Comparison of Faster R-CNN, YOLO, and SSD for Third Molar Angle Detection in Dental Panoramic X-rays
Abstract
1. Introduction
1.1. Outline
1.2. State of the Art
- Machine learning (ML) is a subfield of artificial intelligence (AI) that is dedicated to developing algorithms capable of “learning” statistical patterns in data, with the ultimate goal of predicting previously unobserved data [11].
- Computer vision (CV) allows machines to process and interpret data visually. It allows you to address the problems of artificial vision systems since it provides the ability to understand and interpret data. The relevant topics related to this concept are object detection, image classification, and segmentation [12].
1.3. Related Work
1.4. Main Contributions
- We propose the use of a dataset made up of a total of 647 dental panoramic X-rays that were labeled by expert dentists using Winter’s classification criterion. This criterion considers the position of the third molar from the longitudinal axis of the second molar. Based on Winter’s criterion, we were able to characterize the vertical, distoangular, horizontal, and mesioangular angles of the third molars.
- We train, validate, and test DL-based object detection algorithms based on the You Only Look Once V2 (or YOLO V2), Faster Region-Convolutional Neural Network (Faster R-CNN), and Single Shot Multi-box detector (SSD). We compare the performance of each object detection model by using ResNet-18, ResNet-50, and ResNet-101 for the feature extraction stage of each detector.
- We present our results by using precision-recall curves in the proposed dataset. In addition, we evaluated bias, variance, overfitting, and underfitting for each model trained based on YOLO V2, Faster R-CNN, and SSD for the proposed dataset along with detection results and comparison tables of detection percentages.
2. Materials and Methods
2.1. Workflow Methodology
2.2. Data Acquisition
2.3. Third Molar Angle Detection Using CNN-Based Object Detection
2.3.1. Object Detection Methods
Faster-RCNN
YOLO V2
SSD
2.3.2. Feature Extraction Methods
ResNet-18
ResNet-50
ResNet-101
3. Evaluation Metrics
3.1. Precision and Recall
3.2. Precision-Recall Curve
3.3. Mean Average Precision (mAP)
3.4. Inference Times
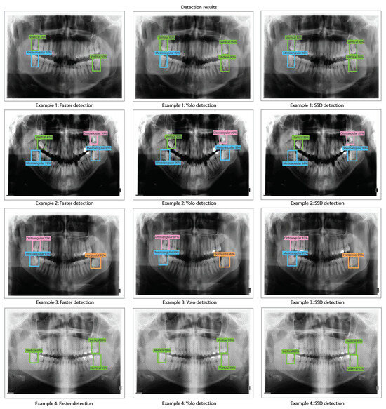
4. Results
4.1. Results for Third Molar Angle Detection with ResNet-18
- It can be observed in Table 3 that a few Faster R-CNN, YOLO v2, and SSD models based on ResNet-18 as a feature extractor reach a very low accuracy result. For Faster R-CNN, the test with the lowest results is Test 3 (training: 1.8%, validation: 1.2%, and testing: 1.1%). YOLO V2 also presents low accuracy results in Test 6 (training: 7%, validation: 12%, and testing: 5%). Finally, SSD also presents low results in Test 15 (training: 2.9%, validation: 2%, and testing: 2%). This suggests that such models have an underfitting problem, which means that the models cannot fit the proposed dental panoramic X-rays dataset distribution. Moreover, high error in the training set indicates that the models do not fit well with the dental panoramic X-rays dataset distribution, which means a high bias.
- For Test 16, the Faster R-CNN achieves an accuracy of 18% on the training set, whilst the YOLO V2 and SSD reach 99% and 89%, respectively. This might be because the Faster R-CNN is characterized by using an RPN (Region Proposal Network) stage, which for our application, cannot fit the X-ray dataset distribution (underfitting). On the other hand, YOLO V2 and SSD use a single-stage detection approach without using an RPN stage, which fits better for the proposed X-ray dataset. The results for YOLO V2 and SSD are also high for validation, with 85% and 80%, respectively, and testing, with 95% and 79%, respectively. The high training accuracy of YOLO V2 (99%) and SSD (89%) suggests that these models have a low bias compared to Faster R-CNN. However, the slight drop in validation accuracy (YOLO V2: 85%, and SSD: 80%) and tests for both models (YOLO V2: 95%, and SSD: 79%) indicates a light variance, since the performance of the models decreases slightly in validation and testing experiments.
- We obtained the best results for Faster R-CNN using ResNet-18 were reached in test 2 (training: 25%, validation: 24%, and testing: 39%). For YOLO V2 using ResNet-18, the best result is test 10 (training: 99%, validation: 90%, and testing: 96%). Finally, for the SSD model using ResNet-18, the best result was in test 12 (training: 87%, validation: 82%, and testing: 81%). This indicates that the best model for this experiment set is YOLO V2 using ResNet-18 with the hyper-parameter configuration of test 10. This model has a low bias and variance, demonstrating high generalizing capabilities (no overfitting) since the accuracy is barely reduced from training to validation and testing. We can observe the training, validation, and testing results for models obtained in tests 2, 10, and 12 in Figure 10, in which we present the precision-recall curves for such models.
