. [Google Scholar] [CrossRef] [PubMed]
- Abdelmonem, R.; Al-Samadi, I.E.I.; El Nashar, R.M.; Jasti, B.R.; El-Nabarawi, M.A. Fabrication of nanostructured lipid carriers ocugel for enhancing Loratadine used in treatment of COVID-19 related symptoms: Statistical optimization, in-vitro, ex-vivo, and in-vivo studies evaluation. Drug Deliv. 2022, 29, 2868–2882. [Google Scholar] [CrossRef] [PubMed]
- Fatouh, A.M.; Elshafeey, A.H.; Abdelbary, A. Intranasal agomelatine solid lipid nanoparticles to enhance brain delivery: Formulation, optimization and in vivo pharmacokinetics. Drug Des. Dev. Ther. 2017, 11, 1815–1825. [Google Scholar] [CrossRef]
- Liu, Y.; Fu, S.; Lin, L.; Cao, Y.; Xie, X.; Yu, H.; Chen, M.; Li, H. Redox-sensitive Pluronic F127-tocopherol micelles: Synthesis, characterization, and cytotoxicity evaluation. Int. J. Nanomed. 2017, 12, 2635–2644. [Google Scholar] [CrossRef]
- Jenning, V.; Gysler, A.; Schäfer-Korting, M.; Gohla, S.H. Vitamin A loaded solid lipid nanoparticles for topical use: Occlusive properties and drug targeting to the upper skin. Eur. J. Pharm. Biopharm. 2000, 49, 211–218. [Google Scholar] [CrossRef]
- Bose, S.; Du, Y.; Takhistov, P.; Michniak-Kohn, B. Formulation optimization and topical delivery of quercetin from solid lipid based nanosystems. Int. J. Pharm. 2013, 441, 56–66. [Google Scholar] [CrossRef]
- Gokce, E.H.; Sandri, G.; Bonferoni, M.C.; Rossi, S.; Ferrari, F.; Güneri, T.; Caramella, C. Cyclosporine A loaded SLNs: Evaluation of cellular uptake and corneal cytotoxicity. Int. J. Pharm. 2008, 364, 76–86. [Google Scholar] [CrossRef]
- Malkawi, A.; Alrabadi, N.; Kennedy, R. Dual-Acting Zeta-Potential-Changing Micelles for Optimal Mucus Diffusion and Enhanced Cellular Uptake after Oral Delivery. Pharmaceutics 2021, 13, 974. [Google Scholar] [CrossRef]
- Rowe, R.C.; Sheskey, P.J.; Owen, S.C. Handbook of Pharmaceutical Excipients; Pharmaceutical Press: London, UK, 2006. [Google Scholar]
- Paliwal, R.; Rai, S.; Vaidya, B.; Khatri, K.; Goyal, A.K.; Mishra, N.; Mehta, A.; Vyas, S.P. Effect of lipid core material on characteristics of solid lipid nanoparticles designed for oral lymphatic delivery. Nanomed. Nanotechnol. Biol. Med. 2009, 5, 184–191. [Google Scholar] [CrossRef]
- Abdelbary, G.A.; Aburahma, M.H. Oro-dental mucoadhesive proniosomal gel formulation loaded with lornoxicam for management of dental pain. J. Liposome Res. 2015, 25, 107–121. [Google Scholar] [CrossRef] [PubMed]
- Nowroozi, F.; Almasi, A.; Javidi, J.; Haeri, A.; Dadashzadeh, S. Effect of Surfactant Type, Cholesterol Content and Various Downsizing Methods on the Particle Size of Niosomes. Iran. J. Pharm. Res. 2018, 17, 1–11. [Google Scholar] [CrossRef] [PubMed]
- Luppi, B.; Bigucci, F.; Abruzzo, A.; Corace, G.; Cerchiara, T.; Zecchi, V. Freeze-dried chitosan/pectin nasal inserts for antipsychotic drug delivery. Eur. J. Pharm. Biopharm. 2010, 75, 381–387. [Google Scholar] [CrossRef] [PubMed]
- Laguna-López, S.; Villafuerte-Robles, L. Noveon AA1 as enhancer of HPMC as a direct compression matrix for controlled release. J. Appl. Pharm. Sci. 2014, 4, 62–68. [Google Scholar]
- Conti, S.; Maggi, L.; Segale, L.; Machiste, E.O.; Conte, U.; Grenier, P.; Vergnault, G. Matrices containing NaCMC and HPMC: 1. Dissolution performance characterization. Int. J. Pharm. 2007, 333, 136–142. [Google Scholar] [CrossRef]
