Multi-Domain Neumann Network with Sensitivity Maps for Parallel MRI Reconstruction
Abstract
:1. Introduction
2. Related Work
2.1. Parallel MRI Reconstruction Formulation
2.2. Deep Learning for Parallel MRI Reconstruction
2.3. Neumann Network
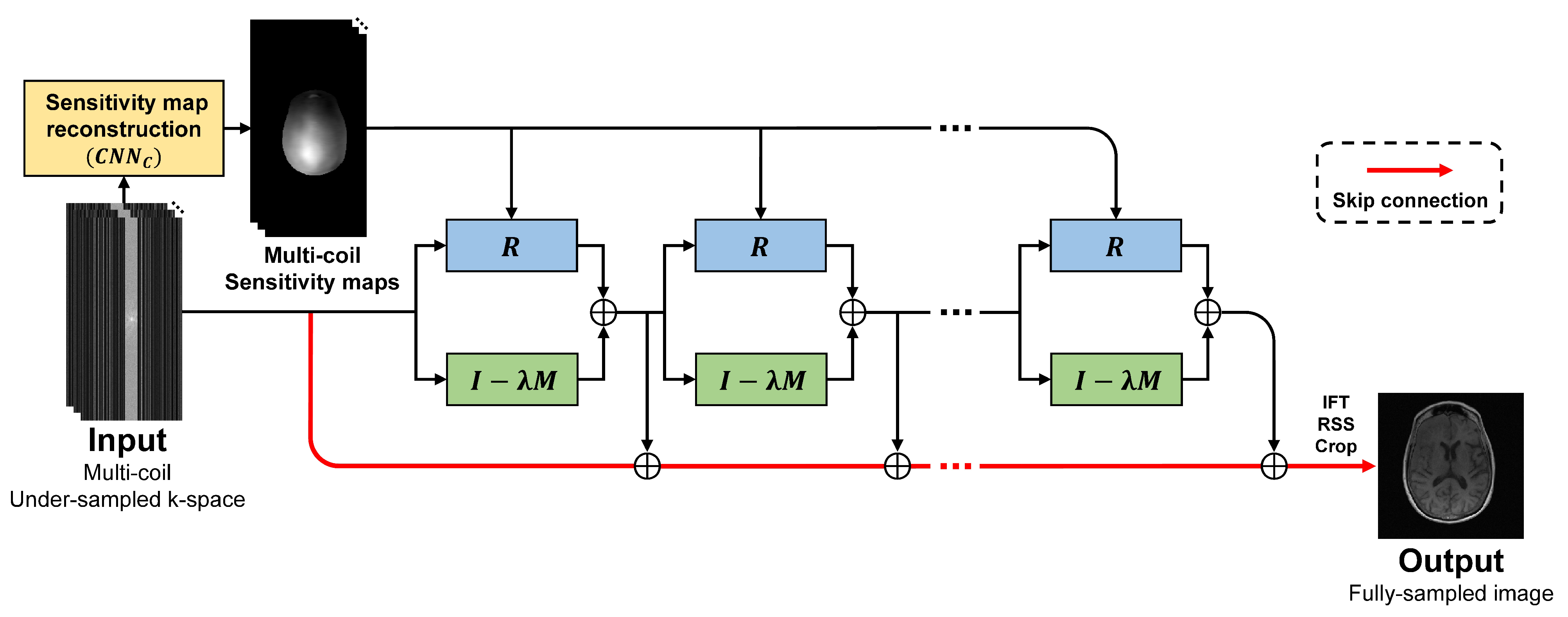
3. Multi-Domain Neumann Network with Sensitivity Maps
3.1. Sensitivity Maps Estimation
3.2. MR Image Reconstruction
3.3. K-Space Domain Accumulation
4. Experiments
4.1. Implementation Details
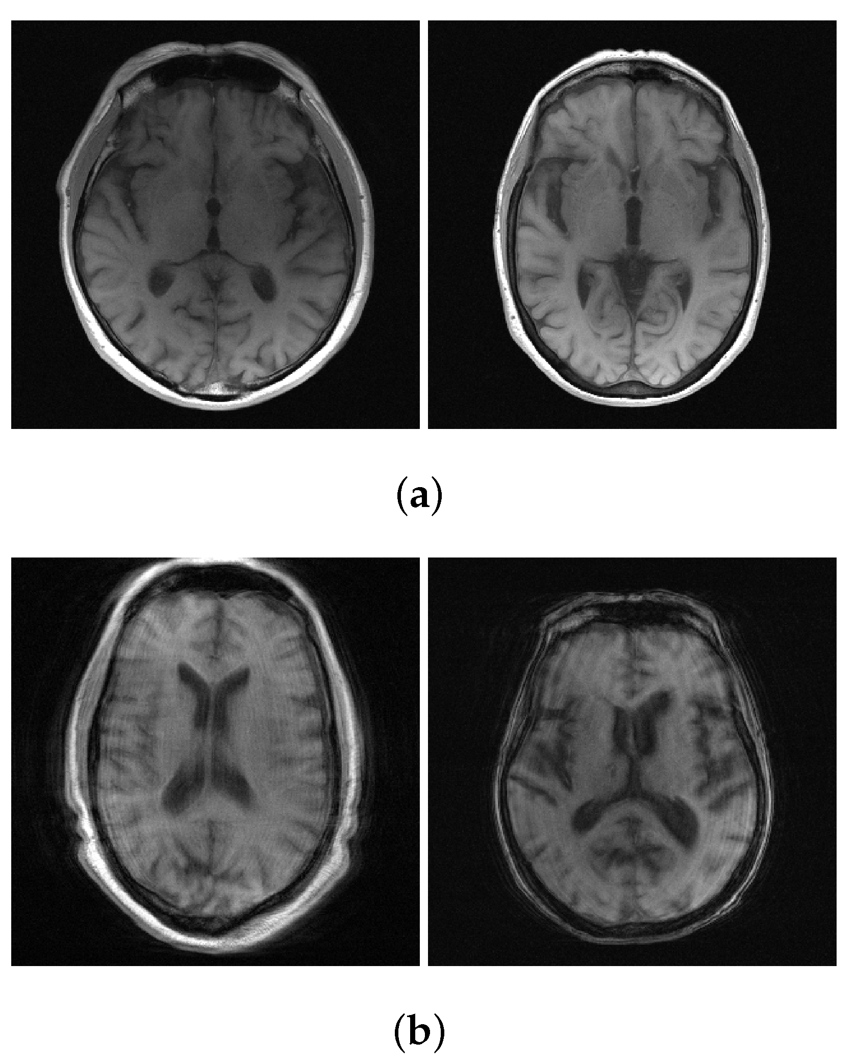
4.2. Results
4.3. The Amount of Data
4.4. Ablation Studies
- 1
- Sensitivity maps estimation: A comparison of the performance according to the sensitivity maps estimated by ESPIRiT or ;
- 2
- Accumulating domain: A comparison of the performance according to the domain where data accumulates in the skip connections, either in the image domain or the frequency domain;
- 3
- Sharing network parameters: A comparison of the performance according to paramaters that were shared with U-Net for the CNN-based regularization block in each iteration;
4.4.1. Sensitivity Maps Estimation
4.4.2. Accumulating Domain
4.4.3. Sharing the Network Parameters
5. Discussion
6. Conclusions
Author Contributions
Funding
Institutional Review Board Statement
Informed Consent Statement
Data Availability Statement
Conflicts of Interest
References
- Paschal, C.B.; Morris, H.D. K-space in the clinic. J. Magn. Reson. Imaging 2004, 19, 145–159. [Google Scholar] [CrossRef] [PubMed]
- Heidemann, R.M.; Özsarlak, Ö.; Parizel, P.M.; Michiels, J.; Kiefer, B.; Jellus, V.; Müller, M.; Breuer, F.; Blaimer, M.; Griswold, M.A.; et al. A brief review of parallel magnetic resonance imaging. Eur. Radiol. 2003, 13, 2323–2337. [Google Scholar] [CrossRef] [PubMed] [Green Version]
- Pruessmann, K.P.; Weiger, M.; Scheidegger, M.B.; Boesiger, P. SENSE: Sensitivity encoding for fast MRI. Magn. Reson. Med. 1999, 42, 952–962. [Google Scholar] [CrossRef]
- Ying, L.; Sheng, J. Joint image reconstruction and sensitivity estimation in SENSE (JSENSE). Magn. Reson. Med. 2007, 57, 1196–1202. [Google Scholar] [CrossRef] [PubMed]
- Griswold, M.A.; Jakob, P.M.; Heidemann, R.M.; Nittka, M.; Jellus, V.; Wang, J.; Kiefer, B.; Haase, A. Generalized autocalibrating partially parallel acquisitions (GRAPPA). Magn. Reson. Med. 2002, 47, 1202–1210. [Google Scholar] [CrossRef] [PubMed] [Green Version]