4.2. Results for Third Molar Angle Detection with ResNet-50
- It can be observed in Table 4 that a few Faster R-CNN, YOLO v2, and SSD models based on ResNet-50 as the feature extractor reach a very low accuracy result. For Faster R-CNN, the test with the lowest results is Test 6 (training: 1.2%, validation: 1.2%, and testing: 1.1%). YOLO V2 also presents low accuracy results in Test 6 (training: 1.8%, validation: 1.5%, and testing: 1.5%). Finally, SSD also presents low results in Test 6 (training: 1.5%, validation: 1.3%, and testing: 1.4%). This suggests that such models have an underfitting problem, which means that the models cannot fit the proposed dental panoramic X-rays dataset distribution. Moreover, a high error in the training set indicates that the models do not fit well with the dental panoramic X-rays dataset distribution, which means a high bias.
- For all the tests, the Faster R-CNN achieves very low accuracy results. The worst results for Faster R-CNN are for test 6 (training: 1.2%, validation: 1.2%, and testing: 1.1%), whilst the best result is for test 11 (training: 35%, validation: 33%, and testing: 34%), which is still a very low accuracy result. This means Faster R-CNN working with ResNet-50 as feature extraction tends to suffer from underfitting for our X-ray dataset distribution. Again, this might be because the Faster R-CNN is characterized by using an RPN (Region Proposal Network) stage.
- We obtained the best results for YOLO V2 using ResNet-50 in test 18 (training: 99%, validation: 89%, and testing: 95%). For the SSD model using ResNet-50, the best result was in test 9 (training: 88%, validation: 91%, and testing: 88%). This indicates that the best model for this set of experiments is YOLO V2 using ResNet-50 with the hyper-parameter configuration of test 18. This model has a low bias and variance, demonstrating high generalizing capabilities (no overfitting) since the accuracy is barely reduced from training to validation and testing. We can observe the training, validation, and testing results for models obtained in tests 11, 18, and 9 in Figure 12 in which we present the precision-recall curves for both models.
4.3. Results for Third Molar Angle Detection with ResNet-101
- It can be observed in Table 5 that a few Faster R-CNN, YOLO v2, and SSD models based on ResNet-101 as a feature extractor reach a very low accuracy result. For Faster R-CNN, the test with the lowest results is Test 6 (training: 1.6%, validation: 1.3%, and testing: 1.1%). YOLO V2 also presents low accuracy results in Test 6 (training: 7%, validation: 12%, and testing: 5%). Finally, SSD also presents low results in Test 6 (training: 3.3%, validation: 7.7%, and testing: 2%). This suggests that such models have an underfitting problem, which means that the models cannot fit the proposed dental panoramic X-rays dataset distribution. Moreover, a high error in the training set indicates that the models do not fit well with the dental panoramic X-rays dataset distribution, which means a high bias.
- For all the tests, the Faster R-CNN achieves very low accuracy results. The worst results for Faster R-CNN are for test 6 (training: 1.6%, validation: 1.3%, and testing: 1.1%), whilst the best result is for test 5 (training: 28%, validation: 22%, and testing: 35%), which is still a very low accuracy result. This means Faster R-CNN working with ResNet-101 as feature extraction tends to suffer from underfitting for our X-ray dataset distribution. Once again, this might be because the Faster R-CNN is characterized by using an RPN (Region Proposal Network) stage.
- We obtained the best results for YOLO V2 using ResNet-101 in test 11 (training: 99%, validation: 92%, and testing: 99%). For the SSD model using ResNet-101, the best result was in test 12 (training: 88%, validation: 90%, and testing: 89%). This indicates that the best model for this set of experiments is YOLO V2 using ResNet-101 with the hyper-parameter configuration of test 11. This model has a low bias and variance, demonstrating high generalizing capabilities (no overfitting) since the accuracy is barely reduced from training to validation and testing. We can observe the training, validation, and testing results for models obtained in tests 5, 11, and 12 in Figure 14 in which we present the precision-recall curves for both models.
4.4. Comparison of Inference Times
4.5. Comparison Results with State of the Art Works
4.6. Discussion
- During the implementation of third-molar detection algorithms using different detection models and ResNet architectures, it can be observed that YOLO V2 is the model that stands out in terms of both accuracy and consistency during the training, validation, and testing stages. Therefore, the best results from our experiments were obtained by YOLO V2 using ResNet-18 (training: 99%, validation: 90%, and testing: 96%), YOLO V2 using ResNet-101 (training: 99%, validation: 92%, and testing: 99%), and YOLO V2 using ResNet-101 (training: 99%, validation: 92%, and testing: 99%), which indeed are very similar. These high accuracy results indicate that YOLO V2 is very effective for detecting third molar angles in our X-ray dataset distribution. On the other hand, the Faster R-CNN models with ResNet CNNs (ResNet-18, ResNet-50, and ResNet-101) possess underfitting problems for our X-ray dataset distribution. This might be because the Faster R-CNN is characterized by using an RPN (Region Proposal Network) stage. On the other hand, the SSD detection model has moderate accuracy across all ResNet architectures. Although SSD does not achieve the accuracy levels of YOLO V2, it produces reasonably consistent results, making it suitable for applications that require a balance of accuracy and detection speed (inference times less than 100 ms).
