Design and Synthesis of Highly Active Antimycobacterial Mutual Esters of 2-(2-Isonicotinoylhydrazineylidene)propanoic Acid
Abstract
:1. Introduction
2. Materials and Methods
2.1. Chemistry
2.1.1. General
2.1.2. Synthesis
2.2. Biological Activity
2.2.1. Antimycobacterial Activity
Analysis of Sensitivity of Mtb. H37Ra Strains Overproducing InhA and KatG
Investigation of mechanism of action
2.2.2. Cytotoxic Activity
3. Results and Discussion
3.1. Design of Esters
3.2. Chemistry
3.3. Microbiology
3.3.1. Antimycobacterial Activity
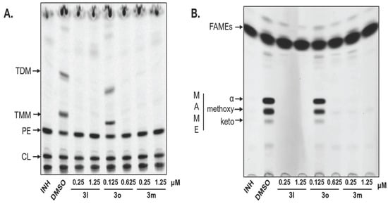
3.3.2. Investigation of Mechanism of Action
3.3.3. Cytotoxicity and Selectivity
4. Conclusions
Author Contributions
Funding
Institutional Review Board Statement
Informed Consent Statement
Data Availability Statement
Conflicts of Interest
References
- WHO. Tuberculosis and COVID-19. 2020. Available online: https://www.who.int/teams/global-tuberculosis-programme/covid-19 (accessed on 13 October 2021).
- WHO. Global Tuberculosis Report 2020. 2021. Available online: https://apps.who.int/iris/rest/bitstreams/1312164/retrieve (accessed on 13 October 2021).
- WHO. Tuberculosis. 2020. Available online: https://www.who.int/news-room/fact-sheets/detail/tuberculosis (accessed on 13 October 2021).
- Timmins, G.S.; Deretic, V. Mechanisms of action of isoniazid. Mol. Biol. 2006, 62, 1220–1227. [Google Scholar] [CrossRef] [PubMed]
- Vilchèze, C.; Jacobs, W.R., Jr. The mechanism of isoniazid killing: Clarity through the scope of genetic. Annu. Rev. Microbiol. 2007, 61, 35–50. [Google Scholar] [CrossRef] [PubMed]
- Lempens, P.; Meehan, C.J.; Vandelannoote, K.; Fissette, K.; de Rijk, P.; Van Deun, A.; Rigouts, L.; de Jong, B.C. Isoniazid resistance levels of Mycobacterium tuberculosis can largely be predicted by high-confidence resistance-conferring mutations. Sci. Rep. 2018, 8, 3246. [Google Scholar] [CrossRef]
- Hazbón, M.H.; Brimacombe, M.; del Valle, M.B.; Cavatore, M.; Guerrero, M.I.; Varma-Basil, M.; Billman-Jacobe, H.; Lavender, C.; Fyfe, J.; García-García, L.; et al. Population genetics study of isoniazid resistance mutations and evolution of multidrug-resistant Mycobacterium tuberculosis. Antimicrob. Agents Chemother. 2006, 50, 2640–2649. [Google Scholar] [CrossRef] [Green Version]
- Martins, F.; Ventura, S.C.; Elvas-Leitao, R.; Santos, L.; Vitorino, S.; Reis, M.; Miranda, V.; Correia, H.E.; Aires-de-Sousa, J.; Kovalishyn, V.; et al. Design, synthesis and biological evaluation of novel isoniazid derivatives with potent antitubercular activity. Eur. J. Med. Chem. 2014, 81, 119–138. [Google Scholar] [CrossRef] [PubMed] [Green Version]
