Covalently Immobilized Mitomycin C on Polypropylene Sutures Creates a Non-Releasing Bioactive Interface That Modulates Vascular Smooth Muscle Cell Fate and Prevents Intimal Hyperplasia
Abstract
1. Introduction
2. Results
2.1. Plasma Functionalization Enables Stable MMC Immobilization
2.2. Mechanical Performance Remains Intact
2.3. Mitomycin C Elution Test by Ultraviolet–Visible (UV–Vis) Spectroscopy
2.4. MMC-Anchored Biointerface Triggers Apoptosis and Suppresses the Proliferative VSMC Phenotype
2.4.1. Cytocompatibility (ISO 10993-5)
2.4.2. Cell Cycle Arrest and Apoptosis
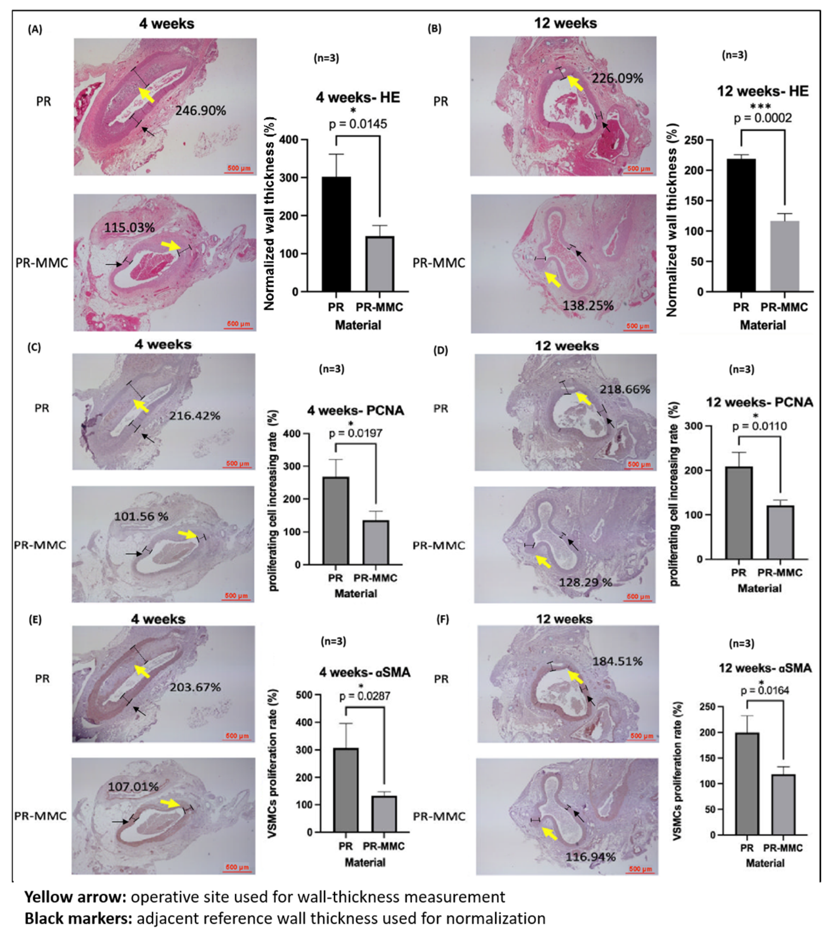
2.5. MMC-Grafted Sutures Attenuate Intimal Hyperplasia Through Suppression of VSMC Proliferation and Phenotypic Switching In Vivo
2.5.1. Systemic Safety
2.5.2. Histology
2.5.3. PCNA and α-SMA Expression
3. Discussion
3.1. Molecular Regulation of VSMC Fate at a Non-Releasing Interface
3.2. Advantages of Non-Releasing, Contact-Dependent Biointerfaces over Drug-Eluting Sutures
- (i)
- prevents drug exhaustion;
- (ii)
- avoids systemic exposure;
- (iii)
- maintains uniform bioactivity throughout the healing period; and
- (iv)
- preserves suture mechanics and surgical usability.
