A New Deep Hybrid Boosted and Ensemble Learning-Based Brain Tumor Analysis Using MRI
Abstract
:1. Introduction
- An automated two-phase deep hybrid learning-based detection and classification (DHL-DC) framework is proposed for brain tumor analysis by using MRI images.
- A novel deep-boosted features space, and ensemble classifiers (DBFS-EC)-based scheme is proposed to detect brain tumors. In this scheme, deep-boosted feature space is accomplished by using outperforming customized CNNs and provided to a majority voting-based ensemble of ML classifiers.
- For the classification of brain tumor types, a new deep hybrid features space-based brain tumor classification approach is proposed. In the proposed technique, the dynamic features are obtained from the proposed novel brain region-edge net (BRAIN-RENet) and concatenated with a histogram of gradients (HOG) features to increase the feature space diversity and to improve the learning capacity of ML classifiers. Moreover, the proposed BRAIN-RENet carefully learns various tumors’ heteromorphic and inconsistent behavior.
2. Related Work
- Most of the previously done works have been evaluated using accuracy on the validation dataset. However, precision, recall, and MCC are assessed for better performance evaluation on unbalanced datasets. Evaluation of such performance metrics is essential to measure the model’s generalization on the test dataset.
- Previous work is largely restricted to either detection or classification of brain tumors. However, only the detection of tumors puts radiologists in an ambiguous situation due to insufficient details of the tumor type.
- Largely normal individuals and tumors are classified in a single phase; this increased the overall complexity of models. Hence, isolating normal instances from tumor images for the classification phase may decrease the model’s complexity.
3. Anticipated Methodology
3.1. Preprocessing and Data Augmentation
3.2. Phase 01: Proposed Deep Learning-Based Brain Tumors Detection(DL-BTD) Scheme
3.2.1. Implementation of Existing CNNs
3.2.2. Developed Deep Feature Spaces Based Hybrid Learning (DFS-HL)
3.2.3. Developed Deep-Boosted Feature Space and Ensemble Classifier (DBFS-EC)
3.3. Phase 02: Proposed Brain Tumors Classification Framework
3.3.1. Proposed Deep BRAIN-RENet
- The proposed BRAIN-RENet improves imitating the image’s sharpness and smoothing dynamically, and can also fine tune the magnitude of smoothing and sharpening according to the spatial content of the image without human intervention.
- Systematic employment of edge- and region-based operations after each convolutional block enhances the region homogeneity of different image segments.
- The region operator smooths variations by applying average-pooling and suppresses the noise added during the MRI acquisition process. In contrast, the edge operator inspires CNNs for learning highly discriminative features by using a max-pooling operation.
3.3.2. Hybrid Features Fusion-Based Brain Tumor Classification (HFF-BTC)
4. Experimental Setup
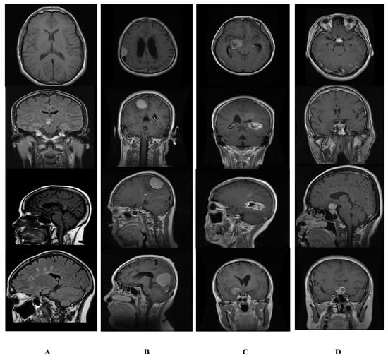
4.1. Dataset
4.2. Implementation Details
4.3. Assessment Metrics
5. Results and Discussion
