Isolation, Identification, Virulence and Pathogenic Features of Lactococcus garvieae from Cage-Cultured Tilapia (Oreochromis niloticus) in Thailand
Abstract
1. Introduction
2. Results
2.1. Field Case Identification and Outbreak Presentation
2.2. Environmental Metadata During Mortality Events
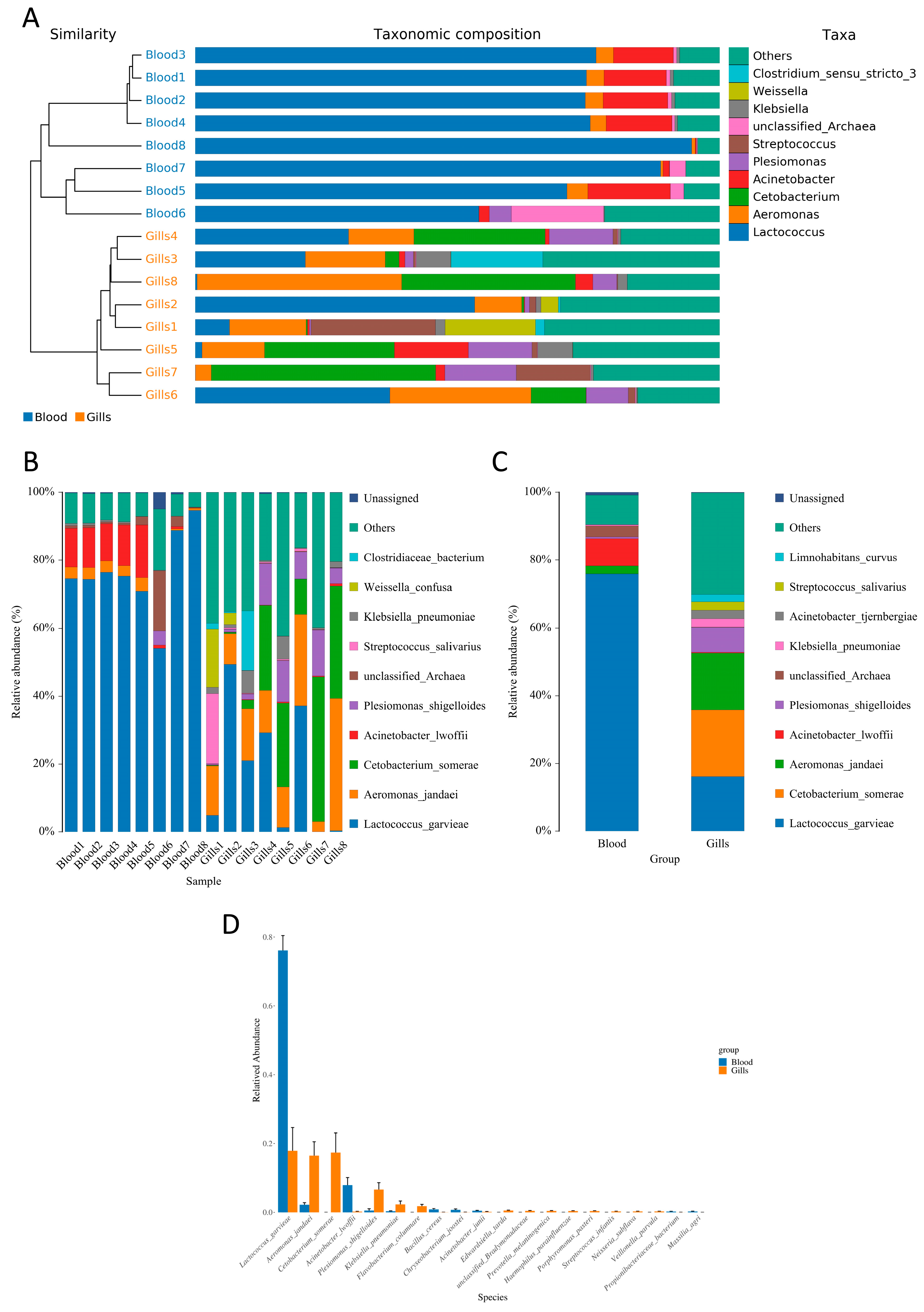
2.3. Tissue Distribution of the Causative Bacterium in Blood and Gills of Infected Fish
2.4. Isolation and Identification of Causative Bacterium in Blood and Gills of Infected Fish
2.5. Determination of LD50 and LC50 for L. garvieae Challenge in Nile Tilapia
2.6. Blood Biochemistry Profiles
2.7. Histopathology Analysis
2.7.1. Gills
2.7.2. Head Kidney
2.7.3. Liver
2.7.4. Spleen
2.7.5. Intestine
3. Discussion
3.1. Field Presentation and Outbreak Behavior in Cage Culture
3.2. Tissue Distribution and the Significance of Blood Dominance by L. garvieae
3.3. Isolation and Identification Support Systemic Infection and Guide Diagnostics
3.4. Virulence and Pathogenicity Inferred from LD50 and LC50 Patterns
3.5. Histopathology Reveals Route-Dependent Severity and Systemic Dissemination
3.6. Role of Mixed Gill Microbiota and Potential Co-Infections
3.7. Implications for Surveillance and Outbreak Investigation in Thailand
4. Materials and Methods
4.1. Ethical Statement
4.2. Study Area, Case Definition, Sampling Frame and Environmental Metadata Analysis
Environmental Metadata During Mortality Events
4.3. Tissue Distribution of the Causative Bacterium in Blood and Gills of Infected Fish from Cage-Cultured Tilapia Identified by Full-Length 16S rRNA Sequencing
4.3.1. Fish Sampling and Tissue Collection
4.3.2. DNA Extraction and Contamination Controls
4.4. Isolation of the Causative Bacterium in Blood and Gills of Infected Fish from Cage-Cultured Tilapia
4.4.1. Isolation, Culture Conditions and Phenotypic Analyses of Lactococcus garvieae
4.4.2. Molecular Identification Full-Length 16S rRNA Sequencing of Isolates
4.5. Controlled Exposure Model for Pathogenicity Assessment
4.5.1. Bacterial Strain and Inoculum Preparation
4.5.2. Experimental Fish and Husbandry
4.5.3. LC50 (Immersion) and LD50 (Injection) Screening
- (1)
- Immersion challenge procedure
- (2)
- Injection challenge procedure
- (3)
- Clinical monitoring, endpoints, and sampling
- (4)
- Histopathology
- (5)
- Blood biochemistry analysis
- (6)
- Statistical data analysis
5. Conclusions
Author Contributions
Funding
Institutional Review Board Statement
Informed Consent Statement
Data Availability Statement
Acknowledgments
Conflicts of Interest
References
- Shahi, N.; Mallik, S.K. Emerging bacterial fish pathogen Lactococcus garvieae RTCLI04, isolated from rainbow trout (Oncorhynchus mykiss): Genomic features and comparative genomics. Microb. Pathog. 2020, 147, 104368. [Google Scholar] [CrossRef]
- Meyburgh, C.M.; Bragg, R.R.; Boucher, C.E. Lactococcus garvieae: An emerging bacterial pathogen of fish. Dis. Aquat. Org. 2017, 123, 67–79. [Google Scholar] [CrossRef]
