Morin-5′-Sulfonic Acid Sodium Salt (NaMSA) Attenuates Cyclophosphamide-Induced Histological Changes in Genitourinary Tract in Rats—Short Report
Abstract
1. Introduction
2. Results
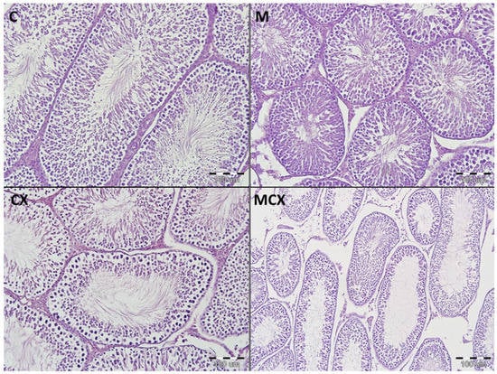
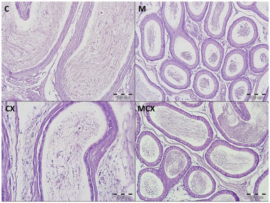
2.1. Tested and Epididymes Evaluation
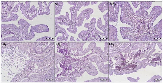
2.2. Urinary Bladder Evaluation
3. Discussion
4. Materials and Methods
4.1. Animals
4.2. Design of the Experiment
4.3. Histological Assessment
4.4. Statistical Analysis
5. Conclusions
Author Contributions
Funding
Institutional Review Board Statement
Informed Consent Statement
Data Availability Statement
Conflicts of Interest
References
- Allen, C.M.; Lopes, F.; Mitchell, R.T.; Spears, N. How does chemotherapy treatment damage the prepubertal testis? Reproduction 2018, 156, R209–R233. [Google Scholar] [CrossRef]
- Zhu, B.; Zheng, Y.F.; Zhang, Y.Y.; Cao, Y.S.; Zhang, L.; Li, X.G.; Liu, T.; Jiao, Z.Z.; Wang, Q.; Zhao, Z.G. Protective effect of L-carnitine in cyclophosphamide-induced germ cell apoptosis. J. Zhejiang Univ. Sci. B 2015, 16, 780–787. [Google Scholar] [CrossRef] [PubMed]
- Ghaleno, L.R.; Alizadeh, A.; Drevet, J.R.; Shahverdi, A.; Valojerdi, M.R. Oxidation of sperm dna and male infertility. Antioxidants 2021, 10, 97. [Google Scholar] [CrossRef] [PubMed]
- Yilmaz, N.; Emmungil, H.; Gucenmez, S.; Ozen, G.; Yildiz, F.; Balkarli, A.; Kimyon, G.; Coskun, B.N.; Dogan, I.; Pamuk, O.N.; et al. Incidence of cyclophosphamide-induced urotoxicity and protective effect of mesna in rheumatic diseases. J. Rheumatol. 2015, 42, 1661–1666. [Google Scholar] [CrossRef]
- Demlova, R.; Valík, D.; Obermannova, R.; Zdražilová-Dubská, L. The safety of therapeutic monoclonal antibodies: Implications for cancer therapy including immuno-checkpoint inhibitors. Physiol. Res. 2016, 65, S455–S462. [Google Scholar] [CrossRef] [PubMed]
- Matz, E.L.; Hsieh, M.H. Review of Advances in Uroprotective Agents for Cyclophosphamide- and Ifosfamide-induced Hemorrhagic Cystitis. Urology 2017, 100, 16–19. [Google Scholar] [CrossRef]
- Cyclophosphamide Cadiasun—Summary of Product Characteristics. 2021. Available online: https://mri.cts-mrp.eu/hu (accessed on 31 January 2021).
