Next Article in Journal
Hoefkenia hunsrueckensis, a New Genus and Species from Europe, and the Identity of Virescentia vogesiaca (F.W.Schultz ex Skuja) Necchi, D.C.Agostinho & M.L.Vis (Batrachospermales, Rhodophyta)
Next Article in Special Issue
New Insights into the Telomere Structure in Hemiptera (Insecta) Inferred from Chromosome-Level and Scaffold-Level Genome Assemblies
Previous Article in Journal
Resprouting Control of Ailanthus altissima by Means of Cut and Stump Covering: Experimental Evidence for a Promising Technique
Previous Article in Special Issue
The Complete Mitochondrial Genomes of Aelia sibirica and A. fieberi (Hemiptera, Pentatomidae), and Phylogenetic Implications
 
 
Font Type:
Arial Georgia Verdana
Font Size:
Aa Aa Aa
Line Spacing:
Column Width:
Background:
Article

One Genome, Multiple Phenotypes: Would Rhodnius milesi Carcavallo, Rocha, Galvão & Jurberg, 2001 (Hemiptera, Triatominae) Be a Valid Species or a Phenotypic Polymorphism of R. neglectus Lent, 1954? †

by
Fabricio Ferreira Campos
1,‡,
Jader de Oliveira
2,*,‡,
Jociel Klleyton Santos Santana
3,
Amanda Ravazi
4,
Yago Visinho dos Reis
3,
Laura Marson Marquioli
5,
Cleber Galvão
4,
Maria Tercília Vilela de Azeredo-Oliveira
1,
João Aristeu da Rosa
3 and
Kaio Cesar Chaboli Alevi
2,4,5
1
Institute of Biosciences, Humanities and Exact Sciences, São Paulo State University (UNESP), São José do Rio Preto 15054-000, Brazil
2
Public Health Entomology Laboratory, Department of Epidemiology, Faculty of Public Health, University of São Paulo (USP), São Paulo 01246-904, Brazil
3
School of Pharmaceutical Sciences, São Paulo State University (UNESP), Araraquara 14801-902, Brazil
4
National and International Reference Laboratory on Triatomine Taxonomy, Oswaldo Cruz Institute (IOC), Oswaldo Cruz Foundation (FIOCRUZ), Rio de Janeiro 21040-360, Brazil
5
Institute of Biosciences, São Paulo State University (UNESP), Botucatu 18618-689, Brazil
*
Author to whom correspondence should be addressed.
urn:lsid:zoobank.org:pub:DC76CE99-5F14-4D6C-886A-4AD0DD20073E.
These authors contributed equally to this work.
Diversity 2024, 16(8), 472; https://doi.org/10.3390/d16080472
Submission received: 5 June 2024 / Revised: 30 July 2024 / Accepted: 31 July 2024 / Published: 5 August 2024

Abstract

Species of the Rhodnius genus have a complex taxonomy because the events of phenotypic plasticity and cryptic speciation make it difficult to correctly classify these vectors. During the taxonomic history of the genus, five synonymization events occurred. Additionally, some authors suggest that R. milesi possibly represent only phenotypic polymorphisms of R. neglectus. Thus, we analyzed the specific status of R. milesi in relation to R. neglectus using phylogenetic studies with the mitochondrial gene cytochrome B and the study of reproductive barriers. The phylogenetic reconstruction grouped R. milesi together with R. neglectus from different localities, demonstrating that these taxa represent the same species based on the phylogenetic species concept. Experimental crosses demonstrate the absence of pre- and postzygotic barriers under laboratory conditions. Additionally, when the hatch rates of crosses are compared to intraspecific crosses, it can be noted that they are high and very similar. Finally, the mortality rate of the hybrids does not indicate hybrid inviability, the absence of chromosome pairing errors does not indicate hybrid sterility, and the proportion between male and female hybrids demonstrates that Haldane’s rule was not acting. Therefore, we perform the formal synonymization of R. milesi with R. neglectus.

1. Introduction

Triatomines (Hemiptera, Reduviidae, Triatominae) are hematophagous insects of great importance for public health, as they are considered the main form of transmission of the protozoan Trypanosoma cruzi (Chagas, 1909) (Kinetoplastida, Trypanosomatidae), the etiological agent of Chagas disease [1]. Currently, there are 159 species, grouped into 18 genera and five tribes (Alberproseniini Martínez & Carcavallo, 1977, Bolboderini Usinger, 1944, Cavernicolini Usinger, 1944, Triatomini Jeannel, 1919 and Rhodniini Pinto, 1926), all being species considered potential vectors of the Chagas disease [2,3,4,5,6,7].
The main species from an epidemiological point of view are in the Triatomini and Rhodniini tribes [8]. The Rhodniini tribe is composed by 23 species, 20 belonging to the Rhodnius Stål, 1859 genus and three to the Psammolestes Bergroth, 1911 genus [2,7]. The Rhodnius genus is considered a paraphyletic group [8,9,10,11], as species in the prolixus group are evolutionarily closer to Psammolestes spp. than to the other Rhodnius groups [8,9,10,11].
Species of the Rhodnius genus have a complex taxonomy, because although species differentiation was initially based only on morphological distinctions and similarities [12,13], events of phenotypic plasticity and cryptic speciation make it difficult to correctly classify these vectors [14]. Intraspecific variations have already been reported in the species R. nasutus Stål, 1859 [15], R. robustus Larrousse, 1927 [16], R. ecuadoriensis Lent & León, 1958 [17], R. brethesi Matta, 1919 [18] and R. neglectus Lent, 1954 [19]. Furthermore, the main cryptic speciation event in the genus Rhodnius was signaled for R. robustus [11], although intraspecific genotypic variations were already observed for the species R. ecuadoriensis [20] and R. pallescens Barber, 1932 [21].
During the taxonomic history of the genus, five synonymization events occurred, namely, R. brumpti Pinto, 1925 with R. nasutus, R. dunni Pinto, 1932 with R. pallescens, Conorhinus limosus Walker, 1873 with R. pictipes Stål, 1872 and R. prolixus Stål, 1859 and, more recently, R. taquarussuensis Rosa et al., 2017 with R. neglectus and R. zeledoni Jurberg, Rocha & Galvão, 2009 with R. domesticus Neiva & Pinto, 1923 [7,19,22]. In addition to formal synonymization events, some authors suggest that, possibly, valid species represent only phenotypic polymorphisms: Abad-Franch et al. [17] and Monteiro et al. [11], for example, suggested that R. milesi Carcavallo, Rocha, Galvão & Jurberg, 2001 (in: Valente et al., 2001) is probably R. neglectus. Furthermore, recently Filée et al. [23] carried out a phylogenomic study in Rhodnius and suggested that R. milesi should be synonymized with R. nasutus. However, the authors themselves highlighted that a possible explanation for R. milesi approaching R. nasutus instead of R. neglectus is related to a probable event of introgression of nuclear genetic material between R. neglectus and R. nasutus.
Rhodnius milesi is a species reported in the states of Pará and Rondônia [24,25] that was described based on comparative morphological studies with R. dalessandroi Carcavallo & Barreto, 1976 [24]. However, phylogenetic systematic studies have grouped R. milesi with R. neglectus and, therefore, suggested that they are the same species [11]; Although some morphological differences in the external morphology [26], as well as in the structures of female genitalia [27] and the exochorial cells of eggs [28], have been observed, Galvão [29] and Jurberg [30] did not include this species in the dichotomous keys for adult Rhodnius due to the absence of external diagnostic characters when compared to R. neglectus. Furthermore, Alvarez et al. [31] recently carried out geometric morphometric studies between Rhodnius spp. and suggested that R. milesi is a variant of R. neglectus (emphasizing the need for the formal synonymization of these species).
Given the events of cryptic speciation and phenotypic plasticity, as well as the taxonomic problems associated with Rhodnius [11,14], integrative taxonomy has been used to characterize new species of the Rhodniini tribe [14,32,33]. Among the different tools that can be used in integrative taxonomy, phylogenetic systematics studies and analyses of pre- and postzygotic interspecific reproductive barriers are of great importance for evaluating the specific status of taxa (based on the phylogenetic [34] and biological concept of species, respectively [35,36]).
Thus, considering that morphological [12,29,30] and morphometric [31] studies have already been carried out and pointed out many similarities (suggesting, even, the formal synonymization of taxa [31]), we analyzed the specific status of R. milesi in relation to R. neglectus using phylogenetic studies with the mitochondrial gene cytochrome B (cyt B) and the study of reproductive barriers through experimental crosses.

