The Cardiorenal Effects of Piper amalago Are Mediated by the Nitric Oxide/Cyclic Guanosine Monophosphate Pathway and the Voltage-Dependent Potassium Channels
Abstract
:1. Introduction
2. Results
2.1. Chemical Compounds of Aqueous and Hydroalcoholic Extracts
2.2. Chemical Compounds of Volatile Oil
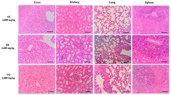
2.3. Acute Toxicity
2.4. Diuretic Effects
2.5. Electrocardiography
2.6. Effects on Blood Pressure and Heart Rate
2.7. Vasodilator Response in MVBs
3. Discussion
4. Material and Methods
4.1. Chemicals
4.2. Botanical Material and Extract Preparation
4.3. Chemical Profile of Extracts and VO from P. amalago
4.3.1. Liquid Chromatography Coupled to a Diode Array Detector and Mass Spectrometry (LC-DAD-MS) Analysis
4.3.2. Gas Chromatography Coupled to Mass Spectrometry (GC-MS) Analysis
4.4. Pharmacological and Toxicological Studies
4.4.1. Animals
4.4.2. Safety Evaluation
Acute Toxicity
4.4.3. Ethnopharmacological Investigations
Diuretic Activity
Electrocardiography
Blood Pressure (BP) and Heart Rate (HR) Evaluation
Evaluations of Vasodilator Response in the Mesenteric Vascular Beds (MVBs)
4.5. Statistical Analysis
5. Conclusions
Author Contributions
Funding
Institutional Review Board Statement
Informed Consent Statement
Data Availability Statement
Acknowledgments
Conflicts of Interest
References
- Santos, V.L.P.; Franco, C.R.C.; Amano, E.; Messias-Reason, I.J.; Budel, J.M. Anatomical investigations of Piper amalago (jaborandi-manso) for the quality control. Rev. Bras. Farmacogn. 2015, 25, 85–91. [Google Scholar] [CrossRef]
- Santos, V.L.P.; Rodrigues, I.C.G.; Berté, R.; Raman, V.; Messias-Reason, I.J.; Budel, J.M. Review of Piper species growing in the Brazilian State of Paraná with emphasize on the vegetative anatomy and biological activities. Bot. Rev. 2021, 87, 23–54. [Google Scholar] [CrossRef]
- Souza, P.; Mariano, L.N.B.; Cechinel-Zanchett, C.C.; Cechinel-Filho, V. Promising medicinal plants with diuretic potential used in Brazil: State of the art, challenges, and prospects. Planta Med. 2021, 87, 24–37. [Google Scholar] [CrossRef]
- Salehi, B.; Zakaria, Z.A.; Gyawali, R.; Ibrahim, S.A.; Rajkovic, J.; Shinwari, Z.K.; Khan, T.; Sharifi-Rad, J.; Ozleyen, A.; Turkdonmez, E.; et al. Piper species: A comprehensive review on their phytochemistry, biological activities and applications. Molecules 2019, 24, 1364. [Google Scholar] [CrossRef] [PubMed]
- Iwamoto, R.D. Avaliação da Atividade Anti-Inflamatória, Antihiperalgésica e Hipotensora do Extrato Bruto Etanólico e Amida Obtida de Piper amalago L. (Piperaceae) em Roedores. Master’s Dissertation, Federal University of Grande Dourados, Dourados, Mato Grosso do Sul, Brazil, 2014. Available online: https://files.ufgd.edu.br/arquivos/arquivos/78/MESTRADO-DOUTORADO-CIENCIAS-SAUDE/Renan%20Donomae%20Iwamoto.pdf (accessed on 6 October 2023).
- Santos, V.L.P.; Ribas, J.L.C.; Lima, C.P.; Campos, R.; Garcia, A.C.; Budel, J.M.; Messias-Reason, I.J. The wound healing effect of aqueous extract from Piper amalago L. in diabetic patient. Explore 2020, 16, 368–371. [Google Scholar] [CrossRef] [PubMed]
- Santos, V.L.P.; Franco, C.R.C.; Wagner, R.; Silva, C.D.; Santos, G.F.; Cunha, R.S.; Stinghen, A.E.M.; Monteiro, L.M.; Bussade, J.E.; Budel, J.M.; et al. In vitro study after exposure to the aqueous extract of Piper amalago L. shows changes of morphology, proliferation, cytoskeleton and molecules of the extracellular matrix. Res. Soc. Dev. 2021, 10, e0110413289. [Google Scholar] [CrossRef]
- Lopes, J.J.; Marx, C.; Ingrassia, R.; Picada, J.N.; Pereira, P.; Ferraz, A.B.F. Neurobehavioral and toxicological activities of two potentially CNS-acting medicinal plants of Piper genus. Exp. Toxicol. Pathol. 2012, 64, 9–14. [Google Scholar] [CrossRef]