- Lustig, M.; Pauly, J.M. SPIRiT: Iterative self-consistent parallel imaging reconstruction from arbitrary k-space. Magn. Reson. Med. 2010, 64, 457–471. [Google Scholar] [CrossRef] [Green Version]
- Uecker, M.; Lai, P.; Murphy, M.J.; Virtue, P.; Elad, M.; Pauly, J.M.; Vasanawala, S.S.; Lustig, M. ESPIRiT—An eigenvalue approach to autocalibrating parallel MRI: Where SENSE meets GRAPPA. Magn. Reson. Med. 2014, 71, 990–1001. [Google Scholar] [CrossRef] [Green Version]
- Zhang, K.; Zuo, W.; Chen, Y.; Meng, D.; Zhang, L. Beyond a gaussian denoiser: Residual learning of deep cnn for image denoising. IEEE Trans. Image Process. 2017, 26, 3142–3155. [Google Scholar] [CrossRef] [Green Version]
- Zhang, K.; Zuo, W.; Gu, S.; Zhang, L. Learning deep CNN denoiser prior for image restoration. In Proceedings of the IEEE Conference on Computer Vision and Pattern Recognition, Honolulu, HI, USA, 21–26 July 2017; pp. 3929–3938. [Google Scholar]
- Tian, C.; Xu, Y.; Li, Z.; Zuo, W.; Fei, L.; Liu, H. Attention-guided CNN for image denoising. Neural Netw. 2020, 124, 117–129. [Google Scholar] [CrossRef]
- Dong, C.; Loy, C.C.; He, K.; Tang, X. Image super-resolution using deep convolutional networks. IEEE Trans. Pattern Anal. Mach. Intell. 2015, 38, 295–307. [Google Scholar] [CrossRef] [Green Version]
- Lai, W.S.; Huang, J.B.; Ahuja, N.; Yang, M.H. Deep laplacian pyramid networks for fast and accurate super-resolution. In Proceedings of the IEEE Conference on Computer Vision and Pattern Recognition, Honolulu, HI, USA, 21–26 July 2017; pp. 624–632. [Google Scholar]
- Yamanaka, J.; Kuwashima, S.; Kurita, T. Fast and accurate image super resolution by deep CNN with skip connection and network in network. In Proceedings of the International Conference on Neural Information Processing, Guangzhou, China, 14–18 November 2017; Springer: Berlin/Heidelberg, Germany, 2017; pp. 217–225. [Google Scholar]
- Zhang, Y.; Li, K.; Li, K.; Wang, L.; Zhong, B.; Fu, Y. Image super-resolution using very deep residual channel attention networks. In Proceedings of the European Conference on Computer Vision (ECCV), Munich, Germany, 8–14 September 2018; pp. 286–301. [Google Scholar]
- Yan, Z.; Li, X.; Li, M.; Zuo, W.; Shan, S. Shift-net: Image inpainting via deep feature rearrangement. In Proceedings of the European Conference on Computer Vision (ECCV), Munich, Germany, 8–14 September 2018; pp. 1–17. [Google Scholar]
