Electrochemical Determination of Trace Sudan I Contamination in Chili Powder at Carbon Nanotube Modified Electrodes
Abstract
:1. Introduction
2. Experimental
2.1 Reagents and apparatus
2.2 Fabrication of MWCNTs modified GCE
2.3 Analytical procedures
3. Results and Discussion
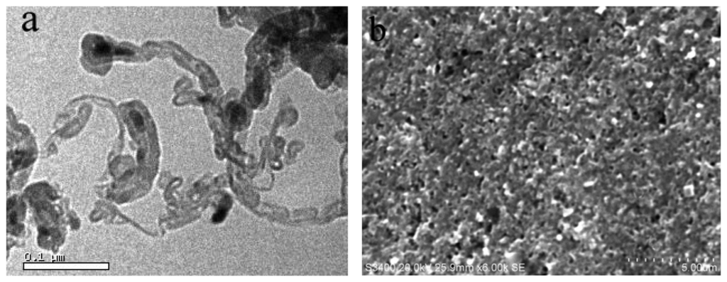
3.1 Surface characterization of the MWCNTs modified GCE
3.2 Electrochemical behavior of Sudan I at the MWCNTs modified GCE
3.3 Optimization of experimental variables
3.3.1 Effect of supporting electrolytes
3.3.2 Effect of amount of MWCNT-DHP suspension
3.3.3 Effect of accumulation potential or accumulation time
3.4 Analytical performance
3.4.1 Calibration plot and stability
3.4.2 Analytical application
3.4.3 Interference
4. Conclusions
Acknowledgments
References
- Chung, K.T. Mutagenicity and carcinogenicity of aromatic amines metabolically produced from azo dyes. J. Environ. Sci. Heal. C 2000, 18, 51–74. [Google Scholar]
- Ahlstrom, L-H.; Sparr Eskilsson, C.; Bjorklund, E. Determination of banned azo dyes in consumer goods. TRAC-Trend Anal. Chem. 2005, 24, 49–56. [Google Scholar]
- He, L.; Su, Y.; Fang, B.; Shen, X.; Zeng, Z.; Liu, Y. Determination of Sudan dye residues in eggs by liquid chromatography and gas chromatography–mass spectrometry. Anal. Chim. Acta 2007, 594, 139–146. [Google Scholar]
- Chen, Q.; Mou, S.; Hou, X.; Riviello, J.M.; Ni, Z.J. Determination of eight synthetic food colorants in drinks by high-performance ion chromatography. J. Chromatogr. A 1998, 827, 73–81. [Google Scholar]
- Calbiani, F.; Careri, M.; Elviri, L.; Mangia, A.; Pistara, L.; Zagnoni, I. Development and in-house validation of a liquid chromatography–electrospray–tandem mass spectrometry method for the simultaneous determination of Sudan I, Sudan II, Sudan III and Sudan IV in hot chilli products. J. Chromatogr. A 2004, 1042, 123–130. [Google Scholar]
- Calbiani, F.; Careri, M.; Elviri, L.; Mangia, A.; Zagnoni, I. Accurate mass measurements for the confirmation of Sudan azo-dyes in hot chilli products by capillary liquid chromatography–electrospray tandem quadrupole orthogonal-acceleration time of flight mass spectrometry. J. Chromatogr. A 2004, 1058, 127–135. [Google Scholar]
- Mazzetti, M.; Fascioli, R.; Mazzoncini, I.; Spinelli, G.; Morelli, I.; Bertoli, A. Determination of 1-phenylazo-2-naphthol (Sudan I) in chilli powder and in chilli-containing food products by GPC clean-up and HPLC with LC/MS confirmation. Food Addit. Contam. 2004, 21, 935–941. [Google Scholar]
- National Standard of the People's Republic of China. GB/T 19681—2005. Method for the determination of Sudan dyes in foods ––High performance liquid chromatography 2005.
