Plant-Derived miR-55 Alleviates Liver Fibrosis by Disrupting the CK2α/SMO Complex and Promoting SMO Ubiquitination
Abstract
1. Introduction
2. Results
2.1. miR-55 Exhibits High Stability in Simulated Gastrointestinal Environment
2.2. miR-55 Attenuates MCD Diet-Induced Weight Loss in MAFLD Rats
2.3. miR-55 Ameliorates Liver Function, Lipid Metabolism, and Oxidative Stress in MAFLD Rats
2.4. miR-55 Alleviates Liver Fibrosis: Evidence from Histopathology, Biochemical and Molecular Markers
2.4.1. Histopathological Improvement and Collagen Deposition Quantification
2.4.2. miR-55 Reduces Circulating Levels of Established Fibrosis Markers
2.4.3. Reduction in Hepatic Collagen Content and Profibrogenic Gene Expression
2.5. Mechanisms miR-55 Targets the CK2α/SMO Axis: From Prediction to Mechanism
2.5.1. miR-55 Is Associated with Suppression of CK2α Expression: From Prediction to In Vivo Observation
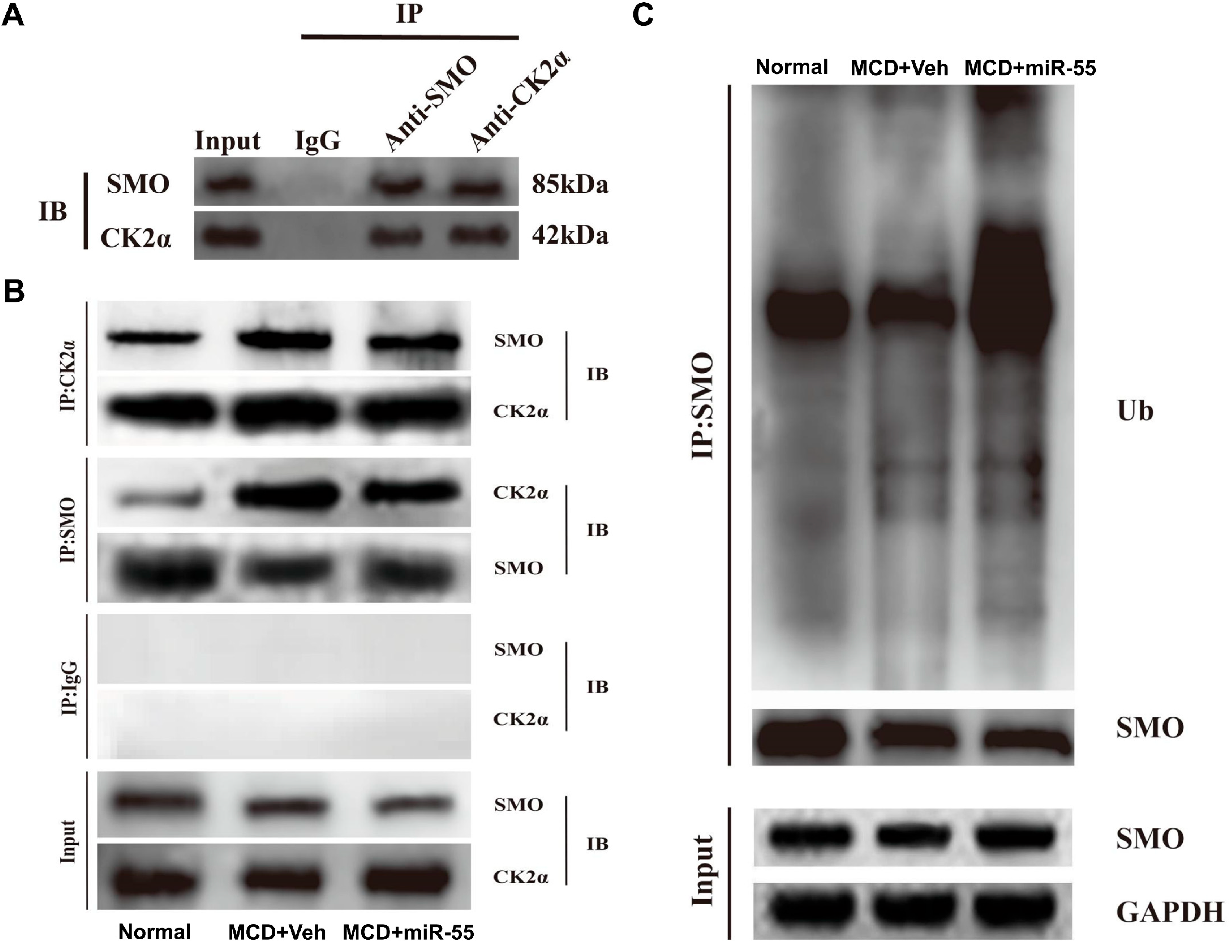
2.5.2. miR-55 Disrupts the CK2α–SMO Complex and Promotes Ubiquitin-Mediated Degradation of SMO
2.5.3. miR-55 Suppresses Pro-Fibrotic and Pro-Angiogenic Downstream Responses
3. Discussion
4. Materials and Methods
4.1. Experimental Animals and Modeling
4.2. Oral Delivery of miR-55
4.3. Intervention and Monitoring
4.4. Sample Collection
4.5. Biochemical Analysis
4.6. Liver Histopathological Analysis
4.7. RNA Extraction and Quantitative Real-Time PCR (qPCR)
4.8. Western Blot Analysis
4.9. Co-Immunoprecipitation (Co-IP) and Ubiquitination Assay
4.10. Hydroxyproline Content Assay
4.11. In Vitro Gastrointestinal Stability Assay
4.12. Bioinformatics Analysis
4.13. Statistical Analysis
5. Conclusions
6. Patents
Supplementary Materials
Author Contributions
Funding
Institutional Review Board Statement
Informed Consent Statement
Data Availability Statement
Acknowledgments
Conflicts of Interest
Abbreviations
| MAFLD | Metabolic Dysfunction-Associated Fatty Liver Disease |
| MCD | Methionine-Choline-Deficient |
| miRNA | MicroRNA |
| CK2α | Casein Kinase 2 Alpha |
| SMO | Smoothened |
| Gli1 | Glioma-Associated Oncogene Homolog 1 |
| Hh | Hedgehog |
| α-SMA | Alpha-Smooth Muscle Actin |
| HIF-1α | Hypoxia-Inducible Factor 1-Alpha |
| VEGF | Vascular Endothelial Growth Factor |
| PDGF | Platelet-Derived Growth Factor |
| ECM | Extracellular Matrix |
| PPI | Protein–Protein Interaction |
| ALT | Alanine Aminotransferase |
| AST | Aspartate Aminotransferase |
| TG | Triglyceride |
| TC | Total Cholesterol |
