Experimental Diabetic Retinopathy in Wistar Rats Induced by Streptozotocin: A Window into Retinal Disease Progression
Abstract
1. Introduction
2. Results
2.1. Biological Parameters
2.1.1. Streptozotocin-Induced Attenuation of Weight Gain in Wistar Rats in Early-Onset and Temporally Stable

2.1.2. Streptozotocin-Induced β-Cell Cytotoxicity Triggers Sustained Hyperglycemia in Wistar Rats

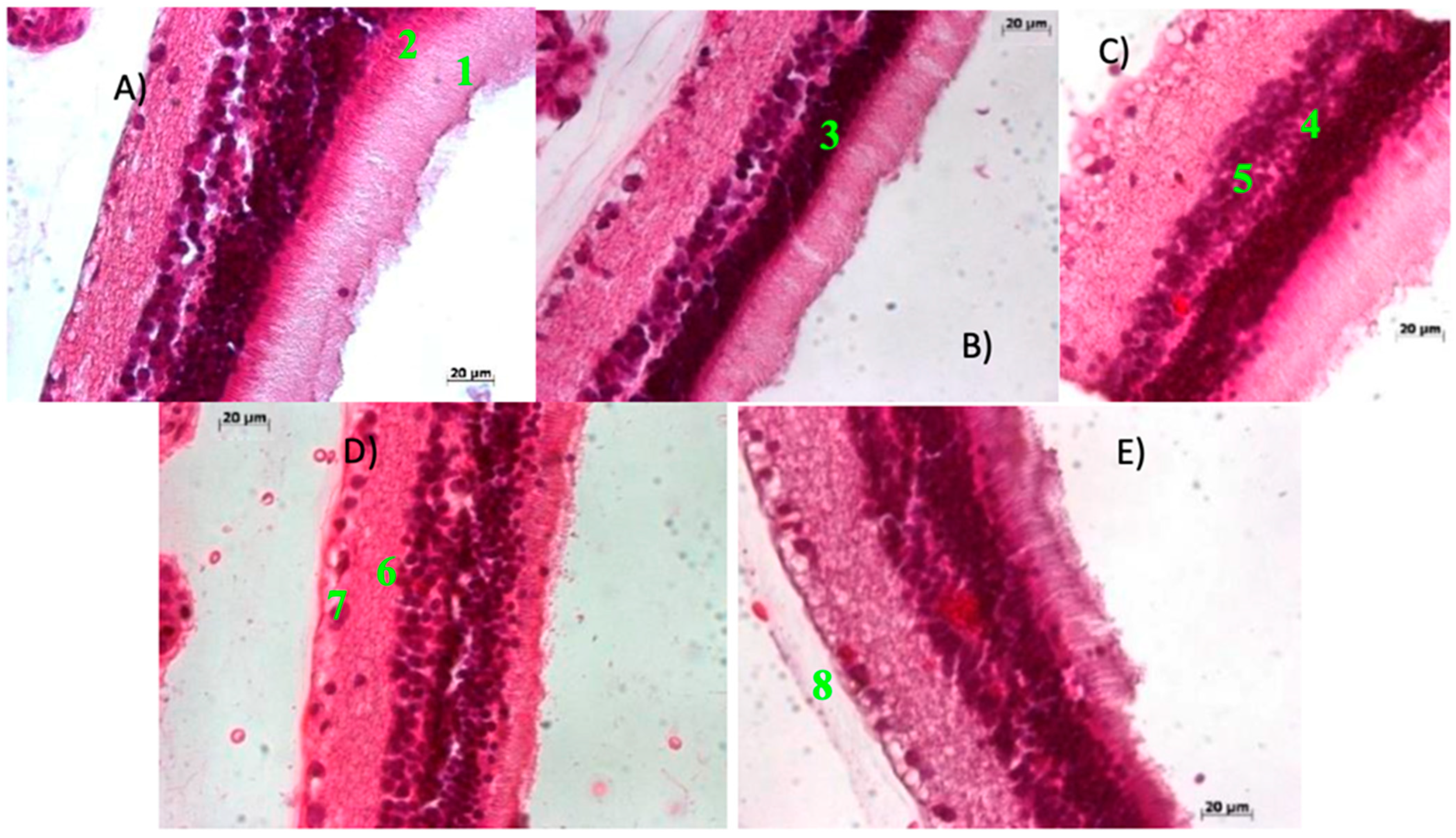
2.2. Histology
2.2.1. Preserved Retinal Architecture in Control Rats Confirms Baseline Histological Integrity

2.2.2. Week 4 Post-Streptozotocin: Retinal Early Indications of a Microenvironment Conducive to Neovascularization and Edema Reveal Early Vascular Disruption

2.2.3. Progressive Retinal Damage at Week 8: STZ-Induced Hemorrhage, Edema, and Layer-Specific Vascular Disruption

2.2.4. Week 10 Post-Streptozotocin: Intensified Retinal Edema and Neovascularization Signal Advanced Microvascular Damage

2.3. Immunofluorescence
2.3.1. Intrinsic M-Iodopsin Fluorescence and Hoechst Staining Confirm Retinal Integrity in Control Samples

2.3.2. CD4+ T Cell Infiltration and Photoreceptor Degeneration Reveal Inflammatory Retinal Remodeling Post-Streptozotocin

2.3.3. Temporal Accumulation of CD8+ T Cells Correlates with Photoreceptor Degeneration in Streptozotocin-Induced Retinopathy

2.3.4. Coordinated CD4+ and CD8+ T Cells Dynamics Reveal Transient Immune Activation During Streptozotocin-Induced Retinal Degeneration

2.3.5. Gene Expression Profile in Retinal Tissue of Streptozotocin-Induced Animals

3. Discussion
3.1. Pharmacological Induction of Diabetes Mellitus
3.2. Pathophysiological Effects of Streptozotocin-Induced Diabetes Mellitus
3.3. CD4+ and CD8+ T Lymphocytes
3.4. Molecular and Oxidative Mechanisms
4. Materials and Methods
4.1. Animals
4.2. Induction of Type 1 Diabetes Mellitus (STZ Model)
4.3. Analytical Procedures
4.3.1. Blood Glucose Monitoring
4.3.2. Body Weight
4.3.3. Histological Analysis
4.3.4. RNA Extraction and Quantitative Real-Time Polymerase Chain Reaction (qRT-PCR)
4.3.5. Data Analysis
5. Conclusions
Future Directions
Author Contributions
Funding
Institutional Review Board Statement
Informed Consent Statement
Data Availability Statement
Conflicts of Interest
Abbreviations
| DR | Diabetic retinopathy |
| STZ | Streptozotocin |
| ROS | Reactive oxygen species |
| O2⋅− | Superoxide anion |
| H2O2 | Hydrogen peroxide |
| ROO⋅ | Peroxyl radicals |
| ⋅OH | Hydroxyl radicals |
| NV | Neovascularization |
| PDR | Proliferative diabetic retinopathy |
| NPDR | Non-proliferative diabetic retinopathy |
| MA | Microaneurysms |
| BM | Basement membrane |
| DMD | Direct macular damage |
| DME | Diabetic macular edema |
| BRB | Blood-retinal barrier |
| DM | Diabetes mellitus |
| IOP | Intraocular pressure |
| H&E | Hematoxylin and eosin |
| RNA | Ribonucleic acid |
| cDNA | Complementary deoxyribonucleic acid |
| PCR | Polymerase chain reaction |
| ANOVA | Analysis of variance |
| CD4 | Cluster of differentiation 4, often called helper T cells |
| CD8 | Cluster of differentiation 8, often called cytotoxic T lymphocytes |
| Vegfa | Vascular endothelial growth factor |
| Egf | Epidermal growth factor |
| Ifng | Interferon gamma |
| Nos2 | Inducible nitric oxide synthase |
| Nfe2l2 | Nuclear factor erythroid 2-related factor 2 |
| Hmox1 | Heme oxygenase-1 |
| Sod2 | Mitochondrial superoxide dismutase 2 |
| Cat | Catalase |
| Il10 | Interleukin-10 |
| Tgfb1 | Transforming Growth Factor-beta |
| PKC | Protein kinase C |
| AGEs | Advanced Glycation End-products |
| NF-κB | Nuclear Factor-kappa B |
| IL-1 | Interleukin-1 |
