Utilization of Polymeric Micelles as a Lucrative Platform for Efficient Brain Deposition of Olanzapine as an Antischizophrenic Drug via Intranasal Delivery
Abstract
1. Introduction
2. Results and Discussion
2.1. Critical Micelle Concentration
2.2. Thin Film Formation
2.3. Optimization of OZ Polymeric Micelles Using D-Optimal Design
2.4. Influence of Different Critical Process Variables on Particle Size (Y1)
2.5. Design Space and Optimization
2.6. Characterization of the Prepared OZ–PMs
2.7. In Vitro Release
2.8. In Vitro Cytotoxicity
2.9. In Vivo Biodistribution Study
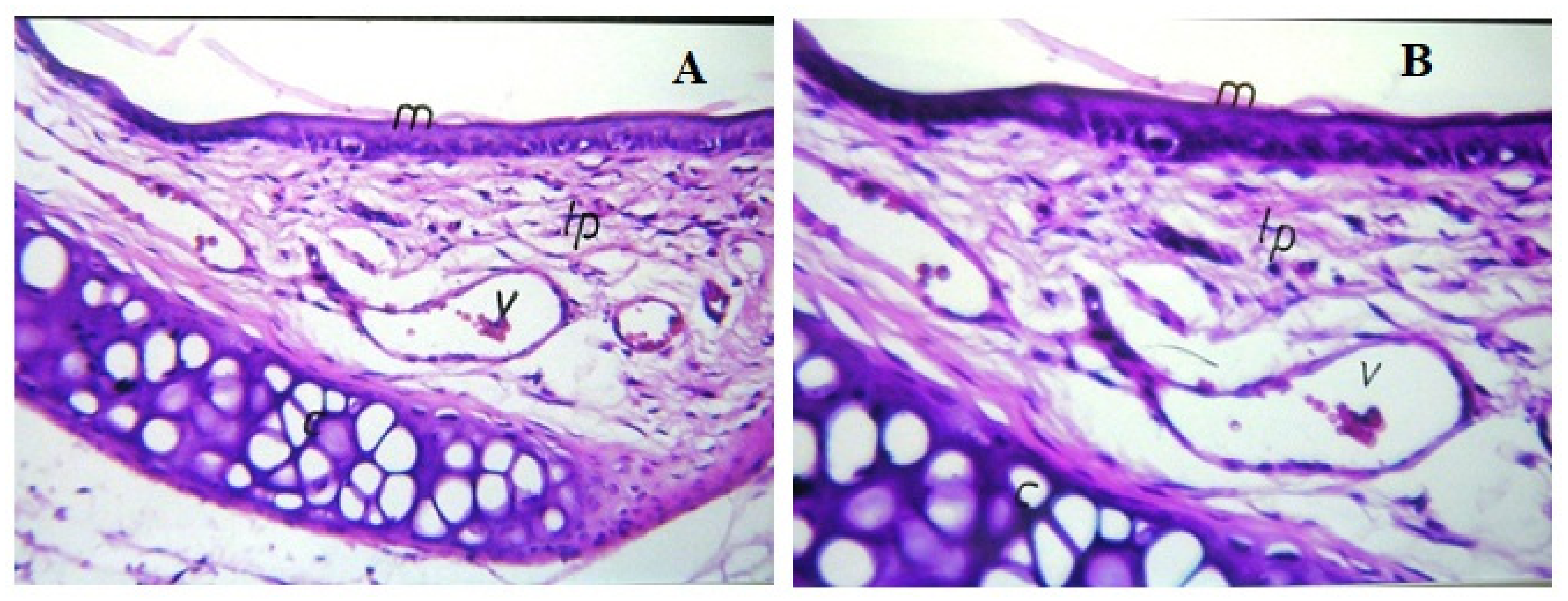
2.10. Histopathological Examinations of the Nasal Mucosae
2.11. Paw Test
2.12. Open Field Test
3. Materials and Methods
3.1. Materials
3.2. Critical Micelle Concentration (CMC) Determination
3.3. Thin Film Formation
3.4. Evaluation of the Prepared OZ-Micelles
3.4.1. Particle Size and Zeta Potential of OZ–PM Micelles Analysis
3.4.2. Drug Entrapment Efficiency (EE%) and Drug Loading (DL %) Percentages Determination
3.4.3. Morphological Examination
3.5. In Vitro Release
3.6. In Vitro Cytotoxicity
3.7. In Vivo Examination
3.7.1. Nasal Biodistribution Pattern Study
3.7.2. Histopathological Studies
3.8. Pharmacodynamics Studies
3.8.1. Paw Test
3.8.2. Schizophrenia Rat Model
3.8.3. Open Field Test
4. Conclusions
Supplementary Materials
Author Contributions
Funding
Institutional Review Board Statement
Informed Consent Statement
Data Availability Statement
Acknowledgments
Conflicts of Interest
References
- Lin, D.; Thompson-Leduc, P.; Ghelerter, I.; Nguyen, H.; Lafeuille, M.-H.; Benson, C.; Mavros, P.; Lefebvre, P. Real-World Evidence of the Clinical and Economic Impact of Long-Acting Injectable Versus Oral Antipsychotics Among Patients with Schizophrenia in the United States: A Systematic Review and Meta-Analysis. CNS Drugs 2021, 35, 469–481. [Google Scholar] [CrossRef] [PubMed]
- Taylor, J.H.; Appel, S.; Eli, M.; Alexander-Bloch, A.; Maayan, L.; Gur, R.E.; Bloch, M.H. Time to clinical response in the treatment of early onset schizophrenia spectrum disorders study. J. Child Adolesc. Psychopharmacol. 2021, 31, 46–52. [Google Scholar] [CrossRef] [PubMed]
- Gopal, S.; Xu, H.; McQuarrie, K.; Savitz, A.; Nuamah, I.; Woodruff, K.; Mathews, M. Caregiver burden in schizophrenia following paliperidone palmitate long acting injectables treatment: Pooled analysis of two double-blind randomized phase three studies. NPJ Schizophr. 2017, 3, 1–6. [Google Scholar] [CrossRef][Green Version]
- Taylor, J.H.; Huque, Z.M. Commentary: Schizophrenia prevention and prodromal psychosis in children and adolescents. J. Child Psychol. Psychiatry 2021, 62, 674–676. [Google Scholar] [CrossRef] [PubMed]
- Laursen, T.M.; Nordentoft, M.; Mortensen, P.B. Excess early mortality in schizophrenia. Annu. Rev. Clin. Psychol. 2014, 10, 425–448. [Google Scholar] [CrossRef]
- Cohen, C.I.; Meesters, P.D.; Zhao, J. New perspectives on schizophrenia in later life: Implications for treatment, policy, and research. Lancet Psychiatry 2015, 2, 340–350. [Google Scholar] [CrossRef]
