Localization and Expression of Aquaporin 0 (AQP0/MIP) in the Tissues of the Spiny Dogfish (Squalus acanthias)
Abstract
1. Introduction
2. Results
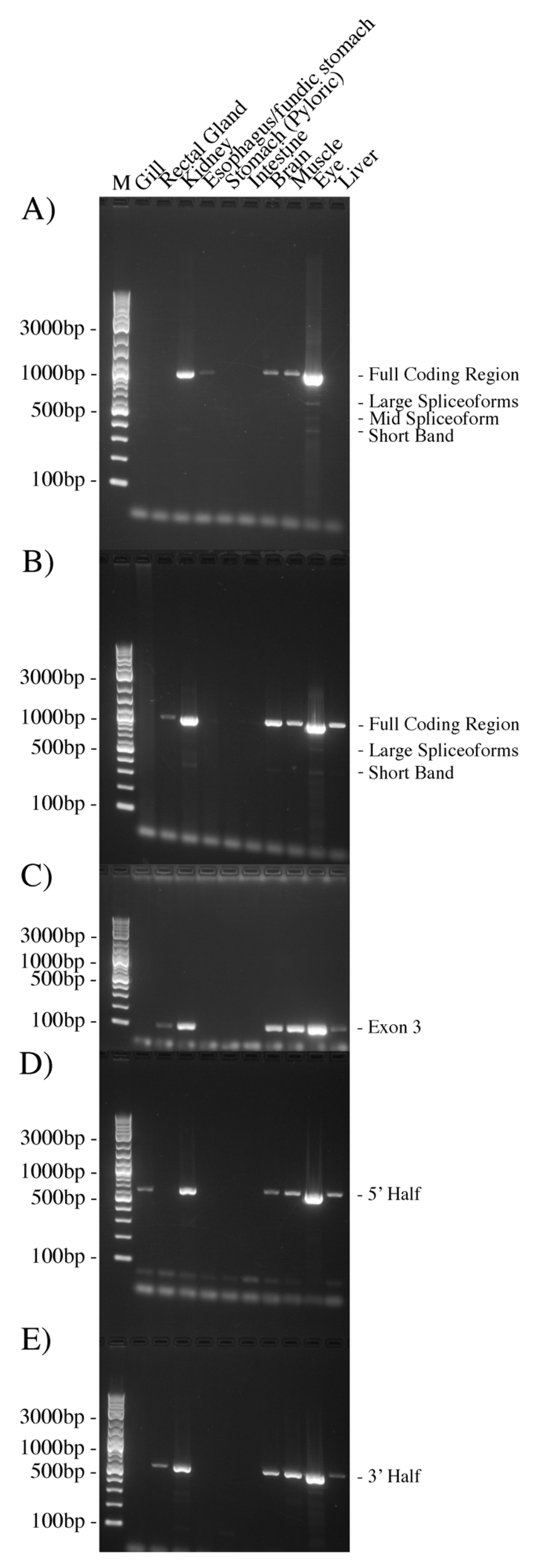
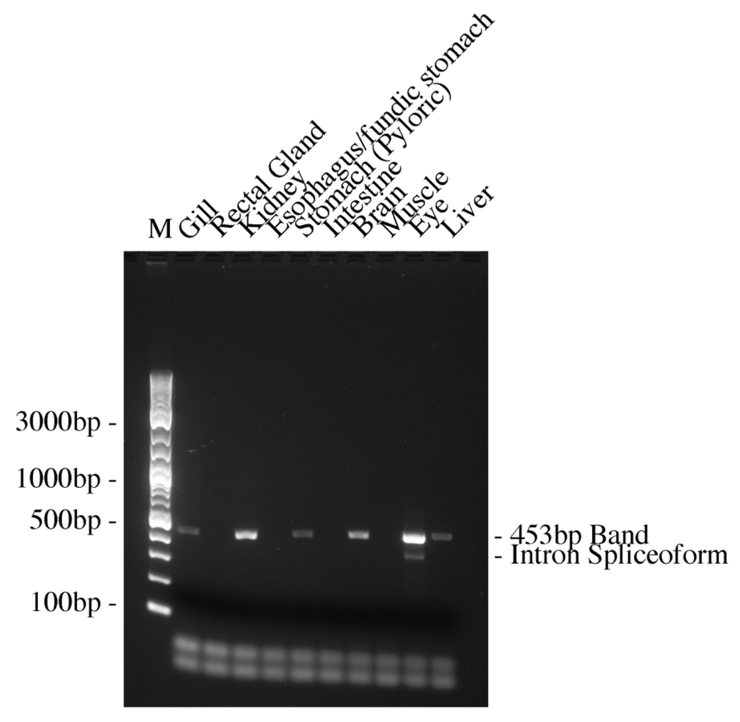
2.1. Tissue Distribution and RACE PCRs
2.2. Quantitative PCR
2.3. Western Blotting
2.4. Immunohistochemistry
3. Discussion
4. Materials and Methods
4.1. Fish Samples
4.2. PCR, DNA Cloning and Sequencing
4.3. Antibody Production and Western Blotting
4.4. Immunohistochemistry
5. Conclusions
Author Contributions
Funding
Institutional Review Board Statement
Informed Consent Statement
Data Availability Statement
Acknowledgments
Conflicts of Interest
References
- Gorin, M.B.; Yancey, B.; Cline, J.; Revel, J.-P.; Horwitz, J. The major intrinsic protein (MIP) of the bovine lens fiber membrane: Characterization and structure based on cDNA cloning. Cell 1984, 39, 49–59. [Google Scholar] [CrossRef]
- Preston, G.M.; Agre, P. Isolation of the cDNA for erythrocyte integral membrane protein of 28 kilodaltons: Member of an ancient channel family. Proc. Natl. Acad. Sci. USA 1991, 88, 11110–11114. [Google Scholar] [CrossRef] [PubMed]
- Ishibashi, K.; Hara, S.; Kondo, S. Aquaporin water channels in Mammals. Clin. Exp. Nephrol. 2009, 13, 107–117. [Google Scholar] [CrossRef] [PubMed]
- Finn, R.N.; Chauvigné, F.; Hlidberg, J.B.; Cutler, C.P.; Cerdà, J. The lineage-specific evolution of aquaporin gene clusters facilitated tetrapod terrestrial adaptation. PLoS ONE 2014, 9, e113686. [Google Scholar] [CrossRef]
- Grant, P. Expression and localization of aquaporin water channels in rat hepatocytes. Kidney 2002, 4, 7. [Google Scholar]
- Huebert, R.C.; Splinter, P.L.; Garcia, F.; Marinelli, R.A.; LaRusso, N.F. Expression and localization of aquaporin water channels in rat hepatocytes. Evidence for a role in canalicular bile secretion. J. Biol. Chem. 2002, 277, 22710–22717. [Google Scholar] [CrossRef]
- Klein, C.; Troedsson, M.H.T.; Rutllant, J. Region-specific expression of aquaporin subtypes in equine testis, epididymis and ductus deferens. Anat. Rec. 2013, 296, 1115–1126. [Google Scholar] [CrossRef]
- Schey, K.L.; Petrova, R.S.; Gletten, R.B.; Donaldson, P.J. The Role of Aquaporins in Ocular Lens Homeostasis. Int. J. Mol. Sci. 2017, 18, 2693. [Google Scholar] [CrossRef]