| IL-6 | Interleukin-6 |
| TNF-α | Tumor Necrosis Factor-alpha |
| MCP-1 | Monocyte chemoattractant protein-1 |
| VCAM-1 | Vascular cell adhesion molecule-1 |
| PDGF | Platelet-derived growth factor |
| GCLC-ARE4 | Glutamate-cysteine ligase catalytic subunit-antioxidant response elements 4 |
| PINK1 | PTEN-induced putative kinase protein 1 |
| BNIP3 | Bcl-2 and adenovirus E1B 19-kDa interacting protein 3 |
| Nix | BNIP3-like protein (BNIP3L, also known as Nix) are homologous of the Bcl-2 family of proteins. |
| FUNDC1 | Fun14 domain-containing protein 1 |
| LC3 | Light chain 3 protein |
| Drp1 | Dynamin-related protein 1 |
| NLRP3 | NOD-, LRR-, and pyrin domain-containing protein 3 |
| TXNIP | Thioredoxin-interacting protein |
| mtDNA | Mitochondrial DNA |
| mtROS | Mitochondrial reactive oxygen species |
| RPE | Retinal pigment epithelium |
| REC | Retinal endothelial cells |
References
- Sivaprasad, S.; Gupta, B.; Crosby-Nwaobi, R.; Evans, J. Prevalence of Diabetic Retinopathy in Various Ethnic Groups: A Worldwide Perspective. Surv. Ophthalmol. 2012, 57, 347–370. [Google Scholar] [CrossRef]
- Jampol, L.M.; Glassman, A.R.; Sun, J. Evaluation and Care of Patients with Diabetic Retinopathy. N. Engl. J. Med. 2020, 382, 1629–1637. [Google Scholar] [CrossRef]
- Gadekallu, T.R.; Khare, N.; Bhattacharya, S.; Singh, S.; Maddikunta, P.K.R.; Srivastava, G. Deep neural networks to predict diabetic retinopathy. J. Ambient. Intell. Humaniz. Comput. 2023, 14, 5407–5420. [Google Scholar] [CrossRef]
- Lachin, J.M.; Genuth, S.; Nathan, D.M.; Zinman, B.; Rutledge, B.N. Effect of glycemic exposure on the risk of microvascular complications in the diabetes control and complications trial-revisited. Diabetes 2008, 57, 995–1001. [Google Scholar] [CrossRef]
- Chew, E.Y.; Davis, M.D.; Danis, R.P.; Lovato, J.F.; Perdue, L.H.; Greven, C.; Genuth, S.; Goff, D.C.; Leiter, L.A.; Ismail-Beigi, F.; et al. The Effects of Medical Management on the Progression of Diabetic Retinopathy in Persons with Type 2 Diabetes. Ophthalmology 2014, 121, 2443–2451. [Google Scholar] [CrossRef]
- Song, K.H.; Jeong, J.S.; Kim, M.K.; Kwon, H.S.; Baek, K.H.; Ko, S.H.; Ahn, Y.B. Discordance in risk factors for the progression of diabetic retinopathy and diabetic nephropathy in patients with type 2 diabetes mellitus. J. Diabetes Investig. 2019, 10, 745–752. [Google Scholar] [CrossRef] [PubMed]
- Takao, T.; Takahashi, K.; Yoshida, Y.; Kushiyama, A.; Onishi, Y.; Tahara, T.; Shimmei, A.; Kikuchi, T.; Suka, M.; Yanagisawa, H.; et al. Effect of postprandial hyperglycemia at clinic visits on the incidence of retinopathy in patients with type 2 diabetes: An analysis using real-world long-term follow-up data. J. Diabetes Investig. 2020, 11, 930–937. [Google Scholar] [CrossRef] [PubMed]
- Klein, R.; Knudtson, M.D.; Lee, K.E.; Gangnon, R.; Klein, B.E.K. The Wisconsin Epidemiologic Study of Diabetic Retinopathy XXII: The Twenty-Five-Year Progression of Retinopathy in Persons with Type 1 Diabetes. Ophthalmology 2008, 115, 1859–1868. [Google Scholar] [CrossRef]
- Cheung, N.; Mitchell, P.; Wong, T.Y. Diabetic retinopathy. Lancet 2010, 376, 124–136. [Google Scholar] [CrossRef] [PubMed]
- Lu, J.; Ma, X.; Zhang, L.; Mo, Y.; Ying, L.; Lu, W.; Zhu, W.; Bao, Y.; Zhou, J. Glycemic variability assessed by continuous glucose monitoring and the risk of diabetic retinopathy in latent autoimmune diabetes of the adult and type 2 diabetes. J. Diabetes Investig. 2019, 10, 753–759. [Google Scholar] [CrossRef]