- Srivastava, S.; Ketter, T.A. Clinical relevance of treatments for acute bipolar disorder: Balancing therapeutic and adverse effects. Clin. Ther. 2011, 33, B40–B48. [Google Scholar] [CrossRef] [PubMed]
- Ballon, J.S.; Pajvani, U.; Freyberg, Z.; Leibel, R.L.; Lieberman, J.A. Molecular pathophysiology of metabolic effects of antipsychotic medications. Trends Endocrinol. Metab. 2014, 25, 593–600. [Google Scholar] [CrossRef]
- Lian, J.; Huang, X.-F.; Pai, N.; Deng, C. Effects of olanzapine and betahistine co-treatment on serotonin transporter, 5-HT2A and dopamine D2 receptor binding density. Prog. Neuro-Psychopharmacol. Biol. Psychiatry 2013, 47, 62–68. [Google Scholar] [CrossRef]
- Nagai, N.; Watanabe, K. Olanzapine. Nihon rinsho. Jpn. J. Clin. Med. 2013, 71, 666–672. [Google Scholar]
- Law, V.; Knox, C.; Djoumbou, Y.; Jewison, T.; Guo, A.C.; Liu, Y.; Maciejewski, A.; Arndt, D.; Wilson, M.; Neveu, V.; et al. DrugBank 4.0: Shedding new light on drug metabolism. Nucl. Acids Res. 2014, 42, D1091–D1097. [Google Scholar] [CrossRef] [PubMed]
- Gong, W.; Mondal, P.K.; Ahmadi, S.; Wu, Y.; Rohani, S. Cocrystals, Salts, and Salt-Solvates of olanzapine; selection of coformers and improved solubility. Int. J. Pharm. 2021, 608, 121063. [Google Scholar] [CrossRef]
- Callaghan, J.T.; Bergstrom, R.F.; Ptak, L.R.; Beasley, C.M. Olanzapine. Clin. Pharmacokinet. 1999, 37, 177–193. [Google Scholar] [CrossRef]
- Maredia, M.; Hamilton, J.; Thanos, P.K. A high-fat diet, but not haloperidol or olanzapine administration, increases activated microglial expression in the rat brain. Neurosci. Lett. 2021, 757, 135976. [Google Scholar] [CrossRef] [PubMed]
- Li, H.; Peng, S.; Li, S.; Liu, S.; Lv, Y.; Yang, N.; Yu, L.; Deng, Y.-H.; Zhang, Z.; Fang, M. Chronic olanzapine administration causes metabolic syndrome through inflammatory cytokines in rodent models of insulin resistance. Sci. Rep. 2019, 9, 1582. [Google Scholar] [CrossRef] [PubMed]
- Altamura, A.C.; Sassella, F.; Santini, A.; Montresor, C.; Fumagalli, S.; Mundo, E. Intramuscular preparations of antipsychotics. Drugs 2003, 63, 493–512. [Google Scholar] [CrossRef] [PubMed]
- Sun, L.; Mills, R.; Sadler, B.M.; Rege, B. Population Pharmacokinetics of Olanzapine and Samidorphan When Administered in Combination in Healthy Subjects and Patients with Schizophrenia. J. Clin. Pharmacol. 2021, 61, 1430–1441. [Google Scholar] [CrossRef]
- ChO, M.; So, I.; Chun, J.N.; Jeon, J.-H. The antitumor effects of geraniol: Modulation of cancer hallmark pathways. Int. J. Oncol. 2016, 48, 1772–1782. [Google Scholar] [CrossRef]
- Al-Tamimi, Y.Z.; Sinha, P.; Chumas, P.D.; Crimmins, D.; Drake, J.; Kestle, J.; Committee, B.P.N.G.A.; Hayward, R.; Solanki, G.A.; Thomson, S. Ventriculoperitoneal shunt 30-day failure rate: A retrospective international cohort study. Neurosurgery 2014, 74, 29–34. [Google Scholar] [CrossRef]