- Siepmann, J.; Peppas, N.A. Modeling of drug release from delivery systems based on hydroxypropyl methylcellulose (HPMC). Adv. Drug Deliv. Rev. 2012, 64, 163–174. [Google Scholar] [CrossRef]
- Fazeli, M.R.; Toliyat, T.; Samadi, N.; Hajjaran, S.; Jamalifar, H. Viability of Lactobacillus acidophilus in various vaginal tablet formulations. DARU J. Pharm. Sci. 2006, 14, 172–178. [Google Scholar]
- Yang, B.; Xu, L.; Wang, Q.; Li, S. Modulation of the wettability of excipients by surfactant and its impacts on the disintegration and release of tablets. Drug Dev. Ind. Pharm. 2016, 42, 1945–1955. [Google Scholar] [CrossRef]
- Bartkowiak, A.; Rojewska, M.; Hyla, K.; Zembrzuska, J.; Prochaska, K. Surface and swelling properties of mucoadhesive blends and their ability to release fluconazole in a mucin environment. Colloids Surf. B Biointerfaces 2018, 172, 586–593. [Google Scholar] [CrossRef]
- Bartkowiak, A.; Lewandowicz, J.; Rojewska, M.; Krüger, K.; Lulek, J.; Prochaska, K. Study of viscoelastic, sorption and mucoadhesive properties of selected polymer blends for biomedical applications. J. Mol. Liq. 2022, 361, 119623. [Google Scholar] [CrossRef]
- Li, S.; Zhang, Y.; Khan, A.R.; He, S.; Wang, Y.; Xu, J.; Zhai, G. Quantitative prediction of the bitterness of atomoxetine hydrochloride and taste-masked using hydroxypropyl-β-cyclodextrin: A biosensor evaluation and interaction study. Asian J. Pharm. Sci. 2020, 15, 492–505. [Google Scholar] [CrossRef] [PubMed]
- Passerini, N.; Qi, S.; Albertini, B.; Grassi, M.; Rodriguez, L.; Craig, D.Q. Solid lipid microparticles produced by spray congealing: Influence of the atomizer on microparticle characteristics and mathematical modeling of the drug release. J. Pharm. Sci. 2010, 99, 916–931. [Google Scholar] [CrossRef] [PubMed]
- Alfadhel, M.; Puapermpoonsiri, U.; Ford, S.J.; McInnes, F.J.; van der Walle, C.F. Lyophilized inserts for nasal administration harboring bacteriophage selective for Staphylococcus aureus: In vitro evaluation. Int. J. Pharm. 2011, 416, 280–287. [Google Scholar] [CrossRef] [PubMed]
- Aburahma, M.H.; Badr-Eldin, S.M. Compritol 888 ATO: A multifunctional lipid excipient in drug delivery systems and nanopharmaceuticals. Expert Opin. Drug Deliv. 2014, 11, 1865–1883. [Google Scholar] [CrossRef] [PubMed]
- Moghimi, S.M.; Hunter, A.C.; Murray, J.C. Long-circulating and target-specific nanoparticles: Theory to practice. Pharmacol. Rev. 2001, 53, 283–318. [Google Scholar]
- Pires, P.C.; Santos, A.O. Nanosystems in nose-to-brain drug delivery: A review of non-clinical brain targeting studies. J. Control. Release 2018, 270, 89–100. [Google Scholar] [CrossRef]
- Ho, H.M.K.; Craig, D.Q.M.; Day, R.M. Design of Experiment Approach to Modeling the Effects of Formulation and Drug Loading on the Structure and Properties of Therapeutic Nanogels. Mol. Pharm. 2022, 19, 602–615. [Google Scholar] [CrossRef]
- Olivier, J.-C.; Djilani, M.; Fahmy, S.; Couet, W. In situ nasal absorption of midazolam in rats. Int. J. Pharm. 2001, 213, 187–192. [Google Scholar] [CrossRef]
- Menaka, M.; Pandey, V.P. Formulation development and evaluation of cinnarizine nasal spray. Int. J. Pharma Res. Health Sci. 2014, 2, 339–346. [Google Scholar]
