Time-Course Evaluation of the In Vivo Resorption Process of Calcium Phosphates/Poly(lactide-co-glycolide) Composites Using Radiological Imaging and Histology
Abstract
1. Introduction
2. Results
2.1. Rabbit Condition Before and Post-Implantation Surgery and Health Status During the Care Period
2.1.1. Implantation Surgery
2.1.2. Health Status During the Care Period
2.2. Changes in Appearance of CT Volume Rendering Images of Implantation Materials
2.3. Quantitative Evaluation of Implantation Materials—PET/CT
2.3.1. Femoral Diaphysis
Bone Marrow Region
Cortical Bone Region
2.3.2. Femoral Bone Defect Area
Bone Marrow Region
Cortical Bone Region
2.3.3. Implantation of Polymer Alone in the Femoral Diaphysis
Bone Marrow Region
Cortical Bone Region
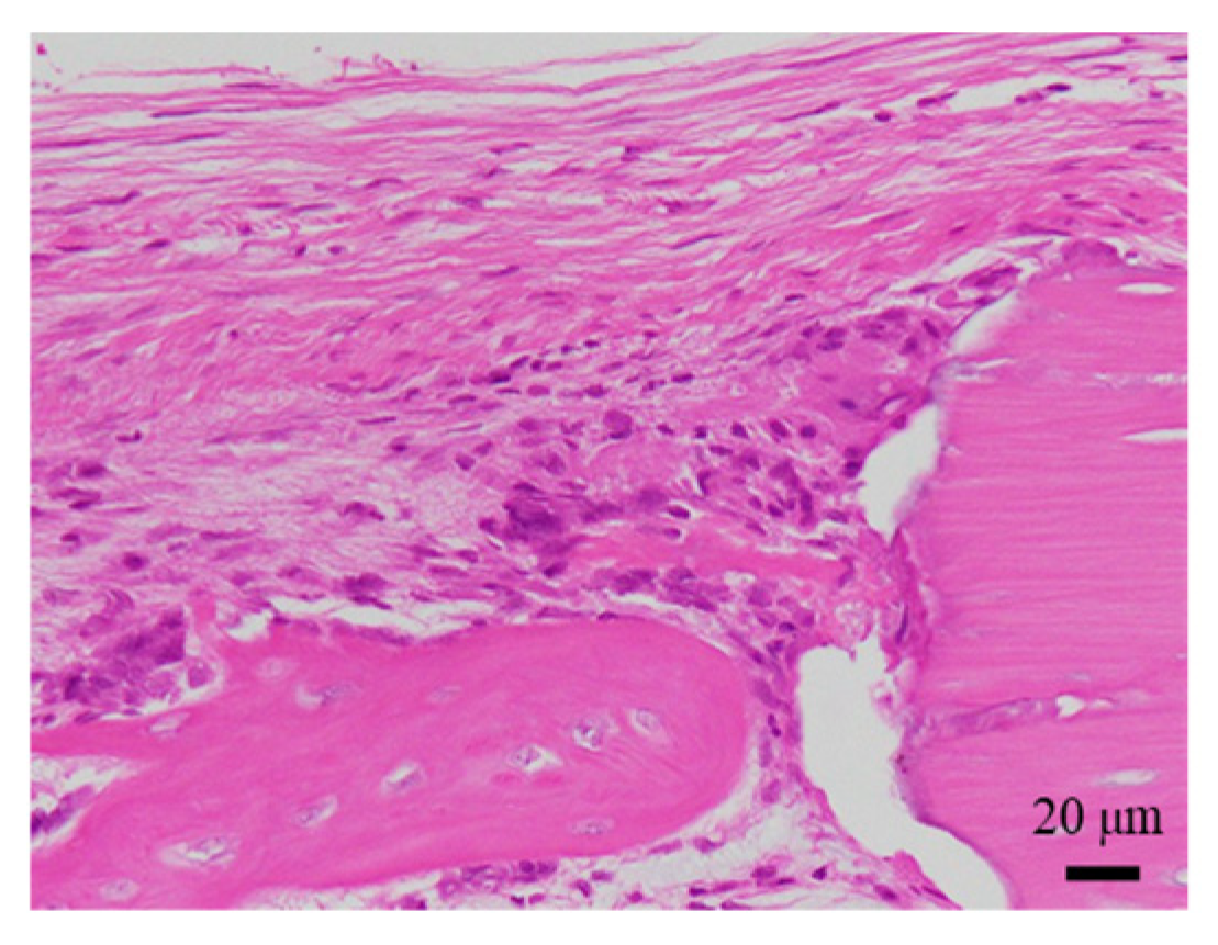
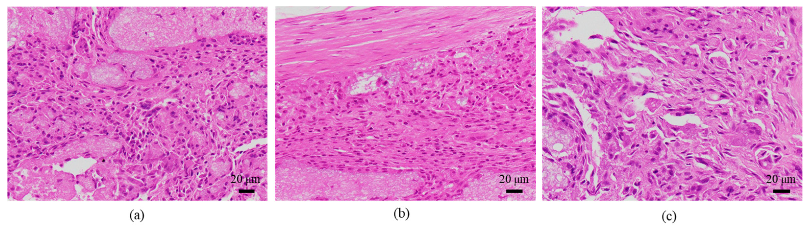
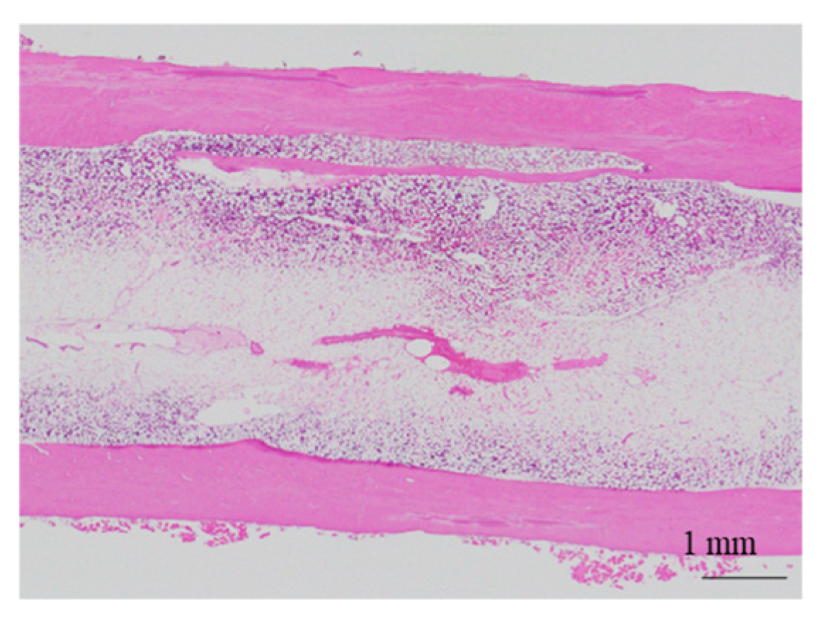
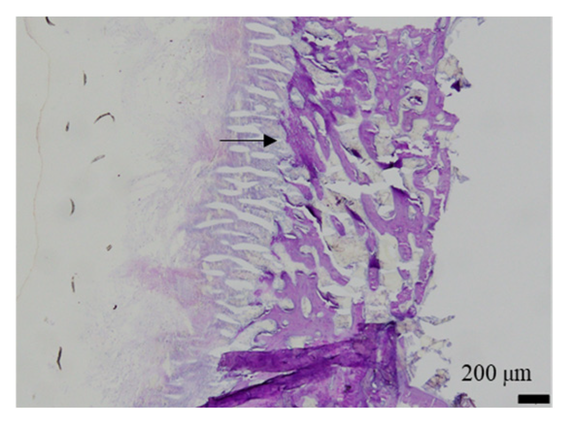
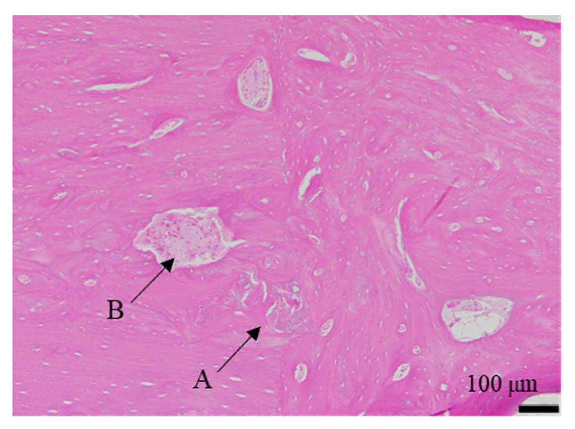
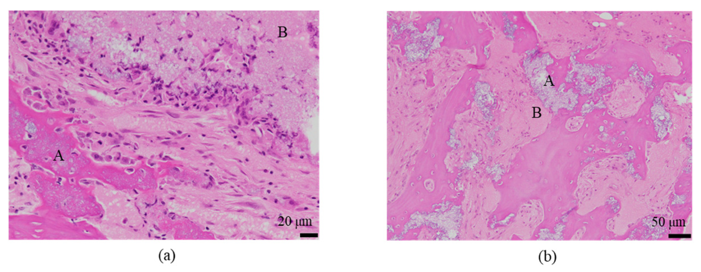
2.4. Histological Evaluation
2.4.1. Evaluation of the Femoral Diaphysis
2.4.2. Evaluation of the Left Femoral Bone Defect Area
3. Discussion
3.1. Animal Breeding Conditions
3.2. Evaluation of the Conditions Within the Femur Bone
3.2.1. Visual Evaluation of Temporal Changes in Implantation Materials
3.2.2. Evaluation of Bone Defects
3.2.3. Evaluation of the Diaphysis
3.2.4. Study Limitations
4. Materials and Methods
4.1. Animals and Implantation Samples
4.1.1. Experimental Animals
4.1.2. Breeding and Health Monitoring
4.1.3. Implantation Samples
4.1.4. Allocation of Samples
4.1.5. Implantation Surgery
Creation of Bone Defect (Implantation) Model
Postoperative Management
4.1.6. Inflammation Assessment
4.2. PET/CT Measurement
4.2.1. CT Measurement
4.2.2. PET Measurement
4.3. Data Analysis
4.4. Histological Evaluation
4.4.1. Sample Preparation and Staining
4.4.2. Observation and Image Capture
5. Conclusions
- (1)
- The absorption mechanism of the biodegradable materials used in this study in the living organism was suggested to be mainly phagocytosis by macrophages.
- (2)
- The disappearance rate within the living organism is faster for β-TCP(40) compared with uHA(40).
- (3)
- The above-described 2 supports the consideration that uHA has a tendency to aggregate more readily in vivo than β-TCP, and this mechanism implies that it is less susceptible to phagocytosis by macrophages or multinucleated giant cells.
- (4)
- Related to the above-mentioned 2 and 3, uHA(10), having a lower proportion of uHA, is not prone to aggregation and exhibited a similar disappearance result to β-TCP(40).
- (5)
- From clinical perspectives, there are many cases where bone substitutes are required. However, the presence of implantation materials can delay bone regeneration, making it important to optimize the type and amount of polymer and calcium phosphate used.
Supplementary Materials
Author Contributions
Funding
Institutional Review Board Statement
Informed Consent Statement
Data Availability Statement
Acknowledgments
Conflicts of Interest
References
- Bentohami, A.; de Burlet, K.; de Korte, N.; van den Bekerom, M.P.; Goslings, J.C.; Schep, N.W. Complications following volar locking plate fixation for distal radial fractures: A systematic review. J. Hand Surg. Eur. Vol. 2014, 39, 745–754. [Google Scholar] [CrossRef]
- Paavolainen, P.; Karaharju, E.; Slätis, P.; Ahonen, J.; Holmström, T. Effect of rigid plate fixation on structure and mineral content of cortical bone. Clin. Orthop. Relat. Res. 1978, 136, 287–293. [Google Scholar] [CrossRef]
- Rokkanen, P.; Böstman, O.; Vainionpää, S.; Vihtonen, K.; Törmälä, P.; Laiho, J.; Kilpikari, J.; Tamminmäki, M. Biodegradable implants in fracture fixation: Early results of treatment of fractures of the ankle. Lancet 1985, 1, 1422–1424. [Google Scholar] [CrossRef] [PubMed]
- Böstman, O.M. Absorbable implants for the fixation of fractures. J. Bone Jt. Surg. Am. 1991, 73, 148–153. [Google Scholar] [CrossRef]
- Vasenius, J.; Vainionpää, S.; Vihtonen, K.; Mero, M.; Mikkola, J.; Rokkanen, P.; Törmälä, P. Biodegradable self-reinforced polyglycolide (SR-PGA) composite rods coated with slowly biodegradable polymers for fracture fixation: Strength and strength retention in vitro and in vivo. Clin. Mater. 1989, 4, 307–317. [Google Scholar] [CrossRef]
- Waris, E.; Konttinen, Y.T.; Ashammakhi, N.; Suuronen, R.; Santavirta, S. Bioabsorbable fixation devices in trauma and bone surgery: Current clinical standing. Expert Rev. Med. Devices 2004, 1, 229–240. [Google Scholar] [CrossRef]
- Nair, L.S.; Laurencin, C.T. Biodegradable polymers as biomaterials. Prog. Polym. Sci. 2007, 32, 762–798. [Google Scholar] [CrossRef]
- Törmälä, P.; Vainionpää, S.; Kilpikari, J.; Rokkanen, P. The effects of fibre reinforcement and gold plating on the flexural and tensile strength of PGA/PLA copolymer materials in vitro. Biomaterials 1987, 8, 42–45. [Google Scholar] [CrossRef] [PubMed]
- Pihlajamäki, H.; Böstman, O.; Hirvensalo, E.; Törmälä, P.; Rokkanen, P. Absorbable pins of self-reinforced poly-L-lactic acid for fixation of fractures and osteotomies. J. Bone Jt. Surg. Br. 1992, 74, 853–857. [Google Scholar] [CrossRef]