3.3. Translational Implications
3.4. Limitations and Future Directions
4. Materials and Methods
4.1. Materials and Plasma Functionalization
4.2. Physicochemical Characterization of Plasma-Activated and MMC-Grafted Surfaces
4.2.1. Water Contact Angle
4.2.2. FTIR
4.2.3. SEM and EDS
4.3. Mechanical Testing
4.4. Mitomycin C Elution Assessment by UV–Vis Spectroscopy
4.5. In Vitro Cytocompatibility and Cell Fate Analysis
4.6. In Vivo Aortic Anastomosis Model and Ethical Considerations
4.7. Statistical Analysis
5. Conclusions
Author Contributions
Funding
Institutional Review Board Statement
Informed Consent Statement
Data Availability Statement
Acknowledgments
Conflicts of Interest
Abbreviations
| AAP | Acetic-acid plasma |
| AAALAC | Association for Assessment and Accreditation of Laboratory Animal Care International |
| ALT | Alanine aminotransferase |
| ANOVA | analysis of variance |
| AST | Aspartate aminotransferase |
| ATM | ataxia-telangiectasia mutated |
| ATR | ATM and Rad3-related |
| ATR-FTIR | attenuated total reflection Fourier-transform infrared spectroscopy |
| DNA | Deoxyribonucleic acid |
| DDR | DNA damage response |
| EDS | Energy-dispersive spectroscopy |
| FTIR | Fourier-transform infrared spectroscopy |
| G2/M | G2/M phase (cell cycle checkpoint) |
| H&E | hematoxylin and eosin |
| HPLC | high-performance liquid chromatography |
| IACUC | Institutional Animal Care and Use Committee |
| IH | Intimal hyperplasia |
| ISO | International Organization for Standardization |
| LC–MS | liquid chromatography–mass spectrometry |
| MMC | Mitomycin C |
| PCNA | Proliferating cell nuclear antigen |
| PI | propidium iodide |
| PP | Polypropylene (membrane) |
| PP–MMC | Mitomycin C–grafted polypropylene (membrane) |
| PR | Polypropylene suture (PROLENE®) |
| PR–MMC | Mitomycin C–grafted polypropylene suture |
| RBC | Red blood cell count |
| ROS | reactive oxygen species |
| SD | Standard deviation |
| SEM | Scanning electron microscopy |
| UV–Vis | ultraviolet–visible |
| VSMC(s) | Vascular smooth muscle cell(s) |
| WBC | White blood cell count |
| WST-1 | Water-soluble tetrazolium salt-1 assay |
| α-SMA | Alpha-smooth muscle actin |
References
- Writing Committee Members; Lawton, J.S.; Tamis-Holland, J.E.; Bangalore, S.; Bates, E.R.; Beckie, T.M.; Bischoff, J.M.; Bittl, J.A.; Cohen, M.G.; DiMaio, J.M.; et al. 2021 ACC/AHA/SCAI Guideline for Coronary Artery Revascularization: A Report of the American College of Cardiology/American Heart Association Joint Committee on Clinical Practice Guidelines. J. Am. Coll. Cardiol. 2022, 79, e21–e129. [Google Scholar]
- Joseph, J.; Velasco, A.; Hage, F.G.; Reyes, E. Guidelines in review: Comparison of ESC and ACC/AHA guidelines for the diagnosis and management of patients with stable coronary artery disease. J. Nucl. Cardiol. 2018, 25, 509–515. [Google Scholar]
- Gerhard-Herman, M.D.; Gornik, H.L.; Barrett, C.; Barshes, N.R.; Corriere, M.A.; Drachman, D.E.; Fleisher, L.A.; Fowkes, F.G.; Hamburg, N.M.; Kinlay, S.; et al. 2016 AHA/ACC Guideline on the Management of Patients With Lower Extremity Peripheral Artery Disease: A Report of the American College of Cardiology/American Heart Association Task Force on Clinical Practice Guidelines. Circulation 2017, 135, e726–e779. [Google Scholar]