- Beli, E.; Yan, Y.; Moldovan, L.; Vieira, C.P.; Gao, R.; Duan, Y.; Prasad, R.; Bhatwadekar, A.; White, F.A.; Townsend, S.D.; et al. Restructuring of the gut microbiome by intermittent fasting prevents retinopathy and prolongs survival in db/db mice. Diabetes 2018, 67, 1867–1879. [Google Scholar] [CrossRef]
- Cunha-Vaz, J. Characterization and relevance of different diabetic retinopathy phenotypes. Dev. Ophthalmol. 2007, 39, 13–30. [Google Scholar] [CrossRef]
- Nentwich, M.M. Diabetic retinopathy—Ocular complications of diabetes mellitus. World J. Diabetes 2015, 6, 489–499. [Google Scholar] [CrossRef]
- Roy, S.; Kim, D. Retinal capillary basement membrane thickening: Role in the pathogenesis of diabetic retinopathy. Prog. Retin. Eye Res. 2021, 82, 100903. [Google Scholar] [CrossRef] [PubMed]
- Wong, T.Y.; Cheung, C.M.G.; Larsen, M.; Sharma, S.; Simó, R. Diabetic retinopathy. Nat. Rev. Dis. Primers 2016, 2, 16012, Erratum in Nat. Rev. Dis. Primers 2016, 2, 16030. https://doi.org/10.1038/nrdp.2016.30. [Google Scholar] [CrossRef] [PubMed]
- Heng, L.Z.; Comyn, O.; Peto, T.; Tadros, C.; Ng, E.; Sivaprasad, S.; Hykin, P.G. Diabetic retinopathy: Pathogenesis, clinical grading, management and future developments. Diabet. Med. 2013, 30, 640–650. [Google Scholar] [CrossRef] [PubMed]
- Flaxman, S.R.; Bourne, R.R.A.; Resnikoff, S.; Ackland, P.; Braithwaite, T.; Cicinelli, M.V.; Das, A.; Jonas, J.B.; Keeffe, J.; Kempen, J.H.; et al. Global causes of blindness and distance vision impairment 1990–2020: A systematic review and meta-analysis. Lancet Glob. Health 2017, 5, e1221–e1234. [Google Scholar] [CrossRef]
- Mathews, P.M.; Lindsley, K.; Aldave, A.J.; Akpek, E.K. Etiology of global corneal blindness and current practices of corneal transplantation: A focused review. Cornea 2018, 37, 1198–1203. [Google Scholar] [CrossRef]
- Steinmetz, J.D.; Bourne, R.R.A.; Briant, P.S.; Flaxman, S.; Taylor, H.R.; Jonas, J.B.; Abdoli, A.A.; Abrha, W.A.; Abualhasan, A.; Abu-Gharbieh, E.G.; et al. Causes of blindness and vision impairment in 2020 and trends over 30 years, and prevalence of avoidable blindness in relation to VISION 2020: The Right to Sight: An analysis for the Global Burden of Disease Study. Lancet Glob. Health 2021, 9, e144–e160, Correction in Lancet Glob. Health 2021, 2, 144–160. [Google Scholar] [CrossRef]
- Zheng, Y.; He, M.; Congdon, N. The worldwide epidemic of diabetic retinopathy. Indian J. Ophthalmol. 2012, 60, 428–431. [Google Scholar] [CrossRef]
- Lee, R.; Wong, T.Y.; Sabanayagam, C. Epidemiology of diabetic retinopathy, diabetic macular edema and related vision loss. Eye Vis. 2015, 2, 17. [Google Scholar] [CrossRef] [PubMed]
- Giacco, F.; Brownlee, M. Oxidative stress and diabetic complications. Circ. Res. 2010, 107, 1058–1070. [Google Scholar] [CrossRef]
- Gueven, N.; Nadikudi, M.; Daniel, A.; Chhetri, J. Targeting mitochondrial function to treat optic neuropathy. Mitochondrion 2017, 36, 7–14. [Google Scholar] [CrossRef]
- Santos, J.M.; Tewari, S.; Lin, J.Y.; Kowluru, R.A. Interrelationship between activation of matrix metalloproteinases and mitochondrial dysfunction in the development of diabetic retinopathy. Biochem. Biophys. Res. Commun. 2013, 438, 760–764. [Google Scholar] [CrossRef]
- Prasad, S.; Gupta, S.C.; Tyagi, A.K. Reactive oxygen species (ROS) and cancer: Role of antioxidative nutraceuticals. Cancer Lett. 2017, 387, 95–105. [Google Scholar] [CrossRef]
- Brownlee, M. Biochemistry and molecular cell biology of diabetic complications. Nature 2001, 414, 813–820. [Google Scholar] [CrossRef]
- Khan, Z.A.; Chakrabarti, S. Cellular signaling and potential new treatment targets in diabetic retinopathy. Exp. Diabetes Res. 2007, 2007, 031867. [Google Scholar] [CrossRef]