- Shtyrlin, N.V.; Khaziev, R.M.; Shtyrlin, V.G.; Gilyazetdinov, E.M.; Agafonova, M.N.; Usachev, K.S.; Islamov, D.R.; Klimovitskii, A.E.; Vinogradova, T.I.; Dogonadze, M.Z.; et al. Isonicotinoyl hydrazones of pyridoxine derivatives: Synthesis and antimycobacterial activity. Med. Chem. Res. 2021, 30, 952–963. [Google Scholar] [CrossRef]
- Scior, T.; Garcés-Eisele, S.J. Isoniazid is not a lead compound for its pyridyl ring derivatives, isonicotinoyl amides, hydrazides, and hydrazones: A critical review. Curr. Med. Chem. 2006, 13, 2205–2219. [Google Scholar] [CrossRef] [PubMed]
- Manav, M.; Manu, A.; Abdul, S.; Kapendra, S.; Priyanka, P.; Aakash, D. Synthesis and evaluation of some novel derivatives of 2-propoxybenzylideneisonicotinohydrazide for their potential antimicrobial activity. J. Serb. Chem. Soc. 2012, 77, 589–597. [Google Scholar]
- Kratky, M.; Vinsova, J. Salicylanilide Ester Prodrugs as Potential Antimicrobial Agents—A Review. Curr. Pharm. Des. 2011, 17, 3494–3505. [Google Scholar] [CrossRef] [PubMed]
- Krátký, M.; Vinšová, J.; Novotná, E.; Stolaříková, J. Salicylanilide pyrazinoates inhibit in vitro multidrug-resistant Mycobacterium tuberculosis strains, atypical mycobacteria and isocitrate lyase. Eur. J. Pharm. Sci. 2014, 53, 1–9. [Google Scholar] [CrossRef] [PubMed]
- Pflégr, V.; Horváth, L.; Stolaříková, J.; Pál, A.; Korduláková, J.; Bősze, S.; Vinšová, J.; Krátký, M. Design and synthesis of 2-(2-isonicotinoylhydrazineylidene)propanamides as InhA inhibitors with high antitubercular activity. Eur. J. Med. Chem. 2021, 223, 113668. [Google Scholar] [CrossRef]
- Zampieri, D.; Mamolo, M.G.; Vio, L.; Romano, M.; Skoko, N.; Baralle, M.; Pau, V.; De Logu, A. Antimycobacterial activity of new N1-[1-[1-aryl-3-[4-(1H-imidazol-1-yl)phenyl]-3-oxo]propyl]-pyridine-2-carboxamidrazone derivatives. Bioorg. Med. Chem. Lett. 2016, 26, 3287–3290. [Google Scholar] [CrossRef] [PubMed]
- Mantu, D.; Antoci, V.; Moldoveanu, C.; Zbancioc, G.; Mangalagiu, I.I. Hybrid imidazole (benzimidazole)/pyridine (quinoline) derivatives and evaluation of their anticancer and antimycobacterial activity. J. Enzym. Inhib. Med. Chem. 2016, 31, 96–103. [Google Scholar] [CrossRef] [Green Version]
- Antoci, V.; Cucu, D.; Zbancioc, G.; Moldoveanu, C.; Mangalagiu, V.; Amariucai-Mantu, D.; Aricu, A.; Mangalagiu, I.I. Bis-(imidazole/benzimidazole)-pyridine derivatives: Synthesis, structure and antimycobacterial activity. Future Med. Chem. 2020, 12, 207–222. [Google Scholar] [CrossRef] [PubMed] [Green Version]
- Krátký, M.; Stolaříková, J.; Vinšová, J. Antimicrobial activity of rhodanine-3-acetic acid derivatives. Bioorg. Med. Chem. 2017, 25, 1839–1845. [Google Scholar] [CrossRef] [PubMed]
