First Record of Microsporidia Infection in the Damselfly Ischnura elegans Larvae: Temperature and Predator Cue Effects on the Host’s Life History
Abstract
:1. Introduction
2. Materials and Methods
2.1. Histology
2.2. Statistical Analysis
3. Results
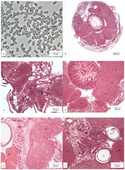
3.1. General View
3.2. Histological Description
3.3. Life History
4. Discussion
5. Conclusions
Supplementary Materials
Author Contributions
Funding
Institutional Review Board Statement
Informed Consent Statement
Data Availability Statement
Acknowledgments
Conflicts of Interest
References
- Gunn, A.; Pitt, S.J. Parasitology: An Integrated Approach; John Willey & Sons: Hoboken, NJ, USA, 2012; ISBN 9780470684245. [Google Scholar]
- Goater, T.M.; Goater, C.P.; Esch, G.W. Parasitism, the Diveristy and Ecology of the Animal Parasites; Cambridge University Press: Cambridge, UK, 2014; ISBN 9788578110796. [Google Scholar]
- Sadd, B.M.; Siva-Jothy, M.T. Self-harm caused by an insect’s innate immunity. Proc. R. Soc. B Biol. Sci. 2006, 273, 2571–2574. [Google Scholar] [CrossRef] [PubMed] [Green Version]
- Bethel, W.M.; Holmes, J.C. Altered evasive behavior and responses to light in amphipods harboring acanthocephalan cystacanths. J. Parasitol. 1973, 59, 945–956. [Google Scholar] [CrossRef]
- Becnel, J.J.; Garcia, J.J.; Johnson, M.A. Edhazardia aedis (Microspora: Culicosporidae) effects on the reproductive capacity of Aedes aegypti (Diptera: Culicidae). J. Med. Entomol. 1995, 32, 549–553. [Google Scholar] [CrossRef] [PubMed]
- Ebert, D.; Lipsitch, M.; Mangin, K.L. The Effect of Parasites on Host Population Density and Extinction: Experimental Epidemiology with Daphnia and Six Microparasites. Am. Nat. 2000, 156, 459. [Google Scholar] [CrossRef]
- Grimaldi, D.; Engel, M.S. Evolution of the Insects; Cambridge University Press: Cambridge, UK, 2005; ISBN 9780521821490. [Google Scholar]
- Geden, C.J.; Long, S.J.; Rutz, D.A.; Becnel, J.J. Nosema disease of the parasitoid muscidifurax raptor (Hymenoptera: Pteromalidae): Prevalence, patterns of transmission, management, and impact. Biol. Control 1995, 5, 607–614. [Google Scholar] [CrossRef]
- Fredensborg, B.L.; Fossdal Í Kálvalíð, I.; Johannesen, T.B.; Stensvold, C.R.; Nielsen, H.V.; Kapel, C.M.O. Parasites modulate the gut-microbiome in insects: A proof-of-concept study. PLoS ONE 2020, 15, e0227561. [Google Scholar] [CrossRef] [Green Version]
- Humber, R.A. Fungal Pathogens and Parasites of Insects. In Applied Microbial Systematics; Priest, F.G., Goodfellow, M., Eds.; Springer Science+Business Media: Dordrecht, The Netherlands, 2000; pp. 203–231. ISBN 1599051494. [Google Scholar]
- Corbet, P.S. Dragonflies—Behaviour and Ecology of Odonata; Harley Books: Colchester, UK, 1999. [Google Scholar]
- Forbes, M.R.; Robb, T. Testing hypotheses about parasite-mediated selection using odonate hosts. In Dragonflies and Damselflies: Model Organisms for Ecological and Evolutionary Research; Córdoba-Aguilar, A., Ed.; Oxford University Press: Oxford, UK, 2008; pp. 175–188. [Google Scholar]
- Braune, P.; Rolff, J. Parasitism and survival in a damselfly: Does host sex matter? Proc. R. Soc. B Biol. Sci. 2001, 268, 1133–1137. [Google Scholar] [CrossRef] [Green Version]
- Hecker, K.R.; Forbes, M.R.; Léonard, N.J. Parasitism of damselflies (Enallagma boreale) by gregarines: Sex biases and relations to adult survivorship. Can. J. Zool. 2002, 80, 162–168. [Google Scholar] [CrossRef]
- Åbro, A. Gregarines: Their Effects on Damselflies (Odonata: Zygoptera). Entomol. Scandanavi 1971, 2, 294–300. [Google Scholar] [CrossRef]
