Regeneration-Associated Factors in the Regulation of Adult and Post-Traumatic Neurogenesis in the Forebrain of Fish and Other Vertebrates
Abstract
1. Introduction
2. Adult Neurogenesis in Vertebrates
3. Neuronal Stem Cells in Adult Non-Mammalian Vertebrates
4. Molecular Markers of Glial-Type aNSPCs
5. The Fate of Progenitor Cells in the Neurogenic Areas of the Mammalian and Fish Brains
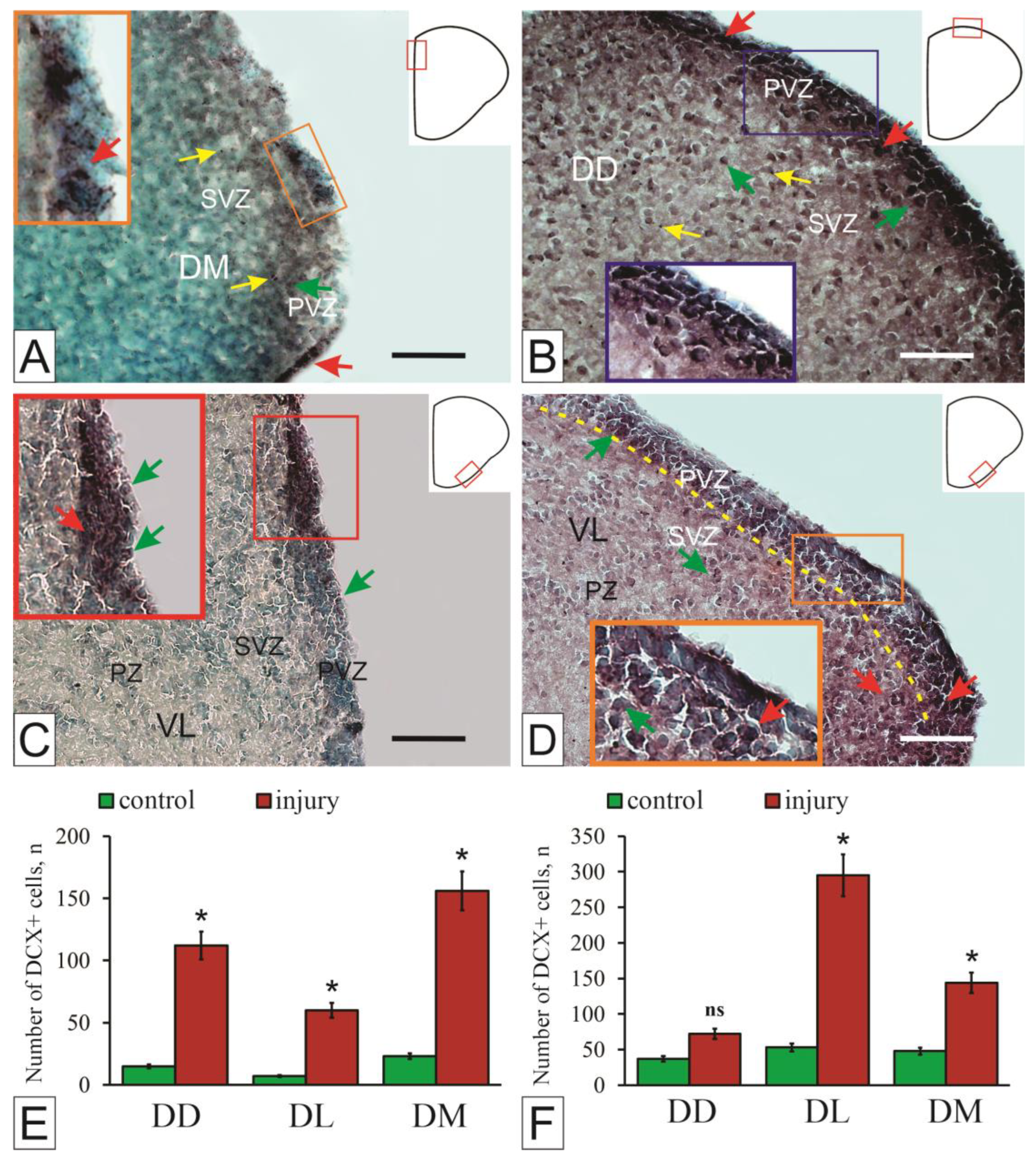
6. Cell Migration in the Adult Telencephalon
7. Differentiation of Progenitor Cells
8. Features of the Progenitor Cells of the Forebrain Ventricles
9. Features of the Vimentin and Glial Fibrillary Acidic Protein Distribution in the Brain of Fish
10. The Pax Family of Genes, Their Involvement in Nervous System Development, and Their Potential Role in Neuroregeneration
11. Functions of Glutamine Synthetase in the Central Nervous System
12. Cystathionine-β-Synthase and Hydrogen Sulfide in the Central Nervous System
13. Conclusions and Future Perspectives
Author Contributions
Funding
Institutional Review Board Statement
Informed Consent Statement
Data Availability Statement
Conflicts of Interest
Abbreviations
| aNSC | adult neural stem cells |
| aNSPCs | adult neural stem progenitor cells |
| BLBP | brain lipid binding protein |
| BrdU | 2′-deoxy-5-bromodeoxyuridine |
| CBS | Cystathionine-β-synthase |
| CNN | constitutive neurogenic niche |
| CNS | central nervous system |
| Dc | doublecortin |
| Dd | Dorsal pallial zone |
| Dl | Lateral pallial zone |
| Dm | Medial pallial zone |
| GABA | Gamma-aminobutyric acid |
| GFAP | Glial fibrillary acidic protein |
| GS | glutamine synthetase |
| HuCD | neuronal protein |
| ICH | immunohistochemistry |
| ip | immunopositive cells |
| MG | methyl green |
| NADPH | Nicotinamide adenine dinucleotide phosphate phosphorase |
| NECs | neuroepithelial cells |
| NMDA | ionotropic glutamate receptor |
| NOS | nitric oxide synthase |
| NPC | neural progenitor cells |
| NSCs | neural stem cells |
| OLB | olfactory bulb |
| PCNA | Nuclear antigen of proliferating cells |
| PVZ | periventricular zone |
| RG | radial glia |
| RMS | rostral migration stream |
| RNN | reactive neurogenic niche |
| SGZ | subgranular zone |
| SVZ | subventricular zone |
| TBI | traumatic brain injury |
| TF | transcription factor |
| TH | tyrosine hydroxylase |
| Vd | dorsal subpallial zone |
| Vim | vimentin |
| Vl | lateral subpallial zone |
| Vv | ventral subpallial zone |
References
- Furlan, G.; Cuccioli, V.; Vuillemin, N.; Dirian, L.; Muntasell, A.J.; Coolen, M.; Dray, N.; Bedu, S.; Houart, C.; Beaurepaire, E.; et al. Life-Long Neurogenic Activity of Individual Neural Stem Cells and Continuous Growth Establish an Outside-In Architecture in the Teleost Pallium. Curr. Biol. 2017, 27, 3288–3301.e3. [Google Scholar] [CrossRef] [PubMed] [PubMed Central]
- García-Moreno, F.; Molnár, Z. Variations of telencephalic development that paved the way for neocortical evolution. Prog. Neurobiol. 2020, 194, 101865. [Google Scholar] [CrossRef] [PubMed] [PubMed Central]
- Tran, L.M.; Santoro, A.; Liu, L.; Josselyn, S.A.; Richards, B.A.; Frankland, P.W. Adult neurogenesis acts as a neural regularizer. Proc. Natl. Acad. Sci. USA 2022, 119, e2206704119. [Google Scholar] [CrossRef] [PubMed] [PubMed Central]
- Ceci, M.; Mariano, V.; Romano, N. Zebrafish as a translational regeneration model to study the activation of neural stem cells and role of their environment. Prog. Neurobiol. 2018, 30, 45–66. [Google Scholar] [CrossRef] [PubMed]
- Olivera-Pasilio, V.; Lasserre, M.; Castelló, M.E. Cell Proliferation, Migration, and Neurogenesis in the Adult Brain of the Pulse Type Weakly Electric Fish, Gymnotus omarorum. Front. Neurosci. 2017, 11, 437. [Google Scholar] [CrossRef] [PubMed] [PubMed Central]
- Castelló, M.E.; Olivera-Pasilio, V.; Rosillo, J.C.; Fernández, A.S. Adult neurogenesis in the Uruguayan teleost species Austrolebias charrua and Gymnotus omarorum. Neuroscience 2025, 573, 143–153. [Google Scholar] [CrossRef] [PubMed]
- Zupanc, G.K.; Hinsch, K.; Gage, F.H. Proliferation, migration, neuronal differentiation, and long-term survival of new cells in the adult zebrafish brain. J. Comp. Neurol. 2005, 488, 290–319. [Google Scholar] [CrossRef]
- Grandel, H.; Kaslin, J.; Ganz, J.; Wenzel, I.; Brand, M. Neural stem cells and neurogenesis in the adult zebrafish brain: Origin, proliferation dynamics, migration and cell fate. Dev. Biol. 2006, 295, 263–277. [Google Scholar] [CrossRef]
- Zupanc, G.K.H.; Sîrbulescu, R.F. Teleost fish as a model system to study successful regeneration of the central nervous system. In New Perspectives in Regeneration; Current Topics in Microbiology and Immunology; Springer: Berlin/Heidelberg, Germany, 2013; Volume 367, pp. 193–233. [Google Scholar]
- Hall, Z.J.; Tropepe, V. Movement maintains forebrain neurogenesis via peripheral neural feedback in larval zebrafish. Elife 2018, 7, e31045. [Google Scholar] [CrossRef] [PubMed] [PubMed Central]
- Tian, T.; Zhang, S.; Yang, M. Recent progress and challenges in the treatment of spinal cord injury. Protein Cell 2023, 14, 635–652. [Google Scholar] [CrossRef] [PubMed] [PubMed Central]
- Folgueira, M.; Clarke, J.D.W. Telencephalic eversion in embryos and early larvae of four teleost species. Evol. Dev. 2024, 26, e12474. [Google Scholar] [CrossRef] [PubMed]
- Srivastava, P.P.; Bhasin, S.; Shankaran, S.S.; Roger, C.; Ramachandran, R.; Minocha, S. A reproducible method to study traumatic injury-induced zebrafish brain regeneration. Biol. Methods Protoc. 2024, 9, bpae073. [Google Scholar] [CrossRef] [PubMed] [PubMed Central]
- Stukaneva, M.E.; Pushchina, E.V.; Varaksin, A.A. GFAP and PCNA Marking in the cerebellum of masu salmon’s (Oncorhynchus masou) juvenile after mechanical injury. Russ. J. Dev. Biol. 2017, 48, 321–329. [Google Scholar] [CrossRef]
- Pushchina, E.V.; Zharikova, E.I.; Varaksin, A.A. Mechanical Brain Injury Increases Cells’ Production of Cystathionine β-Synthase and Glutamine Synthetase, but Reduces Pax2 Expression in the Telencephalon of Juvenile Chum Salmon, Oncorhynchus keta. Int. J. Mol. Sci. 2021, 22, 1279. [Google Scholar] [CrossRef] [PubMed] [PubMed Central]
- Pushchina, E.V.; Zharikova, E.I.; Varaksin, A.A. Expression of Doublecortin, Glial Fibrillar Acidic Protein, and Vimentin in the Intact Subpallium and after Traumatic Injury to the Pallium in Juvenile Salmon, Oncorhynchus masou. Int. J. Mol. Sci. 2022, 23, 1334. [Google Scholar] [CrossRef] [PubMed] [PubMed Central]