- Yamamuro, T.; Matsusue, Y.; Uchida, A.; Shimada, K.; Shimozaki, E.; Kitaoka, K. Bioabsorbable osteosynthetic implants of ultra high strength poly-L-lactide. A clinical study. Int. Orthop. 1994, 18, 332–340. [Google Scholar] [CrossRef]
- Tsuji, H.; Ikada, Y.; Hyon, S.H.; Kimura, Y.; Kitao, T. Stereocomplex formation between enantiomeric poly(lactic acid). VIII. Complex fibers spun from mixed solution of poly(D-lactic acid) and poly(L-lactic acid). J. Appl. Polym. Sci. 1994, 51, 337–344. [Google Scholar] [CrossRef]
- Vert, M.; Mauduit, J.; Li, S. Biodegradation of PLA/GA polymers: Increasing complexity. Biomaterials 1994, 15, 1209–1213. [Google Scholar] [CrossRef]
- Uhthoff, H.K.; Poitras, P.; Backman, D.S. Internal plate fixation of fractures: Short history and recent developments. J. Orthop. Sci. 2006, 11, 118–126. [Google Scholar] [CrossRef] [PubMed]
- Shikinami, Y.; Okuno, M. Bioresorbable devices made of forged composites of hydroxyapatite (HA) particles and poly-L-lactide (PLLA): Part I. Basic characteristics. Biomaterials 1999, 20, 859–877. [Google Scholar] [CrossRef]
- Taylor, M.S.; Daniels, A.U.; Andriano, K.P.; Heller, J. Six bioabsorbable polymers: In vitro acute toxicity of accumulated degradation products. J. Appl. Biomater. 1994, 5, 151–157. [Google Scholar] [CrossRef]
- Agrawal, C.M.; Athanasiou, K.A. Technique to control pH in vicinity of biodegrading PLA-PGA implants. J. Biomed. Mater. Res. 1997, 38, 105–114. [Google Scholar] [CrossRef]
- Pina, S.; Ferreira, J.M. Bioresorbable plates and screws for clinical applications: A review. J. Healthc. Eng. 2012, 3, 243–260. [Google Scholar] [CrossRef]
- On, S.-W.; Cho, S.-W.; Byun, S.-H.; Yang, B.-E. Bioabsorbable Osteofixation Materials for Maxillofacial Bone Surgery: A Review on Polymers and Magnesium-Based Materials. Biomedicines 2020, 8, 300. [Google Scholar] [CrossRef] [PubMed]
- Bos, R.R.; Rozema, F.R.; Boering, G.; Nijenhuis, A.J.; Pennings, A.J.; Verwey, A.B.; Nieuwenhuis, P.; Jansen, H.W. Degradation of and tissue reaction to biodegradable poly(L-lactide) for use as internal fixation of fractures: A study in rats. Biomaterials 1991, 12, 32–36. [Google Scholar] [CrossRef] [PubMed]
- Lam, K.H.; Schakenraad, J.M.; Esselbrugge, H.; Feijen, J.; Nieuwenhuis, P. The effect of phagocytosis of poly(L-lactic acid) fragments on cellular morphology and viability. J. Biomed. Mater. Res. 1993, 27, 1569–1577. [Google Scholar] [CrossRef]
- Bergsma, J.E.; de Bruijn, W.C.; Rozema, F.R.; Bos, R.R.; Boering, G. Late degradation tissue response to poly(L-lactide) bone plates and screws. Biomaterials 1995, 16, 25–31. [Google Scholar] [CrossRef]
- Correia, C.R.; Gaifem, J.; Oliveira, M.B.; Silvestre, R.; Mano, J.F. Influence of surface modified poly(L-lactic acid) films on the differentiation of human monocytes into macrophages. Biomater. Sci. 2017, 5, 551–560. [Google Scholar] [CrossRef]
- Ignjatovic, N.; Savic, V.; Najman, S.; Plavsic, M.; Uskokovic, D. A study of HAp/PLLA composite as a substitute for bone powder, using FT-IR spectroscopy. Biomaterials 2001, 22, 571–575. [Google Scholar] [CrossRef] [PubMed]
- Shikinami, Y.; Matsusue, Y.; Nakamura, T. The complete process of bioresorption and bone replacement using devices made of forged composites of raw hydroxyapatite particles/poly l-lactide (F-u-HA/PLLA). Biomaterials 2005, 26, 5542–5551. [Google Scholar] [CrossRef]
- Hasegawa, S.; Ishii, S.; Tamura, J.; Furukawa, T.; Neo, M.; Matsusue, Y.; Shikinami, Y.; Okuno, M.; Nakamura, T. A 5–7 year in vivo study of high-strength hydroxyapatite/poly(L-lactide) composite rods for the internal fixation of bone fractures. Biomaterials 2006, 27, 1327–1332. [Google Scholar] [CrossRef] [PubMed]
- Suzuki, O.; Shiwaku, Y.; Hamai, R. Octacalcium phosphate bone substitute materials: Comparison between properties of biomaterials and other calcium phosphate materials. Dent. Mater. J. 2020, 39, 187–199. [Google Scholar] [CrossRef] [PubMed]
- Nakayama, M. Macrophage Recognition of Crystals and Nanoparticles. Front. Immunol. 2018, 9, 103. [Google Scholar] [CrossRef]
- Heymann, D.; Pradal, G.; Benahmed, M. Cellular mechanisms of calcium phosphate ceramic degradation. Histol. Histopathol. 1999, 14, 871–877. [Google Scholar]
- Sheikh, Z.; Abdallah, M.-N.; Hanafi, A.A.; Misbahuddin, S.; Rashid, H.; Glogauer, M. Mechanisms of In Vivo Degradation and Resorption of Calcium Phosphate Based Biomaterials. Materials 2015, 8, 7913–7925. [Google Scholar] [CrossRef]
- Kwong, C.H.; Burns, W.B.; Cheung, H.S. Solubilization of hydroxyapatite crystals by murine bone cells, macrophages and fibroblasts. Biomaterials 1989, 10, 579–584. [Google Scholar] [CrossRef]
- Dersot, J.M.; Colombier, M.L.; Lafont, J.; Baroukh, B.; Septier, D.; Saffar, J.L. Multinucleated giant cells elicited around hydroxyapatite particles implanted in craniotomy defects are not osteoclasts. Anat. Rec. 1995, 242, 166–176. [Google Scholar] [CrossRef]
- Evans, E.J. Toxicity of hydroxyapatite in vitro: The effect of particle size. Biomaterials 1991, 12, 574–576. [Google Scholar] [CrossRef]