- Arena, A.C.; Jorge, B.C.; Silva, M.C.; de Barros, A.L.; Fernandes, A.A.H.; Nóbrega, R.H.; Martinez, E.R.M.; Cardoso, C.A.L.; Anselmo-Franci, J.A.; Muzzi, R.M. Acrocomia aculeata oil: Beneficial effects on cyclophosphamide-induced reproductive toxicity in male rats. Andrologia 2018, 50, 1–11. [Google Scholar] [CrossRef]
- Potnuri, A.G.; Allakonda, L.; Lahkar, M. Crocin attenuates cyclophosphamide induced testicular toxicity by preserving glutathione redox system. Biomed. Pharmacother. 2018, 101, 174–180. [Google Scholar] [CrossRef]
- Wu, K.C.; Lin, W.Y.; Sung, Y.T.; Wu, W.Y.; Cheng, Y.H.; Chen, T.S.; Chiang, B.J.; Chien, C.T. Glycine tomentella hayata extract and its ingredient daidzin ameliorate cyclophosphamide-induced hemorrhagic cystitis and oxidative stress through the action of antioxidation, anti-fibrosis, and anti-inflammation. Chin. J. Physiol. 2019, 62, 188–195. [Google Scholar] [CrossRef]
- Merwid-Ląd, A.; Trocha, M.; Chlebda, E.; Sozański, T.; Magdalan, J.; Ksiądzyna, D.; Kopacz, M.; Kuźniar, A.; Nowak, D.; Pieśniewska, M.; et al. Effects of morin-5′-sulfonic acid sodium salt (NaMSA) on cyclophosphamide-induced changes in oxido-redox state in rat liver and kidney. Hum. Exp. Toxicol. 2012, 31, 812–819. [Google Scholar] [CrossRef]
- Merwid-Ląd, A.; Ksiądzyna, D.; Hałoń, A.; Chlebda-Sieragowska, E.; Trocha, M.; Szandruk, M.; Sozański, T.; Magdalan, J.; Kopacz, M.; Kuźniar, A.; et al. Impact of morin-5′-sulfonic acid sodium salt on cyclophosphamide-induced gastrointestinal toxicity in rats. Pharmacol. Rep. 2015, 67, 1259–1263. [Google Scholar] [CrossRef]
- Salimnejad, R.; Soleimani Rad, J.; Mohammad Nejad, D.; Roshangar, L. Effect of ghrelin on total antioxidant capacity, lipid peroxidation, sperm parameters and fertility in mice against oxidative damage caused by cyclophosphamide. Andrologia 2018, 50, 1–7. [Google Scholar] [CrossRef]
- Onaolapo, A.Y.; Oladipo, B.P.; Onaolapo, O.J. Cyclophosphamide-induced male subfertility in mice: An assessment of the potential benefits of Maca supplement. Andrologia 2018, 50, e12911. [Google Scholar] [CrossRef]
- Zhang, X.; Gao, S.; Tanaka, M.; Zhang, Z.; Huang, Y.; Mitsui, T.; Kamiyama, M.; Koizumi, S.; Fan, J.; Takeda, M.; et al. Carbenoxolone inhibits TRPV4 channel-initiated oxidative urothelial injury and ameliorates cyclophosphamide-induced bladder dysfunction. J. Cell. Mol. Med. 2017, 21, 1791–1802. [Google Scholar] [CrossRef]
- Kaplan, J.R.; Wolf, J.S. Efficacy and Survival Associated With Cystoscopy and Clot Evacuation for Radiation or Cyclophosphamide Induced Hemorrhagic Cystitis. J. Urol. 2009, 181, 641–646. [Google Scholar] [CrossRef]
- Moy, B.; Linder, B.J.; Chao, N.J.; Gounder, M.M. Hemorrhagic cystitis in cancer patients. UpToDate 2018, 11, 1–29. [Google Scholar]
