Next Article in Journal
Secreted Phosphoprotein 1 (SPP1) Modulates Intracellular Metabolic Programs in Mature Adipocytes Revealed by Untargeted Metabolomics
Previous Article in Journal
Ultrastructural Characterization of Pannexin 1 Expression Along the Rat Nephron
 
 
Font Type:
Arial Georgia Verdana
Font Size:
Aa Aa Aa
Line Spacing:
Column Width:
Background:
Article

Development of a Curcumin-Loaded Nanomicelles-Injectable Sustained-Release Hydrogel System for Modulating Oxidative Stress to Alleviate Tendinopathy

1
School of Pharmacy, Changchun University of Chinese Medicine, Changchun 130117, China
2
School of Basic Medical Sciences, Changchun University of Chinese Medicine, Changchun 130117, China
*
Authors to whom correspondence should be addressed.
Int. J. Mol. Sci. 2026, 27(4), 1642; https://doi.org/10.3390/ijms27041642
Submission received: 30 December 2025 / Revised: 28 January 2026 / Accepted: 4 February 2026 / Published: 7 February 2026
(This article belongs to the Section Molecular Nanoscience)

Abstract

Tendinopathy is a common musculoskeletal disorder that increases the risk of tendon rupture if not properly treated. Current local injection therapies require frequent administration, and no fully effective drug is yet available. Curcumin (Cur) exhibits excellent anti-inflammatory and antioxidant effects, but its poor water solubility and low stability limit its clinical application. To overcome these challenges, this study encapsulated Cur into pluronic F127-based nanomicelles (Cur-F127) to improve its aqueous solubility and stability. Subsequently, the micelles were incorporated into a hydrogel network (Cur-F127&gel) formed by oxidized hyaluronic acid (oxi-HA) and adipic acid dihydrazide (ADH) to achieve sustained release. The resulting Cur-F127 micelles had a particle size of 20.14 ± 0.287 nm, an encapsulation efficiency (EE%) of 89.95 ± 0.60%, and a drug loading (DL%) of 5.57 ± 0.05%. The composite hydrogel possessed a loose, porous three-dimensional network, excellent biocompatibility, and favorable degradation behavior. The system enabled sustained release of Cur for over 20 days without an initial burst. In a rat model of tendinopathy, Cur-F127&gel significantly promoted tendon repair, as evidenced by reduced inflammatory cell infiltration, improved collagen fiber alignment, restored expression of key mitochondrial-related proteins (Ndufs3, Uqcrq, Uqcr10, Atp5mc3), and alleviated oxidative stress damage demonstrated by increased SOD activity and decreased MDA content in tendon tissue, thereby suppressing disease progression. This injectable sustained-release hydrogel system for poorly soluble drugs provides an effective approach for the local, long-acting delivery of Cur and long-term repair of tendinopathy, highlighting its potential value for clinical application.

Graphical Abstract

1. Introduction

Tendinopathy is a common degenerative disorder frequently caused by overuse or aging [1,2], characterized by disrupted tendon structure, abnormal collagen alignment, chronic inflammation, pain, and functional impairment [1,3,4]. Millions of patients are affected worldwide each year, accounting for approximately 30–50% of all physical injuries [1,5,6]. Among these, Achilles tendinopathy is a prevalent overuse injury diagnosed clinically in both the general population and athletes [7,8,9,10]. Studies indicate that inflammatory responses and oxidative stress are critical factors promoting the progression of tendinopathy [11,12,13]. Degenerated tendons produce reactive oxygen species (ROS) and free radicals, which participate in stress-induced apoptotic pathways and cause cellular or tissue damage through lipid peroxidation, protein modification, DNA strand breakage, and oxidative base modification [14,15]. In this process, mitochondrial dysfunction also plays a key role [16,17]. Excessive mechanical loading or aging first impairs mitochondrial function, leading to insufficient ATP synthesis and overproduction of ROS, thereby triggering oxidative stress and driving chronic low-grade inflammation, ultimately resulting in tendon structural failure and loss of function [18,19,20].
Current clinical management relies mainly on non-steroidal anti-inflammatory drugs, local corticosteroid injections, and physical therapy. However, these approaches often have limited efficacy. Frequent injections not only increase patient burden but also carry risks such as reduced tendon strength with long-term use [21,22,23]. Moreover, there is still a lack of drugs that can genuinely promote tendon repair. Therefore, developing a novel local drug delivery system capable of sustained drug release, reducing injection frequency, and truly facilitating tendon repair has become an urgent clinical need.
Curcumin is a polyphenolic chemical compound extracted from the rhizomes of the turmeric plant (Curcuma longa L.), exhibiting significant anti-inflammatory, antioxidant, and tissue-repair-promoting pharmacological activities [24]. It has shown considerable therapeutic potential in various disease models, particularly for the pathological features of tendinopathy [25,26]. However, its extremely poor aqueous solubility, low stability, and rapid metabolism severely limit its clinical application. Conventional oral or injectable administration fails to maintain effective drug concentrations at the injury site and cannot achieve long-term repair. Hence, an ideal delivery system must not only improve the solubility of Cur but also localize and prolong its release at the injured site to match the healing process. To address this challenge, the development of drug delivery systems has become a research focus. Micelles are self-assembled nanoscale colloidal particles with a hydrophobic core and a hydrophilic shell, capable of encapsulating poorly soluble drugs within the core while the hydrophilic shell enhances systemic solubility and drug dissolution [27]. Pluronic F127 (F127) is a polyoxyethylene-polyoxypropylene-polyoxyethylene (PEO-PPO-PEO) triblock copolymer that can spontaneously self-assemble into core–shell aggregates in aqueous solutions. Its hydrophobic core enables the encapsulation of poorly soluble drugs, while the hydrophilic shell endows the entire system with favorable water solubility [28,29], thus ensuring the stable dispersion of drug-loaded micelles in the hydrogel matrix. Moreover, as an FDA-approved excipient with excellent biocompatibility, F127 has been widely applied in the field of drug delivery. The fabrication process of F127-based nanomicelles is facile and efficient, requiring no excessive auxiliary reagents; the resulting micelles feature uniform particle size and stable encapsulation efficiency, and can be directly and homogeneously dispersed in the hydrogel matrix without additional modification or purification steps. These superior properties render F127 an ideal candidate for Cur encapsulation. Injectable hydrogels, as three-dimensional polymeric network formulations, offer excellent biocompatibility, biodegradability, and in situ gelling ability, serving as drug carriers for localized sustained release and prolonged therapeutic action [30,31]. Hyaluronic acid (HA) is a naturally occurring linear glycosaminoglycan that is widely distributed in connective tissues. It has excellent tissue affinity, making it an ideal matrix material for hydrogel preparation. The active groups on its molecular chain are easily modifiable, which facilitates the construction of functional hydrogels for drug delivery [32].
To address the above issues, this study proposes the construction of a “nanomicelles–injectable hydrogel” composite delivery system. First, Cur was encapsulated into nanomicelles using the F127 (Cur-F127), significantly improving its aqueous solubility and stability. The micelles were systematically characterized for EE%, DL%, particle size, stability, and in vitro release behavior. Subsequently, the optimized micelles were loaded into an oxi-HA/ADH hydrogel, and their microstructure, gelation time, swelling capacity, injectability, biocompatibility, degradation profile, and release properties were investigated. Finally, in a collagenase I-induced rat tendinopathy model, the system’s ability to promote tendon structural and functional repair was evaluated through histological staining, transcriptomic sequencing, immunohistochemical staining, and oxidative stress marker detection. Preliminary exploration was conducted to determine whether its effects are related to the modulation of mitochondrial function and alleviation of oxidative stress. This study aims to provide a local, long-acting, convenient, and efficient novel formulation strategy for tendinopathy, while also offering new insights for the development of local delivery systems based on natural products.

2. Results

2.1. Preparation and Optimization of Cur-F127 Micelles

As shown in Figure 1, with a fixed Cur amount of 10 mg, the optimal conditions for achieving the highest EE% and DL% were determined as follows: a drug-to-excipient ratio of 1:15, a polymer (F127) concentration of 10 mg/mL, an ultrasonication time of 15 min, a rotary evaporation speed of 50 rpm, a hydration volume of 7.5 mL, and a hydration time of 10 min. Based on the single-factor results, four key parameters: drug-to-excipient ratio (A), polymer concentration (B), hydration volume (C), and hydration time (D)—were selected for orthogonal array optimization. The orthogonal experiments ultimately established the optimal formulation: A, 1:15; B, 10 mg/mL; C, 10 mL; D, 10 min. The factor levels for the orthogonal experimental design are shown in Table 1. The results of the orthogonal experiments are presented in Table 2.

2.2. Characterization of Cur-F127 Micelles

The Cur-F127 micellar solution appeared as a clear, orange-yellow liquid, whereas free Cur formed an insoluble suspension in water. Upon laser illumination, a distinct light path (Tyndall effect) was observed for the micellar solution but not for the Cur suspension, confirming its colloidal nature (Figure 2A). Transmission electron microscopy (TEM) revealed that the Cur-F127 micelles exhibited a uniform, spherical morphology with no apparent aggregation (Figure 2B). The average particle size of 20.14 ± 0.287 nm, a polydispersity index (PDI) of 0.151 ± 0.011, and a zeta potential of −16.133 ± 0.249 mV, demonstrating the formation of a monodisperse and stable nanosystem (Figure 2C,D).

2.3. Determination of Critical Micelle Concentration (CMC)

The CMC, determined using the pyrene fluorescence probe method, was 11 μg/mL (Figure 3A). This relatively low CMC value suggests favorable thermodynamic stability of the micellar system.