- Chandy, G.; Zampighi, G.A.; Kreman, M.; Hall, J.E. Comparison of the water transporting properties of MIP and AQP1. J. Membr. Biol. 1997, 159, 29–39. [Google Scholar] [CrossRef]
- Varadaraj, K.; Kumari, S.; Shiels, A.; Mathias, R.T. Regulation of aquaporin water permeability in the lens. Investig. Ophthalmol. Vis. Sci. 2005, 46, 1393–1402. [Google Scholar] [CrossRef]
- Schey, K.L.; Little, M.; Fowler, J.G.; Crouch, R.K. Characterization of Human Lens Major Intrinsic Protein Structure. Investig. Ophthalmol. Vis. Sci. 2000, 41, 175–182. [Google Scholar]
- Engel, A.; Fujiyoshi, Y.; Gonen, T.; Walz, T. Junction-forming aquaporins. Curr. Opin. Struct. Biol. 2008, 18, 229–235. [Google Scholar] [CrossRef] [PubMed]
- Roche, J.V.; Törnroth-Horsefield, S. Aquaporin protein-protein interactions. Int. J. Mol. Sci. 2017, 18, 2255. [Google Scholar] [CrossRef]
- Michea, L.F.; Andrinolo, D.; Ceppi, H.; Lagos, N. Biochemical evidence for adhesion-promoting role of major intrinsic protein isolated from both normal and cataractous human lenses. Exp. Eye Res. 1995, 61, 293–301. [Google Scholar] [CrossRef]
- Zampighi, G.A.; Hall, J.E.; Ehring, G.R.; Simon, S.A. The structural organization and protein composition of lens fiber junctions. J. Cell Biol. 1989, 108, 2255–2275. [Google Scholar] [CrossRef]
- Li, Z.; Quan, Y.; Gu, S.; Jiang, J.X. Beyond the Channels: Adhesion Functions of Aquaporin 0 and Connexin 50 in Lens Development. Front. Cell Dev. Biol. 2022, 10, 866980. [Google Scholar] [CrossRef] [PubMed]
- Ball, L.E.; Garland, D.L.; Crouch, R.K.; Schey, K.L. Post-translational Modifications of Aquaporin 0 (AQP0) in the Normal Human Lens: Spatial and Temporal Occurrence. Biochemistry 2004, 43, 9856–9865. [Google Scholar] [CrossRef]
- Gonen, T.; Cheng, Y.; Sliz, P.; Hiroaki, Y.; Fujiyoshi, Y.; Harrison, S.C.; Walz, T. Lipid-protein interactions in double-layered two-dimensional AQP0 crystals. Nature 2005, 438, 633–638, Erratum in Nature 2006, 441, 248. [Google Scholar] [CrossRef]
- Henderson, S.W.; Nourmohammadi, S.; Ramesh, S.A.; Yool, A.J. Aquaporin ion conductance properties defined by membrane environment, protein structure, and cell physiology. Biophys. Rev. 2022, 14, 181–198. [Google Scholar] [CrossRef] [PubMed]