| PCIII | Type III Procollagen |
| IV-C | Type IV Collagen |
| LN | Laminin |
| HA | Hyaluronic Acid |
| MDA | Malondialdehyde |
| SOD | Superoxide Dismutase |
| qPCR | Quantitative Real-Time Polymerase Chain Reaction |
| Co-IP | Co-Immunoprecipitation |
| Ub | Ubiquitin |
| WB | Western Blot |
| H&E | Hematoxylin and Eosin |
| SD | Standard Deviation |
| ANOVA | Analysis of Variance |
| SPF | Specific-Pathogen-Free |
| SD Rat | Sprague Dawley Rat |
| Normal | Normal diet control group |
| MCD + Veh | MCD diet + Vehicle |
| MCD + NC | MCD diet + Negative Control miRNA |
| MCD + miR-55 | MCD diet + miR-55 mimics |
| MCD + GXZY | MCD diet + Ge Xia Zhu Yu Decoction |
| LNP | Lipid Nanoparticle |
| TNF-α | Tumor Necrosis Factor-Alpha |
| IL-6 | Interleukin-6 |
| HSC | Hepatic Stellate Cell |
| Col1a1 | Collagen Type I Alpha 1 Chain |
| Col3a1 | Collagen Type III Alpha 1 Chain |
| TGF-β1 | Transforming Growth Factor-Beta 1 |
| CVF | Collagen Volume Fraction |
| SGF | Simulated Gastric Fluid |
| SIF | Simulated Intestinal Fluid |
| IB | Immunoblot |
| ROS | Reactive oxygen species |
References
- Eslam, M.; Newsome, P.N.; Sarin, S.K.; Anstee, Q.M.; Targher, G.; Gomez, M.R.; Zelber-Sagi, S.; Wong, V.W.-S.; Dufour, J.-F.; Schattenberg, J.M.; et al. A new definition for metabolic dysfunction-associated fatty liver disease: An international expert consensus statement. J. Hepatol. 2020, 73, 202–209. [Google Scholar] [CrossRef]
- Kaufmann, B.; Reca, A.; Wang, B.; Friess, H.; Feldstein, A.E.; Hartmann, D. Mechanisms of nonalcoholic fatty liver disease and implications for surgery. Langenbecks Arch. Surg. 2021, 406, 1–17. [Google Scholar] [CrossRef] [PubMed]
- Eslam, M.; Sanyal, A.J.; George, J.; International Consensus Panel. MAFLD: A Consensus-Driven Proposed Nomenclature for Metabolic Associated Fatty Liver Disease. Gastroenterology 2020, 158, 1999–2014.e1. [Google Scholar] [CrossRef]
- Roehlen, N.; Crouchet, E.; Baumert, T.F. Liver Fibrosis: Mechanistic Concepts and Therapeutic Perspectives. Cells 2020, 9, 875. [Google Scholar] [CrossRef]
- Fabregat, I.; Moreno-Càceres, J.; Sánchez, A.; Dooley, S.; Dewidar, B.; Giannelli, G.; Ten Dijke, P. TGF-β signalling and liver disease. FEBS J. 2016, 283, 2219–2232. [Google Scholar] [CrossRef] [PubMed]
- Matsuda, M.; Seki, E. The liver fibrosis niche: Novel insights into the interplay between fibrosis-composing mesenchymal cells, immune cells, endothelial cells, and extracellular matrix. Food Chem. Toxicol. 2020, 143, 111556. [Google Scholar] [CrossRef]
