Arachidonic Acid Metabolic Rewiring Drives Differential Plant Protein Adaptation in Golden Pompano (Trachinotus ovatus)
Abstract
1. Introduction
2. Results
2.1. Growth Performance and Nutrient Utilization
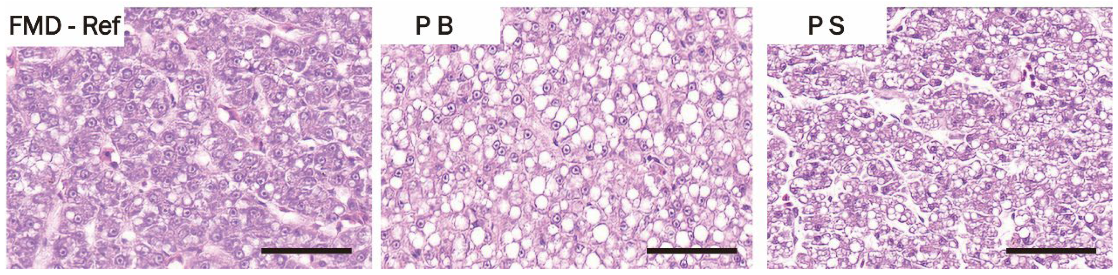
2.2. Serum Biochemical Indices and Histological Observation of Liver
2.3. RNA-Seq Differential Expression Analysis
2.4. GO and KEGG Enrichment Analysis of DEGs
2.5. Metabolomic Profiling and Differential Analysis
2.6. KEGG Enrichment Analysis of Differential Metabolites
2.7. Combined Analysis of Transcriptomic and Metabolomic Data
3. Discussion
3.1. Growth Performance and Physiological Responses to a Plant Protein Diet
3.2. Diet-Induced Modulation of Immune Responses and Metabolism in the Liver
3.3. Impact of Plant-Based Diet on Liver Lipid and Cholesterol Metabolism
3.4. Tight Junction Disruption and Hepatic Vacuolation in Fish Fed a Plant-Protein-Based Diet
3.5. Integrated Remodeling of Arachidonic Acid Metabolism Under Soy Protein Replacement
4. Materials and Methods
4.1. Feed Preparation
4.2. Experimental Fish and Husbandry
4.3. Sample Collection
4.4. Growth Performance Evaluation
4.5. Biochemical Analysis and Histological Observation
4.6. Transcriptome Analysis
4.7. Metabolome Analysis
4.8. Integrated Omics
4.9. Statistical Analysis
5. Conclusions
Supplementary Materials
Author Contributions
Funding
Institutional Review Board Statement
Informed Consent Statement
Data Availability Statement
Conflicts of Interest
References
- FAO. The State of World Fisheries and Aquaculture 2022: Towards Blue Transformation; Food and Agriculture Organization of the United Nations (FAO): Rome, Italy, 2022. [Google Scholar] [CrossRef]
- FAO. The State of World Fisheries and Aquaculture; Food and Agriculture Organization of the United Nations: Rome, Italy, 2014; p. 223. [Google Scholar]
- Zhang, C.X. China Fishery Statistical Yearbook. In Aquaculture; China Agriculture Press: Beijing, China, 2023; p. 22. [Google Scholar]
- Hardy, R.W. Utilization of plant proteins in fish diets: Effects of global demand and supplies of fishmeal. Aquac. Res. 2010, 41, 770–776. [Google Scholar] [CrossRef]
- Choi, D.G.; He, M.; Fang, H.; Wang, X.L.; Li, X.Q.; Leng, X.J. Replacement of fish meal with two fermented soybean meals in diets for rainbow trout (Oncorhynchus mykiss). Aquac. Nutr. 2020, 26, 37–46. [Google Scholar] [CrossRef]
- Shen, N.; Song, Z.; Xia, C.; Mu, H.; Chen, X.; Cheng, H.; Xu, J.; Sun, Y.; Wei, C.; Zhang, L. Comparative evaluation of soybean meal vs. extruded soybean meal as a replacer for fishmeal in diets of olive flounder (Paralichthys olivaceus): Effects on growth performance and muscle quality. Aquaculture 2024, 578, 740136. [Google Scholar] [CrossRef]
- Lim, S.-J.; Kim, S.-S.; Ko, G.-Y.; Song, J.-W.; Oh, D.-H.; Kim, J.-D.; Kim, J.-U.; Lee, K.-J. Fish meal replacement by soybean meal in diets for tiger puffer, Takifugu rubripes. Aquaculture 2011, 313, 165–170. [Google Scholar] [CrossRef]
- Biswas, A.; Araki, H.; Sakata, T.; Nakamori, T.; Kato, K.; Takii, K. Fish meal replacement by soy protein from soymilk in the diets of red sea bream (Pagrus major). Aquac. Nutr. 2017, 23, 1379–1389. [Google Scholar] [CrossRef]
