Evaluation of +49 A>G (rs231775) Variant in CTLA4 Gene and SCTLA-4 Serum Levels in Plaque Psoriasis in a Mestizo Mexican Population
Abstract
1. Introduction
2. Results
2.1. Clinical and Demographic Characteristics of the Study Groups
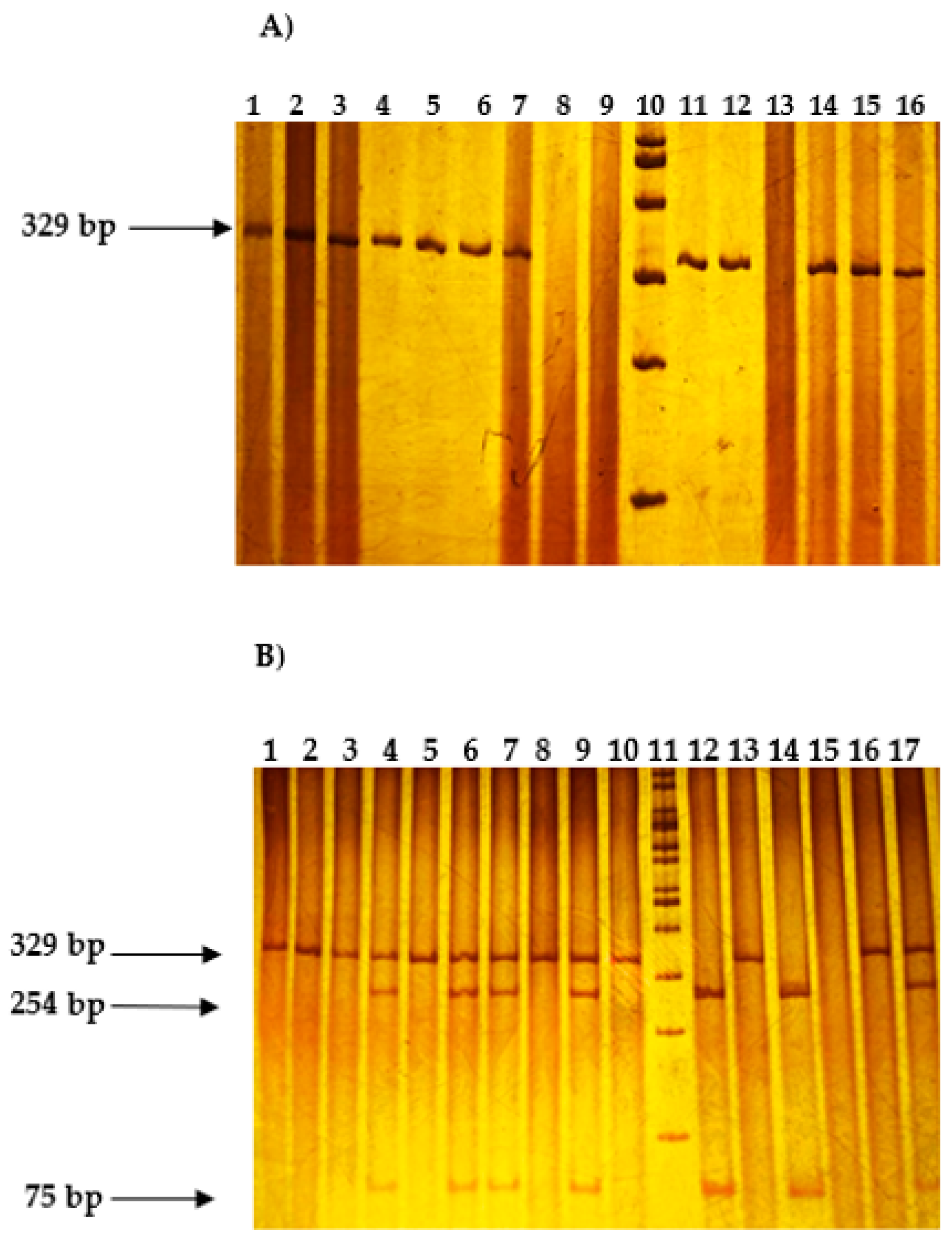
2.2. Genotype and Allele Frequencies
2.3. sCTLA-4 Serum Levels in Patients and Controls
2.4. +49 A>G Genotypes and sCTLA-4 Serum Levels
3. Discussion
4. Materials and Methods
4.1. Study Population
4.2. Genotyping of the +49 A>G Variant
4.3. Quantification of sCTLA-4 Serum Levels
4.4. Statistical Analysis
5. Conclusions
Author Contributions
Funding
Institutional Review Board Statement
Informed Consent Statement
Data Availability Statement
Acknowledgments
Conflicts of Interest
Abbreviations
| PP | Plaque psoriasis |
| CS | Control subjects |
| CTLA-4 | Cytotoxic T-lymphocyte-associated antigen 4 |
| sCTLA-4 | Soluble cytotoxic T-lymphocyte-associated antigen 4 |
| Treg | Regulatory T cells |
| Th17 | T helper 17 cells |
| Th1 | T helper 1 cells |
| SNV | Single-nucleotide variant |
| PCR | Polymerase chain reaction |
| PCR-RFLP | Polymerase chain reaction–restriction fragment length polymorphism |
| OR | Odds ratio |
| CI | Confidence interval |
| PASI | Psoriasis Area and Severity Index |
| BMI | Body mass index |
References
- Global Report on Psoriasis. Available online: https://www.who.int/publications/i/item/9789241565189 (accessed on 1 March 2026).