- Although each of the ResNet architectures used has several parameters, it is to be noticed that there is no direct correlation between the number of parameters in the ResNet architectures and the detection accuracy obtained. We did not find a direct correlation between the number of parameters and the precision obtained. Although ResNet-50 and ResNet-101 have more parameters and offer superior modeling capability, YOLO V2 with ResNet-18, which has the fewest parameters, still achieves very high accuracy. This might be due to our dataset structure and size. This behavior might change if the dataset increases to the order of thousands or even millions of images since it is well known that while deeper, the network learns better from big datasets. In future works, we will try to increase our dataset distribution for this problem.
- Overall, we have demonstrated in this work that CNN-based object detection techniques can be used to detect third-molar angle detection based on Winter’s classification criterion. The categories that we detected are distoangular, vertical, mesioangular, and horizontal. To detect these categories, we have implemented several object detection methods, which are YOLO V2, Faster R-CNN, and SSD. Each of the mentioned object detection methods was trained by using ResNet-18, ResNet-50, and ResNet-101 as feature extraction methods, in which YOLO V2 with ResNet-18 obtained the best results (training: 99%, validation: 90%, and testing: 96%). These findings represent a promising solution for dentistry applications, such as improved diagnostic accuracy, more automated dental procedures, and even a possible training tool for educational applications. Moreover, we have presented a significant improvement compared to other works, that only train a single object detection method for different applications such as third molar detection and angle detection, tooth identification, caries detection, dental implant detection, and crown detection (see Table 7).
- Despite the promising results obtained, our study has several limitations. First, the dataset used only 644 panoramic X-rays, which may not be large enough to generalize the findings to a broader population. The performance of the models, particularly those with deeper architectures such as Resnet-50 and Resnet-101, can improve with larger datasets. Second, the structure and specific characteristics of the dataset could have influenced the observed results, which limits the applicability of our findings to other types of radiographic images or different dental pathologies. Another problem that will be addressed in the future is the analysis of data from other countries than Chile since other countries’ demographic data might be slightly different for this application. Finally, both YOLO V2 and SSD demonstrated high precision for molar detection. However, its computational complexity and the fact that it is worked based on CNNs makes the use of graphic cards that have parallel processing capacity important for this type of application. This can be an important computational limitation if you want to implement these technologies in real applications in clinics with X-ray equipment already installed.
- Based on the times of inference presented, YOLO V2 demonstrates a strong potential for real-time clinical applications, with inference times that vary from 0.071 to 0.092 s in different Resnet architectures. This positions it well inside the desirable threshold of fewer than 0.3 s (real-time) for quick decision-making in clinical environments. SSD is also promising, with inference times between 0.077 and 0.104 s, so it is a viable option for scenarios that require rapid responses. In contrast, Faster R-CNN is not faster, with inference times from 0.188 to 0.360 s, it is less suitable for real-time use due to its slower processing speed, and in our case, it also presents a poor performance in detection. In general, Yolo V2 stands out as the most effective model for the detection of third molar angles in real-time in clinical environments.