- Romiti, M.; Albers, M.; Brochado-Neto, F.C.; Durazzo, A.E.; Pereira, C.A.; De Luccia, N. Meta-analysis of infrapopliteal angioplasty for chronic critical limb ischemia. J. Vasc. Surg. 2008, 47, 975–981. [Google Scholar] [CrossRef]
- Al-Jaishi, A.A.; Oliver, M.J.; Thomas, S.M.; Lok, C.E.; Zhang, J.C.; Garg, A.X.; Kosa, S.D.; Quinn, R.R.; Moist, L.M. Patency rates of the arteriovenous fistula for hemodialysis: A systematic review and meta-analysis. Am. J. Kidney Dis. 2014, 63, 464–478. [Google Scholar] [CrossRef] [PubMed]
- Hennocq, Q.; Caruhel, J.B.; Benassarou, M.; Bouaoud, J.; Chaine, A.; Girod, A.; Graillon, N.; Testelin, S.; Amor-Sahli, M.; Foy, J.P.; et al. Prognostic Factors for Free Flap Failure in Head and Neck Reconstruction. Head Neck 2025, 47, 1857–1866. [Google Scholar] [CrossRef] [PubMed]
- Haney, L.J.; Bae, E.; Pugh, M.J.V.; Copeland, L.A.; Wang, C.P.; MacCarthy, D.J.; Amuan, M.E.; Shireman, P.K. Patency of arterial repairs from wartime extremity vascular injuries. Trauma Surg. Acute Care Open 2020, 5, e000616. [Google Scholar] [CrossRef]
- Schmidt, D.M.; McClinton, M.A. Microvascular anastomoses in replanted fingers: Do they stay open? Microsurgery 1990, 11, 251–254. [Google Scholar] [CrossRef] [PubMed]
- Itoh, M.; Tsukada, S.; Orita, T.; Nishiu, J.; Tomoike, H.; Nakamura, Y.; Tanaka, T. Identification by differential display of eight known genes induced during in vivo intimal hyperplasia. J. Hum. Genet. 1998, 43, 9–13. [Google Scholar] [CrossRef]
- Subbotin, V.M. Analysis of arterial intimal hyperplasia: Review and hypothesis. Theor. Biol. Med. Model. 2007, 4, 41. [Google Scholar]
- Yoshimura, S.; Morishita, R.; Hayashi, K.; Yamamoto, K.; Nakagami, H.; Kaneda, Y.; Sakai, N.; Ogihara, T. Inhibition of intimal hyperplasia after balloon injury in rat carotid artery model using cis-element ‘decoy’ of nuclear factor-kappaB binding site as a novel molecular strategy. Gene Ther. 2001, 8, 1635–1642. [Google Scholar] [CrossRef]
- Gessaroli, M.; Bombardi, C.; Giunti, M.; Bacci, M.L. Prevention of neointimal hyperplasia associated with modified stretch expanded polytetrafluoroethylene hemodialysis grafts (Gore) in an experimental preclinical study in swine. J. Vasc. Surg. 2012, 55, 192–202. [Google Scholar] [CrossRef]
- Haruguchi, H.; Teraoka, S. Intimal hyperplasia and hemodynamic factors in arterial bypass and arteriovenous grafts: A review. J. Artif. Organs 2003, 6, 227–235. [Google Scholar] [CrossRef] [PubMed]
- Xu, K.; Al-Ani, M.K.; Pan, X.; Chi, Q.; Dong, N.; Qiu, X. Plant-Derived Products for Treatment of Vascular Intima Hyperplasia Selectively Inhibit Vascular Smooth Muscle Cell Functions. Evid. Based Complement. Altern. Med. 2018, 2018, 3549312. [Google Scholar]
- Newby, A.C.; Zaltsman, A.B. Molecular mechanisms in intimal hyperplasia. J. Pathol. 2000, 190, 300–309. [Google Scholar] [CrossRef]