5.1. Performance Evaluation of Tumor Screening Stage
5.1.1. Distinction Competency of the Brain Tumor Detection Approach
5.1.2. ROC Curve-Based Performance Exploration
5.2. Performance Analysis of Brain Tumor Classification Stage
5.2.1. Differentiation Proficiency of the Brain Tumor Classification Stage
5.2.2. Features Space Visualization
6. Conclusions
Author Contributions
Funding
Institutional Review Board Statement
Informed Consent Statement
Data Availability Statement
Acknowledgments
Conflicts of Interest
References
- Béhin, A.; Hoang-Xuan, K.; Carpentier, A.F.; Delattre, J.-Y. Primary brain tumours in adults. Lancet 2003, 361, 323–331. [Google Scholar] [CrossRef]
- Louis, D.N.; Perry, A.; Reifenberger, G.; Von Deimling, A.; Figarella-Branger, D.; Cavenee, W.K.; Ohgaki, H.; Wiestler, O.D.; Kleihues, P.; Ellison, D.W. The 2016 World Health Organization Classification of Tumors of the Central Nervous System: A summary. Acta Neuropathol. 2016, 131, 803–820. [Google Scholar] [CrossRef] [PubMed] [Green Version]
- Bengio, Y. Learning Deep Architectures for AI; Foundations and Trends® in Machine Learning; Now Publishers Inc.: Delft, The Netherlands, 2009; Volume 2, pp. 1–127. [Google Scholar]
- Wang, S.; Muhammad, K.; Phillips, P.; Dong, Z.; Zhang, Y.-D. Ductal carcinoma in situ detection in breast thermography by extreme learning machine and combination of statistical measure and fractal dimension. J. Ambient Intell. Humaniz. Comput. 2017, 1–11. [Google Scholar] [CrossRef]
- Codella, N.C.F.; Gutman, D.; Celebi, M.E.; Helba, B.; Marchetti, M.A.; Dusza, S.W.; Kalloo, A.; Liopyris, K.; Mishra, N.; Kittler, H.; et al. Skin lesion analysis toward melanoma detection: A challenge at the 2017 international symposium on biomedical imaging (ISBI), Hosted by the international skin imaging collaboration (ISIC). In Proceedings of the IEEE 15th International Symposium on Biomedical Imaging (ISBI), Washington, DC, USA, 4–7 April 2018; pp. 168–172. [Google Scholar]
- Khan, S.H.; Khan, A.; Lee, Y.S.; Hassan, M. Segmentation of Shoulder Muscle MRI Using a New Region and Edge based Deep Auto-Encoder. arXiv 2021, arXiv:2108.11720. [Google Scholar]
- Khan, S.H.; Sohail, A.; Khan, A.; Lee, Y.S. Classification and region analysis of COVID-19 infection using lung CT images and deep convolutional neural networks. arXiv 2020, arXiv:2009.08864. [Google Scholar] [CrossRef]
- Zafar, M.M.; Rauf, Z.; Sohail, A.; Khan, A.R.; Obaidullah, M.; Khan, S.H.; Lee, Y.S.; Khan, A. Detection of tumour infiltrating lymphocytes in CD3 and CD8 stained histopathological images using a two-phase deep CNN. Photodiagn. Photodyn. Ther. 2021, 37, 102676. [Google Scholar] [CrossRef]
- Khan, A.; Khan, S.H.; Saif, M.; Batool, A.; Sohail, A.; Khan, M.W. A Survey of Deep Learning Techniques for the Analysis of COVID-19 and their usability for Detecting Omicron. arXiv 2022, arXiv:2202.06372. [Google Scholar]
- Litjens, G.; Kooi, T.; Bejnordi, B.E.; Setio, A.A.A.; Ciompi, F.; Ghafoorian, M.; van der Laak, J.A.W.M.; van Ginneken, B.; Sánchez, C.I. A survey on deep learning in medical image analysis. Med. Image Anal. 2017, 42, 60–88. [Google Scholar] [CrossRef] [Green Version]