- In this work, we use Resnet-18, Resnet-50, and Resnet-101 for the proposed detection models due to their proven performance and compatibility with Faster R-CNN, Yolo, and SSD. Although we performed preliminary tests with other architectures such as Googlenet, Alexnet, and Inception, Resnet consistently showed outstanding results. In future works, we will perform extensive tests and hyperparameter calibration for extractors of additional characteristics to further improve the precision and reliability of our diagnostic tools based on AI.
5. Conclusions
Author Contributions
Funding
Institutional Review Board Statement
Informed Consent Statement
Data Availability Statement
Acknowledgments
Conflicts of Interest
References
- Aravena, H.; Arredondo, M.; Fuentes, C.; Taramasco, C.; Alcocer, D.; Gatica, G. Predictive Treatment of Third Molars Using Panoramic Radiographs and Machine Learning. In Proceedings of the 2023 19th IEEE International Conference on Wireless and Mobile Computing, Networking and Communications (WiMob), Montreal, QC, Canada, 21–23 June 2023; pp. 123–128. [Google Scholar]
- Thanh, M.T.G.; Van Toan, N.; Ngoc, V.T.N.; Tra, N.T.; Giap, C.N.; Nguyen, D.M. Deep learning application in dental caries detection using intraoral photos taken by smartphones. Appl. Sci. 2022, 12, 5504. [Google Scholar] [CrossRef]
- Ray, R.R. Dental biofilm: Risks, diagnostics and management. Biocatal. Agric. Biotechnol. 2022, 43, 102381. [Google Scholar] [CrossRef]
- Mathuvanti, K.; Prabu, D.; Sindhu, R.; Dhamodhar, D.; Rajmohan, M.; Bharathwaj, V.; Sathiyapriya, S.; Vishali, M. Analysis of dental caries from intra-oral periapical radiographs using machine learning models. Int. J. Dent. Clin. Study 2022, 3, 1–9. [Google Scholar]
- Vasconez, J.P.; Carvajal, D.; Cheein, F.A. On the design of a human–robot interaction strategy for commercial vehicle driving based on human cognitive parameters. Adv. Mech. Eng. 2019, 11, 1687814019862715. [Google Scholar] [CrossRef]
- Osimani, C. Análisis y procesamiento de imágenes para la detección del contorno labial en pacientes de odontología. In Proceedings of the 2do Congreso Nacional de Ingenierıa Informática y Sistemas de Información (CoNaIISI 2014), San Luis, Argentina, 13–14 November 2014. [Google Scholar]
- Fang, X.; Zhang, S.; Wei, Z.; Wang, K.; Yang, G.; Li, C.; Han, M.; Du, M. Automatic detection of the third molar and mandibular canal on panoramic radiographs based on deep learning. J. Stomatol. Oral Maxillofac. Surg. 2024, 125, 101946. [Google Scholar] [CrossRef]
- Vinayahalingam, S.; Kempers, S.; Limon, L.; Deibel, D.; Maal, T.; Hanisch, M.; Bergé, S.; Xi, T. Classification of caries in third molars on panoramic radiographs using deep learning. Sci. Rep. 2021, 11, 12609. [Google Scholar] [CrossRef]
- Cejudo, J.E.; Chaurasia, A.; Feldberg, B.; Krois, J.; Schwendicke, F. Classification of dental radiographs using deep learning. J. Clin. Med. 2021, 10, 1496. [Google Scholar] [CrossRef]
- Hwang, J.J.; Jung, Y.H.; Cho, B.H.; Heo, M.S. An overview of deep learning in the field of dentistry. Imaging Sci. Dent. 2019, 49, 1–7. [Google Scholar] [CrossRef]
- Schwendicke, F.a.; Samek, W.; Krois, J. Artificial intelligence in dentistry: Chances and challenges. J. Dent. Res. 2020, 99, 769–774. [Google Scholar] [CrossRef]
- Tsuneki, M. Deep learning models in medical image analysis. J. Oral Biosci. 2022, 64, 312–320. [Google Scholar] [CrossRef]
- Mahdi, F.P.; Motoki, K.; Kobashi, S. Optimization technique combined with deep learning method for teeth recognition in dental panoramic radiographs. Sci. Rep. 2020, 10, 19261. [Google Scholar] [CrossRef] [PubMed]
- Abdalla-Aslan, R.; Yeshua, T.; Kabla, D.; Leichter, I.; Nadler, C. An artificial intelligence system using machine-learning for automatic detection and classification of dental restorations in panoramic radiography. Oral Surg. Oral Med. Oral Pathol. Oral Radiol. 2020, 130, 593–602. [Google Scholar] [CrossRef]
- Lee, J.H.; Kim, D.H.; Jeong, S.N.; Choi, S.H. Detection and diagnosis of dental caries using a deep learning-based convolutional neural network algorithm. J. Dent. 2018, 77, 106–111. [Google Scholar] [CrossRef]
- Zhang, X.; Liang, Y.; Li, W.; Liu, C.; Gu, D.; Sun, W.; Miao, L. Development and evaluation of deep learning for screening dental caries from oral photographs. Oral Dis. 2022, 28, 173–181. [Google Scholar] [CrossRef] [PubMed]