- Kim, J.H.; Go, J.; Cho, C.R.; Kim, J.I.; Lee, M.S.; Park, S.C. First report of human acute acalculous cholecystitis caused by the fish pathogen Lactococcus garvieae. J. Clin. Microbiol. 2013, 51, 712–714. [Google Scholar] [CrossRef] [PubMed]
- Sirakov, I.; Strateva, T.V.; Boyanov, V.S.; Orozova, P.; Yordanov, D.; Rusenova, N.; Gergova, R.; Dimov, S.G.; Sirakova, B.; Radosavljevic, V.; et al. Identification, Characterization, and Epidemiological Analysis of Lactococcus garvieae Fish Isolates Obtained in a Period of Eighteen Years. Microorganisms 2025, 13, 436. [Google Scholar] [CrossRef]
- Nair, R.R.; John, K.R.; Rajan, P.; Krishnan, R.; Safeena, M.P. Co-infection of Lactococcus garvieae and Aeromonas hydrophila in cultured Nile Tilapia in Kerala, India. Braz. J. Microbiol. 2024, 55, 2071–2083. [Google Scholar] [CrossRef] [PubMed]
- Krukowski, H.; Lisowski, A.; Puacz, E.; Chabuz, W.; Targonska-Karasek, M. First report of the isolation and molecular characterisation of Lactococcus garvieae in dairy cattle in Poland. J. Vet. Res. 2025, 69, 213–218. [Google Scholar] [CrossRef] [PubMed]
- Paul, A.; Parida, S.; Mohanty, S.; Biswal, S.; Pillai, B.R.; Panda, D.; Sahoo, P.K. Characteristics and virulence gene profiles of a pathogenic Lactococcus garvieae isolated from diseased Macrobrachium rosenbergii. Braz. J. Microbiol. 2025, 56, 1357–1370. [Google Scholar] [CrossRef]
- Morita, H.; Toh, H.; Oshima, K.; Yoshizaki, M.; Kawanishi, M.; Nakaya, K.; Suzuki, T.; Miyauchi, E.; Ishii, Y.; Tanabe, S.; et al. Complete genome sequence and comparative analysis of the fish pathogen Lactococcus garvieae. PLoS ONE 2011, 6, e23184. [Google Scholar] [CrossRef]
- Maki, T.; Hirono, I.; Kondo, H.; Aoki, T. Drug resistance mechanism of the fish-pathogenic bacterium Lactococcus garvieae. J. Fish Dis. 2008, 31, 461–468. [Google Scholar] [CrossRef]
- Akmal, M.; Akatsuka, M.; Nishiki, I.; Yoshida, T. Resistance and genomic characterization of a plasmid pkh2101 harbouring erm(B) isolated from emerging fish pathogen Lactococcus garvieae serotype II in Japan. J. Fish Dis. 2023, 46, 841–848. [Google Scholar] [CrossRef]
- Rao, S.; Chen, M.Y.; Sudpraseart, C.; Lin, P.; Yoshida, T.; Wang, P.C.; Chen, S.C. Genotyping and phenotyping of Lactococcus garvieae isolates from fish by pulse-field gel electrophoresis (PFGE) and electron microscopy indicate geographical and capsular variations. J. Fish Dis. 2022, 45, 771–781. [Google Scholar] [CrossRef]
- Capobianco, C.M.; Bosch, S.N.; Stacy, N.I.; Wellehan, J.F.X. Lactococcus garvieae-associated septicemia in a central bearded dragon. J. Vet. Diagn. Investig. 2024, 36, 477–480. [Google Scholar] [CrossRef] [PubMed]
- Sriyasak, P.; Chitmanat, C.; Whangchai, N.; Promya, J.; Lebel, L. Effect of water de-stratification on dissolved oxygen and ammonia in tilapia ponds in Northern Thailand. Int. Aquat. Res. 2015, 7, 287–299. [Google Scholar] [CrossRef]
- Karami, E.; Alishahi, M.; Molayemraftar, T.; Ghorbanpour, M.; Tabandeh, M.R.; Mohammadian, T. Study of pathogenicity and severity of Lactococcus garvieae isolated from rainbow trout (Oncorhynchus mykiss) farms in Kohkilooieh and Boyerahmad province. Fish Aquat. Sci. 2019, 22, 21. [Google Scholar] [CrossRef]