- Tiwari, A.; Cheng, K.S.; Salacinski, H.; Hamilton, G.; Seifalian, A.M. Improving the patency of vascular bypass grafts: The role of suture materials and surgical techniques on reducing anastomotic compliance mismatch. Eur. J. Vasc. Endovasc. Surg. 2003, 25, 287–295. [Google Scholar] [CrossRef] [PubMed]
- Collins, D.; Goldberg, S. Care of the Post-CABG Patient. Cardiol. Rev. 2020, 28, 26–35. [Google Scholar] [CrossRef] [PubMed]
- Levine, G.N.; Bates, E.R.; Bittl, J.A.; Brindis, R.G.; Fihn, S.D.; Fleisher, L.A.; Granger, C.B.; Lange, R.A.; Mack, M.J.; Mauri, L.; et al. 2016 ACC/AHA Guideline Focused Update on Duration of Dual Antiplatelet Therapy in Patients With Coronary Artery Disease: A Report of the American College of Cardiology/American Heart Association Task Force on Clinical Practice Guidelines: An Update of the 2011 ACCF/AHA/SCAI Guideline for Percutaneous Coronary Intervention, 2011 ACCF/AHA Guideline for Coronary Artery Bypass Graft Surgery, 2012 ACC/AHA/ACP/AATS/PCNA/SCAI/STS Guideline for the Diagnosis and Management of Patients With Stable Ischemic Heart Disease, 2013 ACCF/AHA Guideline for the Management of ST-Elevation Myocardial Infarction, 2014 AHA/ACC Guideline for the Management of Patients With Non-ST-Elevation Acute Coronary Syndromes, and 2014 ACC/AHA Guideline on Perioperative Cardiovascular Evaluation and Management of Patients Undergoing Noncardiac Surgery. Circulation 2016, 134, e123–e155. [Google Scholar]
- Patel, M.R.; Dehmer, G.J.; Hirshfeld, J.W.; Smith, P.K.; Spertus, J.A. ACCF/SCAI/STS/AATS/AHA/ASNC/HFSA/SCCT 2012 Appropriate use criteria for coronary revascularization focused update: A report of the American College of Cardiology Foundation Appropriate Use Criteria Task Force, Society for Cardiovascular Angiography and Interventions, Society of Thoracic Surgeons, American Association for Thoracic Surgery, American Heart Association, American Society of Nuclear Cardiology, and the Society of Cardiovascular Computed Tomography. J. Am. Coll. Cardiol. 2012, 59, 857–881. [Google Scholar]
- Ak, K.; Ak, E.; Dericioglu, O.; Canak, T.; Akbuga, J.; Ozkan, N.; Cetinel, S.; Isbir, S.; Arsan, S.; Cobanoglu, A. Tacrolimus-Eluting Suture Inhibits Neointimal Hyperplasia: An Experimental In Vivo Study in Rats. Eur. J. Vasc. Endovasc. Surg. 2017, 53, 431–437. [Google Scholar] [CrossRef]
- Morizumi, S.; Suematsu, Y.; Gon, S.; Shimizu, T. Inhibition of neointimal hyperplasia with a novel tacrolimus-eluting suture. J. Am. Coll. Cardiol. 2011, 58, 441–442. [Google Scholar] [CrossRef]
- Morizumi, S.; Suematsu, Y.; Gon, S.; Shimizu, T. Abstract 9372: Inhibition of Neointimal Hyperplasia With the Novel Tacrolimus Eluting Suture. Circulation 2010, 122, A9372. [Google Scholar]
- Parikh, K.S.; Josyula, A.; Inoue, T.; Fukunishi, T.; Zhang, H.; Omiadze, R.; Shi, R.; Yazdi, Y.; Hanes, J.; Ensign, L.M.; et al. Nanofiber-coated, tacrolimus-eluting sutures inhibit post-operative neointimal hyperplasia in rats. J. Control. Release 2023, 353, 96–104. [Google Scholar]
- Khalid, G.M.; Billa, N. Drug-Eluting Sutures by Hot-Melt Extrusion: Current Trends and Future Potentials. Materials 2023, 16, 7245. [Google Scholar]