- Rahbek, O.; Kold, S.; Bendix, K.; Overgaard, S.; Soballe, K. No effect of hydroxyapatite particles in phagocytosable sizes on implant fixation: An experimental study in dogs. J. Biomed. Mater. Res. A 2005, 73, 150–157. [Google Scholar] [CrossRef] [PubMed]
- Alliot-Licht, B.; Gregoire, M.; Orly, I.; Menanteau, J. Cellular activity of osteoblasts in the presence of hydroxyapatite: An in vitro experiment. Biomaterials 1991, 12, 752–756. [Google Scholar] [CrossRef] [PubMed]
- Piskinpasa, H.; Dogansen, S.C.; Metin, D.; Gumusoglu, A.Y.; Altinay, S.; Sipahi, M.; Dogan, B.; Apaydin, S. Is There a Relationship Between Tuberous Sclerosis Complex and Insulinoma? Acta Endocrinol. 2022, 18, 350–354. [Google Scholar]
- Shen, Z.; Zhang, X.; Li, Q.; Wang, R. Comparison of (18)F-FDG PET/CT and (18)F-DOTATATE PET/CT in the diagnosis of multiple metastases in rectal neuroendocrine neoplasms. Radiol. Case Rep. 2024, 19, 3757–3762. [Google Scholar] [CrossRef] [PubMed]
- Harada, Y.; Toji, M. Cancer Diaspora of undifferentiated Cancer. Case Rep. Cureus 2024, 16, 52798. [Google Scholar] [CrossRef]
- Cheng, Y.; Chen, Z.Y.; Huang, J.J.; Shao, D. Efficacy evaluation of neoadjuvant immunotherapy plus chemotherapy for non-small-cell lung cancer: Comparison of PET/CT with postoperative pathology. Eur. Radiol. 2023, 33, 6625–6635. [Google Scholar] [CrossRef]
- Kawachi, R.; Watanabe, S.I.; Suzuki, K.; Asamura, H. Clinical application of costal coaptation pins made of hydroxyapatite and poly-L-lactide composite for posterolateral thoracotomy. Eur. J. Cardio-Thorac. Surg. 2008, 34, 510–513. [Google Scholar] [CrossRef]
- Landes, C.; Ballon, A.; Ghanaati, S.; Tran, A.; Sader, R. Treatment of malar and midfacial fractures with osteoconductive forged unsintered hydroxyapatite and poly-L-lactide composite internal fixation devices. J. Oral Maxillofac. Surg. 2014, 72, 1328–1338. [Google Scholar] [CrossRef]
- Sakamoto, A.; Okamoto, T.; Matsuda, S. Unsintered hydroxyapatite and poly-L-lactide composite screws/plates for stabilizing β-tricalcium phosphate bone implants. Clin. Orthop. Surg. 2018, 10, 253–259. [Google Scholar] [CrossRef]
- Lee, S.J.; Park, E.S.; Nam, S.M.; Choi, C.Y.; Shin, H.S.; Kim, Y.B. Surgical Treatment of mandible fracture using unsintered hydroxyapatite/poly L-lactide composite fixation system. J. Craniofac. Surg. 2019, 30, 2573–2575. [Google Scholar] [CrossRef]
- Yamanaka, Y.; Watanabe, A.; Rajak, S.N.; Nakayama, T.; Sotozono, C. The trend of recovery period on postoperative eye movement in orbital blowout fractures. J. Cranio-Maxillofac. Surg. 2021, 49, 688–693. [Google Scholar] [CrossRef]
- Fernandez de Grado, G.; Keller, L.; Idoux-Gillet, Y.; Wagner, Q.; Musset, A.M.; Benkirane-Jessel, N.; Bornert, F.; Offner, D. Bone substitutes: A review of their characteristics, clinical use, and perspectives for large bone defects management. J. Tissue Eng. 2018, 9, 2041731418776819. [Google Scholar] [CrossRef]
- Bohner, M.; Santoni, B.L.G.; Döbelin, N. β-tricalcium phosphate for bone substitution: Synthesis and properties. Acta Biomater. 2020, 113, 23–41. [Google Scholar] [CrossRef] [PubMed]
- Chen, Y.J.; Pao, J.L.; Chen, C.S.; Chen, Y.C.; Chang, C.C.; Hung, F.M.; Chang, C.H. Evaluation of New Biphasic Calcium Phosphate Bone Substitute: Rabbit Femur Defect Model and Preliminary Clinical Results. J. Med. Biol. Eng. 2017, 37, 85–93. [Google Scholar] [CrossRef]
- Leong, P.L.; Morgan, E.F. Measurement of fracture callus material properties via nanoindentation. Acta Biomater. 2008, 4, 1569–1575. [Google Scholar] [CrossRef] [PubMed]
- El Hawary, H.; Baradaran, A.; Abi-Rafeh, J.; Vorstenbosch, J.; Xu, L.; Efanov, J.I. Bone Healing and Inflammation: Principles of Fracture and Repair. Semin. Plast. Surg. 2021, 35, 198–203. [Google Scholar] [CrossRef] [PubMed]
- Paruchuri, R.K.; Choudur, H.N.; Chodavarapu, L.M. Orthopedic hardware in trauma—A guided tour for the radiologist—Part 1. Indian J. Musculoskelet. 2023, 5, 3–17. [Google Scholar] [CrossRef]
- Fu, Z.; Ren, J.; Zhou, J.; Shen, J. Comparing the diagnostic value of 18F-FDG PET/CT scan and bone marrow biopsy in newly diagnosed pediatric neuroblastoma and ganglioneuroblastoma. J. Front. Oncol. 2022, 12, 1031078. [Google Scholar] [CrossRef]
- Chen, Y.; Zhou, M.; Liu, J.; Huang, G. Prognostic Value of Bone Marrow FDG Uptake Pattern of PET/CT in Newly Diagnosed Diffuse Large B-cell Lymphoma. J. Cancer 2018, 9, 1231–1238. [Google Scholar] [CrossRef]
- Giambini, H.; Dragomir-Daescu, D.; Huddleston, P.M.; Camp, J.J.; An, K.N.; Nassr, A. The Effect of Quantitative Computed Tomography Acquisition Protocols on Bone Mineral Density Estimation. J. Biomech. Eng. 2015, 137, 114502. [Google Scholar] [CrossRef]
- Lin, C.Y.; Chang, Y.H.; Sung, L.Y.; Chen, C.L.; Lin, S.Y.; Li, K.C.; Yen, T.C.; Lin, K.J.; Hu, Y.C. Long-term tracking of segmental bone healing mediated by genetically engineered adipose-derived stem cells: Focuses on bone remodeling and potential side effects. Tissue Eng. Part A 2014, 20, 1392–1402. [Google Scholar] [CrossRef] [PubMed]
- Kanno, Y.; Nakatsuka, T.; Saijo, H.; Fujihara, Y.; Hikita, A.; Chung, U.; Takato, T.; Hoshi, K. Computed tomographic evaluation of novel custom-made artificial bones, “CT-bone”, applied for maxillofacial reconstruction. Regen. Ther. 2016, 5, 1–8. [Google Scholar] [CrossRef]