- Zeng, Y.; Fu, J.; Chao, H.; Guo, B. Learning pyramid-context encoder network for high-quality image inpainting. In Proceedings of the IEEE/CVF Conference on Computer Vision and Pattern Recognition, Long Beach, CA, USA, 15–20 June 2019; pp. 1486–1494. [Google Scholar]
- Pathak, D.; Krahenbuhl, P.; Donahue, J.; Darrell, T.; Efros, A.A. Context encoders: Feature learning by inpainting. In Proceedings of the IEEE Conference on Computer Vision and Pattern Recognition, Las Vegas, NV, USA, 27–30 June 2016; pp. 2536–2544. [Google Scholar]
- Aggarwal, H.K.; Mani, M.P.; Jacob, M. MoDL: Model-based deep learning architecture for inverse problems. IEEE Trans. Med. Imaging 2018, 38, 394–405. [Google Scholar] [CrossRef] [PubMed]
- Gilton, D.; Ongie, G.; Willett, R. Neumann networks for linear inverse problems in imaging. IEEE Trans. Comput. Imaging 2019, 6, 328–343. [Google Scholar] [CrossRef]
- Diamond, S.; Sitzmann, V.; Heide, F.; Wetzstein, G. Unrolled optimization with deep priors. arXiv 2017, arXiv:1705.08041. [Google Scholar]
- Schlemper, J.; Caballero, J.; Hajnal, J.V.; Price, A.N.; Rueckert, D. A deep cascade of convolutional neural networks for dynamic MR image reconstruction. IEEE Trans. Med. Imaging 2017, 37, 491–503. [Google Scholar] [CrossRef] [PubMed] [Green Version]
- Eo, T.; Shin, H.; Jun, Y.; Kim, T.; Hwang, D. Accelerating Cartesian MRI by domain-transform manifold learning in phase-encoding direction. Med. Image Anal. 2020, 63, 101689. [Google Scholar] [CrossRef] [PubMed]
- Wang, S.; Su, Z.; Ying, L.; Peng, X.; Zhu, S.; Liang, F.; Feng, D.; Liang, D. Accelerating magnetic resonance imaging via deep learning. In Proceedings of the 2016 IEEE 13th International Symposium on Biomedical Imaging (ISBI), Prague, Czech Republic, 13–16 April 2016; IEEE: Piscataway, NJ, USA, 2016; pp. 514–517. [Google Scholar]
- Du, T.; Zhang, H.; Li, Y.; Pickup, S.; Rosen, M.; Zhou, R.; Song, H.K.; Fan, Y. Adaptive convolutional neural networks for accelerating magnetic resonance imaging via k-space data interpolation. Med. Image Anal. 2021, 72, 102098. [Google Scholar] [CrossRef] [PubMed]
- Lee, D.; Yoo, J.; Tak, S.; Ye, J.C. Deep residual learning for accelerated MRI using magnitude and phase networks. IEEE Trans. Biomed. Eng. 2018, 65, 1985–1995. [Google Scholar] [CrossRef] [Green Version]