- Jacobs, H.; Seeram, N.P.; Nair, M.G.; Reynolds, W.F. Amides of Piper amalago var. nigrinodum. J. Indian Chem. Soc. 1999, 76, 713–717. [Google Scholar]
- Lee, J.H.; Park, M.J.; Ryu, H.W.; Yuk, H.J.; Choi, S.-W.; Lee, K.-S.; Kim, S.-L.; Seo, W.D. Elucidation of phenolic antioxidants in barley seedlings (Hordeum vulgare L.) by UPLC-PDA-ESI/MS and screening for their contents at different harvest times. J. Funct. Foods 2016, 26, 667–680. [Google Scholar] [CrossRef]
- Silva, D.B.; Okano, L.T.; Lopes, N.P.; Oliveira, D.C.R. Flavanone glycosides from Bidens gardneri Bak. (Asteraceae). Phytochemistry 2013, 96, 418–422. [Google Scholar] [CrossRef]
- Geng, P.; Sun, J.; Zhang, M.; Li, X.; Harnly, J.M.; Chen, P. Comprehensive characterization of C-glycosyl flavones in wheat (Triticum aestivum L.) germ using UPLC-PDA-ESI/HRMSn and mass defect filtering. J. Mass Spectrom. 2016, 51, 914–930. [Google Scholar] [CrossRef] [PubMed]
- Piasecka, A.; Sawikowska, A.; Krajewski, P.; Kachlicki, P. Combined mass spectrometric and chromatographic methods for in-depth analysis of phenolic secondary metabolites in barley leaves. J. Mass Spectrom. 2015, 50, 513–532. [Google Scholar] [CrossRef] [PubMed]
- Morais, V.P.; Cabral, F.V.; Fernandes, C.C.; Miranda, M.L.D. Brief review on Piper aduncum L., its bioactive metabolites and its potential to develop bioproducts. Braz. Arch. Biol. Technol. 2023, 66, e23220314. [Google Scholar] [CrossRef]
- Yu, L.; Hu, X.; Xu, R.; Ba, Y.; Chen, X.; Wang, X.; Cao, B.; Wu, X. Amide alkaloids characterization and neuroprotective properties of Piper nigrum L.: A comparative study with fruits, pericarp, stalks and leaves. Food Chem. 2022, 368, 130832. [Google Scholar] [CrossRef]
- Kawasaki, H.; Takasaki, K.; Saito, A.; Goto, K. Calcitonin gene-related peptide acts as a novel vasodilator neurotransmitter in mesenteric resistance vessels of the rat. Nature 1998, 335, 164–167. [Google Scholar] [CrossRef] [PubMed]
- Kawasaki, H.; Nuki, C.; Saito, A.; Takasaki, K. NPY modulates neurotransmission of CGRP-containing vasodilator nerves in rat mesenteric arteries. Am. J. Physiol. 1991, 61, 683–690. [Google Scholar] [CrossRef]
- Balkrishna, A.; Verma, S.; Sharma, P.; Tomer, M.; Srivastava, J.; Varshney, A. Comprehensive and rapid quality evaluation method for the ayurvedic medicine Divya-Swasari-Vati using two analytical techniques: UPLC/QtoF MS and HPLC–DAD. Pharmaceuticals 2021, 14, 297. [Google Scholar] [CrossRef]
- Xu, R.; Chen, X.; Wang, X.; Yu, L.; Zhao, W.; Ba, Y.; Wu, X. Development and validation of an ultra-high performance supercritical fluid chromatography-photodiode array detection-mass spectrometry method for the simultaneous determination of 12 compounds in Piper longum L. Food Chem. 2019, 298, 125067. [Google Scholar] [CrossRef]
- Adams, R.P. Identification of Essential Oil Components by Gas Chromatography/Mass Spectrometry, 4th ed.; Allured Publishing Corporation: Carol Stream, IL, USA, 2017. [Google Scholar]
- Ministério da Saúde. Política e Programa Nacional de Plantas Medicinais e Fitoterápicos; Ministério da Saúde, Secretaria de Ciência, Tecnologia e Insumos Estratégicos, Departamento de Assistência Farmacêutica: Brasília, Brazil, 2016.
- Takeara, R.; Gonçalves, R.; Ayres, V.F.S.; Guimarães, A.C. Biological properties of essential oils from the Piper species of Brazil: A review. In Aromatic and Medicinal Plants: Back to Nature; El-Shemy, H.A., Ed.; IntechOpen: Vienna, Austria, 2017. [Google Scholar]
- Thin, D.B.; Chinh, H.V.; Luong, N.X.; Hoi, T.M.; Dai, D.N.; Ogunwande, I.A. Chemical analysis of essential oils of Piper laosanum and Piper acre (Piperaceae) from Vietnam. J. Essent. Oil-Bear. Plants 2018, 21, 181–188. [Google Scholar] [CrossRef]
- Ministério da Saúde. Farmacopeia Brasileira; ANVISA: Brasília, Brazil, 2019; Volume 6.