- Siva-Jothy, M.T.; Plaistow, S.J. A fitness cost of eugregarine parasitism in a damselfly. Ecol. Entomol. 1999, 24, 465–470. [Google Scholar] [CrossRef]
- Sokolova, Y.Y.; Kryukova, N.A.; Glupov, V.V.; Fuxa, J.R. Systenostrema alba Larsson 1988 (Microsporidia, Thelohaniidae) in the dragonfly Aeshna viridis (Odonata, Aeshnidae) from South Siberia: Morphology and molecular characterization. J. Eukaryot. Microbiol. 2006, 53, 49–57. [Google Scholar] [CrossRef] [PubMed]
- Larsson, J.I.R. On the taxonomy of the genus Systenostrema Hazard & Oldacre, 1975 (Microspora, Thelohaniidae), with description of two new species. Syst. Parasitol. 1988, 11, 3–17. [Google Scholar] [CrossRef]
- Larsson, J.I.R. On the Cytology and Taxonomic Position of Nudispora biformis N. G., N. Sp. (Microspora, Thelohaniidae), a Microsporidian Parasite of the Dragon Fly Coenagrion hastulatum in Sweden. J. Protozool. 1990, 37, 310–318. [Google Scholar] [CrossRef]
- Nakamura, H.; Kurimoto, N.; Imura, Y.; Hatakeyama, Y. The First Isolation of Microsporidia from Dragonflies in Japan. Jpn. J. Appl. Entomol. Zool. 2021, 65, 29–34. [Google Scholar] [CrossRef]
- Weiss, L.M.; Becnel, J.J. Microsporidia Pathogens of Opportunity; John Willey & Sons: Hoboken, NJ, USA, 2014. [Google Scholar]
- Becnel, J.J.; White, S.E.; Shapiro, A.M. Review of microsporidia-mosquito relationships: From the simple to the complex. Folia Parasitol. 2005, 52, 41–50. [Google Scholar] [CrossRef] [Green Version]
- Senderskiy, I.V.; Timofeev, S.A.; Seliverstova, E.V.; Pavlova, O.A.; Dolgikh, V.V. Secretion of Antonospora (Paranosema) locustae proteins into infected cells suggests an active role of microsporidia in the control of host programs and metabolic processes. PLoS ONE 2014, 9, 93585. [Google Scholar] [CrossRef] [Green Version]
- Tamim El Jarkass, H.; Reinke, A.W. The ins and outs of host-microsporidia interactions during invasion, proliferation and exit. Cell. Microbiol. 2020, 22, e13247. [Google Scholar] [CrossRef]
- Becnel, J.J.; Andreadis, T.G. Microsporidia in Insects. In Microsporidia: Pathogens of Opportunity; Weiss, L.M., Becnel, J.J., Eds.; John Willey & Sons: Hoboken, NJ, USA, 2014; pp. 521–571. ISBN 9781118395264. [Google Scholar]
- Córdoba-Aguilar, A. Dragonflies and Damselflies: Model Organisms for Ecological and Evolutionary Research; Córdoba-Aguilar, A., Ed.; Oxford University Press: Oxford, UK; New York, NY, USA, 2008; ISBN 9789896540821. [Google Scholar]
- Stoks, R.; Córdoba-Aguilar, A. Evolution ary Ecology of Odonata: A Complex Life Cycle Perspective. Annu. Rev. Entomol. 2012, 57, 249–265. [Google Scholar] [CrossRef]
- Sniegula, S.; d’Amour Nsanzimana, J.; Johansson, F. Predation risk affects egg mortality and carry over effects in the larval stages in damselflies. Freshw. Biol. 2019, 64, 778–786. [Google Scholar] [CrossRef]
- Antoł, A.; Sniegula, S. Damselfly eggs alter their development rate in the presence of an invasive alien cue but not a native predator cue. Ecol. Evol. 2021, 11, 9361–9369. [Google Scholar] [CrossRef]
- Sniegula, S.; Golab, M.J.; Johansson, F. Cannibalism and activity rate in larval damselflies increase along a latitudinal gradient as a consequence of time constraints. BMC Evol. Biol. 2017, 17, 167. [Google Scholar] [CrossRef] [PubMed]
- Johansson, F.; Watts, P.C.; Sniegula, S.; Berger, D. Natural selection mediated by seasonal time constraints increases the alignment between evolvability and developmental plasticity. Evolution 2021, 75, 464–475. [Google Scholar] [CrossRef] [PubMed]
- Lake Model Flake FLake. Available online: http://www.flake.igb-berlin.de/ (accessed on 26 March 2022).