- Behr, A.A.; Liu, K.Z.; Liu-Fang, G.; Nakka, P.; Ramachandran, S. pong: Fast analysis and visualization of latent clusters in population genetic data. Bioinformatics 2016, 32, 2817–2823. [Google Scholar] [CrossRef]
- Ren, X.; Zhu, M.; Wu, Y.B.; Jiang, D.L.; Li, P.; Qin, J.G.; Wang, Y. The optimal dietary lipid level for golden pompano Trachinotus ovatus fed the diets with fish meal replaced by soy protein concentrate. Aquac. Res. 2021, 52, 3350–3359. [Google Scholar] [CrossRef]
- Fu, S.; Qian, K.; Liu, H.; Song, F.; Ye, J. Effects of fish meal replacement with low-gossypol cottonseed meal on the intestinal barrier of juvenile golden pompano (Trachinotus ovatus). Aquac. Res. 2022, 53, 285–299. [Google Scholar] [CrossRef]
- Pan, J.-M.; Liu, M.-J.; Guo, H.-Y.; Zhu, K.-C.; Liu, B.-S.; Zhang, N.; Sun, J.-H.; Zhang, D.-C. Early development and allometric growth patterns of Trachinotus ovatus (Linnaeus, 1758). Aquaculture 2023, 575, 739804. [Google Scholar] [CrossRef]
- Geay, F.; Ferraresso, S.; Zambonino-Infante, J.L.; Bargelloni, L.; Quentel, C.; Vandeputte, M.; Kaushik, S.; Cahu, C.L.; Mazurais, D. Effects of the total replacement of fish-based diet with plant-based diet on the hepatic transcriptome of two European sea bass (Dicentrarchus labrax) half-sib families showing different growth rates with the plant-based diet. BMC Genom. 2011, 12, 522. [Google Scholar] [CrossRef]
- Li, X.; Wang, G.; Fu, R.; Zhu, X.; Ren, P.; Zhang, L.; Ai, Q.; Sun, Y.; Wang, Z. Intestinal microbiota was closely related to feed efficiency of Larimichthys crocea fed two fishmeal-free diets. Aquaculture 2025, 594, 741367. [Google Scholar] [CrossRef]
- Dupont-Nivet, M.; Medale, F.; Leonard, J.; Le Guillou, S.; Tiquet, F.; Quillet, E.; Geurden, I. Evidence of genotype-diet interactions in the response of rainbow trout (Oncorhynchus mykiss) clones to a diet with or without fishmeal at early growth. Aquaculture 2009, 295, 15–21. [Google Scholar] [CrossRef]
- Palti, Y.; Silverstein, J.T.; Wieman, H.; Phillips, J.G.; Barrows, F.T.; Parsons, J.E. Evaluation of family growth response to fishmeal and gluten-based diets in rainbow trout (Oncorhynchus mykiss). Aquaculture 2006, 255, 548–556. [Google Scholar] [CrossRef]
- Overturf, K.; Barrows, F.T.; Hardy, R.W. Effect and interaction of rainbow trout strain (Oncorhynchus mykiss) and diet type on growth and nutrient retention. Aquac. Res. 2013, 44, 604–611. [Google Scholar] [CrossRef]
- Reyer, H.; Oster, M.; Magowan, E.; Dannenberger, D.; Ponsuksili, S.; Wimmers, K. Strategies towards improved feed efficiency in pigs comprise molecular shifts in hepatic lipid and carbohydrate metabolism. Int. J. Mol. Sci. 2017, 18, 1674. [Google Scholar] [CrossRef]
- He, M.; Yu, Y.; Li, X.; Poolsawat, L.; Yang, P.; Bian, Y.; Guo, Z.; Leng, X. An evaluation of replacing fish meal with fermented soybean meal in the diets of largemouth bass (Micropterus salmoides): Growth, nutrition utilization and intestinal histology. Aquac. Res. 2020, 51, 4302–4314. [Google Scholar] [CrossRef]