- Ramachandran, P.; Henderson, N.C. Antifibrotics in chronic liver disease: Tractable targets and translational challenges. Lancet Gastroenterol. Hepatol. 2016, 1, 328–340. [Google Scholar] [CrossRef] [PubMed]
- Lei, L.; Ei Mourabit, H.; Housset, C.; Cadoret, A.; Lemoinne, S. Role of Angiogenesis in the Pathogenesis of NAFLD. J. Clin. Med. 2021, 10, 1338. [Google Scholar] [CrossRef]
- Caligiuri, A.; Gentilini, A.; Pastore, M.; Gitto, S.; Marra, F. Cellular and Molecular Mechanisms Underlying Liver Fibrosis Regression. Cells 2021, 10, 2759. [Google Scholar] [CrossRef]
- Chojnowski, J.E.; Li, R.; Tsang, T.; Alfaran, F.H.; Dick, A.; Cocklin, S.; Brady, D.C.; Strochlic, T.I. Copper modulates the catalytic activity of protein kinase CK2. Front. Mol. Biosci. 2022, 9, 878652. [Google Scholar] [CrossRef]
- Wu, D.; Yin, Y.Q.; Li, Y.; Zhang, L.; Jiang, Y.H.; Wang, Z. CK2α causes stemness and chemotherapy resistance in liver cancer through the Hedgehog signaling pathway. Hepatobiliary Pancreat. Dis. Int. 2023, 22, 383–391. [Google Scholar] [CrossRef] [PubMed]
- Fan, J.; Tong, G.; Chen, X.; Li, S.; Yu, Y.; Zhu, S.; Zhu, K.; Hu, Z.; Dong, Y.; Chen, R.; et al. CK2 blockade alleviates liver fibrosis by suppressing activation of hepatic stellate cells via the Hedgehog pathway. Br. J. Pharmacol. 2022, 180, 44–61. [Google Scholar] [CrossRef]
- Schuster, S.; Cabrera, D.; Arrese, M.; Feldstein, A.E. Triggering and resolution of inflammation in NASH. Nat. Rev. Gastroenterol. Hepatol. 2018, 15, 349–364. [Google Scholar] [CrossRef]
- Koyama, Y.; Brenner, D.A. Liver inflammation and fibrosis. J. Clin. Investig. 2017, 127, 55–64. [Google Scholar] [CrossRef] [PubMed]
- Agarwal, Y.; Gauab, P.; Rani, V. Unravelling the interplay between plant miRNAs and plant secondary metabolites: A new frontier in cross-kingdom regulatory mechanisms. Plant Physiol. Biochem. 2025, 225, 109965. [Google Scholar] [CrossRef] [PubMed]
- Sun, D.; Zhou, X.; Su, Y.; Gao, B.; Liu, P.; Lv, J. Immunoregulatory mechanisms and cross-kingdom bacteriostatic effects of microRNAs in crustacean. Int. J. Biol. Macromol. 2025, 311, 144079. [Google Scholar] [CrossRef]
- Kalarikkal, S.P.; Sundaram, G.M. Inter-kingdom regulation of human transcriptome by dietary microRNAs: Emerging bioactives from edible plants to treat human diseases? Trends Food Sci. Technol. 2021, 118, 723–734. [Google Scholar] [CrossRef]