- Kryukova, L.M.; Zelenin, K.N.; Értevtsian, L.N.; Dobrego, V.A. Synthesis and bacteriostatic activity of thiosemicarbazones and isonicotinoylhydrazones of pyruvic acid. Pharm. Chem. J. 1977, 11, 1609–1611. [Google Scholar] [CrossRef]
- Shingnapurkar, D.; Dandawate, P.; Anson, C.E.; Powell, A.K.; Afrasiabi, Z.; Sinn, E.; Pandit, S.; Venkateswara Swamy, K.; Franzblau, S.; Padhye, S. Synthesis and characterization of pyruvate–isoniazid analogs and their copper complexes as potential ICL inhibitors. Bioorg. Med. Chem. Lett. 2012, 22, 3172–3176. [Google Scholar] [CrossRef] [PubMed]
- Larsen, M.H.; Vilchèze, C.; Kremer, L.; Besra, G.S.; Parsons, L.; Salfinger, M.; Heifets, L.; Hazbon, M.H.; Alland, D.; Sacchettini, J.C.; et al. Overexpression of inhA, but not kasA, confers resistance to isoniazid and ethionamide in Mycobacterium smegmatis, M. bovis BCG and M. tuberculosis. Mol. Microbiol. 2002, 46, 453–466. [Google Scholar] [CrossRef] [PubMed]
- Folch, J.; Lees, M.; Sloane Stanley, G.H. A simple method for the isolation and purification of total lipides from animal tissues. J. Biol. Chem. 1957, 226, 497–509. [Google Scholar] [CrossRef]
- Phetsuksiri, B.; Baulard, A.R.; Cooper, A.M.; Minnikin, D.E.; Douglas, J.D.; Besra, G.S.; Brennan, P.J. Antimycobacterial Activities of Isoxyl and New Derivatives through the Inhibition of Mycolic Acid Synthesis. Antimicrob. Agents Chemother. 1999, 43, 1042–1051. [Google Scholar] [CrossRef] [Green Version]
- Mazlun, M.H.; Sabran, S.F.; Mohamed, M.; Abu Bakar, M.F.; Abdullah, Z. Phenolic Compounds as Promising Drug Candidates in Tuberculosis Therapy. Molecules 2019, 24, 2449. [Google Scholar] [CrossRef] [PubMed] [Green Version]
- Bennett, E.O. Factors Affecting the Antimicrobial Activity of Phenols. Adv. Appl. Microbiol. 1959, 1, 123–140. [Google Scholar] [PubMed]
- Andrade-Ochoa, S.; Nevárez-Moorillón, G.V.; Sánchez-Torres, L.E.; Villanueva-García, M.; Sánchez-Ramírez, B.E.; Rodríguez-Valdez, L.M.; Rivera-Chavira, B.E. Quantitative structure-activity relationship of molecules constituent of different essential oils with antimycobacterial activity against Mycobacterium tuberculosis and Mycobacterium bovis. BMC Complementary Altern. Med. 2015, 15, 332. [Google Scholar] [CrossRef] [PubMed] [Green Version]
- Chahine, E.B.; Karaoui, L.R.; Mansour, H. Bedaquiline: A novel diarylquinoline for multidrug-resistant tuberculosis. Ann. Pharmacother. 2013, 48, 107–115. [Google Scholar] [CrossRef] [PubMed]
- Darby, C.M.; Nathan, C.F. Killing of non-replicating Mycobacterium tuberculosis by 8-hydroxyquinoline. J. Antimicrob. Chemother. 2010, 65, 1424–1427. [Google Scholar] [CrossRef] [Green Version]