- Kreida, S.; Roche, J.V.; Missel, J.W.; Al-Jubair, T.; Hagströmer, C.J.; Wittenbecher, V.; Linse, S.; Gourdon, P.; Törnroth-Horsefield, S. The role of phosphorylation in calmodulin-mediated gating of human AQP0. Biochem. J. 2024, 481, 17–32. [Google Scholar] [CrossRef]
- Ozu, M.; Galizia, L.; Acuña, C.; Amodeo, G. Aquaporins: More than functional monomers in a tetrameric arrangement. Cells 2018, 7, 209. [Google Scholar] [CrossRef] [PubMed]
- Pisano, M.M.; Chepelinsky, A.B. Genomic cloning, complete nucleotide sequence, and structure of the human gene encoding the major intrinsic protein (MIP) of the lens. Genomics 1991, 11, 981–990. [Google Scholar] [CrossRef]
- Chepelinsky, A.B. Chapter 27—The MIP transmembrane channel family. In Handbook of Membrane Channels; Peracchia, C., Ed.; Academic Press: New York, NY, USA, 1994; pp. 413–432. [Google Scholar] [CrossRef]
- Varadaraj, K.; Kushmerick, C.; Baldo, G.J.; Bassnett, S.; Shiels, A.; Mathias, R.T. The role of MIP in lens fiber cell membrane transport. J. Membr. Biol. 1999, 170, 191–203. [Google Scholar] [CrossRef] [PubMed]
- Chepelinsky, A.B. The ocular lens fiber membrane specific protein MIP/Aquaporin 0. J. Exp. Zool. 2003, 300A, 41–46. [Google Scholar] [CrossRef]
- Yool, A.J.; Campbell, E.M. Structure, function and translational relevance of aquaporin dual water and ion channels. Mol. Aspects Med. 2012, 33, 553–561. [Google Scholar] [CrossRef] [PubMed]
- Schey, K.L.; Wang, Z.; Wenke, J.L.; Qi, Y. Aquaporins in the eye: Expression, function, and roles in ocular disease. Biochim. Biophys. Acta 2014, 1840, 1513–1523. [Google Scholar] [CrossRef]
- Gu, S.; Biswas, S.; Rodriguez, L.; Li, Z.; Riquelme, M.A.; Shi, W.; Wang, K.; White, T.W.; Reilly, M.; Lo, W.-K.; et al. Connexin 50 and AQP0 are Essential in Maintaining Organization and Integrity of Lens Fibers. Investig. Ophthalmol. Vis. Sci. 2019, 60, 4021–4032. [Google Scholar] [CrossRef]
- Tinguad-Sequeira, A.; Calusinka, M.; Finn, R.N.; Chauvigné, F.; Lozano, J.; Cerdà, J. The zebrafish genome encodes the largest vertebrate repertoire of functional aquaporins with dual paralogy and substrate specificities similar to mammals. BMC Evol. Biol. 2010, 10, 38. [Google Scholar] [CrossRef]
- Chauvigné, F.; Boj, M.; Viella, S.; Finn, R.N.; Cerdà, J. Subcellular Localization of Selectively Permeable Aquaporins in the Male Germ Line of a Marine Teleost Reveals Spatial Redistribution in Activated Spermatozoa. Biol. Reprod. 2013, 89, 37. [Google Scholar] [CrossRef]