2.4. Successful Synthesis of Cur-F127 Micelles Confirmed by Fourier-Transform Infrared (FTIR) Spectroscopy

The successful synthesis of Cur-F127 micelles was investigated using FTIR spectroscopy (Figure 3B). In the spectrum of pure Cur, characteristic peaks were observed at 3450 cm−1 (O–H stretching vibration), 1627 cm−1 (stretching vibrations of conjugated C=O and C=C), and 2973 cm−1 (C–H stretching vibration of –CH3). In the spectrum of Cur-F127, the O–H band broadened and intensified, the –CH3 peak shifted from 2973 to 2927 cm−1, and the C=O stretching vibration shifted from 1627 to 1633 cm−1. These spectral changes indicate the formation of hydrogen bonds between the –CH3 and C=O groups of Cur and the –OH groups of F127, which likely contributed to enhanced Cur solubility. The disappearance of characteristic Cur peaks and the appearance of new absorption bands consistent with the blank micelle spectrum further confirm the successful encapsulation of Cur within the micellar core.
According to the FTIR results, the molecular interaction between Cur and F127 may be associated with the hydrogen bonds formed between them [33,34]. Cur possesses phenolic hydroxyl and carbonyl groups that act as hydrogen bond donors/acceptors. Its hydrophobic skeleton embeds into the PPO hydrophobic core of F127 (a PEO-PPO-PEO triblock copolymer), while its hydrophilic phenolic hydroxyl groups are located at the hydrophobic-hydrophilic interface of the micelles and form intermolecular hydrogen bonds with the ether oxygen atoms (hydrogen bond acceptors) on adjacent PEO segments. This endows the Cur-F127 micelles with favorable water solubility and stability.

2.5. In Vitro Drug Release Profile of the Cur-F127 Micelles

The in vitro release profile of Cur from Cur-F127 is shown in Figure 3C. An initial burst release of approximately 65% was observed within the first 20 h, followed by sustained release over approximately 100 h, reaching a final cumulative release of 98.91 ± 0.27%. These results demonstrate that encapsulating Cur within the hydrophobic core of the micelles not only improves its aqueous solubility but also effectively modulates and prolongs drug release.

2.6. Preparation and Characterization of Cur-F127&Gel

As shown in Figure 4A,B, the blank hydrogel appeared as a white, transparent solid, while the Cur-F127&gel exhibited a yellow, gel-like solid consistency. Lyophilized samples of hydrogels with different solid contents (4%, 5%, and 6%) were examined by scanning electron microscope (SEM). All lyophilized hydrogels displayed a three-dimensional porous network structure with distinct lamellar layers and uniform pore size. Provide a suitable environment for the loading of subsequent Cur-F127 micelles. However, no significant structural differences were observed among the three formulations (Figure 4C).
The gelation time was determined using the tube inversion method. The results showed that the average gelation times for hydrogels with 4%, 5%, and 6% solid contents were 7′39″, 3′42″, and 1′, respectively. Higher solid content led to a shorter gelation time, which was attributed to the increased concentration of reactive components in the system. Notably, the hydrogel with 6% solid content gelled within 48 s, and therefore did not meet the operational requirements for injectable administration.

2.7. Swelling, Biocompatibility, and Injectability of Cur-F127&Gel

Swelling studies revealed that all three hydrogels exhibited significant water uptake and volume expansion without dissolution. Each hydrogel reached its equilibrium swelling state within 8 h. Among them, the 6% hydrogel showed the lowest swelling ratio and required the longest time to achieve complete swelling (Figure 5A). The biocompatibility of Cur-F127&gel was assessed via cytotoxicity testing. When cells were co-cultured with extracts obtained from hydrogels at different solid contents, the cell viability remained above 90% in all groups, indicating no significant cytotoxicity and confirming favorable biocompatibility (Figure 5B). The injectability of the hydrogel was evaluated using a syringe suitable for in vivo rat administration. The hydrogel could be smoothly extruded into PBS at 37 °C without needle clogging, demonstrating good fluidity and continuity (Figure 5C).

2.8. Evaluation of Cur-F127&Gel Degradation Profile

Based on the experimental results of gelation time, biocompatibility, and other key properties, the hydrogel with a 4% solid content was ultimately selected for all subsequent experiments, as it best met the established criteria. Degradation studies were conducted in PBS at 37 °C with shaking at 100 rpm. By day 11, approximately 4% of the blank hydrogel and 20% of the Cur-F127&gel remained. The slower degradation of the Cur-loaded hydrogel may be attributed to a denser internal cross-linked network facilitated by the incorporation of Cur. By day 14, both hydrogels were almost completely degraded, leaving only minor insoluble residues, confirming their predictable degradation profiles under physiological conditions (Figure 5D).

2.9. Cur Release Profile of the Cur-F127&Gel

The in vitro release behavior of Cur from Cur-F127&gel was investigated under simulated physiological conditions. The release profile demonstrated a slow release rate with no initial burst, indicating excellent sustained-release properties that are favorable for prolonged local therapeutic action after injection. As shown in Figure 5E, the release rate gradually slowed after 15 days, followed by a steady release phase, ultimately reaching a cumulative release of approximately 93%, highlighting the hydrogel’s effective drug-retention capacity. This characteristic supports the maintenance of effective drug concentrations over an extended period, offering a promising therapeutic strategy for the long-term management of tendinopathy.

2.10. Assessment of Cur-F127&Gel on Achilles Tendon Repair via Hematoxylin and Eosin (H&E) and Masson’s Trichrome Staining

The overall in vivo experimental workflow is illustrated in Figure 6. Macroscopic observation of the harvested Achilles tendons revealed that the model group exhibited extensive yellow inflammatory hyperplasia and tissue adhesion on the tendon surface, markedly distinct from the normal appearance of the control group. In contrast, the treatment groups showed a marked reduction in tissue adhesion, and macroscopically, the tendon tissue exhibited less severe damage. H&E and Masson’s trichrome staining of paraffin-embedded sections demonstrated that the model group displayed disorganized collagen fibers, substantial inflammatory cell infiltration, and a marked reduction in orderly collagen deposition. The blank hydrogel group showed no significant improvement compared to the model group. In contrast, all treatment groups exhibited a dose-dependent enhancement in tendon healing, characterized by improved collagen fiber alignment, reduced inflammation, and increased collagen density in Masson’s staining. Specifically, the positive control group (Indomethacin, IND) demonstrated a repair effect comparable to that of the medium-dose Cur-F127&gel group (Figure 7A,B). Histological score analysis of H&E staining results further confirmed that the treatment groups effectively promoted the healing process of the tendinopathy in a dose-dependent manner (Figure 7C,D). Quantitative analysis of the Masson’s trichrome staining results yielded findings consistent with those from the H&E staining (Figure 7E).

2.11. Transcriptomic Sequencing Analysis of Tendon Repair Mechanisms

2.11.1. Differentially Expressed Genes (DEGs) Analysis

Transcriptome sequencing was performed on the control, model, and high-dose treatment (Cur-H) groups. DEGs were identified for subsequent analysis. Volcano plots illustrated the distribution, fold changes, and statistical significance of genes across comparisons (Figure 8A,B). Red dots represent up-regulated genes and blue dots represent down-regulated genes in the model group versus the control group (or in the treatment group versus the model group). Compared to the control, the model group showed 56 up-regulated and 644 down-regulated genes. Compared to the model group, the treatment group exhibited 240 up-regulated and 41 down-regulated genes. Among these, 144 genes showed reversed expression patterns (i.e., up-regulated in the model group and down-regulated in the treatment group, or down-regulated in the model group and up-regulated in the treatment group), including 142 down-regulated (e.g., Ndufs3, Uqcrq, Atp5mc3, Myh4, Ckm, and Tnnc2) and 2 up-regulated genes in the model group.

2.11.2. Gene Ontology (GO) Function and Kyoto Encyclopedia of Genes and Genomes (KEGG) Pathway Enrichment

GO function of the reversed genes revealed their significant involvement in biological processes, including muscle system process, striated muscle cell differentiation, and myofibril assembly; cellular components such as myofibril, contractile fiber, and sarcomere; and molecular functions like actin binding, tropomyosin binding, and structural constituent of muscle (Figure 8C). KEGG pathway analysis indicated that these reversed genes were primarily enriched in pathways related to the calcium signaling pathway, cardiac muscle contraction, prion disease, oxidative phosphorylation, and chemical carcinogenesis—reactive oxygen species (Figure 8D).

2.12. Immunohistochemical (IHC) Assessment of Mitochondrial-Related Protein Expression

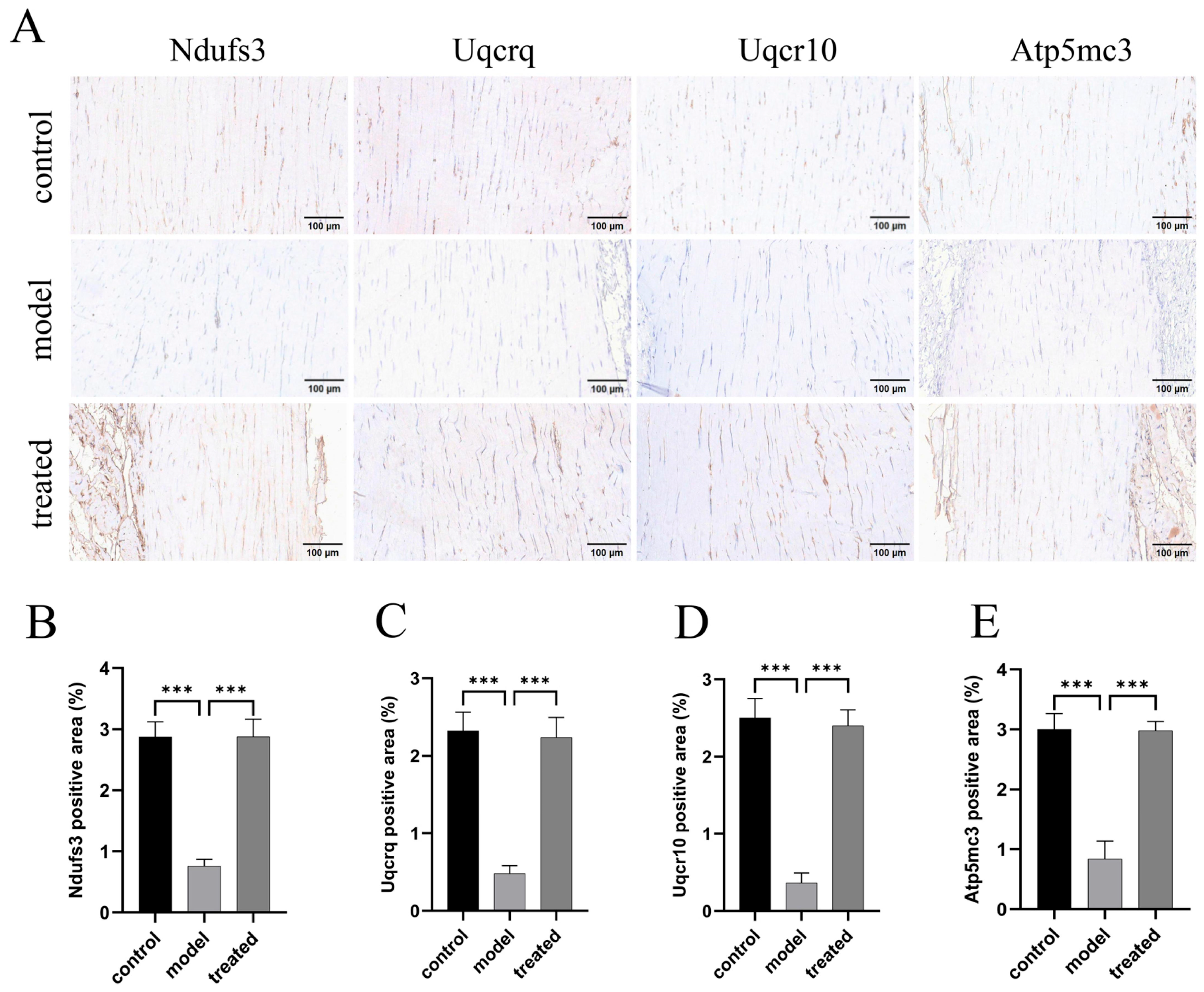
Based on the KEGG enrichment results, proteins within the oxidative phosphorylation pathway were selected for IHC analysis. IHC staining was performed to further validate the expression of key mitochondrial function-related proteins suggested by transcriptomic sequencing (Figure 9A). Antibodies against representative proteins, including Ndufs3, Uqcrq, Uqcr10, and Atp5mc3, were used to examine their protein levels in tendon tissues from the control, model, and high-dose treatment groups. The IHC results showed that, compared to the control group, the immunoreactivity of four relevant proteins was significantly reduced in the model group, indicating impaired mitochondrial protein expression after tendon injury. In contrast, the staining intensity of these proteins was significantly restored in tendons treated with Cur-F127&gel. Quantitative analysis further visually confirmed the recovery of mitochondrial protein expression at the tissue level (Figure 9B–E).