- Jantrakajorn, S.; Suyapoh, W.; Wongtavatchai, J. Characterization of Lactococcus garvieae and Streptococcus agalactiae in cultured red tilapia Oreochromis sp. in Thailand. J. Aquat. Anim. Health 2024, 36, 192–202. [Google Scholar] [CrossRef]
- Shahin, K.; Veek, T.; Heckman, T.I.; Littman, E.; Mukkatira, K.; Adkison, M.; Welch, T.J.; Imai, D.M.; Pastenkos, G.; Camus, A.; et al. Isolation and characterization of Lactococcus garvieae from rainbow trout, Onchorhyncus mykiss, from California, USA. Transbound. Emerg. Dis. 2022, 69, 2326–2343. [Google Scholar] [CrossRef]
- Pastorino, P.; Vela Alonso, A.I.; Colussi, S.; Cavazza, G.; Menconi, V.; Mugetti, D.; Righetti, M.; Barbero, R.; Zuccaro, G.; Fernández-Garayzábal, J.F.; et al. A Summer Mortality Outbreak of Lactococcosis by Lactococcus garvieae in a Raceway System Affecting Farmed Rainbow Trout (Oncorhynchus mykiss) and Brook Trout (Salvelinus fontinalis). Animals 2019, 9, 1043. [Google Scholar] [CrossRef]
- Puneeth, T.G.; Pallavi, B.; Vilasini, U.; Kushala, K.B.; Nithin, M.S.; Girisha, S.K.; Suresh, T. Large scale mortality in cultured Nile tilapia (Oreochromis niloticus): Natural co-infection with Aeromonas hydrophila and Streptococcus iniae. Iran. J. Vet. Res. 2022, 23, 219–228. [Google Scholar] [CrossRef]
- Vela, A.I.; del Mar Blanco, M.; Colussi, S.; Kotzamanidis, C.; Prearo, M.; Altinok, I.; Acutis, P.L.; Volpatti, D.; Alba, P.; Feltrin, F.; et al. The association of Lactococcus petauri with lactococcosis is older than expected. Aquaculture 2024, 578, 740057. [Google Scholar] [CrossRef]
- Tsai, M.A.; Wang, P.C.; Yoshida, T.; Liaw, L.L.; Chen, S.C. Development of a sensitive and specific LAMP PCR assay for detection of fish pathogen Lactococcus garvieae. Dis. Aquat. Organ. 2013, 102, 225–235. [Google Scholar] [CrossRef]
- Rattanachaikunsopon, P.; Phumkhachorn, P. Protective effect of clove oil-supplemented fish diets on experimental Lactococcus garvieae infection in tilapia. Biosci. Biotechnol. Biochem. 2009, 73, 2085–2089. [Google Scholar] [CrossRef]
- Hussein, M.M.A.; Hassan, W.H.; Yassen, H.A.; Osman, A.M.A. Vaccination with bacterial ghosts of Streptococcus iniae and Lactococcus garvieae originated from outbreak of marine fish streptococcosis, induce potential protection against the disease in Nile tilapia, Oreochromis niloticus (Linnaeus, 1758). Fish Shellfish Immunol. 2023, 141, 109008. [Google Scholar] [CrossRef]
- Say, P.; Nimikul, S.; Bunnoy, A.; Na-Nakorn, U.; Srisapoome, P. Long-Term Application of a Synbiotic Chitosan and Acinetobacter KU011TH Mixture on the Growth Performance, Health Status, and Disease Resistance of Hybrid Catfish (Clarias gariepinus × C. macrocephalus) during Winter. Microorganisms 2023, 11, 1807. [Google Scholar] [CrossRef]