2. Materials and Methods

2.1. Molecular Analyses

2.1.1. DNA Extraction

For DNA extraction, two specimens of R. milesi, obtained from colonies at the Triatominae Insectary of the School of Pharmaceutical Sciences of Araraquara, São Paulo, were used. The extraction protocol used was based on Adams et al. [37], in which two legs of each specimen were added to a microtube containing Digsol Buffer (50 mM Tris, 20 mM EDTA, 117 mM NaCl and 1% SDS) and macerated, being subsequently incubated overnight with proteinase K. The solution was then precipitated using an ammonium acetate solution, which was homogenized in a vortex for 15 min and centrifuged. The supernatant was then transferred to a new microtube, precipitated in absolute ethanol and centrifuged. Finally, a wash in 70% ethanol was performed and centrifuged again. After drying, the DNA was resuspended in 40 μL of TE buffer (Tris-EDTA) and stored at −20 °C. DNA concentration and quality were assessed using the NanoDrop™ spectrophotometer (Thermo Scientific™, Waltham, MA, USA).

2.1.2. Cytochrome B Amplification

For the amplification of cyt B, forward (5′-GGACAAATATCATGAGGAGCAACAG-3′) and reverse (5′-ATTACTCCTCCTAGCTTATTAGGAATTG-3′) primers were used, following the methodology of Lyman et al. [38]. The PCR products obtained were verified on an agarose gel (2%) stained with GelRed™ 20x (Biotium Inc.™, San Francisco Bay, CA, USA). Subsequently, the material was purified using ExoSAP-IT™ (Applied Biosystems™, Foster City, CA, USA) and submitted for sequencing on the ABI 3730 DNA Analyzer (Applied Biosystems™). Sequencing reactions were performed using the BigDye Terminator v3.1 Cycle Sequencing Kit (Applied Biosystems™). The sequences obtained were evaluated in BioEdit 7.2.5 [39], and the consensus sequence for each specimen was obtained from the forward and reverse sequences, which were evaluated in BLAST (https://blast.ncbi.nlm.nih.gov/Blast.cgi, accessed on 4 June 2024) to confirm the amplified region.

2.1.3. Phylogenetic and Genetic Distance Analyses

The cyt B sequences obtained were grouped with sequences available in Genbank (https://www.ncbi.nlm.nih.gov/genbank/, accessed on 4 June 2024) for Rhodnius spp. and Triatoma spp. (outgroup) (Table 1) and aligned in the Mega 11 program [40], using the Muscle method [41]. The resulting alignment containing 699 nucleotides was submitted to the jModeltest 2.10 [42] program to evaluate the best nucleotide substitution model based on AIC calculation, the best model being HKY [43] with invariant sites (+I) and gamma distribution (+G). Subsequently, this alignment was submitted to the Mega 11 program [40] to evaluate genetic distance (Kimura-2-parameters) and perform phylogenetic analysis by Neighbor-Joining [44]. In addition, a phylogenetic reconstruction using Bayesian inference was also performed in the Beast 1.8.4 program [45].
For Neighbor-Joining phylogenetic analysis, a total of 10,000 bootstrap replicates were performed [46]. The Kimura 2-parameter [47] method was used to calculate the evolutionary distance between sequences. The run was performed with the partial deletion option (all positions with less than 95% site coverage were eliminated). There were a total of 404 positions in the final dataset.
For phylogenetic reconstruction by Bayesian inference, an analysis was carried out with 100 million generations, using the HKY +I +G, strict clock and yule process prior [48,49]. Analysis stabilization (ESS > 200) was assessed in Tracer 1.8 [50]. Burn-in was adjusted for 25% of the samples, and the resulting tree was visualized and edited in Figtree program 1.4 [51].

2.2. Experimental Crosses

Reciprocal experimental crosses were conducted between R. milesi and R. neglectus to evaluate the potential pre- and/or postzygotic reproductive isolation barriers [34,35,52]. The experimental crosses were conducted in the Triatominae Insectary of the School of Pharmaceutical Sciences (FCFAR/UNESP, Brazil), according to the experiments of Mendonça et al. [53] and Ravazi et al. [54]: the insects were sexed as 5th instar-nymphs, and males and females were kept separately until they reached the adult stage to guarantee the virginity of the insects used in the crosses. For the experimental crosses, five couples from each set were placed separately in five plastic jars (diameter 5 cm × height 10 cm) and were kept at room temperature (average of 24 °C) and a relative humidity of 63% [55]. Furthermore, intraspecific crosses were also performed for group control. The eggs were collected weekly throughout the female’s oviposition periods, and the egg fertility rate was calculated. Additionally, after the hybrids hatched, the development of 1st instar-nymphs until adults was also monitored weekly to assess the mortality rate. As the nymphs did not die before reaching the adult stage, ten new couples of first-generation hybrids (F1) (five for each direction) were separated for intercrossing, with the same parameters described above being used in the evaluation. Furthermore, intercrosses between second-generation hybrids (F2) were also carried out in both directions. Finally, the hybrids that reached adulthood were sexed to assess whether Haldane’s rule [56] was acting. This rule predicts that if hybrids hatch, the heterogametic sex is the first affected by the evolutionary events that make this organism unfeasible or lead to sterility [56,57]. We justify that for all quantitative data collected, the relative frequency was calculated.

2.3. Cytogenetic Analysis

Five adult male hybrids from each generation were dissected and their testes removed and stored in a methanol: acetic acid solution (3:1). Slides were prepared by the cell-crushing technique (as described by Alevi et al. [58]), and cytogenetic analyses were performed to characterize spermatogenesis, with emphasis on the degree of pairing between the homologous chromosomes, using the lacto-acetic orcein technique [58,59]. The slides were examined under a light microscope (Jenamed; Carl Zeiss, Jena, Germany) that was coupled with a digital camera with a 1000-fold magnification; AxioVision LE version 4.8 imaging software (Carl Zeiss) was used for analysis.