- Moran, M.; Faria, M.; Giraldi, G.; Bastos, L.; Oliveira, L.; Conci, A. Classification of approximal caries in bitewing radiographs using convolutional neural networks. Sensors 2021, 21, 5192. [Google Scholar] [CrossRef]
- De Tobel, J.; Radesh, P.; Vandermeulen, D.; Thevissen, P.W. An automated technique to stage lower third molar development on panoramic radiographs for age estimation: A pilot study. J. Forensic Odonto-Stomatol. 2017, 35, 42. [Google Scholar]
- Yamaguchi, S.; Lee, C.; Karaer, O.; Ban, S.; Mine, A.; Imazato, S. Predicting the debonding of CAD/CAM composite resin crowns with AI. J. Dent. Res. 2019, 98, 1234–1238. [Google Scholar] [CrossRef]
- Yang, H.; Jo, E.; Kim, H.J.; Cha, I.H.; Jung, Y.S.; Nam, W.; Kim, J.Y.; Kim, J.K.; Kim, Y.H.; Oh, T.G.; et al. Deep learning for automated detection of cyst and tumors of the jaw in panoramic radiographs. J. Clin. Med. 2020, 9, 1839. [Google Scholar] [CrossRef]
- Lee, J.H.; Kim, D.H.; Jeong, S.N. Diagnosis of cystic lesions using panoramic and cone beam computed tomographic images based on deep learning neural network. Oral Dis. 2020, 26, 152–158. [Google Scholar]
- Banjšak, L.; Milošević, D.; Subašić, M. Implementation of artificial intelligence in chronological age estimation from orthopantomographic X-ray images of archaeological skull remains. Bull. Int. Assoc. Paleodont. 2020, 14, 122–129. [Google Scholar]
- Rao, G.K.L.; Srinivasa, A.C.; Iskandar, Y.H.P.; Mokhtar, N. Identification and analysis of photometric points on 2D facial images: A machine learning approach in orthodontics. Health Technol. 2019, 9, 715–724. [Google Scholar] [CrossRef]
- Fu, Q.; Chen, Y.; Li, Z.; Jing, Q.; Hu, C.; Liu, H.; Bao, J.; Hong, Y.; Shi, T.; Li, K.; et al. A deep learning algorithm for detection of oral cavity squamous cell carcinoma from photographic images: A retrospective study. EClinicalMedicine 2020, 27, 100558. [Google Scholar] [CrossRef] [PubMed]
- Schneider, L.; Arsiwala-Scheppach, L.; Krois, J.; Meyer-Lückel, H.; Bressem, K.; Niehues, S.; Schwendicke, F. Benchmarking deep learning models for tooth structure segmentation. J. Dent. Res. 2022, 101, 1343–1349. [Google Scholar] [CrossRef] [PubMed]
- Vinayahalingam, S.; Xi, T.; Berge, S.; Maal, T.; de Jong, G. Automated detection of third molars and mandibular nerve by deep learning. Sci. Rep. 2007, 9, 2019. [Google Scholar] [CrossRef] [PubMed]
- Primo, F.T.; Primo, B.T.; Scheffer, M.A.R.; Hernández, P.A.G.; Rivaldo, E.G. Evaluation of 1211 third molars positions according to the classification of Winter, Pell & Gregory. Int. J. Odontostomatol. 2017, 11, 61–65. [Google Scholar]
- Escoda, C.G.; Aytes, L.B. Cirugía Bucal; Océano: Hong Kong, China, 2011. [Google Scholar]
- Vasconez, J.P.; Delpiano, J.; Vougioukas, S.; Cheein, F.A. Comparison of convolutional neural networks in fruit detection and counting: A comprehensive evaluation. Comput. Electron. Agric. 2020, 173, 105348. [Google Scholar] [CrossRef]
- Maity, M.; Banerjee, S.; Chaudhuri, S.S. Faster r-cnn and yolo based vehicle detection: A survey. In Proceedings of the 2021 5th IEEE International Conference on Computing Methodologies and Communication (ICCMC), Erode, India, 8–10 April 2021; pp. 1442–1447. [Google Scholar]
- Terven, J.; Córdova-Esparza, D.M.; Romero-González, J.A. A comprehensive review of yolo architectures in computer vision: From yolov1 to yolov8 and yolo-nas. Mach. Learn. Knowl. Extr. 2023, 5, 1680–1716. [Google Scholar] [CrossRef]
- Du, J. Understanding of object detection based on CNN family and YOLO. In Proceedings of the Journal of Physics: Conference Series, Ancona, Italy, 20–22 June 2018; IOP Publishing: Bristol, UK, 2018; Volume 1004, p. 012029. [Google Scholar]
- Jiang, P.; Ergu, D.; Liu, F.; Cai, Y.; Ma, B. A Review of Yolo algorithm developments. Procedia Comput. Sci. 2022, 199, 1066–1073. [Google Scholar] [CrossRef]
- Liu, W.; Anguelov, D.; Erhan, D.; Szegedy, C.; Reed, S.; Fu, C.Y.; Berg, A.C. Ssd: Single shot multibox detector. In Proceedings of the Computer Vision—ECCV 2016: 14th European Conference, Amsterdam, The Netherlands, 11–14 October 2016; Proceedings, Part I 14. Springer: Berlin/Heidelberg, Germany, 2016; pp. 21–37. [Google Scholar]
