First Report of Entrectinib as a Treatment Option for Pure Squamous Cell Carcinoma Harboring ROS1 Rearrangement: Exploring the Role of Next-Generation Sequencing in Targeted Therapy
Abstract
1. Introduction
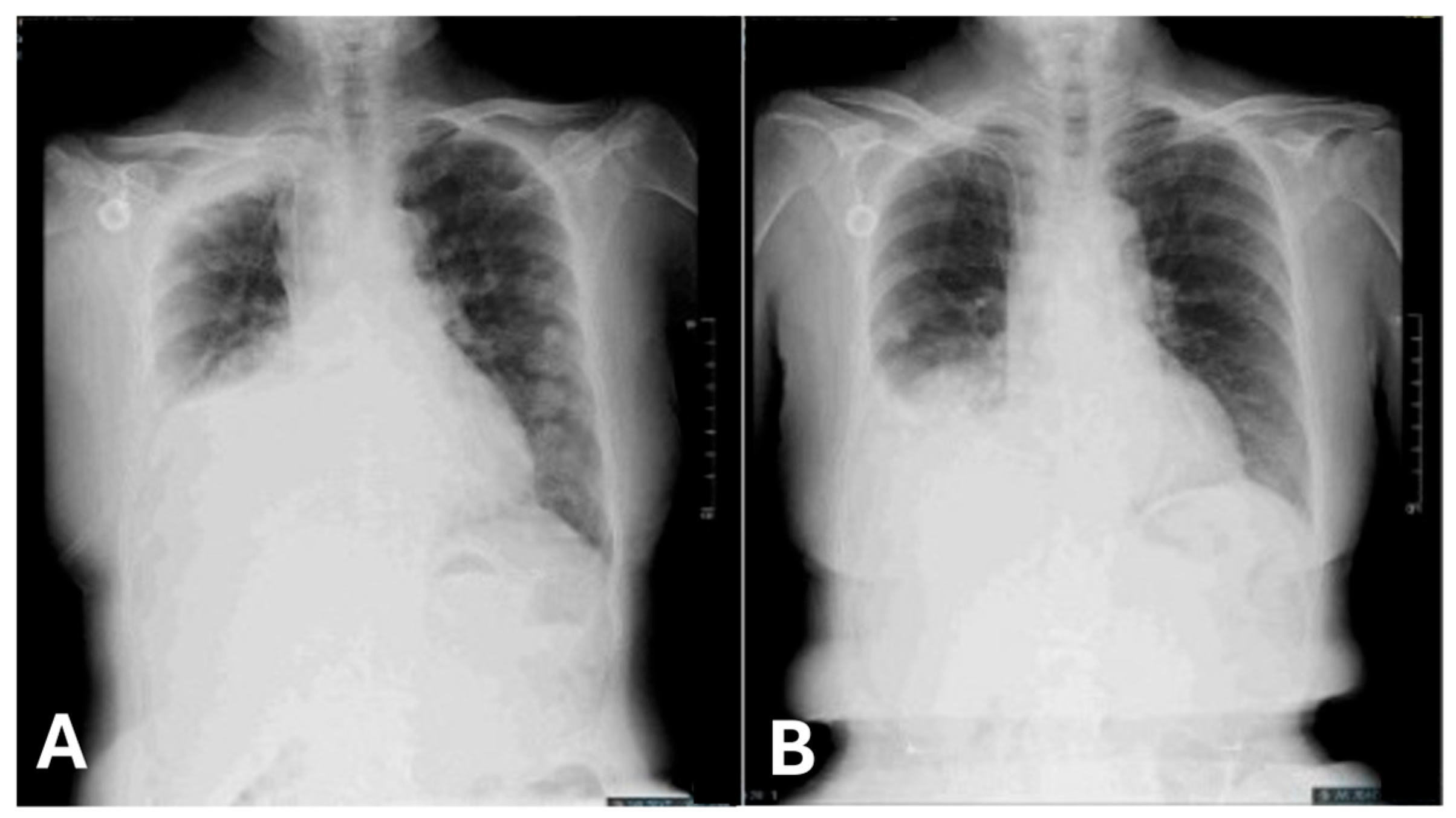
2. Case Presentation
3. Discussion
4. Conclusions
Author Contributions
Funding
Institutional Review Board Statement
Informed Consent Statement
Data Availability Statement
Acknowledgments
Conflicts of Interest
References
- Bade, B.C.; Cruz, C.S.D. Lung cancer 2020: Epidemiology, etiology, and prevention. Clin. Chest Med. 2020, 41, 1–24. [Google Scholar] [CrossRef]
- Zhang, Y.; Vaccarella, S.; Morgan, E.; Li, M.; Etxeberria, J.; Chokunonga, E.; Manraj, S.S.; Kamate, B.; Omonisi, A.; Bray, F. Global variations in lung cancer incidence by histological subtype in 2020: A population-based study. Lancet Oncol. 2023, 24, 1206–1218. [Google Scholar] [CrossRef]
- Meng, F.T.; Jhuang, J.R.; Peng, Y.T.; Chiang, C.J.; Yang, Y.W.; Huang, C.Y.; Huang, K.P.; Lee, W.C. Predicting Lung Cancer Survival to the Future: Population-Based Cancer Survival Modeling Study. JMIR Public Health Surveill. 2024, 10, e46737. [Google Scholar] [CrossRef]
- Liu, H.I.; Chiang, C.J.; Su, S.Y.; Jhuang, J.R.; Tsai, D.R.; Yang, Y.W.; Lin, L.-J.; Wang, Y.-C.; Lee, W.C. Incidence trends and spatial distributions of lung adenocarcinoma and squamous cell carcinoma in Taiwan. Sci. Rep. 2023, 13, 1655. [Google Scholar] [CrossRef] [PubMed]
- Machado, J. Next-Generation Sequencing (NGS) in lung cancer care: Advantages, applications, and challenges. Rev. GECP 2023, 2, 35–41. [Google Scholar] [CrossRef]
- Conroy, J.M.; Pabla, S.; Glenn, S.T.; Seager, R.; Van Roey, E.; Gao, S.; Burgher, B.; Andreas, J.; Giamo, V.; Mallon, M. A scalable high-throughput targeted next-generation sequencing assay for comprehensive genomic profiling of solid tumors. PLoS ONE 2021, 16, e0260089. [Google Scholar] [CrossRef]
- Papadopoulou, E.; Tsoulos, N.; Tsantikidi, K.; Metaxa-Mariatou, V.; Stamou, P.E.; Kladi-Skandali, A.; Kapeni, E.; Tsaousis, G.; Pentheroudakis, G.; Petrakis, D. Clinical feasibility of NGS liquid biopsy analysis in NSCLC patients. PLoS ONE 2019, 14, e0226853. [Google Scholar] [CrossRef]