- Murashita, K.; Akimoto, A.; Iwashita, Y.; Amano, S.; Suzuki, N.; Matsunari, H.; Furuita, H.; Sugita, T.; Yamamoto, T. Effects of biotechnologically processed soybean meals in a nonfishmeal diet on growth performance, bile acid status, and morphological condition of the distal intestine and liver of rainbow trout Oncorhynchus mykiss. Fish. Sci. 2013, 79, 447–457. [Google Scholar] [CrossRef]
- Yoshinaga, H.; Yasuike, M.; Mekuchi, M.; Soma, S.; Yamamoto, T.; Murashita, K.; Matsunari, H.; Oku, H.; Furuita, H. Multi-omics analysis of hepatopancreas of red seabream (Pagrus major) fed a soybean meal-based diet. Aquaculture 2023, 574, 739631. [Google Scholar] [CrossRef]
- Han, Y.-K.; Xu, Y.-C.; Luo, Z.; Zhao, T.; Zheng, H.; Tan, X.-Y. Fish meal replacement by mixed plant protein in the diets for juvenile yellow catfish Pelteobagrus fulvidraco: Effects on growth performance and health status. Aquac. Nutr. 2022, 2022, 2677885. [Google Scholar] [CrossRef] [PubMed]
- Ye, H.; Xu, M.; Chen, L.; Tan, X.; Chen, S.; Zou, C.; Sun, Z.; Liu, Q.; Ye, C.; Wang, A. Effects of dietary plant protein sources influencing hepatic lipid metabolism and hepatocyte apoptosis in hybrid grouper (Epinephelus lanceolatus × Epinephelus fuscoguttatus). Aquaculture 2019, 506, 437–444. [Google Scholar] [CrossRef]
- Xie, X.; Kong, J.; Huang, J.; Zhou, L.; Jiang, Y.; Miao, R.; Yin, F. Integration of metabolomic and transcriptomic analyses to characterize the influence of the gill metabolism of Nibea albiflora on the response to Cryptocaryon irritans infection. Vet. Parasitol. 2021, 298, 109533. [Google Scholar] [CrossRef]
- Li, R.-X.; Zhou, W.-H.; Ren, J.; Wang, J.; Qiao, F.; Zhang, M.-L.; Du, Z.-Y. Dietary sodium lactate promotes protein and lipid deposition through increasing energy supply from glycolysis in Nile tilapia (Oreochromis niloticus). Aquaculture 2022, 550, 737858. [Google Scholar] [CrossRef]
- Nazari, S.; Pourkazemi, M.; Paknejad, H.; Kazemi, E.; Ghaderi, M.; Eslamloo, K. Transcriptome profiling of farmed rainbow trout (Oncorhynchus mykiss) liver from different sources of dietary zinc. Aquaculture 2021, 543, 737017. [Google Scholar] [CrossRef]
- Wang, X.; Jin, M.; Cheng, X.; Hu, X.; Zhao, M.; Yuan, Y.; Sun, P.; Jiao, L.; Tocher, D.R.; Zhou, Q. Hepatopancreas transcriptomic and lipidomic analyses reveal the molecular responses of mud crab (Scylla paramamosain) to dietary ratio of docosahexaenoic acid to eicosapentaenoic acid. Aquaculture 2022, 551, 737903. [Google Scholar] [CrossRef]
- Xun, P.; Zhou, C.; Huang, X.; Huang, Z.; Yu, W.; Yang, Y.; Huang, J.; Wu, Y.; Wang, R.; Lin, H. Effects of dietary sodium acetate on intestinal health of juvenile Trachinotus ovatus based on multi-omics approach. Aquaculture 2023, 562, 738776. [Google Scholar] [CrossRef]
- Matulic, D.; Barisic, J.; Anicic, I.; Tomljanovic, T.; Safner, R.; Treer, T.; Gao, J.; Glojnaric, I.; Coz-Rakovac, R. Growth, health aspects and histopathology of brown bullhead (Ameiurus nebulosus L.): Replacing fishmeal with soybean meal and brewer’s yeast. Sci. Rep. 2020, 10, 1104, Correction in Sci. Rep. 2020, 10, 11098. [Google Scholar] [CrossRef]