- Kumar, A.; Srivastava, S. Object detection system based on convolution neural networks using single shot multi-box detector. Procedia Comput. Sci. 2020, 171, 2610–2617. [Google Scholar] [CrossRef]
- Xie, S.; Girshick, R.; Dollár, P.; Tu, Z.; He, K. Aggregated residual transformations for deep neural networks. In Proceedings of the IEEE Conference on Computer Vision and Pattern Recognition, Honolulu, HI, USA, 21–26 July 2017; pp. 1492–1500. [Google Scholar]
- Sukegawa, S.; Yoshii, K.; Hara, T.; Matsuyama, T.; Yamashita, K.; Nakano, K.; Takabatake, K.; Kawai, H.; Nagatsuka, H.; Furuki, Y. Multi-task deep learning model for classification of dental implant brand and treatment stage using dental panoramic radiograph images. Biomolecules 2021, 11, 815. [Google Scholar] [CrossRef]
- Choi, E.; Lee, S.; Jeong, E.; Shin, S.; Park, H.; Youm, S.; Son, Y.; Pang, K. Artificial intelligence in positioning between mandibular third molar and inferior alveolar nerve on panoramic radiography. Sci. Rep. 2022, 12, 2456. [Google Scholar] [CrossRef] [PubMed]
- Kim, B.S.; Yeom, H.G.; Lee, J.H.; Shin, W.S.; Yun, J.P.; Jeong, S.H.; Kang, J.H.; Kim, S.W.; Kim, B.C. Deep learning-based prediction of paresthesia after third molar extraction: A preliminary study. Diagnostics 2021, 11, 1572. [Google Scholar] [CrossRef]
- Jing, E.; Zhang, H.; Li, Z.; Liu, Y.; Ji, Z.; Ganchev, I. ECG Heartbeat Classification Based on an Improved ResNet-18 Model. Comput. Math. Methods Med. 2021, 2021, 6649970. [Google Scholar] [CrossRef] [PubMed]
- Wen, L.; Li, X.; Gao, L. A transfer convolutional neural network for fault diagnosis based on ResNet-50. Neural Comput. Appl. 2020, 32, 6111–6124. [Google Scholar] [CrossRef]
- Chen, T.; Kornblith, S.; Norouzi, M.; Hinton, G. A simple framework for contrastive learning of visual representations. In Proceedings of the International Conference on Machine Learning. PMLR, Virtual, 13–18 July 2020; pp. 1597–1607. [Google Scholar]
- Reddy, A.S.B.; Juliet, D.S. Transfer learning with ResNet-50 for malaria cell-image classification. In Proceedings of the 2019 IEEE International Conference on Communication and Signal Processing (ICCSP), Chennai, India, 4–6 April 2019; pp. 945–949. [Google Scholar]
- Zhang, Q. A novel ResNet101 model based on dense dilated convolution for image classification. SN Appl. Sci. 2022, 4, 9. [Google Scholar] [CrossRef]
- Zoph, B.; Cubuk, E.D.; Ghiasi, G.; Lin, T.Y.; Shlens, J.; Le, Q.V. Learning data augmentation strategies for object detection. In Proceedings of the Computer Vision—ECCV 2020: 16th European Conference, Glasgow, UK, 23–28 August 2020; Proceedings, Part XXVII 16. Springer: Berlin/Heidelberg, Germany, 2020; pp. 566–583. [Google Scholar]
- Vasconez, J.P.; Salvo, J.; Auat, F. Toward semantic action recognition for avocado harvesting process based on single shot multibox detector. In Proceedings of the 2018 IEEE International Conference on Automation/XXIII Congress of the Chilean Association of Automatic Control (ICA-ACCA), Concepcion, Chile, 17–19 October 2018; pp. 1–6. [Google Scholar]
- Sathya, B.; Neelaveni, R. Transfer learning based automatic human identification using dental traits-an aid to forensic odontology. J. Forensic Leg. Med. 2020, 76, 102066. [Google Scholar]
- Tuzoff, D.V.; Tuzova, L.N.; Bornstein, M.M.; Krasnov, A.S.; Kharchenko, M.A.; Nikolenko, S.I.; Sveshnikov, M.M.; Bednenko, G.B. Tooth detection and numbering in panoramic radiographs using convolutional neural networks. Dentomaxillofac. Radiol. 2019, 48, 20180051. [Google Scholar] [CrossRef] [PubMed]
- Cui, Q.; Chen, Q.; Liu, P.; Liu, D.; Wen, Z. Clinical decision support model for tooth extraction therapy derived from electronic dental records. J. Prosthet. Dent. 2021, 126, 83–90. [Google Scholar] [CrossRef]
- Takahashi, T.; Nozaki, K.; Gonda, T.; Mameno, T.; Wada, M.; Ikebe, K. Identification of dental implants using deep learning—Pilot study. Int. J. Implant Dent. 2020, 6, 1–6. [Google Scholar] [CrossRef]
- Lerner, H.; Mouhyi, J.; Admakin, O.; Mangano, F. Artificial intelligence in fixed implant prosthodontics: A retrospective study of 106 implant-supported monolithic zirconia crowns inserted in the posterior jaws of 90 patients. BMC Oral Health 2020, 20, 80. [Google Scholar] [CrossRef]
