Anti-Colorectal Cancer Effects of a Novel Camptothecin Derivative PCC0208037 In Vitro and In Vivo
Abstract
1. Introduction
2. Results
2.1. PCC0208037 Suppressed the Proliferation of Colorectal Cancer Cells
2.2. Molecular Docking of PCC0208037
2.3. PCC0208037 Inhibited Topo I Enzyme Activity
2.4. PCC0208037 Induced G2/M Phase Cell Cycle Arrest and Cell Apoptosis
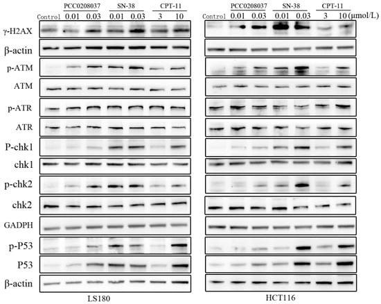
2.5. Effects of PCC0208037 on Signaling Molecules Related to DNA Damage and Apoptosis in CRC Cells
2.6. PCC0208037 Demonstrated Good Anti-Tumor Activity In Vivo
2.7. Preliminary Toxicological Evaluation of PCC0208037 in Mice
2.8. Pharmacokinetics and Tissue Distribution Study
3. Discussion
4. Materials and Methods
4.1. Drugs and Chemicals
4.2. Synthesis of PCC0208037
4.3. Materials
4.4. Cell Lines and Animals
4.5. Cell Viability Assay
4.6. Cell Proliferation Assay
4.7. Molecular Docking Studies
4.8. Topoisomerase I Activity Assay
4.9. Flow Cytometry Assay
4.10. Western Blot Assay
4.11. Colorectal Cancer Xenograft Model
4.12. PCC0208037- and CPT-11-Induced Toxicity in Mice
4.13. Pharmacokinetic Study and Tissue Distribution Study
5. Conclusions
Author Contributions
Funding
Institutional Review Board Statement
Informed Consent Statement
Data Availability Statement
Conflicts of Interest
References
- Siegel, R.L.; Miller, K.D.; Jemal, A. Cancer statistics, 2020. CA Cancer J. Clin. 2020, 70, 7–30. [Google Scholar] [CrossRef] [PubMed]
- Chakrabarti, S.; Peterson, C.Y.; Sriram, D.; Mahipal, A. Early stage colon cancer: Current treatment standards, evolving paradigms, and future directions. World J. Gastrointest. Oncol. 2020, 12, 808–832. [Google Scholar] [CrossRef] [PubMed]
- National Cancer Center; China, Expert Group of the Development of China Guideline for the Screening; Early Detection and Early Treatment of Colorectal Cancer. China guideline for the screening, early detection and early treatment of colorectal cancer (2020, Beijing). Zhonghua Zhong Liu Za Zhi 2021, 43, 16–38. [Google Scholar] [CrossRef]
- Benson, A.B.; Venook, A.P.; Al-Hawary, M.M.; Cederquist, L.; Chen, Y.J.; Ciombor, K.K.; Cohen, S.; Cooper, H.S.; Deming, D.; Engstrom, P.F.; et al. NCCN Guidelines Insights: Colon Cancer, Version 2.2018. J. Natl. Compr. Canc. Netw. 2018, 16, 359–369. [Google Scholar] [CrossRef]
- Rtibi, K.; Selmi, S.; Grami, D.; Sebai, H.; Amri, M.; Marzouki, L. Irinotecan chemotherapy-induced intestinal oxidative stress: Underlying causes of disturbed mucosal water and electrolyte transport. Pathophysiology 2017, 24, 275–279. [Google Scholar] [CrossRef] [PubMed]
- Stein, A.; Voigt, W.; Jordan, K. Chemotherapy-induced diarrhea: Pathophysiology, frequency and guideline-based management. Ther. Adv. Med. Oncol. 2010, 2, 51–63. [Google Scholar] [CrossRef]
- Reyhanoglu, G.; Smith, T. Irinotecan. In StatPearls; Treasure Island: Las Vegas, NV, USA, 2021. [Google Scholar]
- de Man, F.M.; Goey, A.K.L.; van Schaik, R.H.N.; Mathijssen, R.H.J.; Bins, S. Individualization of Irinotecan Treatment: A Review of Pharmacokinetics, Pharmacodynamics, and Pharmacogenetics. Clin. Pharm. 2018, 57, 1229–1254. [Google Scholar] [CrossRef]