- Truzzi, E.; Rustichelli, C.; de Oliveira Junior, E.R.; Ferraro, L.; Maretti, E.; Graziani, D.; Botti, G.; Beggiato, S.; Iannuccelli, V.; Lima, E.M.; et al. Nasal biocompatible powder of Geraniol oil complexed with cyclodextrins for neurodegenerative diseases: Physicochemical characterization and in vivo evidences of nose to brain delivery. J. Control. Release 2021, 335, 191–202. [Google Scholar] [CrossRef]
- Migliore, M.M.; Vyas, T.K.; Campbell, R.B.; Amiji, M.M.; Waszczak, B.L. Brain delivery of proteins by the intranasal route of administration: A comparison of cationic liposomes versus aqueous solution formulations. J. Pharm. Sci. 2010, 99, 1745–1761. [Google Scholar] [CrossRef] [PubMed]
- Joint, M.-E. Reflection paper on the development of block copolymer micelle medicinal products. Reference number EMA. CHMP/130299/2013. 2019. Available online: https://www.ema.europa.eu/development-block-copolymer (accessed on 19 January 2022).
- Sahu, A.; Kasoju, N.; Goswami, P.; Bora, U. Encapsulation of curcumin in Pluronic block copolymer micelles for drug delivery applications. J. Biomater. Appl. 2011, 25, 619–639. [Google Scholar] [CrossRef] [PubMed]
- Sonali; Agrawal, P.; Singh, R.P.; Rajesh, C.V.; Singh, S.; Vijayakumar, M.R.; Pandey, B.L.; Muthu, M.S. Transferrin receptor-targeted vitamin E TPGS micelles for brain cancer therapy: Preparation, characterization and brain distribution in rats. Drug Deliv. 2016, 23, 1788–1798. [Google Scholar] [CrossRef] [PubMed]
- Elezaby, R.S.; Gad, H.A.; Metwally, A.A.; Geneidi, A.S.; Awad, G.A. Self-assembled amphiphilic core-shell nanocarriers in line with the modern strategies for brain delivery. J. Control. Release 2017, 261, 43–61. [Google Scholar] [CrossRef] [PubMed]
- Javia, A.; Kore, G.; Misra, A. Chapter 11—Polymers in Nasal Drug Delivery: An Overview. In Applications of Polymers in Drug Delivery, 2nd ed.; Misra, A., Shahiwala, A., Eds.; Elsevier: Amsterdam, The Netherlands, 2021; pp. 305–332. [Google Scholar]
- Kanazawa, T.; Taki, H.; Okada, H. Nose-to-brain drug delivery system with ligand/cell-penetrating peptide-modified polymeric nano-micelles for intracerebral gliomas. Eur. J. Pharm. Biopharm. 2020, 152, 85–94. [Google Scholar] [CrossRef] [PubMed]
- Mohanan, D.; Slütter, B.; Henriksen-Lacey, M.; Jiskoot, W.; Bouwstra, J.A.; Perrie, Y.; Kündig, T.M.; Gander, B.; Johansen, P. Administration routes affect the quality of immune responses: A cross-sectional evaluation of particulate antigen-delivery systems. J. Control. Release 2010, 147, 342–349. [Google Scholar] [CrossRef]
- Yang, C.; Wu, T.; Qi, Y.; Zhang, Z. Recent advances in the application of vitamin E TPGS for drug delivery. Theranostics 2018, 8, 464. [Google Scholar] [CrossRef]
- Vijayakumar, M.R.; Muthu, M.S.; Singh, S. Copolymers of poly(lactic acid) and d-α-tocopheryl polyethylene glycol 1000 succinate-based nanomedicines: Versatile multifunctional platforms for cancer diagnosis and therapy. Expert Opin. Drug Deliv. 2013, 10, 529–543. [Google Scholar] [CrossRef]
- Sun Sohn, J.; Park, J.-W.; Choi, D.H.; Choi, J.-S. Design of telmisartan-weak acid solid dispersion to improve its solubility and stability. Mater. Sci. Eng. B 2020, 261, 114649. [Google Scholar] [CrossRef]