- Chauvigné, F.; Zapater, C.; Stavang, J.A.; Taranger, G.L.; Cerdà, J.; Finn, R.N. The pH sensitivity of Aqp0 channels in tetraploid and diploid teleosts. FASAB J. 2015, 29, 2172–2184. [Google Scholar] [CrossRef]
- Chauvigné, F.; Fjelldal, P.G.; Cerdà, J.; Finn, R.N. Auto-Adhesion Potential of Extraocular Aqp0 during Teleost Development. PLoS ONE 2016, 11, e0154592. [Google Scholar] [CrossRef] [PubMed]
- MacIver, B.; Cutler, C.P.; Yin, Y.; Hill, M.G.; Zeidel, M.L.; Hill, W. Expression and functional characterization of four aquaporin water channels from the European Eel (Anguilla anguilla). J. Exp. Biol. 2009, 212, 2856–2863. [Google Scholar] [CrossRef]
- Madsen, S.S.; Engelund, M.B.; Cutler, C.P. Water Transport and Functional Dynamics of Aquaporins in Osmoregulatory Organs of Fishes. Biol. Bull. 2015, 229, 70–92. [Google Scholar] [CrossRef]
- Cerdà, J.; Chauvigné, F.; Finn, R.N. Chapter 10, The physiological role and regulation of aquaporins in teleost germ cells. In Aquaporins; Yang, B., Ed.; Advances in Experimental Medicine and Biology; Springer-Nature: Dordrecht, The Netherlands, 2017; pp. 149–172. [Google Scholar]
- He, M.; Zhou, G.; Lin, Q.; Zhou, N. The role of mip in the development of lens in zebrafish. Gene Expr. Patterns 2023, 49, 119330. [Google Scholar] [CrossRef]
- Freites, J.A.; Tobias, D.J. Molecular dynamics simulations of the eye lens water channel aquaporin 0 from fish. J. Phys. Chem. B 2024, 128, 7577–7585. [Google Scholar] [CrossRef]
- Yilmaz, O.; Chauvigné, F.; Ferré, A.; Nilsen, F.; Fjelldal, P.G.; Cerdà, J.; Finn, R.N. Unravelling the complex duplication history of deuterostome glycerol transporters. Cells 2020, 9, 1663. [Google Scholar] [CrossRef]
- Cutler, C.P.; Mainer, S.; Ojo, T. Short Communication: The Aquaporin 8 (AQP8) membrane channel gene is present in the Elasmobranch dogfish (Squalus acanthias) genome and is expressed in brain but not in gill, kidney or intestine. Comp. Biochem. Physiol. 2022, 26, 110730. [Google Scholar] [CrossRef]
- Cutler, C.P.; MacIver, B.; Cramb, G.; Zeidel, M.L. Aquaporin 4 is a ubiquitously expressed isoform in the dogfish (Squalus acanthias) shark. Front. Physiol. 2012, 2, 11971. [Google Scholar] [CrossRef] [PubMed]
