Automated Segmentation of Breast Cancer Focal Lesions on Ultrasound Images
Abstract
1. Introduction
2. Materials and Methods
2.1. Materials
2.2. Methods
2.2.1. General Description of the Methodology
2.2.2. Classification of Normal Tissues
2.2.3. Segmentation of the Pathologic Lesion
2.2.4. Quality Assessment of Lesion Segmentation
- The mean value and standard deviation σ of the Euclidean distance between the nearest points of the segmented contour and the ground truth (in pixels):where di is the Euclidean distance between the nearest contour points, and N is the number of contour points.
- The ratio of the area of intersection to the union of the segmented contour and the ground truth:where A is the area of the lesion segmented by the proposed method, and B is the area of the ground truth (in pixels).
- Precision, Recall, and F1-score:where , ,
3. Results
3.1. Classification and Suppression of Normal Tissues
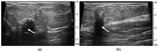
3.2. Segmentation of Pathologic Lesion
3.3. Testing of the Combined Method
4. Discussion
5. Conclusions
Author Contributions
Funding
Institutional Review Board Statement
Informed Consent Statement
Data Availability Statement
Conflicts of Interest
References
- Sung, H.; Ferlay, J.; Siegel, R.L.; Laversanne, M.; Soerjomataram, I.; Jemal, A.; Bray, F. Global Cancer Statistics 2020: GLOBOCAN Estimates of Incidence and Mortality Worldwide for 36 Cancers in 185 Countries. CA Cancer J. Clin. 2021, 71, 209–249. [Google Scholar] [CrossRef] [PubMed]
- Tiruneh, M.; Tesfaw, A.; Tesfa, D. Survival and Predictors of Mortality among Breast Cancer Patients in Northwest Ethiopia: A Retrospective Cohort Study. Cancer Manag. Res. 2021, 13, 9225–9234. [Google Scholar] [CrossRef] [PubMed]
- Zhu, J.Y.; He, H.L.; Jiang, X.C.; Bao, H.-W.; Chen, F. Multimodal ultrasound features of breast cancers: Correlation with molecular subtypes. BMC Med. Imaging 2023, 23, 57. [Google Scholar] [CrossRef] [PubMed]
- Kolchev, A.A.; Pasynkov, D.V.; Egoshin, I.A.; Kliouchkin, I.V.; Pasynkova, O.O. Cystic (including atypical) and solid breast lesion classification using the different features of quantitative ultrasound parametric images. Int. J. Comput. Assist. Radiol. Surg. 2022, 17, 219–228. [Google Scholar] [CrossRef]
- Kolchev, A.A.; Pasynkov, D.V.; Egoshin, I.A.; Kliouchkin, I.V.; Pasynkova, O.O. Deep-learning feature extraction with their subsequent selection and support vector machine classification of the breast ultrasound images. Comput. Opt. 2024, 48, 753–761. [Google Scholar]
- Liu, L.; Li, K.; Qin, W. Automated breast tumor detection and segmentation with a novel computational framework of whole ultrasound images. Med. Biol. Eng. Comput. 2018, 56, 183–199. [Google Scholar] [CrossRef]
- Wu, L.; Cheng, J.Z.; Li, S. FUIQA: Fetal ultrasound image quality assessment with deep convolution networks. IEEE Trans. Cybern. 2017, 47, 1336–1349. [Google Scholar] [CrossRef]
- Wang, Y.; Jiao, J. Detection of regions of interest from breast tumor ultrasound images using improved PCNN. Opt. Precis. Eng. 2011, 19, 1398–1405. [Google Scholar] [CrossRef]
- Chen, G.; Dai, Y.; Zhang, J. C-Net: Cascaded convolutional neural network with global guidance and refinement residuals for breast ultrasound images segmentation. Comput. Methods Prog Biomed. 2022, 255, 107086. [Google Scholar] [CrossRef]
- Breiman, L. Random forests. J. Mach. Learn. 2001, 45, 5–32. [Google Scholar] [CrossRef]
- Langsetmo, L.; Schousboe, J.T.; Taylor, B.C.; Cauley, J.A.; Fink, H.A.; Cawthon, P.M.; Kado, D.M.; Ensrud, K.E.; for the Osteoporotic Fractures in Men (MrOS) Research Group. Advantages and Disadvantages of Random Forest Models for Prediction of Hip Fracture Risk Versus Mortality Risk in the Oldest Old. JBMR Plus 2023, 7, e10757. [Google Scholar] [CrossRef]