- Akkus, Z.; Galimzianova, A.; Hoogi, A.; Rubin, D.L.; Erickson, B.J. Deep Learning for Brain MRI Segmentation: State of the Art and Future Directions. J. Digit. Imaging 2017, 30, 449–459. [Google Scholar] [CrossRef] [Green Version]
- Kharrat, A.; Gasmi, K.; Messaoud, M.B.; Benamrane, N.; Abid, M. A hybrid approach for automatic classification of brain MRI using genetic algorithm and support vector machine. Leonardo J. Sci. 2010, 17, 71–82. [Google Scholar]
- Abdolmaleki, P.; Mihara, F.; Masuda, K.; Buadu, L.D. Neural networks analysis of astrocytic gliomas from MRI appearances. Cancer Lett. 1997, 118, 69–78. [Google Scholar] [CrossRef]
- Papageorgiou, E.; Spyridonos, P.; Glotsos, D.T.; Stylios, C.; Ravazoula, P.; Nikiforidis, G.; Groumpos, P. Brain tumor characterization using the soft computing technique of fuzzy cognitive maps. Appl. Soft Comput. 2008, 8, 820–828. [Google Scholar] [CrossRef]
- Zacharaki, E.I.; Wang, S.; Chawla, S.; Soo Yoo, D.; Wolf, R.; Melhem, E.R.; Davatzikos, C. Classification of brain tumor type and grade using MRI texture and shape in a machine learning scheme. Magn. Reson. Med. Off. J. Int. Soc. Magn. Reson. Med. 2009, 62, 1609–1618. [Google Scholar] [CrossRef] [PubMed] [Green Version]
- Khan, M.A.; Ashraf, I.; Alhaisoni, M.; Damaševičius, R.; Scherer, R.; Rehman, A.; Bukhari, S.A.C. Multimodal Brain Tumor Classification Using Deep Learning and Robust Feature Selection: A Machine Learning Application for Radiologists. Diagnostics 2020, 10, 565. [Google Scholar] [CrossRef] [PubMed]
- Maqsood, S.; Damasevicius, R.; Shah, F.M. An Efficient Approach for the Detection of Brain Tumor Using Fuzzy Logic and U-NET CNN Classification. In Computational Science and Its Applications—ICCSA; Springer International Publish: Cham, Switzerland, 2021; pp. 105–118. [Google Scholar] [CrossRef]
- Kadry, S.; Rajinikanth, V.; Raja, N.S.M.; Hemanth, D.J.; Hannon, N.M.S.; Raj, A.N.J. Evaluation of brain tumor using brain MRI with modified-moth-flame algorithm and Kapur’s thresholding: A study. Evol. Intell. 2021, 14, 1053–1063. [Google Scholar] [CrossRef]
- Jun, C. Brain Tumor Dataset %U. 2017. Available online: https://figshare.com/articles/brain_tumor_dataset/1512427 (accessed on 22 January 2022).
- Cheng, J.; Huang, W.; Cao, S.; Yang, R.; Yang, W.; Yun, Z.; Wang, Z.; Feng, Q. Correction: Enhanced Performance of Brain Tumor Classification via Tumor Region Augmentation and Partition. PLoS ONE 2015, 10, e0144479. [Google Scholar] [CrossRef]
- Sultan, H.H.; Salem, N.M.; Al-Atabany, W. Multi-Classification of Brain Tumor Images Using Deep Neural Network. IEEE Access 2019, 7, 69215–69225. [Google Scholar] [CrossRef]
- Çinar, A.; Yildirim, M. Detection of tumors on brain MRI images using the hybrid convolutional neural network architecture. Med. Hypotheses 2020, 139, 109684. [Google Scholar] [CrossRef]
- Khawaldeh, S.; Pervaiz, U.; Rafiq, A.; Alkhawaldeh, R.S. Noninvasive Grading of Glioma Tumor Using Magnetic Resonance Imaging with Convolutional Neural Networks. Appl. Sci. 2017, 8, 27. [Google Scholar] [CrossRef] [Green Version]
- Perez, L.; Wang, J. The effectiveness of data augmentation in image classification using deep learning. arXiv 2017, arXiv:1712.04621. [Google Scholar]