- Venkatesan, R.S.; Sadiq, A.M.M. Effect of morin-5′-sulfonic acid sodium salt on the expression of apoptosis related proteins caspase 3, Bax and Bcl 2 due to the mercury induced oxidative stress in albino rats. Biomed. Pharmacother. 2017, 85, 202–208. [Google Scholar] [CrossRef]
- Emre, İ.; Kurşat, M.; Yilmaz, Ö.; Erecevit, P. Chemical compositions, radical scavenging capacities and antimicrobial activities in seeds of Satureja hortensis L. and Mentha spicata L. subsp. spicata from Turkey. Braz. J. Biol. 2020, 81, 144–153. [Google Scholar] [CrossRef]
- Caicedo-Lopez, L.H.; Cuellar-Nuñez, M.L.; Luzardo-Ocampo, I.; Campos-Vega, R.; Lóarca-Piña, G. Colonic metabolites from digested Moringa oleifera leaves induced HT-29 cell death via apoptosis, necrosis, and autophagy. Int. J. Food Sci. Nutr. 2020, 1–14. [Google Scholar] [CrossRef]
- Caselli, A.; Cirri, P.; Santi, A.; Paoli, P. Morin: A Promising Natural Drug. Curr. Med. Chem. 2016, 23, 774–791. [Google Scholar] [CrossRef] [PubMed]
- Abraham, P.; Isaac, B.; Ramamoorthy, H.; Natarajan, K. Oral Glutamine Attenuates Cyclophosphamide-Induced Oxidative Stress in the Bladder but Does Not Prevent Hemorrhagic Cystitis in Rats. J. Med. Toxicol. 2011, 7, 118–124. [Google Scholar] [CrossRef][Green Version]
- Kaya, C.; Baseskioglu, A.B.; Yigitaslan, S.; Ozatik, F.Y.; Ozatik, O.; Uslu, S. The therapeutic potential of amifostine on cyclophosphamide-induced testicular dysfunction in rats: An experimental study. Int. J. Reprod. Biomed. 2019, 17, 245–252. [Google Scholar] [CrossRef]
- Caglayan, C. The effects of naringin on different cyclophosphamide-induced organ toxicities in rats: Investigation of changes in some metabolic enzyme activities. Environ. Sci. Pollut. Res. 2019, 26, 26664–26673. [Google Scholar] [CrossRef] [PubMed]
- Sucic, M.; Luetic, K.; Jandric, I.; Drmic, D.; Sever, A.Z.; Vuletic, L.B.; Halle, Z.B.; Strinic, D.; Kokot, A.; Seiwerth, R.S.; et al. Therapy of the rat hemorrhagic cystitis induced by cyclophosphamide. Stable gastric pentadecapeptide BPC 157, L-arginine, L-NAME. Eur. J. Pharmacol. 2019, 861. [Google Scholar] [CrossRef] [PubMed]
- Wróbel, A.; Serefko, A.; Bańczerowska-Górska, M.; Szopa, A.; Dudka, J.; Poleszak, E. Intravesical administration of blebbistatin prevents cyclophosphamide-induced toxicity of the urinary bladder in female Wistar rats. Neurourol. Urodyn. 2019, 1044–1052. [Google Scholar] [CrossRef] [PubMed]
- Shahin, N.N.; Mohamed, M.M. Nano-sized titanium dioxide toxicity in rat prostate and testis: Possible ameliorative effect of morin. Toxicol. Appl. Pharmacol. 2017, 334, 129–141. [Google Scholar] [CrossRef]
- Olayinka, E.T.; Ore, A.; Adeyemo, O.A.; Ola, O.S. The role of flavonoid antioxidant, morin in improving procarbazine-induced oxidative stress on testicular function in rat. Porto Biomed. J. 2019, 4, e28. [Google Scholar] [CrossRef] [PubMed]