- Choi, J.-S.; Park, J.-W.; Park, J.-S. Design of Coenzyme Q10 solid dispersion for improved solubilization and stability. Int. J. Pharm. 2019, 572, 118832. [Google Scholar] [CrossRef]
- Kabanov, A.V.; Batrakova, E.V.; Alakhov, V.Y. Pluronic® block copolymers for overcoming drug resistance in cancer. Adv. Drug Deliv. Rev. 2002, 54, 759–779. [Google Scholar] [CrossRef]
- Butt, A.M.; Amin, M.C.I.M.; Katas, H. Synergistic effect of pH-responsive folate-functionalized poloxamer 407-TPGS-mixed micelles on targeted delivery of anticancer drugs. Int. J. Nanomed. 2015, 10, 1321. [Google Scholar]
- Saxena, V.; Hussain, M.D. Poloxamer 407/TPGS mixed micelles for delivery of gambogic acid to breast and multidrug-resistant cancer. Int. J. Nanomed. 2012, 7, 713. [Google Scholar]
- Feng, S.-S. Formulation of Docetaxel by Folic Acid-Conjugated D-α-Tocopheryl Polyethylene Glycol Succinate 2000 (Vitamin E TPGS2k) Micelles for Targeted and Synergistic Chemotherapy. In Chemotherapeutic Engineering; Jenny Stanford Publishing: Singapore, 2014; pp. 516–537. [Google Scholar]
- Nam, H.Y.; Kwon, S.M.; Chung, H.; Lee, S.-Y.; Kwon, S.-H.; Jeon, H.; Kim, Y.; Park, J.H.; Kim, J.; Her, S. Cellular uptake mechanism and intracellular fate of hydrophobically modified glycol chitosan nanoparticles. J. Control. Release 2009, 135, 259–267. [Google Scholar] [CrossRef] [PubMed]
- Huang, X.; Li, S.Z.; Wang, Y. Shape localization based on statistical method using extended local binary pattern. In Proceedings of the Third International Conference on Image and Graphics (ICIG’04), Hong Kong, China, 18–20 December 2004; pp. 184–187. [Google Scholar]
- Leng, D.; Thanki, K.; Fattal, E.; Foged, C.; Yang, M. Engineering of budesonide-loaded lipid-polymer hybrid nanoparticles using a quality-by-design approach. Int. J. Pharm. 2018, 548, 740–746. [Google Scholar] [CrossRef]
- Sylvester, B.; Porfire, A.; Achim, M.; Rus, L.; Tomuţă, I. A step forward towards the development of stable freeze-dried liposomes: A quality by design approach (QbD). Drug Dev. Ind. Pharm. 2018, 44, 385–397. [Google Scholar] [CrossRef]
- Alexandridis, P.; Hatton, T.A. Poly(ethylene oxide)poly(propylene oxide)poly(ethylene oxide) block copolymer surfactants in aqueous solutions and at interfaces: Thermodynamics, structure, dynamics, and modeling. Colloids Surf. A Physicochem. Eng. Asp. 1995, 96, 1–46. [Google Scholar] [CrossRef]
- Lee, E.S.; Oh, Y.T.; Youn, Y.S.; Nam, M.; Park, B.; Yun, J.; Kim, J.H.; Song, H.-T.; Oh, K.T. Binary mixing of micelles using Pluronics for a nano-sized drug delivery system. Colloids Surf. B Biointerfaces 2011, 82, 190–195. [Google Scholar] [CrossRef]
- Thanitwatthanasak, S.; Sagis, L.M.C.; Chitprasert, P. Pluronic F127/Pluronic P123/vitamin E TPGS mixed micelles for oral delivery of mangiferin and quercetin: Mixture-design optimization, micellization, and solubilization behavior. J. Mol. Liq. 2019, 274, 223–238. [Google Scholar] [CrossRef]
- Zhao, L.; Shi, Y.; Zou, S.; Sun, M.; Li, L.; Zhai, G. Formulation and in vitro evaluation of quercetin loaded polymeric micelles composed of pluronic P123 and Da-tocopheryl polyethylene glycol succinate. J. Biomed. Nanotechnol. 2011, 7, 358–365. [Google Scholar] [CrossRef]