- Tavaf, N.; Torfi, A.; Ugurbil, K.; Van de Moortele, P.F. GRAPPA-GANs for Parallel MRI Reconstruction. arXiv 2021, arXiv:2101.03135. [Google Scholar]
- Eo, T.; Jun, Y.; Kim, T.; Jang, J.; Lee, H.J.; Hwang, D. KIKI-net: Cross-domain convolutional neural networks for reconstructing undersampled magnetic resonance images. Magn. Reson. Med. 2018, 80, 2188–2201. [Google Scholar] [CrossRef]
- Han, Y.; Sunwoo, L.; Ye, J.C. k-space deep learning for accelerated MRI. IEEE Trans. Med. Imaging 2019, 39, 377–386. [Google Scholar] [CrossRef] [Green Version]
- Sriram, A.; Zbontar, J.; Murrell, T.; Zitnick, C.L.; Defazio, A.; Sodickson, D.K. GrappaNet: Combining parallel imaging with deep learning for multi-coil MRI reconstruction. In Proceedings of the IEEE/CVF Conference on Computer Vision and Pattern Recognition, Seattle, WA, USA, 13–19 June 2020; pp. 14315–14322. [Google Scholar]
- Hammernik, K.; Klatzer, T.; Kobler, E.; Recht, M.P.; Sodickson, D.K.; Pock, T.; Knoll, F. Learning a variational network for reconstruction of accelerated MRI data. Magn. Reson. Med. 2018, 79, 3055–3071. [Google Scholar] [CrossRef] [PubMed]
- Sriram, A.; Zbontar, J.; Murrell, T.; Defazio, A.; Zitnick, C.L.; Yakubova, N.; Knoll, F.; Johnson, P. End-to-end variational networks for accelerated MRI reconstruction. In Proceedings of the International Conference on Medical Image Computing and Computer-Assisted Intervention, Lima, Peru, 4–8 October 2020; Springer: Berlin/Heidelberg, Germany, 2020; pp. 64–73. [Google Scholar]
- Jun, Y.; Shin, H.; Eo, T.; Hwang, D. Joint deep model-based MR image and coil sensitivity reconstruction network (joint-ICNet) for fast MRI. In Proceedings of the IEEE/CVF Conference on Computer Vision and Pattern Recognition, Nashville, TN, USA, 20–25 June 2021; pp. 5270–5279. [Google Scholar]
- Putzky, P.; Karkalousos, D.; Teuwen, J.; Miriakov, N.; Bakker, B.; Caan, M.; Welling, M. i-RIM applied to the fastMRI challenge. arXiv 2019, arXiv:1910.08952. [Google Scholar]
- Block, K.T.; Uecker, M.; Frahm, J. Undersampled radial MRI with multiple coils. Iterative image reconstruction using a total variation constraint. Magn. Reson. Med. 2007, 57, 1086–1098. [Google Scholar] [CrossRef] [PubMed]