- Kommineni, N.; Sainaga Jyothi, V.G.S.; Butreddy, A.; Raju, S.; Shapira, T.; Khan, W.; Angsantikul, P.; Domb, A.J. SNAC for enhanced oral bioavailability: An updated review. Pharm. Res. 2022, 40, 633–650. [Google Scholar] [CrossRef]
- Zhang, L.; Hou, D.; Chen, X.; Li, D.; Zhu, L.; Zhang, Y.; Li, J.; Bian, Z.; Liang, X.; Cai, X.; et al. Exogenous Plant MIR168a Specifically Targets Mammalian LDLRAP1: Evidence of Cross-Kingdom Regulation by MicroRNA. Cell Res. 2011, 22, 107–126, Correction in Cell Res. 2012, 22, 273–274. https://doi.org/10.1038/cr.2011.174. [Google Scholar] [CrossRef]
- Wang, R.; Yang, J.; Zhang, J.H.; Zhang, B.B.; Zhao, Y.W. A miR-55 Preparation, Its Preparation Method and Application. Chinese Patent ZL202211446002.4, 9 April 2024. [Google Scholar]
- Yang, J.; Wang, R.; Zhang, J.H.; Zhao, Y.W.; Zhang, B.B. Application of miR-55 in Inhibiting Nonalcoholic Fatty Liver Fibrosis. Chinese Patent ZL202211445995.3, 13 December 2024. [Google Scholar]
- Zong, Y.; Lin, Y.; Wei, T.; Cheng, Q. Lipid Nanoparticle (LNP) Enables mRNA Delivery for Cancer Therapy. Adv. Mater. 2023, 35, 2303261. [Google Scholar] [CrossRef]
- Akinc, A.; Maier, M.A.; Manoharan, M.; Fitzgerald, K.; Jayaraman, M.; Barros, S.; Ansell, S.; Du, X.; Hope, M.J.; Madden, T.D.; et al. The Onpattro Story and the Clinical Translation of Nanomedicines Containing Nucleic Acid-Based Drugs. Nat. Nanotechnol. 2019, 14, 1084–1087. [Google Scholar] [CrossRef]
- Jia, M.; He, J.; Bai, W.; Lin, Q.; Deng, J.; Li, W.; Bai, J.; Fu, D.; Ma, Y.; Ren, J.; et al. Cross-kingdom regulation by dietary plant miRNAs: An evidence-based review with recent updates. Food Funct. 2021, 12, 9549–9562. [Google Scholar] [CrossRef]
- Qin, X.; Wang, X.; Xu, K.; Zhang, Y.; Ren, X.; Qi, B.; Liang, Q.; Yang, X.; Li, L.; Li, S. Digestion of plant dietary miRNAs starts in the mouth under the protection of coingested food components and plant-derived exosome-like nanoparticles. J. Agric. Food Chem. 2022, 70, 4316–4327. [Google Scholar] [CrossRef] [PubMed]
- Chen, J.-Y.; Chen, H.-L.; Cheng, J.-C.; Lin, H.-J.; Tung, Y.-T.; Lin, C.-F.; Chen, C.-M. A Chinese herbal medicine, Gexia-Zhuyu Tang (GZT), prevents dimethylnitrosamine-induced liver fibrosis through inhibition of hepatic stellate cells proliferation. J. Ethnopharmacol. 2012, 142, 811–818. [Google Scholar] [CrossRef] [PubMed]