- Puoci, F.; Garreffa, C.; Iemma, F.; Muzzalupo, R.; Spizzirri, U.G.; Picci, N. Molecularly imprinted solid phase extraction for detection of sudan I in food matrices. Food Chem. 2005, 93. [Google Scholar]
- Ma, M.; Luo, X.; Chen, B.; Su, S.; Yao, S. Simultaneous determination of water-soluble and fat-soluble synthetic colorants in foodstuff by high-performance liquid chromatography–diode array detection–electrospray mass spectrometry. J. Chromatogr. A 2006, 1130, 170–176. [Google Scholar]
- Cornet, V.; Govaert, Y.; Moens, G.; Loco, J.V.; Degroodt, J.M. Development of a Fast Analytical Method for the Determination of Sudan Dyes in Chili- and Curry-Containing Foodstuffs by High-Performance Liquid Chromatography-Photodiode Array Detection. J. Agr. Food Chem. 2006, 54, 639–644. [Google Scholar]
- Wu, L.P.; Li, Y.F.; Huang, C.Z.; Zhang, Q. Visual Detection of Sudan Dyes Based on the Plasmon Resonance Light Scattering Signals of Silver Nanoparticles. Anal. Chem. 2006, 78, 5570–5577. [Google Scholar]
- Mejia, E.; Ding, Y.; Mora, M.F.; Garcia, D. Determination of banned sudan dyes in chili powder by capillary electrophoresis. Food Chem. 2007, 102, 1027–1033. [Google Scholar]
- Tsang, S.C.; Chen, Y.K.; Harris, P.J.F. A simple chemical method of opening and filling carbon nanotubes. Nature 1994, 372, 159–162. [Google Scholar]
- Bard, A.J. Encyclopedia of electrochemistry of the elements; New York; Marcel Dekker, 1974; p. 174. [Google Scholar]
- Kolthoff, I.M.; Elving, P.J. Treatise on Analytical Chemistry, II; New York; Wiley, 1976; vol. 15, p. 465. [Google Scholar]
- Wu, K.; Hu, S. Deposition of a thin film of carbon nanotubes onto a glassy carbon electrode by electropolymerization. Carbon 2004, 45, 3237–3242. [Google Scholar]
- Barek, J.; Moreira, J.C.; Zima, J. Modern electrochemical methods for monitoring of chemical carcinogens. Sensors 2005, 5, 148–158. [Google Scholar]
- Bersier, P.M.; Bersier, J. Polarography and voltammetry of dyes and intermediates. TRAC-Trend Anal. Chem. 1986, 5, 97–102. [Google Scholar]
- Barek, J.; Fogg, A.G.; Moreira, J.C.; Zanoni, M.V.B.; Zima, J. Polarographic and voltammetric determination of selected triazine-based azo dyes with different reactive groups. Anal. Chim. Acta 1996, 320, 31–42. [Google Scholar]
- Zanoni, M.V.B.; Fogg, A.G.; Barek, J.; Zima, J. Electrochemical investigations of reactive dyes; cathodic stripping voltammetric determination of anthraquinone-based chlorotriazine dyes at a hanging mercury drop electrode. Anal. Chim. Acta 1997, 349, 101–109. [Google Scholar]
- Zanoni, M.V.B.; Carneiro, P.A.; Furlan, M.; Duarte, E.S.; Guaratini, C.C.I.; Fogg, A.G. Determination of the vinylsulphone azo dye, remazol brilliant orange 3R, by cathodic stripping voltammetry. Anal. Chim. Acta 1999, 385, 385–392. [Google Scholar]
- Iijima, S. Helical microtubules of graphitic carbon. Nature 1991, 354, 56–58. [Google Scholar]
- Baughrman, R.H.; Zakhidov, A.A.; Heer, W.A. Carbon nanotubes–the route towards applications. Science 2002, 297, 787–792. [Google Scholar]
- Wang, J.; Musamech, M.; Lin, Y. Solubilization of carbon nanotubes by nafion toward the preparation of amperometric biosensors. J. Am. Chem. Soc. 2003, 125, 2408–2409. [Google Scholar]
- Musamech, M.; Wang, J.; Merkoci, A.; Lin, Y. Low-potential stable NADH detection at carbon-nanotube-modified glassy carbon electrodes. Electrochem. Comm. 2002, 4, 743–746. [Google Scholar]
- Anu, A.; Peter, K.V. The chemistry of paprika. Capsicumand Eggplant Newsletter 2000, 19, 19–22. [Google Scholar]




| No. | Sudan I added (M) | Average recovered concentration of Sudan I (M) | Recovery (%) | RSD (%) |
|---|---|---|---|---|
| 1 | 7.00×10-7 | 7.42×10-7 | 106.0 | 5.43 |
| 2 | 1.00×10-6 | 9.72×10-7 | 94.5 | 4.65 |
| 3 | 4.00×10-6 | 4.18×10-6 | 104.5 | 2.62 |
| 4 | 8.00×10-6 | 7.56×10-6 | 97.2 | 3.28 |
| 5 | 2.00×10-5 | 1.96×10-5 | 98.0 | 1.86 |
© 2008 by MDPI Reproduction is permitted for noncommercial purposes.
Share and Cite
Ming, L.; Xi, X.; Chen, T.; Liu, J. Electrochemical Determination of Trace Sudan I Contamination in Chili Powder at Carbon Nanotube Modified Electrodes. Sensors 2008, 8, 1890-1900. https://doi.org/10.3390/s8031890
Ming L, Xi X, Chen T, Liu J. Electrochemical Determination of Trace Sudan I Contamination in Chili Powder at Carbon Nanotube Modified Electrodes. Sensors. 2008; 8(3):1890-1900. https://doi.org/10.3390/s8031890
Chicago/Turabian StyleMing, Liang, Xia Xi, Tingting Chen, and Jie Liu. 2008. "Electrochemical Determination of Trace Sudan I Contamination in Chili Powder at Carbon Nanotube Modified Electrodes" Sensors 8, no. 3: 1890-1900. https://doi.org/10.3390/s8031890
APA StyleMing, L., Xi, X., Chen, T., & Liu, J. (2008). Electrochemical Determination of Trace Sudan I Contamination in Chili Powder at Carbon Nanotube Modified Electrodes. Sensors, 8(3), 1890-1900. https://doi.org/10.3390/s8031890
