Involvement of the Cerebellar Peduncles in FMR1 Premutation Carriers: A Pictorial Review of Their Anatomy, Imaging, and Pathology
Abstract
1. Introduction
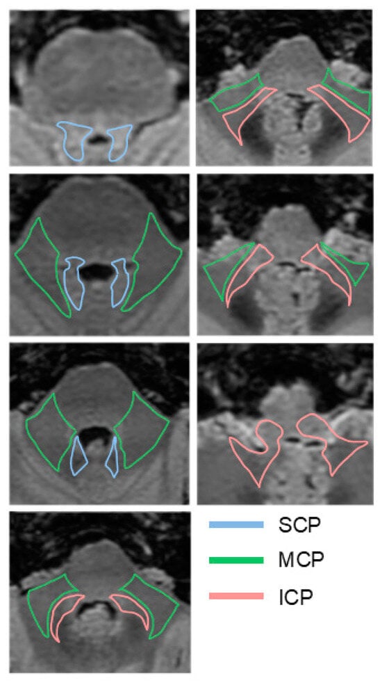
2. Anatomy
3. Fiber Tracts and Clinical Relevance
3.1. Superior Cerebellar Peduncle
3.2. Middle Cerebellar Peduncle
3.3. Inferior Cerebellar Peduncle
4. Imaging of the Cerebellar Peduncles
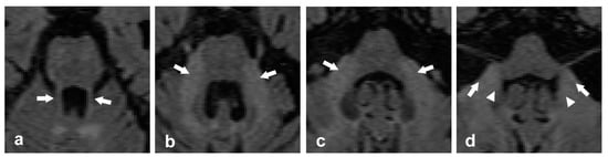
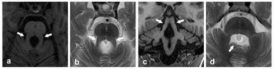
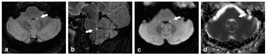
- MRI T2/FLAIR sequences: T2/FLAIR hyperintensities allow the visual assessment of macrostructural damage of the CPs. Hyperintensity, when present, indicates abnormality and may reflect demyelination, Wallerian degeneration, cytotoxic edema, vasogenic edema, etc. [78].
- Basic MRI DWI/ADC sequences: These sequences provide information about the water diffusion properties, aiding in characterization of the evolutionary phase of ischemic lesions and supporting differential diagnosis of space-occupying lesions [79].
- Diffusion MRI and tractography: Diffusion MRI is a relatively new MRI technique that allows for the study of white matter microarchitecture. Tractography is a 3D visualization technique to reconstruct white matter fiber tracts using data collected by diffusion MRI. It enables the visualization of cerebellar tract directionality and decussation and allows the calculation of FA, a key metric that quantifies the directional coherence of water diffusion within a voxel. FA ranges from 0 (isotropic, random diffusion) to 1 (anisotropic, organized tracts). However, FA does not solely reflect integrity—crossing fibers in a voxel can lower FA despite intact tracts, while high FA might reflect loss of one fiber tract, not improved health. Complementary DTI metrics help refine interpretation [80]. A high angular diffusion data acquisition scheme, such as High Angular Resolution Diffusion Imaging (HARDI), together with multicompartment orientation reconstruction methods, such as the multi-shell multi-tissue spherical deconvolution method [81], can resolve multiple intravoxel fiber orientations and are particularly useful in regions with crossing fibers, where traditional diffusion tensor models (assuming a single fiber population per voxel) fall short in capturing the underlying macrostructural tissue complexity [82,83,84].
- MR Spectroscopy: This technique analyzes brain metabolites, providing insight into neuronal integrity and cellular composition. The N-acetylaspartate/Creatine (NAA/Cr) ratio reflects neuronal health, with reductions indicating neurodegeneration, while the Choline/Creatine (Ch/Cr) ratio represents membrane turnover, aiding in the assessment of demyelination and tumor characterization [85].
- Peduncular width: Some studies have reported average values in healthy population measured in T1-weighted sequences. For individuals with a median age of 60.75, with standard deviation (SD) of 9.95 (n = 61), or older (n = 48), the SCP should be measured in the coronal plane, with normal values of 5.09 ± 0.82 mm (SD) or in the axial plane at the level of the inferior colliculus (2.2 ± 0.46 mm). The MCP should be measured in parasagittal slices (9.61 ± 1.1 mm) or in the axial plane at the level of the trigeminal nerve (13 ± 1.8 mm). The ICP should be measured in the axial plane at the level of the connection between the cerebellum and the medulla (5 ± 0.12 mm) [8,86].
5. Pathological Involvement of the Cerebellar Peduncles in FMR1 Premutation
- Morphological features in the MCP: MCP width as well as midbrain and pons cross-sectional area has been shown to be reduced in patients with FXTAS compared to both premutation carriers without FXTAS and controls. Furthermore, decreased MCP width has been suggested as a potential biomarker to identify carriers at risk to develop FXTAS [8].