- Shorten, C.; Khoshgoftaar, T.M. A survey on Image Data Augmentation for Deep Learning. J. Big Data 2019, 6, 60. [Google Scholar] [CrossRef]
- Simonyan, K.; Zisserman, A. Very deep convolutional networks for large-scale image recognition. arXiv 2014, arXiv:1409.1556. [Google Scholar]
- Iandola, F.N.; Han, S.; Moskewicz, M.W.; Ashraf, K.; Dally, W.J.; Keutzer, K. SqueezeNet: AlexNet-level accuracy with 50x fewer parameters and <0.5 MB model size. arXiv 2016, arXiv:1602.07360. [Google Scholar]
- Szegedy, C.; Liu, W.; Jia, Y.; Sermanet, P.; Reed, S.; Anguelov, D.; Erhan, D.; Vanhoucke, V.; Rabinovich, A. Going Deeper with Convolutions. arXiv 2014, arXiv:1409.4842v1. [Google Scholar]
- He, K.; Zhang, X.; Ren, S.; Sun, J. Deep Residual Learning for Image Recognition. In Proceedings of the 2016 IEEE Conference on Computer Vision and Pattern Recognition (CVPR), Las Vegas, NV, USA, 27–30 June 2016. [Google Scholar]
- Chollet, F. Xception: Deep Learning with Depthwise Separable Convolutions. In Proceedings of the 2017 IEEE Conference on Computer Vision and Pattern Recognition (CVPR), Honolulu, HI, USA, 21–26 July 2017. [Google Scholar]
- Szegedy, C.; Vanhoucke, V.; Ioffe, S.; Shlens, J.; Wojna, Z. Rethinking the Inception Architecture for Computer Vision. In Proceedings of the IEEE Conference on Computer Vision and Pattern Recognition (CVPR), Las Vegas, NV, USA, 27–30 June 2016; pp. 2818–2826. [Google Scholar] [CrossRef] [Green Version]
- Zhang, X.; Zhou, X.; Lin, M.; Sun, J. ShuffleNet: An Extremely Efficient Convolutional Neural Network for Mobile Devices. arXiv 2017, arXiv:1707.01083v2. [Google Scholar]
- Huang, G.; Liu, Z.; Van Der Maaten, L.; Weinberger, K.Q. Densely Connected Convolutional Networks. In Proceedings of the 2017 IEEE Conference on Computer Vision and Pattern Recognition (CVPR), Honolulu, HI, USA, 21–26 July 2017. [Google Scholar]
- Cortes, C.; Vapnik, V. Support-vector networks. Mach. Learn. 1995, 20, 273–297. [Google Scholar] [CrossRef]
- Gardner, M.W.; Dorling, S.R. Artificial neural networks (the multilayer perceptron)—A review of applications in the atmospheric sciences. Atmos. Environ. 1998, 32, 2627–2636. [Google Scholar] [CrossRef]
- Schapire, R.E. Explaining Adaboost. In Empirical Inference; Springer: Berlin/Heidelberg, Germany, 2013; pp. 37–52. [Google Scholar]
- Khan, S.H.; Sohail, A.; Khan, A.; Hassan, M.; Lee, Y.S.; Alam, J.; Basit, A.; Zubair, S. COVID-19 detection in chest X-ray images using deep boosted hybrid learning. Comput. Biol. Med. 2021, 137, 104816. [Google Scholar] [CrossRef]
- Khan, S.H.; Sohail, A.; Khan, A.; Lee, Y.-S. COVID-19 Detection in Chest X-ray Images Using a New Channel Boosted CNN. arXiv 2020, arXiv:2012.05073. [Google Scholar]
- Khan, S.H.; Sohail, A.; Zafar, M.M.; Khan, A. Coronavirus Disease Analysis using Chest X-ray Images and a Novel Deep Convolutional Neural Network. Photodiagn. Photodyn. Ther. 2021, 35, 102473. [Google Scholar] [CrossRef]
- Chakrabarty, N. Brain MRI Images for Brain Tumor Detection. Kaggle, 2019. Available online: https://www.kaggle.com/datasets/navoneel/brain-mri-images-for-brain-tumor-detection (accessed on 22 January 2022).