- Nakase, T.; Sugimoto, M.; Sato, M.; Kaneko, M.; Tomita, T.; Sugamoto, K.; Nomura, S.; Kitamura, Y.; Yoshikawa, H.; Yasui, N.; et al. Switch of osteonectin and osteopontin mRNA expression in the process of cartilage-to-bone transition during fracture repair. Acta Histochem. 1998, 100, 287–295. [Google Scholar] [CrossRef]
- Caneva, M.; Salata, L.A.; de Souza, S.S.; Bressan, E.; Botticelli, D.; Lang, N.P. Hard tissue formation adjacent to implants of various size and configuration immediately placed into extraction sockets: An experimental study in dogs. Clin. Oral Implant. Res. 2010, 21, 885–890. [Google Scholar] [CrossRef]
- Liu, J.C.; Lengner, C.J.; Gaur, T.; Lou, Y.; Hussain, S.; Jones, M.D.; Borodic, B.; Colby, J.L.; Steinman, H.A.; van Wijnen, A.J.; et al. Runx2 protein expression utilizes the Runx2 P1 promoter to establish osteoprogenitor cell number for normal bone formation. J. Biol. Chem. 2011, 286, 30057–30070. [Google Scholar] [CrossRef]
- Hu, K.; Olsen, B.R. Osteoblast-derived VEGF regulates osteoblast differentiation and bone formation during bone repair. J. Clin. Investig. 2016, 126, 509–526. [Google Scholar] [CrossRef]
- Hara, E.S.; Okada, M.; Nagaoka, N.; Nakano, T.; Matsumoto, T. Re-Evaluation of Initial Bone Mineralization from an Engineering Perspective. Tissue Eng. Part B Rev. 2022, 28, 246–255. [Google Scholar] [CrossRef] [PubMed]
- Kim, B.J.; Kim, S.K.; Lee, J.H. Bone regeneration of demineralized dentin matrix with platelet-rich fibrin and recombinant human bone morphogenetic protein-2 on the bone defects in rabbit calvaria. Maxillofac. Plast. Reconstr. Surg. 2021, 43, 34. [Google Scholar] [CrossRef] [PubMed]
- Henmi, A.; Okata, H.; Anada, T.; Yoshinari, M.; Mikami, Y.; Suzuki, O.; Sasano, Y. Bone matrix calcification during embryonic and postembryonic rat calvarial development assessed by SEM-EDX spectroscopy, XRD, and FTIR spectroscopy. J. Bone Miner. Metab. 2016, 34, 41–50. [Google Scholar] [CrossRef]
- Yang, J.; Kang, Y.; Browne, C.; Jiang, T.; Yang, Y. Graded porous β-tricalcium phosphate scaffolds enhance bone regeneration in mandible augmentation. J. Craniofac. Surg. 2015, 26, 148–153. [Google Scholar] [CrossRef] [PubMed]
- Maeda, E.; Nakagaki, M.; Ichikawa, K.; Nagayama, K.; Matsumoto, T. Effects of cyclic compression on the mechanical properties and calcification process of immature chick bone tissue in culture. Bone Rep. 2017, 6, 120–128. [Google Scholar] [CrossRef]
- Na, W.; Kang, M.K.; Park, S.H.; Kim, D.Y.; Oh, S.Y.; Oh, M.S.; Park, S.; Kang, I.J.; Kang, Y.H. Aesculetin Accelerates Osteoblast Differentiation and Matrix-Vesicle-Mediated Mineralization. Int. J. Mol. Sci. 2021, 22, 12391. [Google Scholar] [CrossRef] [PubMed]
- Kim, J.A.; Lim, J.; Naren, R.; Yun, H.S.; Park, E.K. Effect of the biodegradation rate controlled by pore structures in magnesium phosphate ceramic scaffolds on bone tissue regeneration in vivo. Acta Biomater. 2016, 44, 155–167. [Google Scholar] [CrossRef] [PubMed]
- Cano-Sánchez, J.; Campo-Trapero, J.; Gonzalo-Lafuente, J.C.; Moreno-López, L.A.; Bascones-Martínez, A. Undecalcified bone samples: A description of the technique and its utility based on the literature. Med. Oral Patol. Oral Cir. Bucal. 2005, 10, E74–E87. [Google Scholar]
- Schönau, V.; Vogel, K.; Englbrecht, M.; Wacker, J.; Schmidt, D.; Manger, B.; Kuwert, T.; Schett, G. The value of 18F-FDG-PET/CT in identifying the cause of fever of unknown origin (FUO) and inflammation of unknown origin (IUO): Data from a prospective study. Ann. Rheum. Dis. 2018, 77, 70–77. [Google Scholar] [CrossRef]
- Mulders-Manders, C.M.; Kouijzer, I.J.; Janssen, M.J.; Oyen, W.J.; Simon, A.; Bleeker-Rovers, C.P. Optimal use of [18F]FDG-PET/CT in patients with fever or inflammation of unknown origin. Q. J. Nucl. Med. Mol. Imaging 2021, 65, 51–58. [Google Scholar] [CrossRef]
- Ropers, F.G.; van Mossevelde, R.M.P.; Bleeker-Rovers, C.P.; van Velden, F.H.P.; van Assema, D.M.E.; Adam, J.A.; Lam, M.G.E.H.; Tolboom, N.; Dekkers, O.M.; de Geus-Oei, L.-F.; et al. Evaluation of FDG-PET/CT Use in Children with Suspected Infection or Inflammation. Diagnostics 2020, 10, 715. [Google Scholar] [CrossRef]
- Van De Wiele, C.; Sathekge, M.; Maes, A. Targeting monocytes and macrophages by means of SPECT and PET. Q. J. Nucl. Med. Mol. Imaging 2014, 58, 269–275. [Google Scholar]
- McBride, O.M.B.; Joshi, N.V.; Robson, J.M.J.; MacGillivray, T.J.; Gray, C.D.; Fletcher, A.M.; Dweck, M.R.; van Beek, E.J.R.; Rudd, J.H.F.; Newby, D.E.; et al. Positron Emission Tomography and Magnetic Resonance Imaging of Cellular Inflammation in Patients with Abdominal Aortic Aneurysms. Eur. J. Vasc. Endovasc. Surg. 2016, 51, 518–526. [Google Scholar] [CrossRef]
- Wang, D.-Q.; Zhang, X.; Liu, H.; Qiu, B.; Liu, S.-R.; Zheng, C.; Fu, J.; Mo, Y.-W.; Chen, N.-B.; Zhou, R.; et al. Assessing dynamic metabolic heterogeneity in non-small cell lung cancer patients via ultra-high sensitivity total-body [18F]FDG PET/CT imaging: Quantitative analysis of [18F]FDG uptake in primary tumors and metastatic lymph nodes. Eur. J. Nucl. Med. Mol. Imaging 2022, 49, 4692–4704. [Google Scholar] [CrossRef]