- Chhabra, S.; Dogra, S.; Sharma, K.; Raychaudhuri, S.K.; Raychaudhuri, S.P. Recent Update on Immunopathogenesis of Psoriasis. Indian J. Dermatol. 2022, 67, 360–373. [Google Scholar] [CrossRef]
- Espinoza Hernández, C.J.; Lacy Niebla, R.M.; Soto López, M.E.; Kresch Tronik, N.S.; Vega-Memije, M.E. Prevalence of metabolic syndrome in patients with psoriasis. Gac. Med. Mex. 2014, 150, 311–316. [Google Scholar]
- Armstrong, A.W.; Read, C. Pathophysiology, Clinical Presentation, and Treatment of Psoriasis: A Review. JAMA 2020, 323, 1945–1960. [Google Scholar] [CrossRef]
- Dursun, H.G.; Yılmaz, H.O.; Dursun, R.; Kulaksızoğlu, S. Association of Cytotoxic T Lymphocyte Antigen-4 Gene Polymorphisms with Psoriasis Vulgaris: A Case-Control Study in Turkish Population. J. Immunol. Res. 2018, 2018, 1643906. [Google Scholar] [CrossRef]
- Sieminska, I.; Pieniawska, M.; Grzywa, T.M. The Immunology of Psoriasis-Current Concepts in Pathogenesis. Clin. Rev. Allergy Immunol. 2024, 66, 164–191. [Google Scholar] [CrossRef] [PubMed]
- Cao, J.; Zou, L.; Luo, P.; Chen, P.; Zhang, L. Increased Production of Circulating Soluble Co-Stimulatory Molecules CTLA-4, CD28 and CD80 in Patients with Rheumatoid Arthritis. Int. Immunopharmacol. 2012, 14, 585–592. [Google Scholar] [CrossRef] [PubMed]
- Walker, L.S.K. Treg and CTLA-4: Two Intertwining Pathways to Immune Tolerance. J. Autoimmun. 2013, 45, 49–57. [Google Scholar] [CrossRef]
- Lowes, M.A.; Russell, C.B.; Martin, D.A.; Towne, J.E.; Krueger, J.G. The IL-23/T17 Pathogenic Axis in Psoriasis Is Amplified by Keratinocyte Responses. Trends Immunol. 2013, 34, 174–181. [Google Scholar] [CrossRef] [PubMed]
- Wang, L.; Liang, Y.; Zhao, C.; Ma, P.; Zeng, S.; Ju, D.; Zhao, M.; Yu, M.; Shi, Y. Regulatory T Cells in Homeostasis and Disease: Molecular Mechanisms and Therapeutic Potential. Signal Transduct. Target. Ther. 2025, 10, 345. [Google Scholar] [CrossRef]
- Rowshanravan, B.; Halliday, N.; Sansom, D.M. CTLA-4: A Moving Target in Immunotherapy. Blood 2018, 131, 58–67. [Google Scholar] [CrossRef]
- Saverino, D.; Simone, R.; Bagnasco, M.; Pesce, G. The Soluble CTLA-4 Receptor and Its Role in Autoimmune Diseases: An Update. Autoimmun. Highlights 2010, 1, 73–81. [Google Scholar] [CrossRef]
- Dahal, L.N.; Barker, R.N.; Ward, F.J. The Soluble Isoform of CTLA-4 Correlates with Interferon-α Activity in Systemic Lupus Erythematosus. J. Rheumatol. 2020, 47, 302–304. [Google Scholar] [CrossRef]
- Yu, L.; Shao, M.; Zhou, T.; Xie, H.; Wang, F.; Kong, J.; Xu, S.; Shuai, Z.; Pan, F. Association of CTLA-4 (+49 A/G) Polymorphism with Susceptibility to Autoimmune Diseases: A Meta-Analysis with Trial Sequential Analysis. Int. Immunopharmacol. 2021, 96, 107617. [Google Scholar] [CrossRef]