- Vosátka, R.; Krátký, M.; Vinšová, J. Triclosan and its derivatives as antimycobacterial active agents. Eur. J. Pharm. Sci. 2018, 114, 318–331. [Google Scholar] [CrossRef] [PubMed]
- Zimmermann, P.; Curtis, N. Antimicrobial Effects of Antipyretics. Antimicrob. Agents Chemother. 2017, 61, e02268-16. [Google Scholar] [CrossRef] [PubMed] [Green Version]
- Feng, M.; Tang, B.; Liang, S.H.; Jiang, X. Sulfur Containing Scaffolds in Drugs: Synthesis and Application in Medicinal Chemistry. Curr. Top. Med. Chem. 2016, 16, 1200–1216. [Google Scholar] [CrossRef]
- Mewada, N.S.; Shah, D.R.; Lakum, H.P.; Chikhalia, K.H. Synthesis and biological evaluation of novel s-triazine based aryl/heteroaryl entities: Design, rationale and comparative study. J. Assoc. Arab. Univ. Basic Appl. Sci. 2016, 20, 8–18. [Google Scholar] [CrossRef] [Green Version]
- Lin, P.L.; Dartois, V.; Johnston, P.J.; Janssen, C.; Via, L.; Goodwin, M.B.; Klein, E.; Barry, C.E.; Flynn, J.L. Metronidazole prevents reactivation of latent Mycobacterium tuberculosis infection in macaques. Proc. Natl. Acad. Sci. USA 2012, 109, 14188–14193. [Google Scholar] [CrossRef] [PubMed] [Green Version]
- Carroll, M.W.; Jeon, D.; Mountz, J.M.; Lee, J.D.; Jeong, Y.J.; Zia, N.; Lee, M.; Lee, J.; Via, L.E.; Lee, S.; et al. Efficacy and Safety of Metronidazole for Pulmonary Multidrug-Resistant Tuberculosis. Antimicrob. Agents Chemother. 2013, 57, 3903–3909. [Google Scholar] [CrossRef] [PubMed] [Green Version]
- Rychtarčíková, Z.; Krátký, M.; Gazvoda, M.; Komlóová, M.; Polanc, S.; Kočevar, M.; Stolaříková, J.; Vinšová, J. N-Substituted 2-Isonicotinoylhydrazinecarboxamides—New Antimycobacterial Active Molecules. Molecules 2014, 19, 3851–3868. [Google Scholar] [CrossRef] [PubMed] [Green Version]
- Lei, S.; Gu, R.; Ma, X. Clinical perspectives of isoniazid-induced liver injury. Liver Res. 2021, 5, 45–52. [Google Scholar] [CrossRef]



![]() | |||||||||
|---|---|---|---|---|---|---|---|---|---|
| MIC (µM) | |||||||||
| Code | R | Mtb. 331/88 | M. avium 330/88 | M. kansasii 6509/96 | ClogP | ||||
| 14 d | 21 d | 14 d | 21 d | 7 d | 14 d | 21 d | |||
| 3a | Me | 0.25 | 0.25 | 500 | 1000 | 2 | 4 | 8 | 0.581 |
| 3b | H | 0.125 | 0.25 | >250 | >250 | 8 | 8 | 8 | 2.016 |
| 3c | 4-Me | ≤0.25 | 0.5 | >250 | >250 | 8 | 8 | 8 | 2.515 |
| 3d | 4-MeO | 0.25 | 0.25 | 500 | 1000 | 4 | 8 | 8 | 1.935 |
| 3e | 4-PhO | ≤0.125 | 0.5 | 250 | 500 | 2 | 4 | 4 | 4.114 |
| 3f | 4-F | 0.25 | 0.5 | 500 | 500 | 2 | 4 | 4 | 2.159 |
| 3g | 4-Cl | ≤0.125 | ≤0.125 | 500 | 1000 | 4 | 8 | 16 | 2.729 |
| 3h | 4-Br | ≤0.125 | 0.25 | 250 | 500 | 8 | 8 | 16 | 2.879 |
| 3i | 1-naphtyl | 0.25 | 0.25 | 125 | 250 | 0.25 | 0.25 | 0.25 | 3.190 |