- Knoll, F.; Bredies, K.; Pock, T.; Stollberger, R. Second order total generalized variation (TGV) for MRI. Magn. Reson. Med. 2011, 65, 480–491. [Google Scholar] [CrossRef] [PubMed] [Green Version]
- Donoho, D.L. Compressed sensing. IEEE Trans. Inf. Theory 2006, 52, 1289–1306. [Google Scholar] [CrossRef]
- Lustig, M.; Donoho, D.L.; Santos, J.M.; Pauly, J.M. Compressed sensing MRI. IEEE Signal Process. Mag. 2008, 25, 72–82. [Google Scholar] [CrossRef]
- He, K.; Zhang, X.; Ren, S.; Sun, J. Deep residual learning for image recognition. In Proceedings of the IEEE Conference on Computer Vision and Pattern Recognition, Las Vegas, NV, USA, 27–30 June 2016; pp. 770–778. [Google Scholar]
- Ronneberger, O.; Fischer, P.; Brox, T. U-net: Convolutional networks for biomedical image segmentation. In Proceedings of the International Conference on Medical Image Computing and Computer-Assisted Intervention, Munich, Germany, 5–9 October 2015; Springer: Berlin/Heidelberg, Germany, 2015; pp. 234–241. [Google Scholar]
- Ulyanov, D.; Vedaldi, A.; Lempitsky, V. Instance normalization: The missing ingredient for fast stylization. arXiv 2016, arXiv:1607.08022. [Google Scholar]
- Wang, Z.; Bovik, A.C.; Sheikh, H.R.; Simoncelli, E.P. Image quality assessment: From error visibility to structural similarity. IEEE Trans. Image Process. 2004, 13, 600–612. [Google Scholar] [CrossRef] [Green Version]
- Kingma, D.P.; Ba, J. Adam: A method for stochastic optimization. arXiv 2014, arXiv:1412.6980. [Google Scholar]
- Zbontar, J.; Knoll, F.; Sriram, A.; Murrell, T.; Huang, Z.; Muckley, M.J.; Defazio, A.; Stern, R.; Johnson, P.; Bruno, M.; et al. fastMRI: An open dataset and benchmarks for accelerated MRI. arXiv 2018, arXiv:1811.088391. [Google Scholar]
- Knoll, F.; Zbontar, J.; Sriram, A.; Muckley, M.J.; Bruno, M.; Defazio, A.; Parente, M.; Geras, K.J.; Katsnelson, J.; Chandarana, H.; et al. fastMRI: A publicly available raw k-space and DICOM dataset of knee images for accelerated MR image reconstruction using machine learning. Radiol. Artif. Intell. 2020, 2, e190007. [Google Scholar] [CrossRef] [PubMed]








| Model | 2X Acceleration Factor | 4X Acceleration Factor | 8X Acceleration Factor | |||
|---|---|---|---|---|---|---|
| NMSE | SSIM | NMSE | SSIM | NMSE | SSIM | |
| Zero-filled | 0.0133 | 0.9084 | 0.0360 | 0.8079 | 0.0913 | 0.7003 |
| GRAPPA | 0.0049 | 0.9247 | 0.0584 | 0.6823 | 0.0939 | 0.5848 |