3. Results and Discussion

The phylogenetic reconstruction grouped R. milesi (Figure 1A–D) together with R. neglectus (Figure 1E–G) from different localities (Figure 2, Figure 3 and Figure S1), demonstrating that these taxa represent the same species based on the phylogenetic species concept [34]. Monteiro et al. [11] also analyzed the relationship of these species with the cyt B gene and the nuclear marker Internal Transcribed Spacer 2 (ITS2) and observed high genetic similarity between R. milesi from southeastern Amazonia and R. neglectus. Furthermore, Filée et al. [23], using mitochondrial and nuclear markers, also analyzed the phylogenetic position of this species with Rhodnius spp. and suggested that R. milesi be synonymized with R. nasutus. Although the nuclear marker analyzed by Monteiro et al. [11] demonstrated evolutionary proximity between R. nasutus, R. neglectus and R. milesi, the phylogeny with the Cyt B gene separated R. nasutus from R. neglectus + R. milesi into distant clades [11] (Figure 2, Figure 3 and Figure S1), which led to Filée et al. [23] suggesting possible introgression between R. neglectus and R. nasutus.
The genetic similarities and divergences reported above by Monteiro et al. [11] are congruent with the chromosomal analyses carried out by Pita et al. [20], once R. neglectus and R. milesi present 45S rDNA marking clusters on the X and Y sex chromosomes and R. nasutus presents marking only on the X sex chromosome. The fluorescence in situ hybridization (FISH) results highlight that the position of the 45S rDNA probes are species-specific markers [20,60,61]. These data, together with the phylogenetic analyses, demonstrate that R. milesi and R. neglectus represent the same taxon.
Experimental crosses between R. milesi and R. neglectus resulted in F1 hybrids in both directions (Figure 1I–P), demonstrating the absence of prezygotic reproductive barriers (Table 2). Furthermore, postzygotic barriers were also not observed; as the hybrids reached adulthood (Figure 1I–P) (Table 2) (absence of hybrid inviability), they were intercrossed, and F2 hybrid offspring were obtained (Table 2) (absence of hybrid sterility). Subsequently, F2 hybrids were intercrossed, and third-generation hybrids (F3) were obtained (Table 2) (possible absence of hybrid collapse). The characterization of reproductive barriers in laboratory conditions makes it possible to confirm the specific status of the parental species based on the biological species concept [35,36]. On the other hand, when reproductive barriers are not observed, this parameter alone cannot be used to synonymize species, as laboratory crossings can break several natural barriers that may exist between different species in nature.
Nascimento et al. [19] performed an integrative taxonomy study to assess the specific status of R. taquarussuensis. The authors relied on data from phylogenetic systematics and experimental crosses to synonymize this species with R. neglectus, because mitochondrial markers demonstrated that both were grouped into a single clade, did not present interspecific reproductive barriers and had very high hatching rates of 92% for the cross between R. taquarussuensis ♀ x R. neglectus ♂ and 88% between R. neglectus ♀ x R. taquarussuensis ♂. Likewise, when the hatch rates of crosses between R. milesi and R. neglectus are compared to intraspecific crosses, it can be noted that, in both directions, they are high and very similar (ranging between 81% and 89%) (Table 2).
In addition to hatching rates, we evaluated the mortality rates of F1 hybrids, namely, around 39% for crosses between R. milesi ♀ x R. neglectus ♂ and 33% for crosses between R. neglectus ♀ x R. milesi ♂. The analysis of mortality rate in F1 hybrids can be an important taxonomic tool, as it allows evaluating, under laboratory conditions, the reproductive barrier of hybrid inviability. Alevi et al. [62] reported the presence of this barrier in hybrids resulting from crosses between T. sordida (Stål, 1859) and T. rosai Alevi et al. (2020) and used these results to confirm the specific status of T. rosai (until then, considered as T. sordida). Furthermore, Mendonça et al. [62] performed crosses between T. lenti Sherlock & Serafim, 1967 and T. bahiensis Sherlock & Serafim, 1967 and also observed the presence of this postzygotic barrier, which resulted in the revalidation of the specific status of T. bahiensis (until then, considered synonymous with T. lenti). Although F1 hybrids were obtained in both directions from the crosses performed above, the authors [63,64] observed high mortality rates (ranging between 70 and 80% as well as 84% to 98%, respectively). Therefore, the mortality rates observed for crosses between R. milesi and R. neglectus do not allow us to confirm the presence of this reproductive barrier between these species.
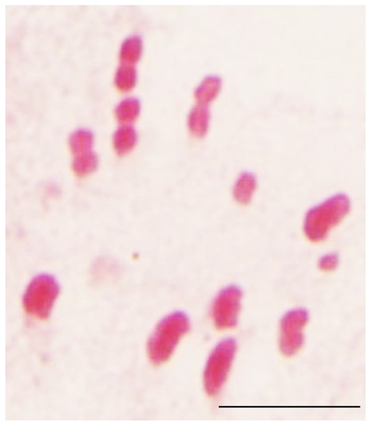
Cytogenetic analyses of the gonads allowed us to observe that the hybrids presented normal meiosis, with 100% pairing between the homologous chromosomes [karyotype equal to parental: 2n = 22 (20 autosomes + sex chromosomes X and Y)] (Figure 4). Furthermore, when dissecting the gonads, we observed that the testicles of these insects were not atrophied (absence of gonadal dysgenesis). Gonadal dysgenesis is a postzygotic reproductive barrier recently characterized in Triatominae [64]. Gonads atrophied by this evolutionary phenomenon do not carry out gametogenesis [64]. Both this event and pairing errors between homologous chromosomes—already reported for hybrids resulting from crosses between P. tertius Lent & Jurberg, 1965 and P. coreodes Bergroth, 1911 [54], T. lenti and T. bahiensis [65], Mepraia gajardoi Frias, Henry & Gonzalez, 1998 and M. spinolai (Porter, 1934) [66], T. infestans (Klug, 1834) and T. rubrovaria (Blanchard, 1843) [67], Panstrongylus chinai (Del Ponte, 1929) and P. howardi (Neiva, 1911) [68]–lead to sterility of the hybrid [64]. In this way, we can confirm that the hybrids of R. milesi and R. neglectus are fertile and present gametogenesis without chromosomal changes.
Finally, the analysis of the proportion between male and female hybrids demonstrated that Haldane’s rule was not acting, as 98 adult males and 80 females resulted from the cross between R. milesi ♀ x R. neglectus ♂, and 115 adult males and 102 females resulted from the cross between R. neglectus ♀ x R. milesi ♂. Although Perlowagora-Szumlewics and Correia [69] observed that a distortion of the sex ratio in favor of the female was occurring in crosses between T. pseudomaculata Corrêa & Espínola, 1964 and T. sordida, T. pseudomaculata and T. infestans, T. pseudomaculata and T. brasiliensis Neiva, 1911, and between R. neglectus and R. prolixus, and, with this, they suggested that the rule was acting in triatominae crosses, all other results in the literature suggest that the rule does not apply in Triatominae [66,68] (as observed in our experiments for Rhodnius spp., interspecific crosses between Mepraia spp. [66] and between Panstrongylus spp. [68] also produce adult hybrids of both sexes, suggesting that Haldane’s rule may not be applicable to these insect vectors).

4. Conclusions

Therefore, based on the results presented that connect R. milesi (Figure 5A–C) and R. neglectus (Figure 5D–F) as a single taxon, we performed the formal synonymization of these species:
  • Taxonomy
  • Kingdom Animalia Linnaeus, 1758
  • Phylum Arthropoda von Siebold, 1848
  • Class Insecta Linnaeus, 1758
  • Order Hemiptera Linnaeus, 1758
  • Suborder Heteroptera Latreille, 1810
  • Family Reduviidae Latreille, 1807
  • Subfamily Triatominae Jeannel, 1919
  • Tribe Rhodniini Pinto, 1926
  • Genus Rhodnius Stål, 1859
  • Rhodnius neglectus Lent, 1954 (Figure 5D–F)
  • Rhodnius taquarussuensis da Rosa et al., 2017 (syn. R. neglectus [19])
  • Rhodnius milesi Carcavallo, Rocha, Galvão & Jurberg, 2001 (in: Valente et al. 2001), syn. nov. (Figure 5A–C)
  • urn:lsid:zoobank.org:pub:DC76CE99-5F14-4D6C-886A-4AD0DD20073E
Based on this synonymization, the Triatominae subfamily now has 158 valid species (Table 3).

Supplementary Materials

The following supporting information can be downloaded at: https://www.mdpi.com/article/10.3390/d16080472/s1, Figure S1: Neighbor-Joining phylogenetic analysis based on cyt B gene. The number in the nodes indicates the posterior probabilities for each clade. The R. neglectus clade is highlighted in green. Note that the R. milesi specimens are together with R. neglectus in the R. neglectus clade.

