Geometric Morphometrics Reveals That Alfacalcidol, but Not Cholecalciferol, Preserves Renal Corpuscle Architecture in Rheumatoid Arthritis in Rats
Abstract
1. Introduction
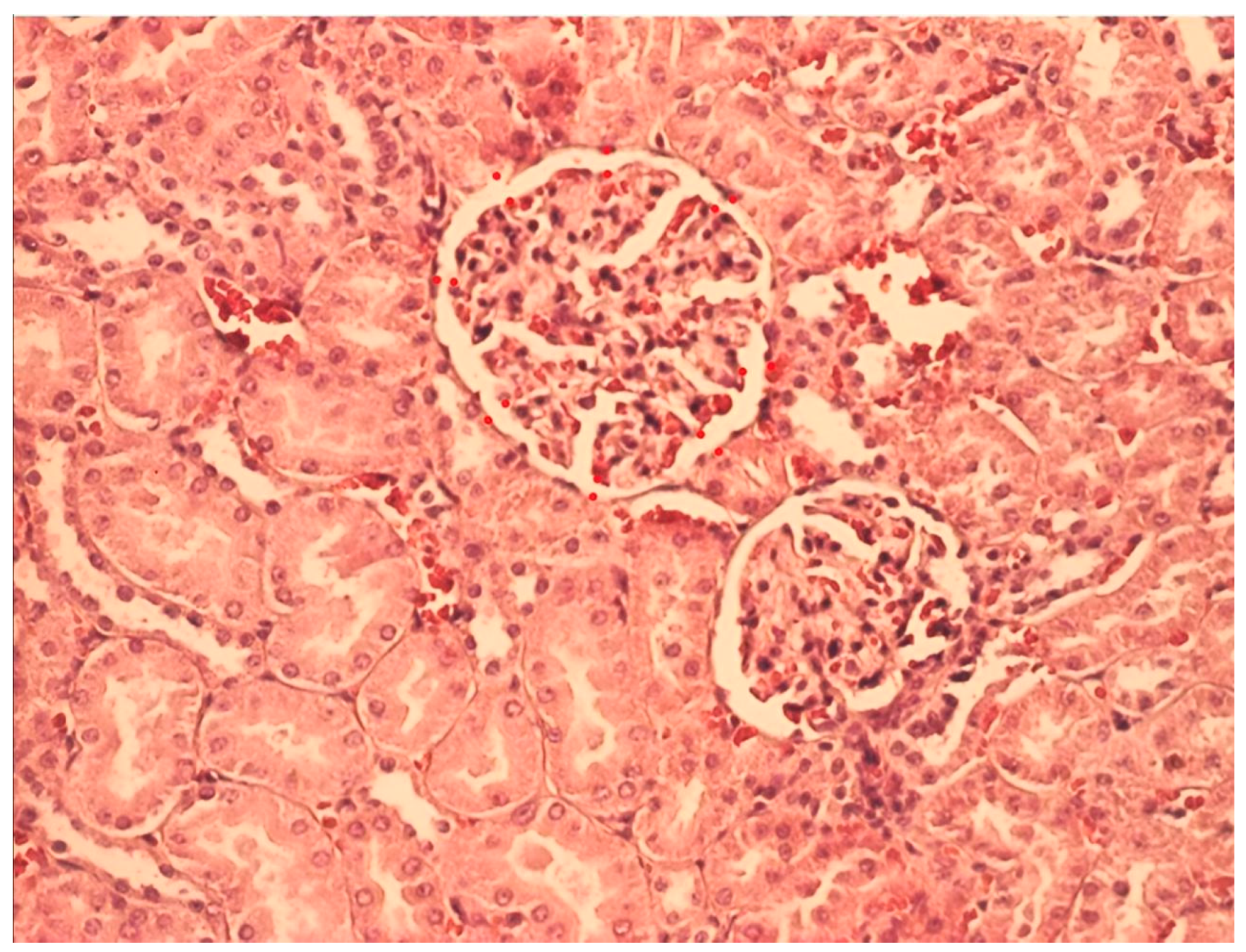
2. Results
Principal Component (PC) Analysis of Renal Corpuscles
3. Discussion
4. Materials and Methods
4.1. Animals
- Control group of healthy animals treated intracutaneously (i.c.) with saline solution (0.95% NaCl)—Cont group (n = 10),
- Pristane-induced arthritis rats—PIA group (n = 10),
- Pristane-induced arthritis rats treated orally with alfacalcidiol—PIA-ALF group (n = 10),
- Pristane-induced arthritis rats treated orally with cholecalciferol—PIA-CH group (n = 10).