- Baek, I.; Bai, C.Z.; Hwang, J.; Nam, H.Y.; Park, J.S.; Kim, D.J. Paclitaxel coating of the luminal surface of hemodialysis grafts with effective suppression of neointimal hyperplasia. J. Vasc. Surg. 2012, 55, 806–814 e1. [Google Scholar] [CrossRef]
- Finn, A.V.; Nakazawa, G.; Joner, M.; Kolodgie, F.D.; Mont, E.K.; Gold, H.K.; Virmani, R. Vascular responses to drug eluting stents: Importance of delayed healing. Arterioscler. Thromb. Vasc. Biol. 2007, 27, 1500–1510. [Google Scholar] [CrossRef] [PubMed]
- Evans, C.E.; Iruela-Arispe, M.L.; Zhao, Y.Y. Mechanisms of Endothelial Regeneration and Vascular Repair and Their Application to Regenerative Medicine. Am. J. Pathol. 2021, 191, 52–65. [Google Scholar] [CrossRef]
- Lou, T.; Zhuang, X.; Chang, J.; Gao, Y.; Bai, X. Effect of Surface-Immobilized States of Antimicrobial Peptides on Their Ability to Disrupt Bacterial Cell Membrane Structure. J. Funct. Biomater. 2024, 15, 315. [Google Scholar] [CrossRef]
- Liu, K.L.; Liang, Y.J.; Hung, K.H.; Chen, Y.N.; Lin, F.H. Mitomycin C-immobilized silver nanoparticle-loaded polycaprolactone membrane for temporary scalp expansion after decompressive craniectomy to prevent wound infection. Bioeng. Transl. Med. 2025, 10, e70023. [Google Scholar] [CrossRef]
- Evan, G.I.; Vousden, K.H. Proliferation, cell cycle and apoptosis in cancer. Nature 2001, 411, 342–348. [Google Scholar] [CrossRef]
- Kastan, M.B.; Bartek, J. Cell-cycle checkpoints and cancer. Nature 2004, 432, 316–323. [Google Scholar] [CrossRef]
- Sinitsky, M.; Repkin, E.; Sinitskaya, A.; Markova, V.; Shishkova, D.; Barbarash, O. Proteomic Profiling of Endothelial Cells Exposed to Mitomycin C: Key Proteins and Pathways Underlying Genotoxic Stress-Induced Endothelial Dysfunction. Int. J. Mol. Sci. 2024, 25, 4044. [Google Scholar] [CrossRef] [PubMed]
- Chen, W.-Y.; Matthews, A.; Jones, F.R.; Chen, K.-S. Immobilization of carboxylic acid groups on polymeric substrates by plasma-enhanced chemical vapor or atmospheric pressure plasma deposition of acetic acid. Thin Solid Film. 2018, 666, 54–60. [Google Scholar] [CrossRef]
- Liao, S.C.; Chen, K.S.; Chien, J.L.; Chen, S.C.; Lin, W.L. Acetic-Acid Plasma-Polymerization on Polymeric Substrates for Biomedical Application. Nanomaterials 2019, 9, 941. [Google Scholar]
- Bradner, W.T. Mitomycin C: A clinical update. Cancer Treat. Rev. 2001, 27, 35–50. [Google Scholar] [CrossRef]
- Davies, J.; Cannon, M.; Mauer, M.B. Myomycin: Mode of action and mechanism of resistance. J. Antibiot. 1988, 41, 366–372. [Google Scholar] [CrossRef]
- French, J.C.; Bartz, Q.R.; Dion, H.W. Myomycin, a new antibiotic. J. Antibiot. 1973, 26, 272–283. [Google Scholar] [CrossRef] [PubMed]
- Zakharova, I.; Saaya, S.; Shevchenko, A.; Stupnikova, A.; Zhiven, M.; Laktionov, P.; Stepanova, A.; Romashchenko, A.; Yanshole, L.; Chernonosov, A.; et al. Mitomycin-Treated Endothelial and Smooth Muscle Cells Suitable for Safe Tissue Engineering Approaches. Front. Bioeng. Biotechnol. 2022, 10, 772981. [Google Scholar] [CrossRef] [PubMed]