- Madsen-Bouterse, S.A.; Kowluru, R.A. Oxidative stress and diabetic retinopathy: Pathophysiological mechanisms and treatment perspectives. Rev. Endocr. Metab. Disord. 2008, 9, 315–327. [Google Scholar] [CrossRef]
- Alam, N.M.; Iv, W.C.M.; Wong, A.A.; Douglas, R.M.; Szeto, H.H.; Prusky, G.T. A mitochondrial therapeutic reverses visual decline in mouse models of diabetes. DMM Dis. Models Mech. 2015, 8, 701–710. [Google Scholar] [CrossRef]
- Robinson, R.; Barathi, V.A.; Chaurasia, S.S.; Wong, T.Y.; Kern, T.S. Update on animal models of diabetic retinopathy: From molecular approaches to mice and higher mammals. DMM Dis. Models Mech. 2012, 5, 444–456. [Google Scholar] [CrossRef] [PubMed]
- Dan Dunn, J.; Alvarez, L.A.J.; Zhang, X.; Soldati, T. Reactive oxygen species and mitochondria: A nexus of cellular homeostasis. Redox Biol. 2015, 6, 472–485. [Google Scholar] [CrossRef]
- Kowluru, R.A.; Kowluru, A.; Mishra, M.; Kumar, B. Oxidative stress and epigenetic modifications in the pathogenesis of diabetic retinopathy. Prog. Retin. Eye Res. 2015, 48, 40–61. [Google Scholar] [CrossRef]
- Kowluru, R.A. Diabetic retinopathy: Mitochondrial dysfunction and retinal capillary cell death. Antioxid. Redox Signal. 2005, 7, 1581. [Google Scholar] [CrossRef] [PubMed]
- Poprac, P.; Jomova, K.; Simunkova, M.; Kollar, V.; Rhodes, C.J.; Valko, M. Targeting Free Radicals in Oxidative Stress-Related Human Diseases. Trends Pharmacol. Sci. 2017, 38, 592–607. [Google Scholar] [CrossRef] [PubMed]
- Hammes, H.P. Diabetic retinopathy: Hyperglycaemia, oxidative stress and beyond. Diabetologia 2018, 61, 29–38. [Google Scholar] [CrossRef]
- Sachdeva, M.M. Retinal Neurodegeneration in Diabetes: An Emerging Concept in Diabetic Retinopathy. Curr. Diabetes Rep. 2021, 21, 65. [Google Scholar] [CrossRef] [PubMed]
- Lee, H.B.; Yu, M.R.; Yang, Y.; Jiang, Z.; Ha, H. Reactive oxygen species-regulated signaling pathways in diabetic nephropathy. J. Am. Soc. Nephrol. 2003, 14, S241–S245. [Google Scholar] [CrossRef]
- Bonfiglio, V.; Platania, C.B.M.; Lazzara, F.; Conti, F.; Pizzo, C.; Reibaldi, M.; Russo, A.; Fallico, M.; Ortisi, E.; Pignatelli, F.; et al. Tgf-β serum levels in diabetic retinopathy patients and the role of anti-vegf therapy. Int. J. Mol. Sci. 2020, 21, 9558. [Google Scholar] [CrossRef] [PubMed]
- Liu, C.H.; Wang, Z.; Sun, Y.; Chen, J. Animal models of ocular angiogenesis: From development to pathologies. FASEB J. 2017, 31, 4665–4681. [Google Scholar] [CrossRef]
- Chu, J.; Ali, Y. Diabetic retinopathy: A review. Drug Dev. Res. 2008, 69, 1–14. [Google Scholar] [CrossRef]
- Wang, L.Z.; Cheung, C.Y.; Tapp, R.J.; Hamzah, H.; Tan, G.; Ting, D.; Lamoureux, E.; Wong, T.Y. Availability and variability in guidelines on diabetic retinopathy screening in Asian countries. Br. J. Ophthalmol. 2017, 101, 1352–1360. [Google Scholar] [CrossRef]
- Roy, S.; Ha, J.; Trudeau, K.; Beglova, E. Vascular basement membrane thickening in diabetic retinopathy. Curr. Eye Res. 2010, 35, 1045–1056. [Google Scholar] [CrossRef] [PubMed]
- Andersen, N.; Hjortdal, J.Ø.; Schielke, K.C.; Bek, T.; Grauslund, J.; Laugesen, C.S.; Andersen, H.L.; Cerqueira, C.; Andresen, J. The Danish registry of diabetic retinopathy. Clin. Epidemiol. 2016, 8, 613–619. [Google Scholar] [CrossRef]
- Rodríguez, M.L.; Pérez, S.; Mena-Mollá, S.; Desco, M.C.; Ortega, Á.L. Oxidative Stress and Microvascular Alterations in Diabetic Retinopathy: Future Therapies. Oxidative Med. Cell. Longev. 2019, 2019, 4940825. [Google Scholar] [CrossRef] [PubMed]