- Zupanc, G.K.H. Adult neurogenesis in the central nervous system of teleost fish: From stem cells to function and evolution. J. Exp. Biol. 2021, 224, jeb226357. [Google Scholar] [CrossRef] [PubMed]
- Verdile, N.; Camin, F.; Pavlovic, R.; Pasquariello, R.; Stuknytė, M.; De Noni, I.; Brevini, T.A.L.; Gandolfi, F. Distinct Organotypic Platforms Modulate Rainbow Trout (Oncorhynchus mykiss) Intestinal Cell Differentiation In Vitro. Cells 2023, 12, 1843. [Google Scholar] [CrossRef] [PubMed] [PubMed Central]
- Seki, T. Understanding the Real State of Human Adult Hippocampal Neurogenesis From Studies of Rodents and Non-human Primates. Front. Neurosci. 2020, 14, 839. [Google Scholar] [CrossRef] [PubMed] [PubMed Central]
- Malvaut, S.; Saghatelyan, A. The Role of Adult-Born Neurons in the Constantly Changing Olfactory Bulb Network. Neural Plast. 2016, 2016, 1614329. [Google Scholar] [CrossRef] [PubMed] [PubMed Central]
- Lopez-Virgen, V.; Gonzalez-Morales, O.; Gonzalez-Perez, O. The ventricular-subventricular, subgranular and subcallosal zones: Three niches of neural stem cells in the postnatal brain. Exp. Brain Res. 2023, 241, 1463–1470. [Google Scholar] [CrossRef] [PubMed]
- Shi, Y.; Chichung Lie, D.; Taupin, P.; Nakashima, K.; Ray, J.; Yu, R.T.; Gage, F.H.; Evans, R.M. Expression and function of orphan nuclear receptor TLX in adult neural stem cells. Nature 2004, 427, 78–83. [Google Scholar] [CrossRef]
- Molofsky, A.V.; He, S.; Bydon, M.; Morrison, S.J.; Pardal, R. Bmi-1 promotes neural stem cell self-renewal and neural development but not mouse growth and survival by repressing the p16Ink4a and p19Arf senescence pathways. Genes. Dev. 2005, 19, 1432–1437. [Google Scholar] [CrossRef] [PubMed]
- Ferri, A.L.M.; Cavallaro, M.; Braida, D.; Di Cristofano, A.; Canta, A.; Vezzani, A.; Ottolenghi, S.; Pandolfi, P.P.; Sala, M.; DeBiasi, S.; et al. Sox2 deficiency causes neurodegeneration and impaired neurogenesis in the adult mouse brain. Development 2004, 131, 3805–3819. [Google Scholar] [CrossRef] [PubMed]
- Episkopou, V. SOX2 functions in adult neural stem cells. Trends Neurosci. 2005, 28, 219–221. [Google Scholar] [CrossRef]
- García-Verdugo, J.M.; Ferrón, S.; Flames, N.; Collado, L.; Desfilis, E.; Font, E. The proliferative ventricular zone in adult vertebrates: A comparative study using reptiles, birds, and mammals. Brain Res. Bull. 2002, 57, 765–775. [Google Scholar] [CrossRef]
- Goldman, S.A. Adult neurogenesis: Fromcanaries to the clinic. J. Neurobiol. 1998, 36, 267–286. [Google Scholar] [CrossRef]
- Zupanc, G.K. Adult neurogenesis and neuronal regeneration in the central nervous system of teleost fish. Brain Behav. Evol. 2001, 58, 250–275. [Google Scholar] [CrossRef]
- Goldman, D.; Hankin, M.; Li, Z.; Dai, X.; Ding, J. Transgenic zebrafish for studying nervous system development and regeneration. Transgenic Res. 2001, 10, 21–33. [Google Scholar] [CrossRef]
- Mazzitelli-Fuentes, L.S.; Román, F.R.; Elías, J.R.C.; Deleglise, E.B.; Mongiat, L.A. Spatial Learning Promotes Adult Neurogenesis in Specific Regions of the Zebrafish Pallium. Front. Cell Dev. Biol. 2022, 10, 840964. [Google Scholar] [CrossRef] [PubMed] [PubMed Central]
- Lindsey, B.W.; Darabie, A.; Tropepe, V. The cellular composition of neurogenic periventricular zones in the adult zebrafish forebrain. J. Comp. Neurol. 2012, 520, 2275–2316. [Google Scholar] [CrossRef] [PubMed]
- Grandel, H.; Brand, M. Comparative aspects of adult neural stem cell activity in vertebrates. Dev. Genes. Evol. 2013, 223, 131–147. [Google Scholar] [CrossRef] [PubMed]
- Alvarez-Buylla, A.; Kirn, J.R. Birth, migration, incorporation, and death of vocal control neurons in adult songbirds. J. Neurobiol. 1997, 33, 585–601. [Google Scholar] [CrossRef]
- Absil, P.; Pinxten, R.; Balthazart, J.; Eens, M. Effect of age and testosterone on autumnal neurogenesis in male European starlings (Sturnus vulgaris). Behav. Brain Res. 2003, 143, 15–30. [Google Scholar] [CrossRef] [PubMed]
- Polenov, A.L.; Chetverukhin, V.K. Ultrastructural radioautographic analysis of neurogenesis in the hypothalamus of the adult frog, Rana temporaria, with special reference to physiological regeneration of the preoptic nucleus. II. Types of neuronal cells produced. Cell Tissue Res. 1993, 271, 351–362. [Google Scholar] [CrossRef]
- Ekstrom, P.; Johnsson, C.M.; Ohlin, L.M. Ventricular proliferation zones in the brain of an adult teleost fish and their relation to neuromeres and migration (secondary matrix) zones. J. Comp. Neurol. 2001, 436, 92–110. [Google Scholar] [CrossRef]
- Birse, S.C.; Leonard, R.B.; Coggeshall, R.E. Neuronal increase in various areas of the nervous system of the guppy, Lebistes. J. Comp. Neurol. 1980, 194, 291–301. [Google Scholar] [CrossRef] [PubMed]
- Sullivan, S.A.; Barthel, L.K.; Largent, B.L.; Raymond, P.A. A goldfish Notch-3 homologue is expressed in neurogenic regions of embryonic, adult, and regenerating brain and retina. Dev. Genet. 1997, 20, 208–223. [Google Scholar] [CrossRef]
- Candal, E.; Anadón, R.; Bourrat, F.; Rodríguez-Moldes, I. Cell proliferation in the developing and adult hindbrain and midbrain of trout and medaka (teleosts): A segmental approach. Brain Res. Dev. Brain Res. 2005, 160, 157–175. [Google Scholar] [CrossRef]
- Pellegrini, E.; Mouriec, K.; Anglade, I.; Menuet, A.; Le Page, Y.; Gueguen, M.; Marmignon, M.; Brion, F.; Pakdel, F.; Kah, O. Identification of aromatase-positive radial glial cells as progenitor cells in the ventricular layer of the forebrain in zebrafish. J. Comp. Neurol. 2007, 501, 150–167. [Google Scholar] [CrossRef]
- Berninger, B.; Hack, M.A.; Gotz, M. Neural stem cells: On where they hide, in which disguise, and how we may lure them out. Handb. Exp. Pharmacol. 2006, 174, 319–360. [Google Scholar]
- Hutton, C.; Déry, N.; Rosa, E.; Lemon, J.; Rollo, C.; Boreham, D.; Fahnestock, M.; Decatanzaro, D.; Wojtowicz, J.; Becker, S. Synergistic effects of diet and exercise on hippocampal function in chronically stressed mice. Neuroscience 2015, 308, 180–193. [Google Scholar] [CrossRef] [PubMed]
- Morrison, S.J.; Wandycz, A.M.; Hemmati, H.D.; Wright, D.E.; Weissman, I.L. Identification of a lineage of multipotent hematopoietic progenitors. Development 1997, 124, 1929–1939. [Google Scholar] [CrossRef]
- Smart, I.; Leblond, C.P. Evidence for division and transformations of neuroglia cells in the mouse brain, as derived from autoradiography after injection of thymidineH3. J. Comp. Neurol. 1961, 116, 349–367. [Google Scholar] [CrossRef]