- Wang, D.-Q.; Zhang, X.; Liu, H.; Qiu, B.; Liu, S.-R.; Zheng, C.; Fu, J.; Mo, Y.-W.; Chen, N.-B.; Zhou, R.; et al. Tumor-associated macrophages promote PD-L1 expression in tumor cells by regulating PKM2 nuclear translocation in pancreatic ductal adenocarcinoma. Oncogene 2022, 41, 865–877. [Google Scholar]
- Pianou, N.K.; Stavrou, P.Z.; Vlontzou, E.; Rondogianni, P.; Exarhos, D.N.; Datseris, I.E. More advantages in detecting bone and soft tissue metastases from prostate cancer using 18F-PSMA PET/CT. Hell. J. Nucl. Med. 2019, 22, 6–9. [Google Scholar]
- Kubota, K.; Yamashita, H.; Mimori, A. Clinical Value of FDG-PET/CT for the Evaluation of Rheumatic Diseases: Rheumatoid Arthritis, Polymyalgia Rheumatica, and Relapsing Polychondritis. Semin. Nucl. Med. 2017, 47, 408–424. [Google Scholar] [CrossRef]
- Jeong, H.; Kim, S.; Hong, B.-J.; Lee, C.-J.; Kim, Y.E.; Bok, S.; Oh, J.-M.; Gwak, S.-H.; Yoo, M.Y.; Lee, M.S.; et al. Tumor-Associated Macrophages Enhance Tumor Hypoxia and Aerobic Glycolysis. Cancer Res. 2019, 79, 795–806. [Google Scholar] [CrossRef] [PubMed]
- Baek, H.; Ye, M.; Kang, G.-H.; Lee, C.; Lee, G.; Choi, D.B.; Jung, J.; Kim, H.; Lee, S.; Kim, J.S.; et al. Neuroprotective effects of CD4+CD25+Foxp3+ regulatory T cells in a 3xTg-AD Alzheimer’s disease model. Oncotarget 2016, 7, 69347–69357. [Google Scholar] [CrossRef]
- Tondo, G.; Boccalini, C.; Caminiti, S.P.; Luca, C.; Presotto, L.; Filippi, M.; Magnani, G.; Giovanni, G.; Frisoni, B.; Iannaccone, S.; et al. Brain Metabolism and Microglia Activation in Mild Cognitive Impairment: A Combined [18F]FDG and [11C]-(R)-PK11195 PET Study. J. Alzheimers Dis. 2021, 80, 433–445. [Google Scholar] [CrossRef] [PubMed]
- Kleinberge, G.; Brendel, M.; Mracsko, E.; Wefers, B.; Groeneweg, L.; Xiang, X.; Focke, C.; Deußing, M.; Suárez-Calvet, M.; Mazaheri, F.; et al. The FTD-like syndrome causing TREM2 T66M mutation impairs microglia function, brain perfusion, and glucose metabolism. EMBO J. 2017, 36, 1837–1853. [Google Scholar] [CrossRef]
- Poels, K.; van Leent, M.M.T.; Boutros, C.; Tissot, H.; Roy, S.; Meerwaldt, A.E.; Toner, Y.C.A.; Reiche, M.E.; Kusters, P.J.H.; Malinova, T.; et al. Immune Checkpoint Inhibitor Therapy Aggravates T Cell-Driven Plaque Inflammation in Atherosclerosis. JACC CardioOncol. 2020, 2, 599–610. [Google Scholar] [CrossRef]
- Rogers, I.S.; Tawako, A. Imaging of coronary inflammation with FDG-PET: Feasibility and clinical hurdles. Curr. Cardiol. Rep. 2011, 13, 138–144. [Google Scholar] [CrossRef]
- Drubach, L.A.; Johnston, P.R.; Newton, A.W.; Perez-Rossello, J.M.; Grant, F.D.; Kleinman, P.K. Skeletal trauma in child abuse: Detection with 18F-NaF PET. Radiology 2010, 255, 173–181. [Google Scholar] [CrossRef] [PubMed]
- Fleming, H.S.; Greenfield, V.S. Changes in the teeth and jaws of neonatal Webster mice after administration of NaF and CaF2 to the female parent during gestation. J. Dent. Res. 1954, 33, 780–788. [Google Scholar] [CrossRef] [PubMed]
- Forbes, G.B.; Taves, D.R.; Smith, F.A.; Kilpper, R.W. Bone mineral turnover in a patient with osteogenesis imperfecta estimated by fluoride excretion. Calcif. Tissue Res. 1978, 25, 283–287. [Google Scholar] [CrossRef] [PubMed]
- Zoch, M.L.; Abou, D.S.; Clemens, T.L.; Thorek, D.L.J.; Riddle, R.C. In vivo radiometric analysis of glucose uptake and distribution in mouse bone. Bone Res. 2016, 4, 16004. [Google Scholar] [CrossRef]
- Zhou, J.; Gou, Z.; Wu, R.; Yuan, Y.; Yu, G.; Zhao, Y. Comparison of PSMA-PET/CT, choline-PET/CT, NaF-PET/CT, MRI, and bone scintigraphy in the diagnosis of bone metastases in patients with prostate cancer: A systematic review and meta-analysis. Skelet. Radiol. 2019, 48, 1915–1924. [Google Scholar] [CrossRef]
- Ahmed, N.; Sadeq, A.; Marafi, F.; Gnanasegaran, G.; Usmani, S. Therapy-induced bone changes in oncology imaging with 18F-sodium fluoride (NaF) PET-CT. Ann. Nucl. Med. 2022, 36, 329–339. [Google Scholar] [CrossRef]
- Rohren, E.M.; Macapinlac, H.A. Spectrum of Benign Bone Conditions on NaF-PET. Semin. Nucl. Med. 2017, 47, 392–396. [Google Scholar] [CrossRef]
- Beheshti, M.; Rezaee, A.; Geinitz, H.; Loidl, W.; Pirich, C.; Langsteger, W. Evaluation of Prostate Cancer Bone Metastases with 18F-NaF and 18F-Fluorocholine PET/CT. J. Nucl. Med. 2016, 57, 55S–60S. [Google Scholar] [CrossRef]
- Usmani, S.; Ahmed, N.; Muzaffar, S.; Marafi, F.; Esmail, A.; Gnanasegaran, G.; Van den Wyngaert, T. Spectrum of false positive 18F-sodium fluoride (NaF) bone PET/CT findings in Oncology imaging; A narrative pictorial review of cases from a single institution. Hell. J. Nucl. Med. 2020, 23, 67–75. [Google Scholar]
- Papadakis, G.Z.; Manikis, G.C.; Karantanas, A.H.; Florenzano, P.; Bagci, U.; Marias, K.; Collins, M.T.; Boyce, A.M. 18F-NaF PET/CT Imaging in fibrous dysplasia of bone. J. Bone Miner. Res. 2019, 34, 1619–1631. [Google Scholar] [CrossRef]
- Zhang-Yin, J.; Panagiotidis, E. Role of 18F-NaF PET/CT in bone metastases. Q. J. Nucl. Med. Mol. Imaging 2023, 67, 249–258. [Google Scholar] [CrossRef]