4.2. Procedure of Arthritis Induction
4.3. Application of Vitamin D
4.4. Geometric Morphometrics
4.5. Morphometric Data Analysis Procedures
4.6. Statistical Analysis
5. Conclusions
Author Contributions
Funding
Institutional Review Board Statement
Informed Consent Statement
Data Availability Statement
Conflicts of Interest
Abbreviations
| RA | Rheumatoid arthritis |
| TNF-α | Tumor necrosis factor alpha |
| IL-6 | Interleukin 6 |
| 25(OH)D3 | Calcidiol |
| 1,25(OH)2D3 | Calcitriol |
| PC | Principal Component |
| BUN | Blood urea nitrogen |
| i.c. | Intracutaneously |
| Cont | Control |
| PIA | Pristane-induced arthritis |
| ALF | Alfacalcidiol |
| CH | Cholecalciferol |
Appendix A


References
- Gravallese, E.M.; Firestein, G.S. Rheumatoid arthritis—Common origins, divergent mechanisms. N. Engl. J. Med. 2023, 388, 529–542. [Google Scholar] [CrossRef]
- Ljung, L.; Jönsson, E.; Franklin, J.; Berglin, E.; Lundquist, A.; Rantapää-Dahlqvist, S. Incidence and predisposing factors of extra-articular manifestations in contemporary rheumatoid arthritis. Eur. J. Intern. Med. 2024, 126, 95–101. [Google Scholar] [CrossRef]
- Jiang, Z.; Chen, L.; Liu, A.; Qi, J.; Wang, J.; Li, Y.; Jiang, H.; Zhang, J.; Huang, S.; Mao, C.; et al. Rheumatoid arthritis and the risk of chronic kidney diseases: A Mendelian randomization study. Front. Med. 2024, 11, 1360026. [Google Scholar] [CrossRef]
- Tang, Y.; Varavko, Y.; Aringazina, R.; Menshikova, I. Changes in renal function and morphological variations of kidney diseases in rheumatoid arthritis patients. Asian J. Urol. 2024, 11, 304–310. [Google Scholar] [CrossRef]
- Karstila, K.; Korpela, M.; Sihvonen, S.; Mustonen, J. Prognosis of clinical renal disease and incidence of new renal findings in patients with rheumatoid arthritis: Follow-up of a population-based study. Clin. Rheumatol. 2007, 26, 2089–2095. [Google Scholar] [CrossRef]
- Hofstra, J.M.; Wetzels, J.F. Glomerular disease associated with rheumatic diseases other than SLE. In Glomerulonephritis; Trachtman, H., Hogan, J., Herlitz, L., Lerma, E., Eds.; Springer: Cham, Switzerland, 2017; pp. 1–15. [Google Scholar]
- Chebotareva, N.V.; Guliaev, S.V.; Androsova, T.V.; Moiseev, S.V. Renal lesions in rheumatoid arthritis: Variants and risk factors. Saudi J. Kidney Dis. Transpl. 2021, 32, 588–589. [Google Scholar] [CrossRef]
- Chebotareva, N.V.; Guliaev, S.V.; Androsova, T.V.; Milivanova, L.U. Chronic kidney disease in rheumatoid arthritis patients: Prevalence, risks factors, histopathological variants. Ter. Arkh. 2019, 91, 129–133. [Google Scholar] [CrossRef]
- Sumida, K.; Molnar, M.Z.; Potukuchi, P.K.; Hassan, F.; Thomas, F.; Yamagata, K.; Kalantar-Zadeh, K.; Kovesdy, C.P. Treatment of rheumatoid arthritis with biologic agents lowers the risk of incident chronic kidney disease. Kidney Int. 2018, 93, 1207–1216. [Google Scholar] [CrossRef] [PubMed]
- Feng, Y.; Zhu, P.; Yan, D.; Wang, X.; Chen, C.; Zhang, Z.; Tian, Y.; Wang, J.; Liu, S.; Li, J.; et al. Implications of vitamin D levels or status for mortality in rheumatoid arthritis: Analysis of 2001–2018 data from the National Health and Nutrition Examination Survey. Front. Immunol. 2024, 15, 1425119. [Google Scholar] [CrossRef] [PubMed]