- Wykoff, C.C.; Khurana, R.N.; Nguyen, Q.D.; Kelly, S.P.; Lum, F.; Hall, R.; Abbass, I.M.; Abolian, A.M.; Stoilov, I.; To, T.M.; et al. Risk of blindness among patients with diabetes and newly diagnosed diabetic retinopathy. Diabetes Care 2021, 44, 748–756. [Google Scholar] [CrossRef]
- Kirwin, S.J.; Kanaly, S.T.; Hansen, C.R.; Cairns, B.J.; Ren, M.; Edelman, J.L. Retinal gene expression and visually evoked behavior in diabetic Long Evans rats. Investig. Ophthalmol. Vis. Sci. 2011, 52, 7654–7663. [Google Scholar] [CrossRef][Green Version]
- Kowluru, R.A.; Kowluru, A.; Veluthakal, R.; Mohammad, G.; Syed, I.; Santos, J.M.; Mishra, M. TIAM1-RAC1 signalling axis-mediated activation of NADPH oxidase-2 initiates mitochondrial damage in the development of diabetic retinopathy. Diabetologia 2014, 57, 1047–1056. [Google Scholar] [CrossRef] [PubMed]
- Rodrigues, E.B.; Urias, M.G.; Penha, F.M.; Badaró, E.; Novais, E.; Meirelles, R.; Farah, M.E. Diabetes induces changes in neuroretina before retinal vessels: A spectral-domain optical coherence tomography study. Int. J. Retin. Vitr. 2015, 1, 4. [Google Scholar] [CrossRef]
- Sun, J.K.; Keenan, H.A.; Cavallerano, J.D.; Asztalos, B.F.; Schaefer, E.J.; Sell, D.R.; Strauch, C.M.; Monnier, V.M.; Doria, A.; Aiello, L.P.; et al. Protection from retinopathy and other complications in patients with type 1 diabetes of extreme duration: The Joslin 50-year medalist study. Diabetes Care 2011, 34, 968–974. [Google Scholar] [CrossRef]
- Praidou, A.; Androudi, S.; Brazitikos, P.; Karakiulakis, G.; Papakonstantinou, E.; Dimitrakos, S. Angiogenic Growth Factors and their Inhibitors in Diabetic Retinopathy. Curr. Diabetes Rev. 2010, 6, 304–312. [Google Scholar] [CrossRef]
- Titchenell, P.M.; Antonetti, D.A. Using the past to inform the future: Anti-VEGF therapy as a road map to develop novel therapies for diabetic retinopathy. Diabetes 2013, 62, 1808–1815. [Google Scholar] [CrossRef]
- D’Amico, A.G.; Maugeri, G.; Magrì, B.; Bucolo, C.; D’Agata, V. Targeting the PINK1/Parkin pathway: A new perspective in the prevention and therapy of diabetic retinopathy. In Experimental Eye Research; Academic Press: Cambridge, MA, USA, 2024. [Google Scholar] [CrossRef] [PubMed]
- Li, M.; Yang, L.; Zhai, H.; Qiao, L.; Wang, Z.; An, X.; Wang, J. A new perspective on protecting the blood-retinal barrier against injury in diabetic retinopathy: Mitophagy. Front. Endocrinol. 2025, 16, 1617797. [Google Scholar] [CrossRef]
- Duh, E.J.; Sun, J.K.; Stitt, A.W. Diabetic retinopathy: Current understanding, mechanisms, and treatment strategies. JCI Insight 2017, 2, e93751. [Google Scholar] [CrossRef] [PubMed]
- Simó, R.; Sundstrom, J.M.; Antonetti, D.A. Ocular anti-VEGF therapy for diabetic retinopathy: The role of VEGF in the pathogenesis of diabetic retinopathy. Diabetes Care 2014, 37, 893–899. [Google Scholar] [CrossRef] [PubMed]
- Nguyen, Q.D.; Brown, D.M.; Marcus, D.M.; Boyer, D.S.; Patel, S.; Feiner, L.; Gibson, A.; Sy, J.; Rundle, A.C.; Hopkins, J.J.; et al. Ranibizumab for diabetic macular edema: Results from 2 phase iii randomized trials: RISE and RIDE. Ophthalmology 2012, 119, 789–801. [Google Scholar] [CrossRef]
- Korobelnik, J.F.; Do, D.V.; Schmidt-Erfurth, U.; Boyer, D.S.; Holz, F.G.; Heier, J.S.; Midena, E.; Kaiser, P.K.; Terasaki, H.; Marcus, D.M.; et al. Intravitreal aflibercept for diabetic macular edema. Ophthalmology 2014, 121, 2247–2254. [Google Scholar] [CrossRef]
- Wang, W.; Lo, A.C.Y. Diabetic retinopathy: Pathophysiology and treatments. Int. J. Mol. Sci. 2018, 19, 1816. [Google Scholar] [CrossRef]
- Choi, M.Y.; Jee, D.; Kwon, J.W. Characteristics of diabetic macular edema patients refractory to anti-VEGF treatments and a dexamethasone implant. PLoS ONE 2019, 14, e0222364. [Google Scholar] [CrossRef] [PubMed]