- Tram, N.K.; Chou, T.-H.; Patel, S.; Ettefagh, L.N.; Go, M.R.; Atway, S.A.; Stacy, M.R. Novel Application of 18F-NaF PET/CT Imaging for Evaluation of Active Bone Remodeling in Diabetic Patients with Charcot Neuropathy: A Proof-of-Concept Report. Front. Med. 2022, 9, 795925. [Google Scholar] [CrossRef]
- Kazimierczak, P.; Benko, A.; Nocun, M.; Przekora, A. Novel chitosan agarose hydroxyapatite nanocomposite scaffold for bone tissue engineering applications: Comprehensive evaluation of biocompatibility and osteoinductivity with the use of osteoblasts and mesenchymal stem cells. Int. J. Nanomed. 2019, 14, 6615–6630. [Google Scholar] [CrossRef]
- Zou, F.; Jiang, J.; Lv, F.; Xia, X.; Ma, X. Preparation of antibacterial and osteoconductive 3D-printed PLGA/Cu(I)@ZIF-8 nanocomposite scaffolds for infected bone repair. J. Nanobiotechnol. 2020, 18, 39. [Google Scholar] [CrossRef] [PubMed]
- Kamalaldin, N.; Jaafar, M.; Zubairi, S.I.; Yahaya, B.H. Physico-Mechanical Properties of HA/TCP Pellets and Their Three-Dimensional Biological Evaluation In Vitro. Adv. Exp. Med. Biol. 2019, 1084, 1–15. [Google Scholar]
- Lima, J.R.; Soares, P.B.F.; Pinotti, F.E.; Marcantonio, R.A.C.; Marcantonio-Junior, E.; de Oliveira, G.J.P.L. Comparison of the osseointegration of implants placed in areas grafted with HA/TCP and native bone. Microsc. Res. Tech. 2022, 85, 2776–2783. [Google Scholar] [CrossRef] [PubMed]
- Wongwitwichot, P.; Kaewsrichan, J.; Chua, K.H.; Ruszymah, B.H. Comparison of TCP and TCP/HA Hybrid Scaffolds for Osteoconductive Activity. Open Biomed. Eng. J. 2010, 4, 279–285. [Google Scholar] [CrossRef]
- Nik Md Noordin Kahar, N.N.F.; Ahmad, N.; Jaafar, M.; Yahaya, B.H.; Sulaiman, A.R.; Hamid, Z.A.A. A review of bioceramics scaffolds for bone defects in different types of animal models: HA and β-TCP. Biomed. Phys. Eng. Express 2022, 8, 052002. [Google Scholar] [CrossRef] [PubMed]
- Helaehil, J.V.; Helaehil, L.V.; Alves, L.F.; Huang, B.; Santamaria, M., Jr.; Bartolo, P.; Caetano, G.F. Electrical Stimulation Therapy and HA/TCP Composite Scaffolds Modulate the Wnt Pathways in Bone Regeneration of Critical-Sized Defects. Bioengineering 2023, 10, 75. [Google Scholar] [CrossRef]
- Helaehil, J.V.; Lourenço, C.B.; Huang, B.; Helaehil, L.V.; de Camargo, I.X.; Chiarotto, G.B.; Santamaria, M., Jr.; Bártolo, P.; Caetano, G.F. In Vivo Investigation of Polymer-Ceramic PCL/HA and PCL/β-TCP 3D Composite Scaffolds and Electrical Stimulation for Bone Regeneration. Polymers 2021, 14, 65. [Google Scholar] [CrossRef] [PubMed]
- Jelusic, D.; Zirk, M.L.; Fienitz, T.; Plancak, D.; Puhar, I.; Rothamel, D. Monophasic ß-TCP vs. biphasic HA/ ß-TCP in two-stage sinus floor augmentation procedures—A prospective randomized clinical trial. Clin. Oral Implant. Res. 2017, 28, e175–e183. [Google Scholar] [CrossRef]
- Ju, Y.; Hu, Y.; Yang, P.; Xie, X.; Fang, B. Extracellular vesicle-loaded hydrogels for tissue repair and regeneration. Mater. Today Bio 2022, 18, 100522–100549. [Google Scholar] [CrossRef] [PubMed]
- Su, X.; Wang, T.; Guo, S. Applications of 3D printed bone tissue engineering scaffolds in the stem cell field. Regen. Ther. 2021, 16, 63–72. [Google Scholar] [CrossRef]
- Shikinami, Y.; Okazaki, K.; Saito, M.; Okuno, M.; Hasegawa, S.; Tamura, J.; Fujibayashi, S.; Nakamura, T. Bioactive and bioresorbable cellular cubic-composite scaffolds for use in bone reconstruction. J. R. Soc. Interface 2006, 3, 805–821. [Google Scholar] [CrossRef]
- Okada, Y.; Yamanaka, Y.; Menuki, K.; Zenke, Y.; Tsukamoto, M.; Tajima, T.; Sakai, A. Performance of two bone substitutes of novel cotton-like β-TCP/PDLGA and granular β-TCP on bone regeneration in the femoral bone defect of the Beagle dogs. Bone Rep. 2020, 13, 100718. [Google Scholar] [CrossRef]
- Kayser, S.; Bewernick, B.H.; Matusch, A.; Hurlemann, R.; Soehle, M.; Schlaepfer, T.E. Magnetic seizure therapy in treatment-resistant depression: Clinical, neuropsychological and metabolic effects. Psychol. Med. 2015, 45, 1073–1092. [Google Scholar] [CrossRef]
- Giesel, F.L.; Adeberg, S.; Syed, M.; Lindner, T.; Jiménez-Franco, L.D.; Mavriopoulou, E.; Staudinger, F.; Tonndorf-Martini, E.; Regnery, S.; Rieken, S.; et al. FAPI-74 PET/CT Using Either 18F-AlF or Cold-Kit 68Ga Labeling: Biodistribution, Radiation Dosimetry, and Tumor Delineation in Lung Cancer Patients. J. Nucl. Med. 2021, 62, 201–207. [Google Scholar] [CrossRef]
- Dietlein, F.; Kobe, C.; Neubauer, S.; Schmidt, M.; Stockter, S.; Fischer, T.; Schomäcker, K.; Heidenreich, A.; Zlatopolskiy, B.D.; Neumaier, B.; et al. PSA-Stratified Performance of 18F- and 68Ga-PSMA PET in Patients with Biochemical Recurrence of Prostate Cancer. J. Nucl. Med. 2017, 58, 947–952. [Google Scholar] [CrossRef]
- Petitcollin, A.; Azzopardi, N.; Pierga, J.Y.; Ternant, D.; Navarro-Teulon, I.; Desvignes, C.; Mouret-Reynier, M.A.; Coudert, B.; Paintaud, G. Population pharmacokinetics and exposure-response relationship of trastuzumab and bevacizumab in early-stage breast cancer. Eur. J. Clin. Pharmacol. 2021, 77, 1861–1873. [Google Scholar] [CrossRef] [PubMed]
- Ishiwata, K.; Hayashi, K.; Sakai, M.; Kawauchi, S.; Hasegawa, H.; Toyohara, J. Determination of radionuclides and radiochemical impurities produced by in-house cyclotron irradiation and subsequent radiosynthesis of PET tracers. Ann. Nucl. Med. 2017, 31, 84–92. [Google Scholar] [CrossRef]