- Jing, C.; Mao, X.; Wang, Z.; Sun, K.; Ma, R.; Wu, J.; Cao, H. Next-generation sequencing-based detection of EGFR, KRAS, BRAF, NRAS, PIK3CA, Her-2 and TP53 mutations in patients with non-small cell lung cancer. Mol. Med. Rep. 2018, 18, 2191–2197. [Google Scholar] [CrossRef]
- Gao, M.; Kong, W.; Huang, Z.; Xie, Z. Identification of key genes related to lung squamous cell carcinoma using bioinformatics analysis. Int. J. Mol. Sci. 2020, 21, 2994. [Google Scholar] [CrossRef] [PubMed]
- Kishore, R.R.; Pan, V. Correlation between ALK, ROS1 Biomarkers and EGFR Oncogene Mutations in Lung Tumours: Our Observations in an Apex Oncopathology Laboratory. Asian Pac. J. Cancer Biol. 2023, 8, 111–117. [Google Scholar] [CrossRef]
- Yakobson, A.; Mor, T.; Dina, L.; Roisman, L.C.; Levin, D.; Alguayn, W.; Morgenstern, S.; Rouvinov, K.; Peled, N.; Kian, W. ROS1 in Squamous Non-Small Cell Lung Cancer—Combined Immunotherapy (PD1/CTLA4) or Targeted Therapy? J. Cancer Ther. 2020, 11, 365. [Google Scholar] [CrossRef]
- Janzic, U.; Maimon Rabinovich, N.; Shalata, W.; Kian, W.; Szymczak, K.; Dziadziuszko, R.; Jakopovic, M.; Mountzios, G.; Pluzanski, A.; Araujo, A. Non-Small-Cell Lung Cancer Patients Harboring ROS1 Rearrangement: Real World Testing Practices, Characteristics and Treatment Patterns (ROS1REAL Study). Curr. Oncol. 2024, 31, 4369–4381. [Google Scholar] [CrossRef]
- Barbato, M.I.; Bradford, D.; Ren, Y.; Aungst, S.L.; Miller, C.P.; Pan, L.; Zirkelbach, J.F.; Li, Y.; Bi, Y.; Fan, J.; et al. FDA Approval Summary: Repotrectinib for locally advanced or metastatic ROS1-positive non-small cell lung cancer. Clin. Cancer Res. 2024, 30, 3364–3370. [Google Scholar] [CrossRef]
- Hendriks, L.; Kerr, K.; Menis, J.; Mok, T.; Nestle, U.; Passaro, A.; Peters, S.; Planchard, D.; Smit, E.; Solomon, B. Oncogene-addicted metastatic non-small-cell lung cancer: ESMO Clinical Practice Guideline for diagnosis, treatment and follow-up. Ann. Oncol. 2023, 34, 339–357. [Google Scholar] [CrossRef]
- Paz-Ares, L.; Luft, A.; Vicente, D.; Tafreshi, A.; Gümüş, M.; Mazières, J.; Hermes, B.; Çay Şenler, F.; Csőszi, T.; Fülöp, A. Pembrolizumab plus chemotherapy for squamous non–small-cell lung cancer. N. Engl. J. Med. 2018, 379, 2040–2051. [Google Scholar] [CrossRef]
- He, Y.; Sheng, W.; Hu, W.; Lin, J.; Liu, J.; Yu, B.; Mao, X.; Zhang, L.; Huang, J.; Wang, G. Different types of ROS1 fusion partners yield comparable efficacy to crizotinib. Oncol. Res. 2019, 27, 901. [Google Scholar] [CrossRef]