2.13. Evaluation of Oxidative Stress Markers

As shown in Figure 10A,B, compared to the control group, the model group exhibited a significant decrease in SOD activity and a significant increase in MDA content. Treatment with Cur-F127&gel effectively elevated SOD activity and reduced MDA levels in the tendons, indicating that the hydrogel alleviated oxidative stress damage and exerted antioxidant effects, thereby promoting the tendon repair process.

3. Discussion

Tendinopathy is a common musculoskeletal disorder. If not properly treated, it may progress to tendon rupture, severely affecting patients’ quality of life and athletic performance [35]. In recent years, local drug delivery systems have demonstrated broad application prospects in the fields of tissue engineering and regenerative medicine [36,37,38,39]. Especially in tissue repair, traditional administration methods are limited by short local drug retention, high systemic exposure, and difficulty in maintaining effective therapeutic concentrations [40,41], thereby compromising their efficacy. Therefore, developing a delivery system capable of in situ formation at the injury site and providing sustained drug release is of great importance [42,43,44]. F127 has been widely used for preparing micellar formulations of various hydrophobic compounds to enhance the water solubility of these drugs. The core advantage of F127 resides in its molecular structure: its hydrophobic polyoxypropylene (PPO) segments exhibit strong hydrophobic interactions, which can bind to the hydrophobic aromatic ring structure of Cur through intermolecular forces (hydrogen bonds, van der Waals forces, electrostatic interactions) to form a stable hydrophobic core [33]. Meanwhile, the ether bonds (-CH2CH2O-) in the hydrophilic polyoxyethylene (PEO) segments are capable of forming hydrogen bonds with water molecules, thereby enabling the stable dispersion of drug-loaded micelles in the hydrogel. This study successfully constructed an injectable sustained-release hydrogel system (Cur-F127&gel) by integrating Cur-loaded nanomicelles into an in situ-crosslinked hyaluronic acid hydrogel network, achieving efficient Cur loading and prolonged release. This “micelle–hydrogel” composite not only significantly improved the aqueous solubility and stability of Cur but also effectively prevented burst release through a cascaded diffusion barrier design, providing a sustained and stable therapeutic microenvironment for tendon tissue.
Single-factor studies showed that the drug-to-excipient ratio and carrier material concentration were the most influential factors. During screening of the drug-to-excipient ratio, it was found that the encapsulation efficiencies at ratios of 1:10 and 1:15 were comparable, but the formulation at 1:10 exhibited instability, with approximately one-quarter of the Cur observed to leak after 24 h, indicating lower stability compared to the 1:15 ratio. Therefore, the optimal drug-to-excipient ratio was ultimately set as 1:15. Additionally, centrifugation conditions for removing free Cur were investigated, revealing that low-speed centrifugation (800, 1000, 1200 rpm) and high-speed centrifugation (4000, 7000, 10,000 rpm) had no significant effect on the EE% of the prepared Cur-F127 micelles. The results from TEM and particle size analysis showed that the micelles possessed a small particle size, enabling the formation of a stable colloidal system in solution with good dispersibility and suspension stability. The FTIR results confirm that Cur has been successfully encapsulated in F127 to form Cur-F127 micelles. The formation of hydrogen bonds endows the drug-loaded micelles with excellent stability, which allows Cur-F127 to disperse steadily in the hydrogel matrix. As the local microenvironment changes and the hydrogel matrix degrades slowly, these hydrogen bonds gradually dissociate, thereby facilitating the sustained release of Cur. Notably, such hydrogen bonding depends on the unique triblock structure of F127—the PEO segments provide ether oxygen sites for hydrogen bond formation, while the PPO segments form the hydrophobic micelle core for Cur loading. Surfactants lacking such hydrogen bond acceptor sites may fail to form stable hydrogen bonds with Cur. This indicates that the molecular structure of F127, especially the functional groups in its hydrophilic segments, dictates its interaction mode with Cur and thus influences the performance of the drug-loaded system [34]. It is precisely these characteristics that grant micelles broad application potential in fields such as drug delivery and nanomaterial preparation.
After incorporation into the hydrogel, the Cur release duration was extended to over 20 days, and the system exhibited good injectability, biocompatibility, and slow degradability, meeting the basic requirements for clinical local administration. Injectability is crucial for the local application of hydrogels [45]. Injuries at the tendinopathy insertion (bone-tendon interface) are often accompanied by irregular tissue defects and gaps. Injectable hydrogels can freely fill the irregular spaces between the tendon and bone, thereby functioning more effectively [46]. The mild, catalyst-free gelation process under physiological conditions ensures good biocompatibility and suitability for minimally invasive injection, which is critical for clinical translation [27]. The main material of the Cur-F127&gel hydrogel is HA. As a native component in vivo, HA exhibits excellent biocompatibility and biodegradability, and is ultimately absorbed and metabolized. In addition, Cur-F127&gel is formed by the cross-linking between oxi-HA and ADH via Schiff base bonds. In the presence of PBS buffer, water molecules promote the gradual cleavage of Schiff base bonds into aldehyde groups and hydrazide groups, thereby further dissociating the three-dimensional network structure of the hydrogel and triggering its degradation [47].
The prolonged release profile is essential for tendinopathy, as this condition requires long-term modulation of the healing microenvironment. Our findings align with previous reports emphasizing the utility of hydrogel-based systems for sustained local delivery in musculoskeletal tissues [30]. The incorporation of micelles slowed the degradation rate of the hydrogel, suggesting that the hydrophobic core of the micelles or functional groups on their surface may have generated additional physical entanglement or weak chemical interactions (e.g., hydrophobic effects, hydrogen bonding) with the oxi-HA/ADH cross-linked network, thereby forming a hybrid network characterized by “predominant chemical cross-linking (Schiff base bonds) supplemented by physical cross-linking.” The drug is first encapsulated within the hydrophobic core of the micelles, and the micelles are further embedded in the hydrogel network. For the Cur to be released, it must overcome a dual barrier: diffusing from the micelles into the hydrogel network, and then diffusing through the hydrogel network into the external medium. This cascade diffusion pathway fundamentally prevents burst release caused by surface adsorption or excessively large network pores, ensuring a gentle and sustained release rate. At the tendon injury site, the slowly released Cur can promote repair continuously over days to weeks, avoiding the “therapeutic gap” that occurs after conventional drug administration due to rapid metabolism. This is particularly critical for tendon repair therapies that require long-term maintenance of effective local drug concentrations.
Compared with other Cur-loaded formulations [48], the preparation of Cur-F127&gel requires no large amounts of organic reagents and involves a simple operational process. The uniformly sized and highly stable Cur-F127 nanomicelles can be directly dispersed in the gel matrix, resulting in a higher preparation success rate. In addition, HA has a strong tissue affinity, which results in an extremely low risk of immune rejection. Specifically, in this study, HA was oxidatively modified to introduce aldehyde functional groups onto its molecular chains [32]. These aldehyde groups can react with the hydrazide groups in ADH molecules via Schiff base reaction, realizing mild dynamic cross-linking without the addition of extra toxic cross-linking agents. This cross-linking strategy ultimately forms a hydrogel network with a three-dimensional porous structure, and the oxi-HA/ADH-based gel carrier thus achieves superior biocompatibility and biosafety. Thirdly, this hydrogel possesses favorable injectability and can be minimally invasively administered to tendon lesion sites via a syringe, eliminating the need for surgical implantation and reducing secondary tissue damage. After injection, it rapidly forms a gel in the in vivo physiological environment to realize in situ drug release. Its three-dimensional porous network structure allows for nanomicelle loading, and the gel features a well-matched degradation rate and drug release rate, enabling the slow and stable release of Cur while avoiding the risk of burst release. Compared with oral preparations prone to gastrointestinal degradation and traditional injections requiring frequent administration, this system not only prolongs the local drug retention time but also reduces the administration frequency, thereby significantly improving patient compliance.
In a collagenase Ⅰ-induced rat tendinopathy model, Cur-F127&gel showed clear dose-dependent repair effects: histology indicated reduced inflammatory infiltration and improved collagen alignment; at the molecular level, transcriptomic analysis suggested significant up-regulation of mitochondrial function-related genes (e.g., Ndufs3, Uqcrq, Uqcr10, Atp5mc3), while immunohistochemical results further confirmed the recovery of mitochondrial-related protein expression at the protein level. Mitochondrial dysfunction has been shown to influence the onset and progression of tendinopathy [49,50]. The consistency between transcriptomic and protein-level results indicates that Cur participates in the key step of restoring mitochondrial function in tendinopathy, thereby promoting the tissue repair process. The observed increase in SOD activity and decrease in MDA content indicated that Cur-F127&gel effectively alleviated local oxidative stress in the tendon; this finding is consistent with previous research [51]. Combined with the recovery of mitochondrial gene and protein expression, these findings suggest that the system may improve mitochondrial function and exert antioxidant activity, thereby creating a microenvironment conducive to tendon repair.
From a holistic perspective, Cur-F127&gel achieves localized therapeutic effects, and its sustained-release profile reduces the need for frequent injections, thereby improving patient compliance—a significant drawback of current corticosteroid regimens [23,52]. Its mechanism of action aligns with the multifactorial nature of tendinopathy, simultaneously ameliorating structural damage, oxidative stress, and mitochondrial dysfunction. Nevertheless, certain limitations should be acknowledged. Although the rat collagenase-induced tendinopathy model is well-established, it may not fully replicate the chronic, load-associated degeneration commonly seen in human overuse tendinopathy. Future research should delve deeper into developing accurate modeling methods for tendinopathy. The delivery system constructed in this study combines the advantages of local long-acting release, reduced dosing frequency, and good biocompatibility, holding clear clinical application prospects. It can be further integrated with multiple functional components in the future to achieve precise and personalized tissue repair therapy.
Although this study has provided multi-dimensional characterizations of the tendon repair efficacy of Cur-F127&gel, certain limitations should be acknowledged to guide future research. First, with regard to the degradation mechanism, our data are based on in vitro assessments of the hydrogel’s degradation behavior. However, in vivo degradation may differ from in vitro results. Therefore, future studies should focus on this aspect and conduct both in vitro and in vivo evaluations to more comprehensively elucidate the degradation mechanism. Second, while we recorded significant improvements at the histological, transcriptomic, and biochemical levels, this study lacks direct biomechanical or functional assessments. Complementary evaluations are required to obtain conclusive evidence of authentic functional recovery, such as measuring the ultimate tensile strength of healed tendons or performing functional gait analysis. For the outlook on formulation development, since F127 can be directly used for the encapsulation of Cur, the modification of F127 can be considered to introduce structures capable of direct cross-linking with oxi-HA. In this way, the amount of cross-linking agents can be reduced to further improve the biosafety of the formulation.