- Gulati, N.; Nagaich, U.; Saraf, S.A. Intranasal Delivery of Chitosan Nanoparticles for Migraine Therapy. Sci. Pharm. 2013, 81, 843–854. [Google Scholar] [CrossRef]
- Washington, N.; Steele, R.; Jackson, S.; Bush, D.; Mason, J.; Gill, D.; Pitt, K.; Rawlins, D. Determination of baseline human nasal pH and the effect of intranasally administered buffers. Int. J. Pharm. 2000, 198, 139–146. [Google Scholar] [CrossRef] [PubMed]
- Allafchian, A.R.; Kalani, S.; Golkar, P.; Mohammadi, H.; Jalali, S.A.H. A comprehensive study on Plantago ovata/PVA biocompatible nanofibers: Fabrication, characterization, and biological assessment. J. Appl. Polym. Sci. 2020, 137, 49560. [Google Scholar] [CrossRef]
- Siddiqui, A.; Alayoubi, A.; El-Malah, Y.; Nazzal, S. Modeling the effect of sonication parameters on size and dispersion temperature of solid lipid nanoparticles (SLNs) by response surface methodology (RSM). Pharm. Dev. Technol. 2014, 19, 342–346. [Google Scholar] [CrossRef] [PubMed]
- Bhitre, M.J.; Bhanage, B.; Shirgaonkar, S.J.; Pawar, A.S. Formulation and evaluation of elementary osmotic pump tablet of atomoxetine hydrochloride. Int. J. Pharm. Bio Sci. 2013, 3, 118–134. [Google Scholar]
- Raghubabu, K.; Shanti Swarup, L.; Ramu, B.K.; Rao, M.N. Simple and convenient visible spectrophotometric assay of atomoxetine hydrochloride in bulk drug and pharmaceutical preparations. Int. J. Chem. Sci. 2012, 10, 643–654. [Google Scholar]
- Abdelmonem, R.; Hamed, R.R.; Abdelhalim, S.A.; ElMiligi, M.F.; A El-Nabarawi, M. Formulation and Characterization of Cinnarizine Targeted Aural Transfersomal Gel for Vertigo Treatment: A Pharmacokinetic Study on Rabbits. Int. J. Nanomed. 2020, 15, 6211–6223. [Google Scholar] [CrossRef]
- Teaima, M.H.; Eltabeeb, M.A.; El-Nabarawi, M.A.; & Abdellatif, M.M.; & Abdellatif, M. M. Utilization of propranolol hydrochloride mucoadhesive invasomes as a locally acting contraceptive: In-vitro, ex-vivo, and in-vivo evaluation. Drug Deliv. 2022, 29, 2549–2560. [Google Scholar] [CrossRef]
- Khanna, K.; Sharma, N.; Rawat, S.; Khan, N.; Karwasra, R.; Hasan, N.; Kumar, A.; Jain, G.K.; Nishad, D.K.; Khanna, S.; et al. Intranasal solid lipid nanoparticles for management of pain: A full factorial design approach, characterization & Gamma Scintigraphy. Chem. Phys. Lipids 2021, 236, 105060. [Google Scholar] [CrossRef]
- Acharya, S.R.; & Reddy, P.R.; & Reddy, P. R. Brain targeted delivery of paclitaxel using endogenous ligand. Asian J. Pharm. Sci. 2016, 11, 427–438. [Google Scholar] [CrossRef]
- McInnes, F.J.; Thapa, P.; Baillie, A.J.; Welling, P.G.; Watson, D.G.; Gibson, I.; Nolan, A.; Stevens, H.N. In vivo evaluation of nicotine lyophilised nasal insert in sheep. Int. J. Pharm. 2005, 304, 72–82. [Google Scholar] [CrossRef]
- Shaghlil, L.; Alshishani, A.; Abu Sa’Aleek, A.; Abdelkader, H.; Al-Ebini, Y. Formulation and evaluation of nasal insert for nose-to-brain drug delivery of rivastigmine tartrate. J. Drug Deliv. Sci. Technol. 2022, 76, 103736. [Google Scholar] [CrossRef]
- Refai, H.; Tag, R. Development and characterization of sponge-like acyclovir ocular minitablets. Drug Deliv. 2011, 18, 38–45. [Google Scholar] [CrossRef] [PubMed]