- Niblack, W. An Introduction to Digital Image Processing; Prentice-Hall: Englewood Cliffs, NJ, USA, 1986; pp. 115–116. [Google Scholar]
- Lyu, Y.; Xu, Y.; Jiang, X.; Liu, J.; Zhao, X.; Zhu, X. AMS-PAN: Breast ultrasound image segmentation model combining attention mechanism and multi-scale features. Biomed. Signal Process. Control 2023, 81, 104425. [Google Scholar] [CrossRef]
- Li, Y.; Liu, Y.; Huang, L.; Wang, Z.; Luo, J. Deep weakly-supervised breast tumor segmentation in ultrasound images with explicit anatomical constraints. Med. Image Anal. 2022, 76, 102315. [Google Scholar] [CrossRef]
- Xue, C.; Zhu, L.; Fu, H.; Hu, X.; Li, X.; Zhang, H.; Heng, P.A. Global guidance network for breast lesion segmentation in ultrasound images. Med. Image Anal. 2021, 70, 101989. [Google Scholar] [CrossRef]
- Tong, Y.; Liu, Y.; Zhao, M.; Meng, L.; Zhang, J. Improved U-net MALF model for lesion segmentation in breast ultrasound images. Biomed. Signal Process. Control 2021, 68, 102721. [Google Scholar] [CrossRef]
- Karunanayake, N.; Moodleah, S.; Makhanov, S.S. Edge-Driven Multi-Agent Reinforcement Learning: A Novel Approach to Ultrasound Breast Tumor Segmentation. Diagnostics 2023, 13, 3611. [Google Scholar] [CrossRef]
- Cho, Y.; Misra, S.; Managuli, R.; Barr, R.G.; Lee, J.; Kim, C. Attention-based Fusion Network for Breast Cancer Segmentation and Classification Using Multi-modal Ultrasound Images. Ultrasound Med. Biol. 2025, 51, 568–577. [Google Scholar] [CrossRef]
- Anand, A.; Jung, S.; Lee, S. Breast Lesion Detection for Ultrasound Images Using MaskFormer. Sensors 2024, 24, 6890. [Google Scholar] [CrossRef]
- Rahmani, A.A.; Beheshti Shirazi, A.A.; Behnam, H. Automatic breast mass segmentation in ultrasound images with U-Net and resolution enhancement blocks. Biomed. Signal Process. Control 2024, 94, 106270. [Google Scholar] [CrossRef]
- Alruily, M.; Said, W.; Mostafa, A.M.; Ezz, M.; Elmezain, M. Breast Ultrasound Images Augmentation and Segmentation Using GAN with Identity Block and Modified U-Net 3+. Sensors 2023, 23, 8599. [Google Scholar] [CrossRef]
- Hussain, S.M.; Buongiorno, D.; Altini, N.; Berloco, F.; Prencipe, B.; Moschetta, M.; Bevilacqua, V.; Brunetti, A. Shape-Based Breast Lesion Classification Using Digital Tomosynthesis Images: The Role of Explainable Artificial Intelligence. Appl. Sci. 2022, 12, 6230. [Google Scholar] [CrossRef]
- Yu, L.; Shaheema, S.; Sunil, J.; Govindan, V.; Mahimiraj, P.; Li, Y.; Jamshed, W.; Hassan, A.M. Breast cancer segmentation using a hybrid AttendSeg architecture combined with a gravitational clustering optimization algorithm using mathematical modelling. Open Phys. 2023, 21, 20230105. [Google Scholar] [CrossRef]
- Patil, R.S.; Biradar, N. Improved region growing segmentation for breast cancer detection: Progression of optimized fuzzy classifier. Int. J. Intell. Comput. Cybern. 2020, 13, 181–205. [Google Scholar] [CrossRef]
- Fang, L.; Pan, X.; Yao, Y.; Zhang, L.; Guo, D. A hybrid active contour model for ultrasound image segmentation. Soft Comput. 2020, 24, 18611–18625. [Google Scholar] [CrossRef]
- Zhou, C.; Chan, H.-P.; Sahiner, B.; Hadjiiski, L.M.; Chughtai, A.; Patel, S.; Wei, J.; Ge, J.; Cascade, P.N.; Kazerooni, E.A. Automatic multiscale enhancement and segmentation of pulmonary vessels in CT pulmonary angiography images for CAD applications. Med. Phys. 2007, 34, 4567–4577. [Google Scholar] [CrossRef]
- Bedi, A.K.; Sunkaria, R.K.; Randhawa, S.K. Local Binary Pattem Variants: A Review. In Proceedings of the 2018 First International Conference on Secure Cyber Computing and Communication (ICSCCC), Jalandhar, India, 15–17 December 2018; pp. 234–237. [Google Scholar] [CrossRef]
- Osman, F.M.; Yap, M.H. The effect of filtering algorithms for breast ultrasound lesions segmentation. Inform. Med. Unlocked 2018, 12, 14–20. [Google Scholar] [CrossRef]