- Parry, M.L.; Canziani, O.F.; Palutikof, J.P.; van der Linden, P.J.; Hanson, C.E. (Eds.) IPCC Climate Change Impacts, Adaptation and Vulnerability. Contribution of Working Group II to the Fourth Assessment Report of the Intergovernmental Panel on Climate Change; Cambridge University Press: Cambridge, UK, 2007. [Google Scholar]
- Van Buskirk, J.; Krügel, A.; Kunz, J.; Miss, F.; Stamm, A. The Rate of Degradation of Chemical Cues Indicating Predation Risk: An Experiment and Review. Ethology 2014, 120, 942–949. [Google Scholar] [CrossRef]
- R Core Team. R: A Language and Environment for Statistical Computing; R Foundation for Statistical Computing: Vienna, Austria, 2021. [Google Scholar]
- Lenth, R.V. Emmeans: Estimated Marginal Means, aka Least-Squares Means. R Package Version 2021, 163, 1–91. [Google Scholar]
- Bates, D.; Mächler, M.; Bolker, B.M.; Walker, S.C. Fitting Linear Mixed-Effects Models Using lme4. J. Stat. Softw. 2015, 67, 1–48. [Google Scholar] [CrossRef]
- Kuznetsova, A.; Brockhoff, P.B.; Christensen, R.H.B. General rights lmerTest Package: Tests in Linear Mixed Effects Models. J. Stat. Softw. 2017, 82, 1–26. [Google Scholar] [CrossRef] [Green Version]
- Wickham, H. Ggplot2: Elegant Graphics for Data Analysis, 2nd ed.; Springer: New York, NY, USA, 2016. [Google Scholar]
- Sniegula, S.; Raczyński, M.; Golab, M.J.; Johansson, F. Effects of predator cues carry over from egg and larval stage to adult life-history traits in a damselfly. Freshw. Sci. 2020, 39, 804–811. [Google Scholar] [CrossRef]
- Franchet, A.; Niehus, S.; Caravello, G.; Ferrandon, D. Phosphatidic acid as a limiting host metabolite for the proliferation of the microsporidium Tubulinosema ratisbonensis in Drosophila flies. Nat. Microbiol. 2019, 4, 645–655. [Google Scholar] [CrossRef]
- Larsson, J. Ultrastructural Investigation of 2 Microsporidia with Rod-Shaped Spores, with Descriptions of Cylindrospora-Fasciculata Sp-Nov and Resiomeria-Odonatae Gen Et Sp-Nov (microspora, Thelohaniidae). Protistologica 1986, 22, 379–398. [Google Scholar]
- Kalavati, C.; Narasimhamurti, C.C. New microsporidian parasite, Toxoglugea tillargi Sp-N from an odonate, Tholymis tillarga. Acta Protozool. 1978, 17, 279–283. [Google Scholar]
- Narasimhamurti, C.C.; Ahamed, S.N.; Kalavati, C. Two new species of microsporidia from the larvae ofTramea limbata (Odonata: Insecta). Proc. Anim. Sci. 1980, 89, 531–535. [Google Scholar] [CrossRef]
- Sprague, V. Classification and Phylogeny of the Microsporidia. In Comparative Pathobiology: Volume 2 Systematics of the Microsporidia; Bulla, L.A., Cheng, T.C., Eds.; Springer US: Boston, MA, USA, 1977; pp. 1–30. ISBN 978-1-4613-4205-2. [Google Scholar]
- Larsson, J. A revisionary study of the taxon Tuzetia Maurand, Fize, Fenqick and Michel, 1971, and related forms (Microspora, Tuzetiidae). Protistologica 1983, 19, 323–355. [Google Scholar]