| 3j | 2-naphtyl | 0.25 | 0.25 | 125 | 250 | 0.25 | 0.25 | 0.5 | 3.190 |
| 3k | 2-iPr-5-Me | 0.25 | 0.25 | 500 | 1000 | 8 | 16 | 16 | 3.942 |
| 3l | 2-Me-5-iPr | 0.25 | 0.25 | 125 | 250 | 0.25 | 0.25 | 0.25 | 3.942 |
| 3m | quinolin-8-yl | 0.25 | 0.5 | 32 | 64 | 2 | 4 | 4 | 1.903 |
| 3n | pyridin-4-ylmethyl | 0.5 | 1 | ≥1000 | ≥1000 | 8 | 16 | 16 | 0.852 |
| 3o | 5-Cl-2-(2,4-diCl-PhO) | ≤0.125 | ≤0.125 | 64 | 64 | 4 | 4 | 8 | 6.023 |
| 3p | 4-Ac-NH | 0.25 | 0.5 | 1000 | 1000 | 8 | 16 | 16 | 1.035 |
| 3q | - | 0.25 | 0.5 | 500 | 1000 | 2 | 4 | 4 | 0.821 |
| 3r | Et | 0.25 | 0.25 | 250 | 500 | 1 | 2 | 4 | 1.610 |
| 3s | Ph | 0.25 | 0.25 | 250 | 250 | 1 | 2 | 4 | 2.516 |
| 2 [14] | H | 1 | 1 | 500 | >1000 | 8 | 16 | 16 | −0.175 |
| INH 1 | - | 1 | 1 | >250 | >250 | 8 | 8 | 16 | −0.668 |
| Precursor | MIC (µM) | ||||||
|---|---|---|---|---|---|---|---|
| Mtb. 331/88 | M. avium 330/88 | M. kansasii 6509/96 | |||||
| 14 d | 21 d | 14 d | 21 d | 7 d | 14 d | 21 d | |
| Phenols | ≥1000 | ≥1000 | ≥1000 | ≥1000 | ≥1000 | ≥1000 | ≥1000 |
| 4-phenoxyphenol | 64 | 64 | 250 | 500 | 32 | 64 | 125 |
| 1-naphthol | 250 | 500 | 500 | 500 | 125 | 250 | 500 |
| 2-naphthol | 500 | 500 | 1000 | 1000 | 250 | 500 | 500 |
| Carvacrol | 125 | 250 | 250 | 500 | 125 | 250 | 500 |
| Thymol | 64 | 125 | 250 | 500 | 125 | 250 | 500 |
| Quinolin-8-ol | 8 | 8 | 64 | 64 | 16 | 32 | 32 |
| Triclosan | 32 | 32 | 64 | 64 | 16 | 32 | 32 |
| Paracetamol | >1000 | >1000 | >1000 | >1000 | 1000 | >1000 | >1000 |
| Metronidazole | >1000 | >1000 | >1000 | >1000 | 1000 | >1000 | >1000 |
| INH 1 | 1 | 1 | >250 | >250 | 4 | 8 | 8 |
| Code | MIC (µM) | |||||||||||||
|---|---|---|---|---|---|---|---|---|---|---|---|---|---|---|
| Mtb. Praha 1 | Mtb. Praha 4 | Mtb. Praha 131 | Mtb. 234/2005 | Mtb. 9449/2007 | Mtb. 7357/1998 | Mtb. 8666/2010 | ||||||||
| 14 d | 21 d | 14 d | 21 d | 14 d | 21 d | 14 d | 21 d | 14 d | 21 d | 14 d | 21 d | 14 d | 21 d | |
| 3b | 16 | 16 | 16 | 16 | 16 | 16 | 32 | 32 | 32 | 32 | 16 | 16 | 16 | 16 |
| 3d | 8 | 16 | 16 | 32 | 8 | 16 | 16 | 32 | 16 | 16 | 16 | 16 | 8 | 16 |
| 3g | 8 | 8 | 16 | 16 | 8 | 8 | 16 | 32 | 16 | 16 | 16 | 16 | 8 | 16 |
| 3i | 64 | 125 | 16 | 32 | 32 | 32 | 16 | 32 | 32 | 32 | 16 | 32 | 16 | 16 |
| 3j | 125 | 125 | 32 | 32 | 32 | 32 | 16 | 32 | 32 | 32 | 32 | 32 | 16 | 32 |
| 3k | 125 | 125 | 16 | 32 | 32 | 64 | 32 | 32 | 32 | 32 | 32 | 32 | 16 | 32 |
| 3l | 32 | 64 | 8 | 16 | 32 | 64 | 16 | 32 | 16 | 32 | 16 | 32 | 16 | 16 |
| 3m | 8 | 8 | 8 | 8 | 8 | 8 | 8 | 8 | 8 | 8 | 8 | 8 | 8 | 8 |
| 3o | 125 | 125 | 32 | 32 | 32 | 32 | 32 | 32 | 32 | 32 | 32 | 32 | 32 | 32 |