- Strauss, B.H.; Wilson, R.A.; van Houten, R.; van Suylen, R.J.; Murphy, E.S.; Escaned, J.; Verdouw, P.D.; Serruys, P.W.; van der Giessen, W.J. Late effects of locally delivered mitomycin C on formation of neointima and on vasomotor response to acetylcholine. Coron. Artery Dis. 1994, 5, 633–641. [Google Scholar] [CrossRef]
- Pal-Ghosh, S.; Tadvalkar, G.; Lieberman, V.R.; Guo, X.; Zieske, J.D.; Hutcheon, A.; Stepp, M.A. Transient Mitomycin C-treatment of human corneal epithelial cells and fibroblasts alters cell migration, cytokine secretion, and matrix accumulation. Sci. Rep. 2019, 9, 13905. [Google Scholar] [CrossRef]
- Hillebrands, J.L.; Klatter, F.A.; van den Hurk, B.M.; Popa, E.R.; Nieuwenhuis, P.; Rozing, J. Origin of neointimal endothelium and alpha-actin-positive smooth muscle cells in transplant arteriosclerosis. J. Clin. Investig. 2001, 107, 1411–1422. [Google Scholar]
- Granada, J.F.; Ensenat, D.; Keswani, A.N.; Kaluza, G.L.; Raizner, A.E.; Liu, X.M.; Peyton, K.J.; Azam, M.A.; Wang, H.; Durante, W. Single perivascular delivery of mitomycin C stimulates p21 expression and inhibits neointima formation in rat arteries. Arterioscler. Thromb. Vasc. Biol. 2005, 25, 2343–2348. [Google Scholar]
- Miniati, D.N.; Hoyt, E.G.; Feeley, B.T.; Poston, R.S.; Robbins, R.C. Ex vivo antisense oligonucleotides to proliferating cell nuclear antigen and Cdc2 kinase inhibit graft coronary artery disease. Circulation 2000, 102, Iii237–Iii242. [Google Scholar]
- Zeymer, U.; Fishbein, M.C.; Forrester, J.S.; Cercek, B. Proliferating cell nuclear antigen immunohistochemistry in rat aorta after balloon denudation. Comparison with thymidine and bromodeoxyuridine labeling. Am. J. Pathol. 1992, 141, 685–690. [Google Scholar]
- Han, C.-l.; Campbell, G.R.; Campbell, J.H. Circulating Bone Marrow Cells Can Contribute to Neointimal Formation. J. Vasc. Res. 2001, 38, 113–119. [Google Scholar] [CrossRef] [PubMed]
- Tomasz, M. H2O2 generation during the redox cycle of mitomycin C and dna-bound mitomycin C. Chem. Biol. Interact. 1976, 13, 89–97. [Google Scholar] [CrossRef] [PubMed]
- Pritsos, C.A.; Sartorelli, A.C. Generation of reactive oxygen radicals through bioactivation of mitomycin antibiotics. Cancer Res. 1986, 46, 3528–3532. [Google Scholar] [PubMed]
- Mladenov, E.; Tsaneva, I.; Anachkova, B. Activation of the S phase DNA damage checkpoint by mitomycin C. J. Cell. Physiol. 2007, 211, 468–476. [Google Scholar] [CrossRef]
- Paxton, N.C.; Woodruff, M.A. Measuring contact angles on hydrophilic porous scaffolds by implementing a novel raised platform approach: A technical note. Polym. Adv. Technol. 2022, 33, 3759–3765. [Google Scholar] [CrossRef]
- Szabelski, J.; Karpinski, R. Short-Term Hydrolytic Degradation of Mechanical Properties of Absorbable Surgical Sutures: A Comparative Study. J. Funct. Biomater. 2024, 15, 273. [Google Scholar] [CrossRef]
- Arora, A.; Aggarwal, G.; Chander, J.; Maman, P.; Nagpal, M. Drug eluting sutures: A recent update. J. Appl. Pharm. Sci. 2019, 9, 111–123. [Google Scholar] [CrossRef]
- Nozaki, T.; Nikai, S.; Okabe, R.; Nagahama, K.; Eto, N. A novel in vitro model of sarcopenia using BubR1 hypomorphic C2C12 myoblasts. Cytotechnology 2016, 68, 1705–1715. [Google Scholar] [PubMed]





| Atomic % | C | O | N |
