A Residual Dense Attention Generative Adversarial Network for Microscopic Image Super-Resolution
Abstract
1. Introduction
- (1)
- We produce a dataset of high- and low-resolution images of four cell types using microscope acquisition. You can find the dataset at https://github.com/wxsssss/RDAGAN/tree/main (accessed on 15 January 2024).
- (2)
- In order to fully utilize the hierarchical features of the original image, we propose a Residual Dense Attention Generative Adversarial Network (RDAGAN), whose generator uses RDABs with increased attention mechanisms.
- (3)
- To reconstruct the high-frequency features associated with HR images, we add a feature discriminator to the original discriminator and optimize the loss function.
- (4)
- Our proposed optimized model is compared with six classic models. Compared to the best performing model among them, PSNR and SSIM have improved by 1.5 dB and 0.2, respectively.
2. Proposed Methodology
2.1. Microscopic Cell Image Dataset
2.2. Residual Dense Blocks for Fusion CBAM
2.3. Discriminator and Loss Function
3. Experimental Results and Discussion
3.1. Experimental Settings
3.2. Comparison with Classic Models
4. Conclusions
Author Contributions
Funding
Institutional Review Board Statement
Informed Consent Statement
Data Availability Statement
Acknowledgments
Conflicts of Interest
Abbreviations
| FOV | Field of View |
| SR | Super-Resolution |
| LR | Low-Resolution |
| HR | High-Resolution |
| SISR | Single Image Super-Resolution Reconstruction |
| RDAGAN | Residual Dense Attention Generative Adversarial Network |
| CNN | Convolutional Neural Network |
| VDSR | Very Deep Super Resolution |
| LapSRN | Laplacian Pyramid Super-Resolution Network |
| GAN | Generative Adversarial Network |
| SRGAN | Super-Resolution Generative Adversarial Network |
| EDSR | Enhanced Deep Super Resolution |
| RDB | Residual Dense Block |
| RDN | Residual Dense Network |
| RF-GANM | Registration-Free GAN |
| DCFA | Deep Fourier Channel Attention |
| RDAB | Residual Dense Attention Block |
| BD | Bicubic Downsampling |
| DFF | Dense Feature Fusion |
| ReLU | Rectified Linear Unit |
| GFF | Global Feature Fusion |
| GRL | Global Residual Learning |
| LFF | Local Feature Fusion |
| LRL | Local Residual Learning |
| CBAM | Convolutional Block Attention Module |
| CM | Continuous Memory |
| PSNR | Peak Signal-to-Noise Ratio |
| SSIM | Structural SIMilarity index |
| LPIPS | Learned Perceptual Image Patch Similarity |
| ESRGAN | Enhanced Super Resolution Generative Adversarial Network |
| RCAN | Residual Channel Attention Network |
Appendix A
Appendix A.1
| Dataset | Image | Image Feature | |
|---|---|---|---|
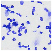
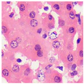
| 1 | Cell A | ![]() | The dark purple circular or oval structures in the image represent cell nuclei. The areas surrounding the nuclei are light pink, indicating the cytoplasm and extracellular matrix. There are also some small red circular structures. |
| 2 | Cell B | ![]() | The small dark blue circular or oval structures in the image represent cell nuclei. The cytoplasmic regions appear lighter blue or unstained. |