- El-Nabarawi, M.A.; Makky, A.M.; El-Setouhy, D.A.; Elmonem, R.; Jasti, B.A. Development and characterization of ketorolac tromethamine (KT) orobuccal films. Int. J. Pharm. Pharm. Sci. 2012, 4, 186–193. [Google Scholar]
- Yong, C.S.; Jung, J.-H.; Rhee, J.-D.; Kim, C.-K.; Choi, H.-G. Physicochemical Characterization and Evaluation of Buccal Adhesive Tablets Containing Omeprazole. Drug Dev. Ind. Pharm. 2001, 27, 447–455. [Google Scholar] [CrossRef] [PubMed]
- Merckx, P.; Lammens, J.; Nuytten, G.; Bogaert, B.; Guagliardo, R.; Maes, T.; Vervaet, C.; De Beer, T.; De Smedt, S.C.; Raemdonck, K. Lyophilization and nebulization of pulmonary surfactant-coated nanogels for siRNA inhalation therapy. Eur. J. Pharm. Biopharm. 2020, 157, 191–199. [Google Scholar] [CrossRef] [PubMed]
- Yasir, M.; Zafar, A.; Noorulla, K.M.; Tura, A.J.; Sara, U.V.S.; Panjwani, D.; Khalid, M.; Haji, M.J.; Gobena, W.G.; Gebissa, T.; et al. Nose to brain delivery of donepezil through surface modified NLCs: Formulation development, optimization, and brain targeting study. J. Drug Deliv. Sci. Technol. 2022, 75, 103631. [Google Scholar] [CrossRef]
- Bymaster, F.P.; Katner, J.S.; Nelson, D.L.; Hemrick-Luecke, S.K.; Threlkeld, P.G.; Heiligenstein, J.H.; Morin, S.M.; Gehlert, D.R.; Perry, K.W. Atomoxetine Increases Extracellular Levels of Norepinephrine and Dopamine in Prefrontal Cortex of Rat A Potential Mechanism for Efficacy in Attention Deficit/Hyperactivity Disorder. Neuropsychopharmacology 2002, 27, 699–711. [Google Scholar] [CrossRef]
- Reagan-Shaw, S.; Nihal, M.; Ahmad, N. Dose translation from animal to human studies revisited. FASEB J. 2008, 22, 659–661. [Google Scholar] [CrossRef]
- Jacob, S.; Nair, A.B.; Morsy, M.A. Dose Conversion Between Animals and Humans: A Practical Solution. Indian J. Pharm. Educ. Res. 2022, 56, 600–607. [Google Scholar] [CrossRef]
- Vaidya, A.V.; Shinde, U.A.; Shimpi, H.H. Preliminary studies on brain targeting of intranasal atomoxetine liposomes. Int. J. Pharm. Pharm. Sci. 2016, 8, 286–292. [Google Scholar]
- Li, C.S.-W.; Zhang, L.; Haske, T.; Dounay, A.; Gray, D.; Barta, N.; Brodfuehrer, J.; Lepsy, C.; Campbell, B. Mechanism-Based Pharmacokinetic/Pharmacodynamic Modeling of Rat Prefrontal Cortical Dopamine Response to Dual Acting Norepinephrine Reuptake Inhibitor and 5-HT1A Partial Agonist. AAPS J. 2012, 14, 365–376. [Google Scholar] [CrossRef] [PubMed]
- Elsenosy, F.M.; Abdelbary, G.A.; Elshafeey, A.H.; Elsayed, I.; Fares, A.R. Brain Targeting of Duloxetine HCL via Intranasal Delivery of Loaded Cubosomal Gel: In vitro Characterization, ex vivo Permeation, and in vivo Biodistribution Studies. Int. J. Nanomed. 2020, 15, 9517–9537. [Google Scholar] [CrossRef] [PubMed]
- Gonçalves, J.; Bicker, J.; Gouveia, F.; Liberal, J.; Oliveira, R.C.; Alves, G.; Falcão, A.; Fortuna, A. Nose-to-brain delivery of levetiracetam after intranasal administration to mice. Int. J. Pharm. 2019, 564, 329–339. [Google Scholar] [CrossRef]















| ATM-Loaded SLNs Formulation | A: (X1) Lipid Type | B: (X2) Lipid to Drug Ratio | C: (X3) Span 60: PF127 Ratio | D: (X4) Probe Sonication Time | (Y1) EE% | (Y2) PS (nm) | (Y3) PDI | (Y4) ZP (mV) | (Y5) Q30min | Desirability |
|---|---|---|---|---|---|---|---|---|---|---|