- Vranckx, M.; Van Gerven, A.; Willems, H.; Vandemeulebroucke, A.; Ferreira Leite, A.; Politis, C.; Jacobs, R. Artificial intelligence (AI)-driven molar angulation measurements to predict third molar eruption on panoramic radiographs. Int. J. Environ. Res. Public Health 2020, 17, 3716. [Google Scholar] [CrossRef] [PubMed]















| Data | |||
|---|---|---|---|
| Database | Training | Validation | Testing |
| Normal | 258 | 34 | 33 |
| Data augmentation | 516 | 65 | 66 |
| Hyper-Parameter Configuration | |||
|---|---|---|---|
| Test | Max Epochs | Learning Rate | Optimizer |
| Test 1 | 20 | 0.001 | adam |
| Test 2 | 20 | 0.001 | sgdm |
| Test 3 | 20 | 0.001 | rmsprop |
| Test 4 | 20 | 0.005 | adam |
| Test 5 | 20 | 0.005 | sgdm |
| Test 6 | 20 | 0.005 | rmsprop |
| Test 7 | 20 | 0.0001 | adam |
| Test 8 | 20 | 0.0001 | sgdm |
| Test 9 | 20 | 0.0001 | rmsprop |
| Test 10 | 20 | 0.001 | adam |
| Test 11 | 40 | 0.001 | sgdm |
| Test 12 | 40 | 0.001 | rmsprop |
| Test 13 | 40 | 0.005 | adam |
| Test 14 | 40 | 0.005 | sgdm |
| Test 15 | 40 | 0.005 | rmsprop |
| Test 16 | 40 | 0.0001 | adam |
| Test 17 | 40 | 0.0001 | sgdm |
| Test 18 | 40 | 0.0001 | rmsprop |
| Training | Validation | Testing | |||||||
|---|---|---|---|---|---|---|---|---|---|
| Test |
Faster
R-CNN |
Yolo
V2 | SSD |
Faster
R-CNN |
Yolo
V2 | SSD |
Faster
R-CNN |
Yolo
V2 | SSD |
| Test 1 | 2.3% | 99% | 83% | 1.2% | 85% | 77% | 2% | 96% | 75% |
| Test 2 | 25% | 87% | 60% | 24% | 61% | 53% | 39% | 81% | 51% |
| Test 3 | 1.3% | 97% | 84% | 1% | 84% | 81% | 1.3% | 86% | 77% |
| Test 4 | 3.2% | 94% | 84% | 2% | 71% | 70% | 3% | 86% | 69% |
| Test 5 | 5% | 99% | 86% | 12% | 85% | 74% | 14% | 87% | 72% |
| Test 6 | 8.4% | 81% | 3% | 8.3% | 63% | 2.7% | 7.1% | 77% | 2% |
| Test 7 | 6% | 85% | 88% | 6% | 72% | 73% | 5.2% | 81% | 71% |
| Test 8 | 3% | 42% | 1.4% | 3% | 38% | 1.2% | 2% | 36% | 1.3% |
| Test 9 | 4.6% | 81% | 88% | 4.6% | 70% | 77% | 3.6% | 69% | 74% |
| Test 10 | 9.3% | 99% | 88% | 8.3% | 90% | 79% | 8.3% | 96% | 77% |
| Test 11 | 16% | 99% | 89% | 17% | 82% | 76% | 12% | 93% | 75% |
| Test 12 | 6.2% | 99% | 87% | 6% | 84% | 82% | 4% | 91% | 81% |
| Test 13 | 6.3% | 99% | 88% | 3% | 92% | 79% | 8.9% | 89% | 78% |
| Test 14 | 11% | 99% | 88% | 8% | 88% | 76% | 19% | 97% | 77% |
| Test 15 | 2.2% | 96% | 87% | 2% | 84% | 77% | 1.5% | 87% | 78% |
| Test 16 | 18% | 99% | 89% | 18% | 85% | 80% | 28% | 95% | 79% |
| Test 17 | 14% | 52% | 6% | 11% | 50% | 11% | 21% | 51% | 8% |
| Test 18 | 8.2% | 99% | 88% | 8.6% | 79% | 76% | 8.6% | 86% | 76% |
| Training | Validation | Testing | |||||||
|---|---|---|---|---|---|---|---|---|---|
| Test |
Faster
R-CNN |
Yolo
V2 | SSD |
Faster
R-CNN |
Yolo
V2 | SSD |
Faster
R-CNN |
Yolo
V2 | SSD |
| Test 1 | 6% | 99% | 88% | 7% | 85% | 79% | 19% | 93% | 77% |
| Test 2 | 18% | 96% | 91% | 22% | 87% | 82% | 24% | 76% | 82% |
| Test 3 | 3.3% | 97% | 86% | 2.9% | 81% | 79% | 3.1% | 88% | 78% |
| Test 4 | 8.2% | 85% | 84% | 2% | 72% | 80% | 7.2% | 80% | 72% |
| Test 5 | 17% | 98% | 1.3% | 13% | 89% | 1.3% | 17% | 91% | 1.2% |
| Test 6 | 1.2% | 1.8% | 1.5% | 1.2% | 1.5% | 1.3% | 1.1% | 1.5% | 1.4% |
| Test 7 | 16% | 99% | 87% | 13% | 89% | 85% | 14% | 91% | 85% |
| Test 8 | 8% | 9% | 65% | 10% | 8% | 64% | 13% | 15% | 63% |
| Test 9 | 7.6% | 99% | 88% | 6.6% | 91% | 91% | 7.1% | 92% | 88% |
| Test 10 | 14% | 94% | 88% | 9% | 82% | 78% | 21% | 98% | 78% |
| Test 11 | 35% | 99% | 89% | 33% | 90% | 81% | 34% | 83% | 79% |
| Test 12 | 3% | 99% | 86% | 2.9% | 88% | 76% | 2.9% | 90% | 79% |
| Test 13 | 8.2% | 98% | 87% | 7.2% | 78% | 83% | 8% | 94% | 82% |
| Test 14 | 30% | 99% | 2.1% | 22% | 84% | 1.1% | 18% | 89% | 1.2% |
| Test 15 | 4.2% | 3% | 2% | 4% | 2.6% | 2.2% | 4.2% | 2.3% | 2.5% |
| Test 16 | 12% | 99% | 89% | 14% | 90% | 84% | 17% | 88% | 84% |
| Test 17 | 23% | 30% | 82% | 22% | 20% | 71% | 20% | 18% | 70% |
| Test 18 | 8% | 99% | 88% | 7.2% | 89% | 84% | 6.9% | 95% | 83% |
| Training | Validation | Testing | |||||||
|---|---|---|---|---|---|---|---|---|---|
| Test |
Faster
R-CNN |
Yolo
V2 | SSD |
Faster
R-CNN |
Yolo
V2 | SSD |
Faster
R-CNN |
Yolo
V2 | SSD |
| Test 1 | 2.8% | 99% | 88% | 1.5% | 90% | 87% | 2.1% | 97% | 87% |
| Test 2 | 20% | 98% | 86% | 10% | 81% | 75% | 24% | 89% | 72% |