- Fuentes, J.; Fonseca, F.; Gregorio, S.F.; Kussaba, L.; Perera, E.; Alarcon-Lopez, F.J.; Martos-Sitcha, J.A. High plant protein diet impairs growth performance and intestinal integrity in greater amberjack (Seriola dumerili): Molecular and physiological insights. Aquaculture 2025, 597, 741925. [Google Scholar] [CrossRef]
- Liang, X.; Han, J.; Xue, M.; Yu, H.; Huang, H.; Wu, X.; Zheng, Y.; Qin, Y.; Liang, X. Growth and feed intake regulation responses to anorexia, adaptation and fasting in Japanese seabass, Lateolabrax japonicus when fishmeal is totally replaced by plant protein. Aquaculture 2019, 498, 528–538. [Google Scholar] [CrossRef]
- Torstensen, B.E.; Lie, O.; Froyland, L. Lipid metabolism and tissue composition in Atlantic salmon (Salmo salar L.): Effects of capelin oil, palm oil, and oleic acid-enriched sunflower oil as dietary lipid sources. Lipids 2000, 35, 653–664. [Google Scholar] [CrossRef] [PubMed]
- Torstensen, B.E.; Espe, M.; Sanden, M.; Stubhaug, I.; Waagbo, R.; Hemre, G.I.; Fontanillas, R.; Nordgarden, U.; Hevroy, E.M.; Olsvik, P.; et al. Novel production of Atlantic salmon (Salmo salar) protein based on combined replacement of fish meal and fish oil with plant meal and vegetable oil blends. Aquaculture 2008, 285, 193–200. [Google Scholar] [CrossRef]
- Araki, K.; Takizawa, F.; Yamasaki, M.; Esumi, M.; Moritomo, T.; Ototake, M.; Yamamoto, A.; Nakanishi, T. Expression profiles of interferon gamma genes in response to immunostimulants and alloantigen in ginbuna crucian carp Carassius auratus langsdorfii. Fish. Sci. 2013, 79, 213–220. [Google Scholar] [CrossRef]
- Liu, Y.; Chen, S.; Pan, B.; Guan, Z.; Yang, Z.; Duan, L.; Cai, H. A subunit vaccine based on rH-NS induces protection against Mycobacterium tuberculosis infection by inducing the Th1 immune response and activating macrophages. Acta Biochim. Biophys. Sin. 2016, 48, 909–922. [Google Scholar] [CrossRef] [PubMed]
- Paraboschi, E.M.; Duga, S.; Asselta, R. Fibrinogen as a pleiotropic protein causing human diseases: The mutational burden of Aalpha, Bbeta, and gamma chains. Int. J. Mol. Sci. 2017, 18, 2711. [Google Scholar] [CrossRef] [PubMed]
- Hussein, M.M.; Sayed, R.K.A.; Mokhtar, D.M. Structural and immunohistochemical analysis of the cellular compositions of the liver of molly fish (Poecilia sphenops), focusing on its immune role. Zool. Lett. 2023, 9, 1. [Google Scholar] [CrossRef]
- Bu, K.-B.; Kim, M.; Shin, M.K.; Lee, S.-H.; Sung, J.-S. Regulation of benzo[a]pyrene-induced hepatic lipid accumulation through CYP1B1-induced mTOR-mediated lipophagy. Int. J. Mol. Sci. 2024, 25, 1324. [Google Scholar] [CrossRef]
- Wu, S.; Romero-Ramirez, L.; Mey, J. Taurolithocholic acid but not tauroursodeoxycholic acid rescues phagocytosis activity of bone marrow-derived macrophages under inflammatory stress. J. Cell. Physiol. 2022, 237, 1455–1470. [Google Scholar] [CrossRef]
- Zihni, C.; Mills, C.; Matter, K.; Balda, M.S. Tight junctions: From simple barriers to multifunctional molecular gates. Nat. Rev. Mol. Cell Biol. 2016, 17, 564–580. [Google Scholar] [CrossRef]
- Takakuwa, Y.; Kokai, Y.; Sasaki, K.; Chiba, H.; Tobioka, H.; Mori, M.; Sawada, N. Bile canalicular barrier function and expression of tight-junctional molecules in rat hepatocytes during common bile duct ligation. Cell Tissue Res. 2002, 307, 181–189. [Google Scholar] [CrossRef] [PubMed]