4. Materials and Methods

4.1. Materials and Reagents

Curcumin (purity ≥ 98%) was purchased from Shanghai Yuanye Bio-Technology Co., Ltd. (Shanghai, China). Indomethacin was purchased from Beijing Solarbio Science & Technology Co., Ltd. (Beijing, China). Pluronic® F127 (Poloxamer 407, average molecular weight ~12,600) was obtained from Sigma-Aldrich (St. Louis, MO, USA). Hyaluronic acid (HA), adipic acid dihydrazide (ADH), and phosphate-buffered saline (PBS) were supplied by Shanghai Macklin Biochemical Co., Ltd. (Shanghai, China). Sodium periodate and ethylene glycol were acquired from Shanghai Aladdin Biochemical Technology Co., Ltd. (Shanghai, China). The BCA Protein Assay Kit, the Total Superoxide Dismutase (SOD) Assay Kit (WST-8 method, S0101S), and the Lipid Peroxidation (MDA) Assay Kit (TBA method, S0131S) were purchased from Beyotime Biotechnology (Shanghai, China).

4.2. Experimental Animals

The Sprague Dawley (SD) rats used in this study were male, with a body weight of 220 ± 10 g, and of SPF grade. They were obtained from Liaoning Changsheng Biotechnology Co., Ltd., Liaoning, China (Animal Experiment License No.: SCXK [Liao] 2025-0001). All procedures involving experimental animals complied with the Guidelines for the Care and Use of Laboratory Animals and were approved by the Animal Ethics Committee of Changchun University of Chinese Medicine (Approval No.: 2025413).

4.3. Preparation of Cur-F127 Micelles

Cur-loaded micelles were prepared using the film hydration method. The preparation process was optimized based on two critical evaluation indices: EE% and DL%.

4.3.1. Preliminary Optimization via Single-Factor Experiments

First, drug-to-excipient ratio, mass concentration of carrier material, ultrasonic time, rotational evaporation rate, hydration volume, and hydration time were investigated as single factors. The goal was to identify the parameter ranges that significantly impact EE% and DL%.

4.3.2. Systematic Optimization via Orthogonal Array Design

Based on the single-factor results, four key parameters—drug-to-excipient ratio, polymer concentration, hydration volume, and hydration time—were selected for further systematic optimization using an L9 (34) orthogonal array design. The optimal condition identified for each parameter in the single-factor study was designated as its intermediate (Level 2) value in the orthogonal design, with three levels tested for each factor. EE% served as the primary optimization indicator.

4.3.3. Optimized Protocol for Preparing Cur-F127 Micelles

The final, optimized preparation procedure was as follows: Cur (10 mg) and F127 (150 mg) were accurately weighed and dissolved in 15 mL of methanol under ultrasonication. The clear solution was rotary-evaporated at 40 °C to form a thin film, which was subsequently vacuum-dried overnight to ensure complete removal of residual organic solvent. The dried film was then pre-warmed in a 40 °C water bath and hydrated by adding 10 mL of pre-warmed PBS under ultrasonication for 10 min, yielding an aqueous dispersion of drug-loaded polymeric micelles. To remove any unencapsulated drug aggregates, the dispersion was centrifuged at 1000 rpm for 10 min, and the supernatant containing the micelles was collected.

4.3.4. Preparation of Blank Micelles

Blank micelles were prepared following an identical procedure, omitting the addition of Cur. For long-term storage and subsequent analyses, the prepared micelle solutions were pre-frozen for 48 h and then lyophilized for 48 h to obtain a solid powder.

4.4. Quantification of Curcumin

A standard solution of Cur (0.1 mg/mL) was prepared by dissolving 1.0 mg (accurately weighed) of Cur reference standard in 10 mL of methanol. The test sample solution was prepared by diluting the Cur-F127 micellar solution with methanol to an appropriate concentration, followed by ultrasonication to thoroughly disrupt the micellar structure. Cur content was quantified using high-performance liquid chromatography (HPLC). The chromatographic conditions were as follows: Agilent ZORBAX SB-C18 column (250 mm × 4.6 mm, 5 μm); mobile phase consisting of 1% glacial acetic acid and acetonitrile (52:48, v/v); injection volume, 5 µL; column temperature, 28 °C; flow rate, 1 mL/min; detection wavelength, 430 nm. All samples were filtered through a 0.22 μm membrane prior to injection. The EE% and DL% were calculated using the following equations:
EE% = Encapsulated drug weight/Initial weight of the drug × 100%
DL% = Encapsulated drug weight/Total micelle weight × 100%

4.5. Characterization of Cur-F127

The prepared Cur-F127 was stored in transparent vials, and its morphological appearance was inspected by visual observation and recorded with photographs. The morphology of Cur-F127 micelles was observed using TEM (JEM-1200EX, JEOL Ltd., Tokyo, Japan). The particle size distribution of Cur-F127 was determined using a nanolaser particle size analyzer (Zetasizer Nano ZS90, Malvern Panalytical, UK). The CMC was determined using the pyrene fluorescence probe method and detected with a fluorescence spectrometer (FL6500, PerkinElmer, Chicago, IL, USA). To confirm the successful preparation of the micelles, spectra were recorded with an FTIR spectrometer (Vector-33, Bruker, Ettlingen, Germany). Each measurement was repeated three times to ensure reproducibility. Results are expressed as mean ± standard deviation.

4.6. In Vitro Drug Release from Cur-F127

The prepared Cur-F127 micelles were sealed in a dialysis bag (molecular weight cutoff: 5000 Da) and immersed in 15 mL of PBS as the release medium. The release study was conducted in a shaking incubator maintained at 37 ± 1 °C with a rotational speed of 100 rpm.

4.7. Synthesis of Oxidized Hyaluronic Acid (oxi-HA)

The oxi-HA was synthesized as follows. First, 1 g of hyaluronic acid was dissolved in 100 mL of deionized water under magnetic stirring to prepare a 1% (w/v) HA aqueous solution. Sodium periodate, at a 1:1 molar ratio relative to the glucuronic acid unit of HA, was added as a 2.67% (w/v) aqueous solution to initiate oxidation. The reaction proceeded at room temperature for 24 h under light-protected conditions. To stop the reaction, 0.5 mL of ethylene glycol was added, followed by continuous stirring for 1 h. The resulting oxi-HA solution was then dialyzed extensively against deionized water (with water changes at least three times daily). The completeness of dialysis was confirmed using a 1% silver nitrate test until no white turbidity was observed upon addition. The dialyzed product was stored at −20 °C, fully frozen, and subsequently lyophilized to obtain a white, fluffy solid, designated as oxi-HA.

4.8. Preparation of Cur-F127-Loaded Hydrogel (Cur-F127&Gel)

Appropriate amounts of oxi-HA and ADH were separately weighed. The weighed oxi-HA and ADH were then each dissolved in a portion of the Cur-F127 solution at 4 °C overnight to ensure complete dissolution. The two solutions were subsequently mixed at a 1:1 molar ratio (oxi-HA to ADH) and allowed to stand undisturbed until gelation occurred, yielding the drug-loaded hydrogel (designated as Cur-F127&gel). By adjusting the total solid content during preparation, three distinct hydrogel formulations with solid contents of 4%, 5%, and 6% were fabricated. The resulting hydrogels were lyophilized to obtain the corresponding lyophilized hydrogel products. For control experiments, blank hydrogels (without Cur-F127) were prepared using an identical procedure, where the oxi-HA and ADH were dissolved in PBS instead of the micellar solution before mixing.

4.9. Quality Evaluation of Cur-F127&Gel

Lyophilized oxi-HA/ADH hydrogel samples were longitudinally sectioned. The exposed surface was sputter-coated with gold and then examined under a SEM (Gemini 300, Carl Zeiss, Jena, Germany) to analyze the microstructure of the composite hydrogel. Brief mixing of the oxi-HA and ADH solutions at room temperature yielded a transparent mixture. The gelation time was determined using the tube inversion method. The prepared pre-gel solution was placed in a centrifuge tube and incubated in a constant-temperature water bath. Timing commenced, and gelation was considered complete when the material no longer flowed upon tube inversion and gentle tapping of the tube wall. This time point was recorded as the gelation time. To evaluate the injectability of the prepared hydrogel, 0.5 mL of the formed hydrogel was loaded into a 1 mL syringe. The hydrogel was then extruded into PBS, and the process was monitored for needle clogging.