- Cutler, C.P.; Kurt, K.; Campbell, K.E.; Ojo, T. Aquaporin (AQP) channels in the spiny dogfish, Squalus acanthias II: Localization of AQP3, AQP4 and AQP15 in the kidney. Comp. Biochem. Physiol. B 2022, 258, 110701. [Google Scholar] [CrossRef] [PubMed]
- Cutler, C.P.; MacIver, B. Localization and expression of aquaporin 1 (AQP1) in the tissue of the spiny dogfish (Squalus acanthias). Int. J. Mol. Sci. 2025, 26, 5593. [Google Scholar] [CrossRef]
- Cutler, C.P.; Ojo, T. Immunohistochemical localization and expression of aquaporin 3-2 (AQP3C1) in the spiny dogfish, Squalus acanthias. Hydrobiology 2024, 3, 378–391. [Google Scholar] [CrossRef]
- Cutler, P.; Murray, D.; Ojo, T.; Harmon, S.; MacIver, B.; Cramb, G.; Zeidel, M. Aquaporin (AQP) channels in the spiny dogfish, Squalus acanthias I: Characterization of AQP3 and AQP15 function and expression, and localization of the proteins in gill and spiral valve intestine. Comp. Biochem. Physiol. B 2022, 258, 110702. [Google Scholar] [CrossRef] [PubMed]
- Friedman, P.A.; Hebert, S.C. Diluting segment in kidney of dogfish shark I. Localization and characterization of chloride absorption. Am. J. Physiol. 1990, 258, R398–R408. [Google Scholar] [CrossRef]
- Cutler, C.P.; Omoregie, E.; Ojo, T. UT-1 transporter expression in the spiny dogfish (Squalus acanthias): UT-1 protein shows a different localization in comparison to that of other sharks. Biomolecules 2024, 14, 1151. [Google Scholar] [CrossRef]
- Cutler, C.P.; Harmon, S.; Walsh Burch, K. Characterization of aquaporin 4 protein expression and localization in tissues of the dogfish (Squalus acanthias). Front. Physiol. 2012, 3, 21. [Google Scholar] [CrossRef] [PubMed]













| Original Race and Tissue PCR |
|---|
| Squalus AQP0 5′R-QPCR Anti CCTGTGTAAT ACAGCCCGAA GAAGTGACC |
| Squalus AQP0 3′R-QPCR Sen CTCAACACGC TGCATGCTGG AGT |
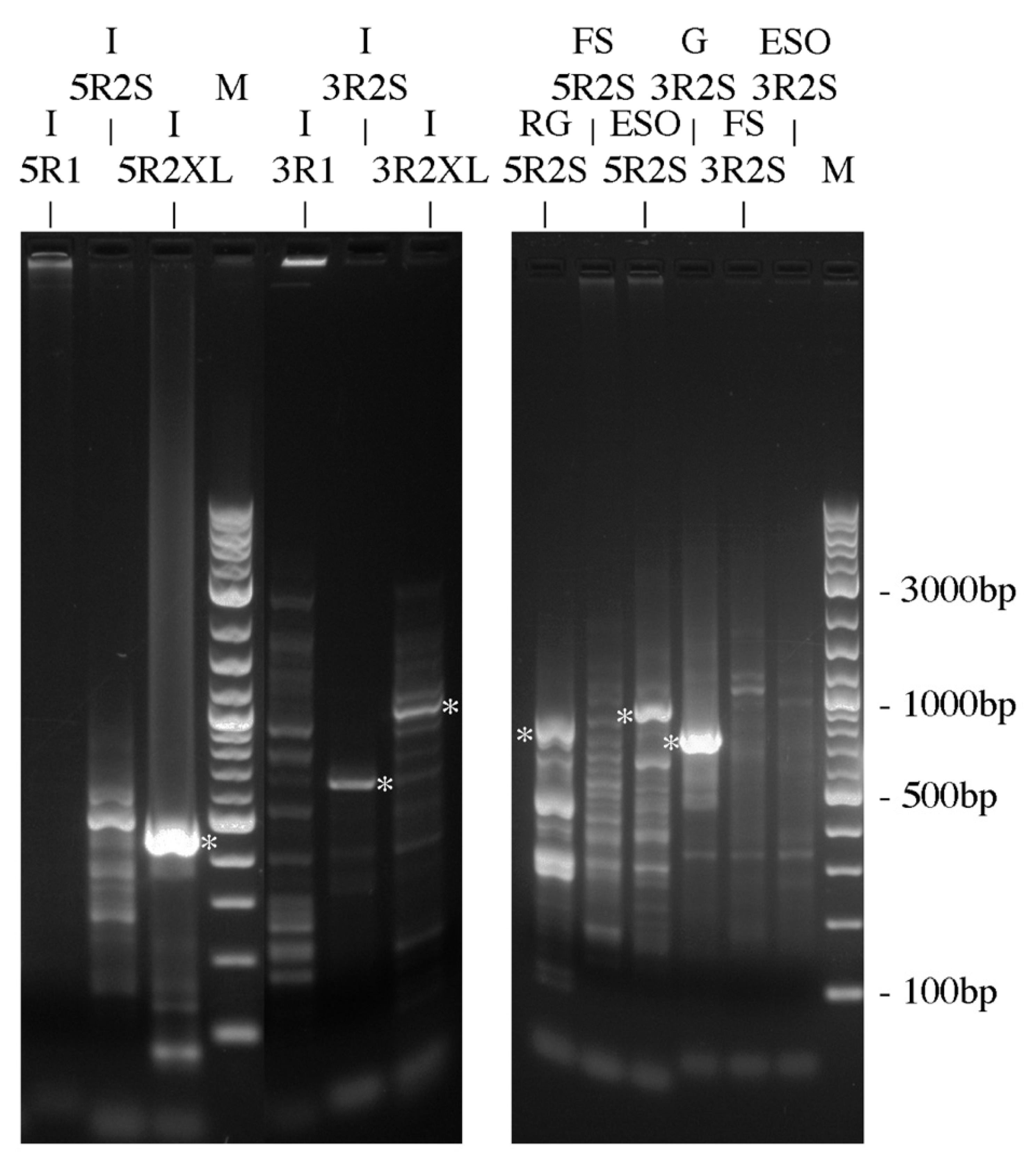
| Race PCR (Figure 3). |
| Squalus AQP0 5′R-QPCR Anti 2 TCCTGTGTAA TACAGCCCGA AGAAGTGACC |
| Nested Primer |
| Squal AQP0 5 Race 2 CTCCACAGCT GTAGCCTGGC CA |
| Squalus AQP0 3′R-QPCR Sen 2 GCTCAACACG CTGCATGCTG GAGT |
| Nested Primer |
| Squal AQP0 QPCR senXL GTGGGTCACT TCTTCGGGCT GTATTACACA |
| AQP0 Full coding region PCR (Figure 2A). |
| Squal AQP0 CDS sense AGTCTGCTCT TTGGAAGATC GGGATG |