- Ghaseminejad-Raeini, A.; Ghaderi, A.; Sharafi, A.; Nematollahi-Sani, B.; Moossavi, M.; Derakhshani, A.; Sarab, G.A. Immunomodulatory actions of vitamin D in various immune-related disorders: A comprehensive review. Front. Immunol. 2023, 14, 950465. [Google Scholar] [CrossRef] [PubMed]
- Heidari, B.; Hajian-Tilaki, K.; Babaei, M. Vitamin D deficiency and rheumatoid arthritis: Epidemiological, immunological, clinical and therapeutic aspects. Mediterr. J. Rheumatol. 2019, 30, 94–102. [Google Scholar] [PubMed]
- Thiel, A.; Hermanns, C.; Lauer, A.A.; Reichrath, J.; Erhardt, T.; Hartmann, T.; Grimm, M.O.W.; Grimm, H.S. Vitamin D and its analogues: From differences in molecular mechanisms to potential benefits of adapted use in the treatment of Alzheimer’s disease. Nutrients 2023, 15, 1684. [Google Scholar] [CrossRef]
- Ortiz-Prado, E.; Vasconez-Gonzalez, J.; Izquierdo-Condoy, J.S.; Suárez-Sangucho, I.A.; Prieto-Marín, J.G.; Villarreal-Burbano, K.B.; Barriga-Collantes, M.A.; Altamirano-Castillo, J.A.; Borja-Mendoza, D.A.; Pazmiño-Almeida, J.C.; et al. Cholecalciferol (vitamin D3): Efficacy, safety, and implications in public health. Front. Nutr. 2025, 12, 1579957. [Google Scholar] [CrossRef] [PubMed]
- Richy, F.; Deroisy, R.; Lecart, M.P.; Hanssens, L.; Mawet, A.; Reginster, J.Y. D-hormone analog alfacalcidol: An update on its role in post-menopausal osteoporosis and rheumatoid arthritis management. Aging Clin. Exp. Res. 2005, 17, 133–142. [Google Scholar] [CrossRef] [PubMed]
- Bilezikian, J.P.; Formenti, A.M.; Adler, R.A.; Binkley, N.; Bouillon, R.; Lazaretti-Castro, M.; Marcocci, C.; Napoli, N.; Rizzoli, R.; Giustina, A. Vitamin D: Dosing, levels, form, and route of administration: Does one approach fit all? Rev. Endocr. Metab. Disord. 2021, 22, 1201–1218. [Google Scholar] [CrossRef]
- Kantartzi, K.; Roumeliotis, S.; Polychronidis, C.; Zafeiri, E.; Roumeliotis, A.; Leivaditis, K.; Liakopoulos, V. Vitamin D and Vitamin D Analogues in Hemodialysis Patients: A Review of the Literature. Int. J. Mol. Sci. 2025, 26, 11550. [Google Scholar] [CrossRef]
- Shiraishi, A.; Higashi, S.; Ohkawa, H.; Kubodera, N.; Hirasawa, T.; Ezawa, I.; Ikeda, K.; Ogata, E. The advantage of alfacalcidol over vitamin D in the treatment of osteoporosis. Calcif. Tissue Int. 1999, 65, 311–316. [Google Scholar] [CrossRef]
- Cardini, A.; Elton, S. GeMBiD, a geometric morphometric approach to the study of biological diversity: An example study of the red colobus (Procolobus [Piliocolobus]) species complex. Int. J. Primatol. 2011, 32, 377–389. [Google Scholar] [CrossRef]
- Klingenberg, C.P. MorphoJ: An integrated software package for geometric morphometrics. Mol. Ecol. Resour. 2011, 11, 353–357. [Google Scholar] [CrossRef]
- McNulty, K.P.; Vinyard, C.J. Morphometry, geometry, function, and the future. Anat. Rec. 2015, 298, 328–333. [Google Scholar] [CrossRef]
- Ranjbar, M.; Rahimlou, M.; Fallah, M.; Djafarian, K.; Mohammadi, H. Effects of vitamin D supplementation in patients with rheumatoid arthritis: A systematic review and meta-analysis. Heliyon 2025, 11, e42463. [Google Scholar] [CrossRef] [PubMed]