| 3 | Cell C | ![]() | The dark purple circular structures in the image represent cell nuclei. The areas surrounding the nuclei are light pink, indicating the cytoplasm. |
| 4 | Cell D | ![]() | The small dark blue circular or oval particles in the image are arranged in chains or clusters. |
References
- Sanderson, J. Multi-Photon Microscopy. Curr. Protoc. 2023, 3, e634. [Google Scholar] [CrossRef] [PubMed]
- Tsai, R.; Huang, T.S. Multiframe Image Restoration and Registration. Adv. Comput. Vis. Image Process. 1984, 1, 317–339. [Google Scholar]
- Rivenson, Y.; Koydemir, H.C.; Wang, H.; Wei, Z.; Ren, Z.; Günaydın, H.; Zhang, Y.; Göröcs, Z.; Liang, K.; Tseng, D.; et al. Deep Learning Enhanced Mobile-Phone Microscopy. ACS Photonics 2018, 5, 2354–2364. [Google Scholar] [CrossRef]
- Wei, O.; Andrey, A.; Mickaël, L.; Xian, H.; Christophe, Z. Deep Learning Massively Accelerates Super-Resolution Localization Microscopy. Nat. Biotechnol. 2018, 36, 460–468. [Google Scholar] [CrossRef] [PubMed]
- Nehme, E.; Weiss, L.E.; Michaeli, T.; Shechtman, Y. Deep-STORM: Super-Resolution Single-Molecule Microscopy by Deep Learning. Optics 2018, 5, 458–464. [Google Scholar] [CrossRef]
- Xiao, Y.; Yuan, Q.; Jiang, K.; He, J.; Wang, Y.; Zhang, L. From Degrade to Upgrade: Learning a Self-Supervised Degradation Guided Adaptive Network for Blind Remote Sensing Image Super-Resolution. Inf. Fusion 2023, 96, 297–311. [Google Scholar] [CrossRef]
- Xiao, Y.; Su, X.; Yuan, Q.; Liu, D.; Shen, H.; Zhang, L. Satellite Video Super-Resolution via Multiscale Deformable Convolution Alignment and Temporal Grouping Projection. IEEE Trans. Geosci. Remote Sens. 2021, 60, 5610819. [Google Scholar] [CrossRef]
- Xiao, Y.; Yuan, Q.; Jiang, K.; Jin, X.; He, J.; Zhang, L.; Lin, C. Local-Global Temporal Difference Learning for Satellite Video Super-Resolution. IEEE Trans. Circuits Syst. Video Technol. 2023, 34, 2789–2802. [Google Scholar] [CrossRef]
- Blu, T.; Thévenaz, P.; Unser, M. Linear Interpolation Revitalized. IEEE Trans. Image Process. 2004, 13, 710–719. [Google Scholar] [CrossRef] [PubMed]
- Meijering, E.; Unser, M. A Note on Cubic Convolution Interpolation. IEEE Trans. Image Process. 2003, 12, 477–479. [Google Scholar] [CrossRef] [PubMed]
- Fan, C.; Wu, C.; Li, G.; Ma, J. Projections onto Convex Sets Super-Resolution Reconstruction Based on Point Spread Function Estimation of Low-Resolution Remote Sensing Images. Sensors 2017, 17, 362. [Google Scholar] [CrossRef] [PubMed]
- Li, F.; He, X.; Wei, Z.; Mu, Z.; Li, M. Super-Resolution Image Reconstruction Based on an Improved Maximum a Posteriori Algorithm. J. Beijing Inst. Technol. 2018, 27, 237–240. [Google Scholar] [CrossRef]
- Yang, J.; Wright, J.; Huang, T.S.; Ma, Y. Image Super-Resolution Via Sparse Representation. IEEE Trans. Image Process. 2010, 19, 2861–2873. [Google Scholar] [CrossRef] [PubMed]
- Dong, C.; Loy, C.C.; He, K.; Tang, X. Learning a Deep Convolutional Network for Image Super-Resolution. In Proceedings of the European Conference on Computer Vision (ECCV), Zurich, Switzerland, 6–12 September 2014; pp. 184–199. [Google Scholar] [CrossRef]
- Kim, J.; Lee, J.K.; Lee, K.M. Accurate Image Super-Resolution Using Very Deep Convolutional Networks. In Proceedings of the IEEE Conference on Computer Vision and Pattern Recognition (CVPR), Las Vegas, NV, USA, 27–30 June 2016; pp. 1646–1654. [Google Scholar] [CrossRef]