- Xu, Z.; Huang, L.; Zhu, C.; Kou, S.; Xing, W.; Su, X.; Liu, Y.; Cao, S.; Deng, Z. Gexia Zhuyu Decoction alleviates carbon tetrachloride-induced hepatic fibrosis in mice: Mechanistic insights from integrated network analysis and experimental validation. Chin. J. Anal. Chem. 2025, 53, 100610. [Google Scholar] [CrossRef]
- Deng, Z.; Zhang, S.; Ge, S.; Kong, F.; Cao, S.; Pan, Z. Gexia-Zhuyu Decoction attenuates carbon tetrachloride-induced liver fibrosis in mice partly via liver angiogenesis mediated by myeloid cells. Med. Sci. Monit. 2019, 25, 2835–2844. [Google Scholar] [CrossRef]
- Zhao, Y.; Mo, B.; Chen, X. Mechanisms that impact microRNA stability in plants. RNA Biol. 2012, 9, 1218–1223. [Google Scholar] [CrossRef]
- Kalluri, R.; LeBleu, V.S. The biology, function, and biomedical applications of exosomes. Science 2020, 367, eaau6977. [Google Scholar] [CrossRef]
- Anty, R.; Lemoine, M. Liver fibrogenesis and metabolic factors. Clin. Res. Hepatol. Gastroenterol. 2011, 35, S10–S20. [Google Scholar] [CrossRef]
- Ramachandran, P.; Dobie, R.; Wilson-Kanamori, J.R.; Dora, E.F.; Henderson, B.E.P.; Luu, N.T.; Portman, J.R.; Matchett, K.P.; Brice, M.; Marwick, J.A.; et al. Resolving the fibrotic niche of human liver cirrhosis at single-cell level. Nature 2019, 575, 512–518. [Google Scholar] [CrossRef]
- Vesković, M.; Pejović, M.; Šutulović, N.; Hrnčić, D.; Rašić-Marković, A.; Stanojlović, O.; Mladenović, D. Exploring fibrosis pathophysiology in lean and obese metabolic-associated fatty liver disease: An in-depth comparison. Int. J. Mol. Sci. 2024, 25, 7405. [Google Scholar] [CrossRef] [PubMed]
- Wang, H.; Huang, M.; Bei, W.; Yang, Y.; Song, L.; Zhang, D.; Zhan, W.; Zhang, Y.; Chen, X.; Wang, W.; et al. FTZ attenuates liver steatosis and fibrosis in the minipigs with type 2 diabetes by regulating the AMPK signaling pathway. Biomed. Pharmacother. 2021, 138, 111532. [Google Scholar] [CrossRef] [PubMed]
- Li, S.; Li, X.; Chen, F.; Liu, M.; Ning, L.; Yan, Y.; Zhang, S.; Huang, S.; Tu, C. Nobiletin mitigates hepatocytes death, liver inflammation, and fibrosis in a murine model of NASH through modulating hepatic oxidative stress and mitochondrial dysfunction. J. Nutr. Biochem. 2022, 100, 108888. [Google Scholar] [CrossRef]
- Friedman, S.L.; Pinzani, M. Hepatic Fibrosis 2022: Unmet Needs and a Blueprint for the Future. Hepatology 2022, 75, 473–488. [Google Scholar] [CrossRef]
- George, J.; Tsutsumi, M.; Tsuchishima, M. MMP-13 deletion decreases profibrogenic molecules and attenuates N nitrosodimethylamine-induced liver injury and fibrosis in mice. J. Cell. Mol. Med. 2017, 21, 3821–3835. [Google Scholar] [CrossRef]