| F1 | Stearic acid | 2:1 | 1:3 | 10 min | 59.12 ± 9.38 | 496.9 ± 45.21 | 0.435 ± 0.11 | −20.0 ± 0 | 36.615% | 0.469 |
| F2 | Stearic acid | 2:1 | 1:3 | 5 min | 53.89 ± 8.13 | 459.1 ± 46.8 | 0.276 ± 0.122 | −19.4 ± 1.3 | 32.5% | 0.444 |
| F3 | Stearic acid | 2:1 | 3:1 | 10 min | 46.5085 ± 7.09 | 700.5 ± 25.88 | 0.351 ± 0.1 | −21.3 ± 1.3 | 37.77% | 0.410 |
| F4 | Stearic acid | 2:1 | 3:1 | 5 min | 43.9575 ± 3.35 | 426.8 ± 62.89 | 0.291 ± 0.101 | −18.8 ± 1.3 | 27.11% | 0.000 |
| F5 | Compritol 888 | 2:1 | 1:3 | 10 min | 90.5725 ± 2.8 | 445.3 ± 130.9 | 0.478 ± 0.1 | −17 ± 1.6 | 68.875% | 0.513 |
| F6 | Compritol 888 | 2:1 | 1:3 | 5 min | 71.025 ± 4.5 | 445.3 ± 89.181 | 0.359 ± 0.05 | −16.3 ± 0.5 | 63.9075% | 0.600 |
| F7 | Compritol 888 | 2:1 | 3:1 | 10 min | 83.0575 ± 4.1 | 435.2 ± 167.3 | 0.377 ± 0.1 | −28.4 ± 0.212 | 86.75% | 0.654 |
| F8 | Compritol 888 | 2:1 | 3:1 | 5 min | 75.9925 ± 0.5 | 660.6 ± 133.7 | 0.261 ± 0.1685 | −17.1 ± 0.79 | 69.65% | 0.504 |
| F9 | Stearic acid | 1:2 | 1:3 | 10 min | 55.1975 ± 7.83 | 392.1 ± 43.5 | 0.222 ± 0.132 | −16.5 ±1.11 | 54.963% | 0.628 |
| F10 | Stearic acid | 1:2 | 1:3 | 5 min | 54.5 ± 1 | 320.9 ± 110.81 | 0.299 ± 0.04 | −8.52 ± 0.7 | 50.5% | 0.000 |
| F11 | Stearic acid | 1:2 | 3:1 | 10 min | 41.1375 ± 1.8 | 390.9 ± 194.013 | 0.532 ± 0.03 | −17.6 ± 0.8 | 69.397% | 0.438 |
| F12 | Stearic acid | 1:2 | 3:1 | 5 min | 38.0425 ± 1.85 | 719.8 ± 26.5 | 0.516 ± 0.03 | −17.9 ± 0.75 | 60.3% | 0.489 |
| F13 | Compritol 888 | 1:2 | 1:3 | 10 min | 73.6625 ± 15.1 | 487.9 ± 68.4 | 0.493 ± 0.03 | −15.3 ± 0 | 72.663% | 0.470 |
| F14 | Compritol 888 | 1:2 | 1:3 | 5 min | 62.79 ± 2.52 | 390.9 ± 66.6 | 0.559 ± 0.01 | −18.8 ± 0.62 | 70.02% | 0.543 |
| F15 | Compritol 888 | 1:2 | 3:1 | 10 min | 59.979 ± 5.6 | 936.7 ± 229.6 | 0.658 ± 0.03 | −16.8 ± 0.82 | 91.08% | 0.000 |
| F16 | Compritol 888 | 1:2 | 3:1 | 5 min | 52.82 ± 3.8 | 718.9 ± 221.1 | 0.611 ± 0.04 | −20.1 ± 3.2 | 87.01% | 0.429 |
| Responses | EE (%) | PS (nm) | ZP (mV) | Q30min (%) |
|---|---|---|---|---|
| Adequate precision | 21.4 | 10.18 | 373.31 | 21.1408 |
| Adjusted R2 | 0.9646 | 0.8446 | 0.9998 | 0.9623 |
| Predicted R2 | 0.8793 | 0.4694 | 0.9967 | 0.8713 |
| Significant factors | X1, X2, X3, X4 | X1, X3, X4 | X1, X2, X3, X4 | X1, X2, X3, X4 |
| Observed value of the two optimum ATM-SLNs formulae (F7) and (F9) | 83.06 and 55.20 | 795.60 and 392.10 | −28.4 and −16.50 | 86.75 and 54.96 |
| Predicted value of two optimized ATM-SLNs formulae (F7) and (F9) | 83.29 and 54.97 | 801.52 and 374.89 | −28.39 and −16.51 | 84.25 and 51.98 |
| Model fitting | Analysis of variance table partial sum of squares-type III for all responses. | |||
| Formulation Code | Zero Order (R2) | First Order (R2) | Diffusion | Korsmeyer Peppas | (n) | Mechanism |
|---|---|---|---|---|---|---|
| F1 | 0.8695 | 0.7049 | 0.919 | 0.9553 | 0.374 | Fickian diffusion |
| F2 | 0.8779 | 0.5846 | 0.9652 | 0.9133 | - | Diffusion |
| F3 | 0.9647 | 0.9043 | 0.9854 | 0.9603 | - | Diffusion |
| F4 | 0.8563 | 0.4359 | 0.9458 | 0.7818 | - | Diffusion |
| F5 | 0.9631 | 0.8325 | 0.9851 | 0.9828 | - | Diffusion |
| F6 | 0.921 | 0.4021 | 0.9672 | 0.6972 | - | Diffusion |
| F7 | 0.4682 | 0.3918 | 0.649 | 0.799 | 0.1224 | Fickian diffusion |