- Quiroz, J.; Yazdanyar, A. Animal models of diabetic retinopathy. Ann. Transl. Med. 2021, 9, 1272. [Google Scholar] [CrossRef]
- Pitale, P.M.; Gorbatyuk, M.S. Diabetic Retinopathy: From Animal Models to Cellular Signaling. Int. J. Mol. Sci. 2022, 23, 1487. [Google Scholar] [CrossRef]
- Vélez, S.; Gómez, L.; Tapia, D.; Guerrero, E.; Morán, J. Estandarización del modelo de diabetes experimental inducida por estreptozotocina en ratas sprague-dawley. Rev. Médico Científica 2015, 28, 4–13. [Google Scholar]
- Moldovan, M.; Capraș, R.D.; Paşcalău, R.; Filip, G.A. Molecular Findings Before Vision Loss in the Streptozotocin-Induced Rat Model of Diabetic Retinopathy. Curr. Issues Mol. Biol. 2025, 47, 28. [Google Scholar] [CrossRef]
- Cantón, A.; Martinez-Cáceres, E.M.; Hernández, C.; Espejo, C.; García-Arumí, J.; Simó, R. CD4-CD8 and CD28 expression in t cells infiltrating the vitreous fluidin patients with proliferative diabetic retinopathy: A flow cytometric analysis. Arch. Ophthalmol. 2004, 122, 743–749. [Google Scholar] [CrossRef]
- Bayless, K.J. Direct Involvement of CD8+ T Cells in Retinal Angiogenesis. In Arteriosclerosis, Thrombosis, and Vascular Biology; Lippincott Williams & Wilkins Hagerstown: Hagerstown, MD, USA, 2023; pp. 537–539. [Google Scholar]
- Yu, H.; Liu, B.; Wu, G.; Du, Z.; Wu, Q.; Zeng, X.; Xiao, Y.; Fang, F.; Yuan, L.; Ma, S.; et al. Dysregulation of circulating follicular helper T cells in type 2 diabetic patients with diabetic retinopathy. Immunol. Res. 2021, 69, 153–161. [Google Scholar] [CrossRef]
- Li, C.; Miao, X.; Li, F.; Wang, S.; Liu, Q.; Wang, Y.; Sun, J. Oxidative stress-related mechanisms and antioxidant therapy in diabetic retinopathy. Oxid. Med. Cell Longev. 2017, 2017, 9702820. [Google Scholar] [CrossRef]
- Nagareddy, P.R.; Xia, Z.; McNeill, J.H.; MacLeod, K.M. Increased expression of iNOS is associated with endothelial dysfunction and impaired pressor responsiveness in streptozotocin-induced diabetes. Am. J. Physiol.-Heart Circ. Physiol. 2005, 289, H2144–H2152. [Google Scholar] [CrossRef]
- Zheng, L.; Du, Y.; Miller, C.; Gubitosi-Klug, R.A.; Kern, T.S.; Ball, S.; Berkowitz, B.A. Critical role of inducible nitric oxide synthase in degeneration of retinal capillaries in mice with streptozotocin-induced diabetes. Diabetologia 2007, 50, 1987–1996. [Google Scholar] [CrossRef] [PubMed]
- Tsai, T.; Kuehn, S.; Tsiampalis, N.; Vu, M.K.; Kakkassery, V.; Stute, G.; Dick, H.B.; Joachim, S.C. Anti-inflammatory cytokine and angiogenic factors levels in vitreous samples of diabetic retinopathy patients. PLoS ONE 2018, 13, e0194603. [Google Scholar] [CrossRef] [PubMed]
- Wakabayashi, Y.; Usui, Y.; Okunuki, Y.; Takeuchi, M.; Kezuka, T.; Iwasaki, T.; Goto, H. Increased levels of monokine induced by interferon-γ (Mig) in the vitreous of patients with diabetic retinopathy. Diabet. Med. 2008, 25, 875–877. [Google Scholar] [CrossRef]
- Vujosevic, S.; Micera, A.; Bini, S.; Berton, M.; Esposito, G.; Midena, E. Proteome analysis of retinal glia cells-related inflammatory cytokines in the aqueous humour of diabetic patients. Acta Ophthalmol. 2016, 94, 56–64. [Google Scholar] [CrossRef] [PubMed]
- Zhu, H.; Li, B.; Huang, T.; Wang, B.; Li, S.; Yu, K.; Cai, L.; Ye, Y.; Chen, S.; Zhu, H.; et al. Update in the molecular mechanism and biomarkers of diabetic retinopathy. Biochim. Biophys. Acta (BBA)-Mol. Basis Dis. 2025, 1871, 167758. [Google Scholar] [CrossRef]
- Caldwell, R.B.; Bartoli, M.; Behzadian, M.A.; El-Remessy, A.E.B.; Al-Shabrawey, M.; Platt, D.H.; Liou, G.I.; Caldwell, R.W. Vascular endothelial growth factor and diabetic retinopathy: Role of oxidative stress. Curr. Drug Targets 2005, 6, 511–524. [Google Scholar] [CrossRef] [PubMed]