Author Contributions

Conceptualization, F.F.C., J.d.O., J.K.S.S., A.R., Y.V.d.R., L.M.M., C.G., M.T.V.d.A.-O., J.A.d.R. and K.C.C.A.; methodology, F.F.C., J.d.O., J.K.S.S., A.R., Y.V.d.R., L.M.M. and K.C.C.A.; formal analysis, F.F.C., J.d.O., J.K.S.S., A.R., Y.V.d.R., L.M.M., C.G., M.T.V.d.A.-O., J.A.d.R. and K.C.C.A.; investigation, F.F.C., J.d.O., J.K.S.S., A.R., Y.V.d.R., L.M.M., C.G., M.T.V.d.A.-O., J.A.d.R. and K.C.C.A.; resources, F.F.C., J.d.O., J.K.S.S., A.R., Y.V.d.R., L.M.M., C.G., M.T.V.d.A.-O., J.A.d.R. and K.C.C.A.; writing—original draft preparation, F.F.C., J.d.O., C.G. and K.C.C.A.; writing—review and editing, F.F.C., J.d.O., J.K.S.S., A.R., Y.V.d.R., L.M.M., C.G., M.T.V.d.A.-O., J.A.d.R. and K.C.C.A.; supervision, K.C.C.A. and M.T.V.d.A.-O.; project administration, K.C.C.A. and M.T.V.d.A.-O.; funding acquisition, K.C.C.A., C.G. and M.T.V.d.A.-O. All authors have read and agreed to the published version of the manuscript.

Funding

Appreciation to the São Paulo Research Foundation (FAPESP) for funding the researcher, Jociel Klleyton Santos Santana (process 23/00423-0), Jader de Oliveira (process 2019/02145-2), Coordination for the Improvement of Higher Education Personnel, Brazil (CAPES)—Finance Code 001, Conselho Nacional de Desenvolvimento Científico e Tecnológico (CNPq) and Carlos Chagas Filho Research Foundation of the State of Rio de Janeiro (FAPERJ).

Institutional Review Board Statement

Not applicable.

Informed Consent Statement

Not applicable.

Data Availability Statement

All relevant data are within the manuscript.

Acknowledgments

We are very grateful to João Paulo Sales Oliveira Correia for the photos and information provided about the R. milesi and R. neglectus holotypes deposited in CTIOC, Brazil.

Conflicts of Interest

The authors declare no conflicts of interest.