- Bouby, N.; Fernandes, S. Mild dehydration, vasopressin and the kidney: Animal and human studies. Eur. J. Clin. Nutr. 2003, 57, S39–S46. [Google Scholar] [CrossRef]
- Duarte, J.D.; Cooper-Dehoff, R.M. Mechanisms for blood pressure lowering and metabolic effects of thiazide and thiazide-like diuretics. Expert Rev. Cardiovasc. Ther. 2010, 8, 793–802. [Google Scholar] [CrossRef]
- Novaes, A.S.; Mota, J.S.; Barison, A.; Veber, C.L.; Negrão, F.J.; Kassuya, C.A.L.; Barros, M.E. Diuretic and antilithiasic activities of ethanolic extract from Piper amalago (Piperaceae). Phytomedicine 2014, 15, 523–528. [Google Scholar] [CrossRef] [PubMed]
- Siegel, G.; Emden, J.; Wenzel, K.; Mironneau, J.; Stock, G. Potassium channel activation in vascular smooth muscle. Adv. Exp. Med. Biol. 1992, 311, 53–72. [Google Scholar] [CrossRef]
- Pereira, R.; Guedes, A.; Silva, G.E. The hydroalcoholic extract of leaves of Piper caldense C. DC. decreases alcohol consumption in rats. Rev. Bras. Plantas Med. 2015, 17, 157–163. [Google Scholar] [CrossRef]
- Gasparotto Junior, A.; Boffo, M.A.; Lourenço, E.L.B.; Stefanello, M.E.A.; Kassuya, C.A.L.; Marques, M.C.A. Natriuretic and diuretic effects of Tropaeolum majus (Tropaeolaceae) in rats. J. Ethnopharmacol. 2009, 122, 517–522. [Google Scholar] [CrossRef]
- Organization for Economic Co-operation and Development. Guidelines for testing of chemical, Guideline 425. In Acute Oral Toxicity: Up and Down-Procedure; OECD, Ed.; OECD: Paris, France, 2008. [Google Scholar]
- Malone, M.H.; Robichaud, R. Hippocratic screen for pure or crude drug materials. J. Nat. Prod. 1962, 25, 320–331. [Google Scholar]
- Gasparotto Junior, A.; Gasparotto, F.M.; Lourenço, E.L.B.; Crestani, S.; Stefanello, M.E.A.; Salvador, M.J.; Silva-Santos, J.E.; Marques, M.C.A.; Kassuya, C.A.L. Antihypertensive effects of isoquercitrin and extracts from Tropaeolum majus L.: Evidence for the inhibition of angiotensin converting enzyme. J. Ethnopharmacol. 2011, 134, 363–372. [Google Scholar] [CrossRef]





| Peak | RT (min) | UV (λmax) | MF | Negative Mode (m/z) | Positive Mode (m/z) | Compound | AE | HE | ||
|---|---|---|---|---|---|---|---|---|---|---|
| MS [M-H]− | MS/MS | MS [M+H]+ | MS/MS | |||||||
| 1 | 1.2 | - | C5H10O6 | 165.0405 | - | - | - | Pentonic acid | X | X |
| 2 | 1.4 | - | C6H12O6 | 179.0565 | - | 203.0537 Na | - | Hexose | X | |
| 3 | 1.6 | - | C6H8O7 | 191.0203 | - | - | - | Citric acid | X | X |
| 4 | 1.9 | 277 | C10H13NO2 | 178.0881 | - | 180.1024 | 163 | O-Methyl-phenylalanine | X | X |
| 5 | 7.4 | 270, 280, 287 | C11H12N2O2 | 203.0825 | - | 205.0978 | 188, 170, 159, 146 | Tryptophan | X | X |
| 6 | 15.4 | 269, 337 | C27H30O15 | 593.1527 | - | 595.1658 | 457, 409, 403, 391, 379, 355, 337, 325, 307, 295 | Apigenin di-C-hexoside | X | X |
| 7 | 15.4 | 283 | C14H19NO2 | 232.1349 | - | 234.1486 | 217, 206, 188, 175, 161 | Unknown | X | |
| 8 | 16.1 | 270, 335 | C27H30O15 | 593.1515 | 503, 473, 413, 383, 353 | 595.1661 | 457, 439, 421, 409, 379, 355, 337, 325, 295 | Apigenin di-C-hexoside | X | X |
| 9 | 16.8 | 270, 335 | C27H30O15 | 593.1529 | 503, 473, 431, 413, 383, 353, 341, 311 | 595.1681 | 415, 397, 379, 337, 313, 283 | Apigenin C-hexosyl O-hexoside | X | X |
| 10 | 16.9 | 283 | C14H21NO2 | 234.1500 | - | 236.1654 | 219, 201, 177, 163, 149, 145 | Unknown | X | |
| 11 | 17.3 | 270, 337 | C27H30O15 | 593.1527 | 503, 473, 431, 413, 353, 341, 311, 297, | 595,1657 | 415, 397, 379, 367, 361, 349, 337, 313, 283 | Apigenin C-hexosyl O-hexoside | X | X |