- Ferrara, N. Vascular endothelial growth factor: Basic science and clinical progress. Endocr. Rev. 2004, 25, 581–611. [Google Scholar] [CrossRef] [PubMed]
- Arrigo, A.; Aragona, E.; Bandello, F. VEGF-targeting drugs for the treatment of retinal neovascularization in diabetic retinopathy. Ann. Med. 2022, 54, 1089–1111. [Google Scholar] [CrossRef]
- Wu, F.; Phone, A.; Lamy, R.; Ma, D.; Laotaweerungsawat, S.; Chen, Y.; Zhao, T.; Ma, W.; Zhang, F.; Psaras, C.; et al. Correlation of aqueous, vitreous, and plasma cytokine levels in patients with proliferative diabetic retinopathy. Investig. Ophthalmol. Vis. Sci. 2020, 61, 26. [Google Scholar] [CrossRef] [PubMed]
- Praidou, A.; Papakonstantinou, E.; Androudi, S.; Georgiadis, N.; Karakiulakis, G.; Dimitrakos, S. Vitreous and serum levels of vascular endothelial growth factor and platelet-derived growth factor and their correlation in patients with non-proliferative diabetic retinopathy and clinically significant macula oedema. Acta Ophthalmol. 2011, 89, 248–254. [Google Scholar] [CrossRef]
- Boulton, M.; Gregor, Z.; McLeod, D.; Charteris, D.; Jarvis-Evans, J.; Moriarty, P.; Khaliq, A.; Foreman, D.; Allamby, D.; Bardsley, B. Intravitreal growth factors in proliferative diabetic retinopathy: Correlation with neovascular activity and glycaemic management. Br. J. Ophthalmol. 1997, 81, 228–233. [Google Scholar] [CrossRef][Green Version]
- Aiello, L.P.; Clermont, A.; Arora, V.; Davis, M.D.; Sheetz, M.J.; Bursell, S.E. Inhibition of PKC β by oral administration of ruboxistaurin is well tolerated and ameliorates diabetes-induced retinal hemodynamic abnormalities in patients. Investig. Ophthalmol. Vis. Sci. 2006, 47, 86–92. [Google Scholar] [CrossRef]
- Gray, C.M.; Remouchamps, C.; McCorkell, K.A.; Solt, L.A.; Dejardin, E.; Orange, J.S.; May, M.J. Noncanonical NF-κB signaling is limited by classical NF-κB activity. Sci. Signal 2014, 7, ra13. [Google Scholar] [CrossRef][Green Version]
- Gupta, S.C.; Kim, J.H.; Prasad, S.; Aggarwal, B.B. Regulation of survival, proliferation, invasion, angiogenesis, and metastasis of tumor cells through modulation of inflammatory pathways by nutraceuticals. Cancer Metastasis Rev. 2010, 29, 405–434. [Google Scholar] [CrossRef]
- Ahn, K.S.; Aggarwal, B.B. Transcription factor NF-κB: A sensor for smoke and stress signals. Ann. N. Y. Acad. Sci. 2005, 1056, 218–233. [Google Scholar] [CrossRef]
- Mishra, M.; Zhong, Q.; Kowluru, R.A. Epigenetic modifications of Nrf2-mediated glutamate–cysteine ligase: Implications for the development of diabetic retinopathy and the metabolic memory phenomenon associated with its continued progression. Free Radic. Biol. Med. 2014, 75, 129–139. [Google Scholar] [CrossRef]
- Zhong, Q.; Kowluru, R.A. Epigenetic modification of Sod2 in the development of diabetic retinopathy and in the metabolic memory: Role of histone methylation. Investig. Ophthalmol. Vis. Sci. 2013, 54, 244–250. [Google Scholar] [CrossRef]
- Xu, Z.; Wei, Y.; Gong, J.; Cho, H.; Park, J.K.; Sung, E.R.; Huang, H.; Wu, L.; Eberhart, C.; Handa, J.T.; et al. NRF2 plays a protective role in diabetic retinopathy in mice. Diabetologia 2014, 57, 204–213. [Google Scholar] [CrossRef] [PubMed]
- Zhang, J.J.; Ni, P.; Song, Y.; Gao, M.J.; Guo, X.Y.; Zhao, B.Q. Effective protective mechanisms of HO-1 in diabetic complications: A narrative review. Cell Death Discov. 2024, 10, 433. [Google Scholar] [CrossRef] [PubMed]