- Gibelin, C.; Avrillon, V.; De La Fouchardiere, A.; Mc Leer-Florin, A.; Lantuejoul, S.; Fayette, J. Clinical relevance of ROS1 rearrangements detection in advanced squamous cell carcinomas. Lung Cancer 2016, 102, 42–43. [Google Scholar] [CrossRef]
- Li, Q.; Wu, J.; Yan, L.-X.; Huang, J.-W.; Zhang, Z.; Zhang, J.-E.; Gao, X.-L.; Luo, Z.-R.; Liu, J.; Yang, S.-F. ALK and ROS1 double-rearranged lung squamous cell carcinoma responding to crizotinib treatment: A case report. J. Thorac. Oncol. 2017, 12, e193–e197. [Google Scholar] [CrossRef] [PubMed][Green Version]
- Ju, L.; Han, M.; Su, J.; Wu, C.; Dong, Z. A lung squamous carcinoma patient with ROS1 rearrangement sensitive to crizotinib. Cancer Chemother. Pharmacol. 2018, 82, 561–564. [Google Scholar] [CrossRef] [PubMed]
- Yang, G.; Wang, J.; Yao, Y.; Zhao, J.; Yu, Z.; Gao, Q.; Ye, J.; Ma, W. Peripheral lung squamous carcinoma with ROS1 rearrangement sensitive to Crizotinib: A case report. Front. Oncol. 2021, 11, 703318. [Google Scholar] [CrossRef] [PubMed]
- Davies, K.D.; Le, A.T.; Theodoro, M.F.; Skokan, M.C.; Aisner, D.L.; Berge, E.M.; Terracciano, L.M.; Cappuzzo, F.; Incarbone, M.; Roncalli, M. Identifying and targeting ROS1 gene fusions in non–small cell lung cancer. Clin. Cancer Res. 2012, 18, 4570–4579. [Google Scholar] [CrossRef] [PubMed]
- Shaw, A.T.; Ou, S.-H.I.; Bang, Y.-J.; Camidge, D.R.; Solomon, B.J.; Salgia, R.; Riely, G.J.; Varella-Garcia, M.; Shapiro, G.I.; Costa, D.B. Crizotinib in ROS1-rearranged non–small-cell lung cancer. N. Engl. J. Med. 2014, 371, 1963–1971. [Google Scholar] [CrossRef] [PubMed]
- Mosele, M.; Westphalen, C.; Stenzinger, A.; Barlesi, F.; Bayle, A.; Bièche, I.; Bonastre, J.; Castro, E.; Dienstmann, R.; Krämer, A. Recommendations for the use of next-generation sequencing (NGS) for patients with advanced cancer in 2024: A report from the ESMO Precision Medicine Working Group. Ann. Oncol. 2024, 35, 588–606, Erratum in Ann Oncol. 2025, 36, 472. [Google Scholar] [CrossRef]
- Network, C.G.A.R. Comprehensive genomic characterization of squamous cell lung cancers. Nature 2012, 489, 519. [Google Scholar] [CrossRef]