| F8 | 0.7531 | 0.5905 | 0.8884 | 0.9208 | 0.3709 | Fickian diffusion |
| F9 | 0.8854 | 0.8349 | 0.963 | 0.9649 | 0.2481 | Fickian diffusion |
| F10 | 0.8609 | 0.8073 | 0.9461 | 0.9398 | - | Diffusion |
| F11 | 0.8449 | 0.779 | 0.9471 | 0.9808 | 0.1996 | Fickian diffusion |
| F12 | 0.8645 | 0.7997 | 0.9584 | 0.9819 | 0.2723 | Fickian diffusion |
| F13 | 0.7412 | 0.6471 | 0.8858 | 0.9588 | 0.2801 | Fickian diffusion |
| F14 | 0.7613 | 0.642 | 0.8974 | 0.9498 | 0.328 | Fickian diffusion |
| F15 | 0.4702 | 0.4122 | 0.6506 | 0.8178 | 0.1487 | Fickian diffusion |
| F16 | 0.7704 | 0.6771 | 0.9059 | 0.9654 | 0.2546 | Fickian diffusion |
| Formulation Code | Zero (R2) | First (R2) | Diffusion | Korsmeyer Peppas | (n) | Mechanism |
|---|---|---|---|---|---|---|
| S1 | 0.4585 | 0.4366 | 0.6546 | 0.8504 | 0.1123 | Fickian diffusion |
| S2 | 0.6105 | 0.5741 | 0.7909 | 0.9179 | 0.2715 | Fickian diffusion |
| S3 | 0.6496 | 0.6338 | 0.8217 | 0.9339 | 0.1029 | Fickian diffusion |
| S4 | 0.1695 | 0.1628 | 0.2895 | 0.4902 | 0.0473 | Fickian diffusion |
| S5 | 0.6413 | 0.6169 | 0.8153 | 0.9274 | 0.1031 | Fickian diffusion |
| S6 | 0.5165 | 0.46 | 0.6762 | 0.7944 | 0.1884 | Fickian diffusion |
| S7 | 0.4153 | 0.404 | 0.6018 | 0.7954 | 0.0834 | Fickian diffusion |
| S8 | 0.1765 | 0.1684 | 0.2994 | 0.5002 | 0.0462 | Fickian diffusion |
| S9 (lyophilized nasal insert of free drug solution) | 0.7426 | 0.7319 | 0.8791 | 0.9273 | 0.1088 | Fickian diffusion |
| Formulation Code | Drug Content (%) | Q15min (%) | Mass Uniformity (mg) | Disintegration Time (s) | Residual Water Content (%) | Muco-Adhesion Strength (dyne/cm3) | Desirability |
|---|---|---|---|---|---|---|---|
| S1 | 82.5 ± 2.5% | 100 ± 0% | 76.8 ± 3.9% | 100 | 2.87% | 4120.2 ± 39.43 | 0.393 |
| S2 | 86.5 ± 1.5% | 100 ± 0% | 94.4 ± 4% | 120 | 0.5% | 8730.9 ± 61.36 | 0.656 |
| S3 | 91.375 ± 1.125% | 97.324 ± 1.4% | 79.8005 ± 4.42% | 65 | 1.88% | 3510.5 ± 140.21 | 0.407 |
| S4 | 95.5 ± 1% | 100 ± 0% | 91.34 ± 6.4% | 50 | 1.4% | 8436.6 ± 39.43 | 0.753 |
| S5 | 98.55 ± 5.55% | 94.118 ± 1.9% | 52.3225 ± 4.5% | 100 | 4.32% | 4708.8 ± 61.36 | 0.543 |
| S6 | 100.5 ± 0.5% | 89.9 ± 6.4% | 59.395 ± 3.3% | 65 | 2.033% | 9319.5 ± 39.425 | 0.747 |
| S7 | 93.665 ± 2.84% | 100 ± 0% | 57.6 ± 1.71% | 30 | 0.60% | 4905.39 ± 162.145 | 0.590 |
| S8 | 103.935 ± 3.94% | 100 ± 0% | 67.75 ± 3.6% | 20 | 2.62% | 9025.2 ± 61.36 | 0.854 |
| Responses | Drug Content (%) | Q15min (%) | Disintegration Time (s) | Detachment Force (dyne/cm2) |
|---|---|---|---|---|
| Adequate precision | 7.1530 | 19.81 | 9.5751 | 31.9 |
| Adjusted R2 | 0.8365 | 0.9792 | 0.8441 | 0.990 |
| Predicted R2 | 0.495 | 0.8103 | 0.0.6436 | 0.9771 |
| Significant factors | NA | NA | A, B. | A, C. |
| Observed value of the two optimum nasal insert formulae (S4) and (S8) | 95.5% and 103.94% | 100% | 50 s and 20 s | 8436.6 and 9025.2 |
| Predicted value of the two optimum nasal insert formulae (S4) and (S8) | 96.52% and 102.91% | 100.19% | 51.25 s and 21.25 s | 8357.75 and 9147.92 |
| Model fitting | Analysis of variance table partial sum of squares-type III for all responses. | |||
| Pharmaco-Kinetics Parameters | Plasma | Brain | ||||||||
|---|---|---|---|---|---|---|---|---|---|---|