| PP | 99.71 | 0.29 | 0.00 |
| PP-MMC | 78.60 | 8.70 | 12.0 |
| Atomic % | C | O | N |
| PR | 99.84 | 0.16 | 0.00 |
| PR-MMC | 74.68 | 20.63 | 4.69 |
| Blood Test (Normal Range) | Pre-Op | PR-4 Week | PR-MMC-4 Week | PR-12 Week | PR-MMC-12 Week |
|---|---|---|---|---|---|
| WBC (5.5~10 × 103/µL) | 7.6 ± 2.4 | 9.4 ± 2.1 | 8.1 ± 3.2 | 7.6 ± 0.3 | 8.4 ± 1.1 |
| RBC (6.9~8.3 × 106/µL) | 7.4 ± 1.3 | 6.9 ± 0.7 | 7.3 ± 0.4 | 8.3 ± 0.6 | 7.5 ± 0.5 |
| Hemoglobin (13.7~17.6 g/dL) | 14.0 ± 2.6 | 13.8 ± 1.4 | 13.7 ± 0.6 | 15.9 ± 1.0 | 13.9 ± 0.9 |
| Platelets (638~1177 × 103/µL) | 991 ± 377.6 | 976 ± 357.0 | 1045 ± 144.0 | 1246.7 ± 18.0 | 908 ± 109.3 |
| ALT (25~89 U/L) | 40.5 ± 6.3 | 37.7 ± 5.1 | 61.1 ± 25.1 | 34.7 ± 5.7 | 48.0 ± 11.4 |
| AST (65~203 U/L) | 116.8 ± 37.1 | 66.1 ± 16.1 | 82.4 ± 45.3 | 72.6 ± 19.2 | 103.3 ± 11.5 |
| Creatinine (0.3~1.0 mg/dL) | 0.4 ± 0.1 | 0.4 ± 0.1 | 0.6 ± 0.1 | 0.4 ± 0.1 | 0.5 ± 0.0 |
| Albumin (3.4~4.8 g/dL) | 4.1 ± 1.5 | 3.62 ± 0.1 | 3.99 ± 0.27 | 3.84 ± 0.15 | 3.67 ± 0.43 |
Disclaimer/Publisher’s Note: The statements, opinions and data contained in all publications are solely those of the individual author(s) and contributor(s) and not of MDPI and/or the editor(s). MDPI and/or the editor(s) disclaim responsibility for any injury to people or property resulting from any ideas, methods, instructions or products referred to in the content. |
© 2026 by the authors. Licensee MDPI, Basel, Switzerland. This article is an open access article distributed under the terms and conditions of the Creative Commons Attribution (CC BY) license.
Share and Cite
Huang, T.-Y.; Chiu, W.-C.; Chen, K.-S.; Liang, Y.-J.; Chen, P.-Y.; Wang, Y.-C.; Lin, F.-H. Covalently Immobilized Mitomycin C on Polypropylene Sutures Creates a Non-Releasing Bioactive Interface That Modulates Vascular Smooth Muscle Cell Fate and Prevents Intimal Hyperplasia. Int. J. Mol. Sci. 2026, 27, 1328. https://doi.org/10.3390/ijms27031328
Huang T-Y, Chiu W-C, Chen K-S, Liang Y-J, Chen P-Y, Wang Y-C, Lin F-H. Covalently Immobilized Mitomycin C on Polypropylene Sutures Creates a Non-Releasing Bioactive Interface That Modulates Vascular Smooth Muscle Cell Fate and Prevents Intimal Hyperplasia. International Journal of Molecular Sciences. 2026; 27(3):1328. https://doi.org/10.3390/ijms27031328
Chicago/Turabian StyleHuang, Tzu-Yen, Wei-Chieh Chiu, Ko-Shao Chen, Ya-Jyun Liang, Pin-Yuan Chen, Yao-Chang Wang, and Feng-Huei Lin. 2026. "Covalently Immobilized Mitomycin C on Polypropylene Sutures Creates a Non-Releasing Bioactive Interface That Modulates Vascular Smooth Muscle Cell Fate and Prevents Intimal Hyperplasia" International Journal of Molecular Sciences 27, no. 3: 1328. https://doi.org/10.3390/ijms27031328
APA StyleHuang, T.-Y., Chiu, W.-C., Chen, K.-S., Liang, Y.-J., Chen, P.-Y., Wang, Y.-C., & Lin, F.-H. (2026). Covalently Immobilized Mitomycin C on Polypropylene Sutures Creates a Non-Releasing Bioactive Interface That Modulates Vascular Smooth Muscle Cell Fate and Prevents Intimal Hyperplasia. International Journal of Molecular Sciences, 27(3), 1328. https://doi.org/10.3390/ijms27031328