- Taggart, M.P.; Tarn, M.D.; Esfahani, M.M.; Schofield, D.M.; Brown, N.J.; Archibald, S.J.; Deakin, T.; Pamme, N.; Thompson, L.F. Development of radiodetection systems towards miniaturised quality control of PET and SPECT radiopharmaceuticals. Lab Chip 2016, 16, 1605–1616. [Google Scholar] [CrossRef]
- da Costa, O.L. Testing which is the fitter position sensor for a cyclotron liquid target. Appl. Radiat. Isot. 2014, 83, 37–40. [Google Scholar] [CrossRef]
- Langsteger, W.; Rezaee, A.; Pirich, C.; Beheshti, M. 18F-NaF-PET/CT and 99mTc-MDP Bone Scintigraphy in the Detection of Bone Metastases in Prostate Cancer. Semin. Nucl. Med. 2016, 46, 491–501. [Google Scholar] [CrossRef]
- Ohtani, H.; Shingu, T.; Chayama, K.; Hayashi, K. Different role of macrophages and vascular smooth muscle cells in atherosclerotic lesions of Watanabe heritable hyperlipidemic (WHHL) rabbit between aorta and coronary artery. J. Med. Sci. 2008, 57, 53–60. [Google Scholar]
- van der Heijden, F.H.; Borst, C.; van Reedt Dortland, R.W.; Steijling, J.J.; Eikelboom, B.C. The cleavage plane in semi-closed endarterectomy of the superficial femoral artery: A histologic study. J. Vasc. Surg. 1994, 20, 607–612. [Google Scholar] [CrossRef] [PubMed]
- Kondo, M.; Imanishi, M.; Fukushima, K.; Ikuto, R.; Murai, Y.; Horinouchi, Y.; Izawa-Ishizawa, Y.; Goda, M.; Zamami, Y.; Takechi, K.; et al. Xanthine Oxidase Inhibition by Febuxostat in Macrophages Suppresses Angiotensin II-Induced Aortic Fibrosis. Am. J. Hypertens. 2019, 32, 249–256. [Google Scholar] [CrossRef]
- Mierke, J.; Christoph, M.; Augstein, A.; Pfluecke, C.; Jellinghaus, S.; Woitek, F.; Strasser, R.H.; Poitz, D.M.; Ibrahim, K. Influence of caveolin-1 and endothelial nitric oxide synthase on adventitial inflammation in aortic transplants. Kardiol. Pol. 2020, 78, 124–130. [Google Scholar] [CrossRef] [PubMed]
- Visonà, S.D.; de Boer, O.J.; Mackaaij, C.; de Boer, H.H.; Pertiwi, K.R.; de Winter, R.W.; Osculati, A.; van der Wal, A.C. Immunophenotypic analysis of the chronological events of tissue repair in aortic medial dissections. Cardiovasc. Pathol. 2018, 34, 9–14. [Google Scholar] [CrossRef]
- Rein, S.; Kremer, T.; Houschyar, K.S.; Siemers, F.; Philipps, H. Structural topography of the interosseous membrane of the human forearm. Ann. Anat. 2020, 231, 151547. [Google Scholar] [CrossRef] [PubMed]
- Tabuchi, K.; Soejima, T.; Kanazawa, T.; Noguchi, K.; Nagata, K. Chronological changes in the collagen-type composition at tendon-bone interface in rabbits. Bone Jt. Res. 2012, 1, 218–224. [Google Scholar] [CrossRef]
- Abdel-Hamid, M.; Hussein, M.R.; Ahmad, A.F.; Elgezawi, E.M. Enhancement of the repair of meniscal wounds in the red-white zone (middle third) by the injection of bone marrow cells in canine animal model. Int. J. Exp. Pathol. 2005, 86, 117–123. [Google Scholar] [CrossRef] [PubMed]
- Dadaci, Z.; Kılınç, F.; Ozer, T.T.; Sahin, G.O.; Acir, N.O.; Borazan, M. Periodic acid-Schiff staining demonstrates fungi in chronic anterior blepharitis. Eye 2015, 29, 1522–1527. [Google Scholar] [CrossRef]
- Shalin, S.C.; Ferringer, T.; Cassarino, D.S. PAS and GMS utility in dermatopathology: Review of the current medical literature. J. Cutan. Pathol. 2020, 47, 1096–1102. [Google Scholar] [CrossRef]
- Wu, G.; Zhu, S.; Sun, X.; Hu, J. Subchondral bone changes and chondrogenic capacity of progenitor cells from subchondral bone in the collagenase-induced temporomandibular joints osteoarthritis rabbit model. Int. J. Clin. Exp. Pathol. 2015, 8, 9782–9789. [Google Scholar]
- Castellar, A.; Remedio, R.N.; Barbosa, R.A.; Gomes, R.J.; Caetano, F.H. Collagen and reticular fibers in left ventricular muscle in diabetic rats: Physical exercise prevents its changes? Tissue Cell 2011, 43, 24–28. [Google Scholar] [CrossRef] [PubMed][Green Version]
- Farris, A.B.; Adams, C.D.; Brousaides, N.; Della Pelle, P.A.; Collins, A.B.; Moradi, E.; Smith, R.N.; Grimm, P.C.; Colvin, R.B. Morphometric and visual evaluation of fibrosis in renal biopsies. J. Am. Soc. Nephrol. 2011, 22, 176–186. [Google Scholar] [CrossRef] [PubMed]
- Laforêt, P.; Doppler, V.; Caillaud, C.; Laloui, K.; Claeys, K.G.; Richard, P.; Ferreiro, A.; Eymard, B. Rigid spine syndrome revealing late-onset Pompe disease. Neuromuscul. Disord. 2010, 20, 128–130. [Google Scholar] [CrossRef]
- Nolte, A.; Junginger, J.; Baum, B.; Hewicker-Trautwein, M. Heterogeneity of macrophages in canine histiocytic ulcerative colitis. Innate Immun. 2017, 23, 228–239. [Google Scholar] [CrossRef]
- Pereira, A.S.B.F.; Brito, G.A.C.; Lima, M.L.S.; Silva Júnior, A.A.D.; Silva, E.D.S.; de Rezende, A.A.; Bortolin, R.H.; Galvan, M.; Pirih, F.Q.; Araújo Júnior, R.F.; et al. Metformin Hydrochloride-Loaded PLGA Nanoparticle in Periodontal Disease Experimental Model Using Diabetic Rats. Int. J. Mol. Sci. 2018, 19, 3488. [Google Scholar] [CrossRef]
- Berglund, J.A.; Tella, S.H.; Tuthill, K.F.; Kim, L.; Guthrie, L.C.; Paul, S.M.; Stanton, R.; Collins, M.T.; Boyce, A.M. Scoliosis in Fibrous Dysplasia/McCune-Albright Syndrome: Factors Associated with Curve Progression and Effects of Bisphosphonates. J. Bone Miner. Res. 2018, 33, 1641–1648. [Google Scholar] [CrossRef]