4.10. Swelling Characteristics of Cur-F127&Gel

Hydrogel samples were prepared, and their initial weight was recorded as W0. Each sample was immersed in PBS and removed at 30 min intervals. After carefully blotting away excess surface liquid, the swollen weight was measured and recorded as Wₜ. This process was repeated until the sample weight reached equilibrium, indicating maximum swelling. The swelling ratio (SR%) was calculated using the following equation:
SR% = (Wₜ − W0)/W0 × 100%

4.11. Biocompatibility Assessment of the Hydrogel

4.11.1. Preparation of Hydrogel Extracts

The prepared hydrogels were immersed in DMEM supplemented with 10% fetal bovine serum and 1% penicillin-streptomycin at concentrations of 0.1 and 0.2 g/mL. The mixture was incubated at 37 °C for 24 h to obtain the corresponding hydrogel extracts.

4.11.2. Cell Culture and Seeding

Cryopreserved Achilles tendon (AT) cells were thawed and cultured, with medium changes every 2–3 days. Upon reaching approximately 80% confluence, the cells were trypsinized and seeded into 96-well plates at a density of 6 × 103 cells per well (200 µL/well). To minimize evaporation, 200 µL of PBS was added to the outermost wells. The plates were then incubated at 37 °C under 5% CO2 for cell attachment overnight.

4.11.3. Cell Treatment and Viability Assay

After cell attachment, the AT cells were treated with hydrogel extracts derived from hydrogels with three different solid contents (4%, 5%, and 6%). For each solid content, two extract concentrations (from the 0.1 and 0.2 g/mL immersion preparations) were tested. A control group without any extract was also included, resulting in a total of seven experimental groups. The culture medium in each well was replaced with 200 µL of the corresponding treatment solution, and the plates were returned to the incubator for 48 h. Following incubation, 100 µL of a 10% CCK-8 solution (in DMEM) was added to each well. After an additional 1 h incubation, the absorbance at 450 nm was measured using a microplate reader.

4.12. Degradation Characteristics of the Hydrogel

For the degradation study, hydrogel samples of equal volume were immersed in 20 mL of PBS and allowed to reach their equilibrium swollen state. The weight at this point was recorded as W0. The samples were then incubated at 37 °C under constant shaking at 100 rpm. At predetermined time points, individual hydrogels were removed, rinsed with deionized water, and weighed (Wₜ). The degradation percentage was calculated as follows, where W0 represents the initial equilibrated weight and Wₜ is the weight at each time point:
Remaining weight% = Wₜ/W0 × 100%

4.13. In Vitro Cur Release from Cur-F127&Gel

Oxi-HA and ADH were separately dissolved in the prepared Cur-F127 micellar solution and incubated at 4 °C overnight to ensure complete dissolution. The two solutions were then mixed at a 1:1 molar ratio (oxi-HA:ADH) to allow cross-linking, followed by standing to form a solid hydrogel. The formed hydrogel was placed in a sealed dialysis bag (molecular weight cutoff: 5000 Da) and immersed in 10 mL of PBS as the release medium. The release study was conducted in a shaking incubator maintained at 37 ± 1 °C with a rotational speed of 100 rpm. At predetermined time points, aliquots of the release medium were withdrawn and replaced with an equal volume of fresh, pre-warmed PBS to maintain release conditions. The concentration of Cur in the collected samples was quantified using HPLC, after filtration through a 0.22 μm membrane.

4.14. Animal Model and Treatments

All SD rats were housed in a standard laboratory environment with temperature maintained at 23 ± 3 °C, humidity at 50 ± 5%, and a 12 h light/dark cycle. They had free access to water and were provided with standard laboratory chow. After 7 days of acclimatization, the rats were randomly divided into seven groups (n = 6 per group): control group, model group, blank hydrogel (blank-gel) group, Cur-F127&gel hydrogel treatment groups: low-dose group (Cur-L), medium-dose group (Cur-M), and high-dose group (Cur-H) and the positive control (IND) group. Except for the control group, the Achilles tendons of both hind limbs in the remaining six groups were disinfected with iodophor. A 30-G needle attached to a micro-syringe was inserted vertically into the tendon–bone junction until resistance was felt. The needle was then redirected to align parallel to the tendon axis, and 40 μL of collagenase I solution (7.5 mg·mL−1) was injected slowly along the distal portion of the Achilles tendon while withdrawing the needle. After injection, the puncture site was again disinfected with iodophor. The rats were returned to their cages and maintained under standard conditions for one week before the initiation of treatment.
Starting on day 15, the Cur-L, Cur-M, and Cur-H groups were gavaged with Cur-F127&gel (2, 4, and 8 μg/day, respectively). Rats in the control and model groups were injected with an equal volume of normal saline. Rats in the IND group received injections at a weekly dose of 1 μM. Two administrations were performed over the 28-day period.

4.15. Sample Collection and Processing

Twenty-eight days post-treatment, all rats were fasted for 12 h (with free access to water) prior to sample collection. After body weight measurement, rats were anesthetized by intraperitoneal injection of a 5 mL/kg dose of 20% urethane solution prior to euthanasia. Achilles tendon tissues were collected from all experimental groups. The tendons were either fixed in tissue fixative for histopathological evaluation or placed in sterile, nuclease-free tubes and snap-frozen for further analysis.

4.16. Histological Evaluation

Harvested tendons from each group were fixed in 4% paraformaldehyde for 24 h at 4 °C, followed by dehydration using a graded ethanol series. The specimens were then paraffin-embedded and sectioned into 5 μm thick slices. After deparaffinization and rehydration, histological staining was performed using standard protocols for H&E and Masson’s trichrome staining. The stained sections were observed and imaged under a light microscope. Histopathological scoring was performed in a blinded manner by two experienced observers using a modified Movin grading system. This system quantified six different parameters ranging from 0 (normal) to 3 (the most severe abnormality), and the average score of the two observers was used for comparison between groups [5].

4.17. Transcriptome Sequencing Analysis

Based on the staining results, the control group, model group, and high-dose treatment groups were selected for transcriptomic sequencing analysis to identify differentially expressed genes and elucidate the associated pathways. Raw sequencing reads were first subjected to quality control and filtering to obtain high-quality Clean Data. The Clean Data were then aligned to the reference genome of the corresponding species. Gene expression levels were quantified based on the alignment results. Subsequent analyses included differential expression analysis, functional enrichment analysis, and clustering of samples. Aligned reads were assembled to reconstruct transcript sequences. DEGs were identified using established bioinformatics software, with screening criteria set as |log2(fold change)| > 1 and adjusted p-value < 0.05. The results of the differential expression analysis were visualized using a volcano plot, which simultaneously displays the magnitude of expression change and statistical significance for each gene.
GO function was performed to identify significantly over-represented biological processes, molecular functions, and cellular components among the DEGs. All annotated genes were mapped to GO terms, and a hypergeometric test was applied to determine terms significantly enriched with DEGs relative to the whole genome background. KEGG pathway analysis was conducted to delineate the major metabolic and signaling pathways involving the DEGs. Enrichment significance was assessed using the hypergeometric test, and results were evaluated based on the rich factor (the ratio of DEGs mapped to a pathway to the total number of genes annotated to that pathway), the false discovery rate (FDR), and the number of enriched genes in each pathway. A higher rich factor and a lower FDR (closer to 0) indicate stronger pathway enrichment.

4.18. Immunohistochemical Staining

Following deparaffinization and rehydration, Achilles tendon tissue sections underwent antigen retrieval in sodium citrate buffer (pH 6.0) using a microwave heating method. Endogenous peroxidase was blocked with 3% H2O2 (25 min, room temperature). After blocking with 3% BSA (30 min), sections were incubated overnight at 4 °C with primary antibodies, followed by HRP-conjugated secondary antibodies (50 min, room temperature). Slice was developed with DAB, and nuclei were counterstained with hematoxylin. Sections were dehydrated, cleared, and mounted for bright-field microscopy.

4.19. Assessment of Oxidative Stress Markers

The collected tendon tissues from the control, model, and high-dose treatment groups were weighed and homogenized in ice-cold buffer at a 1:10 (w/v) ratio using a tissue homogenizer. After centrifugation, the supernatant was collected for analysis. The total protein concentration of each sample was quantified using the BCA Protein Assay Kit. Subsequently, the activity of SOD and the content of MDA were measured strictly according to the protocols provided with the respective commercial assay kits. The absorbance value was measured using a microplate reader (SER 33, Molecular Devices, San Jose, CA, USA) at the corresponding wavelength.

4.20. Statistical Analysis

In our experiments, all statistical analyses were performed using SPSS software (version 22.0; IBM, Armonk, NY, USA). Graphs were generated with GraphPad Prism (version 9.0), and quantitative image analysis was conducted using ImageJ (version 1.54f). For comparisons among multiple groups, one-way analysis of variance (ANOVA) followed by Tukey’s post hoc test was applied. Comparisons between two groups were made using an unpaired Student’s t-test. A p-value < 0.05 was considered statistically significant, with asterisks denoting significance levels as follows: * p < 0.05, ** p < 0.01, *** p < 0.001.

5. Conclusions

In summary, we have developed a Cur-loaded micelle-hydrogel composite system that combines nanoscale solubilization with localized sustained release. This system not only overcame the major delivery hurdles of Cur but also demonstrated pronounced efficacy in promoting tendon repair by modulating multiple pathological pathways—most notably by restoring mitochondrial function and alleviating oxidative stress. Our findings provide a strong rationale for the further development of mechanism-based, locally delivered therapies for tendinopathy and highlight the potential of targeting mitochondrial health in degenerative tendon disorders.

Author Contributions

Conceptualization, G.Z. and S.W.; methodology, S.W. and K.W.; software, S.W.; validation, M.S. and X.W.; formal analysis, M.S.; investigation, J.L.; resources, J.L.; data curation, S.W.; writing—original draft preparation, S.W.; writing—review and editing, G.Z. and Z.Q.; visualization, K.W.; supervision, Z.Q.; project administration, G.Z.; funding acquisition, G.Z. and Z.Q. All authors have read and agreed to the published version of the manuscript.