- Sarma, A.; Das, M.K. Nose to brain delivery of antiretroviral drugs in the treatment of neuroAIDS. Mol. Biomed. 2020, 1, 15. [Google Scholar] [CrossRef] [PubMed]
- Sikora, A.; Bartczak, D.; Geißler, D.; Kestens, V.; Roebben, G.; Ramaye, Y.; Varga, Z.; Palmai, M.; Shard, A.G.; Goenaga-Infante, H. A systematic comparison of different techniques to determine the zeta potential of silica nanoparticles in biological medium. Anal. Methods 2015, 7, 9835–9843. [Google Scholar] [CrossRef]
- Sipos, B.; Szabó-Révész, P.; Csóka, I.; Pallagi, E.; Dobó, D.G.; Bélteky, P.; Kónya, Z.; Deák, Á.; Janovák, L.; Katona, G. Quality by design based formulation study of meloxicam-loaded polymeric micelles for intranasal administration. Pharmaceutics 2020, 12, 697. [Google Scholar] [CrossRef] [PubMed]
- Ernsting, M.J.; Murakami, M.; Roy, A.; Li, S.-D. Factors controlling the pharmacokinetics, biodistribution and intratumoral penetration of nanoparticles. J. Control. Release 2013, 172, 782–794. [Google Scholar] [CrossRef] [PubMed]
- Khare, V.; Sakarchi, W.A.; Gupta, P.N.; Curtis, A.D.; Hoskins, C. Correction: Synthesis and characterization of TPGS–gemcitabine prodrug micelles for pancreatic cancer therapy. RSC Adv. 2017, 7, 12598. [Google Scholar] [CrossRef]
- Han, X.; Wang, Z.; Wang, M.; Li, J.; Xu, Y.; He, R.; Guan, H.; Yue, Z.; Gong, M. Liver-targeting self-assembled hyaluronic acid-glycyrrhetinic acid micelles enhance hepato-protective effect of silybin after oral administration. Drug Deliv. 2016, 23, 1818–1829. [Google Scholar] [CrossRef]
- Sun, C.; Li, W.; Ma, P.; Li, Y.; Zhu, Y.; Zhang, H.; Adu-Frimpong, M.; Deng, W.; Yu, J.; Xu, X. Development of TPGS/F127/F68 mixed polymeric micelles: Enhanced oral bioavailability and hepatoprotection of syringic acid against carbon tetrachloride-induced hepatotoxicity. Food Chem. Toxicol. 2020, 137, 111126. [Google Scholar] [CrossRef]
- Andrade, F.; das Neves, J.; Gener, P.; Schwartz, S., Jr.; Ferreira, D.; Oliva, M.; Sarmento, B. Biological assessment of self-assembled polymeric micelles for pulmonary administration of insulin. Nanomed. Nanotechnol. Biol. Med. 2015, 11, 1621–1631. [Google Scholar] [CrossRef]
- Wu, C.; Li, B.; Zhang, Y.; Chen, T.; Chen, C.; Jiang, W.; Wang, Q.; Chen, T. Intranasal delivery of paeoniflorin nanocrystals for brain targeting. Asian J. Pharm. Sci. 2020, 15, 326–335. [Google Scholar] [CrossRef]
- Gieszinger, P.; Tomuta, I.; Casian, T.; Bartos, C.; Szabó-Révész, P.; Ambrus, R. Definition and validation of the Design Space for co-milled nasal powder containing nanosized lamotrigine. Drug Dev. Ind. Pharm. 2018, 44, 1622–1630. [Google Scholar] [CrossRef]
- Batool, A.; Arshad, R.; Razzaq, S.; Nousheen, K.; Kiani, M.H.; Shahnaz, G. Formulation and evaluation of hyaluronic acid-based mucoadhesive self nanoemulsifying drug delivery system (SNEDDS) of tamoxifen for targeting breast cancer. Int. J. Biol. Macromol. 2020, 152, 503–515. [Google Scholar] [CrossRef] [PubMed]