- Mao, C.; Yan, H. Roles of elevated intravitreal IL-1β and IL-10 levels in proliferative diabetic retinopathy. Indian J. Ophthalmol. 2014, 62, 699–701. [Google Scholar] [CrossRef]
- Hernandez, C.; Segura, R.M.; Fonollosa, A.; Carrasco, E.; Francisco, G.; Simo, R. Interleukin-8, monocyte chemoattractant protein-1 and IL-10 in the vitreous fluid of patients with proliferative diabetic retinopathy. Diabet. Med. 2005, 22, 719–722. [Google Scholar] [CrossRef] [PubMed]
- Guerra-Ávila, P.L.; Guzmán, T.J.; Vargas-Guerrero, B.; Domínguez-Rosales, J.A.; Cervantes-Garduño, A.B.; Salazar-Montes, A.M.; Sánchez-Orozco, L.V.; Gurrola-Díaz, C.M. Comparative screening of the liver gene expression profiles from type 1 and type 2 diabetes rat models. Int. J. Mol. Sci. 2024, 25, 4151. [Google Scholar] [CrossRef]
- Luna, L.G. Manual of histologic staining methods of the Armed Forces Institute of Pathology. In Manual of Histologic Staining Methods of the Armed Forces Institute of Pathology; McGraw-Hill: New York, NY, USA, 1968; pp. 12–258. [Google Scholar]
- Schindelin, J.; Arganda-Carreras, I.; Frise, E.; Kaynig, V.; Longair, M.; Pietzsch, T.; Preibisch, S.; Rueden, C.; Saalfeld, S.; Schmid, B.; et al. Fiji: An open-source platform for biological-image analysis. Nat. Methods 2012, 9, 676–682. [Google Scholar] [CrossRef]
Disclaimer/Publisher’s Note: The statements, opinions and data contained in all publications are solely those of the individual author(s) and contributor(s) and not of MDPI and/or the editor(s). MDPI and/or the editor(s) disclaim responsibility for any injury to people or property resulting from any ideas, methods, instructions or products referred to in the content. |
© 2026 by the authors. Licensee MDPI, Basel, Switzerland. This article is an open access article distributed under the terms and conditions of the Creative Commons Attribution (CC BY) license.
Share and Cite
Barba-Gallardo, L.F.; Ávila-Blanco, M.E.; Ventura-Juárez, J.; Muñoz-Ortega, M.H.; Murillo-Ruíz, R.C.; Rivera-Delgadillo, M.; Díaz-Rubio, J.L.; Casillas-Casillas, E.; Salas-Hernández, L.H.; Guerra-Ávila, P.L. Experimental Diabetic Retinopathy in Wistar Rats Induced by Streptozotocin: A Window into Retinal Disease Progression. Int. J. Mol. Sci. 2026, 27, 3427. https://doi.org/10.3390/ijms27083427
Barba-Gallardo LF, Ávila-Blanco ME, Ventura-Juárez J, Muñoz-Ortega MH, Murillo-Ruíz RC, Rivera-Delgadillo M, Díaz-Rubio JL, Casillas-Casillas E, Salas-Hernández LH, Guerra-Ávila PL. Experimental Diabetic Retinopathy in Wistar Rats Induced by Streptozotocin: A Window into Retinal Disease Progression. International Journal of Molecular Sciences. 2026; 27(8):3427. https://doi.org/10.3390/ijms27083427
Chicago/Turabian StyleBarba-Gallardo, Luis Fernando, Manuel Enrique Ávila-Blanco, Javier Ventura-Juárez, Martín Humberto Muñoz-Ortega, Ruth Clarisa Murillo-Ruíz, Marcela Rivera-Delgadillo, José Luis Díaz-Rubio, Elizabeth Casillas-Casillas, Luis Héctor Salas-Hernández, and Paloma Lucía Guerra-Ávila. 2026. "Experimental Diabetic Retinopathy in Wistar Rats Induced by Streptozotocin: A Window into Retinal Disease Progression" International Journal of Molecular Sciences 27, no. 8: 3427. https://doi.org/10.3390/ijms27083427
APA StyleBarba-Gallardo, L. F., Ávila-Blanco, M. E., Ventura-Juárez, J., Muñoz-Ortega, M. H., Murillo-Ruíz, R. C., Rivera-Delgadillo, M., Díaz-Rubio, J. L., Casillas-Casillas, E., Salas-Hernández, L. H., & Guerra-Ávila, P. L. (2026). Experimental Diabetic Retinopathy in Wistar Rats Induced by Streptozotocin: A Window into Retinal Disease Progression. International Journal of Molecular Sciences, 27(8), 3427. https://doi.org/10.3390/ijms27083427