Funding

This research was supported by the Science and Technology Development Program Project of Jilin Province [Grant No. YDZJ202501ZYTS199], and the Science and Technology Research Project of the Department of Education of Jilin Province [Grant No. JJKH20241088KJ].

Institutional Review Board Statement

This study was conducted in strict accordance with the recommendations of the Guide for the Care and Use of Laboratory Animals published by the Ministry of Health, China. All animal welfare considerations and experimental protocols were reviewed and approved by the Animal Ethics Committee of Changchun University of Chinese Medicine (Approval No.: 2025413, Approval date: 27 June 2025).

Informed Consent Statement

Not applicable.

Data Availability Statement

The original contributions presented in this study are included in the article. Further inquiries can be directed to the corresponding author.

Conflicts of Interest

The authors declare no conflicts of interest.

References

  1. Millar, N.L.; Silbernagel, K.G.; Thorborg, K.; Kirwan, P.D.; Galatz, L.M.; Abrams, G.D.; Murrell, G.A.C.; McInnes, I.B.; Rodeo, S.A. Tendinopathy. Nat. Rev. Dis. Primers 2021, 7, 1, Erratum in Nat. Rev. Dis. Primers 2021, 7, 10. [Google Scholar] [CrossRef]
  2. Lei, X.; Qian, D.; Zhang, W.; Zhao, B.; Li, Y.; Hao, H.; Yuan, J.; Zhao, L.; Liu, C. Macrophage PTP1B Regulates Mitochondrial Dynamics via the JAK2/STAT3-OPA1 Axis and Activates the cGAS/STING Signaling Pathway. Front. Immunol. 2025, 16, 1644289. [Google Scholar] [CrossRef]
  3. Zhang, Z.; Zhang, Y.; Wang, H.; Li, B.; Cao, R.; Li, Y.; Cui, S.; Zhang, W. Curcumin Improves Functional Recovery of Ruptured Tendon by Promoting Tenogenesis via PI3K/Akt Signaling. Stem Cells Transl. Med. 2024, 13, 477–489. [Google Scholar] [CrossRef] [PubMed]
  4. Aicale, R.; Oliviero, A.; Maffulli, N. Management of Achilles and Patellar Tendinopathy: What We Know, What We Can Do. J. Foot Ankle Res. 2020, 13, 59. [Google Scholar] [CrossRef]
  5. Chen, J.; Yu, Q.; Wu, B.; Lin, Z.; Pavlos, N.J.; Xu, J.; Ouyang, H.; Wang, A.; Zheng, M.H. Autologous Tenocyte Therapy for Experimental Achilles Tendinopathy in a Rabbit Model. Tissue Eng. Part A 2011, 17, 2037–2048. [Google Scholar] [CrossRef]
  6. Silbernagel, K.G.; Hanlon, S.; Sprague, A. Current Clinical Concepts: Conservative Management of Achilles Tendinopathy. J. Athl. Train. 2020, 55, 438–447. [Google Scholar] [CrossRef]
  7. Albers, I.S.; Zwerver, J.; Diercks, R.L.; Dekker, J.H.; Van Den Akker-Scheek, I. Incidence and Prevalence of Lower Extremity Tendinopathy in a Dutch General Practice Population: A Cross Sectional Study. BMC Musculoskel. Dis. 2016, 17, 16. [Google Scholar] [CrossRef]
  8. de Vos, R.-J.; van der Vlist, A.C.; Zwerver, J.; Meuffels, D.E.; Smithuis, F.; van Ingen, R.; van der Giesen, F.; Visser, E.; Balemans, A.; Pols, M.; et al. Dutch Multidisciplinary Guideline on Achilles Tendinopathy. Br. J. Sports Med. 2021, 55, 1125. [Google Scholar] [CrossRef] [PubMed]
  9. Hijlkema, A.; Roozenboom, C.; Mensink, M.; Zwerver, J. The Impact of Nutrition on Tendon Health and Tendinopathy: A Systematic Review. J. Int. Soc. Sports Nutr. 2022, 19, 474–504. [Google Scholar] [CrossRef] [PubMed]
  10. Pedaprolu, K.; Szczesny, S.E. Mouse Achilles Tendons Exhibit Collagen Disorganization but Minimal Collagen Denaturation during Cyclic Loading to Failure. J. Biomech. 2023, 151, 111545. [Google Scholar] [CrossRef]
  11. Rees, J.D.; Stride, M.; Scott, A. Tendons—Time to Revisit Inflammation. Br. J. Sports Med. 2014, 48, 1553–1557. [Google Scholar] [CrossRef]
  12. Cipollaro, L.; Sahemey, R.; Oliva, F.; Maffulli, N. Immunohistochemical Features of Rotator Cuff Tendinopathy. Br. Med. Bull. 2019, 130, 105–123. [Google Scholar] [CrossRef]
  13. Lui, P.P.Y.; Zhang, X.; Yao, S.; Sun, H.; Huang, C. Roles of Oxidative Stress in Acute Tendon Injury and Degenerative Tendinopathy-A Target for Intervention. Int. J. Mol. Sci. 2022, 23, 3571. [Google Scholar] [CrossRef]
  14. D’Addona, A.; Maffulli, N.; Formisano, S.; Rosa, D. Inflammation in Tendinopathy. Surgeon 2017, 15, 297–302. [Google Scholar] [CrossRef] [PubMed]
  15. Challoumas, D.; Biddle, M.; McLean, M.; Millar, N.L. Comparison of Treatments for Frozen Shoulder: A Systematic Review and Meta-Analysis. JAMA Netw. Open 2020, 3, e2029581. [Google Scholar] [CrossRef]
  16. Zhang, X.; Eliasberg, C.D.; Rodeo, S.A. Mitochondrial Dysfunction and Potential Mitochondrial Protectant Treatments in Tendinopathy. Ann. N. Y. Acad. Sci. 2021, 1490, 29–41. [Google Scholar] [CrossRef]
  17. Zhang, X.; Wada, S.; Zhang, Y.; Chen, D.; Deng, X.-H.; Rodeo, S.A. Assessment of Mitochondrial Dysfunction in a Murine Model of Supraspinatus Tendinopathy. J. Bone Jt. Surg. 2021, 103, 174–183. [Google Scholar] [CrossRef]
  18. Zhang, W.; Sun, S.Y.; Liu, H.H.; Zhu, Q.X.; Fang, X.; Shi, Y.L.; Wang, X. Research progress of mitochondrial pathway in the treatment of tendinopathy. J. Wuhan Univ. Med. Ed. 2024, 45, 1131–1135+1142. (In Chinese) [Google Scholar] [CrossRef]
  19. Song, Y.C.; Zhao, J.; Zhu, H.; Hang, P.Z. Regulatory effect of 7,8-dihydroxyflavone on mitochondrial oxidative phosphorylation in lung fibroblasts and lung epithelial cells. Pharm. Clin. Res. 2025, 33, 289–294. (In Chinese) [Google Scholar] [CrossRef]
  20. Shen, Y.; Wei, W.; Lu, Y.; Song, M.; Yang, S.; Liu, H.; Xu, X.; Zhou, H. Berberine Alleviates Tendinopathy by Suppressing the cGAS-STING Pathway and Relieving Ferroptosis. Biochem. Biophys. Res. Commun. 2025, 767, 151923. [Google Scholar] [CrossRef] [PubMed]
  21. Irby, A.; Gutierrez, J.; Chamberlin, C.; Thomas, S.J.; Rosen, A.B. Clinical Management of Tendinopathy: A Systematic Review of Systematic Reviews Evaluating the Effectiveness of Tendinopathy Treatments. Scand. J. Med. Sci. Sports 2020, 30, 1810–1826. [Google Scholar] [CrossRef]
  22. Anwar, A.; John Anwar, I.; Delafontaine, P. Elevation of Cardiovascular Risk by Non-Steroidal Anti-Inflammatory Drugs. Trends Cardiovasc. Med. 2015, 25, 726–735. [Google Scholar] [CrossRef]
  23. Tai, F.W.D.; McAlindon, M.E. Non-Steroidal Anti-Inflammatory Drugs and the Gastrointestinal Tract. Clin. Med. 2021, 21, 131–134. [Google Scholar] [CrossRef]
  24. Sadeghi, M.; Dehnavi, S.; Asadirad, A.; Xu, S.; Majeed, M.; Jamialahmadi, T.; Johnston, T.P.; Sahebkar, A. Curcumin and Chemokines: Mechanism of Action and Therapeutic Potential in Inflammatory Diseases. Inflammopharmacology 2023, 31, 1069–1093. [Google Scholar] [CrossRef] [PubMed]
  25. Abd El-Hack, M.E.; El-Saadony, M.T.; Swelum, A.A.; Arif, M.; Abo Ghanima, M.M.; Shukry, M.; Noreldin, A.; Taha, A.E.; El-Tarabily, K.A. Curcumin, the Active Substance of Turmeric: Its Effects on Health and Ways to Improve Its Bioavailability. J. Sci. Food Agric. 2021, 101, 5747–5762. [Google Scholar] [CrossRef]
  26. Wang, W.; Li, M.; Wang, L.; Chen, L.; Goh, B.-C. Curcumin in Cancer Therapy: Exploring Molecular Mechanisms and Overcoming Clinical Challenges. Cancer Lett. 2023, 570, 216332. [Google Scholar] [CrossRef] [PubMed]
  27. Li, S.; Yang, C.; Li, J.; Zhang, C.; Zhu, L.; Song, Y.; Guo, Y.; Wang, R.; Gan, D.; Shi, J.; et al. Progress in Pluronic F127 Derivatives for Application in Wound Healing and Repair. Int. J. Nanomed. 2023, 18, 4485–4505. [Google Scholar] [CrossRef] [PubMed]
  28. De Souza, M.V.F.; Shinobu-Mesquita, C.S.; Meirelles, L.E.F.; Mari, N.L.; César, G.B.; Gonçalves, R.S.; Caetano, W.; Damke, E.; Silva, V.R.; Damke, G.M.; et al. Effects of Hypericin Encapsulated on Pluronic F127 Photodynamic Therapy against Triple Negative Breast Cancer. Asian Pac. J. Cancer Prev. APJCP 2022, 23, 1741–1751. [Google Scholar] [CrossRef]
  29. Anirudhan, T.S.; Varghese, S.; Manjusha, V. Hyaluronic Acid Coated Pluronic F127/Pluronic P123 Mixed Micelle for Targeted Delivery of Paclitaxel and Curcumin. Int. J. Biol. Macromol. 2021, 192, 950–957. [Google Scholar] [CrossRef]
  30. Chen, B.; Liang, Y.; Zhang, J.; Bai, L.; Xu, M.; Han, Q.; Han, X.; Xiu, J.; Li, M.; Zhou, X.; et al. Synergistic Enhancement of Tendon-to-Bone Healing via Anti-Inflammatory and pro-Differentiation Effects Caused by Sustained Release of Mg2+/Curcumin from Injectable Self-Healing Hydrogels. Theranostics 2021, 11, 5911–5925. [Google Scholar] [CrossRef]
  31. Cha, G.D.; Lee, W.H.; Sunwoo, S.-H.; Kang, D.; Kang, T.; Cho, K.W.; Kim, M.; Park, O.K.; Jung, D.; Lee, J.; et al. Multifunctional Injectable Hydrogel for In Vivo Diagnostic and Therapeutic Applications. ACS Nano 2022, 16, 554–567. [Google Scholar] [CrossRef]
  32. Pandit, A.H.; Mazumdar, N.; Ahmad, S. Periodate Oxidized Hyaluronic Acid-Based Hydrogel Scaffolds for Tissue Engineering Applications. Int. J. Biol. Macromol. 2019, 137, 853–869. [Google Scholar] [CrossRef]
  33. Zhang, J.Y.; Yu, S.; Zhang, L.; Xu, X.; Zhu, X.Y.; Wu, C.Y.; Huang, L.S. Preparation of curcumin-loaded Pluronic F127 micelles and NMR analysis of their micellization behavior. Chin. J. Exp. Tradit. Med. Formulae 2013, 19, 1–4. (In Chinese) [Google Scholar]
  34. Akbar, M.U.; Zia, K.M.; Nazir, A.; Iqbal, J.; Ejaz, S.A.; Akash, M.S.H. Pluronic-Based Mixed Polymeric Micelles Enhance the Therapeutic Potential of Curcumin. AAPS PharmSciTech 2018, 19, 2719–2739. [Google Scholar] [CrossRef]
  35. Mondini Trissino Da Lodi, C.; Salerno, M.; Merli, G.; Brama, P.; Jenner, F.; Filardo, G. Tendinopathy: Sex Bias Starts from the Preclinical Development of Tendon Treatments. A systematic review. Biol. Sex. Differ. 2022, 13, 44. [Google Scholar] [CrossRef]
  36. Adepu, S.; Ramakrishna, S. Controlled Drug Delivery Systems: Current Status and Future Directions. Molecules 2021, 26, 5905. [Google Scholar] [CrossRef]
  37. Yasmin, F.; Najeeb, H.; Shaikh, S.; Hasanain, M.; Naeem, U.; Moeed, A.; Koritala, T.; Hasan, S.; Surani, S. Novel Drug Delivery Systems for Inflammatory Bowel Disease. World J. Gastroenterol. 2022, 28, 1922–1933. [Google Scholar] [CrossRef] [PubMed]
  38. Li, S.; Chen, L.; Fu, Y. Nanotechnology-Based Ocular Drug Delivery Systems: Recent Advances and Future Prospects. J. Nanobiotechnology 2023, 21, 232. [Google Scholar] [CrossRef] [PubMed]
  39. Chen, Y.; Zhang, C.; Huang, Y.; Ma, Y.; Song, Q.; Chen, H.; Jiang, G.; Gao, X. Intranasal Drug Delivery: The Interaction between Nanoparticles and the Nose-to-Brain Pathway. Adv. Drug Deliv. Rev. 2024, 207, 115196. [Google Scholar] [CrossRef] [PubMed]
  40. Chen, H.; Zheng, T.; Wu, C.; Wang, J.; Ye, F.; Cui, M.; Sun, S.; Zhang, Y.; Li, Y.; Dong, Z. A Shape-Adaptive Gallic Acid Driven Multifunctional Adhesive Hydrogel Loaded with Scolopin2 for Wound Repair. Pharmaceuticals 2022, 15, 1422. [Google Scholar] [CrossRef]
  41. Wagner, E.K.; Vedadghavami, A.; Jacobsen, T.D.; Goel, S.A.; Chahine, N.O.; Bajpayee, A.G. Avidin Grafted Dextran Nanostructure Enables a Month-Long Intra-Discal Retention. Sci. Rep. 2020, 10, 12017. [Google Scholar] [CrossRef] [PubMed]
  42. Li, G.; Liu, S.; Chen, Y.; Zhao, J.; Xu, H.; Weng, J.; Yu, F.; Xiong, A.; Udduttula, A.; Wang, D.; et al. An Injectable Liposome-Anchored Teriparatide Incorporated Gallic Acid-Grafted Gelatin Hydrogel for Osteoarthritis Treatment. Nat. Commun. 2023, 14, 3159. [Google Scholar] [CrossRef]
  43. Guo, Z.; Xiu, L.; Li, Y.; Tan, J.; Wei, C.; Sui, J.; Zhang, S.; Zhu, R.; Li, J.-L. Injectable Nanocomposite Hydrogel with Cascade Drug Release for Treatment of Uveal Melanoma. J. Control. Release 2024, 376, 1086–1099. [Google Scholar] [CrossRef]
  44. Xiao, Y.; Gu, Y.; Qin, L.; Chen, L.; Chen, X.; Cui, W.; Li, F.; Xiang, N.; He, X. Injectable Thermosensitive Hydrogel-Based Drug Delivery System for Local Cancer Therapy. Colloids Surf. B 2021, 200, 111581. [Google Scholar] [CrossRef] [PubMed]
  45. Liu, B.; Chen, K. Advances in Hydrogel-Based Drug Delivery Systems. Gels 2024, 10, 262. [Google Scholar] [CrossRef]