- Kciuk, M.; Marciniak, B.; Kontek, R. Irinotecan-Still an Important Player in Cancer Chemotherapy: A Comprehensive Overview. Int. J. Mol. Sci. 2020, 21, 4919. [Google Scholar] [CrossRef]
- Brandi, G.; Dabard, J.; Raibaud, P.; Di Battista, M.; Bridonneau, C.; Pisi, A.M.; Morselli Labate, A.M.; Pantaleo, M.A.; De Vivo, A.; Biasco, G. Intestinal microflora and digestive toxicity of irinotecan in mice. Clin. Cancer Res. 2006, 12, 1299–1307. [Google Scholar] [CrossRef]
- Fan, S.; Cao, Y.X.; Li, G.Y.; Lei, H.; Attiogbe, M.K.I.; Yao, J.C.; Yang, X.Y.; Liu, Y.J.; Hei, Y.Y.; Zhang, H.; et al. F10, a new camptothecin derivative, was identified as a new orally-bioavailable, potent antitumor agent. Eur. J. Med. Chem. 2020, 202, 112528. [Google Scholar] [CrossRef]
- Prijovich, Z.M.; Burnouf, P.A.; Chou, H.C.; Huang, P.T.; Chen, K.C.; Cheng, T.L.; Leu, Y.L.; Roffler, S.R. Synthesis and Antitumor Properties of BQC-Glucuronide, a Camptothecin Prodrug for Selective Tumor Activation. Mol. Pharm. 2016, 13, 1242–1250. [Google Scholar] [CrossRef] [PubMed]
- Wu, D.; Shi, W.; Zhao, J.; Wei, Z.; Chen, Z.; Zhao, D.; Lan, S.; Tai, J.; Zhong, B.; Yu, H. Assessment of the chemotherapeutic potential of a new camptothecin derivative, ZBH-1205. Arch. Biochem. Biophys. 2016, 604, 74–85. [Google Scholar] [CrossRef] [PubMed]
- Dekker, E.; Tanis, P.J.; Vleugels, J.L.A.; Kasi, P.M.; Wallace, M.B. Colorectal cancer. Lancet 2019, 394, 1467–1480. [Google Scholar] [CrossRef] [PubMed]
- Recio-Boiles, A.; Cagir, B. Colon Cancer. In StatPearls; Treasure Island: Las Vegas, NV, USA, 2021. [Google Scholar]
- Glimelius, B. Benefit-risk assessment of irinotecan in advanced colorectal cancer. Drug Saf. 2005, 28, 417–433. [Google Scholar] [CrossRef] [PubMed]
- Cheng, C.; Lau, J.E.; Earl, M.A. Use of atropine-diphenoxylate compared with hyoscyamine to decrease rates of irinotecan-related cholinergic syndrome. J. Community Support Oncol. 2015, 13, 3–7. [Google Scholar] [CrossRef] [PubMed]
- Lalla, R.V.; Bowen, J.; Barasch, A.; Elting, L.; Epstein, J.; Keefe, D.M.; McGuire, D.B.; Migliorati, C.; Nicolatou-Galitis, O.; Peterson, D.E.; et al. MASCC/ISOO clinical practice guidelines for the management of mucositis secondary to cancer therapy. Cancer 2014, 120, 1453–1461. [Google Scholar] [CrossRef]
- Li, F.; Jiang, T.; Li, Q.; Ling, X. Camptothecin (CPT) and its derivatives are known to target topoisomerase I (Top1) as their mechanism of action: Did we miss something in CPT analogue molecular targets for treating human disease such as cancer? Am. J. Cancer Res. 2017, 7, 2350–2394. [Google Scholar]
- Mei, C.; Lei, L.; Tan, L.M.; Xu, X.J.; He, B.M.; Luo, C.; Yin, J.Y.; Li, X.; Zhang, W.; Zhou, H.H.; et al. The role of single strand break repair pathways in cellular responses to camptothecin induced DNA damage. Biomed Pharm. 2020, 125, 109875. [Google Scholar] [CrossRef]