| Group 1 (IV) | Group 2 (S8) | Group 3 (S4) | Group 4 (S9) | Group 5 (Oral Solution) | Group 1 (IV) | Group 2 (S8) | Group 3 (S4) | Group 4 (S9) | Group 5 (Oral Solution) | |
| Cmax (ng/mL) | 112.59 ± 95.107 | 108.13 ± 1.884 | 140.804 ± 56.62925 | 69.572 ± 19.5265 | 25.184 ± 2.282 | 244.894 ± 19.9 | 266.5 ± 41.9 | 712.038 ± 96.97 | 297.05 ± 53.59 | 49.04 ± 9.8 |
| Tmax (h) | 0.25 | 0.25 | 0.25 | 0.25 | 2 | 0.25 | 0.25 | 0.25 | 0.25 | 2 |
| Kel (h−1) | 0.5361 ± 0.27% | 0.232 ± 0.08 | 0.3592 ± 0.035 | 0.21 ± 0.094 | 0.851 ± 0.5 | 0.215 ± 0.05 | 0.081 ± 0.017 | 0.568 ± 0.4 | 0.341 ± 0.04011 | 0.58 ± 0.03 |
| t1/2 (h) | 1.293 ± 0.9% | 2.99 ± 1.611 | 1.93 ± 0.19 | 3.3024 ± 1.8 | 0.815 ± 1.7115 | 3.37 ± 0.6 | 8.9 ± 1.9 | 1.22 ± 0.462 | 2.061 ± 0.24 | 1.198 ± 0.061 |
| MRT (h) | 1.9 ± 1.3% | 4.32 ± 2.32 | 2.78 ± 0.27 | 4.77 ± 2.6 | 1.18 ± 2.47 | 4.9 ± 0.521 | 12.98 ± 2.75 | 1.55 ± 0.66 | 2.974 ± 0.35 | 1.73 ± 0.09 |
| AUC(0–24 h) (ng∗h/mL) | 73.86 ± 5.9 | 130.03 ± 42.63 | 121.66 ± 38.9 | 96.31 ± 15.5 | 49.16 ± 0.18 | 135.84 ± 17.25 | 806.18 ± 23.401 | 721.44 ± 79.6 | 267.6312 ± 14.58115 | 91.87 ± 8.8 |
| AUC(0–∞) (ng∗h/mL) | 155.45 ± 26.73 | 253.46 ± 18.3 | 258.69 ± 23.01 | 245.2632 ± 31.01 | 143.512 ± 5.838 | 238.33 ± 19.73 | 821.12 ± 81.58 | 703.7 ± 1.9 | 343.41 ± 35.41 | 191.8646 ± 8.7463 |
| DTE (%) | 211.3 | 177.42 | 91.33 | |||||||
| DTP (%) | 52.7 | 43.64 | −9.5 | |||||||
| F (%) | 163.1 | 166.41 | ||||||||
| Factors (Independent Variables) | Levels | |
|---|---|---|
| Low Level (−1) | High Level (+1) | |
| A:X1: Lipid type | Stearic acid (HLB = 14.9) | Compritol 888 ATO (HLB = 2) |
| B:X2: Lipid-to-drug ratio | 1:2 i.e., (9 mg/mL: 18 mg/mL) | 2:1 i.e., (36 mg/mL: 18 mg/mL) |
| C:X3: Co-surfactant ratio (span 60): (pluronic F127) | 1:3 i.e., (1.25 mg/mL: 3.75 mg/mL) | 3:1 i.e., (3.75 mg/mL: 1.25 mg/mL) |
| D:X4: Probe sonication time | 5 min | 10 min |
| Responses (Dependent variables) | Desirability constraints | |
| Y1: EE% | Maximized | |
| Y2: PS (nm) | Minimized | |
| Y3: ZP (mV) | Maximized (absolute value) | |
| Y4: Q30min | Maximized | |
| ATM-Loaded SLNs Formulation Code | Lipid Type | Surfactant PVA (1%) min | Co-Surfactant Mixture (0.5%) | Span 60: PF127 Ratio | Lipid: Drug Ratio | Probe Sonication Time | |||
|---|---|---|---|---|---|---|---|---|---|
| Stearic Acid (mg/mL) | Compritol 888 (mg/mL) | Span 60 (mg/mL) | PF127 (mg/mL) | 5 min | 10 min | ||||
| F1 | 36 | - | 10 | 1.25 | 3.75 | 1:3 | 2:1 | - | on |
| F2 | 36 | - | 10 | 1.25 | 3.75 | 1:3 | 2:1 | on | - |
| F3 | 36 | - | 10 | 3.75 | 1.25 | 3:1 | 2:1 | - | on |
| F4 | 36 | - | 10 | 3.75 | 1.25 | 3:1 | 2:1 | on | - |
| F5 | - | 36 | 10 | 1.25 | 3.75 | 1:3 | 2:1 | - | on |
| F6 | - | 36 | 10 | 1.25 | 3.75 | 1:3 | 2:1 | on | - |
| F7 | - | 36 | 10 | 3.75 | 1.25 | 3:1 | 2:1 | - | on |
| F8 | - | 36 | 10 | 3.75 | 1.25 | 3:1 | 2:1 | on | - |
| F9 | 9 | - | 10 | 1.25 | 3.75 | 1:3 | 1:2 | - | on |
| F10 | 9 | - | 10 | 1.25 | 3.75 | 1:3 | 1:2 | on | - |
| F11 | 9 | 10 | 3.75 | 1.25 | 3:1 | 1:2 | - | on | |
| F12 | 9 | 10 | 3.75 | 1.25 | 3:1 | 1:2 | on | - | |
| F13 | 9 | 10 | 1.25 | 3.75 | 1:3 | 1:2 | - | on | |
| F14 | 9 | 10 | 1.25 | 3.75 | 1:3 | 1:2 | on | - | |
| F15 | 9 | 10 | 3.75 | 1.25 | 3:1 | 1:2 | - | on | |
| F16 | 9 | 10 | 3.75 | 1.25 | 3:1 | 1:2 | on | - | |