- Hussein, M.M.A.; Gad, E.; Ahmed, M.M.; Arisha, A.H.; Mahdy, H.F.; Swelum, A.A.A.; Tukur, H.A.; Saadeldin, I.M. Amelioration of titanium dioxide nanoparticle reprotoxicity by the antioxidants morin and rutin. Environ. Sci. Pollut. Res. 2019, 26, 29074–29084. [Google Scholar] [CrossRef] [PubMed]
- Kuzu, M.; Yıldırım, S.; Kandemir, F.M.; Küçükler, S.; Çağlayan, C.; Türk, E.; Dörtbudak, M.B. Protective effect of morin on doxorubicin-induced hepatorenal toxicity in rats. Chem. Biol. Interact. 2019, 308, 89–100. [Google Scholar] [CrossRef]
- Mo, J.S.; Choi, D.; Han, Y.R.; Kim, N.; Jeong, H.S. Morin has protective potential against ER stress induced apoptosis in renal proximal tubular HK-2 cells. Biomed. Pharmacother. 2019, 112. [Google Scholar] [CrossRef]
- Capitani, N.; Lori, G.; Paoli, P.; Patrussi, L.; Troilo, A.; Baldari, C.T.; Raugei, G.; D’Elios, M.M. LMW-PTP targeting potentiates the effects of drugs used in chronic lymphocytic leukemia therapy. Cancer Cell Int. 2019, 19, 1–9. [Google Scholar] [CrossRef]
- Shin, S.S.; Won, S.Y.; Noh, D.H.; Hwang, B.; Kim, W.J.; Moon, S.K. Morin Inhibits Proliferation, Migration, and Invasion of Bladder Cancer EJ Cells via Modulation of Signaling Pathways, Cell Cycle Regulators, and Transcription Factor-Mediated MMP-9 Expression. Drug Dev. Res. 2017, 78, 81–90. [Google Scholar] [CrossRef]
- Bon, K.; Lantéri-Minet, M.; Menétrey, D.; Berkley, K.J. Sex, time-of-day and estrous variations in behavioral and bladder histological consequences of cyclophosphamide-induced cystitis in rats. Pain 1997, 73, 423–429. [Google Scholar] [CrossRef]
- Terado, M.; Nomura, M.; Mineta, K.; Nishii, H.; Fujimoto, N.; Sasaguri, T.; Sasaguri, Y.; Matsumoto, T. Involvement of estrogen in the pathogenesis of cyclophosphamide-induced cystitis in rats. Endocrine 2005, 26, 55–63. [Google Scholar] [CrossRef]
- Martinez-Ferrer, M.; Iturregui, J.M.; Uwamariya, C.; Starkman, J.; Sharif-Afshar, A.R.; Suzuki, K.; Visedsindh, W.; Matusik, R.J.; Dmochowski, R.R.; Bhowmick, N.A. Role of nicotinic and estrogen signaling during experimental acute and chronic bladder inflammation. Am. J. Pathol. 2008, 172, 59–67. [Google Scholar] [CrossRef]
- Liu, Y.K.; Harty, J.I.; Steinbock, G.S.; Holt, H.A.; Goldstein, D.H.; Amin, M. Treatment of radiation or cyclophosphamide induced hemorrhagic cystitis using conjugated estrogen. J. Urol. 1990, 144, 41–43. [Google Scholar] [CrossRef]
- Ordemann, R.; Naumann, R.; Geissler, G.; Bornhauser, M.; Schuler, U.; Ehninger, G. Encouraging results in the treatment of haemorrhagic cystitis with estrogen-report of 10 cases and review of the literature. Bone Marrow Transplant. 2000, 25, 981–985. [Google Scholar] [CrossRef]
- Kopterides, P.; Theodorakopoulou, M.; Mentzelopoulos, S.; Armaganidis, A. Cyclophosphamide-induced hemorrhagic cystitis successfully treated with conjugated estrogens. Am. J. Hematol. 2005, 80, 166–167. [Google Scholar] [CrossRef]