References

  1. World Health Organization. Available online: https://www.who.int/health-topics/chagas-disease#tab=tab_1 (accessed on 24 April 2024).
  2. Alevi, K.C.C.; Oliveira, J.; Rocha, D.S.; Galvão, C. Trends in Taxonomy of Chagas Disease Vectors (Hemiptera, Reduviidae, Triatominae): From Linnaean to Integrative Taxonomy. Pathogens 2021, 10, 1627. [Google Scholar] [CrossRef]
  3. Oliveira Correia, J.P.S.O.; Gil-Santana, H.R.; Dale, C.; Galvão, C. Triatoma guazu Lent and Wygodzinsky Is a Junior Synonym of Triatoma williami Galvão, Souza and Lima. Insects 2022, 13, 591. [Google Scholar] [CrossRef]
  4. Gil-Santana, H.R.; Chavez, T.; Pita, S.; Panzera, F.; Galvão, C. Panstrongylus noireaui, a remarkable new species of Triatominae (Hemiptera, Reduviidae) from Bolivia. ZooKeys 2022, 1104, 203–225. [Google Scholar] [CrossRef]
  5. Téllez-Rendón, J.; Esteban, L.; Rengifo-Correa, L.; Díaz-Albiter, H.; Huerta, H.; Dale, C. Triatoma yelapensis sp. nov. (Hemiptera: Reduviidae) from Mexico, with a Key of Triatoma Species Recorded in Mexico. Insects 2023, 14, 331. [Google Scholar] [CrossRef]
  6. Zhao, Y.; Fan, M.; Li, H.; Cai, W. Review of Kissing Bugs (Hemiptera: Reduviidae: Triatominae) from China with Descriptions of Two New Species. Insects 2023, 14, 450. [Google Scholar] [CrossRef]
  7. Oliveira-Correia, J.P.S.; de Oliveira, J.; Gil-Santana, H.R.; da Silva Rocha, D.; Galvão, C. Taxonomic reassessment of Rhodnius zeledoni Jurberg, Rocha & Galvão: A morphological and morphometric analysis comparing its taxonomic relationship with Rhodnius domesticus Neiva & Pinto. BMC Zool. 2024, 9, 6. [Google Scholar]
  8. Justi, S.; Galvão, C. The evolutionary origin of diversity in Chagas disease vectors. Trends Parasitol. 2017, 33, 42–52. [Google Scholar] [CrossRef]
  9. Justi, S.A.; Russo, C.A.M.; dos Santos Mallet, J.R.; Obara, M.T.; Galvão, C. Molecular phylogeny of Triatomini (Hemiptera: Reduviidae: Triatominae). Parasites Vectors 2014, 7, 149. [Google Scholar] [CrossRef]
  10. Justi, S.A.; Galvão, C.; Schrago, C.G. Geological changes of the Americas and their influence on the diversification of the Neotropical kissing bugs (Hemiptera: Reduviidae: Triatominae). PLoS Negl. Trop. Dis. 2016, 10, e0004527. [Google Scholar] [CrossRef]
  11. Monteiro, F.A.; Weirauch, C.; Felix, M.; Lazoski, C.; Abad-Franch, F. Evolution, Systematics, and Biogeography of the Triatominae, Vectors of Chagas Disease. Adv. Parasitol. 2018, 99, 265–344. [Google Scholar]
  12. Lent, H.; Wygodzinsky, P. Revision of the Triatominae (Hemiptera: Reduviidae) and their significance as vector of Chagas’s disease. Bull. Am. Mus. Nat. Hist. 1979, 163, 123–520. [Google Scholar]
  13. Hernández, C.; da Rosa, J.A.; Vallejo, G.A.; Guhl, F.; Ramírez, J.D. Taxonomy, Evolution, and Biogeography of the Rhodniini Tribe (Hemiptera: Reduviidae). Diversity 2020, 12, 97. [Google Scholar] [CrossRef]
  14. Abad-Franch, F.; Pavan, M.G.; Jaramillo, N.; Palomeque, F.S.; Dale, C.; Chaverra, D.; Monteiro, F.A. Rhodnius barretti, a new species of Triatominae (Hemiptera: Reduviidae) from western Amazonia. Mem. Inst. Oswaldo Cruz 2013, 108, 92–99. [Google Scholar] [CrossRef] [PubMed]
  15. Dias, F.B.S.; Jaramillo, N.; Diotaiuti, L. Description and characterization of the melanic morphotype of Rhodnius nasutus Stål, 1859 (Hemiptera: Reduviidae: Triatominae). Rev. Soc. Bras. Med. Trop. 2014, 47, 637–641. [Google Scholar] [CrossRef] [PubMed]
  16. Marchant, A.; Mougel, F.; Jacquin-Joly, E.; Almeida, C.E.; Blanchet, D.; Bérenger, J.M.; da Rosa, J.A.; Harry, M. Chemosensory Gene Expression for Two Closely Relative Species Rhodnius robustus and R. prolixus (Hemiptera, Reduviidade, Triatominae) Vectors of Chagas Disease. Front. Ecol. Evol. 2021, 9, 725504. [Google Scholar] [CrossRef]
  17. Abad-Franch, F.; Monteiro, F.A.; Pavan, M.G.; Patterson, J.S.; Bargues, M.B.; Zuriaga, M.A.; Aguilar, M.; Beard, C.B.; Mas-Coma, S.; Miles, M.A. Under pressure: Phenotypic divergence and convergence associated with microhabitat adaptations in Triatominae. Parasites Vectors 2021, 14, 195. [Google Scholar] [CrossRef] [PubMed]
  18. Souza, A.C.; Catalá, S.; Carbajal de la Fuente, L.; Junqueira, A.C.V. Phenotypic variability oh teh Amazon species Rhodnius brethesi (Hemiptera: Reduviidae). J. Med. Entomol. 2017, 54, 909–916. [Google Scholar] [CrossRef] [PubMed]
  19. Nascimento, J.D.; Rosa, J.A.; Salgado-Roa, F.C.; Hernández, C.; Pardo-Diaz, C.; Alevi, K.C.C.; Ravazi, A.; Oliveira, J.; Azeredo-Oliveira, M.T.V.; Salazar, C.; et al. Taxonomical over splitting in the Rhodnius prolixus (Insecta: Hemiptera: Reduviidae) clade: Are R. taquarussuensis (da Rosa et al., 2017) and R. neglectus (Lent, 1954) the same species? PLoS ONE 2019, 14, e0211285. [Google Scholar] [CrossRef] [PubMed]
  20. Pita, S.; Panzera, F.; Ferrandis, I.; Galvao, C.; Gomez-Palacio, A.; Panzera, Y. Chromosomal divergence and evolutionary inferences in Rhodniini based on the chromosomal location of ribosomal genes. Mem. Inst. Oswaldo Cruz 2013, 108, 376–382. [Google Scholar] [CrossRef]
  21. Kieran, T.J.; Bayona-Vásquez, N.J.; Varian, C.P.; Saldaña, A.; Samudio, F.; Calzada, J.E.; Gottdenker, N.L.; Glenn, T.C. Population genetics of two chromatic morphs of the Chagas disease vector Rhodnius pallescens Barber, 1932 in Panamá. Infec. Genet. Evol. 2020, 84, 104369. [Google Scholar] [CrossRef]
  22. Galvão, C.; Carcavallo, R.; Rocha, D.S.; Jurberg, J. A checklist of the current valid species of the subfamily Triatominae Jeannel, 1919 (Hemiptera, Reduviidae) and their geographical distribution, with nomenclatural and taxonomic notes. Zootaxa 2003, 202, 1–36. [Google Scholar] [CrossRef]
  23. Filée, J.; Merle, M.; Bastide, H.; Mougel, F.; Bérenger, J.M.; Folly-Ramos, E.; Almeida, C.E.; Harry, M. Phylogenomics for Chagas Disease Vectors of the Rhodnius Genus (Hemiptera, Triatominae): What We Learn from Mito-Nuclear Conflicts and Recommendations. Front. Ecol. Evol. 2022, 9, 750317. [Google Scholar] [CrossRef]
  24. Valente, V.C.; Valente, S.; Carcavallo, R.U.; Rocha, D.S.; Galvão, C.; Jurberg, J. Considerações sobre uma nova espécie do gênero Rhodnius Stål, do estado do Pará, Brasil (Hemíptera, Reduviidae, Triatominae). Entomol. Vectores 2001, 8, 65–80. [Google Scholar]
  25. Massaro, D.C.; Rezende, D.S.; Camargo, L.M.A. Study of the triatomine fauna and occurrence of Chagas disease in Monte Negro, Rondonia, Brazil. Rev. Bras. Epidemiol. 2008, 11, 228–240. [Google Scholar] [CrossRef]
  26. Diotaiuti, L.; de Oliviera, M.A.; dos Santos, J.P.; Barbosa, S.E. Triatomíneos, 1st ed.; CPqRR: Belo Horizonte, Brazil, 2015; p. 296. [Google Scholar]
  27. da Rosa, J.A.; Mendonça, V.J.; Gardim, S.; Carvalho, D.B.; Oliveira, J.; Nascimento, J.D.; Pinotti, H.; Pinto, M.C.; Cilense, M.; Galvão, C.; et al. Study of the external female genitalia of 14 Rhodnius species (Hemiptera, Reduviidae, Triatominae) using scanning electron microscopy. Parasites Vectors 2014, 7, 17. [Google Scholar] [CrossRef] [PubMed]
  28. Santos, C.M.; Jurberg, J.; Galvão, C.; Rosa, J.A.; Ceretti-Júnior, W.; Barata, J.M.S.; Obara, M.T. Comparative descriptions of eggs from three species of Rhodnius (Hemiptera: Reduviidae: Triatominae). Mem. Inst. Oswaldo Cruz 2009, 104, 1012–1018. [Google Scholar] [CrossRef]
  29. Galvão, C. Vetores da Doença de Chagas no Brasil, 1st ed.; Sociedade Brasileira de Zoologia: Curitiba, Brazil, 2014; p. 289. [Google Scholar]
  30. Jurberg, J.; Rodrigues, J.M.S.; Moreira, F.F.F.; Dale, C.; Cordeiro, I.R.S.; Lamas, V.D., Jr.; Galvão, C.; Rocham, D.S. Atlas Iconográfico dos Triatomíneos do Brasil (Vetores da Doença de Chagas), 2nd ed.; Laboratório Nacional e Internacional de Referência em Taxonomia de Triatomíneos: Rio de Janeiro, Brazil, 2014; p. 61. [Google Scholar]
  31. Alvarez, A.C.P.C.; Dale, C.; Galvão, C. Geometric morphometry of the Rhodnius prolixus complex (Hemiptera, Triatominae): Patterns of intraspecific and interspecific allometry and their taxonomic implications. ZooKeys 2024, 1202, 213–228. [Google Scholar] [CrossRef] [PubMed]
  32. Rosa, J.A.; Rocha, C.S.; Gardim, S.; Pinto, M.C.; Mendonça, V.J.; Ferreira-Filho, J.C.R.; Carvalho, E.O.C.; Camargo, L.M.A.; Oliveira, J.; Nascimento, J.D.; et al. Description of Rhodnius montenegrensis n. sp. (Hemiptera, Reduviidae: Triatominae) from the state of Rondônia, Brazil. Zootaxa 2012, 3478, 62–76. [Google Scholar] [CrossRef]
  33. Souza, E.S.; Atzinger, N.C.B.V.; Furtado, M.B.; Oliveira, J.; Damieli, J.N.; Vendramini, D.P.; Gardim, S.; Rosa, J.A. Description of Rhodnius marabaensis sp. n. (Hemiptera: Reduviidae: Triatominae) from Pará State, Brazil. Zookeys 2016, 621, 45–62. [Google Scholar]
  34. Cracraft, J. Species Concepts and Speciation Analysis. In Current Ornithology, 1st ed.; Johnston, R.F., Ed.; Springer: New York, NY, USA, 1983; Volume 1, pp. 159–187. [Google Scholar]