- Hu, Z.; Yue, H.; Jiang, N.; Qiao, L. Diet, oxidative stress and MAFLD: A mini review. Front. Nutr. 2025, 12, 1539578. [Google Scholar] [CrossRef]
- Svobodová, G.; Horní, M.; Velecká, E.; Boušová, I. Metabolic dysfunction-associated steatotic liver disease-induced changes in the antioxidant system: A review. Arch. Toxicol. 2024, 99, 1–22. [Google Scholar] [CrossRef]
- Hao, Y.; Song, S.; Li, T.; Zai, Q.; Ma, N.; Li, Y.; Yang, L.; Xiao, P.; Xu, T.; Ji, L.; et al. Oxidative stress promotes liver fibrosis by modulating the microRNA-144 and SIN3A-p38 pathways in hepatic stellate cells. Int. J. Biol. Sci. 2024, 20, 2422–2439. [Google Scholar] [CrossRef]
- Gabbia, D.; Carpi, S.; Sarcognato, S.; Zanotto, I.; Sayaf, K.; Colognesi, M.; Polini, B.; Digiacomo, M.; Macchia, M.; Nieri, P.; et al. The phenolic compounds tyrosol and hydroxytyrosol counteract liver fibrogenesis via the transcriptional modulation of NADPH oxidases and oxidative stress-related miRNAs. Biomed. Pharmacother. 2023, 157, 114014. [Google Scholar] [CrossRef]
- Ma, N.; Hou, A.; Pan, X.; Sun, F.; Xu, X.; Yu, C.; Lai, R.; Huang, R.; Gong, L.; Xie, Q.; et al. MiR-552-3p regulates multiple fibrotic and inflammatory genes concurrently in hepatic stellate cells improving NASH-associated phenotypes. Int. J. Biol. Sci. 2023, 19, 3456–3471. [Google Scholar] [CrossRef]
- Samaridou, E.; Heyes, J.; Lutwyche, P. Lipid Nanoparticles for Nucleic Acid Delivery: Current Perspectives. Adv. Drug Deliv. Rev. 2020, 154–155, 37–63. [Google Scholar] [CrossRef] [PubMed]
- Witzigmann, D.; Kulkarni, J.A.; Leung, J.; Chen, S.; Cullis, P.R.; van der Meel, R. Lipid Nanoparticle Technology for Therapeutic Gene Regulation in the Liver. Adv. Drug Deliv. Rev. 2020, 159, 344–363. [Google Scholar] [CrossRef]
- Li, C.W.; Chiu, Y.K.; Chen, B.S. Investigating pathogenic and hepatocarcinogenic mechanisms from normal liver to HCC by constructing genetic and epigenetic networks via big genetic and epigenetic data mining and genome-wide NGS data identification. Dis. Markers 2018, 2018, 8635329. [Google Scholar] [CrossRef] [PubMed]
- Rodrigues, P.M.; Afonso, M.B.; Simão, A.L.; Islam, T.; Gaspar, M.M.; O’Rourke, C.J.; Lewinska, M.; Andersen, J.B.; Arretxe, E.; Alonso, C.; et al. miR-21-5p promotes NASH-related hepatocarcinogenesis. Liver Int. 2023, 43, 2256–2274. [Google Scholar] [CrossRef] [PubMed]