- Schwaederle, M.; Elkin, S.K.; Tomson, B.N.; Carter, J.L.; Kurzrock, R. Squamousness: Next-generation sequencing reveals shared molecular features across squamous tumor types. Cell Cycle 2015, 14, 2355–2361. [Google Scholar] [CrossRef]
- Friedlaender, A.; Banna, G.; Malapelle, U.; Pisapia, P.; Addeo, A. Next generation sequencing and genetic alterations in squamous cell lung carcinoma: Where are we today? Front. Oncol. 2019, 9, 166. [Google Scholar] [CrossRef]
- Sands, J.M.; Nguyen, T.; Shivdasani, P.; Sacher, A.G.; Cheng, M.L.; Alden, R.S.; Jänne, P.A.; Kuo, F.C.; Oxnard, G.R.; Sholl, L.M. Next-generation sequencing informs diagnosis and identifies unexpected therapeutic targets in lung squamous cell carcinomas. Lung Cancer 2020, 140, 35–41. [Google Scholar] [CrossRef]
- Gandara, D.R.; Hammerman, P.S.; Sos, M.L.; Lara, P.N., Jr.; Hirsch, F.R. Squamous cell lung cancer: From tumor genomics to cancer therapeutics. Clin. Cancer Res. 2015, 21, 2236–2243. [Google Scholar] [CrossRef]
- Chaft, J.E.; Rekhtman, N.; Ladanyi, M.; Riely, G.J. ALK-rearranged lung cancer: Adenosquamous lung cancer masquerading as pure squamous carcinoma. J. Thorac. Oncol. 2012, 7, 768. [Google Scholar] [CrossRef] [PubMed]
- Adib, E.; Nassar, A.H.; Abou Alaiwi, S.; Groha, S.; Akl, E.W.; Sholl, L.M.; Michael, K.S.; Awad, M.M.; Jӓnne, P.A.; Gusev, A. Variation in targetable genomic alterations in non-small cell lung cancer by genetic ancestry, sex, smoking history, and histology. Genome Med. 2022, 14, 39. [Google Scholar] [CrossRef]
- Planchard, D.; Popat, S.; Kerr, K.; Novello, S.; Smit, E.; Faivre-Finn, C.; Mok, T.; Reck, M.; Van Schil, P.; Hellmann, M. Metastatic non-small cell lung cancer: ESMO Clinical Practice Guidelines for diagnosis, treatment and follow-up. Ann. Oncol. 2018, 29, iv192–iv237, Erratum in Ann Oncol. 2019, 30, 863–870. [Google Scholar] [CrossRef] [PubMed]





| Authors | Gibelin et al. [17] | Li et al. [18] | Ju et al. [19] | Yakobson et al. [11] | Yang et al. [20] | Davies et al. [21] | Shaw et al. [22] | Present Case | |
|---|---|---|---|---|---|---|---|---|---|
| Sex/Age | F/41 | F/45 | F/84 | F/63 | F/47 | F/51 | M/71 | Unknown | F/70 |
| Race | Asian. | Asian. | Asian. | Unknown. | Unknown. | Unknown. | Unknown | Asian | |
| Stage | Unknown | IV | III | Unknown | IV | III | I | Unknown | IV |
| Smoking status | Never | Never | Never | Never | Never | Former | Current | Unknown | Never |