| 12 | 17.9 | 271, 336 | C26H28O14 | 563.1411 | 413 | 565.1558 | 529, 511, 493, 475, 451, 445, 433, 427, 421, 409, 403, 397, 391, 379, 355, 349, 337, 325, 295 | Apigenin O-pentosyl di-C-hexoside | X | X |
| 13 | 19 | 270, 333 | C26H28O14 | 563.1415 | - | 565.1560 | 385, 367, 349, 337, 325, 321, 313, 283 | Apigenin O-hexosyl C-pentosyl C-hexoside | X | X |
| 14 | 19.9 | 268, 337 | C21H20O10 | 431.1001 | - | 433.1130 | 379, 361, 341, 337, 333, 323, 313, 309, 283 | Apigenin C-hexoside | X | X |
| 15 | 21.9 | 270, 337 | C38H40O19 | 799.2107 | - | 801.2248 | 433, 415, 397, 379, 369, 337, 313, 283, 207, 175 | Apigenin O- sinapoyl- hexosyl C-hexoside | X | X |
| 16 | 22.6 | 272, 334 | C37H38O18 | 769.1997 | - | 771.2157 | 475, 433, 415, 397, 379, 367, 361, 349, 337, 313, 283, 177 | Apigenin O-feruloyl-hexosyl C-hexoside | X | X |
| 17 | 23.0 | 271, 322 | C36H36O17 | 739.1897 | - | 741.2017 | 415, 397, 379, 367, 361, 349, 337, 313, 283, 147 | Apigenin O-coumaroyl-hexosyl C-hexoside | X | X |
| 18 | 26.2 | 286, 319 | C18H19NO4 | 312.1254 | 314.1392 | 177, 149 | N-trans-feruloyl tyramine | X | ||
| 19 | 30.6 | 271, 329 | C15H17NO4 | - | - | 276.1233 | 205, 190, 175, 162 | Methoxy-methylenedioxy cis-cinnamoyl pyrrolidine | X | X |
| 20 | 31.8 | 288, 352 | C15H17NO4 | - | - | 276.1230 | 205, 190, 175, 162 | Methoxy-methylenedioxy trans-cinnamoyl pyrrolidine | X | X |
| 21 | 34.2 | 301 | C30H34N2O8 | - | - | 551.2383 | 223, 152 | Cyclobutene-2,4-bis-(1,3-benzodioxol-5-methoxy-6-yl)-1,3-dicarboxapyrrolidide | X | X |
| 22 | 34.5 | 304 | C30H34N2O8 | - | - | 551.2393 | 205, 190, 175, 162 | Derivative dimeric of Methoxy-methylenedioxy trans-cinnamoyl pyrrolidine | X | X |
| 23 | 35 | 277 | C18H21NO3 | - | - | 300.1594 | 229, 187, 165, 157, 150 | N-[7-(3′,4′)-methylenedioxyphenyl-2,4, heptadienoyl]- pyrrolidine | X | X |
| 24 | 35.2 | 274 | C18H21NO3 | - | - | 300.1587 | 246, 229, 187, 165, 150 | N-[7-(3′,4′)-methylenedioxyphenyl-2,4, heptadienoyl]- pyrrolidine | X | X |
| 25 | 35.3 | 280 | C18H21NO3 | - | - | 300.1595 | 272, 258, 229, 201, 199, 187, 171, 161, 157, 150 | N-[7-(3′,4′)-methylenedioxyphenyl-2,4, heptadienoyl]- pyrrolidine | X | X |
| 26 | 35.8 | 294, 304 | C33H38N2O7 | - | - | 575.2339 | 300, 276, 205, 190, 175, 162 | Dimeric amide (methoxy-4′,5′-methylenedioxy-cinnamoyl pyrrolidide and N-[7-(3′,4′)-methylenedioxyphenyl-2,4, heptadienoyl]- pyrrolidine) | X | X |
| 27 | 36.4 | 294, 304 | C33H38N2O7 | - | - | 575.2741 | 391, 300, 276, 231, 205, 166,504, 391, 302, 276, 231, 205, 190, 165 | Dimeric amide (methoxy-4′,5′-methylenedioxy-cinnamoyl pyrrolidide and N-[7-(3′,4′)-methylenedioxyphenyl-2,4, heptadienoyl]- pyrrolidine) | X | |
| 28 | 36.8 | 293, 304 | C33H38N2O7 | - | - | 575.2746 | 504, 405, 300, 276, 205, 152 | Dimeric amide | X | |
| 29 | 37.1 | - | C18H30O3 | 293.2129 | 275, 249, 223, 205, 195, 167 | - | - | Hydroxy-octadecatrienoic acid | X | |
| 30 | 32.4 | 300 | C20H25NO3 | - | - | 328.1909 | 300, 299, 199, 187, 161 | Methylenedioxyphenyl-oxo-nonadienyl pyrrolidine (brachyamide B) | X | |
| 31 | 37.9 | 300 | C20H27NO3 | - | - | 330.2063 | 288, 259, 241, 208, 154 | Methylenedioxyphenyl-oxo nonenyl pyrrolidine (tricholein) | X | |
| 32 | 37.9 | 310 | C34H38N2O6 | - | - | 571.2799 | 500, 472, 458, 429, 401, 300, 272, 223, 201, 187, 175, 161, 152 | Nigramide derivative | X | |
| 33 | 38.0 | - | C18H32O3 | 295.2289 | 277, 195, 177 | - | - | Hydroxy-octadecadienoic acid | X | |
| 34 | 39.6 | 307 | C22H29NO3 | - | - | 356.2216 | 328, 285, 257, 234, 187, 161 | Methylenedioxyphenyl-oxo- undecadienyl—pyrrolidine | X | |