  35. Mayr, E. Animal Species and Evolution; Harvard University Press: Cambridge, MA, USA, 1963; p. 797. [Google Scholar]
  36. Mayr, E. Populations, Species, and Evolution; Harvard University Press: Cambridge, MA, USA, 1970; p. 453. [Google Scholar]
  37. Adams, E.R.; Hamilton, P.B.; Malele, I.I.; Gibson, W.C. The identification, diversity and prevalence of trypanosomes in field caught tsetse in Tanzania using ITS-1 primers and fluorescent fragment length barcoding. Infect. Genet. Evol. 2008, 8, 439–444. [Google Scholar] [CrossRef]
  38. Lyman, D.F.; Monteiro, F.A.; Escalante, A.A.; Cordon-Rosales, C.; Wesson, D.M.; Dujardin, J.P.; Beard, C.B. Mitochondrial DNA sequence variation among triatomine vectors of Chagas disease. Am. J. Trop. Med. Hyg. 1999, 60, 377–386. [Google Scholar] [CrossRef] [PubMed][Green Version]
  39. Hall, T.A. BioEdit: A user-friendly biological sequence alignment editor and analysis program for Windows 95/98/NT. Nucleic Acids Symp. Ser. 1999, 41, 95–98. [Google Scholar]
  40. Tamura, K.; Stecher, G.; Kumar, S. MEGA11: Molecular Evolutionary Genetics Analysis version 11. Mol. Biol. Evol. 2021, 38, 3022–3027. [Google Scholar] [CrossRef] [PubMed]
  41. Edgar, R.C. MUSCLE: Multiple sequence alignment with high accuracy and high throughput. Nucleic Acids Res. 2004, 32, 1792–1797. [Google Scholar] [CrossRef] [PubMed]
  42. Darriba, D.; Taboada, G.L.; Doallo, R.; Posada, D. jModelTest 2: More models, new heuristics and parallel computing. Nat. Meth. 2012, 9, 772. [Google Scholar] [CrossRef]
  43. Hasegawa, M.; Kishino, H.; Yano, T. Dating the human-ape split by a molecular clock of mitochondrial DNA. J. Mol. Evol. 1985, 22, 160–174. [Google Scholar] [CrossRef]
  44. Saitou, N.; Nei, M. The neighbor-joining method: A new method for reconstructing phylogenetic trees. Mol. Biol. Evol. 1987, 4, 406–425. [Google Scholar] [PubMed]
  45. Drummond, A.J.; Suchard, M.A.; Xie, D.; Rambaut, A. Bayesian phylogenetics with BEAUti and the BEAST 1.7. Mol. Biol. Evol. 2012, 29, 1969–1973. [Google Scholar] [CrossRef]
  46. Felsenstein, J. Confidence limits on phylogenies: An approach using the bootstrap. Evolution 1985, 39, 783–791. [Google Scholar] [CrossRef] [PubMed]
  47. Kimura, M. A simple method for estimating evolutionary rate of base substitutions through comparative studies of nucleotide sequences. J. Mol. Evol. 1980, 16, 111–120. [Google Scholar] [CrossRef] [PubMed]
  48. Yule, G.U. A mathematical theory of evolution, based on the conclusions of Dr. J. C. Willis, F.R.S. Philos. Trans. R. Soc. Ser. B 1925, 213, 21–87. [Google Scholar]
  49. Gernhard, T. The conditioned reconstructed process. J. Theor. Biol. 2008, 253, 769–778. [Google Scholar] [CrossRef] [PubMed]
  50. Rambaut, A.; Drummond, A.J.; Xie, D.; Baele, G.; Suchard, M.A. Posterior summarisation in Bayesian phylogenetics using Tracer 1.7. Syst. Biol. 2018, 67, 901–904. [Google Scholar] [CrossRef] [PubMed]
  51. Rambaut, A. FigTree–Tree Figure Drawing Tool; Version v.1.4.4; Institute of Evolutionary Biology, University of Edinburgh: Edinburgh, UK, 2018. [Google Scholar]
  52. Dobzhansky, T. Genetics of the Evolutionary Process; Columbia University Press: New York, NY, USA, 1970. [Google Scholar]
  53. Mendonça, V.J.; Alevi, K.C.C.; Medeiros, L.M.; Nascimento, J.D.; Azeredo-Oliveira, M.T.V.; Rosa, J.A. Cytogenetic andmorphologic approaches of hybrids from experimental crosses between Triatoma lenti Sherlock & Serafim, 1967 and T. sherlocki Papa et al., 2002 (Hemiptera: Reduviidae). Infect. Genet. Evol. 2014, 26, 123–131. [Google Scholar] [PubMed]
  54. Ravazi, A.; Oliveira, J.; Campos, F.F.; Madeira, F.F.; Reis, Y.V.; Oliveira, A.B.B.; Azeredo-Oliveira, M.T.V.; Rosa, J.A.; Galvão, C.; Alevi, K.C.C. Trends in evolution of the Rhodniini tribe (Hemiptera, Triatominae): Experimental crosses between Psammolestes tertius Lent & Jurberg, 1965 and P. coreodes Bergroth, 1911 and analysis of the reproductive isolating mechanisms. Parasites Vectors 2021, 14, 350. [Google Scholar]
  55. Olaia, N.; Alevi, K.C.C.; Oliveira, J.; Cacini, G.L.; Souza, E.D.S.; Pinotti, H.; Silva, L.A.; Rosa, J.A. Biology of Chagas disease vectors: Biological cycle and emergence rates of Rhodnius marabaensis Souza et al., 2016 (Hemiptera, Reduviidae, Triatominae) under laboratory conditions. Parasitol. Res. 2021, 120, 2939–2945. [Google Scholar] [CrossRef] [PubMed]
  56. Haldane, J.B.S. Sex ratio and unisexual sterility in hybrid animals. J. Genet. 1922, 12, 101–109. [Google Scholar] [CrossRef]
  57. Turelli, M.; Orr, H.A. The dominance theory of Haldane’s Rule. Genetics 1995, 140, 389–402. [Google Scholar] [CrossRef] [PubMed]
  58. Alevi, K.C.C.; Mendonca, P.P.; Pereira, N.P.; Rosa, J.A.; Azeredo-Oliveira, M.T.V. Karyotype of Triatoma melanocephala Neiva & Pinto (1923). Does this species fit in the Brasiliensis subcomplex? Infect. Genet. Evol. 2012, 12, 1652–1653. [Google Scholar]
  59. De Vaio, E.S.; Grucci, B.; Castagnino, A.M.; Franca, M.E.; Martinez, M.E. Meiotic differences between three triatomine species (Hemiptera: Reduviidae). Genetica 1985, 67, 185–191. [Google Scholar] [CrossRef]
  60. Panzera, Y.; Pita, S.; Ferreiro, M.J.; Ferrandis, I.; Lages, C.; Pérez, R.; Silva, A.E.; Guerra, M.; Panzera, F. High dynamics of rDNA cluster location in kissing bug holocentric chromosomes (Triatominae, Heteroptera). Cytogenet. Genome Res. 2012, 138, 56–67. [Google Scholar] [CrossRef]
  61. Pita, S.; Lorite, P.; Cuadrado, A.; Panzera, Y.; De Oliveira, J.; Alevi, K.C.C.; Rosa, J.A.; Freitas, S.P.C.; Gómez-Palacio, A.; Solari, A.; et al. High chromosomal mobility of rDNA clusters in holocentric chromosomes of Triatominae, vectors of Chagas disease (Hemiptera-Reduviidae). Med. Vet. Entomol. 2022, 36, 66–80. [Google Scholar] [CrossRef] [PubMed]
  62. Alevi, K.C.C.; Oliveira, J.; Garcia, A.C.C.; Cristal, D.C.; Delgado, L.M.G.; Bittinelli, I.F.; Reis, Y.V.; Ravazi, A.; Oliveira, A.B.B.; Galvão, C.; et al. Triatoma rosai sp. nov. (Hemiptera, Triatominae): A New Species of Argentinian Chagas Disease Vector Described Based on Integrative Taxonomy. Insects 2020, 11, 830. [Google Scholar] [CrossRef] [PubMed]
  63. Mendonça, V.J.; Alevi, K.C.C.; Pinotti, H.; Gurgel-Gonçalves, R.; Pita, S.; Guerra, A.L.; Panzera, F.; Araújo, R.F.; Azeredo-Oliveira, M.T.V.; Rosa, J.A. Revalidation of Triatoma bahiensis Sherlock & Serafim, 1967 (Hemiptera: Reduviidae) and phylogeny of the T. Brasiliensis species complex. Zootaxa 2016, 4107, 239–254. [Google Scholar] [PubMed]
  64. Azevedo, L.M.S.; Cesaretto, N.R.; de Oliveira, J.; Ravazi, A.; Dos Reis, Y.V.; Tadini, S.C.A.F.; da Silva Masarin, I.; Borsatto, K.C.; Galvão, C.; da Rosa, J.A.; et al. First evidence of gonadal hybrid dysgenesis in Chagas disease vectors (Hemiptera, Triatominae): Gonad atrophy prevents events of interspecific gene flow and introgression. Parasites Vectors 2023, 16, 390. [Google Scholar] [CrossRef] [PubMed]
  65. Alevi, K.C.C.; Pinotti, H.; Araújo, R.F.; Azeredo-Oliveira, M.T.V.; Rosa, J.A.; Mendonça, V.J. Hybrid colapse confirm the specific status of Triatoma bahiensis Sherlock and Serafim, 1967 (Hemiptera, Triatominae). Am. J. Trop. Med. Hyg. 2018, 98, 475–477. [Google Scholar] [CrossRef] [PubMed]
  66. Campos-Soto, R.; Panzera, F.; Pita, S.; Lages, C.; Solari, A.; Botto-Mahan, C. Experimental crosses between Mepraia gajardoi and M. spinolai and hybrid chromosome analyses reveal the occurrence of several isolation mechanisms. Infect. Genet. Evol. 2016, 45, 205–212. [Google Scholar] [CrossRef]
  67. Pérez, R.; Hérnandez, M.; Quintero, O.; Scvortzoff, E.; Canale, D.; Méndez, L.; Cohanoff, C.; Martino, M.; Panzera, F. Cytogenetic analysis of experimental hybrids in species of Triatominae (Hemiptera-Reduviidae). Genetica 2005, 125, 261–270. [Google Scholar] [CrossRef] [PubMed]
  68. Villacís, A.G.; Dujardin, J.P.; Panzera, F.; Yumiseva, C.A.; Pita, S.; Santillán-Guayasamín, S.; Orozco, M.I.; Mosquera, K.D.; Grijalva, M.J. Chagas vectors Panstrongylus chinai (Del Ponte, 1929) and Panstrongylus howardi (Neiva, 1911): Chromatic forms or true species? Parasites Vectors 2020, 13, 226. [Google Scholar] [CrossRef]
  69. Perlowagora-Szumlewics, A.; Correia, M.V. Induction of male sterility manipulation of genetic mechanisms present in vector species of Chagas disease (remarks on integrating sterile-male release with insecticidal control measures against vectors of Chagas disease). Rev. Inst. Med. Trop. 1972, 14, 360–371. [Google Scholar]