- Gieszinger, P.; Stefania Csaba, N.; Garcia-Fuentes, M.; Prasanna, M.; Gáspár, R.; Sztojkov-Ivanov, A.; Ducza, E.; Márki, Á.; Janáky, T.; Kecskeméti, G.; et al. Preparation and characterization of lamotrigine containing nanocapsules for nasal administration. Eur. J. Pharm. Biopharm. 2020, 153, 177–186. [Google Scholar] [CrossRef] [PubMed]
- Molinas, A.; Sicard, G.; Jakob, I. Functional evidence of multidrug resistance transporters (MDR) in rodent olfactory epithelium. PLoS ONE 2012, 7, e36167. [Google Scholar] [CrossRef] [PubMed]
- Nour, S.A.; Abdelmalak, N.S.; Naguib, M.J.; Rashed, H.M.; Ibrahim, A.B. Intranasal brain-targeted clonazepam polymeric micelles for immediate control of status epilepticus: In vitro optimization, ex vivo determination of cytotoxicity, in vivo biodistribution and pharmacodynamics studies. Drug Deliv. 2016, 23, 3681–3695. [Google Scholar] [CrossRef] [PubMed]
- Ellenbroek, B. Treatment of schizophrenia: A clinical and preclinical evaluation of neuroleptic drugs. Pharmacol. Ther. 1993, 57, 1–78. [Google Scholar] [CrossRef]
- Kumbhar, S.A.; Kokare, C.R.; Shrivastava, B.; Gorain, B.; Choudhury, H. Preparation, characterization, and optimization of asenapine maleate mucoadhesive nanoemulsion using Box-Behnken design: In vitro and in vivo studies for brain targeting. Int. J. Pharm. 2020, 586, 119499. [Google Scholar] [CrossRef]
- Van den Buuse, M.; de Jong, W. Differential effects of dopaminergic drugs on open-field behavior of spontaneously hypertensive rats and normotensive Wistar-Kyoto rats. J. Pharmacol. Exp. Ther. 1989, 248, 1189–1196. [Google Scholar]
- Briones-Aranda, A.; Suárez-Santiago, J.E.; Picazo, O.; Castellanos-Pérez, M. Effect of ketamine administration, alone and in combination with E-6837, on climbing behavior. Behav. Pharmacol. 2016, 27, 485–488. [Google Scholar] [CrossRef]
- Brisch, R.; Saniotis, A.; Wolf, R.; Bielau, H.; Bernstein, H.-G.; Steiner, J.; Bogerts, B.; Braun, K.; Jankowski, Z.; Kumaratilake, J. The role of dopamine in schizophrenia from a neurobiological and evolutionary perspective: Old fashioned, but still in vogue. Front. Psychiatry 2014, 5, 47. [Google Scholar]
- Ben-Azu, B.; Aderibigbe, A.O.; Ajayi, A.M.; Iwalewa, E.O. Neuroprotective effects of the ethanol stem bark extracts of Terminalia ivorensis in ketamine-induced schizophrenia-like behaviors and oxidative damage in mice. Pharm. Biol. 2016, 54, 2871–2879. [Google Scholar] [CrossRef]
- Hirst, W.D.; Stean, T.O.; Rogers, D.C.; Sunter, D.; Pugh, P.; Moss, S.F.; Bromidge, S.M.; Riley, G.; Smith, D.R.; Bartlett, S. SB-399885 is a potent, selective 5-HT6 receptor antagonist with cognitive enhancing properties in aged rat water maze and novel object recognition models. Eur. J. Pharmacol. 2006, 553, 109–119. [Google Scholar] [CrossRef] [PubMed]
- Wei, Z.; Hao, J.; Yuan, S.; Li, Y.; Juan, W.; Sha, X.; Fang, X. Paclitaxel-loaded Pluronic P123/F127 mixed polymeric micelles: Formulation, optimization and in vitro characterization. Int. J. Pharm. 2009, 376, 176–185. [Google Scholar] [CrossRef] [PubMed]