| 35 | 39.8 | 299, 408 | C25H33NO4 | - | - | 412.2473 | 276, 205, 190, 165 | Unknown | X | |
| 36 | 40.1 | 307 | C22H31NO3 | - | - | 358.2377 | 316, 287, 236, 177, 168, 161, 154 | Methylenedioxyphenyl-oxo- undecenyl—pyrrolidine | X | |
| 37 | 40.4 | - | C24H31NO3 | - | - | 382.2374 | 340, 260, 227, 213, 201, 197, 187, 173 161, 157, 154 | Methylenedioxyphenyl-oxo- tridecatrienyl—pyrrolidine (Brachyamide A) | X | |
| 38 | 40.9 | - | C20H29NO | - | - | 310.3100 | - | Unknown | X | |
| 39 | 41.4 | - | C18H31NO | - | - | 278.2476 | 236, 168, 154, 149 | Methylpropyl-tetradecatrienamide | ||
| 40 | 41.6 | 300 | C24H33NO3 | - | - | 384.2525 | 313, 262, 175, 161 | Methylenedioxyphenyl-oxo- tridecadienyl—pyrrolidine | X | |
| 41 | 42.1 | 307 | C24H35NO3 | 386.2685 | 356, 344, 315, 264, 210, 182, 177, 154, 149 | Methylenedioxyphenyl-oxo- tridecenyl—pyrrolidine | X | |||
| 42 | 42.2 | - | C22H41NO | - | - | 336.3258 | 294, 280, 266, 252, 238, 224, 210, 196, 182, 168, 154 | N-isobutyl octadecadienamide | X | |
| 43 | 42.6 | - | C24H41NO | - | - | 360.3251 | 318, 294, 264,250, 247, 246, 236, 232, 224, 208, 204, 196, 194, 182, 166, 154 | Unknown (amide) | X | |
| 44 | 42.8 | - | C22H35NO | - | - | 330.2794 | 288, 259, 252, 246, 217, 180, 166,154 | Oxo-octadecatetraenyl- pyrrolidine | X | |
| 45 | 43.8 | - | C20H35NO | - | - | 306.2792 | 278, 264, 250, 238, 223, 210, 208, 194, 180, 166, 154 | N-Methylpropyl-hexadecatrienamide | X | |
| 46 | 44.3 | - | C22H37NO | - | - | 332.2946 | 304, 290, 261, 236, 194, 180, 166, 154 | Oxo-octadecatrienyl- pyrrolidine | X | |
| 47 | 44.9 | - | C22H39NO | - | - | 334.3101 | 292, 278, 263, 250, 238, 224, 210, 196, 182, 168, 154 | Oxo-octadecadienyl- pyrrolidine | X | |
| Peak | RT (min) | RIa | RIb | Compound | Peak Area Rel. (%) |
|---|---|---|---|---|---|
| 1 | 18.35 | 930 | 932 | α-Pinene * | 6.17 |
| 2 | 19.14 | 942 | 946 | Camphene * | 1.1 |
| 3 | 20.91 | 969 | 974 | β-Pinene * | 3.77 |
| 4 | 21.78 | 982 | 988 | β-Myrcene * | 3.31 |
| 5 | 22.70 | 996 | 1002 | α-Phellandrene | 0.41 |
| 6 | 23.74 | 1011 | 1020 | p-Cymene * | 0.98 |
| 7 | 24.36 | 1020 | 1025 | β-Phellandrene * | 8.12 |
| 8 | 24.44 | 1021 | 1024 | Limonene * | 1.58 |
| 9 | 28.88 | 1083 | 1095 | Linalol | 0.93 |
| 10 | 33.36 | 1146 | 1165 | Camphol | 0.33 |
| 11 | 33.75 | 1152 | 1183 | Cryptone | 0.59 |
| 12 | 34.28 | 1159 | 1174 | Terpinen-4-ol * | 0.24 |
| 13 | 35.02 | 1170 | 1186 | α-Terpineol * | 0.21 |
| 14 | 46.17 | 1334 | - | NI | 1.83 |
| 15 | 48.80 | 1374 | 1374 | α-Copaene | 0.31 |
| 16 | 49.57 | 1386 | 1389 | β-Elemene | 0.88 |
| 17 | 51.49 | 1416 | 1417 | β-Caryophyllene * | 3.97 |
| 18 | 52.64 | 1434 | 1439 | Aromandendrene | 0.75 |
| 19 | 53.44 | 1446 | 1452 | α-Humulene * | 0.69 |
| 20 | 53.80 | 1452 | 1457 | β-Santalene | 0.43 |
| 21 | 54.77 | 1467 | 1478 | γ-Muurolene | 2.05 |
| 22 | 55.10 | 1472 | 1484 | Germacrene D | 0.78 |
| 23 | 55.87 | 1484 | 1496 | Valencene * | 0.87 |
| 24 | 56.11 | 1487 | 1500 | Bicyclogermacrene | 11.00 |
| 25 | 56.30 | 1490 | 1500 | α-Muurolene | 0.85 |
| 26 | 56.87 | 1499 | 1505 | β-Bisabolene | 2.90 |
| 27 | 57.13 | 1503 | 1513 | γ-Cadinene | 1.46 |
| 28 | 57.36 | 1506 | 1521 | Calamenene | 0.33 |
| 29 | 57.74 | 1511 | 1522 | δ-Cadinene | 4.49 |
| 30 | 58.75 | 1526 | 1537 | α-Cadinene | 0.23 |
| 31 | 60.15 | 1545 | 1559 | Germacrene B | 3.47 |
| 32 | 60.80 | 1554 | 1567 | Palustrol | 0.35 |
| 33 | 60.99 | 1557 | 1577 | Spathulenol * | 9.21 |