- Bottou, L. Stochastic gradient descent tricks. In Neural Networks: Tricks of the Trade; Springer: Berlin/Heidelberg, Germany, 2012; pp. 421–436. [Google Scholar]
- Diebold, F.X.; Mariano, R.S. Comparing predictive accuracy. J. Bus. Econ. Stat. 2002, 20, 134–144. [Google Scholar] [CrossRef]
- Buckland, M.; Gey, F. The relationship between recall and precision. J. Am. Soc. Inf. Sci. 1994, 45, 12–19. [Google Scholar] [CrossRef]
- Sokolova, M.; Japkowicz, N.; Szpakowicz, S. Beyond accuracy, F-score and ROC: A family of discriminant measures for performance evaluation. In Australasian Joint Conference on Artificial Intelligence; Springer: Berlin/Heidelberg, Germany, 2006. [Google Scholar]
- Boughorbel, S.; Jarray, F.; El Anbari, M. Optimal classifier for imbalanced data using Matthews Correlation Coefficient metric. PLoS ONE 2017, 12, e0177678. [Google Scholar] [CrossRef] [PubMed]
- Davis, J.; Goadrich, M. The Relationship Between Precision-Recall and ROC Curves. In Proceedings of the 23rd International Conference on Machine Learning, ACM, Pittsburgh, PA, USA, 25–29 June 2006. [Google Scholar] [CrossRef] [Green Version]
- Krizhevsky, A.; Sutskever, I.; Hinton, G.E. Imagenet classification with deep convolutional neural networks. Adv. Neural Inf. Process. Syst. 2012, 60, 84–90. [Google Scholar] [CrossRef]
- Badža, M.M.; Barjaktarović, M. Classification of Brain Tumors from MRI Images Using a Convolutional Neural Network. Appl. Sci. 2020, 10, 1999. [Google Scholar] [CrossRef] [Green Version]
- Gumaei, A.; Hassan, M.M.; Hassan, R.; Alelaiwi, A.; Fortino, G. A Hybrid Feature Extraction Method with Regularized Extreme Learning Machine for Brain Tumor Classification. IEEE Access 2019, 7, 36266–36273. [Google Scholar] [CrossRef]
- Díaz-Pernas, F.J.; Martínez-Zarzuela, M.; Antón-Rodríguez, M.; González-Ortega, D. A Deep Learning Approach for Brain Tumor Classification and Segmentation Using a Multiscale Convolutional Neural Network. Healthcare 2021, 9, 153. [Google Scholar] [CrossRef]










| Method | Parameters |
|---|---|
| Image-Rotation | 0 to 360 degree |
| Image-Sharing | −0.05, +0.05 |
| Image-Scaling | 0.5–1 limit |
| Image Reflection | ±1 in the right–left direction |
| Metric | Description |
|---|---|
| Precision (Pre.) | The fraction of correctly detected class to an actual class |
| Recall (Rec) | The proportion of correctly identified class and actual negative class |
| Accuracy (Acc.) | % of the total number of correct detection |
| MCC | Matthews correlation coefficient |
| F1-Score | The harmonic mean of Pre. and Rec. |
| TP | Truly positive prediction |
| TN | Truly negative prediction |
| FP | Falsely positive prediction |
| FN | Falsely negative prediction |