- Higuchi, T. Mechanism of sustained-action medication. Theoretical analysis of rate of release of solid drugs dispersed in solid matrices. J. Pharm. Sci. 1963, 52, 1145–1149. [Google Scholar] [CrossRef] [PubMed]
- Hu, X.; Yang, F.-F.; Liu, C.-Y.; Ehrhardt, C.; Liao, Y.-H. In vitro uptake and transport studies of PEG-PLGA polymeric micelles in respiratory epithelial cells. Eur. J. Pharm. Biopharm. 2017, 114, 29–37. [Google Scholar] [CrossRef] [PubMed]
- Fumagalli, F.; Frasca, A.; Racagni, G.; Riva, M.A. Antipsychotic drugs modulate Arc expression in the rat brain. Eur. Neuropsychopharmacol. 2009, 19, 109–115. [Google Scholar] [CrossRef] [PubMed]
- Yasir, M.; Sara, U.V.S. Solid lipid nanoparticles for nose to brain delivery of haloperidol: In vitro drug release and pharmacokinetics evaluation. Acta Pharm. Sin. B 2014, 4, 454–463. [Google Scholar] [CrossRef] [PubMed]
- Kamlesh, M. Development and evaluation of solid lipid nanoparticles containing anti-migraine drug. World J. Pharm. Sci. 2014, 1014–1021. [Google Scholar]
- Van Rooy, I.; Cakir-Tascioglu, S.; Hennink, W.E.; Storm, G.; Schiffelers, R.M.; Mastrobattista, E. In vivo methods to study uptake of nanoparticles into the brain. Pharm. Res. 2011, 28, 456–471. [Google Scholar] [CrossRef] [PubMed]
- Bae, C.; Kim, J.; Park, S.; Shim, J.; Lee, J. A Herbal Concoction of Cinnamomum cassia and Artemisa annua Extracts Ameliorates Allergic Rhinitis in OVA-Induced Balb/C Mice by Inhibiting Th2 Signaling. Appl. Sci. 2022, 12, 340. [Google Scholar] [CrossRef]
- Ellenbroek, B.A.; Peeters, B.; Honig, W.; Cools, A. The paw test: A behavioural paradigm for differentiating between classical and atypical neuroleptic drugs. Psychopharmacology 1987, 93, 343–348. [Google Scholar] [CrossRef]
- Powell, C.M.; Miyakawa, T. Schizophrenia-relevant behavioral testing in rodent models: A uniquely human disorder? Biol. Psychiatry 2006, 59, 1198–1207. [Google Scholar] [CrossRef] [PubMed]
- Pitsikas, N.; Georgiadou, G.; Delis, F.; Antoniou, K. Effects of Anesthetic Ketamine on Anxiety-Like Behaviour in Rats. Neurochem. Res. 2019, 44, 829–838. [Google Scholar] [CrossRef] [PubMed]











| Run | A: P123 (%) | B: P407 (%) | C: TPGS (%) | Average Hydrodynamic Diameter (nm) | PDI | EE (%) |
|---|---|---|---|---|---|---|
| 1 | 68.125 | 23.125 | 8.75 | 41.25 | 0.12 | 76.21 |
| 2 | 68.125 | 24.375 | 7.5 | 39.11 | 0.19 | 78.88 |
| 3 | 60 | 30 | 10 | 40 | 0.2 | 75.55 |
| 4 | 68.125 | 25.625 | 6.25 | 38.5 | 0.19 | 80.24 |
| 5 | 70 | 22.5 | 7.5 | 42.1 | 0.11 | 83.11 |
| 6 | 65 | 30 | 5 | 37.89 | 0.17 | 80.51 |
| 7 | 70 | 25 | 5 | 41 | 0.13 | 83.66 |
| 8 | 65 | 25 | 10 | 40.5 | 0.13 | 68.79 |
| 9 | 70 | 20 | 10 | 47.44 | 0.15 | 78.2 |
| 10 | 62.5 | 30 | 7.5 | 37.5 | 0.19 | 79.63 |
| 11 | 65 | 25 | 10 | 40.45 | 0.2 | 68.22 |
| 12 | 70 | 20 | 10 | 47.55 | 0.13 | 78 |
| 13 | 60 | 30 | 10 | 40.11 | 0.12 | 75.54 |
| 14 | 63.125 | 28.125 | 8.75 | 38.1 | 0.2 | 75.14 |
| 15 | 65 | 30 | 5 | 39.2 | 0.2 | 81.22 |
| 16 | 70 | 25 | 5 | 40.9 | 0.19 | 86.84 |
| Parameter | P123 (%) | P407 (%) | TPGS (%) | Exp. | Pre. | % Pre. Error |