- Ho, C.J.; Lin, R.W.; Zhu, W.H.; Wen, T.K.; Hu, C.J.; Lee, Y.L.; Hung, T.I.; Wang, C. Transcription-independent and -dependent p53-mediated apoptosis in response to genotoxic and non-genotoxic stress. Cell Death Discov. 2019, 5, 131. [Google Scholar] [CrossRef]
- Zhang, J.; Yu, G.; Yang, Y.; Wang, Y.; Guo, M.; Yin, Q.; Yan, C.; Tian, J.; Fu, F.; Wang, H. A small-molecule inhibitor of MDMX suppresses cervical cancer cells via the inhibition of E6-E6AP-p53 axis. Pharmacol. Res. 2022, 177, 106128. [Google Scholar] [CrossRef]
- Li, F.; Liu, Z.; Sun, H.; Li, C.; Wang, W.; Ye, L.; Yan, C.; Tian, J.; Wang, H. PCC0208017, a novel small-molecule inhibitor of MARK3/MARK4, suppresses glioma progression in vitro and in vivo. Acta Pharm. Sin. B 2020, 10, 289–300. [Google Scholar] [CrossRef] [PubMed]
- Chen, X.; Zou, F.; Hu, Z.; Du, G.; Yu, P.; Wang, W.; Wang, H.; Ye, L.; Tian, J. PCC0208023, a potent SHP2 allosteric inhibitor, imparts an antitumor effect against KRAS mutant colorectal cancer. Toxicol. Appl. Pharmacol. 2020, 398, 115019. [Google Scholar] [CrossRef] [PubMed]
- Staker, B.L.; Feese, M.D.; Cushman, M.; Pommier, Y.; Zembower, D.; Stewart, L.; Burgin, A.B. Structures of three classes of anticancer agents bound to the human topoisomerase I-DNA covalent complex. J. Med. Chem. 2005, 48, 2336–2345. [Google Scholar] [CrossRef] [PubMed]
- Liu, J.; Tao, X.; Zhu, Y.; Li, C.; Ruan, K.; Diaz-Perez, Z.; Rai, P.; Wang, H.; Zhai, R.G. NMNAT promotes glioma growth through regulating post-translational modifications of P53 to inhibit apoptosis. Elife 2021, 10, e70046. [Google Scholar] [CrossRef]
- Ma, Y.T.; Yang, Y.; Cai, P.; Sun, D.Y.; Sánchez-Murcia, P.A.; Zhang, X.Y.; Jia, W.Q.; Lei, L.; Guo, M.; Gago, F.; et al. A Series of Enthalpically Optimized Docetaxel Analogues Exhibiting Enhanced Antitumor Activity and Water Solubility. J. Nat. Prod. 2018, 81, 524–533. [Google Scholar] [CrossRef]
- Augustine, T.; Maitra, R.; Zhang, J.; Nayak, J.; Goel, S. Sensitization of colorectal cancer to irinotecan therapy by PARP inhibitor rucaparib. Investig. New Drugs 2019, 37, 948–960. [Google Scholar] [CrossRef]
- Lu, X.; Liu, S.; Han, M.; Yang, X.; Sun, K.; Wang, H.; Mu, H.; Du, Y.; Wang, A.; Ni, L.; et al. Afatinib-loaded immunoliposomes functionalized with cetuximab: A novel strategy targeting the epidermal growth factor receptor for treatment of non-small-cell lung cancer. Int. J. Pharm. 2019, 560, 126–135. [Google Scholar] [CrossRef]
- Huang, H.; Wang, X.; Zhang, X.; Zhang, G.; Jinbo, M.; Wang, H.; Yu, P.; Jiang, W. Ganciclovir reduces irinotecan-induced intestinal toxicity by inhibiting NLRP3 activation. Cancer Chemother. Pharm. 2020, 85, 195–204. [Google Scholar] [CrossRef]
- Cui, D.N.; Wang, X.; Chen, J.Q.; Lv, B.; Zhang, P.; Zhang, W.; Zhang, Z.J.; Xu, F.G. Quantitative Evaluation of the Compatibility Effects of Huangqin Decoction on the Treatment of Irinotecan-Induced Gastrointestinal Toxicity Using Untargeted Metabolomics. Front. Pharmacol. 2017, 8, 211. [Google Scholar] [CrossRef]












| Compounds | IC50 (µmol/L) | |||
|---|---|---|---|---|
| LS180 | HCT116 | CT-26 | HT-29 | |
| PCC0208037 | 0.22 ± 0.06 | 2.9 ± 0.61 | 2.33 ± 0.37 | 0.66 ± 0.12 |