- Mäurer, M.; Loserth, S.; Kolb-Mäurer, A.; Ponath, A.; Wiese, S.; Kruse, N.; Rieckmann, P. A Polymorphism in the Human Cytotoxic T-Lymphocyte Antigen 4 (CTLA4) Gene (Exon 1 +49) Alters T-Cell Activation. Immunogenetics 2002, 54, 1–8. [Google Scholar] [CrossRef] [PubMed]
- Kouki, T.; Sawai, Y.; Gardine, C.A.; Fisfalen, M.E.; Alegre, M.L.; DeGroot, L.J. CTLA-4 Gene Polymorphism at Position 49 in Exon 1 Reduces the Inhibitory Function of CTLA-4 and Contributes to the Pathogenesis of Graves’ Disease. J. Immunol. 2000, 165, 6606–6611. [Google Scholar] [CrossRef] [PubMed]
- Burke, K.P.; Chaudhri, A.; Freeman, G.J.; Sharpe, A.H. The B7:CD28 Family and Friends: Unraveling Coinhibitory Interactions. Immunity 2024, 57, 223–244. [Google Scholar] [CrossRef] [PubMed]
- Zhou, C.; Gao, S.; Yuan, X.; Shu, Z.; Li, S.; Sun, X.; Xiao, J.; Liu, H. Association between CTLA-4 Gene Polymorphism and Risk of Rheumatoid Arthritis: A Meta-Analysis. Aging 2021, 13, 19397–19414. [Google Scholar] [CrossRef]
- Wang, N.-G.; Wang, D.-C.; Tan, B.-Y.; Wang, F.; Yuan, Z.-N. Association between CTLA-4 Gene Polymorphism and Ankylosing Spondylitis: A Case-Control Study. Int. J. Clin. Exp. Pathol. 2015, 8, 7421–7425. [Google Scholar]
- Suvankar, S.; Padhi, S.; Bagabir, H.A.; Pati, A.; Wahid, M.; Mandal, R.K.; Haque, S.; Panda, A.K. Cytotoxic T-Lymphocyte Associated Protein 4 (CTLA4) Polymorphisms Are Linked to Systemic Lupus Erythematosus: An Updated Meta-Analysis. Biotechnol. Genet. Eng. Rev. 2023, 39, 841–858. [Google Scholar] [CrossRef]
- Si, X.; Zhang, X.; Luo, Y.; Tang, W. Association between the CTLA-4 +49A/G Polymorphism and Type 1 Diabetes: A Meta-Analysis. Genet. Test. Mol. Biomark. 2012, 16, 1336–1342. [Google Scholar] [CrossRef]
- Hu, Y.; Xu, K.; Jiang, L.; Zhang, L.; Shi, H.; Cui, D. Associations Between Three CTLA-4 Polymorphisms and Hashimoto’s Thyroiditis Risk: An Updated Meta-Analysis with Trial Sequential Analysis. Genet. Test. Mol. Biomark. 2018, 22, 224–236. [Google Scholar] [CrossRef]
- Huang, F.; He, Q.; Jiao, X.; Zhang, H.; Chang, Q. Meta-Analysis of CTLA-4 +49 Gene Polymorphism and Susceptibility to Graves’ Disease. Crit. Rev. Eukaryot. Gene Expr. 2020, 30, 377–390. [Google Scholar] [CrossRef]
- Liang, J.; Zhang, S.; Luo, Q.; Li, W.; Tian, X.; Zhang, F.; Zhao, T.; Chen, X.; Zhang, X. Lack of Association between Cytotoxic T-Lymphocyte Antigen-4+49A/G Polymorphism and Psoriasis and Vitiligo: A Meta-Analysis of Case-Control Studies. Gene 2015, 568, 196–202. [Google Scholar] [CrossRef] [PubMed]
- Tsunemi, Y.; Saeki, H.; Kishimoto, M.; Mitsui, H.; Tada, Y.; Torii, H.; Komine, M.; Asahina, A.; Tamaki, K.; Sekiya, T. Cytotoxic T Lymphocyte Antigen-4 Gene (CTLA4) Polymorphisms in Japanese Patients with Psoriasis Vulgaris. J. Dermatol. Sci. 2003, 32, 163–165. [Google Scholar] [CrossRef]
- Rangel-Villalobos, H.; Muñoz-Valle, J.F.; González-Martín, A.; Gorostiza, A.; Magaña, M.T.; Páez-Riberos, L.A. Genetic Admixture, Relatedness, and Structure Patterns among Mexican Populations Revealed by the Y-Chromosome. Am. J. Phys. Anthropol. 2008, 135, 448–461. [Google Scholar] [CrossRef]