| Model | Training Scheme | |||||||||
|---|---|---|---|---|---|---|---|---|---|---|
| Transfer Learning-Based (TL-B) | Training from Scratch (TR-SC) | |||||||||
| Acc. % | Rec. | Pre. | F1-Score | MCC | Acc. % | Rec. | Pre. | F1-Score | MCC | |
| ShuffleNet | 98.52 | 0.9824 | 0.9868 | 0.9846 | 0.9694 | 90.51 | 0.9849 | 0.8702 | 0.9241 | 0.8455 |
| VGG-16 | 98.76 | 0.9837 | 0.9901 | 0.9869 | 0.9739 | 94.07 | 0.9899 | 0.9155 | 0.9512 | 0.9016 |
| SqueezeNet | 98.91 | 0.9849 | 0.9917 | 0.9883 | 0.9768 | 95.36 | 0.9498 | 0.9556 | 0.9527 | 0.9058 |
| VGG-19 | 98.22 | 0.9949 | 0.9744 | 0.9846 | 0.9691 | 96.54 | 0.9799 | 0.9569 | 0.9683 | 0.9362 |
| ResNet-50 | 98.42 | 0.9649 | 0.9966 | 0.9805 | 0.9621 | 97.53 | 0.9448 | 0.9948 | 0.9692 | 0.9412 |
| Xception | 98.81 | 0.9824 | 0.9917 | 0.9807 | 0.9743 | 97.23 | 0.9599 | 0.9801 | 0.9698 | 0.9405 |
| Inception-V3 | 98.52 | 0.9924 | 0.9806 | 0.9856 | 0.9730 | 97.63 | 0.9573 | 0.9882 | 0.9725 | 0.9464 |
| Resnet-18 | 98.91 | 0.9774 | 0.9966 | 0.9869 | 0.9744 | 97.43 | 0.9812 | 0.9701 | 0.9756 | 0.9511 |
| GoogleNet | 98.52 | 0.9924 | 0.9806 | 0.9856 | 0.9731 | 97.53 | 0.9937 | 0.9643 | 0.9788 | 0.9575 |
| DenseNet-201 | 98.86 | 0.9724 | 0.9991 | 0.9856 | 0.9720 | 98.17 | 0.9636 | 0.9932 | 0.9782 | 0.9576 |
| Model | DFS-HL Scheme | |||||||||
|---|---|---|---|---|---|---|---|---|---|---|
| Transfer Learning-Based (TL-B) Softmax Based Classification | 4 Best Performing Transfer Learning-Based (TL-B) with SVM | |||||||||
| Acc. % | Rec. | Pre. | F1-Score | MCC | Acc. % | Rec. | Pre. | F1-Score | MCC | |
| Inception-V3 | 98.52 | 0.9924 | 0.9806 | 0.9856 | 0.973 | 99.01 | 0.9824 | 0.9950 | 0.9887 | 0.9776 |
| Resnet-18 | 98.91 | 0.9774 | 0.9966 | 0.9869 | 0.9744 | 99.16 | 0.9799 | 0.9991 | 0.9894 | 0.9793 |
| GoogleNet | 98.52 | 0.9924 | 0.9806 | 0.9856 | 0.9731 | 99.11 | 0.9849 | 0.995 | 0.9899 | 0.9801 |
| DenseNet-201 | 98.86 | 0.9724 | 0.9991 | 0.9856 | 0.9720 | 99.06 | 0.9887 | 0.9918 | 0.9902 | 0.9806 |
| Model | DFS-HL Scheme | |||||||||
|---|---|---|---|---|---|---|---|---|---|---|
| 4 Best Performing Transfer Learning-Based (TL-B) with MLP | 4 Best Performing Transfer Learning-Based (TL-B) with AdaBoostM1 | |||||||||
| Acc. % | Rec. | Pre. | F1-Score | MCC | Acc. % | Rec. | Pre. | F1-Score | MCC | |
| Inception-V3 | 99.31 | 0.9824 | 1.0000 | 0.9911 | 0.9826 | 99.06 | 0.9899 | 0.9910 | 0.9905 | 0.9810 |
| Resnet-18 | 99.26 | 0.9912 | 0.9934 | 0.9923 | 0.9847 | 99.41 | 0.9912 | 0.9959 | 0.9935 | 0.9872 |
| GoogleNet | 99.36 | 0.9874 | 0.9975 | 0.9924 | 0.9851 | 99.11 | 0.9824 | 0.9966 | 0.9895 | 0.9793 |
| DenseNet-201 | 99.41 | 0.9862 | 0.9991 | 0.9926 | 0.9855 | 99.46 | 0.9874 | 0.9991 | 0.9932 | 0.9867 |
| Classifiers | Deep Hybrid Boosted Feature Space | ||||