- Lai, W.S.; Huang, J.B.; Ahuja, N.; Yang, M.H. Deep Laplacian Pyramid Networks for Fast and Accurate Super-Resolution. In Proceedings of the IEEE Conference on Computer Vision and Pattern Recognition (CVPR), Honolulu, HI, USA, 21–26 July 2017; pp. 5835–5843. [Google Scholar] [CrossRef]
- Ledig, C.; Theis, L.; Huszár, F.; Caballero, J.; Cunningham, A.; Acosta, A.; Aitken, A.; Tejani, A.; Totz, J.; Wang, Z.; et al. Photo-Realistic Single Image Super Resolution Using a Generative Adversarial Network. In Proceedings of the IEEE Conference on Computer Vision and Pattern Recognition (CVPR), Honolulu, HI, USA, 21–26 July 2017; pp. 4681–4690. [Google Scholar] [CrossRef]
- Lim, B.; Son, S.; Kim, H.; Nah, S.; Lee, K.M. Enhanced Deep Residual Networks for Single Image Super-Resolution. In Proceedings of the IEEE Conference on Computer Vision and Pattern Recognition (CVPR) Workshops, Honolulu, HI, USA, 21–26 July 2017; pp. 1132–1140. [Google Scholar] [CrossRef]
- Zhang, Y.; Tian, Y.; Kong, Y.; Zhong, B.; Fu, Y.R. Residual Dense Network for Image Super-Resolution. In Proceedings of the IEEE Conference on Computer Vision and Pattern Recognition (CVPR), Salt Lake City, UT, USA, 18–23 June 2018; pp. 2472–2481. [Google Scholar] [CrossRef]
- Zhang, H.; Fang, C.; Xie, X.; Yang, Y.; Mei, W.; Jin, D.; Fei, P. High-Throughput, High-Resolution Deep Learning Microscopy Based on Registration-Free Generative Adversarial Network. Biomed. Opt. Express 2019, 10, 1044–1063. [Google Scholar] [CrossRef] [PubMed]
- Wang, H.; Rivenson, Y.; Jin, Y.; Wei, Z.; Gao, R.; Günaydın, H.; Bentolila, L.A.; Kural, C.; Ozcan, A. Deep Learning Enables Cross-Modality Super-Resolution in Fluorescence Microscopy. Nat. Methods 2019, 16, 103–110. [Google Scholar] [CrossRef] [PubMed]
- van Sloun, R.J.G.; Solomon, O.; Bruce, M.; Khaing, Z.Z.; Wijkstra, H.; Eldar, Y.C.; Mischi, M. Super-Resolution Ultrasound Localization Microscopy Through Deep Learning. IEEE Trans. Med. Imaging 2021, 40, 829–839. [Google Scholar] [CrossRef] [PubMed]
- Qiao, C.; Li, D.; Guo, Y.; Liu, C.; Jiang, T.; Dai, Q.; Li, D. Evaluation and Development of Deep Neural Networks for Image Super-Resolution in Optical Microscopy. Nat. Methods 2021, 18, 194–202. [Google Scholar] [CrossRef] [PubMed]
- Park, S.J.; Son, H.; Cho, S.; Hong, K.S.; Lee, S. SRFeat: Single Image Super-Resolution with Feature Discrimination. In Proceedings of the European Conference on Computer Vision (ECCV), Munich, Germany, 8–14 September 2018; pp. 439–455. [Google Scholar] [CrossRef]
- Woo, S.; Park, J.; Lee, J.Y.; Kweon, I.S. CBAM: Convolutional Block Attention Module. In Proceedings of the European Conference on Computer Vision, Munich, Germany, 8–14 September 2018; pp. 3–19. [Google Scholar] [CrossRef]
- Wang, X.; Yu, K.; Wu, S.; Gu, J.; Liu, Y.; Dong, C.; Qiao, Y.; Loy, C.C. ESRGAN: Enhanced Super-Resolution Generative Adversarial Networks. In Proceedings of the European Conference on Computer Vision (ECCV) Workshops, Munich, Germany, 8–14 September 2018. [Google Scholar] [CrossRef]