- Combe, B.; Landewe, R.; Daien, C.I.; Hua, C.; Aletaha, D.; Álvaro-Gracia, J.M.; Bakkers, M.; Brodin, N.; Burmester, G.R.; Codreanu, C.; et al. 2016 update of the EULAR recommendations for the management of early arthritis. Ann. Rheum. Dis. 2017, 76, 948–959. [Google Scholar] [CrossRef]
- Fukui, S.; Winkelmayer, W.C.; Tedeschi, S.K.; Marrugo, J.; Guan, H.; Harrold, L.; Litman, H.J.; Shinozaki, T.; Solomon, D.H. Disease activity of rheumatoid arthritis and kidney function decline: A large prospective registry study. Ann. Rheum. Dis. 2025, 84, 201–209. [Google Scholar] [CrossRef]
- Helin, H.J.; Korpela, M.M.; Mustonen, J.T.; Pasternack, A.I. Renal biopsy findings and clinicopathologic correlations in rheumatoid arthritis. Arthritis Rheum. 1995, 38, 242–247. [Google Scholar] [CrossRef]
- Kapoor, T.; Bathon, J. Renal manifestations of rheumatoid arthritis. Rheum. Dis. Clin. N. Am. 2018, 44, 571–584. [Google Scholar] [CrossRef] [PubMed]
- Makino, H.; Yoshinaga, Y.; Yamasaki, Y.; Morita, Y.; Hashimoto, H.; Yamamura, M. Renal involvement in rheumatoid arthritis: Analysis of renal biopsy specimens from 100 patients. Mod. Rheumatol. 2002, 12, 148–154. [Google Scholar] [CrossRef] [PubMed]
- Hanaoka, H.; Aoki, T.; Kosaka, T.; Yoshinaga, S.; Shibata, A.; Sakai, R.; Kurasawa, T.; Amano, K. Chronic kidney disease and inflammatory cytokines in rheumatoid arthritis: A potential pathogenic link. Immunol. Med. 2025, 48, 161–170. [Google Scholar] [CrossRef]
- Rops, A.L.W.M.M.; Jansen, E.; van der Schaaf, A.; Pieterse, E.; Rother, N.; Hofstra, J.; Dijkman, H.B.P.M.; van de Logt, A.-E.; Wetzels, J.; van der Vlag, J.; et al. Interleukin-6 is essential for glomerular immunoglobulin A deposition and the development of renal pathology in Cd37-deficient mice. Kidney Int. 2018, 93, 1356–1366. [Google Scholar] [CrossRef]
- Magno, A.L.; Herat, L.Y.; Carnagarin, R.; Schlaich, M.P.; Matthews, V.B. Current knowledge of IL-6 cytokine family members in acute and chronic kidney disease. Biomedicines 2019, 7, 19. [Google Scholar] [CrossRef]
- Vielhauer, V.; Mayadas, T.N. Functions of TNF and its receptors in renal disease: Distinct roles in inflammatory tissue injury and immune regulation. Semin. Nephrol. 2007, 27, 286–308. [Google Scholar] [CrossRef]
- Lee, B.T.; Ahmed, F.A.; Hamm, L.L.; Teran, F.J.; Chen, C.S.; Liu, Y.; Shah, K.; Rifai, N.; Batuman, V.; Simon, E.E.; et al. Association of C-reactive protein, tumor necrosis factor-alpha, and interleukin-6 with chronic kidney disease. BMC Nephrol. 2015, 16, 77. [Google Scholar] [CrossRef]
- Zager, R.A. “Subclinical” gentamicin nephrotoxicity: A potential risk factor for exaggerated endotoxin-driven TNF-alpha production. Am. J. Physiol. Renal Physiol. 2007, 293, 43–49. [Google Scholar] [CrossRef]
- Gupta, J.; Mitra, N.; Kanetsky, P.A.; Devaney, J.; Wing, M.R.; Reilly, M.; Shah, V.O.; Balakrishnan, V.S.; Guzman, N.J.; Girndt, M.; et al. Association between albuminuria, kidney function, and inflammatory biomarker profile in CKD in CRIC. Clin. J. Am. Soc. Nephrol. 2012, 7, 1938–1946. [Google Scholar] [CrossRef]
- Allinovi, M.; Trivioli, G.; Gaudio, C.; L’Imperio, V.; Rauf, M.U.; Gillmore, J.D. The evolving spectrum of kidney amyloidosis: Advances in diagnosis, typing and treatment. Nephrol. Dial. Transplant. 2025, 40, 1826–1837. [Google Scholar] [CrossRef] [PubMed]