- Liu, Y.C.; Chen, W.L.; Kung, W.H.; Huang, H.D. Plant miRNAs found in human circulating system provide evidences of cross kingdom RNAi. BMC Genom. 2017, 18, 112. [Google Scholar] [CrossRef]
- Tan, H.; Wang, C.; Li, F.; Peng, Y.; Sima, J.; Li, Y.; Deng, L.; Wu, K.; Xu, Z.; Zhang, Z. Cross-kingdom regulation of gene expression in giant pandas via plant-derived miRNA. Front. Vet. Sci. 2025, 12, 1509698. [Google Scholar] [CrossRef]
- Zhao, T.; Yu, Z. Modified Gexia-Zhuyu Tang inhibits gastric cancer progression by restoring gut microbiota and regulating pyroptosis. Cancer Cell Int. 2024, 24, 103. [Google Scholar] [CrossRef]
- Chu, X.; Liu, S.; Qu, B.; Xin, Y.; Lu, L. Salidroside may target PPARα to exert preventive and therapeutic activities on NASH. Front. Pharmacol. 2024, 15, 1433076. [Google Scholar] [CrossRef]
- Wang, X.P.; Xu, X.F.; Guo, C.Y.; Liu, J.; Yang, W.; Xia, Y.J.; Xu, L.; Yu, Y.-C. Gli1 maintains cell survival by up-regulating IGFBP6 and Bcl-2 through promoter regions in parallel manner in pancreatic cancer cells. J. Carcinog. 2009, 8, 13. [Google Scholar] [CrossRef]
- Barginear, M.F.; Leung, M.; Budman, D.R. The hedgehog pathway as a therapeutic target for treatment of breast cancer. Breast Cancer Res. Treat. 2009, 116, 239–246. [Google Scholar] [CrossRef]
- Semenza, G.L. Hypoxia-Inducible Factors in Physiology and Medicine. Cell 2012, 148, 399–408. [Google Scholar] [CrossRef] [PubMed]
- Madanecki, P.; Kapoor, N.; Bebok, Z.; Ochocka, R.; Collawn, J.F.; Bartoszewski, R. Regulation of Angiogenesis by Hypoxia: The Role of MicroRNA. Cell. Mol. Biol. Lett. 2013, 18, 47. [Google Scholar] [CrossRef] [PubMed]
- Rehmsmeier, M.; Steffen, P.; Hochsmann, M.; Giegerich, R. Fast and effective prediction of microRNA/target duplexes. RNA 2004, 10, 1507–1517. [Google Scholar] [CrossRef] [PubMed]
- Krüger, J.; Rehmsmeier, M. RNAhybrid: MicroRNA target prediction easy, fast and flexible. Nucleic Acids Res. 2006, 34, W451–W454. [Google Scholar] [CrossRef]
- Jia, H.; Liu, Y.; Xia, R.; Tong, C.; Yue, T.; Jiang, J.; Jia, J. Casein kinase 2 promotes Hedgehog signaling by regulating both smoothened and Cubitus interruptus. J. Biol. Chem. 2010, 285, 37218–37226. [Google Scholar] [CrossRef]










| Gene Name | Forward Sequence (5′ to 3′) | Reverse Sequence (5′ to 3′) |
|---|---|---|
| MiR55 | TCGCAGGGCCGTCTTAGCTCAG | * |
| U6 | CTCGCTTCGGCAGCACA | * |
| GAPDH | TGATGGGTGTGAACCACGAG | AGTGATGGCATGGACTGTGG |
| CK2α | ATGTGGTGGAATGGGGGAATC | GCAAGTGTGATGATGTTGGGC |
| SMO | ATGCGTGTTTCTTTGTGGGC | ACACAGGATAGGGTCTCGCT |