- Salzano, F.M.; Sans, M. Interethnic Admixture and the Evolution of Latin American Populations. Genet. Mol. Biol. 2014, 37, 151–170. [Google Scholar] [CrossRef]
- Wang, S.; Ray, N.; Rojas, W.; Parra, M.V.; Bedoya, G.; Gallo, C.; Poletti, G.; Mazzotti, G.; Hill, K.; Hurtado, A.M.; et al. Geographic Patterns of Genome Admixture in Latin American Mestizos. PLoS Genet. 2008, 4, e1000037. [Google Scholar] [CrossRef]
- Simone, R.; Pesce, G.; Antola, P.; Rumbullaku, M.; Bagnasco, M.; Bizzaro, N.; Saverino, D. The Soluble Form of CTLA-4 from Serum of Patients with Autoimmune Diseases Regulates T-Cell Responses. BioMed Res. Int. 2014, 2014, 215763. [Google Scholar] [CrossRef] [PubMed]
- Wong, C.K.; Lit, L.C.W.; Tam, L.S.; Li, E.K.; Lam, C.W.K. Aberrant Production of Soluble Costimulatory Molecules CTLA-4, CD28, CD80 and CD86 in Patients with Systemic Lupus Erythematosus. Rheumatology 2005, 44, 989–994. [Google Scholar] [CrossRef] [PubMed]
- Wang, X.-B.; Kakoulidou, M.; Giscombe, R.; Qiu, Q.; Huang, D.; Pirskanen, R.; Lefvert, A.K. Abnormal Expression of CTLA-4 by T Cells from Patients with Myasthenia Gravis: Effect of an AT-Rich Gene Sequence. J. Neuroimmunol. 2002, 130, 224–232. [Google Scholar] [CrossRef]
- Sato, S.; Fujimoto, M.; Hasegawa, M.; Komura, K.; Yanaba, K.; Hayakawa, I.; Matsushita, T.; Takehara, K. Serum Soluble CTLA-4 Levels Are Increased in Diffuse Cutaneous Systemic Sclerosis. Rheumatology 2004, 43, 1261–1266. [Google Scholar] [CrossRef]
- Saverino, D.; Brizzolara, R.; Simone, R.; Chiappori, A.; Milintenda-Floriani, F.; Pesce, G.; Bagnasco, M. Soluble CTLA-4 in Autoimmune Thyroid Diseases: Relationship with Clinical Status and Possible Role in the Immune Response Dysregulation. Clin. Immunol. 2007, 123, 190–198. [Google Scholar] [CrossRef]
- Pesce, G.; Auricchio, R.; Bagnasco, M.; Saverino, D. Oversecretion of Soluble CTLA-4 in Various Autoimmune Diseases Overlapping Celiac Disease. Genet. Test. Mol. Biomark. 2014, 18, 8–11. [Google Scholar] [CrossRef]
- Luszczek, W.; Kubicka, W.; Jasek, M.; Baran, E.; Cisło, M.; Nockowski, P.; Luczywo-Rudy, M.; Wiśniewski, A.; Nowak, I.; Kuśnierczyk, P. CTLA-4 Gene Polymorphisms and Natural Soluble CTLA-4 Protein in Psoriasis Vulgaris. Int. J. Immunogenet. 2006, 33, 217–224. [Google Scholar] [CrossRef]
- Esposito, L.; Hunter, K.M.D.; Clark, J.; Rainbow, D.B.; Stevens, H.; Denesha, J.; Duley, S.; Dawson, S.; Coleman, G.; Nutland, S.; et al. Investigation of Soluble and Transmembrane CTLA-4 Isoforms in Serum and Microvesicles. J. Immunol. 2014, 193, 889–900. [Google Scholar] [CrossRef]
- Pawlak, E.; Kochanowska, I.E.; Frydecka, I.; Kiełbiński, M.; Potoczek, S.; Bilińska, M. The Soluble CTLA-4 Receptor: A New Marker in Autoimmune Diseases. Arch. Immunol. Ther. Exp. 2005, 53, 336–341. [Google Scholar]