| U-Net | 0.0020 | 0.9696 | 0.0045 | 0.9501 | 0.0102 | 0.9259 |
| Neumann network | 0.0013 | 0.9737 | 0.0028 | 0.9579 | 0.0069 | 0.9362 |
| MDNNSM | 0.0012 | 0.9747 | 0.0023 | 0.9612 | 0.0051 | 0.9441 |
| Model | 2X Acceleration Factor | 4X Acceleration Factor | 8X Acceleration Factor | |||
|---|---|---|---|---|---|---|
| NMSE | SSIM | NMSE | SSIM | NMSE | SSIM | |
| MDNNSM with ESPRiT | 0.0014 | 0.9711 | 0.0030 | 0.9514 | 0.0068 | 0.9268 |
| MDNNSM with | 0.0012 | 0.9747 | 0.0023 | 0.9612 | 0.0051 | 0.9441 |
| Model | 2X Acceleration Factor | 4X Acceleration Factor | 8X Acceleration Factor | |||
|---|---|---|---|---|---|---|
| NMSE | SSIM | NMSE | SSIM | NMSE | SSIM | |
| MDNNSM Image sum | 0.0014 | 0.9710 | 0.0024 | 0.9599 | 0.0050 | 0.9439 |
| MDNNSM K-space sum | 0.0012 | 0.9747 | 0.0023 | 0.9612 | 0.0051 | 0.9441 |
| Model | 2X Acceleration Factor | 4X Acceleration Factor | 8X Acceleration Factor | |||
|---|---|---|---|---|---|---|
| NMSE | SSIM | NMSE | SSIM | NMSE | SSIM | |
| MDNNSM with parameter sharing | 0.0013 | 0.9745 | 0.0025 | 0.9600 | 0.0060 | 0.9404 |
| MDNNSM without parameter sharing | 0.0012 | 0.9747 | 0.0023 | 0.9612 | 0.0051 | 0.9441 |
Publisher’s Note: MDPI stays neutral with regard to jurisdictional claims in published maps and institutional affiliations. |
© 2022 by the authors. Licensee MDPI, Basel, Switzerland. This article is an open access article distributed under the terms and conditions of the Creative Commons Attribution (CC BY) license (https://creativecommons.org/licenses/by/4.0/).
Share and Cite
Lee, J.-H.; Kang, J.; Oh, S.-H.; Ye, D.H. Multi-Domain Neumann Network with Sensitivity Maps for Parallel MRI Reconstruction. Sensors 2022, 22, 3943. https://doi.org/10.3390/s22103943
Lee J-H, Kang J, Oh S-H, Ye DH. Multi-Domain Neumann Network with Sensitivity Maps for Parallel MRI Reconstruction. Sensors. 2022; 22(10):3943. https://doi.org/10.3390/s22103943
Chicago/Turabian StyleLee, Jun-Hyeok, Junghwa Kang, Se-Hong Oh, and Dong Hye Ye. 2022. "Multi-Domain Neumann Network with Sensitivity Maps for Parallel MRI Reconstruction" Sensors 22, no. 10: 3943. https://doi.org/10.3390/s22103943
APA StyleLee, J.-H., Kang, J., Oh, S.-H., & Ye, D. H. (2022). Multi-Domain Neumann Network with Sensitivity Maps for Parallel MRI Reconstruction. Sensors, 22(10), 3943. https://doi.org/10.3390/s22103943