| Test 3 | 1.8% | 96% | 87% | 1.2% | 79% | 84% | 1.1% | 89% | 84% |
| Test 4 | 7.2% | 93% | 64% | 4.2% | 84% | 53% | 3.1% | 92% | 52% |
| Test 5 | 28% | 99% | 3.2% | 22% | 86% | 2.8% | 35% | 86% | 3% |
| Test 6 | 1.6% | 7% | 3.3% | 1.3% | 12% | 7.7% | 1.1% | 5% | 2% |
| Test 7 | 20% | 99% | 88% | 19% | 92% | 86% | 27% | 95% | 84% |
| Test 8 | 12% | 15% | 66% | 7% | 11% | 66% | 25% | 12% | 62% |
| Test 9 | 3% | 99% | 89% | 1.1% | 93% | 87% | 2% | 93% | 82% |
| Test 10 | 9% | 99% | 85% | 6% | 87% | 81% | 1% | 98% | 81% |
| Test 11 | 21% | 99% | 88% | 12% | 92% | 78% | 14% | 99% | 77% |
| Test 12 | 5.5% | 99% | 88% | 4% | 83% | 90% | 3% | 97% | 89% |
| Test 13 | 3.3% | 98% | 88% | 3% | 80% | 83% | 2.8% | 92% | 77% |
| Test 14 | 23% | 99% | 5.2% | 19% | 85% | 4.2% | 26% | 89% | 4.1% |
| Test 15 | 6% | 14% | 2.9% | 3% | 9% | 2% | 6.5% | 10% | 2% |
| Test 16 | 18% | 99% | 88% | 9% | 91% | 84% | 31% | 95% | 81% |
| Test 17 | 16% | 38% | 82% | 18% | 20% | 76% | 33% | 21% | 74% |
| Test 18 | 2.7% | 99% | 88% | 2.4% | 92% | 87% | 2.1% | 95% | 83% |
| Detection Model | ResNet-18 (s) | ResNet-50 (s) | ResNet-101 (s) |
|---|---|---|---|
| Faster R-CNN | 0.223 | 0.188 | 0.360 |
| YOLO V2 | 0.071 | 0.089 | 0.092 |
| SSD | 0.077 | 0.104 | 0.093 |
| Paper | Objective | Algorithm | Feature Extractor | Data Base | mAp |
|---|---|---|---|---|---|
| Sathya et al. [47] | Third molar detection | AlexNet | AlexNet | 106 Rx and 3159 tooth | 97.5% |
| De Tobel et al. [18] | Third molar detection | DCNN | DCNN | 400 Rx | 51.0% |
| Lee et al. [15] | Caries detection | GoogleNet and Inception | GoogleNet and Inception | 3000 Rx | 89.0% |
| Tuzoff et al. [48] | Tooth identification | VGG-16 | VGG-16 | 1352 Rx | 99.5% |
| Jeon et al. [49] | Second molar canal detection | Xception | Xception | 2040 Rx | 93.6% |
| Cui et al. [49] | Tooth extraction detector | XGBoost | XGBoost | 4135 Rx | 87.9% |
| Takahashi et al. [50] | Dental Implant Detector | Yolo v3 (TensorFlow and Keras) | Yolo v3 (TensorFlow and Keras) | 1282 Rx | 85.0% |
| Lerner et al. [51] | Individual crown detection | Fully digital workflow | Fully digital workflow | 106 Rx | 91.3% |
| Vranckx et al. [52] | Third molar angle detection | CNN and ResNet-101 | ResNet-101 | 838 Rx | 98.1% |
| This Work | Third molar angle detection | Yolo v3, Faster R-CNN and SSD | ResNet-18, ResNet-50 and ResNet-101 | 644 Rx and 1604 molars | Yolo 98%, Faster 20 %, SSD 89% |
Disclaimer/Publisher’s Note: The statements, opinions and data contained in all publications are solely those of the individual author(s) and contributor(s) and not of MDPI and/or the editor(s). MDPI and/or the editor(s) disclaim responsibility for any injury to people or property resulting from any ideas, methods, instructions or products referred to in the content. |
© 2024 by the authors. Licensee MDPI, Basel, Switzerland. This article is an open access article distributed under the terms and conditions of the Creative Commons Attribution (CC BY) license (https://creativecommons.org/licenses/by/4.0/).
Share and Cite
Vilcapoma, P.; Parra Meléndez, D.; Fernández, A.; Vásconez, I.N.; Hillmann, N.C.; Gatica, G.; Vásconez, J.P. Comparison of Faster R-CNN, YOLO, and SSD for Third Molar Angle Detection in Dental Panoramic X-rays. Sensors 2024, 24, 6053. https://doi.org/10.3390/s24186053
Vilcapoma P, Parra Meléndez D, Fernández A, Vásconez IN, Hillmann NC, Gatica G, Vásconez JP. Comparison of Faster R-CNN, YOLO, and SSD for Third Molar Angle Detection in Dental Panoramic X-rays. Sensors. 2024; 24(18):6053. https://doi.org/10.3390/s24186053
Chicago/Turabian StyleVilcapoma, Piero, Diana Parra Meléndez, Alejandra Fernández, Ingrid Nicole Vásconez, Nicolás Corona Hillmann, Gustavo Gatica, and Juan Pablo Vásconez. 2024. "Comparison of Faster R-CNN, YOLO, and SSD for Third Molar Angle Detection in Dental Panoramic X-rays" Sensors 24, no. 18: 6053. https://doi.org/10.3390/s24186053
APA StyleVilcapoma, P., Parra Meléndez, D., Fernández, A., Vásconez, I. N., Hillmann, N. C., Gatica, G., & Vásconez, J. P. (2024). Comparison of Faster R-CNN, YOLO, and SSD for Third Molar Angle Detection in Dental Panoramic X-rays. Sensors, 24(18), 6053. https://doi.org/10.3390/s24186053