- Tsai, T.-Y.; Hernandez, L.H.H.; Gaylord, T.G.; Powell, M.S. Effects of dietary soybean meal inclusion on calcium-binding protein expression and inflammatory gene markers in liver and intestine of Atlantic salmon (Salmo salar L.). Aquac. Rep. 2023, 30, 101624. [Google Scholar] [CrossRef]
- Bian, F.; Zhou, H.; He, G.; Wang, C.; Peng, H.; Pu, X.; Jiang, H.; Wang, X.; Mai, K. Effects of replacing fishmeal with different cottonseed meals on growth, feed utilization, haematological indexes, intestinal and liver morphology of juvenile turbot (Scophthalmus maximus L.). Aquac. Nutr. 2017, 23, 1429–1439. [Google Scholar] [CrossRef]
- Choi, S.-M.; Wang, X.; Park, G.-J.; Lim, S.-R.; Kim, K.-W.; Bai, S.C.; Shin, I.-S. Dietary dehulled soybean meal as a replacement for fish meal in fingerling and growing olive flounder Paralichthys olivaceus (Temminck et Schlegel). Aquac. Res. 2004, 35, 410–418. [Google Scholar] [CrossRef]
- Zhao, J.Y.; Yuan, X.K.; Luo, R.Z.; Wang, L.X.; Gu, W.; Yamane, D.; Feng, H. Phospholipase A and acyltransferase 4/retinoic acid receptor responder 3 at the intersection of tumor suppression and pathogen restriction. Front. Immunol. 2023, 14, 1107239. [Google Scholar] [CrossRef]
- Tocher, D.R.; Bendiksen, E.A.; Campbell, P.J.; Bell, J.G. The role of phospholipids in nutrition and metabolism of teleost fish. Aquaculture 2008, 280, 21–34. [Google Scholar] [CrossRef]
- Hanna, V.S.; Hafez, E.A.A. Synopsis of arachidonic acid metabolism: A review. J. Adv. Res. 2018, 11, 23–32. [Google Scholar] [CrossRef] [PubMed]
- Niesen, F.H.; Schultz, L.; Jadhav, A.; Bhatia, C.; Guo, K.; Maloney, D.J.; Pilka, E.S.; Wang, M.; Oppermann, U.; Heightman, T.D.; et al. High-affinity inhibitors of human NAD-dependent 15-hydroxyprostaglandin dehydrogenase: Mechanisms of inhibition and structure-activity relationships. PLoS ONE 2010, 5, e13719. [Google Scholar] [CrossRef] [PubMed]
- Thomson, S.J.; Askari, A.; Bishop-Bailey, D. Anti-inflammatory effects of epoxyeicosatrienoic acids. Int. J. Vasc. Med. 2012, 2012, 605101. [Google Scholar] [CrossRef]
- Medagoda, N.; Lee, K.-J. Effects of dietary arachidonic acid supplementation in high plant protein diets on growth, feed utilization, and immunity of olive flounder, Paralichthys olivaceus. Aquaculture 2023, 571, 739431. [Google Scholar] [CrossRef]
- Zhao, Z.; Ren, P.; Huang, Y.; Wang, G.; Zhang, J.; Han, F.; Wang, Z. Molecular mechanisms of Larimichthys crocea’s adaptation to fishmeal-free diets: Insights from liver proteomics and functional analysis of Alpha-2-HS-glycoprotein. Aquaculture 2025, 609, 742774. [Google Scholar] [CrossRef]






| Dite Group | Final Fish Number | Survival Rate (%) | Final Body Weight (g) | Feed Intake (kg) | FCR |
|---|---|---|---|---|---|
| FMD | 593 | 98.8 | 142.1 ± 27.4 | 88.25 | 1.78 |
| SPCD | 594 | 99 | 94.42 ± 21.71 | 55.6 | 2.62 |
| Group | Final Body Weight (g) | Weight Gain (g) | WGR (%) | HSI (%) | VSI (%) |
|---|---|---|---|---|---|
| FMD-Ref | 142.3 ± 2.18 a | 83.8 ± 2.18 a | 142.52 ± 3.70 a | 1.21 ± 0.50 a | 5.36 ± 0.58 b |