- Altman, J.; Das, G.D. Autoradiographic and histological evidence of postnatal hippocampal neurogenesis in rats. J. Comp. Neurol. 1965, 124, 319–335. [Google Scholar] [CrossRef] [PubMed]
- Johansson, C.B.; Momma, S.; Clarke, D.L.; Risling, M.; Lendahl, U.; Frisén, J. Identification of a neural stem cell in the adult mammalian central nervous system. Cell 1999, 96, 25–34. [Google Scholar] [CrossRef]
- Doetsch, F.; Caille, I.; Lim, D.A.; Garcıa-Verdugo, G.M. Subventricular zone astrocytes are neural stem cells in the adult mammalian brain. Cell 1999, 97, 703–716. [Google Scholar] [CrossRef]
- Seri, B.; García-Verdugo, J.M.; Collado-Morente, L.; McEwen, B.S.; Alvarez-Buylla, A. Cell types, lineage, and architecture of the germinal zone in the adult dentate gyrus. J. Comp. Neurol. 2004, 478, 359–378. [Google Scholar] [CrossRef]
- Kippin, T.E.; Martens, D.J.; van der Kooy, D. p21 loss compromises the relative quiescence of forebrain stem cell proliferation leading to exhaustion of their proliferation capacity. Genes Dev. 2005, 19, 756–767. [Google Scholar] [CrossRef]
- Pushchina, E.V.; Zharikova, E.I.; Varaksin, A.A. Persistent and reparative neurogenesis in the juvenile masu salmon Oncorhynchus masou telencephalon after mechanical injury. Russ. J. Dev. Biol. 2017, 48, 307–320. [Google Scholar] [CrossRef]
- Pushchina, E.V.; Zharikova, E.I.; Varaksin, A.A.; Prudnikov, I.M.; Tsyvkin, V.N. Proliferation, Adult Neuronal Stem Cells and Cells Migration in Pallium during Constitutive Neurogenesis and after Traumatic Injury of Telencephalon of Juvenile Masu Salmon, Oncorhynchus masou. Brain Sci. 2020, 10, 222. [Google Scholar] [CrossRef] [PubMed] [PubMed Central]
- Dolbeare, F. Bromodeoxyuridine: Diagnostic toll in biology and medicine. Part I: Historical perspectives, histochemical methods and cell kinetics. Histochem. J. 1995, 27, 339–369. [Google Scholar] [CrossRef]
- Traniello, I.M.; Sîrbulescu, R.F.; Ilieş, I.; Zupanc, G.K. Age-related changes in stem cell dynamics, neurogenesis, apoptosis, and gliosis in the adult brain: A novel teleost fish model of negligible senescence. Dev. Neurobiol. 2014, 74, 514–530. [Google Scholar] [CrossRef] [PubMed]
- Wullimann, M.; Puelles, L. Postembrionic neural proliferation in the zebrafish forebrain and its relationship to prosomeric domains. Anat. Embryol. 1999, 329, 329–348. [Google Scholar] [CrossRef]
- Bravo, R.; Frank, R.; Blundell, P.A.; Macdonald-Bravo, H. Cyclin/PCNA is the auxiliary protein of DNA polymerase-δ. Nature 1987, 326, 515–517. [Google Scholar] [CrossRef]
- Seri, B.; García-Verdugo, J.M.; McEwen, B.S.; Alvarez-Buylla, A. Astrocytes give rise to new neurons in the adult mammalian hippocampus. J. Neurosci. 2001, 21, 7153–7160. [Google Scholar] [CrossRef]
- Marcus, R.; Easter, S.J. Expression of glial fibrillary acidic protein and its relation to tract formation in embryonic zebrafish (Danio rerio). J. Comp. Neurol. 1995, 359, 365–381. [Google Scholar] [CrossRef]
- Blader, P.; Lam, C.S.; Rastegar, S.; Scardigli, R.; Nicod, J.-C.; Simplicio, N.; Plessy, C.; Fischer, N.; Schuurmans, C.; Guillemot, F.; et al. Conserved and acquired features of neurogenin1 regulation. Development 2004, 131, 5627–5637. [Google Scholar] [CrossRef]
- Reynolds, B.A.; Weiss, S. Generation of neurons and astrocytes from isolated cells of the adult mammalian central nervous system. Science 1992, 255, 1707–1710. [Google Scholar] [CrossRef]
- Seaberg, R.M.; van der Kooy, D. Adult rodent neurogenic regions: The ventricular subependyma contains neural stem cells, but the dentate gyrus contains restricted progenitors. J. Neurosci. 2002, 22, 1784–1793. [Google Scholar] [CrossRef] [PubMed]
- Morshead, C.M.; Benveniste, P.; Iscove, N.N.; van der Kooy, D. Hematopoietic competence is a rare property of neural stem cells that may depend on genetic and epigenetic alterations. Nat. Med. 2002, 8, 268–273. [Google Scholar] [CrossRef]
- Kempermann, G.; Kuhn, H.G.; Gage, F.H. Experience-induced neurogenesis in the senescent dentate gyrus. J. Neurosci. 1998, 18, 3206–3212. [Google Scholar] [CrossRef]
- Luo, J.; Daniels, S.B.; Lennington, J.B.; Notti, R.Q.; Conover, J.C. The aging neurogenic subventricular zone. Aging Cell 2006, 5, 139–152. [Google Scholar] [CrossRef]
- Menn, B.; Garcia-Verdugo, J.M.; Yaschine, C.; Gonzalez-Perez, O.; Rowitch, D.; Alvarez-Buylla, A. Origin of oligodendrocytes in the subventricular zone of the adult brain. J. Neurosci. 2006, 26, 7907–7918. [Google Scholar] [CrossRef]
- Morshead, C.M.; Craig, C.G.; van der Kooy, D. In vivo clonal analyses reveal the properties of endogenous neural stem cell proliferation in the adult mammalian forebrain. Development 1998, 125, 2251–2261. [Google Scholar] [CrossRef]
- Consiglio, A.; Gritti, A.; Dolcetta, D.; Follenzi, A.; Bordignon, C.; Gage, F.H.; Vescovi, A.L.; Naldini, L. Robust in vivo gene transfer into adult mammalian neural stem cells by lentiviral vectors. Proc. Natl. Acad. Sci. USA 2004, 101, 14835–14840. [Google Scholar] [CrossRef] [PubMed]
- Hinsch, K.; Zupanc, G.K. Isolation, cultivation, and differentiation of neural stem cells from adult fish brain. J. Neurosci. Methods 2006, 158, 75–88. [Google Scholar] [CrossRef] [PubMed]
- Zupanc, G.K.H.; Horschke, I. Proliferation zones in the brain of adult gymnotiform fish: A quantitative mapping study. J. Comp. Neurol. 1995, 353, 213–233. [Google Scholar] [CrossRef] [PubMed]
- Wullimann, M. Neuroanatomy of the Zebrafish Brain: A Topological Atlas; Wullimann, M., Rupp, B., Reichert, H., Eds.; Birkhäuser: Basel, Switzerland, 1998; 144p. [Google Scholar]
- Byrd, C.A.; Brunjes, P.C. Neurogenesis in the olfactory bulb of adult zebrafish. Neuroscience 2001, 105, 793–801. [Google Scholar] [CrossRef]
- Wullimann, M.; Rink, E. The teleostean forebrain: A comparative and developmental view based on early proliferation, Pax6 activity and catecholaminergic organization. Brain Res. Bull. 2002, 57, 363–370. [Google Scholar] [CrossRef]
- Byrd, C.A.; Brunjes, P.C. Addition of new cells to the olfactory bulb of adult zebrafish. Proc. Natl. Acad. Sci. USA 1998, 855, 274–276. [Google Scholar] [CrossRef]
- Ambrogini, P.; Lattanzi, D.; Ciuffoli, S.; Agostini, D.; Bertini, L.; Stocchi, V.; Santi, S.; Cuppini, R. Morphofunctional characterization of neuronal cells at different stages of maturation in granule cell layer of adult rat dentate gyrus. Brain Res. 2004, 1017, 21–31. [Google Scholar] [CrossRef]