- Cali, A.; Takvorian, P.M. Developmental Morphology and Life Cycles of the Microsporidia. In Microsporidia: Pathogens of Opportunity; Weiss, L.M., Becnel, J.J., Eds.; John Willey & Sons: Hoboken, NJ, USA, 2014; pp. 71–135. [Google Scholar]
- Antoł, A.; Kierat, J.; Czarnoleski, M. Sedentary prey facing an acute predation risk: Testing the hypothesis of inducible metabolite emission suppression in zebra mussels, Dreissena polymorpha. Hydrobiologia 2018, 810, 109–117. [Google Scholar] [CrossRef] [Green Version]
- Jermacz, Ł.; Dzierżyńska-Białończyk, A.; Kobak, J. Predator diet, origin or both? Factors determining responses of omnivorous amphipods to predation cues. Hydrobiologia 2017, 785, 173–184. [Google Scholar] [CrossRef] [Green Version]
- Mikolajewski, D.J.; Stoks, R.; Rolff, J.; Joop, G. Predators and cannibals modulate sex-specific plasticity in life-history and immune traits. Funct. Ecol. 2008, 22, 114–120. [Google Scholar] [CrossRef]
- Adamo, S.A.; Easy, R.H.; Kovalko, I.; MacDonald, J.; McKeen, A.; Swanburg, T.; Turnbull, K.F.; Reeve, C. Predator exposure-induced immunosuppression: Trade-off, immune redistribution or immune reconfiguration? J. Exp. Biol. 2017, 220, 868–875. [Google Scholar] [CrossRef] [PubMed] [Green Version]
- Raczyński, M.; Stoks, R.; Johansson, F.; Sniegula, S. Size-mediated priority effects are trait-dependent and consistent across latitudes in a damselfly. Oikos 2021, 130, 1535–1547. [Google Scholar] [CrossRef]



Publisher’s Note: MDPI stays neutral with regard to jurisdictional claims in published maps and institutional affiliations. |
© 2022 by the authors. Licensee MDPI, Basel, Switzerland. This article is an open access article distributed under the terms and conditions of the Creative Commons Attribution (CC BY) license (https://creativecommons.org/licenses/by/4.0/).
Share and Cite
Antoł, A.; Labecka, A.M.; Larsson, J.I.R.; Sniegula, S. First Record of Microsporidia Infection in the Damselfly Ischnura elegans Larvae: Temperature and Predator Cue Effects on the Host’s Life History. Diversity 2022, 14, 428. https://doi.org/10.3390/d14060428
Antoł A, Labecka AM, Larsson JIR, Sniegula S. First Record of Microsporidia Infection in the Damselfly Ischnura elegans Larvae: Temperature and Predator Cue Effects on the Host’s Life History. Diversity. 2022; 14(6):428. https://doi.org/10.3390/d14060428
Chicago/Turabian StyleAntoł, Andrzej, Anna Maria Labecka, J. I. Ronny Larsson, and Szymon Sniegula. 2022. "First Record of Microsporidia Infection in the Damselfly Ischnura elegans Larvae: Temperature and Predator Cue Effects on the Host’s Life History" Diversity 14, no. 6: 428. https://doi.org/10.3390/d14060428
APA StyleAntoł, A., Labecka, A. M., Larsson, J. I. R., & Sniegula, S. (2022). First Record of Microsporidia Infection in the Damselfly Ischnura elegans Larvae: Temperature and Predator Cue Effects on the Host’s Life History. Diversity, 14(6), 428. https://doi.org/10.3390/d14060428