| PB (SPCD) | 139.2 ± 11.6 a | 80.4 ± 11.6 a | 136.73 ± 19.8 a | 1.29 ± 0.20 b | 6.06 ± 0.63 a |
| PS (SPCD) | 60.28 ± 1.12 b | 1.48 ± 1.12 b | 2.51 ± 1.89 b | 1.23 ± 0.29 a | 6.28 ± 0.95 a |
| Index | FMD-Ref | PB | PS |
|---|---|---|---|
| GGT (U/L) | 1.94 ± 1.67 a | 0.39 ± 0.26 a | 0.40 ± 0.30 a |
| GPT (U/L) | 1.86 ± 0.49 b | 24.33 ± 56.46 ab | 6.11 ± 2.03 a |
| GOT (U/L) | 42.23 ± 26.02 a | 36.77 ± 19.10 a | 29.88 ± 19.64 a |
| ALP (U/L) | 90.13 ± 33.50 a | 99.80 ± 51.00 a | 62.41 ± 34.69 a |
| TP (g/L) | 34.50 ± 0.72 a | 34.36 ± 1.55 a | 28.53 ± 2.56 b |
| CHO (mmol/L) | 3.62 ± 0.28 a | 2.70 ± 0.44 b | 2.68 ± 0.14 b |
| TG (mmol/L) | 0.60 ± 0.34 b | 1.05 ± 0.47 ab | 1.63 ± 0.31 a |
| Experimental Diet | ||
|---|---|---|
| FMD | SPCD | |
| Ingredients (g kg−1) | ||
| Fishmeal a | 600 | - |
| Soy protein concentrate | - | 550 |
| Soybean meal | - | 70 |
| Wheat flour | 282.6 | 206 |
| Fish oil | 30 | 30 |
| Soybean oil | 43 | 86 |
| Calcium dihydrogen phosphate | 15 | 15 |
| Choline chloride (50%) | 2 | 2 |
| Marine Fish Compound Premix b | 20 | 20 |
| Lysine (98%) | 4.4 | 10 |
| DL-Methionine | 1.9 | 9.3 |
| Threonine | 0.8 | 0.4 |
| Feeding attractant c | - | 1 |
| Antioxidant | 0.3 | 0.3 |
| Proximate composition (%) | ||
| Moisture | 11.9 | 10.3 |
| Crude Ash | 14.16 | 6.3 |
| Crude protein | 41.66 | 41.75 |
| Crude fat | 11.1 | 11.3 |
Disclaimer/Publisher’s Note: The statements, opinions and data contained in all publications are solely those of the individual author(s) and contributor(s) and not of MDPI and/or the editor(s). MDPI and/or the editor(s) disclaim responsibility for any injury to people or property resulting from any ideas, methods, instructions or products referred to in the content. |
© 2026 by the authors. Licensee MDPI, Basel, Switzerland. This article is an open access article distributed under the terms and conditions of the Creative Commons Attribution (CC BY) license.
Share and Cite
Gao, Y.; Liu, B.; Guo, H.; Zhu, K.; Li, Y.; Xian, L.; Zhang, N.; Zhu, T.; Zhang, D. Arachidonic Acid Metabolic Rewiring Drives Differential Plant Protein Adaptation in Golden Pompano (Trachinotus ovatus). Int. J. Mol. Sci. 2026, 27, 2051. https://doi.org/10.3390/ijms27042051
Gao Y, Liu B, Guo H, Zhu K, Li Y, Xian L, Zhang N, Zhu T, Zhang D. Arachidonic Acid Metabolic Rewiring Drives Differential Plant Protein Adaptation in Golden Pompano (Trachinotus ovatus). International Journal of Molecular Sciences. 2026; 27(4):2051. https://doi.org/10.3390/ijms27042051
Chicago/Turabian StyleGao, Yayang, Baosuo Liu, Huayang Guo, Kecheng Zhu, Yichao Li, Lin Xian, Nan Zhang, Tengfei Zhu, and Dianchang Zhang. 2026. "Arachidonic Acid Metabolic Rewiring Drives Differential Plant Protein Adaptation in Golden Pompano (Trachinotus ovatus)" International Journal of Molecular Sciences 27, no. 4: 2051. https://doi.org/10.3390/ijms27042051
APA StyleGao, Y., Liu, B., Guo, H., Zhu, K., Li, Y., Xian, L., Zhang, N., Zhu, T., & Zhang, D. (2026). Arachidonic Acid Metabolic Rewiring Drives Differential Plant Protein Adaptation in Golden Pompano (Trachinotus ovatus). International Journal of Molecular Sciences, 27(4), 2051. https://doi.org/10.3390/ijms27042051