Figure 1. (A): Female R. milesi in dorsal view; (B): female R. milesi in ventral view; (C): male R. milesi in dorsal view; (D): male R. milesi in ventral view; (E): female R. neglectus in dorsal view; (F): female R. neglectus in ventral view; (G): male R. neglectus in dorsal view; (H): male R. neglectus in ventral view; (I): female hybrid resulting from the crossing between R. neglectus female x R. milesi male in dorsal view; (J): female hybrid resulting from the crossing between R. neglectus female x R. milesi male in ventral view; (K): male hybrid resulting from the crossing between R. neglectus female x R. milesi male in dorsal view; (L): male hybrid resulting from the crossing between R. neglectus female x R. milesi male in ventral view; (M): female hybrid resulting from the crossing between R. milesi female x R. neglectus male in dorsal view; (N): female hybrid resulting from the crossing between R. milesi female x R. neglectus male in ventral view; (O): male hybrid resulting from the crossing between R. milesi female x R. neglectus male in dorsal view; (P): male hybrid resulting from the crossing between R. milesi female x R. neglectus male in ventral view. Bar: 2 mm.
Figure 1. (A): Female R. milesi in dorsal view; (B): female R. milesi in ventral view; (C): male R. milesi in dorsal view; (D): male R. milesi in ventral view; (E): female R. neglectus in dorsal view; (F): female R. neglectus in ventral view; (G): male R. neglectus in dorsal view; (H): male R. neglectus in ventral view; (I): female hybrid resulting from the crossing between R. neglectus female x R. milesi male in dorsal view; (J): female hybrid resulting from the crossing between R. neglectus female x R. milesi male in ventral view; (K): male hybrid resulting from the crossing between R. neglectus female x R. milesi male in dorsal view; (L): male hybrid resulting from the crossing between R. neglectus female x R. milesi male in ventral view; (M): female hybrid resulting from the crossing between R. milesi female x R. neglectus male in dorsal view; (N): female hybrid resulting from the crossing between R. milesi female x R. neglectus male in ventral view; (O): male hybrid resulting from the crossing between R. milesi female x R. neglectus male in dorsal view; (P): male hybrid resulting from the crossing between R. milesi female x R. neglectus male in ventral view. Bar: 2 mm.
Diversity 16 00472 g001
Figure 2. Bayesian phylogeny based on cyt B gene. The number in the nodes indicates the posterior probabilities for each clade. The R. neglectus clade is highlighted in green. Note that the R. milesi specimens are together with R. neglectus in the R. neglectus clade.
Figure 2. Bayesian phylogeny based on cyt B gene. The number in the nodes indicates the posterior probabilities for each clade. The R. neglectus clade is highlighted in green. Note that the R. milesi specimens are together with R. neglectus in the R. neglectus clade.
Diversity 16 00472 g002
Figure 3. Simplified tree showing the phylogenetic relationship between taxa, based on Bayesian inference phylogeny of Figure 1. The numbers at the nodes indicate the posterior probability.
Figure 3. Simplified tree showing the phylogenetic relationship between taxa, based on Bayesian inference phylogeny of Figure 1. The numbers at the nodes indicate the posterior probability.
Diversity 16 00472 g003
Figure 4. Meiotic metaphase of hybrids resulting from the cross between R. milesi and R. neglectus. Note 100% pairing between chromosomes. Bar: 10 μm.
Figure 4. Meiotic metaphase of hybrids resulting from the cross between R. milesi and R. neglectus. Note 100% pairing between chromosomes. Bar: 10 μm.
Diversity 16 00472 g004
Figure 5. Rhodnius milesi [male holotype, deposited in Triatomines Collection of the Oswaldo Cruz Institute (CTIOC)] (AC) and Rhodnius neglectus (male holotype, deposited in CTIOC) (DF). A and D: Dorsal view; (B,E): Lateral view; (C,F): Labels. Bar: 5 mm.
Figure 5. Rhodnius milesi [male holotype, deposited in Triatomines Collection of the Oswaldo Cruz Institute (CTIOC)] (AC) and Rhodnius neglectus (male holotype, deposited in CTIOC) (DF). A and D: Dorsal view; (B,E): Lateral view; (C,F): Labels. Bar: 5 mm.
Diversity 16 00472 g005
Table 1. Genbank accession number for each marker used in the phylogenetic analyses. * Sequences obtained in this study.
Table 1. Genbank accession number for each marker used in the phylogenetic analyses. * Sequences obtained in this study.
SpecieAcession NumberCountryState—City
R. milesiPQ094218 *BrazilPará—Bragança
PQ094219 *BrazilPará—Bragança
R. neglectusAF045716Brazil-
MZ399364BrazilBahia—Ibotirama
MZ399370BrazilBahia—São Desiderio
KT317037BrazilBahia—Xique-Xique
KT317036BrazilBahia—Xique-Xique
MH704748BrazilGoiás—Formoso
MH704749BrazilGoiás—Formoso
MH704751BrazilGoiás—Formoso
MH704750BrazilGoiás—Formoso
MZ399362BrazilGoiás—Mambai
MZ399366BrazilMaranhão—Vargem Grande
MZ399365BrazilMaranhão—Loreto
MZ399367BrazilMinas Gerais—Buritizeiro
MZ399368BrazilMinas Gerais—Januaria
KT317058BrazilParaíba—Olivedos
KT317053BrazilPiauí—Canto do Buriti
KT317056BrazilPiauí—Canto do Buriti
KT317052BrazilPiauí—Canto do Buriti
KT317054BrazilPiauí—Canto do Buriti
KT317055BrazilPiauí—Canto do Buriti
KT317063BrazilPiauí—Colônia do Gurgueia
KT317065BrazilPiauí—Colônia do Gurgueia
KT317068BrazilPiauí—Colônia do Gurgueia
KT317064BrazilPiauí—Colônia do Gurgueia
KT317067BrazilPiauí—Colônia do Gurgueia
KT317066BrazilPiauí—Colônia do Gurgueia
KT317045BrazilPiauí—Jaicos
KT317042BrazilPiauí—Jaicos
KT317043BrazilPiauí—Jaicos
KT317044BrazilPiauí—Jaicos
MZ399363BrazilPiauí—Monte Alegre do Piaui
KT317057BrazilPiauí—Oeiras
OQ785647BrazilPiauí—Sao Raimundo Nonato
JX273156BrazilTocantins—Palmeirantes
MZ399369BrazilTocantins—Taguatinga
R. montenegrensisMZ396184Bolivia-
MZ396185Bolivia-
MZ396186Bolivia-
MZ396187Bolivia-
MZ396188Bolivia-
MZ396189Bolivia-
MZ396190Bolivia-
MZ396191Bolivia-
R. robustusJX273158Brazil-
R. prolixusAF421339Honduras-
EF043579Venezuela-
EF043585Venezuela-
EF043586Venezuela-
EF043587Venezuela-
EF043588Venezuela-
KP126733Colombia-
KP126734Colombia-
R. nasutusMG735124-Pernambuco—Serra Talhada
MG735123-Pernambuco—Serra Talhada
MG735122-Pernambuco—Serra Talhada
MG735121-Pernambuco—Serra Talhada
MG735109-Paraíba—Sousa
MG735108-Paraíba—Sousa
MG735107-Paraíba—Sousa
MG735106-Paraíba—Sousa
MG735080-Piauí—Piracuruca
MG735079-Piauí—Piracuruca
MG735078-Piauí—Piracuruca
MG735077-Piauí—Piracuruca
MG735071-Piauí—Parnaiba
MG735070-Piauí—Parnaiba
MG735069-Piauí—Parnaiba
MG735068-Piauí—Parnaiba
MG735054-Ceará—Jaguaruana
MG735053-Ceará—Jaguaruana
MG735022-Rio Grande do Norte—Carnauba dos Dantas
MG735021-Rio Grande do Norte—Carnauba dos Dantas
MG734997-Piauí—Campo Maior
MG734996-Piauí—Campo Maior
Outgroup
T. infestans
KC249262Uruguai-
T. infestansKC249258--
T. rubrofasciataHQ333233--
Table 2. Intra- and interspecific crosses between R. milesi and R. neglectus. * F1 hybrids resulting from the cross between R. milesi ♀ x R. neglectus ♂, ** F1 hybrids resulting from crossing R. neglectus ♀ x R. milesi ♂, *** F2 hybrids resulting from the crossing between F1 of R. milesi ♀ x R. neglectus ♂, **** F2 hybrids resulting from the crossing between F1 of R. neglectus ♀ x R. milesi ♂.
Table 2. Intra- and interspecific crosses between R. milesi and R. neglectus. * F1 hybrids resulting from the cross between R. milesi ♀ x R. neglectus ♂, ** F1 hybrids resulting from crossing R. neglectus ♀ x R. milesi ♂, *** F2 hybrids resulting from the crossing between F1 of R. milesi ♀ x R. neglectus ♂, **** F2 hybrids resulting from the crossing between F1 of R. neglectus ♀ x R. milesi ♂.
Crosses Eggs Hatching RateEggsHatching Rate
Experimental crosses
(to obtain F1)
R. milesi ♀ x R. neglectus35782%
R. neglectus ♀ x R. milesi36689%
Intercrosses (F1 x F1)
(to obtain F2)
Hybrid F1 x Hybrid F1 *28479%
Hybrid F1 x Hybrid F1 **23381%
Intercrosses (F2 x F2)
(to obtain F3)
Hybrid F2 x Hybrid F2 ***54650%
Hybrid F2 x Hybrid F2 ****70383%
Control group
R. milesi ♀ x R. milesi38681%
R. neglectus ♀ x R. neglectus90189%
Table 3. Tribes, genera and number of valid species that belong to the subfamily Triatominae.
Table 3. Tribes, genera and number of valid species that belong to the subfamily Triatominae.
TribesGeneraSpecies (n)
AlberproseniiniAlberprosenia2
BolboderiniBelminus9
Bolbodera1
Microtriatoma2
Parabelminus2
CavernicoliniCavernicola2
RhodniiniPsammolestes3
Rhodnius19
TriatominiDipetalogaster1
Eratyrus2
Hermanlentia1
Linshcosteus6
Mepraia3
Nesotriatoma3
Panstrongylus18
Paratriatoma2
Triatoma81
Paleotriatoma1
Total 158
Disclaimer/Publisher’s Note: The statements, opinions and data contained in all publications are solely those of the individual author(s) and contributor(s) and not of MDPI and/or the editor(s). MDPI and/or the editor(s) disclaim responsibility for any injury to people or property resulting from any ideas, methods, instructions or products referred to in the content.