- Łuszczek, W.; Majorczyk, E.; Nockowski, P.; Pluciński, P.; Jasek, M.; Nowak, I.; Wiśniewski, A.; Kuśnierczyk, P. Distribution of the CTLA-4 Single Nucleotide Polymorphisms CT60G>A and +49A>G in Psoriasis Vulgaris Patients and Control Individuals from a Polish Caucasian Population. Int. J. Immunogenet. 2008, 35, 51–55. [Google Scholar] [CrossRef]
- Osaki, M.; Sakaguchi, S. Soluble CTLA-4 Regulates Immune Homeostasis and Promotes Resolution of Inflammation by Suppressing Type 1 but Allowing Type 2 Immunity. Immunity 2025, 58, 889–908.e13. [Google Scholar] [CrossRef] [PubMed]
- Goronzy, J.J.; Weyand, C.M. Mechanisms Underlying T Cell Ageing. Nat. Rev. Immunol. 2019, 19, 573–583. [Google Scholar] [CrossRef]
- Sun, Y.; Fu, Y.; Zhang, Z.; Tang, T.; Liu, J.; Ding, H.; Han, X.; Xu, J.; Chu, Z.; Shang, H.; et al. The Investigation of CD4+T-Cell Functions in Primary HIV Infection with Antiretroviral Therapy. Medicine 2017, 96, e7430. [Google Scholar] [CrossRef]
- Hossen, M.M.; Ma, Y.; Yin, Z.; Xia, Y.; Du, J.; Huang, J.Y.; Huang, J.J.; Zou, L.; Ye, Z.; Huang, Z. Current Understanding of CTLA-4: From Mechanism to Autoimmune Diseases. Front. Immunol. 2023, 14, 1198365. [Google Scholar] [CrossRef] [PubMed]
- Torres-Carrillo, N.; Ontiveros-Mercado, H.; Torres-Carrillo, N.M.; Parra-Rojas, I.; Rangel-Villalobos, H.; Ramírez-Dueñas, M.G.; Gutiérrez-Ureña, S.R.; Valle, Y.; Muñoz-Valle, J.F. The -319C/+49G/CT60G Haplotype of CTLA-4 Gene Confers Susceptibility to Rheumatoid Arthritis in Mexican Population. Cell Biochem. Biophys. 2013, 67, 1217–1228. [Google Scholar] [CrossRef] [PubMed]
- Salinas-Santander, M.A.; de Jesús Suárez-Valencia, V.; del Ángel-Martínez, M.; Kubelis-Lopez, D.E.; Zapata-Salazar, N.A.; Ocampo-Garza, J.A.; Ocampo-Candiani, J. Association between the CTLA4 +49A/G (Rs231775) and CT60 (Rs3087243) Gene Variants with Vitiligo: Study on a Mexican Population. An. Bras. Dermatol. 2022, 97, 710–715. [Google Scholar] [CrossRef] [PubMed]



| Characteristics | CS (n = 214) | PP (n = 204) | p-Value |
|---|---|---|---|
| Age (years) (mean ± SD) | 44.7 ± 12.06 | 46.8 ± 14.48 | 0.078 |
| Gender, n (%) | |||
| Female | 105 (49) | 96 (47) | 0.77 |
| Male | 109 (51) | 108 (53) | |
| Disease duration (years) (mean ± SD) Age of onset (years) (mean ± SD) | - | 9 ± 10 38 ± 18 | |
| Topical treatment (exfoliants) n (%) | 30 (15) |
| Variant rs231775 | CS (n = 214) n (%) | PP (n = 204) n (%) | OR (CI 90%) | p-Value |
|---|---|---|---|---|
| Genotypes | ||||
| AA a | 66 (31) | 72 (35) | 1 | - |
| AG | 114 (53) | 99 (49) | 0.80 (0.51–1.25) | 0.30 |
| GG | 34 (16) | 33 (16) | 0.89 (0.47–1.66) | 0.69 |
| Alleles | ||||
| A a | 246 (57) | 243 (60) | 1 | - |
| G | 182 (43) | 165 (40) | 0.92 (0.69–1.22) | 0.54 |
| Genetic models | ||||
| Dominant | ||||
| AA a | 66 (31) | 72 (35) | 1 | - |