- Schaar, B.T.; Kinoshita, K.; McConnell, S.K. Doublecortin microtubule affinity is regulated by a balance of kinase and phosphatase activity at the leading edge of migrating neurons. Neuron 2004, 41, 203–213. [Google Scholar] [CrossRef]
- Brandt, M.D.; Jessberger, S.; Steiner, B.; Kronenberg, G.; Reuter, K.; Bick-Sander, A.; von der Behrens, W.; Kempermann, G. Transient calretinin-expression defines early postmitotic step of neuronal differentiation in adult hippocampus neurogenesis of mice. Mol. Cell. Neurosci. 2003, 24, 603–613. [Google Scholar] [CrossRef]
- Tozzini, E.T.; Baumgart, M.; Battistoni, G.; Cellerino, A. Adult neurogenesis in the short-lived teleost Nothobranchius furzeri: Localization of neurogenic niches, molecular characterization and effects of aging. Aging Cell 2012, 11, 241–251. [Google Scholar] [CrossRef]
- Ayanlaja, A.A.; Xiong, Y.; Gao, Y.; Ji, G.; Tang, C.; Abdikani Abdullah, Z.; Gao, D. Distinct features of doublecortin as a marker of neuronal migration and its implications in cancer cell mobility. Front. Mol. Neurosci. 2017, 10, 199. [Google Scholar] [CrossRef] [PubMed]
- Menuet, A.; Pellegrini, E.; Brion, F.; Gueguen, M.; Anglade, I.; Pakdel, F.; Kah, O. Expression and estrogen-dependent regulation of the zebrafish brain aromatase gene. J. Comp. Neurol. 2005, 485, 304–320. [Google Scholar] [CrossRef]
- Doetsch, F.; García-Verdugo, J.M.; Alvarez-Buylla, A. Cellular composition and three-dimensional organization of the subventricular germinal zone in the adult mammalian brain. J. Neurosci. 1997, 17, 5046–5061. [Google Scholar] [CrossRef] [PubMed]
- Peretto, P.; Merighi, A.; Fasolo, A.; Bonfanti, L. Glial tubes in the rostral migratory stream of the adult rat. Brain Res. Bull. 1997, 42, 9–21. [Google Scholar] [CrossRef] [PubMed]
- Kim, Y.J.; Nam, R.H.; Yoo, Y.M.; Lee, C.J. Identification and functional evidence of GABAergic neurons in parts of the brain of adult zebrafish (Danio rerio). Neurosci. Lett. 2004, 355, 29–32. [Google Scholar] [CrossRef]
- Edwards, J.G.; Michel, W.C. Odor-stimulated glutamatergic neurotransmission in the zebrafish olfactory bulb. J. Comp. Neurol. 2002, 454, 294–309. [Google Scholar] [CrossRef] [PubMed]
- A Hack, M.; Saghatelyan, A.; de Chevigny, A.; Pfeifer, A.; Ashery-Padan, R.; Lledo, P.-M.; Götz, M. Neuronal fate determinants of adult olfactory bulb neurogenesis. Nat. Neurosci. 2005, 8, 865–872. [Google Scholar] [CrossRef]
- Kohwi, M.; Osumi, N.; Rubenstein, J.L.R.; Alvarez-Buylla, A. Pax6 is required for making specific subpopulations of granule and periglomerular neurons in the olfactory bulb. J. Neurosci. 2005, 25, 6997–7003. [Google Scholar] [CrossRef]
- Kasashima, K.; Sakashita, E.; Saito, K.; Sakamoto, H. Complex formation of the neuron-specific ELAV-like Hu RNA-binding proteins. Nucleic Acids Res. 2002, 30, 4519–4526. [Google Scholar] [CrossRef] [PubMed] [PubMed Central]
- E Simone, L.; Keene, J.D. Mechanisms coordinating ELAV/Hu mRNA regulons. Curr. Opin. Genet. Dev. 2013, 23, 35–43. [Google Scholar] [CrossRef] [PubMed] [PubMed Central]
- Nornes, S.; Clarkson, M.; Mikkola, I.; Pedersen, M.; Bardsley, A.; Martinez, J.P.; Krauss, S.; Johansen, T. Zebrafish contains two Pax6 genes involved in eye development. Mech. Dev. 1998, 77, 185–196. [Google Scholar] [CrossRef]
- Götz, M.; Hartfuss, E.; Malatesta, P. Radial glial cells as neuronal precursors: A new perspective on the correlation of morphology and lineage restriction in the developing cerebral cortex of mice. Brain Res. Bull. 2002, 57, 777–788. [Google Scholar] [CrossRef]
- Goldman, S. Glia as neural progenitor cells. Trends Neurosci. 2003, 26, 590–596. [Google Scholar] [CrossRef] [PubMed]
- E Anthony, T.; Klein, C.; Fishell, G.; Heintz, N. Radial glia serve as neuronal progenitors in all regions of the central nervous system. Neuron 2004, 41, 881–890. [Google Scholar] [CrossRef] [PubMed]
- Liu, R.Z.; Denovan-Wright, E.M.; Wright, J.M. Structure, mRNA expression and linkage mapping of the brain-type fatty acid-binding protein gene (FABP7) from zebrafish (Danio rerio). Eur. J. Biochem. 2003, 270, 715–725. [Google Scholar] [CrossRef]
- Komitova, M.; Eriksson, P.S. Sox-2 is expressed by neural progenitors and astroglia in the adult rat brain. Neurosci. Lett. 2004, 369, 24–27. [Google Scholar] [CrossRef]
- Pevny, L.; Placzek, M. Sox genes and neural progenitor identity. Curr. Opin. Neurobiol. 2005, 15, 7–13. [Google Scholar] [CrossRef]
- Cerdà, J.; Conrad, M.; Markl, J.; Brand, M.; Herrmann, H. Zebrafish vimentin: Molecular characterization, assembly properties and developmental expression. Eur. J. Cell Biol. 1998, 77, 175–187. [Google Scholar] [CrossRef] [PubMed]
- März, M.; Chapouton, P.; Diotel, N.; Vaillant, C.; Hesl, B.; Takamiya, M.; Lam, C.S.; Kah, O.; Bally-Cuif, L.; Strähle, U. Heterogeneity in Progenitor Cell Subtypes in the Ventricular Zone of the Zebrafish Adult Telencephalon. Glia 2010, 58, 870–888. [Google Scholar] [CrossRef]
- Morita, T.; Nitta, H.; Kiyama, Y.; Mori, H.; Mishina, M. Differential expression of two zebrafish emx homeoprotein mRNAs in the developing brain. Neurosci. Lett. 1995, 198, 131–134. [Google Scholar] [CrossRef]
- Akimenko, M.; Ekker, M.; Wegner, J.; Lin, W.; Westerfield, M. Combinatorial expression of three zebrafish genes related to distal-less: Part of a homeobox gene code for the head. J. Neurosci. 1994, 14, 3475–3486. [Google Scholar] [CrossRef] [PubMed]
- Park, H.-C.; Mehta, A.; Richardson, J.S.; Appel, B. olig2 is required for zebrafish primary motor neuron and oligodendrocyte development. Appel. Dev. Biol. 2002, 248, 356–368. [Google Scholar] [CrossRef]
- Nornes, H.O.; Dresslert, G.R.; Knapik, E.W.; Deutsch, U.; Gruss, P. Spatially and temporally restricted expression of Pax2 during murine neurogenesis. Development 1990, 109, 797–809. [Google Scholar] [CrossRef] [PubMed]
- Allende, M.L.; Weinberg, E.S. The expression pattern of two zebrafish achaete-scute homolog (ash) genes is altered in the embryonic brain of the cyclops mutant. Dev. Biol. 1994, 166, 509–530. [Google Scholar] [CrossRef]
- Blader, P.; Fischer, N.; Gradwohl, G.; Guillemot, F.; Strähle, U.; Guillemont, F. The activity of neurogenin1 is controlled by local cues in the zebrafish embryo. Development 1997, 124, 4557–4569. [Google Scholar] [CrossRef]
- Arochena, M.; Anadon, R.; Diaz-Regueira, S.M. Development of vimentin and glial fibrillary acidic protein immunoreactivities in the brain of gray mullet (Chelon Labrosus), an advanced teleost. J. Comp. Neurol. 2004, 469, 413–436. [Google Scholar] [CrossRef] [PubMed]