| Gli1 | AGCGTGAGCCTGAATCTGTG | CAGCATGTACTGGGCTTTGAA |
| HIF-1α | GTGACCGTGCCCCTACTATG | CGTAACTGGTCAGCTGTGGT |
| VEGF | AGGGTCAAAAACGAAAGCGC | CGCGAGTCTGTGTTTTTGCA |
| PDGF | TGGAGTCGAGTCGGAAAGC | GCACTGCACATTGCGGTTA |
| α-SMA | TAGAACACGGCATCATCACC | AAGGTCGGATGCTCCTCTG |
| TNF-α | CCAGGAGAAAGTCAGCCTCCT | TCATACCAGGGCTTGAGCTCA |
| IL-6 | GAGCCCACCAGGAACGAAAG | GGAAATTGGGGTAGGAAGGA |
| TGF-β1 | CTCCCGTGGCTTCTAGTGC | GCCTTAGTTTGGACAGGATCTG |
| TIMP-1 | CTTCTGCAATTCCGACCTCGT | ACCTGATCCGTCCACAAACAG |
| Col1a1 | GAGCGGAGAGTACTGGATCG | TACTCGAACGGGAATCCATC |
| Col3a1 | CTGTAACATGGAACCTGGCGA | CCATAGCTGAACTGAAAACACC |
| CTGF | GGGCCTCTTCTGCGATTTC | ATCCAGGCAAGTGCATTGGT |
Disclaimer/Publisher’s Note: The statements, opinions and data contained in all publications are solely those of the individual author(s) and contributor(s) and not of MDPI and/or the editor(s). MDPI and/or the editor(s) disclaim responsibility for any injury to people or property resulting from any ideas, methods, instructions or products referred to in the content. |
© 2026 by the authors. Licensee MDPI, Basel, Switzerland. This article is an open access article distributed under the terms and conditions of the Creative Commons Attribution (CC BY) license.
Share and Cite
Wu, L.; Yang, J.; Li, A.; Zhao, Y.; Liu, Q.; Li, Z.; Liu, Y.; Tang, P.; Wang, R. Plant-Derived miR-55 Alleviates Liver Fibrosis by Disrupting the CK2α/SMO Complex and Promoting SMO Ubiquitination. Int. J. Mol. Sci. 2026, 27, 748. https://doi.org/10.3390/ijms27020748
Wu L, Yang J, Li A, Zhao Y, Liu Q, Li Z, Liu Y, Tang P, Wang R. Plant-Derived miR-55 Alleviates Liver Fibrosis by Disrupting the CK2α/SMO Complex and Promoting SMO Ubiquitination. International Journal of Molecular Sciences. 2026; 27(2):748. https://doi.org/10.3390/ijms27020748
Chicago/Turabian StyleWu, Lei, Jing Yang, Anqi Li, Yuqiang Zhao, Qing Liu, Zhenbo Li, Yihan Liu, Peng Tang, and Rui Wang. 2026. "Plant-Derived miR-55 Alleviates Liver Fibrosis by Disrupting the CK2α/SMO Complex and Promoting SMO Ubiquitination" International Journal of Molecular Sciences 27, no. 2: 748. https://doi.org/10.3390/ijms27020748
APA StyleWu, L., Yang, J., Li, A., Zhao, Y., Liu, Q., Li, Z., Liu, Y., Tang, P., & Wang, R. (2026). Plant-Derived miR-55 Alleviates Liver Fibrosis by Disrupting the CK2α/SMO Complex and Promoting SMO Ubiquitination. International Journal of Molecular Sciences, 27(2), 748. https://doi.org/10.3390/ijms27020748