| Factors (Independent Variables) | Levels | |
|---|---|---|
| Low Level (−1) | High Level (+1) | |
| X1: Type of (ATM-SLNs) formula | F7 (compritol-based SLNs) | F9 (stearic acid-based SLNs) |
| X2: Polymer type | HPMC K100m | NOVEON® AA-1 USP polycarbophil |
| X3: Polymer concentration | NOVEON (0.25%) and HPMC K100 (0.5%) | NOVEON (0.5%) and HPMC K100 (1%) |
| Responses (Dependent variables) | Desirability constraints | |
| Y1: Assay of drug content (%) | Maximize | |
| Y2: Q15min (%) | Maximize | |
| Y3: Disintegration time (seconds) | Minimize | |
| Y4: Muco-adhesion strength (dyne/cm2) | Maximize | |
| Nasal Insert Formulation Code | Drug Concentration (%) | Polymer (Matrix Former) Type and Concentration | Glycine Concentration | ||
|---|---|---|---|---|---|
| S1 | 1% | - | NOVEON 0.25% | 0.25% | - |
| S2 | 1% | - | NOVEON 0.5% | - | 0.5% |
| S3 | 1% | HPMC K100 0.5% | - | 0.25% | |
| S4 | 1% | HPMC K100 1% | - | 0.5% | |
| S5 | 1% | - | NOVEON 0.25% | 0.25% | - |
| S6 | 1% | - | NOVEON 0.5% | - | 0.5% |
| S7 | 1% | HPMC K100 0.5% | - | 0.25% | |
| S8 | 1% | HPMC K100 1% | - | 0.5% | |
| S9 (Lyophilized nasal insert of pure drug solution) | 1% | HPMC K100 1% | - | - | 0.5% |
Disclaimer/Publisher’s Note: The statements, opinions and data contained in all publications are solely those of the individual author(s) and contributor(s) and not of MDPI and/or the editor(s). MDPI and/or the editor(s) disclaim responsibility for any injury to people or property resulting from any ideas, methods, instructions or products referred to in the content. |
© 2023 by the authors. Licensee MDPI, Basel, Switzerland. This article is an open access article distributed under the terms and conditions of the Creative Commons Attribution (CC BY) license (https://creativecommons.org/licenses/by/4.0/).
Share and Cite
Teaima, M.H.; El-Nadi, M.T.; Hamed, R.R.; El-Nabarawi, M.A.; Abdelmonem, R. Lyophilized Nasal Inserts of Atomoxetine HCl Solid Lipid Nanoparticles for Brain Targeting as a Treatment of Attention-Deficit/Hyperactivity Disorder (ADHD): A Pharmacokinetics Study on Rats. Pharmaceuticals 2023, 16, 326. https://doi.org/10.3390/ph16020326
Teaima MH, El-Nadi MT, Hamed RR, El-Nabarawi MA, Abdelmonem R. Lyophilized Nasal Inserts of Atomoxetine HCl Solid Lipid Nanoparticles for Brain Targeting as a Treatment of Attention-Deficit/Hyperactivity Disorder (ADHD): A Pharmacokinetics Study on Rats. Pharmaceuticals. 2023; 16(2):326. https://doi.org/10.3390/ph16020326
Chicago/Turabian StyleTeaima, Mahmoud H., Merhan Taha El-Nadi, Raghda Rabe Hamed, Mohamed A. El-Nabarawi, and Rehab Abdelmonem. 2023. "Lyophilized Nasal Inserts of Atomoxetine HCl Solid Lipid Nanoparticles for Brain Targeting as a Treatment of Attention-Deficit/Hyperactivity Disorder (ADHD): A Pharmacokinetics Study on Rats" Pharmaceuticals 16, no. 2: 326. https://doi.org/10.3390/ph16020326
APA StyleTeaima, M. H., El-Nadi, M. T., Hamed, R. R., El-Nabarawi, M. A., & Abdelmonem, R. (2023). Lyophilized Nasal Inserts of Atomoxetine HCl Solid Lipid Nanoparticles for Brain Targeting as a Treatment of Attention-Deficit/Hyperactivity Disorder (ADHD): A Pharmacokinetics Study on Rats. Pharmaceuticals, 16(2), 326. https://doi.org/10.3390/ph16020326