| CPT-11 | 3.17 ± 0.58 | >50 | >50 | >50 |
| SN-38 | 0.12 ± 0.01 | 3.58 ± 0.21 | 0.44 ± 0.66 | 0.35 ± 0.02 |
| Compound ID | Pose Number | CDOCKER Energy (kj/mol) | CDOCER Interaction Energy (kj/mol) |
|---|---|---|---|
| PCC0208037 | 1 | −36.4267 | −75.1791 |
| 2 | −35.4389 | −70.9399 | |
| 3 | −35.2049 | −72.3637 | |
| 4 | −35.0876 | −77.2476 | |
| 5 | −34.3419 | −76.6104 | |
| 6 | −34.2798 | −68.6864 | |
| 7 | −34.1873 | −70.4496 | |
| 8 | −33.2168 | −71.9072 | |
| 9 | −30.0097 | −71.8914 | |
| 10 | −28.5876 | −73.0433 | |
| SN-38 | 1 | −22.9687 | −58.7115 |
| 2 | −22.7429 | −58.0968 | |
| 3 | −22.4145 | −58.0420 | |
| 4 | −17.4185 | −57.3630 | |
| 5 | −17.0079 | −57.3541 | |
| 6 | −16.9442 | −57.5834 | |
| 7 | −16.8817 | −56.9092 | |
| 8 | −16.7594 | −55.9943 | |
| 9 | −16.6525 | −55.1578 | |
| 10 | −15.0168 | −54.4989 |
| Group | Unit | PCC0208037 | PCC0208037-SN-38 | CPT-11 | CPT-11-SN-38 |
|---|---|---|---|---|---|
| Tmax | h | 0.19 ± 0.07 | 0.81 ± 0.37 | 3.24 ± 2.19 | 4.06 ± 1.08 |
| Cmax | ng/mL | 137,073.8 ± 48,964 | 2199.6 ± 1001.4 | 480.8 ± 112.4 | 243.9 ± 7.76 |
| AUClast | H * ng/mL | 68,292.5 ± 18,078.2 | 905.5 ± 173.7 | 360.5 ±52.9 | 394.6 ± 46.32 |
| AUCinf | H * ng/mL | 68,388.4 ± 17,991.1 | 919.7 ± 176.1 | 393.1 ± 64.4 | 431.5 ± 62.5 |
| T1/2 | h | 1.17 ± 0.015 | 0.81 ± 0.37 | 3.24 ± 2.19 | 4.06 ± 1.08 |
Disclaimer/Publisher’s Note: The statements, opinions and data contained in all publications are solely those of the individual author(s) and contributor(s) and not of MDPI and/or the editor(s). MDPI and/or the editor(s) disclaim responsibility for any injury to people or property resulting from any ideas, methods, instructions or products referred to in the content. |
© 2022 by the authors. Licensee MDPI, Basel, Switzerland. This article is an open access article distributed under the terms and conditions of the Creative Commons Attribution (CC BY) license (https://creativecommons.org/licenses/by/4.0/).
Share and Cite
Li, M.; Wang, L.; Wei, Y.; Wang, W.; Liu, Z.; Zuo, A.; Liu, W.; Tian, J.; Wang, H. Anti-Colorectal Cancer Effects of a Novel Camptothecin Derivative PCC0208037 In Vitro and In Vivo. Pharmaceuticals 2023, 16, 53. https://doi.org/10.3390/ph16010053
Li M, Wang L, Wei Y, Wang W, Liu Z, Zuo A, Liu W, Tian J, Wang H. Anti-Colorectal Cancer Effects of a Novel Camptothecin Derivative PCC0208037 In Vitro and In Vivo. Pharmaceuticals. 2023; 16(1):53. https://doi.org/10.3390/ph16010053
Chicago/Turabian StyleLi, Min, Linxu Wang, Yingjie Wei, Wenyan Wang, Zongliang Liu, Aixia Zuo, Wanhui Liu, Jingwei Tian, and Hongbo Wang. 2023. "Anti-Colorectal Cancer Effects of a Novel Camptothecin Derivative PCC0208037 In Vitro and In Vivo" Pharmaceuticals 16, no. 1: 53. https://doi.org/10.3390/ph16010053
APA StyleLi, M., Wang, L., Wei, Y., Wang, W., Liu, Z., Zuo, A., Liu, W., Tian, J., & Wang, H. (2023). Anti-Colorectal Cancer Effects of a Novel Camptothecin Derivative PCC0208037 In Vitro and In Vivo. Pharmaceuticals, 16(1), 53. https://doi.org/10.3390/ph16010053