| AG+GG | 148 (69) | 132 (65) | 0.82 (0.53–1.25) | 0.33 |
| Recessive | ||||
| AA+AG a | 180 (84) | 171 (84) | 1 | - |
| GG | 34 (16) | 33 (16) | 1.02 (0.58–1.78) | 0.93 |
| Variable | Age ρ (p-Value) | BMI ρ (p-Value) | PASI ρ (p-Value) | sCTLA-4 ρ (p-Value) | Disease Duration ρ (p-Value) |
|---|---|---|---|---|---|
| Age | — | 0.18 (0.49) | 0.42 (0.093) | 0.18 (0.49) | 0.21 (0.42) |
| BMI | 0.18 (0.49) | — | 0.36 (0.16) | −0.12 (0.65) | 0.09 (0.73) |
| PASI | 0.42 (0.093) | 0.36 (0.16) | — | 0.09 (0.73) | 0.51 (0.036) |
| sCTLA-4 | 0.18 (0.49) | −0.12 (0.65) | 0.09 (0.73) | — | 0.21 (0.42) |
| Disease Duration | 0.21 (0.42) | 0.09 (0.73) | 0.51 (0.036) | 0.21 (0.42) | — |
Disclaimer/Publisher’s Note: The statements, opinions and data contained in all publications are solely those of the individual author(s) and contributor(s) and not of MDPI and/or the editor(s). MDPI and/or the editor(s) disclaim responsibility for any injury to people or property resulting from any ideas, methods, instructions or products referred to in the content. |
© 2026 by the authors. Licensee MDPI, Basel, Switzerland. This article is an open access article distributed under the terms and conditions of the Creative Commons Attribution (CC BY) license.
Share and Cite
Cortés-Ruiz, M.G.; Wheber-Hidalgo, K.A.; Hernández-Nicols, B.F.; Buenrostro-Camacho, F.G.; Hernández-Bello, J.; Graciano-Machuca, O.; Alvarado-Navarro, A. Evaluation of +49 A>G (rs231775) Variant in CTLA4 Gene and SCTLA-4 Serum Levels in Plaque Psoriasis in a Mestizo Mexican Population. Int. J. Mol. Sci. 2026, 27, 3202. https://doi.org/10.3390/ijms27073202
Cortés-Ruiz MG, Wheber-Hidalgo KA, Hernández-Nicols BF, Buenrostro-Camacho FG, Hernández-Bello J, Graciano-Machuca O, Alvarado-Navarro A. Evaluation of +49 A>G (rs231775) Variant in CTLA4 Gene and SCTLA-4 Serum Levels in Plaque Psoriasis in a Mestizo Mexican Population. International Journal of Molecular Sciences. 2026; 27(7):3202. https://doi.org/10.3390/ijms27073202
Chicago/Turabian StyleCortés-Ruiz, María Guadalupe, Katia Alejandra Wheber-Hidalgo, Brenda Fernanda Hernández-Nicols, Fernando Gabriel Buenrostro-Camacho, Jorge Hernández-Bello, Omar Graciano-Machuca, and Anabell Alvarado-Navarro. 2026. "Evaluation of +49 A>G (rs231775) Variant in CTLA4 Gene and SCTLA-4 Serum Levels in Plaque Psoriasis in a Mestizo Mexican Population" International Journal of Molecular Sciences 27, no. 7: 3202. https://doi.org/10.3390/ijms27073202
APA StyleCortés-Ruiz, M. G., Wheber-Hidalgo, K. A., Hernández-Nicols, B. F., Buenrostro-Camacho, F. G., Hernández-Bello, J., Graciano-Machuca, O., & Alvarado-Navarro, A. (2026). Evaluation of +49 A>G (rs231775) Variant in CTLA4 Gene and SCTLA-4 Serum Levels in Plaque Psoriasis in a Mestizo Mexican Population. International Journal of Molecular Sciences, 27(7), 3202. https://doi.org/10.3390/ijms27073202