- Magdalan, J.; Szeląg, A.; Kopacz, M.; Kuźniar, A.; Nowak, D.; Kowalski, P.; Pieśniewska, M. Morin−5′−Sulfonic Acid Sodium Salt as an Antidote in the Treatment of Acute Chromium Poisoning in Rats. Adv. Clin. Exp. Med. 2006, 15, 767–776. [Google Scholar]
- Magdalan, J.; Szeląg, A.; Kopacz, M.; Kuźniar, A.; Nowak, D.; Kowalski, P.; Pieśniewska, M. Quercetin−5′−Sulfonic Acid Sodium Salt and Morin−5′−Sulfonic Acid Sodium Salt as Antidotes in the Treatment of Acute Inorganic Mercury Poisoning—Experimental Studies. Adv. Clin. Exp. Med. 2006, 15, 581–587. [Google Scholar]
- Kopacz, M. Sulfonic derivatives of morin. Pol. J. Chem. 1981, 55, 225–229. [Google Scholar]
- Kopacz, M. Quercetin- and Morinsulfonates as Analytical Reagents. J. Anal. Chem. 2003, 58, 225–229. [Google Scholar] [CrossRef]
- Kuźniar, A.; Kopacz, M.; Nowak, D. Characterization and spectroscopic study of new complexes of Cd(II), Hg(II) and Pb(II) with the sodium salt of morin-5′-sulfonic acid. J. Coord. Chem. 2008, 61, 1005–1018. [Google Scholar] [CrossRef]





Publisher’s Note: MDPI stays neutral with regard to jurisdictional claims in published maps and institutional affiliations. |
© 2021 by the authors. Licensee MDPI, Basel, Switzerland. This article is an open access article distributed under the terms and conditions of the Creative Commons Attribution (CC BY) license (http://creativecommons.org/licenses/by/4.0/).
Share and Cite
Merwid-Ląd, A.; Ksiądzyna, D.; Hałoń, A.; Szkudlarek, D.; Trocha, M.; Szandruk-Bender, M.; Matuszewska, A.; Nowak, B.; Sozański, T.; Kuźniar, A.; et al. Morin-5′-Sulfonic Acid Sodium Salt (NaMSA) Attenuates Cyclophosphamide-Induced Histological Changes in Genitourinary Tract in Rats—Short Report. Pharmaceuticals 2021, 14, 192. https://doi.org/10.3390/ph14030192
Merwid-Ląd A, Ksiądzyna D, Hałoń A, Szkudlarek D, Trocha M, Szandruk-Bender M, Matuszewska A, Nowak B, Sozański T, Kuźniar A, et al. Morin-5′-Sulfonic Acid Sodium Salt (NaMSA) Attenuates Cyclophosphamide-Induced Histological Changes in Genitourinary Tract in Rats—Short Report. Pharmaceuticals. 2021; 14(3):192. https://doi.org/10.3390/ph14030192
Chicago/Turabian StyleMerwid-Ląd, Anna, Dorota Ksiądzyna, Agnieszka Hałoń, Danuta Szkudlarek, Małgorzata Trocha, Marta Szandruk-Bender, Agnieszka Matuszewska, Beata Nowak, Tomasz Sozański, Anna Kuźniar, and et al. 2021. "Morin-5′-Sulfonic Acid Sodium Salt (NaMSA) Attenuates Cyclophosphamide-Induced Histological Changes in Genitourinary Tract in Rats—Short Report" Pharmaceuticals 14, no. 3: 192. https://doi.org/10.3390/ph14030192
APA StyleMerwid-Ląd, A., Ksiądzyna, D., Hałoń, A., Szkudlarek, D., Trocha, M., Szandruk-Bender, M., Matuszewska, A., Nowak, B., Sozański, T., Kuźniar, A., & Szeląg, A. (2021). Morin-5′-Sulfonic Acid Sodium Salt (NaMSA) Attenuates Cyclophosphamide-Induced Histological Changes in Genitourinary Tract in Rats—Short Report. Pharmaceuticals, 14(3), 192. https://doi.org/10.3390/ph14030192