- Kroehne, V.; Freudenreich, D.; Hans, S.; Kaslin, J.; Brand, M. Regeneration of the adult zebrafish brain from neurogenic radial glia-type progenitors. Development 2011, 138, 4831–4841. [Google Scholar] [CrossRef]
- Xu, L.; Tang, X.; Wang, Y.; Xu, H.; Fan, X. Radial glia, the keystone of the development of the hippocampal dentate gyrus. Mol. Neurobiol. 2015, 51, 131–141. [Google Scholar] [CrossRef] [PubMed]
- Kriegstein, A.; Alvarez-Buylla, A. The glial nature of embryonic and adult neural stem cells. Ann. Rev. Neurosci. 2009, 32, 149–184. [Google Scholar] [CrossRef] [PubMed]
- Privat, A. Morphology of Astrocytes; Privat, A., Gimenez-Ribota, M., Ridet, J.L., Eds.; Oxford University Press: New York, NY, USA, 1995; 173p. [Google Scholar]
- Hendon, R.M. The fine structure of the rat cerebellum. II. The stellate neurons, granule cells and glia. J. Cell. Biol. 1964, 23, 277–293. [Google Scholar] [CrossRef]
- Dahl, D.; Crosby, C.J.; Sethi, J.S.; Bignami, A. Glial fibrillary acidic (GFA) protein in vertebrates: Immunofluorescence and immunoblotting study with monoclonal and polyclonal antibodies. J. Comp. Neurol. 1985, 239, 75–88. [Google Scholar] [CrossRef]
- Nielsen, A.L.; Jørgensen, A.L. Structural and functional characterization of the zebrafish gene for glial fibrillary acidic protein, GFAP. Gene 2003, 310, 123–132. [Google Scholar] [CrossRef]
- Dahl, D.; Rueger, D.C.; Bignami, A.; Weber, K.; Osborn, M. Vimentin, the 57,000 molecular weight protein of fibroblasts filaments, is the major cytoskeletal component in immature glia. Eur. J. Cell Biol. 1981, 24, 191–196. [Google Scholar]
- Levitt, P.; Rakic, P. Immunoperoxidase localization of glial fibrillary acidic protein in radial glial cells and astrocytes of the developing rhesus monkey brain. J. Comp. Neurol. 1980, 193, 815–840. [Google Scholar] [CrossRef]
- Malatesta, P.; Hartfuss, E.; Götz, M. Isolation of radial glial cells by fluorescent-activated cell sorting reveals a neuronal lineage. Development 2000, 127, 5253–5263. [Google Scholar] [CrossRef]
- Lara, J.M. Neuroglia in the CNS of Teleosts. In Neuron–Glia Interrelations During Phylogeny: I. Phylogeny and Ontogeny of Glial Cells; Lara, J.M., Velasco, A., Alonso, J.R., Aijon, J., Eds.; Humana Press: Totowa, NJ, USA, 1995; 156p. [Google Scholar]
- Manso, M.J.; Becerra, M.; Anadón, R. Expression of a low-molecular-weight (10 kDa) calcium binding protein in glial cells of the brain of the trout (Teleostei). Anat. Embryol. 1997, 196, 403–416. [Google Scholar] [CrossRef]
- Kalman, M. Astroglial architecture of the carp (Cyprinus carpio) brain as revealed by immunohistochemical staining against glial fibrillary acidic protein (GFAP). Anat. Embryol. 1998, 198, 409–433. [Google Scholar]
- Maggs, A.; Scholes, J. Reticular astrocytes in the fish optic nerve: Macroglia with epithelial characteristics form an axially repeated lacework pattern, to which nodes of Ranvier are apposed. J. Neurosci. 1990, 10, 1600–1614. [Google Scholar] [CrossRef] [PubMed]
- Horstmann, E. Die Faserglia des Selachiergehirns. Z. Zellforsch. Mikrosk. Anat. 1954, 39, 588–617. [Google Scholar] [CrossRef]
- Diaz-Regueira, S.M.; Alvarez-Otero, R.; Anadon, R. An immunocytochemical and ultrastructural study of a specialized glial region of the medulla oblongata in a teleost, Chelon Labrosus. Tissue Cell 1993, 25, 657–668. [Google Scholar] [CrossRef]
- Kawai, H.; Arata, N.; Nakayasu, H. Three-dimensional distribution of astrocytes in zebrafish spinal cord. Glia 2001, 36, 406–413. [Google Scholar] [CrossRef]
- Kalman, M.; Ari, C. Distribution of GFAP immunoreactive structures in the rhombencephalon of the sterlet (Acipenser ruthenus) and its evolutionary implication. J. Exp. Zool. 2002, 293, 395–406. [Google Scholar] [CrossRef]
- De Guevara, R.; Pairault, C.; Pinganaud, G. Expression of vimentin and GFAP and development of the retina in the trout. C. R. Acad. Sci. 1994, 317, 737–741. [Google Scholar]
- Ma, P.M. Tanycytes in the sunfish brain: NADPH-diaphorase histochemistry and regional distribution. J. Comp. Neurol. 1993, 336, 77–95. [Google Scholar] [CrossRef]
- A Thompson, J.; Zembrzycki, A.; Mansouri, A.; Ziman, M. Pax7 is requisite for maintenance of a subpopulation of superior collicular neurons and shows a diverging expression pattern to Pax3 during superior collicular development. Dev. Biol. 2008, 8, 62–67. [Google Scholar] [CrossRef] [PubMed]
- Yang, G.; Li, Y.; Nishimura, E.K.; Xin, H.; Zhou, A.; Guo, Y.; Dong, L.; Denning, M.F.; Nickoloff, B.J.; Cui, R. Inhibition of PAX3 by TGF-beta modulates melano- cyte viability. Mol. Cell 2008, 32, 554–563. [Google Scholar] [CrossRef]
- Redies, C.; Puelles, L. Modularity in vertebrate brain development and evolution. Bioessays 2001, 23, 1100–1111. [Google Scholar] [CrossRef]
- Fedtsova, N.; Quina, L.A.; Wang, S.; Turner, E.E. Regulation of the development of tectal neurons and their projections by transcription factors Brn3a and Pax7. Dev. Biol. 2008, 316, 6–20. [Google Scholar] [CrossRef] [PubMed]
- Otto, A.; Schmidt, C.; Patel, K. Pax3 and Pax7 expression and regulation in the avian embryo. Anat. Embryol. 2006, 211, 293–310. [Google Scholar] [CrossRef] [PubMed]
- Goulding, M.D.; Lumsden, A.; Gruss, P.; Goulding, M.D. Signals from the notochord and floor plate regulate the region-specific expression of two Pax genes in the developing spinal cord. Development 1993, 117, 1001–1016. [Google Scholar] [CrossRef]
- Ponti, G.; Peretto, P.; Bonfanti, L. Genesis of neuronal and glial progenitors in the cerebellar cortex of peripuberal and adult rabbits. PLoS ONE 2008, 3, e2366. [Google Scholar] [CrossRef]
- Matsunaga, E.; Araki, I.; Nakamura, H. Pax6 defines the di-mesencephalic boundary by repressing En1 and Pax2. Development 2000, 127, 2357–2365. [Google Scholar] [CrossRef]
- Brill, M.S.; Snapyan, M.; Wohlfrom, H.; Ninkovic, J.; Jawerka, M.; Mastick, G.S.; Ashery-Padan, R.; Saghatelyan, A.; Berninger, B.; Götz, M. A dlx2- and Pax6-dependent transcriptional code for periglomerular neuron specification in the adult olfactory bulb. J. Neurosci. 2008, 28, 6439–6452. [Google Scholar] [CrossRef] [PubMed]
- Baumer, N.; Marquardt, T.; Stoykova, A.; Spieler, D.; Treichel, D.; Ashery-Padan, R.; Gruss, P. Retinal pigmented epithelium determination requires the redundant activities of Pax2 and Pax6. Development 2003, 130, 2903–2915. [Google Scholar] [CrossRef]
- Bäumer, N.; Marquardt, T.; Stoykova, A.; Ashery-Padan, R.; Chowdhury, K.; Gruss, P. Pax6 is required for establishing naso-temporal and dorsal characteristics of the optic vesicle. Development 2002, 129, 4535–4545. [Google Scholar] [CrossRef]