- Li, Z.I.; Chung, A.C.; Zhou, L.; Huang, X.R.; Liu, F.; Fu, P.; Fan, J.M.; Szalai, A.J.; Lan, H.Y. C-reactive protein promotes acute renal inflammation and fibrosis in unilateral ureteral obstructive nephropathy in mice. Lab. Investig. 2011, 91, 837–851. [Google Scholar] [CrossRef] [PubMed]
- Hubbi, S.; Hao, S.; Epps, J.; Ferreri, N.R. Tumour necrosis factor-alpha at the intersection of renal epithelial and immune cell function. J. Physiol. 2025, 603, 2915–2936. [Google Scholar] [CrossRef]
- Almeida Moreira Leal, L.K.; Lima, L.A.; Alexandre de Aquino, P.E.; Costa de Sousa, J.A.; Jataí Gadelha, C.V.; Felício Calou, I.B.; Pereira Lopes, M.J.; Viana Lima, F.A.; Tavares Neves, K.R.; Matos de Andrade, G.; et al. Vitamin D (VD3) antioxidative and anti-inflammatory activities: Peripheral and central effects. Eur. J. Pharmacol. 2020, 879, 173099. [Google Scholar] [CrossRef] [PubMed]
- Peterson, C.A.; Heffernan, M.E. Serum tumor necrosis factor-alpha concentrations are negatively correlated with serum 25(OH)D concentrations in healthy women. J. Inflamm. 2008, 5, 10. [Google Scholar] [CrossRef]
- Stein, E.M.; Shane, E. Vitamin D in organ transplantation. Osteoporos. Int. 2011, 22, 2107–2118. [Google Scholar] [CrossRef]
- Wöbke, T.K.; Sorg, B.L.; Steinhilber, D. Vitamin D in inflammatory diseases. Front. Physiol. 2014, 5, 244. [Google Scholar] [CrossRef]
- Začiragić, A.; Muzika, V.; Valjevac, A.; Dervišević, A.; Mitrašinović-Brulić, M.; Focak, M.; Ćosović, E.; Aličelebić, S.; Čustović, S.; Suljević, D. The protective effects of vitamin D3 on histopathology of pancreas and liver in streptozotocin-induced diabetic rats. J. Res. Pharm. 2022, 26, 325–333. [Google Scholar] [CrossRef]
- Sonneveld, R.; Hoenderop, J.G.; Stavenuiter, A.W.; Ferrantelli, E.; Baltissen, M.P.; Dijkman, H.B.; Florquin, S.; Rops, A.L.; Wetzels, J.F.M.; Berden, J.H.M.; et al. 1,25-Vitamin D3 deficiency induces albuminuria. Am. J. Pathol. 2016, 186, 794–804. [Google Scholar] [CrossRef] [PubMed]
- Hamdy, N.A.; Kanis, J.A.; Beneton, M.N.; Brown, C.B.; Juttmann, J.R.; Jordans, J.G.; Josse, S.; Meyrier, A.; Lins, R.L.; Fairey, I.T. Effect of alfacalcidol on natural course of renal bone disease in mild to moderate renal failure. BMJ 1995, 310, 358–363. [Google Scholar] [CrossRef] [PubMed]
- Shoji, T.; Shinohara, K.; Kimoto, E.; Emoto, M.; Tahara, H.; Koyama, H.; Inaba, M.; Fukumoto, S.; Ishimura, E.; Miki, T.; et al. Lower risk for cardiovascular mortality in oral 1alpha-hydroxy vitamin D3 users in a haemodialysis population. Nephrol. Dial. Transplant. 2004, 19, 179–184. [Google Scholar] [CrossRef]
- Matuszkiewicz-Rowińska, J.; Kulicki, P.; Zebrowski, P.; Klatko, W.; Sokalski, A.; Niemczyk, S.; Wypych-Birecka, M.; Małyszko, J. Cholecalciferol vs. small doses of alfacalcidol vs. placebo in chronic kidney disease patients on hemodialysis: A randomized parallel group study. Front. Med. 2022, 8, 781191. [Google Scholar] [CrossRef]
- Scharla, S.H.; Schacht, E.; Lempert, U.G. Alfacalcidol versus plain vitamin D in inflammation induced bone loss. J. Rheumatol. Suppl. 2005, 76, 26–32. [Google Scholar]
- Holmdahl, R. Dissection of the genetic complexity of arthritis using animal models. J. Autoimmun. 2003, 21, 99–103. [Google Scholar] [CrossRef][Green Version]