| ROS1 fusion | EZR-ROS1 | GPRC6A-ROS1 | Unknown | EZR-ROS1 | Unknown | SLC34A2-ROS1 | CD74-ROS1 | Unknown | EZR-ROS1 |
| Responses | PR | PR | PR | CR | PR | Unknown | Unknown | PR | |
| PFS (months) | 10+ | 5 | Unknown | 42+ | 9+ | Unknown | Unknown | 16+ | |
| OS | Unknown | Unknown | Unknown | Unknown | Unknown | Unknown | Unknown | Unknown | |
| Treatment | Crizotinib | Entrectinib | |||||||
Disclaimer/Publisher’s Note: The statements, opinions and data contained in all publications are solely those of the individual author(s) and contributor(s) and not of MDPI and/or the editor(s). MDPI and/or the editor(s) disclaim responsibility for any injury to people or property resulting from any ideas, methods, instructions or products referred to in the content. |
© 2025 by the authors. Licensee MDPI, Basel, Switzerland. This article is an open access article distributed under the terms and conditions of the Creative Commons Attribution (CC BY) license.
Share and Cite
Tang, Y.-J.; Chen, R.-H.; Lu, Y.-S.; Wu, C.-E. First Report of Entrectinib as a Treatment Option for Pure Squamous Cell Carcinoma Harboring ROS1 Rearrangement: Exploring the Role of Next-Generation Sequencing in Targeted Therapy. Int. J. Mol. Sci. 2026, 27, 25. https://doi.org/10.3390/ijms27010025
Tang Y-J, Chen R-H, Lu Y-S, Wu C-E. First Report of Entrectinib as a Treatment Option for Pure Squamous Cell Carcinoma Harboring ROS1 Rearrangement: Exploring the Role of Next-Generation Sequencing in Targeted Therapy. International Journal of Molecular Sciences. 2026; 27(1):25. https://doi.org/10.3390/ijms27010025
Chicago/Turabian StyleTang, Yan-Jei, Rung-Hsuan Chen, Yung-Shin Lu, and Chiao-En Wu. 2026. "First Report of Entrectinib as a Treatment Option for Pure Squamous Cell Carcinoma Harboring ROS1 Rearrangement: Exploring the Role of Next-Generation Sequencing in Targeted Therapy" International Journal of Molecular Sciences 27, no. 1: 25. https://doi.org/10.3390/ijms27010025
APA StyleTang, Y.-J., Chen, R.-H., Lu, Y.-S., & Wu, C.-E. (2026). First Report of Entrectinib as a Treatment Option for Pure Squamous Cell Carcinoma Harboring ROS1 Rearrangement: Exploring the Role of Next-Generation Sequencing in Targeted Therapy. International Journal of Molecular Sciences, 27(1), 25. https://doi.org/10.3390/ijms27010025