| 3p | 125 | 125 | 32 | 32 | 32 | 64 | 32 | 64 | 32 | 64 | 16 | 32 | 32 | 32 |
| 3q | 125 | 125 | 32 | 32 | 16 | 32 | 32 | 32 | 32 | 32 | 16 | 32 | 16 | 16 |
| 3s | 64 | 125 | 32 | 64 | 32 | 64 | 32 | 64 | 64 | 64 | 32 | 64 | 32 | 32 |
| Mtb. Strains | MIC (μM) | ||
|---|---|---|---|
| 3l | 3m | 3o | |
| H37Rv | 0.25 | 0.25 | 0.125 |
| H37Ra pMV261/pVV16 | 0.25 | 0.25 | 0.325 |
| H37Ra pMV261-inhA | 5 | 5 | 6.25 |
| H37Ra pVV16-katGsmeg | 0.05–0.125 | 0.125 | 0.125 |
| Code | SI for Mtb. 331/88 | SI for M. kansasii 6509/96 | Code | SI for Mtb. 331/88 | SI for M. kansasii 6509/96 |
|---|---|---|---|---|---|
| 3a | ≥4000 | ≥125 | 3k | 1251 | 39.1 |
| 3b | ≥4000 | ≥125 | 3l | >4000 | >4000 |
| 3c | ≥2000 | ≥125 | 3m | ≥493 | ≥61.7 |
| 3d | ≥4000 | ≥125 | 3n | ≥1000 | ≥62.5 |
| 3e | ≥1102 | ≥137.8 | 3o | 1687 | ≥26.4 |
| 3f | ≥2000 | ≥250 | 3p | ˃2000 | ≥62.5 |
| 3g | ≥8000 | ≥62.5 | 3q | ≥2000 | ≥250 |
| 3h | ≥4000 | ≥62.5 | 3r | 4000 | ≥250 |
| 3i | 3997 | 3997 | 3s | 728 | ≥45.5 |
| 3j | 2729 | 2729 | INH 1 | >1000 | ≥62.5 |
Publisher’s Note: MDPI stays neutral with regard to jurisdictional claims in published maps and institutional affiliations. |
© 2021 by the authors. Licensee MDPI, Basel, Switzerland. This article is an open access article distributed under the terms and conditions of the Creative Commons Attribution (CC BY) license (https://creativecommons.org/licenses/by/4.0/).
Share and Cite
Pflégr, V.; Maixnerová, J.; Stolaříková, J.; Pál, A.; Korduláková, J.; Trejtnar, F.; Vinšová, J.; Krátký, M. Design and Synthesis of Highly Active Antimycobacterial Mutual Esters of 2-(2-Isonicotinoylhydrazineylidene)propanoic Acid. Pharmaceuticals 2021, 14, 1302. https://doi.org/10.3390/ph14121302
Pflégr V, Maixnerová J, Stolaříková J, Pál A, Korduláková J, Trejtnar F, Vinšová J, Krátký M. Design and Synthesis of Highly Active Antimycobacterial Mutual Esters of 2-(2-Isonicotinoylhydrazineylidene)propanoic Acid. Pharmaceuticals. 2021; 14(12):1302. https://doi.org/10.3390/ph14121302
Chicago/Turabian StylePflégr, Václav, Jana Maixnerová, Jiřina Stolaříková, Adrián Pál, Jana Korduláková, František Trejtnar, Jarmila Vinšová, and Martin Krátký. 2021. "Design and Synthesis of Highly Active Antimycobacterial Mutual Esters of 2-(2-Isonicotinoylhydrazineylidene)propanoic Acid" Pharmaceuticals 14, no. 12: 1302. https://doi.org/10.3390/ph14121302
APA StylePflégr, V., Maixnerová, J., Stolaříková, J., Pál, A., Korduláková, J., Trejtnar, F., Vinšová, J., & Krátký, M. (2021). Design and Synthesis of Highly Active Antimycobacterial Mutual Esters of 2-(2-Isonicotinoylhydrazineylidene)propanoic Acid. Pharmaceuticals, 14(12), 1302. https://doi.org/10.3390/ph14121302