| 34 | 61.44 | 1563 | 1582 | Caryophyllene oxide * | 1.15 |
| 35 | 61.73 | 1568 | 1590 | Globulol * | 1.04 |
| 36 | 62.25 | 1575 | 1592 | Viridiflorol * | 0.42 |
| 37 | 62.43 | 1577 | 1595 | Cubeban-11-ol | 0.65 |
| 38 | 63.10 | 1587 | 1602 | Ledol | 0.47 |
| 39 | 63.92 | 1598 | 1599 | Widdrol | 0.21 |
| 40 | 64.55 | 1606 | 1630 | Muurola-4,10(14)-dien-1β-ol | 0.22 |
| 41 | 64.83 | 1610 | 1618 | 1,10-di-epi-Cubenol | 0.29 |
| 42 | 65.61 | 1620 | 1640 | epi-α-Muurolol | 3.14 |
| 43 | 65.81 | 1623 | 1644 | δ-Cadinol | 0.57 |
| 44 | 65.98 | 1625 | 1645 | Cubenol | 0.20 |
| 45 | 66.17 | 1627 | 1649 | β-Eudesmol * | 0.67 |
| 46 | 66.51 | 1632 | 1652 | α-Cadinol | 4.53 |
| 47 | 67.05 | 1639 | 1685 | ent-Germacra-4(15),5,10(14)-trien-1α-ol | 0.21 |
| 17.02 | ||||
| 10.64 | ||||
| 36.17 | ||||
| 34.04 | ||||
| 2.13 | ||||
| Parameters | Control | AE | AE | HE | HE | VO | VO | HCTZ |
|---|---|---|---|---|---|---|---|---|
| 30 mg/kg | 300 mg/kg | 30 mg/kg | 300 mg/kg | 30 mg/kg | 300 mg/kg | |||
| DAY 3 | ||||||||
| Urine volume (mL/100 g) | 0.67 ± 0.02 | 1.17 ± 0.16 a | 1.04 ± 0.02 a | 1.29 ± 0.07 a | 1.18 ± 0.08 a | 0.80 ± 0.06 | 0.85 ± 0.02 | 1.20 ± 0.12 a |
| DAY 7 | ||||||||
| Urine volume (mL/100 g) | 3.69 ± 0.30 | 7.77 ± 0.98 a | 5.06 ± 0.26 | 8.98 ± 0.86 a | 5.46 ± 0.62 | 2.80 ± 0.62 | 4.70 ± 0.34 | 3.73 ± 0.48 |
| Parameters | Control | AE | AE | HE | HE | VO | VO | HCTZ |
|---|---|---|---|---|---|---|---|---|
| 30 mg/kg | 300 mg/kg | 30 mg/kg | 300 mg/kg | 30 mg/kg | 300 mg/kg | |||
| 8 h | ||||||||
| Urea (mg/dL) | 2141 ± 58.01 | 1366 ± 148.6 a | 1663 ± 118.9 | 1237 ± 11.81 a | 1434 ± 40.9 a | 2676 ± 259.6 | 2181 ± 148.1 | 1442 ±164.5 a |
| Creatinine (mg/dL) | 25.29 ± 0.18 | 16.96 ±1.18 a | 19.73 ±0.95 | 15.81 ± 0.26 a | 17.83 ± 0.78 a | 29.52 ± 4.14 | 27.67 ±1.47 | 16.06 ±1.92 a |
| ElCa++ | 9.90 ± 0.27 | 6.84 ± 1.00 | 9.51 ± 1.04 | 9.27 ± 2.37 | 6.98 ± 0.66 | 7.09 ± 0.60 | 7.98 ± 0.59 | 7.51 ± 0.14 |
| ElMg++ | 2.99 ± 0.66 | 2.39 ± 1.40 | 4.13 ± 1.23 | 3.68 ± 1.70 | 1.25 ± 0.36 | 7.87 ± 0.70 a | 6.07 ± 0.81 | 5.98 ± 0.89 |
| ElNa+ | 163.7 ± 12.55 | 175 ± 1.89 | 172.3 ± 6.58 | 154.5 ± 5.48 | 135 ± 11.82 | 202.3 ± 27.26 | 157.3 ± 3.14 | 169.3 ± 4.86 |
| ElK+ | 149.2 ± 2.06 | 116.1 ± 10.48 | 132.1 ± 8.15 | 106 ± 0.36 a | 111.8 ± 4.75 a | 153.9 ±13.89 | 142.3 ± 9.82 | 110 ± 7.99 a |
| ElCl− | 200.7 ± 10.93 | 201.3 ± 4.69 | 194.7 ± 6.52 | 171.7 ± 3.32 | 156.1 ± 11.79 | 233.3 ± 30.96 | 189.7 ± 1.99 | 194.2 ± 9.20 |
| 24 h | ||||||||
| Urea | 2156 ± 112.3 | 1788 ± 176.8 | 2659 ± 293.8 | 1851 ± 222.5 | 2281 ± 236.7 | 3211 ± 251.5 a | 2445 ± 185.6 | 1952 ± 78.57 |
| Creatinine | 20.67 ±1.48 | 17.14 ±1.22 | 25.23 ± 2.10 | 14.54 ± 3.52 | 21.03 ±1.38 | 36.88 ±7.64 a | 25.29 ±1.65 | 17.06 ±0.70 |
| ElCa++ | 4.07 ± 0.21 | 4.11 ± 0.24 | 7.18 ± 1.08 a | 5.95 ± 0.59 | 5.23 ± 0.61 | 4.83 ± 0.65 | 3.94 ± 0.43 | 3.59 ± 0.37 |
| ElMg++ | 0.68 ± 0.06 | 0.58 ± 0.27 | 0.53 ± 0.11 | 1.41 ± 0.68 | 0.30 ± 0.06 | 1.08 ± 0.32 | 1.60 ± 0.67 | 0.51 ± 0.02 |
| ElNa+ | 94.67 ± 11.11 | 89.33 ± 6.11 | 117.3 ± 7.88 | 89 ± 7.95 | 104 ± 10.48 | 155.3 ± 28.05 a | 98.67 ± 0.91 | 84.33 ± 1.05 |
| ElK+ | 170.7 ± 7.88 | 142.5 ± 12.41 | 204.9 ± 19.94 | 144.9 ± 177.2 | 177.2 ± 18.68 | 224.1 ± 25.02 | 178.6 ± 2.30 | 148.4 ± 7.09 |
| ElCl− | 154.6 ± 11.25 | 124.1 ± 9.46 | 162.1 ± 9.86 | 124.7 ± 10.54 | 151.1 ± 14.31 | 217.9 ± 35.26 a | 151.6 ± 2.42 | 130.6 ± 3.06 |
| Parameters | Control | AE | AE | HE | HE | VO | VO | HCTZ |
|---|---|---|---|---|---|---|---|---|
| 30 mg/kg | 300 mg/kg | 30 mg/kg | 300 mg/kg | 30 mg/kg | 300 mg/kg | |||