- Paankhao, N.; Sangsawang, A.; Kantha, P.; Paankhao, S.; Promsee, K.; Soontara, C.; Kongsriprapan, S.; Srisapoome, P.; Kumwan, B.; Meachasompop, P.; et al. Antioxidant and antibacterial efficiency of the ethanolic leaf extract of Kratom (Mitragyna speciosa (Korth.) Havil) and its effects on growth, health, and disease resistance against Edwardsiella tarda infection in Nile tilapia (Oreochromis niloticus). Fish Shellfish Immunol. 2024, 152, 109771. [Google Scholar] [CrossRef] [PubMed]
- Uchuwittayakul, A.; Thompson, K.D.; Thangsunan, P.; Phaksopa, J.; Buncharoen, W.; Saenphet, K.; Kumwan, B.; Meachasompop, P.; Saenphet, S.; Wiratama, N.; et al. Evaluation of a hydrogel platform for encapsulated multivalent Vibrio antigen delivery to enhance immune responses and disease protection against vibriosis in Asian seabass (Lates calcarifer). Fish Shellfish Immunol. 2025, 160, 110230. [Google Scholar] [CrossRef] [PubMed]








Disclaimer/Publisher’s Note: The statements, opinions and data contained in all publications are solely those of the individual author(s) and contributor(s) and not of MDPI and/or the editor(s). MDPI and/or the editor(s) disclaim responsibility for any injury to people or property resulting from any ideas, methods, instructions or products referred to in the content. |
© 2026 by the authors. Licensee MDPI, Basel, Switzerland. This article is an open access article distributed under the terms and conditions of the Creative Commons Attribution (CC BY) license.
Share and Cite
Adisornprasert, Y.; Kumwan, B.; Meachasompop, P.; Rajitdumrong, C.; Chaemlek, P.; Srisapoome, P.; Buncharoen, W.; Paankhao, N.; Umputhorn, N.; Choppradit, C.; et al. Isolation, Identification, Virulence and Pathogenic Features of Lactococcus garvieae from Cage-Cultured Tilapia (Oreochromis niloticus) in Thailand. Int. J. Mol. Sci. 2026, 27, 3469. https://doi.org/10.3390/ijms27083469
Adisornprasert Y, Kumwan B, Meachasompop P, Rajitdumrong C, Chaemlek P, Srisapoome P, Buncharoen W, Paankhao N, Umputhorn N, Choppradit C, et al. Isolation, Identification, Virulence and Pathogenic Features of Lactococcus garvieae from Cage-Cultured Tilapia (Oreochromis niloticus) in Thailand. International Journal of Molecular Sciences. 2026; 27(8):3469. https://doi.org/10.3390/ijms27083469
Chicago/Turabian StyleAdisornprasert, Yosapon, Benchawan Kumwan, Pakapon Meachasompop, Chonlatat Rajitdumrong, Pimrawee Chaemlek, Prapansak Srisapoome, Wararut Buncharoen, Natthapong Paankhao, Niyada Umputhorn, Chonthicha Choppradit, and et al. 2026. "Isolation, Identification, Virulence and Pathogenic Features of Lactococcus garvieae from Cage-Cultured Tilapia (Oreochromis niloticus) in Thailand" International Journal of Molecular Sciences 27, no. 8: 3469. https://doi.org/10.3390/ijms27083469
APA StyleAdisornprasert, Y., Kumwan, B., Meachasompop, P., Rajitdumrong, C., Chaemlek, P., Srisapoome, P., Buncharoen, W., Paankhao, N., Umputhorn, N., Choppradit, C., Sangmek, P., Hatachote, S., Chokmangmeepisarn, P., Sriphairoj, K., & Uchuwittayakul, A. (2026). Isolation, Identification, Virulence and Pathogenic Features of Lactococcus garvieae from Cage-Cultured Tilapia (Oreochromis niloticus) in Thailand. International Journal of Molecular Sciences, 27(8), 3469. https://doi.org/10.3390/ijms27083469