|---|---|---|---|---|---|---|
| Particle size (average hydrodynamic diameter) (nm) a,c | 63.78 | 30 | 6.22 | 39.25 ± 2.35 | 37.53 | 4.38 |
| EE% b,c | 82.15 ± 1.25 | 80.55 | 1.94 |
| Parameter | In Plasma | In Brain | ||
|---|---|---|---|---|
| IV Olanzapine Solution | IN Olanzapine PM | IV Olanzapine Solution | IN Olanzapine PM | |
| Cmax (ng/mL) | 405.53 ± 54.15 | 132.31 ± 16.81 | 552.16 ± 29.61 | |
| Tmax (min) | 15 | 30 | 15 | |
| AUC 0–480 min (ng/mL.h) | 1776.21 ± 56.25 | 1359.37 ± 85.23 | 504.47 ± 38.52 | 2067.22 ± 105.36 |
| AUC 0-∞ (ng/mL.h) | 2022 ± 101.22 | 1740 ± 54.36 | 604.34 ± 45.36 | 2839.18 ± 50.36 |
| MRT (h) | 3.27 ± 0.25 | 4.11 ± 0.29 | 3.7 ± 0.24 | 4.41 ± 0.34 |
| Kel (h-1) | 0.26 ± 0.02 | 0.19± 0.01 | 0.215 ± 0.011 | 0.168 ± 0.014 |
| Absolute bioavailability (F %) | 100 | 76.53 | ||
| DTE (%) | 535.93 | |||
| DTP (%) | 81.34 | |||
| Parameter | Control | IV Olanzapine Solution | IN Olanzapine PM |
|---|---|---|---|
| HRT (sec) | 4 ± 1 | 11 ± 2 | 16 ± 3 |
| FRT (sec) | 6 ± 1 | 14 ± 2 | 9 ± 2 |
| CPPs | Levels | |
| (Coded Independent Variables) | Minimum | Maximum |
| A: P123 (%) B: P407 (%) C: TPGS (%) | 60 20 5 | 70 30 10 |
| Type (mixture) | Total 100% | |
| CQAs (Responses) | QTPP (Constraints) | |
| Y1: Particle size (nm) Y2: EE (%) | Minimize Maximize | |
Publisher’s Note: MDPI stays neutral with regard to jurisdictional claims in published maps and institutional affiliations. |
© 2022 by the authors. Licensee MDPI, Basel, Switzerland. This article is an open access article distributed under the terms and conditions of the Creative Commons Attribution (CC BY) license (https://creativecommons.org/licenses/by/4.0/).
Share and Cite
Abo El-Enin, H.A.; Ahmed, M.F.; Naguib, I.A.; El-Far, S.W.; Ghoneim, M.M.; Alsalahat, I.; Abdel-Bar, H.M. Utilization of Polymeric Micelles as a Lucrative Platform for Efficient Brain Deposition of Olanzapine as an Antischizophrenic Drug via Intranasal Delivery. Pharmaceuticals 2022, 15, 249. https://doi.org/10.3390/ph15020249
Abo El-Enin HA, Ahmed MF, Naguib IA, El-Far SW, Ghoneim MM, Alsalahat I, Abdel-Bar HM. Utilization of Polymeric Micelles as a Lucrative Platform for Efficient Brain Deposition of Olanzapine as an Antischizophrenic Drug via Intranasal Delivery. Pharmaceuticals. 2022; 15(2):249. https://doi.org/10.3390/ph15020249
Chicago/Turabian StyleAbo El-Enin, Hadel A., Marwa F. Ahmed, Ibrahim A. Naguib, Shaymaa W. El-Far, Mohammed M. Ghoneim, Izzeddin Alsalahat, and Hend Mohamed Abdel-Bar. 2022. "Utilization of Polymeric Micelles as a Lucrative Platform for Efficient Brain Deposition of Olanzapine as an Antischizophrenic Drug via Intranasal Delivery" Pharmaceuticals 15, no. 2: 249. https://doi.org/10.3390/ph15020249
APA StyleAbo El-Enin, H. A., Ahmed, M. F., Naguib, I. A., El-Far, S. W., Ghoneim, M. M., Alsalahat, I., & Abdel-Bar, H. M. (2022). Utilization of Polymeric Micelles as a Lucrative Platform for Efficient Brain Deposition of Olanzapine as an Antischizophrenic Drug via Intranasal Delivery. Pharmaceuticals, 15(2), 249. https://doi.org/10.3390/ph15020249