| DAY 3 | ||||||||
| Urine volume (mL/100 g) | 6.16 ± 0.66 | 5.17 ± 0.22 | 4.08 ± 0.11 | 6.64 ± 0.39 | 3.32 ± 0.29 | 2.46 ± 0.59 | 4.14 ± 0.09 | 6.35 ± 1.05 |
| DAY 7 | ||||||||
| Urine volume (mL/100 g) | 3.68 ± 0.68 | 9.87 ± 1.94 a | 8.26 ± 2.49 | 5.76 ± 0.76 | 4.43 ± 0.45 | 15.67 ± 1.46 a | 10.24 ± 2.48 a | 13.54 ± 2.05 a |
| Parameters | Control | AE | AE | HE | HE | VO | VO | HCTZ |
|---|---|---|---|---|---|---|---|---|
| 30 mg/kg | 300 mg/kg | 30 mg/kg | 300 mg/kg | 30 mg/kg | 300 mg/kg | |||
| DAY 3 | ||||||||
| Urea (mg/dL) | 3370 ± 228.3 | 4001 ± 113.7 | 5020 ± 234.9 | 3777 ± 141.1 | 4566 ± 295.6 | 5724 ± 931.6 a | 4519 ± 110 | 2853 ±322.4 |
| Creatinine (mg/dL) | 8.62 ± 0.92 | 3.64 ± 0.33 | 9.25 ± 3.18 | 11.69 ± 5.68 | 28.16 ± 5.57 | 71.64 ± 31.06 a | 22.04 ± 3.23 | 8.65 ± 1.53 |
| ElCa++ | 1.01 ± 0.17 | 3.3 ± 0.33 | 2.63 ± 0.17 | 2.28 ± 0.14 | 3.42 ± 0.36 | 2.2 ± 0.43 | 2.25 ± 0.11 | 1.12 ± 0.44 |
| ElMg++ | 0.37 ± 0.04 | 0.26 ± 0.03 | 0.22 ± 0.02 | 0.17 ± 0.01 | 0.17 ± 0.02 | 0.41 ± 0.08 | 0.25 ± 0.05 | 1.03 ± 0.38 |
| ElNa+ | 71 ± 4.56 | 77 ± 6.22 | 105 ± 75.33 | 75.33 ± 5.85 | 99.33 ± 6.98 | 111.7 ± 18.34 | 91.33 ± 1.72 | 52.67 ± 4.93 |
| ElK+ | 203.9 ± 13.76 | 277.7 ± 8.53 | 340.6 ±9.57 a | 267.6 ± 11.98 | 320.9 ± 23.18 a | 332.7 ± 58.56 a | 262.7 ± 1.04 | 152 ± 18.1 |
| ElCl− | 122.5 ± 3.87 | 153. 5 ± 8.25 | 200.2 ±14.61 | 154.8 ± 8.40 | 208 ± 16.55 | 179.1 ± 25.76 | 160 ± 1.68 | 81.83 ± 9.53 |
| DAY 7 | ||||||||
| Urea (mg/dL) | 848.5 ± 119.3 | 2544 ± 441.9 a | 208 ± 383.6 | 2325 ± 166.3 | 3000 ± 185.1 a | 773.1± 84.11 | 1747 ± 533.4 | 878. ± 36.38 |
| Creatinine (mg/dL) | 13.27 ± 1.44 | 3.82 ± 1.00 | 2.37 ± 0.31 | 2.45 ± 0.35 | 4.36 ± 0.82 | 13.23 ± 2.69 | 11.11 ± 1.71 | 11.62 ± 2.75 |
| ElCa++ | 4.64 ± 1.34 | 2.02 ± 0.72 | 2.24 ± 0.28 | 2.12 ± 0.37 | 3.81 ± 0.71 | 0.6 ± 0.03 a | 2.05 ± 1.09 | 0.49 ± 0.03 a |
| ElMg++ | 0.26 ± 0.04 | 0.3 ± 0.08 | 0.25 ± 0.07 | 0.26 ± 0.01 | 0.60 ± 0.17 | 0.19 ± 0.01 | 0.32 ± 0.08 | 0.23 ± 0.03 |
| ElNa+ | 14 ± 1.67 | 83.33 ± 7.69 a | 83.67 ± 12.27 a | 76 ± 6.70 a | 97.33 ± 11.78 a | 14.33 ± 1.47 | 42.67 ±16.27 | 22.67 ± 1.52 |
| ElK+ | 27.64 ± 1.76 | 248.9 ± 20.22 a | 258.9 ± 38.22 a | 279.4 ± 17.49 a | 317.1 ± 35.84 a | 29.92 ± 5.04 | 107.4 ±47.14 | 38.03 ± 2.99 |
| ElCl− | 20.47 ± 2.48 | 180.6 ± 14.37 a | 198 ± 29.38 a | 199.5 ± 11.02 a | 230.8 ± 30.25 a | 19 ± 2.26 | 71.7 ± 31.51 | 30.5 ± 3.10 |
| Parameters | Control | AE | AE | HE | HE | VO | VO | HCTZ |
|---|---|---|---|---|---|---|---|---|
| 30 mg/kg | 300 mg/kg | 30 mg/kg | 300 mg/kg | 30 mg/kg | 300 mg/kg | |||
| Creatinine (mg/dL) | 0.42 ± 0.07 | 0.35 ± 0.04 | 0.35 ± 0.04 | 0.32 ± 0.03 | 0.35 ± 0.005 | 0.40 ± 0.06 | 0.46 ± 0.04 | 0.36 ± 0.04 |
| Urea | 43.06 ± 2.04 | 37.17 ± 3.59 | 38.90 ± 2.52 | 40.46 ± 4.34 | 38.58 ± 1.07 | 41.82 ± 2.13 | 40.23 ± 1.51 | 42.46 ± 2.64 |
| (mg/dL) | ||||||||
| Sodium | 128.60 ± 4.20 | 132.20 ± 2.60 | 136.70 ± 2.29 | 136.40 ± 1.94 | 137.20 ± 1.53 | 130.30 ± 3.25 | 134.20 ± 1.40 | 135.20 ± 4.20 |
| (mmol/L) | ||||||||
| Calcium | 9.42 ± 0.73 | 9.41 ± 0.26 | 10 ± 0.18 | 9.77 ± 0.38 | 9.92 ± 0.46 | 9.28 ± 0.56 | 10 ± 0.24 | 9.39 ± 0.52 |
| (mg/dL) | ||||||||
| Potassium (mmol/L) | 4.16 ± 0.25 | 4.58 ± 0.40 | 4.50 ± 0.12 | 4.42 ± 0.35 | 4.73 ± 0.51 | 4.86 ± 0.33 | 4.20 ± 0.19 | 4.09 ± 0.28 |
| Magnesium (mg/dL) | 2.16 ± 0.15 | 2.46 ± 0.21 | 2.50 ± 0.08 | 2.42 ± 0.15 | 2.40 ± 0.19 | 2.34 ± 0.13 | 2.26 ± 0.10 | 2.43 ± 0.15 |
| Parameter | Control | AE | AE | HE | HE | VO | VO | HCTZ |