- Shen, X.; Ma, H.; Liu, R.; Li, H.; He, J.; Wu, X. Lesion segmentation in breast ultrasound images using the optimized marked watershed method. Biomed. Eng. Online 2021, 20, 57. [Google Scholar] [CrossRef]
- Yates, D.; Islam, M.Z. FastForest: Increasing random forest processing speed while maintaining accuracy. Inf. Sci. 2021, 557, 130–152. [Google Scholar] [CrossRef]











| Tissue Type | Average Percentage of Correctly Classified Tissue Pixels |
|---|---|
| Skin | 94.74% |
| Fat | 95.14% |
| Glandular tissue | 91.25% |
| Fibrous tissue | 90.21% |
| Artifacts | 86.99% |
| Metric | Rating of the First Video | Rating of the Second Video | Mean Rating for All 52 Videos |
|---|---|---|---|
| ± | 13.35 ± 12.15 | 17.97 ± 13.99 | 15.37 ± 13.72 |
| IoU | 0.89 | 0.84 | 0.871 |
| TP | 0.88 | 0.86 | 0.875 |
| FP | 0.07 | 0.14 | 0.121 |
| FN | 0.12 | 0.14 | 0.134 |
| Precision | 0.92 | 0.86 | 0.91 |
| Recall | 0.88 | 0.86 | 0.88 |
| F1-score | 0.90 | 0.86 | 0.89 |
| Video Sequence | Metric: ± (Pixels) |
|---|---|
| First video | 12.98 ± 13.15 |
| Second video | 14.18 ± 13.90 |
| Mean for all 52 videos | 13.73 ± 13.189 |
| Method | Precision | Recall | IoU |
|---|---|---|---|
| AMS-PAN: breast ultrasound image segmentation model combining attention mechanism and multi-scale features [13] | 86.28% | 80.48% | 81.81% |
| Deep weakly supervised breast tumor segmentation in ultrasound images with explicit anatomical constraints [14] | 74.59% | 80.41% | 62.26% |
| Global guidance network for breast lesion segmentation in ultrasound images [15] | 79.61% | 81.10% | 68.82% |
| Improved U-net MALF model for lesion segmentation in breast ultrasound images [16] | 90.60% | – | 86.20% |
| Edge-driven multi-agent reinforcement learning [17] | 89.35% | 98.57% | 88.19% |
| Attention-based fusion network for breast cancer segmentation and classification [18] | 82.21% | 80.58% | 68.60% |
| Proposed method | 91.00% | 88.00% | 87.10% |
| Video Sequence | Correctly Detected Frames | Incorrectly Detected or Not Detected (Frames) |
|---|---|---|
| First video | 53 out of 60 (88.34%) | 7 out of 60 (11.66%) |
| Second video | 54 out of 60 (90.00%) | 6 out of 60 (10.00%) |
| Total all 52 videos | 2867 out of 3120 (91.89%) | 253 out of 3120 (8.11%) |
Disclaimer/Publisher’s Note: The statements, opinions and data contained in all publications are solely those of the individual author(s) and contributor(s) and not of MDPI and/or the editor(s). MDPI and/or the editor(s) disclaim responsibility for any injury to people or property resulting from any ideas, methods, instructions or products referred to in the content. |
© 2025 by the authors. Licensee MDPI, Basel, Switzerland. This article is an open access article distributed under the terms and conditions of the Creative Commons Attribution (CC BY) license (https://creativecommons.org/licenses/by/4.0/).
Share and Cite
Pasynkov, D.; Egoshin, I.; Kolchev, A.; Kliouchkin, I.; Pasynkova, O.; Saad, Z.; Daou, A.; Abuzenar, E.M. Automated Segmentation of Breast Cancer Focal Lesions on Ultrasound Images. Sensors 2025, 25, 1593. https://doi.org/10.3390/s25051593
Pasynkov D, Egoshin I, Kolchev A, Kliouchkin I, Pasynkova O, Saad Z, Daou A, Abuzenar EM. Automated Segmentation of Breast Cancer Focal Lesions on Ultrasound Images. Sensors. 2025; 25(5):1593. https://doi.org/10.3390/s25051593
Chicago/Turabian StylePasynkov, Dmitry, Ivan Egoshin, Alexey Kolchev, Ivan Kliouchkin, Olga Pasynkova, Zahraa Saad, Anis Daou, and Esam Mohamed Abuzenar. 2025. "Automated Segmentation of Breast Cancer Focal Lesions on Ultrasound Images" Sensors 25, no. 5: 1593. https://doi.org/10.3390/s25051593
APA StylePasynkov, D., Egoshin, I., Kolchev, A., Kliouchkin, I., Pasynkova, O., Saad, Z., Daou, A., & Abuzenar, E. M. (2025). Automated Segmentation of Breast Cancer Focal Lesions on Ultrasound Images. Sensors, 25(5), 1593. https://doi.org/10.3390/s25051593