- Pillai, A.; Mansouri, A.; Behringer, R.; Westphal, H.; Goulding, M. Lhx1 and Lhx5 maintain the inhibitory-neurotransmitter status of interneurons in the dorsal spinal cord. Development 2007, 134, 357–366. [Google Scholar] [CrossRef]
- Tuoc, T.C.; Radyushkin, K.; Tonchev, A.B.; Piñon, M.C.; Ashery-Padan, R.; Molnár, Z.; Davidoff, M.S.; Stoykova, A. Selective cortical layering abnormalities and behavioral deficits in cortex-specific Pax6 knock-out mice. J. Neurosci. 2009, 29, 8335–8349. [Google Scholar] [CrossRef]
- Nakazaki, H.; Reddy, A.C.; Mania-Farnell, B.L.; Shen, Y.-W.; Ichi, S.; McCabe, C.; George, D.; McLone, D.G.; Tomita, T.; Mayanil, C. Key basic helix–loop–helix transcription factor genes Hes1 and Ngn2 are regulated by Pax3 during mouse embryonic development. Dev. Biol. 2008, 316, 510–523, Erratum in Dev. Biol. 2008, 322, 234.. [Google Scholar] [CrossRef] [PubMed]
- Talamillo, A.; Quinn, J.C.; Collinson, J.; Caric, D.; Price, D.J.; West, J.D.; Hill, R.E. Pax6 regulates regional development and neuronal migration in the cerebral cortex. Dev. Biol. 2003, 255, 151–163. [Google Scholar] [CrossRef]
- Horie, M.; Sango, K.; Takeuchi, K.; Honma, S.; Osumi, N.; Kawamura, K.; Kawano, H. Subpial neuronal migration in the medulla oblongata of Pax-6-deficient rats. Eur. J. Neurosci. 2003, 17, 49–57. [Google Scholar] [CrossRef]
- Kanakubo, S.; Nomura, T.; Yamamura, K.; Miyazaki, J.; Tamai, M.; Osumi, N. Abnormal migration and distribution of neural crest cells in Pax6 heterozygous mutant eye, a model for human eye diseases. Genes Cells 2006, 11, 919–933. [Google Scholar] [CrossRef] [PubMed]
- Osumi-Yamashita, N.; Kuratani, S.; Ninomiya, Y.; Aoki, K.; Iseki, S.; Chareonvit, S.; Doi, H.; Fujiwara, M.; Watanabe, T.; Eto, K. Cranial anomaly of homozygous rSey rat is associated with a defect in the migration pathway of midbrain crest cells. Dev. Growth Differ. 1997, 39, 53–67. [Google Scholar] [CrossRef] [PubMed]
- Jiménez, D.; López-Mascaraque, L.; de Carlos, J.A.; Valverde, F. Further studies on cortical tangential migration in wild type and Pax-6 mutant mice. J. Neurocytol. 2002, 31, 719–728. [Google Scholar] [CrossRef]
- Christophorou, N.A.; Mende, M.; Lleras-Forero, L.; Grocott, T.; Streit, A. Pax2 coordinates epithelial morphogenesis and cell fate in the inner ear. Dev. Biol. 2010, 345, 180–190. [Google Scholar] [CrossRef]
- Duparc, R.-H.; Abdouh, M.; David, J.; Lépine, M.; Tétreault, N.; Bernier, G. Pax6 controls the proliferation rate of neuroepithelial progenitors from the mouse optic vesicle. Dev. Biol. 2007, 301, 374–387. [Google Scholar] [CrossRef]
- Nacher, J.; Varea, E.; Blasco-Ibañez, J.M.; Castillo-Gomez, E.; Crespo, C.; Martinez-Guijarro, F.J.; McEwen, B.S. Expression of the transcription factor Pax 6 in the adult rat dentate gyrus. J. Neurosci. Res. 2005, 81, 753–761. [Google Scholar] [CrossRef]
- Zaghloul, N.A.; Moody, S.A. Alterations of rx1 and Pax6 expression levels at neural plate stages differentially affect the production of retinal cell types and maintenance of retinal stem cell qualities. Dev. Biol. 2007, 306, 222–240. [Google Scholar] [CrossRef]
- Bel-Vialar, S.; Medevielle, F.; Pituello, F. The on/off of Pax6 controls the tempo of neuronal differentiation in the developing spinal cord. Dev. Biol. 2007, 305, 659–673. [Google Scholar] [CrossRef]
- Maekawa, M.; Takashima, N.; Arai, Y.; Nomura, T.; Inokuchi, K.; Yuasa, S.; Osumi, N. Pax6 is required for production and maintenance of progenitor cells in postnatal hippocampal neurogenesis. Genes Cells 2005, 10, 1001–1014. [Google Scholar] [CrossRef]
- Pushchina, E.V.; Varaksin, A. Neurolin expression in the optic nerve and immunoreactivity of Pax6-positive niches in the brain of rainbow trout (Oncorhynchus mykiss) after unilateral eye injury. Neural Regen. Res. 2019, 14, 156–171. [Google Scholar] [CrossRef] [PubMed]
- Pushchina, Y.V.; Obukhov, D.K.; Varaksin, A.A. Neurochemical markers of cells of the periventricular brain area in the masu salmon Oncorhynchus masou (Salmonidae). Russ. J. Dev. Biol. 2012, 43, 35–48. [Google Scholar] [CrossRef]
- Pushchina, E.V.; Obukhov, D.K.; Varaksin, A.A. Features of adult neurogenesis and neurochemical signaling in the Cherry salmon Oncorhynchus masou brain. Neural Regen. Res. 2013, 8, 13–23. [Google Scholar] [CrossRef] [PubMed] [PubMed Central]
- Thompson, J.A.; Ziman, M. Pax genes during neural development and their potential role in neuroregeneration. Prog. Neuro. 2011, 95, 334–351. [Google Scholar] [CrossRef]
- Soukkarieh, C.; Agius, E.; Soula, C.; Cochard, P. Pax2 regulates neuronal-glial cell fate choice in the embryonic optic nerve. Dev. Biol. 2007, 303, 800–813. [Google Scholar] [CrossRef] [PubMed]
- Guo, Z.; Packard, A.; Krolewski, R.C.; Harris, M.T.; Manglapus, G.L.; Schwob, J.E. Expression of Pax6 and sox2 in adult olfactory epithelium. J. Comp. Neurol. 2010, 518, 4395–4418. [Google Scholar] [CrossRef]
- Tonchev, A.B.; Yamashima, T. Differential neurogenic potential of progenitor cells in dentate gyrus and CA1 sector of the postischemic adult monkey hippocampus. Exp. Neurol. 2006, 198, 101–113. [Google Scholar] [CrossRef]
- Yamamoto, S.-I.; Nagao, M.; Sugimori, M.; Kosako, H.; Nakatomi, H.; Yamamoto, N.; Takebayashi, H.; Nabeshima, Y.-I.; Kitamura, T.; Weinmaster, G.; et al. Transcription factor expression and Notch-dependent regulation of neural progenitors in the adult rat spinal cord. J. Neurosci. 2001, 21, 9814–9823. [Google Scholar] [CrossRef] [PubMed]
- Karl, M.O.; Hayes, S.; Nelson, B.R.; Tan, K.; Buckingham, B.; Reh, T.A. Stimulation of neural regeneration in the mouse retina. Proc. Natl. Acad. Sci. USA 2008, 105, 19508–19513. [Google Scholar] [CrossRef]
- Wright, P.A.; Steele, S.L.; Huitema, A.; Bernier, N.J. Induction of four glutamine synthetase genes in brain of rainbow trout in response to elevated environmental ammonia. J. Exp. Biol. 2007, 210, 2905–2911. [Google Scholar] [CrossRef] [PubMed]
- Kumada, Y.; Benson, D.R.; Hillemann, D.; Hosted, T.J.; A Rochefort, D.; Thompson, C.J.; Wohlleben, W.; Tateno, Y. Evolution of the glutamine synthetase gene, one of the oldest existing and functioning genes. Proc. Natl. Acad. Sci. USA 1993, 90, 3009–3013. [Google Scholar] [CrossRef]
- Sanderson, L.A.; Wright, P.A.; Robinson, J.W.; Ballantyne, J.S.; Bernier, N.J. Inhibition of glutamine synthetase during ammonia exposure in rainbow trout indicates a high reserve capacity to prevent brain ammonia toxicity. J Exp Biol. 2010, 213, 2343–2353. [Google Scholar] [CrossRef] [PubMed]