Share and Cite

MDPI and ACS Style

Campos, F.F.; de Oliveira, J.; Santos Santana, J.K.; Ravazi, A.; dos Reis, Y.V.; Marson Marquioli, L.; Galvão, C.; de Azeredo-Oliveira, M.T.V.; Aristeu da Rosa, J.; Alevi, K.C.C. One Genome, Multiple Phenotypes: Would Rhodnius milesi Carcavallo, Rocha, Galvão & Jurberg, 2001 (Hemiptera, Triatominae) Be a Valid Species or a Phenotypic Polymorphism of R. neglectus Lent, 1954? Diversity 2024, 16, 472. https://doi.org/10.3390/d16080472

AMA Style

Campos FF, de Oliveira J, Santos Santana JK, Ravazi A, dos Reis YV, Marson Marquioli L, Galvão C, de Azeredo-Oliveira MTV, Aristeu da Rosa J, Alevi KCC. One Genome, Multiple Phenotypes: Would Rhodnius milesi Carcavallo, Rocha, Galvão & Jurberg, 2001 (Hemiptera, Triatominae) Be a Valid Species or a Phenotypic Polymorphism of R. neglectus Lent, 1954? Diversity. 2024; 16(8):472. https://doi.org/10.3390/d16080472

Chicago/Turabian Style

Campos, Fabricio Ferreira, Jader de Oliveira, Jociel Klleyton Santos Santana, Amanda Ravazi, Yago Visinho dos Reis, Laura Marson Marquioli, Cleber Galvão, Maria Tercília Vilela de Azeredo-Oliveira, João Aristeu da Rosa, and Kaio Cesar Chaboli Alevi. 2024. "One Genome, Multiple Phenotypes: Would Rhodnius milesi Carcavallo, Rocha, Galvão & Jurberg, 2001 (Hemiptera, Triatominae) Be a Valid Species or a Phenotypic Polymorphism of R. neglectus Lent, 1954?" Diversity 16, no. 8: 472. https://doi.org/10.3390/d16080472

APA Style

Campos, F. F., de Oliveira, J., Santos Santana, J. K., Ravazi, A., dos Reis, Y. V., Marson Marquioli, L., Galvão, C., de Azeredo-Oliveira, M. T. V., Aristeu da Rosa, J., & Alevi, K. C. C. (2024). One Genome, Multiple Phenotypes: Would Rhodnius milesi Carcavallo, Rocha, Galvão & Jurberg, 2001 (Hemiptera, Triatominae) Be a Valid Species or a Phenotypic Polymorphism of R. neglectus Lent, 1954? Diversity, 16(8), 472. https://doi.org/10.3390/d16080472

Note that from the first issue of 2016, this journal uses article numbers instead of page numbers. See further details here.

Article Metrics

Back to TopTop