| Squal AQP0 CDS Anti CTTTCAAGCA CACCTTCAGT AACAACACAG T |
| AQP0 Exon 3 amplification (Figure 2B). |
| Squal AQP0 QPCR senXL GTGGGTC ACTTCTTCGG GCTGTATTACACA |
| Squal AQP0 QPCR antiXL GACCTACCCA GTACACCCAG TGATTTCCA |
| AQP0 5′ Half (Figure 2C). |
| Squal AQP0 CDS sense AGTCTGCTCT TTGGAAGATC GGGATG |
| Squal AQP0 QPCR antiXL GACCTACCCA GTACACCCAG TGATTTCCA |
| AQP0 3′ Half (Figure 2D). |
| Squalus AQP0 3′R-QPCR Sen 2 GCTCAACACG CTGCATGCTG GAGT |
| Squal AQP0 CDS Anti CTTTCAAGCA CACCTTCAGT AACAACACAG T |
| AQP0 Quantitative PCR (Figure 6). |
| Squal AQP0 QPCR sen GTGGGTC ACTTCTTCGG GCTGTAT |
| Squal AQP0 QPCR anti GACCTACCCA GTACACCCAG TGA |
Disclaimer/Publisher’s Note: The statements, opinions and data contained in all publications are solely those of the individual author(s) and contributor(s) and not of MDPI and/or the editor(s). MDPI and/or the editor(s) disclaim responsibility for any injury to people or property resulting from any ideas, methods, instructions or products referred to in the content. |
© 2026 by the authors. Licensee MDPI, Basel, Switzerland. This article is an open access article distributed under the terms and conditions of the Creative Commons Attribution (CC BY) license.
Share and Cite
Cutler, C.P.; Curry, C.R.; Hall, F.S.; Ojo, T. Localization and Expression of Aquaporin 0 (AQP0/MIP) in the Tissues of the Spiny Dogfish (Squalus acanthias). Int. J. Mol. Sci. 2026, 27, 1317. https://doi.org/10.3390/ijms27031317
Cutler CP, Curry CR, Hall FS, Ojo T. Localization and Expression of Aquaporin 0 (AQP0/MIP) in the Tissues of the Spiny Dogfish (Squalus acanthias). International Journal of Molecular Sciences. 2026; 27(3):1317. https://doi.org/10.3390/ijms27031317
Chicago/Turabian StyleCutler, Christopher P., Casi R. Curry, Fallon S. Hall, and Tolulope Ojo. 2026. "Localization and Expression of Aquaporin 0 (AQP0/MIP) in the Tissues of the Spiny Dogfish (Squalus acanthias)" International Journal of Molecular Sciences 27, no. 3: 1317. https://doi.org/10.3390/ijms27031317
APA StyleCutler, C. P., Curry, C. R., Hall, F. S., & Ojo, T. (2026). Localization and Expression of Aquaporin 0 (AQP0/MIP) in the Tissues of the Spiny Dogfish (Squalus acanthias). International Journal of Molecular Sciences, 27(3), 1317. https://doi.org/10.3390/ijms27031317