|---|---|---|---|---|---|---|---|---|
| 30 mg/kg | 300 mg/kg | 30 mg/kg | 300 mg/kg | 30 mg/kg | 300 mg/kg | |||
| Segment (ms) | ||||||||
| PR | 42 ± 5.51 | 41.80 ± 3.05 | 50 ± 7.97 | 39.50 ± 2.60 | 42.20 ± 4.83 | 38 ± 2.51 | 35.40 ± 5.66 | 37 ± 3.14 |
| QRS | 43 ± 0.95 | 39.40 ± 1.50 | 38.83 ± 1.70 | 41.50 ± 1.19 | 42 ± 1.67 | 40.75 ± 1.49 | 42 ± 2.07 | 44.33 ± 2.11 |
| QT | 77± 6.23 | 74.80 ± 1.74 | 76.67 ± 4.93 | 70.25 ± 3.79 | 85.60 ± 4.23 | 72.75 ± 1.03 | 82.20 ± 2.76 | 81 ± 4.22 |
| QTC | 145.40 ± 12.02 | 145.80± 0.95 | 141.70 ± 10.37 | 134.80 ± 9.01 | 175.60 ± 11.46 | 135 ± 1.47 | 143.60 ± 4.91 | 146.20 ± 5.73 |
| Wave (mv) | ||||||||
| P | 0.046 ± 0.007 | 0.058± 0.014 | 0.036 ± 0.007 | 0.072 ± 0.021 | 0.054 ± 0.012 | 0.040 ± 0.007 | 0.058 ± 0.007 | 0.036 ± 0.008 |
| Q | −0.022 ± 0.005 | −0.010 ± 0.006 | −0.00 ± 0.006 | −0.010 ± 0.004 | −0.032 ± 0.003 | −0.032 ± 0.014 | −0.016 ± 0.008 | −0.016 ± 0.005 |
| R | 0.304 ± 0.027 | 0.286 ± 0.025 | 0.275 ± 0.016 | 0.272 ± 0.021 | 0.338 ± 0.046 | 0.320 ± 0.049 | 0.296 ± 0.040 | 0.236 ± 0.023 |
| S | 0.004 ± 0.025 | 0.012 ± 0.032 | 0.074 ± 0.029 | 0.065 ± 0.025 | 0.065 ± 0.025 | 0.0425 ± 0.023 | 0.044 ± 0.027 | −0.040 ± 0.026 |
Disclaimer/Publisher’s Note: The statements, opinions and data contained in all publications are solely those of the individual author(s) and contributor(s) and not of MDPI and/or the editor(s). MDPI and/or the editor(s) disclaim responsibility for any injury to people or property resulting from any ideas, methods, instructions or products referred to in the content. |
© 2023 by the authors. Licensee MDPI, Basel, Switzerland. This article is an open access article distributed under the terms and conditions of the Creative Commons Attribution (CC BY) license (https://creativecommons.org/licenses/by/4.0/).
Share and Cite
Monteiro, L.M.; Klider, L.M.; Marques, A.A.M.; Farago, P.V.; Emiliano, J.; Souza, R.I.C.; dos Santos, A.C.; dos Santos, V.L.P.; Wang, M.; Cassemiro, N.S.; et al. The Cardiorenal Effects of Piper amalago Are Mediated by the Nitric Oxide/Cyclic Guanosine Monophosphate Pathway and the Voltage-Dependent Potassium Channels. Pharmaceuticals 2023, 16, 1630. https://doi.org/10.3390/ph16111630
Monteiro LM, Klider LM, Marques AAM, Farago PV, Emiliano J, Souza RIC, dos Santos AC, dos Santos VLP, Wang M, Cassemiro NS, et al. The Cardiorenal Effects of Piper amalago Are Mediated by the Nitric Oxide/Cyclic Guanosine Monophosphate Pathway and the Voltage-Dependent Potassium Channels. Pharmaceuticals. 2023; 16(11):1630. https://doi.org/10.3390/ph16111630
Chicago/Turabian StyleMonteiro, Luciane M., Lislaine M. Klider, Aline A. M. Marques, Paulo V. Farago, Janaína Emiliano, Roosevelt I. C. Souza, Ariany C. dos Santos, Vera L. P. dos Santos, Mei Wang, Nadla S. Cassemiro, and et al. 2023. "The Cardiorenal Effects of Piper amalago Are Mediated by the Nitric Oxide/Cyclic Guanosine Monophosphate Pathway and the Voltage-Dependent Potassium Channels" Pharmaceuticals 16, no. 11: 1630. https://doi.org/10.3390/ph16111630
APA StyleMonteiro, L. M., Klider, L. M., Marques, A. A. M., Farago, P. V., Emiliano, J., Souza, R. I. C., dos Santos, A. C., dos Santos, V. L. P., Wang, M., Cassemiro, N. S., Silva, D. B., Khan, I. A., Gasparotto Junior, A., & Manfron, J. (2023). The Cardiorenal Effects of Piper amalago Are Mediated by the Nitric Oxide/Cyclic Guanosine Monophosphate Pathway and the Voltage-Dependent Potassium Channels. Pharmaceuticals, 16(11), 1630. https://doi.org/10.3390/ph16111630