- Rubino, J.G.; Zimmer, A.M.; Wood, C.M. An in vitro analysis of intestinal ammonia handling in fasted and fed freshwater rainbow trout (Oncorhynchus mykiss). J. Comp. Physiol. B 2014, 184, 91–105. [Google Scholar] [CrossRef] [PubMed]
- Hernández, C.; Martín, M.; Bodega, G.; Suárez, I.; Pérez, J.; Fernández, B. Response of carp central nervous system to hyperammonemic conditions: An immunocytochemical study of glutamine synthetase (GS), glial fibrillary acidic protein (GFAP) and 70 kDa heat-shock protein (HSP70). Aquat. Toxicol. 1999, 45, 195–207. [Google Scholar] [CrossRef]
- Brusilow, S.W.; Koehler, R.C.; Traystman, R.J.; Cooper, A.J. Astrocyte glutamine synthetase: Importance in hyperammonemic syndromes and potential target for therapy. Neurotherapeutics 2010, 7, 452–470. [Google Scholar] [CrossRef] [PubMed]
- Prada, F.A.; Quesada, A.; Dorado, M.; Chmielewski, C.; Prada, C. Glutamine synthetase (GS) activity and spatial and temporal patterns of GS expression in the developing chick retina: Relationship with synaptogenesis in the outer plexiform layer. Glia 1998, 22, 221–236. [Google Scholar] [CrossRef]
- Miyake, T.; Kitamura, T. Glutamine synthetase immunoreactivity in two types of mouse brain glial cells. Brain Res. 1992, 586, 53–60. [Google Scholar] [CrossRef]
- Bodega, G.; Rubio, M.; Villalba, R.M.; Suárez, I.; Fernández, B. Astroglial pattern in the spinal cord of the adult barbel (Barbus comiza). Anat. Embryol. 1993, 187, 385–395. [Google Scholar] [CrossRef] [PubMed]
- Kosenko, E.; Felipo, V.; Montoliu, C.; Grisolía, S.; Kaminsky, Y. Effects of acute hyperammonemia in vivo and oxidative metabolism in nonsynaptic rat brain mitochondria. Metab. Brain Dis. 1997, 12, 69–82. [Google Scholar] [CrossRef] [PubMed]
- Mearow, K.; Mill, J.; Vitkovic, L. The ontogeny and localization of glutamine synthetase gene expression in rat brain. Mol. Brain Res. 1989, 6, 223–232. [Google Scholar] [CrossRef]
- Fages, C.; Khelil, M.; Rolland, B.; Bridoux, A.; Tardy, M. Glutamine synthetase: A marker of an astroglial subpopulation in primary cultures of defined brain areas. Dev. Neurosci. 1988, 10, 47–56. [Google Scholar] [CrossRef] [PubMed]
- Caldani, M.; Rolland, B.; Fages, C.; Tardy, M. Glutamine synthetase during mouse brain development. Experientia 1982, 38, 1199–1202. [Google Scholar] [CrossRef]
- Schousboe, A.; Scafidi, S.; Bak, L.K.; Waagepetersen, H.S.; McKenna, M.C. Glutamate metabolism in the brain focusing on astrocytes. Adv. Neurobiol. 2014, 11, 13–30. [Google Scholar]
- Mattson, M.P.; Magnus, T. Ageing and neuronal vulnerability. Nat. Rev. Neurosci. 2006, 7, 278–294. [Google Scholar] [CrossRef]
- Bak, L.K.; Schousboe, A.; Waagepetersen, H.S. The glutamate/GABA-glutamine cycle: Aspects of transport, neurotransmitter homeostasis and ammonia transfer. J. Neurochem. 2006, 98, 641–653. [Google Scholar] [CrossRef]
- Robinson, S.R. Neuronal expression of glutamine synthetase in Alzheimer’s disease indicates a profound impairment of metabolic interactions with astrocytes. Neurochem. Int. 2000, 36, 471–482. [Google Scholar] [CrossRef]
- Smith, C.D.; Carney, J.M.; Starke-Reed, P.E.; Oliver, C.N.; Stadtman, E.R.; Floyd, R.A.; Markesbery, W.R. Excess brain protein oxidation and enzyme dysfunction in normal aging and in Alzheimer disease. Proc. Natl. Acad. Sci. USA 1991, 88, 10540–10543. [Google Scholar] [CrossRef]
- Rosier, F.; Lambert, D.; Mertens-Strijthagen, J. Effect of glucose on rat glutamine synthetase in cultured astrocytes. Biochem. J. 1996, 315, 607–612. [Google Scholar] [CrossRef] [PubMed]
- Petito, C.K.; Chung, M.H.; Verkhovsky, L.M.; Cooper, A.J.L. Brain glutamine synthetase increases following cerebral ischemia in the rat. Brain Res. 1992, 569, 275–280. [Google Scholar] [CrossRef] [PubMed]
- Butterfield, D.A.; Kanski, J. Brain protein oxidation in age-related neurodegenerative disorders that are associated with aggregated proteins Mech. Ageing Dev. 2001, 122, 945–962. [Google Scholar] [CrossRef]
- Butterfield, D.A.; Hensley, K.; Cole, P.; Subramaniam, R.; Aksenov, M.; Aksenova, M.; Bummer, P.M.; Haley, B.E.; Carney, J.M. Oxidatively induced structural alteration of glutamine synthetase assessed by analysis of spin label incorporation kinetics: Relevance to Alzheimer’s disease. J. Neurochem. 1997, 68, 2451–2457. [Google Scholar] [CrossRef] [PubMed]
- Chrétien, F.; Le Pavec, G.; Vallat-Decouvelaere, A.-V.; Delisle, M.B.; Uro-Coste, E.; Ironside, J.W.; Gambetti, P.; Parchi, P.; Créminon, C.; Dormont, D.; et al. Expression of excitatory amino acid transporter-1 (EAAT-1) in brain macrophages and microglia of patients with prion diseases. J. Neuropathol. Exp. Neurol. 2004, 63, 1058–1071. [Google Scholar] [CrossRef]
- Palmieri, E.M.; Menga, A.; Lebrun, A.; Hooper, D.C.; Butterfield, D.A.; Mazzone, M.; Castegna, A. Blockade of Glutamine Synthetase Enhances Inflammatory Response in Microglial Cells. Antioxid. Redox Signal. 2016, 26, 351–363. [Google Scholar] [CrossRef]
- Pushchina, E.V.; Stukaneva, M.E.; Varaksin, A.A. Hydrogen Sulfide Modulates Adult and Reparative Neurogenesis in the Cerebellum of Juvenile Masu Salmon, Oncorhynchus masou. Int. J. Mol. Sci. 2020, 21, 9638. [Google Scholar] [CrossRef] [PubMed] [PubMed Central]
- Gorovits, R.; Avidan, N.; Avisar, N.; Shaked, I.; Vardimon, L. Glutamine synthetase protects against neuronal degeneration in injured retinal tissue. Proc. Natl. Acad. Sci. USA 1997, 94, 7024–7029. [Google Scholar] [CrossRef]
- Abe, K.; Kimura, H. The possible role of hydrogen sulfide as an endogenous neuromodulator. J. Neurosci. 1996, 16, 1066–1071. [Google Scholar] [CrossRef]
- Kimura, Y.; Kimura, H. Hydrogen sulfide protects neurons from oxidative stress. FASEB J. 2004, 18, 1165–1167. [Google Scholar] [CrossRef] [PubMed]
- Wang, J.-F.; Li, Y.; Song, J.-N.; Pang, H.-G. Role of hydrogen sulfide in secondary neuronal injury. Neurochem. Int. 2014, 64, 37–47. [Google Scholar] [CrossRef]
- Shah, N.; Zhou, L. Regulation of Ion Channel Function by Gas Molecules. In Ion Channels in Biophysics and Physiology; Advances in Experimental Medicine and Biology; Springer: Singapore, 2021; Volume 1349, pp. 139–164. [Google Scholar] [CrossRef] [PubMed]
- Han, Y.; Qin, J.; Chang, X. Modulating effect of hydrogen sulfide on gamma-aminobutyric acid B receptor in recurrent febrile seizures in rats. Neurosci. Res. 2005, 53, 216–219. [Google Scholar] [CrossRef]