- Justo, M.P.; Cardoso, C.B.M.; Cantiga-Silva, C.; de Oliveira, P.H.C.; Sivieri-Araújo, G.; Azuma, M.M.; Ervolino, E.; Cintra, L.T.A. Curcumin reduces inflammation in rat apical periodontitis. Int. Endod. J. 2022, 55, 1241–1251. [Google Scholar] [CrossRef]
- Grossi-Oliveira, G.; Faverani, L.P.; Mendes, B.C.; Braga Polo, T.O.; Batista Mendes, G.C.; de Lima, V.N.; Ribeiro Júnior, P.D.; Okamoto, R.; Magro-Filho, O. Comparative Evaluation of Bone Repair with Four Different Bone Substitutes in Critical Size Defects. Int. J. Biomater. 2020, 2020, 5182845. [Google Scholar] [CrossRef] [PubMed]
- Rein, S.; Hanisch, U.; Schaller, H.E.; Zwipp, H.; Rammelt, S.; Weindel, S. Evaluation of bone remodeling in regard to the age of scaphoid non-unions. World J. Orthop. 2016, 7, 418–425. [Google Scholar] [CrossRef]
- Dos Santos, P.L.; de Molon, R.S.; Queiroz, T.; Okamoto, R.; de Souza Faloni, A.P.; Gulinelli, J.L.; Luvizuto, E.R.; Garcia, I.R., Jr. Evaluation of bone substitutes for treatment of peri-implant bone defects: Biomechanical, histological, and immunohistochemical analyses in the rabbit tibia. J. Periodontal Implant. Sci. 2016, 46, 176–196. [Google Scholar] [CrossRef]
- Wang, S.; Zhao, J.; Zhang, W.; Ye, D.; Zhang, X.; Zou, D.; Zhang, X.; Sun, X.; Sun, S.; Zhang, W.; et al. Comprehensive Evaluation of Cryopreserved Bone-Derived Osteoblasts for the Repair of Segmental Mandibular Defects in Canines. Clin. Implant. Dent. Relat. Res. 2015, 17, 798–810. [Google Scholar] [CrossRef] [PubMed]
- Kagawa, R.; Kishino, M.; Sato, S.; Ishida, K.; Ogawa, Y.; Ikebe, K.; Oya, K.; Ishimoto, T.; Nakano, T.; Maeda, Y.; et al. Chronological histological changes during bone regeneration on a non-crosslinked atelocollagen matrix. J. Bone Miner. Metab. 2012, 30, 638–650. [Google Scholar] [CrossRef] [PubMed]
























| Density (g/cm3) | Calcium Phosphate Weight Ratio (%) | Site | Size (mm) | |
|---|---|---|---|---|
| uHA(40) | 1.70 | 36.2 | metaphysis diaphysis | ϕ4 × 7 ϕ3 × 5 |
| β-TCP(40) | 1.71 | 38.5 | metaphysis diaphysis | ϕ4 × 7 ϕ3 × 5 |
| uHA(10) | 1.46 | 9.0 | diaphysis | ϕ3 × 5 |
| uHA(10)/PLGA | diaphysis (Rabbit No.6) | ϕ3 × 5 |
| Rabbit No. | Metaphysis | Diaphysis | Breeding Period | Implantation | ||||
|---|---|---|---|---|---|---|---|---|
| Left | Right | Left (Distal) | Left (Proximal) | Right (Distal) | Right (Proximal) | |||
| 1 | uHA(40) ϕ4 × 7 mm | β-TCP(40) ϕ4 × 7 mm | uHA(40) ϕ3 × 5 mm | defect ϕ3 × 5 mm | β-TCP(40) ϕ3 × 5 mm | – | 1 w | 1st |
| 2 | 48 w | 1st | ||||||
| 3 | 48 w | 1st | ||||||
| 4 | 4 w | 2nd | ||||||
| 5 | No treatment (reserve animal, not used) | |||||||
| 6 | uHA(10)/PLGA ϕ4 × 7 mm | uHA(10) ϕ4 × 7 mm | uHA(10)/PLGA ϕ3 × 5 mm | defect ϕ3 × 5 mm | uHA(10) ϕ3 × 5 mm | PDLGA ϕ3 × 5 mm | 48 w | 2nd |
| 7 | uHA(40) ϕ4 × 7 mm | β-TCP(40) ϕ4 × 7 mm | uHA(40) ϕ3 × 5 mm | defect ϕ3 × 5 mm | β-TCP(40) ϕ3 × 5 mm | – | 6 w | 3rd |
| 8 | 9 w | 3rd | ||||||
| Ketamine Hydrochloride | Ketalar for Intravenous Injection (Ketamine: 50 mg/mL) |
|---|---|
| Xylazine | Selactar 2% injection (Xylazine: 20 mg/mL) |
| administration | 0.5 mL/kg |
| gaseous anesthetic | Isoflurane inhalant anesthetics Isoflurane: 0.5% → 1.25% O2 (0.5 mL/min)/air (0.5 L/min) |
Disclaimer/Publisher’s Note: The statements, opinions and data contained in all publications are solely those of the individual author(s) and contributor(s) and not of MDPI and/or the editor(s). MDPI and/or the editor(s) disclaim responsibility for any injury to people or property resulting from any ideas, methods, instructions or products referred to in the content. |
© 2026 by the authors. Licensee MDPI, Basel, Switzerland. This article is an open access article distributed under the terms and conditions of the Creative Commons Attribution (CC BY) license.
Share and Cite
Takeishi, S.; Yasukawa, K.; Hiroshima, M.; Suzuki, C.; Magata, Y. Time-Course Evaluation of the In Vivo Resorption Process of Calcium Phosphates/Poly(lactide-co-glycolide) Composites Using Radiological Imaging and Histology. Int. J. Mol. Sci. 2026, 27, 2549. https://doi.org/10.3390/ijms27062549
Takeishi S, Yasukawa K, Hiroshima M, Suzuki C, Magata Y. Time-Course Evaluation of the In Vivo Resorption Process of Calcium Phosphates/Poly(lactide-co-glycolide) Composites Using Radiological Imaging and Histology. International Journal of Molecular Sciences. 2026; 27(6):2549. https://doi.org/10.3390/ijms27062549
Chicago/Turabian StyleTakeishi, Shunsaku, Kazuhiro Yasukawa, Maki Hiroshima, Chie Suzuki, and Yasuhiro Magata. 2026. "Time-Course Evaluation of the In Vivo Resorption Process of Calcium Phosphates/Poly(lactide-co-glycolide) Composites Using Radiological Imaging and Histology" International Journal of Molecular Sciences 27, no. 6: 2549. https://doi.org/10.3390/ijms27062549
APA StyleTakeishi, S., Yasukawa, K., Hiroshima, M., Suzuki, C., & Magata, Y. (2026). Time-Course Evaluation of the In Vivo Resorption Process of Calcium Phosphates/Poly(lactide-co-glycolide) Composites Using Radiological Imaging and Histology. International Journal of Molecular Sciences, 27(6), 2549. https://doi.org/10.3390/ijms27062549