|---|---|---|---|---|---|
| Acc. % | Rec. | Pre. | F1-Score | MCC | |
| SVM | 99.41 | 0.9924 | 0.9950 | 0.9937 | 0.9876 |
| MLP | 99.41 | 0.9974 | 0.9918 | 0.9940 | 0.9888 |
| AdaboostM1 | 99.46 | 0.9862 | 1.0000 | 0.9941 | 0.9863 |
| Proposed DBFS-EC | 99.56 | 0.9899 | 0.9991 | 0.9945 | 0.9892 |
| Classifiers | Parameters | HFF-HL | |||
|---|---|---|---|---|---|
| Rec. | Pre. | Acc. % | F1-Score | ||
| Naïve Nayes | Gaussian Kernel | 0.9160 | 0.8923 | 90.5 | 0.9039 |
| Decision Tree | - | 0.9223 | 0.9280 | 93.3 | 0.9251 |
| Ensemble | AdaboostM2 | 0.9670 | 0.9670 | 96.9 | 0.9670 |
| SVM | Linear kernel | 0.9743 | 0.9616 | 96.9 | 0.9679 |
| Poly. Order 2 | 0.9823 | 0.9890 | 98.7 | 0.9856 | |
| RBF | 0.9883 | 0.9866 | 98.9 | 0.9874 | |
| Proposed Framework (HFF-BTC) | Dynamic + Static-SVM | 0.9906 | 0.9913 | 99.2 | 0.9909 |
| Method | The Proposed Classification Setup | |||
|---|---|---|---|---|
| Rec. | Pre. | Acc. % | F1-Score | |
| Cheng et al. [20] | 0.8105 | 0.9201 | 91.28 | - |
| Badža et al. [48] | 0.9782 | 0.9715 | 97.28 | 0.9747 |
| Gumaei et al. [49] | - | - | 94.23 | - |
| Díaz Pernas et al. [50] | - | - | 97.30 | - |
| Proposed BRAIN-RENet-SVM | 0.9683 | 0.9750 | 97.40 | 0.9716 |
| HOG-SVM | 0.8906 | 0.8790 | 87.20 | 0.8897 |
| Proposed HFF-BTC | 0.9906 | 0.9913 | 99.20 | 0.9909 |
Publisher’s Note: MDPI stays neutral with regard to jurisdictional claims in published maps and institutional affiliations. |
© 2022 by the authors. Licensee MDPI, Basel, Switzerland. This article is an open access article distributed under the terms and conditions of the Creative Commons Attribution (CC BY) license (https://creativecommons.org/licenses/by/4.0/).
Share and Cite
Zahoor, M.M.; Qureshi, S.A.; Bibi, S.; Khan, S.H.; Khan, A.; Ghafoor, U.; Bhutta, M.R. A New Deep Hybrid Boosted and Ensemble Learning-Based Brain Tumor Analysis Using MRI. Sensors 2022, 22, 2726. https://doi.org/10.3390/s22072726
Zahoor MM, Qureshi SA, Bibi S, Khan SH, Khan A, Ghafoor U, Bhutta MR. A New Deep Hybrid Boosted and Ensemble Learning-Based Brain Tumor Analysis Using MRI. Sensors. 2022; 22(7):2726. https://doi.org/10.3390/s22072726
Chicago/Turabian StyleZahoor, Mirza Mumtaz, Shahzad Ahmad Qureshi, Sameena Bibi, Saddam Hussain Khan, Asifullah Khan, Usman Ghafoor, and Muhammad Raheel Bhutta. 2022. "A New Deep Hybrid Boosted and Ensemble Learning-Based Brain Tumor Analysis Using MRI" Sensors 22, no. 7: 2726. https://doi.org/10.3390/s22072726
APA StyleZahoor, M. M., Qureshi, S. A., Bibi, S., Khan, S. H., Khan, A., Ghafoor, U., & Bhutta, M. R. (2022). A New Deep Hybrid Boosted and Ensemble Learning-Based Brain Tumor Analysis Using MRI. Sensors, 22(7), 2726. https://doi.org/10.3390/s22072726