- Ashour, T.H. Effect of vitamin D supplementation with pegylated interferon-α and ribavirin on erythrocyte indices, iron parameters and erythropoietin expression in male Wistar rats. Clin. Exp. Pharmacol. 2014, 4, 160. [Google Scholar]
- Shiraishi, A.; Takeda, S.; Masaki, T.; Higuchi, Y.; Uchiyama, Y.; Kubodera, N. Alfacalcidol inhibits bone resorption and stimulates formation in an ovariectomized rat model of osteoporosis: Distinct actions from estrogen. J. Bone Miner. Res. 2000, 15, 770–779. [Google Scholar] [CrossRef]






| PCs | Eigenvalues | Variance % | Cumulative % |
|---|---|---|---|
| 1. | 0.00603319 | 58.848 | 58.848 |
| 2. | 0.00097686 | 9.528 | 68.376 |
| 3. | 0.00081066 | 7.907 | 76.283 |
| 4. | 0.00063540 | 6.198 | 82.481 |
| 5. | 0.00055292 | 5.393 | 87.874 |
| 6. | 0.00050954 | 4.970 | 92.844 |
| 7. | 0.00031132 | 3.037 | 95.881 |
| 8. | 0.00010146 | 0.990 | 96.871 |
| 9. | 0.00008040 | 0.784 | 97.655 |
| 10. | 0.00007106 | 0.693 | 98.348 |
| 11. | 0.00006986 | 0.681 | 99.029 |
| 12. | 0.00003824 | 0.373 | 99.402 |
| 13. | 0.00003204 | 0.313 | 99.715 |
| 14. | 0.00002922 | 0.285 | 100.000 |
Disclaimer/Publisher’s Note: The statements, opinions and data contained in all publications are solely those of the individual author(s) and contributor(s) and not of MDPI and/or the editor(s). MDPI and/or the editor(s) disclaim responsibility for any injury to people or property resulting from any ideas, methods, instructions or products referred to in the content. |
© 2025 by the authors. Licensee MDPI, Basel, Switzerland. This article is an open access article distributed under the terms and conditions of the Creative Commons Attribution (CC BY) license.
Share and Cite
Kapić, D.; Dervišević, A.; Mehmedagić, S.; Katica, M.; Začiragić, A.; Fajkić, A.; Bešić, A.; Kapo-Dolan, N.; Aktas, G.; Ajanović, Z. Geometric Morphometrics Reveals That Alfacalcidol, but Not Cholecalciferol, Preserves Renal Corpuscle Architecture in Rheumatoid Arthritis in Rats. Int. J. Mol. Sci. 2026, 27, 404. https://doi.org/10.3390/ijms27010404
Kapić D, Dervišević A, Mehmedagić S, Katica M, Začiragić A, Fajkić A, Bešić A, Kapo-Dolan N, Aktas G, Ajanović Z. Geometric Morphometrics Reveals That Alfacalcidol, but Not Cholecalciferol, Preserves Renal Corpuscle Architecture in Rheumatoid Arthritis in Rats. International Journal of Molecular Sciences. 2026; 27(1):404. https://doi.org/10.3390/ijms27010404
Chicago/Turabian StyleKapić, Dina, Amela Dervišević, Samir Mehmedagić, Muhamed Katica, Asija Začiragić, Almir Fajkić, Aida Bešić, Nadža Kapo-Dolan, Gulali Aktas, and Zurifa Ajanović. 2026. "Geometric Morphometrics Reveals That Alfacalcidol, but Not Cholecalciferol, Preserves Renal Corpuscle Architecture in Rheumatoid Arthritis in Rats" International Journal of Molecular Sciences 27, no. 1: 404. https://doi.org/10.3390/ijms27010404
APA StyleKapić, D., Dervišević, A., Mehmedagić, S., Katica, M., Začiragić, A., Fajkić, A., Bešić, A., Kapo-Dolan, N., Aktas, G., & Ajanović, Z. (2026). Geometric Morphometrics Reveals That Alfacalcidol, but Not Cholecalciferol, Preserves Renal Corpuscle Architecture in Rheumatoid Arthritis in Rats. International Journal of Molecular Sciences, 27(1), 404. https://doi.org/10.3390/ijms27010404