- Dawe, S.P.; Han, S.P.; Bian, J.S.; Moore, P.K. Hydrogen sulphide in the hypothalamus causes an ATP-sensitive K+ channel-dependent decrease in blood pressure in freely moving rats. Neuroscience 2008, 152, 169–177. [Google Scholar] [CrossRef] [PubMed]
- Wu, G.; Fang, Y.Z.; Yang, S. Glutathione metabolism and its implications for health. J. Nutr. 2004, 134, 489–492. [Google Scholar] [CrossRef]
- Koehler, R.C.; Gebremedhin, D.; Harder, D.R. Role of astrocytes in cerebrovascular regulation. J. Appl. Physiol. 2006, 100, 307–317. [Google Scholar] [CrossRef] [PubMed][Green Version]
- Gamarra, M.; de la Cruz, A.; Blanco-Urrejola, M.; Baleriola, J. Local Translation in Nervous System Pathologies. Front. Integr. Neurosci. 2021, 15, 689208. [Google Scholar] [CrossRef] [PubMed] [PubMed Central]
- Puschina, E.V.; Varaksin, A.A. Hydrogen Sulfide-, Parvalbumin-, and GABA-Producing Systems in the Masu Salmon Brain. Neurophysiology 2011, 43, 90–102. [Google Scholar] [CrossRef]
- Pushchina, E.V.; A Varaksin, A.; Obukhov, D.K. Gaseous intermediates in the brain of the salmon Oncorhynchus masou. Zhurnal Evoliutsionnoi Biokhimii Fiziol. 2012, 48, 85–96. (In Russian) [Google Scholar] [PubMed]
- Kimura, H. Physiological Roles of Hydrogen Sulfide and Polysulfides. In Chemistry, Biochemistry and Pharmacology of Hydrogen Sulfide; Handbook of Experimental Pharmacology; Springer: Cham, Switzerland, 2015; Volume 230, pp. 61–81. [Google Scholar] [CrossRef] [PubMed]
- Kimura, H. Signaling by hydrogen sulfide (H2S) and polysulfides (H2Sn) in the central nervous system. Neurochem. Int. 2019, 126, 118–125. [Google Scholar] [CrossRef] [PubMed]
- Kim, K.-S.; Jeon, M.T.; Kim, E.S.; Lee, C.H.; Kim, D.-G. Activation of NMDA receptors in brain endothelial cells increases transcellular permeability. Fluids Barriers CNS 2022, 19, 70. [Google Scholar] [CrossRef] [PubMed] [PubMed Central]
- Pushchina, E.V.; Varaksin, A.A.; Obukhov, D.K. Cystathionine-β-synthase in the brain of the trout Oncorhynchus mykiss after unilateral eye damage and in conditions of in vitro cultivation. Russ. J. Dev. Biol. 2019, 50, 39–58. [Google Scholar] [CrossRef]
- Färber, K.; Kettenmann, H. Physiology of microglial cells. Brain Res. 2005, 48, 133–143. [Google Scholar] [CrossRef]
- Wojtera, M.; Sikorska, B.; Sobow, T.; Liberski, P.P. Microglial cells in neurodegenerative disorders. Folia Neuropathol. 2005, 43, 311–321. [Google Scholar]
- Kim, Y.S.; Joh, T.H. Microglia, major player in the brain inflammation: Their roles in the pathogenesis of Parkinson’s disease. Exp. Mol. Med. 2006, 38, 333–347. [Google Scholar] [CrossRef]
- Lee, S.W.; Hu, Y.S.; Hu, L.F. Hydrogen sulphide regulates calcium homeostasis in microglial cells. Glia 2006, 54, 116–124. [Google Scholar] [CrossRef] [PubMed]
- Pushchina, E.V.; Varaksin, A.A.; Obukhov, D.K. Cystathionine β-synthase in the CNS of masu salmon Oncorhynchus masou (Salmonidae) and carp Cyprinus carpio (Cyprinidae). Neurochem. J. 2011, 5, 24–34. [Google Scholar] [CrossRef]
- Platel, J.-C.; Stamboulian, S.; Nguyen, I.; Bordey, A. Neurotransmitter signaling in postnatal neurogenesis: The first leg. Brain. Res. Rev. 2010, 63, 60–71. [Google Scholar] [CrossRef]
- Ugrumov, M.V. Developing brain as an endocrine organ: A paradoxical reality. Neurochem. Res. 2010, 35, 837–850. [Google Scholar] [CrossRef]
- Bicker, G. STOP and GO with NO: Nitric oxide as a regulator of cell motility in simple brains. BioEssays 2005, 27, 495–505. [Google Scholar] [CrossRef] [PubMed]
- Ugrumov, M.V. Non-dopaminergic neurons partly expressing dopaminergic phenotype: Distribution in the brain, development and functional significance. J. Chem. Neuroanat. 2009, 38, 241–256. [Google Scholar] [CrossRef]
- Wang, Q.; Kumar, S.; Slevin, M.; Kumar, P. Functional analysis of alternative isoforms of the transcription factor PAX3 in melanocytes in vitro. Cancer Res. 2006, 66, 8574–8580. [Google Scholar] [CrossRef] [PubMed]
- Trevisani, M.; Patacchini, R.; Nicoletti, P.; Gatti, R.; Gazzieri, D.; Lissi, N.; Zagli, G.; Creminon, C.; Geppetti, P.; Harrison, S. Hydrogen sulfide causes vanilloid receptor 1-mediated neurogenic inflammation in the airways. Br. J. Pharmacol. 2005, 145, 1123–1131. [Google Scholar] [CrossRef]
- Bhatia, M.; Zhi, L.; Zhang, H.; Ng, S.-W.; Moore, P.K. Role of substance P in hydrogen sulfide-induced pulmonary inflammation in mice. Am. J. Physiol. Lung Cell Mol. Physiol. 2006, 291, 896–904. [Google Scholar] [CrossRef]
- Bhatia, M. Hydrogen sulfide as a vasodilator. IUBMB Life 2005, 57, 603–606. [Google Scholar] [CrossRef] [PubMed]
- Pushchina, E.V.; Pimenova, E.A.; Kapustyanov, I.A.; Bykova, M.E. Ultrastructural Study and Immunohistochemical Characteristics of Mesencephalic Tegmentum in Juvenile Chum Salmon (Oncorhynchus keta) Brain After Acute Traumatic Injury. Int. J. Mol. Sci. 2025, 26, 644. [Google Scholar] [CrossRef] [PubMed] [PubMed Central]









Disclaimer/Publisher’s Note: The statements, opinions and data contained in all publications are solely those of the individual author(s) and contributor(s) and not of MDPI and/or the editor(s). MDPI and/or the editor(s) disclaim responsibility for any injury to people or property resulting from any ideas, methods, instructions or products referred to in the content. |
© 2025 by the authors. Licensee MDPI, Basel, Switzerland. This article is an open access article distributed under the terms and conditions of the Creative Commons Attribution (CC BY) license.
Share and Cite
Pushchina, E.V.; Zharikova, E.I. Regeneration-Associated Factors in the Regulation of Adult and Post-Traumatic Neurogenesis in the Forebrain of Fish and Other Vertebrates. Int. J. Mol. Sci. 2026, 27, 247. https://doi.org/10.3390/ijms27010247
Pushchina EV, Zharikova EI. Regeneration-Associated Factors in the Regulation of Adult and Post-Traumatic Neurogenesis in the Forebrain of Fish and Other Vertebrates. International Journal of Molecular Sciences. 2026; 27(1):247. https://doi.org/10.3390/ijms27010247
Chicago/Turabian StylePushchina, Evgeniya V., and Eva I. Zharikova. 2026. "Regeneration-Associated Factors in the Regulation of Adult and Post-Traumatic Neurogenesis in the Forebrain of Fish and Other Vertebrates" International Journal of Molecular Sciences 27, no. 1: 247. https://doi.org/10.3390/ijms27010247
APA StylePushchina, E. V., & Zharikova, E. I. (2026). Regeneration-Associated Factors in the Regulation of Adult and Post-Traumatic Neurogenesis in the Forebrain of Fish and Other Vertebrates. International Journal of Molecular Sciences, 27(1), 247. https://doi.org/10.3390/ijms27010247