- Zhang, Y.; Li, K.; Li, K.; Wang, L.; Zhong, B.; Fu, Y.R. Image Super-Resolution Using Very Deep Residual Channel Attention Networks. In Proceedings of the European Conference on Computer Vision (ECCV), Munich, Germany, 8–14 September 2018; pp. 286–301. [Google Scholar] [CrossRef]





| CBAM | RDB | Feature Discriminator | PSNR/dB ↑ | SSIM ↑ | |
|---|---|---|---|---|---|
| 1 | 28.12 | 0.72 | |||
| 2 | ✓ | 28.75 | 0.75 | ||
| 3 | ✓ | ✓ | 32.83 | 0.85 | |
| 4 | ✓ | ✓ | ✓ | 33.13 | 0.87 |
| Model | Dataset | PSNR/dB ↑ | SSIM ↑ | LPIPS ↑ | Parameters/M | Time/s |
|---|---|---|---|---|---|---|
| RFGANM [20] | Cell A | 28.12 | 0.72 | 0.2048 | 5.92 | 2.27 |
| Cell B | 27.45 | 0.85 | 0.1108 | |||
| Cell C | 28.86 | 0.77 | 0.1645 | |||
| Cell D | 29.62 | 0.84 | 0.1513 | |||
| ESRGAN [26] | Cell A | 28.74 | 0.75 | 0.1089 | 102.16 | 2.70 |
| Cell B | 31.71 | 0.90 | 0.0292 | |||
| Cell C | 30.49 | 0.79 | 0.0775 | |||
| Cell D | 33.50 | 0.89 | 0.0414 | |||
| SRResnet [17] | Cell A | 30.98 | 0.82 | 0.1616 | 5.34 | 2.33 |
| Cell B | 33.53 | 0.93 | 0.0385 | |||
| Cell C | 32.62 | 0.86 | 0.1356 | |||
| Cell D | 35.92 | 0.93 | 0.0572 | |||
| RCAN [27] | Cell A | 31.06 | 0.82 | 0.1689 | 58.92 | 2.17 |
| Cell B | 33.54 | 0.93 | 0.0412 | |||
| Cell C | 32.66 | 0.86 | 0.1466 | |||
| Cell D | 35.68 | 0.93 | 0.0590 | |||
| EDSR [18] | Cell A | 31.63 | 0.84 | 0.1542 | 155.30 | 2.05 |
| Cell B | 34.07 | 0.94 | 0.0362 | |||
| Cell C | 32.73 | 0.86 | 0.1414 | |||
| Cell D | 36.45 | 0.93 | 0.0606 | |||
| RDN [19] | Cell A | 31.68 | 0.84 | 0.1531 | 50.14 | 3.23 |
| Cell B | 34.13 | 0.94 | 0.0365 | |||
| Cell C | 32.81 | 0.86 | 0.1401 | |||
| Cell D | 36.89 | 0.94 | 0.0609 | |||
| RDAGAN | Cell A | 33.13 | 0.87 | 0.1364 | 11.25 | 2.56 |
| Cell B | 36.09 | 0.96 | 0.0259 | |||
| Cell C | 34.29 | 0.89 | 0.1272 | |||
| Cell D | 38.31 | 0.96 | 0.0550 |
Disclaimer/Publisher’s Note: The statements, opinions and data contained in all publications are solely those of the individual author(s) and contributor(s) and not of MDPI and/or the editor(s). MDPI and/or the editor(s) disclaim responsibility for any injury to people or property resulting from any ideas, methods, instructions or products referred to in the content. |
© 2024 by the authors. Licensee MDPI, Basel, Switzerland. This article is an open access article distributed under the terms and conditions of the Creative Commons Attribution (CC BY) license (https://creativecommons.org/licenses/by/4.0/).
Share and Cite
Liu, S.; Weng, X.; Gao, X.; Xu, X.; Zhou, L. A Residual Dense Attention Generative Adversarial Network for Microscopic Image Super-Resolution. Sensors 2024, 24, 3560. https://doi.org/10.3390/s24113560
Liu S, Weng X, Gao X, Xu X, Zhou L. A Residual Dense Attention Generative Adversarial Network for Microscopic Image Super-Resolution. Sensors. 2024; 24(11):3560. https://doi.org/10.3390/s24113560
Chicago/Turabian StyleLiu, Sanya, Xiao Weng, Xingen Gao, Xiaoxin Xu, and Lin Zhou. 2024. "A Residual Dense Attention Generative Adversarial Network for Microscopic Image Super-Resolution" Sensors 24, no. 11: 3560. https://doi.org/10.3390/s24113560
APA StyleLiu, S., Weng, X., Gao, X., Xu, X., & Zhou, L. (2024). A Residual Dense Attention Generative Adversarial Network for Microscopic Image Super-Resolution. Sensors, 24(11), 3560. https://doi.org/10.3390/s24113560