  46. Xie, C.; Liu, G.; Wang, L.; Yang, Q.; Liao, F.; Yang, X.; Xiao, B.; Duan, L. Synthesis and Properties of Injectable Hydrogel for Tissue Filling. Pharmaceutics 2024, 16, 430. [Google Scholar] [CrossRef]
  47. Su, W.-Y.; Chen, Y.-C.; Lin, F.-H. Injectable Oxidized Hyaluronic Acid/Adipic Acid Dihydrazide Hydrogel for Nucleus Pulposus Regeneration. Acta Biomater. 2010, 6, 3044–3055. [Google Scholar] [CrossRef]
  48. Gao, Y.; Ding, S.; Huang, X.; Fan, Z.; Sun, J.; Hai, Y.; Li, K. Development and Evaluation of Hollow Mesoporous Silica Microspheres Bearing on Enhanced Oral Delivery of Curcumin. Drug Dev. Ind. Pharm. 2019, 45, 273–281. [Google Scholar] [CrossRef]
  49. Cheng, L.; Zheng, Q.; Qiu, K.; Elmer Ker, D.F.; Chen, X.; Yin, Z. Mitochondrial Destabilization in Tendinopathy and Potential Therapeutic Strategies. J. Orthop. Transl. 2024, 49, 49–61. [Google Scholar] [CrossRef] [PubMed]
  50. Lee, J.M.; Hwang, J.W.; Kim, M.J.; Jung, S.Y.; Kim, K.-S.; Ahn, E.H.; Min, K.; Choi, Y.-S. Mitochondrial Transplantation Modulates Inflammation and Apoptosis, Alleviating Tendinopathy both In Vivo and In Vitro. Antioxidants 2021, 10, 696. [Google Scholar] [CrossRef]
  51. Zhang, X.; Bowen, E.; Zhang, M.; Szeto, H.H.; Deng, X.-H.; Rodeo, S.A. SS-31 as a Mitochondrial Protectant in the Treatment of Tendinopathy: Evaluation in a Murine Supraspinatus Tendinopathy Model. J. Bone Jt. Surg. 2022, 104, 1886–1894. [Google Scholar] [CrossRef] [PubMed]
  52. Schwartz, A.; Watson, J.N.; Hutchinson, M.R. Patellar Tendinopathy. Sports Health Multidiscip. Approach 2015, 7, 415–420. [Google Scholar] [CrossRef] [PubMed]
Figure 1. Single-factor investigation for the preparation of Cur-F127 micelles, examining the effects of various factors on EE% and DL%. (A) Effect of drug-to-excipient ratio on EE% and DL%. (B) Effect of polymer (F127) concentration on EE% and DL%. (C) Effect of sonication time on EE% and DL%. (D) Effect of rotary evaporation speed on EE% and DL%. (E) Effect of hydration volume on EE% and DL%. (F) Effect of hydration time on EE% and DL%.
Figure 1. Single-factor investigation for the preparation of Cur-F127 micelles, examining the effects of various factors on EE% and DL%. (A) Effect of drug-to-excipient ratio on EE% and DL%. (B) Effect of polymer (F127) concentration on EE% and DL%. (C) Effect of sonication time on EE% and DL%. (D) Effect of rotary evaporation speed on EE% and DL%. (E) Effect of hydration volume on EE% and DL%. (F) Effect of hydration time on EE% and DL%.
Ijms 27 01642 g001
Figure 2. Characterization of Cur-F127 micelles. (A) (a) Macroscopic appearance of the Cur-F127 micellar solution (left side) compared to free Cur in water (right side). (b) Tyndall effect observed in the micellar solution, indicating colloidal nature. (B) TEM images showing the spherical morphology of the micelles. Scale bars: (a) 200 nm and (b) 100 nm. (C) Particle size distribution of Cur-F127 micelles. (D) Zeta potential profile of the Cur-F127 micelles.
Figure 2. Characterization of Cur-F127 micelles. (A) (a) Macroscopic appearance of the Cur-F127 micellar solution (left side) compared to free Cur in water (right side). (b) Tyndall effect observed in the micellar solution, indicating colloidal nature. (B) TEM images showing the spherical morphology of the micelles. Scale bars: (a) 200 nm and (b) 100 nm. (C) Particle size distribution of Cur-F127 micelles. (D) Zeta potential profile of the Cur-F127 micelles.
Ijms 27 01642 g002
Figure 3. CMC, FTIR, and Cur release profile determination of Cur-F127 micelles (A) Determination of the CMC using the pyrene fluorescence probe method (the concentration at the dashed line represents the CMC value of the micelles). (B) FTIR spectra of curcumin, a physical mixture, blank micelles, and Cur-F127 micelles. (C) In vitro cumulative release profile of Cur from Cur-F127 micelles in PBS (pH 7.4) at 37 °C. Data are presented as mean ± SD (n = 3).
Figure 3. CMC, FTIR, and Cur release profile determination of Cur-F127 micelles (A) Determination of the CMC using the pyrene fluorescence probe method (the concentration at the dashed line represents the CMC value of the micelles). (B) FTIR spectra of curcumin, a physical mixture, blank micelles, and Cur-F127 micelles. (C) In vitro cumulative release profile of Cur from Cur-F127 micelles in PBS (pH 7.4) at 37 °C. Data are presented as mean ± SD (n = 3).
Ijms 27 01642 g003
Figure 4. Characterization of Cur-F127&gel Hydrogel. (A) Macroscopic appearance of the blank hydrogel before and after gelation. (B) Macroscopic appearance of the drug-loaded hydrogel (Cur-F127&gel) before and after gelation. (C) Representative SEM images showing the microstructure of lyophilized hydrogels with different solid contents (4%, 5%, and 6%). Scale bar: 100 μm.
Figure 4. Characterization of Cur-F127&gel Hydrogel. (A) Macroscopic appearance of the blank hydrogel before and after gelation. (B) Macroscopic appearance of the drug-loaded hydrogel (Cur-F127&gel) before and after gelation. (C) Representative SEM images showing the microstructure of lyophilized hydrogels with different solid contents (4%, 5%, and 6%). Scale bar: 100 μm.
Ijms 27 01642 g004
Figure 5. Determination of swelling rate, biocompatibility, injectability, degradation, and drug release profile of Cur-F127&gel hydrogel. (A) Swelling profiles of the three hydrogels in PBS at 37 °C (n = 3). (B) Biocompatibility assessment of the hydrogels. Cells were incubated with extracts obtained by immersing the hydrogels at concentrations of 0.1 and 0.2 g/mL for 24 h (n = 3). (C) Injectability test of the 4% hydrogel using a 1 mL insulin syringe with a 30 G needle. The hydrogel was smoothly extruded into PBS at 37 °C. (D) In vitro degradation profiles of the 4% blank and drug-loaded hydrogels in PBS at 37 °C under shaking at 100 rpm (n = 3). (E) In vitro cumulative release profile of Cur from the 4% Cur-F127&gel hydrogel in PBS at 37 °C under shaking at 100 rpm (n = 3).
Figure 5. Determination of swelling rate, biocompatibility, injectability, degradation, and drug release profile of Cur-F127&gel hydrogel. (A) Swelling profiles of the three hydrogels in PBS at 37 °C (n = 3). (B) Biocompatibility assessment of the hydrogels. Cells were incubated with extracts obtained by immersing the hydrogels at concentrations of 0.1 and 0.2 g/mL for 24 h (n = 3). (C) Injectability test of the 4% hydrogel using a 1 mL insulin syringe with a 30 G needle. The hydrogel was smoothly extruded into PBS at 37 °C. (D) In vitro degradation profiles of the 4% blank and drug-loaded hydrogels in PBS at 37 °C under shaking at 100 rpm (n = 3). (E) In vitro cumulative release profile of Cur from the 4% Cur-F127&gel hydrogel in PBS at 37 °C under shaking at 100 rpm (n = 3).
Ijms 27 01642 g005
Figure 6. Experimental Protocol for establishing a rat tendinopathy model and group treatment.
Figure 6. Experimental Protocol for establishing a rat tendinopathy model and group treatment.
Ijms 27 01642 g006
Figure 7. Histological evaluation of tendon tissues at 4 weeks after collagenase-induced tendinopathy. Representative staining images of tendons from each group observed under microscopy are shown. (A) Hematoxylin and eosin (H&E) staining. (B) Masson’s trichrome staining. (C) Total histology score showing the best therapeutic outcome in the Cur-H treatment group. (D) Histology score for 6 individual parameters. (E) Quantitative analysis of Masson’s trichrome staining results. Scale bar (A,B): 100 μm; n = 6. Data are expressed as the mean ± SD, *** p < 0.001.
Figure 7. Histological evaluation of tendon tissues at 4 weeks after collagenase-induced tendinopathy. Representative staining images of tendons from each group observed under microscopy are shown. (A) Hematoxylin and eosin (H&E) staining. (B) Masson’s trichrome staining. (C) Total histology score showing the best therapeutic outcome in the Cur-H treatment group. (D) Histology score for 6 individual parameters. (E) Quantitative analysis of Masson’s trichrome staining results. Scale bar (A,B): 100 μm; n = 6. Data are expressed as the mean ± SD, *** p < 0.001.
Ijms 27 01642 g007
Figure 8. Transcriptomic Sequencing Analysis of the control, model, and Cur-H treatment Groups (n = 3 per group). (A) Volcano plot of differentially expressed genes between the control and model groups. (B) Volcano plot of differentially expressed genes between the model and treatment groups. In (A,B), red dots represent up-regulated genes; blue dots represent down-regulated genes. Thresholds were set at |log2(fold change)| > 1 and adjusted p < 0.05. (C) Selected representative Gene Ontology (GO) terms enriched among the reversed genes. (D) Kyoto Encyclopedia of Genes and Genomes (KEGG) pathways enriched among the reversed genes.
Figure 8. Transcriptomic Sequencing Analysis of the control, model, and Cur-H treatment Groups (n = 3 per group). (A) Volcano plot of differentially expressed genes between the control and model groups. (B) Volcano plot of differentially expressed genes between the model and treatment groups. In (A,B), red dots represent up-regulated genes; blue dots represent down-regulated genes. Thresholds were set at |log2(fold change)| > 1 and adjusted p < 0.05. (C) Selected representative Gene Ontology (GO) terms enriched among the reversed genes. (D) Kyoto Encyclopedia of Genes and Genomes (KEGG) pathways enriched among the reversed genes.
Ijms 27 01642 g008
Figure 9. Immunohistochemical staining analysis and quantitative analysis of the mitochondrial respiratory chain-related proteins expression in the oxidative phosphorylation pathway. (A) Immunohistochemical staining for protein expression of Ndufs3, Uqcrq, Uqcr10, and Atp5mc3, (n = 6), Scale bars: 100 μm. (BE) Quantification of positive area percentage for each protein. Data are expressed as the mean ± SD. *** p < 0.001.
Figure 9. Immunohistochemical staining analysis and quantitative analysis of the mitochondrial respiratory chain-related proteins expression in the oxidative phosphorylation pathway. (A) Immunohistochemical staining for protein expression of Ndufs3, Uqcrq, Uqcr10, and Atp5mc3, (n = 6), Scale bars: 100 μm. (BE) Quantification of positive area percentage for each protein. Data are expressed as the mean ± SD. *** p < 0.001.
Ijms 27 01642 g009
Figure 10. Determination of key oxidative stress marker expression in tendon tissue. (A) Effect of Cur-F127&gel treatment on SOD activity in tendon tissue (n = 3). (B) Effect of Cur-F127&gel treatment on MDA content in tendon tissue (n = 3). Data are expressed as the mean ± SD. * p < 0.05, ** p < 0.01, *** p < 0.001.
Figure 10. Determination of key oxidative stress marker expression in tendon tissue. (A) Effect of Cur-F127&gel treatment on SOD activity in tendon tissue (n = 3). (B) Effect of Cur-F127&gel treatment on MDA content in tendon tissue (n = 3). Data are expressed as the mean ± SD. * p < 0.05, ** p < 0.01, *** p < 0.001.
Ijms 27 01642 g010
Table 1. Levels of Factors in Orthogonal Experimental Design.
Table 1. Levels of Factors in Orthogonal Experimental Design.
LevelsDrug-to-Excipient Ratio (A)Polymer
Concentration (B)
Hydration
Volume (C)
Hydration Time (D)
11:10555
21:15107.510
31:20201020
Table 2. Results of Orthogonal Experiment for Optimizing Preparation Process.
Table 2. Results of Orthogonal Experiment for Optimizing Preparation Process.
NumberABCDEE%
1111167.71
2122371.80
3133261.97
4212186.86
5223290.02
6231358.56
7312276.26
8321380.76
9333169.72
K167.1676.9469.0174.77
K278.4880.8678.3076.08
K375.5863.4273.9170.37
R11.3217.444.895.71
Disclaimer/Publisher’s Note: The statements, opinions and data contained in all publications are solely those of the individual author(s) and contributor(s) and not of MDPI and/or the editor(s). MDPI and/or the editor(s) disclaim responsibility for any injury to people or property resulting from any ideas, methods, instructions or products referred to in the content.

