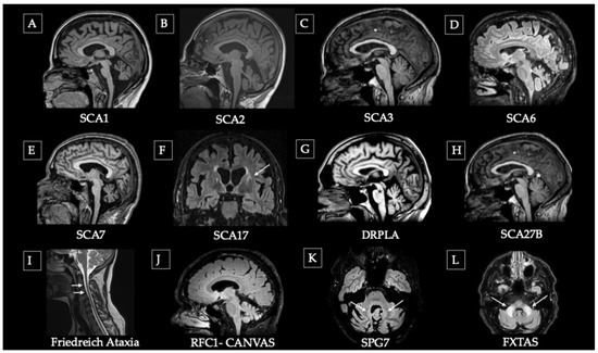
Hereditary Ataxias: From Pathogenesis and Clinical Features to Neuroimaging, Fluid, and Digital Biomarkers—A Scoping Review
Abstract
Share and Cite
Bernardi, E.; López-Lombardía, Ó.; Olmedo-Saura, G.; Pagonabarraga, J.; Kulisevsky, J.; Pérez-Pérez, J. Hereditary Ataxias: From Pathogenesis and Clinical Features to Neuroimaging, Fluid, and Digital Biomarkers—A Scoping Review. Int. J. Mol. Sci. 2026, 27, 881. https://doi.org/10.3390/ijms27020881
Bernardi E, López-Lombardía Ó, Olmedo-Saura G, Pagonabarraga J, Kulisevsky J, Pérez-Pérez J. Hereditary Ataxias: From Pathogenesis and Clinical Features to Neuroimaging, Fluid, and Digital Biomarkers—A Scoping Review. International Journal of Molecular Sciences. 2026; 27(2):881. https://doi.org/10.3390/ijms27020881
Chicago/Turabian StyleBernardi, Eugenio, Óscar López-Lombardía, Gonzalo Olmedo-Saura, Javier Pagonabarraga, Jaime Kulisevsky, and Jesús Pérez-Pérez. 2026. "Hereditary Ataxias: From Pathogenesis and Clinical Features to Neuroimaging, Fluid, and Digital Biomarkers—A Scoping Review" International Journal of Molecular Sciences 27, no. 2: 881. https://doi.org/10.3390/ijms27020881
APA StyleBernardi, E., López-Lombardía, Ó., Olmedo-Saura, G., Pagonabarraga, J., Kulisevsky, J., & Pérez-Pérez, J. (2026). Hereditary Ataxias: From Pathogenesis and Clinical Features to Neuroimaging, Fluid, and Digital Biomarkers—A Scoping Review. International Journal of Molecular Sciences, 27(2), 881. https://doi.org/10.3390/ijms27020881