Share and Cite

MDPI and ACS Style

Wang, S.; Wu, K.; Sun, M.; Wang, X.; Li, J.; Zhang, G.; Qiu, Z. Development of a Curcumin-Loaded Nanomicelles-Injectable Sustained-Release Hydrogel System for Modulating Oxidative Stress to Alleviate Tendinopathy. Int. J. Mol. Sci. 2026, 27, 1642. https://doi.org/10.3390/ijms27041642

AMA Style

Wang S, Wu K, Sun M, Wang X, Li J, Zhang G, Qiu Z. Development of a Curcumin-Loaded Nanomicelles-Injectable Sustained-Release Hydrogel System for Modulating Oxidative Stress to Alleviate Tendinopathy. International Journal of Molecular Sciences. 2026; 27(4):1642. https://doi.org/10.3390/ijms27041642

Chicago/Turabian Style

Wang, Shuang, Keyi Wu, Meiqi Sun, Xinrui Wang, Jingying Li, Guorong Zhang, and Zhidong Qiu. 2026. "Development of a Curcumin-Loaded Nanomicelles-Injectable Sustained-Release Hydrogel System for Modulating Oxidative Stress to Alleviate Tendinopathy" International Journal of Molecular Sciences 27, no. 4: 1642. https://doi.org/10.3390/ijms27041642

APA Style

Wang, S., Wu, K., Sun, M., Wang, X., Li, J., Zhang, G., & Qiu, Z. (2026). Development of a Curcumin-Loaded Nanomicelles-Injectable Sustained-Release Hydrogel System for Modulating Oxidative Stress to Alleviate Tendinopathy. International Journal of Molecular Sciences, 27(4), 1642. https://doi.org/10.3390/ijms27041642

Note that from the first issue of 2016, this journal uses article numbers instead of page numbers. See further details here.

Article Metrics

Back to TopTop