- Structural abnormalities in the SCP, MCP, and ICP and its correlation with molecular data: Significant reductions in FA and elevation of diffusivity have been described in the MCP and SCP of FMR1 premutation carriers with FXTAS [36,37,88]. The reported significant elevation of diffusivity measures in FMR1 premutation carriers without FXTAS [89,90] suggests preclinical change in white matter microarchitecture that warrants confirmation in longitudinal studies. Inverted U-shaped correlation between diffusivity measures and CGG repeat length was also demonstrated [36] as well as a negative dose effect of CGG repeat length and FMR1 mRNA on the connectivity strength of SCPs [37]. Negative correlation between the circulating FMR1 mRNA level and mean diffusivity in the MCP was also demonstrated in female premutation carriers without FXTAS. Additionally, decreased mean diffusivity in the MCP and ICP showed significant correlation with higher methylation levels in the FMR1 gene [40]. Currently, this is the only study that revealed FMR1 molecular correlation in the ICP.
- Metabolic abnormalities in the MCP: Significant decreased levels of metabolites NAA/Cr and Ch/Cr in the MCP of FMR1 premutation carriers have been described, plausibly representing axonal loss and demyelination [35].
- Clinical correlation: The MCP sign and microstructural white matter abnormalities observed in the SCP and MCP as determined by MRS and DTI studies have shown significant correlation with executive dysfunction, slow processing speed, dexterity, and cognition dysfunction in FMR1 premutation carriers [35,37].
6. Other Pathological Entities Affecting the Cerebellar Peduncles
7. Conclusions
Author Contributions
Funding
Acknowledgments
Conflicts of Interest
Abbreviations
| CPs | Cerebellar peduncles |
| SCP | Superior cerebellar peduncle |
| MCP | Middle cerebellar peduncle |
| ICP | Inferior cerebellar peduncle |
| FXTAS | Fragile X-associated tremor/ataxia syndrome |
| CNS | Central nervous system |
| DTI | Diffusion tensor imaging |
| FA | Fractional anisotropy |
| MRS | MRI-Spectroscopy |
| HARDI | High Angular Resolution Diffusion Imaging |
References
- Furuta, M.; Sato, M.; Tsukagoshi, S.; Tsushima, Y.; Ikeda, Y. Criteria-unfulfilled multiple system atrophy at an initial stage exhibits laterality of middle cerebellar peduncles. J. Neurol. Sci. 2022, 438, 120281. [Google Scholar] [CrossRef]
- Chandrasekaran, J.; Petit, E.; Park, Y.W.; du Montcel, S.T.; Joers, J.M.; Deelchand, D.K.; Považan, M.; Banan, G.; Valabregue, R.; Ehses, P.; et al. Clinically Meaningful Magnetic Resonance Endpoints Sensitive to Preataxic Spinocerebellar Ataxia Types 1 and 3. Ann. Neurol. 2023, 93, 686–701. [Google Scholar] [CrossRef] [PubMed]
- Rau, A.; Jost, W.H.; Demerath, T.; Kellner, E.; Reisert, M.; Urbach, H. Diffusion microstructure imaging in progressive supranuclear palsy: Reduced axonal volumes in the superior cerebellar peduncles, dentato-rubro-thalamic tracts, ventromedial thalami, and frontomesial white matter. Cereb. Cortex 2022, 32, 5628–5636. [Google Scholar] [CrossRef] [PubMed]
- Bruckert, L.; Shpanskaya, K.; McKenna, E.S.; Borchers, L.R.; Yablonski, M.; Blecher, T.; Ben-Shachar, M.; Travis, K.E.; Feldman, H.M.; Yeom, K.W. Age-Dependent White Matter Characteristics of the Cerebellar Peduncles from Infancy Through Adolescence. Cerebellum 2019, 18, 372–387. [Google Scholar] [CrossRef]
- Asaridou, S.S.; Cler, G.J.; Wiedemann, A.; Krishnan, S.; Smith, H.J.; Willis, H.E.; Healy, M.P.; Watkins, K.E. Microstructural Properties of the Cerebellar Peduncles in Children With Developmental Language Disorder. Neurobiol. Lang. 2024, 5, 774–794. [Google Scholar] [CrossRef] [PubMed]
- Kataoka, H.; Nishimori, Y.; Kiriyama, T.; Nanaura, H.; Izumi, T.; Eura, N.; Iwasa, N.; Sugie, K. Increased Signal in the Superior Cerebellar Peduncle of Patients with Progressive Supranuclear Palsy. J. Mov. Disord. 2019, 12, 166–171. [Google Scholar] [CrossRef]
- Morales, H.; Tomsick, T. Middle cerebellar peduncles: Magnetic resonance imaging and pathophysiologic correlate. World J. Radiol. 2015, 7, 438–447. [Google Scholar] [CrossRef]
- Shelton, A.L.; Wang, J.Y.; Fourie, E.; Tassone, F.; Chen, A.; Frizzi, L.; Hagerman, R.J.; Ferrer, E.; Hessl, D.; Rivera, S.M. Middle Cerebellar Peduncle Width-A Novel MRI Biomarker for FXTAS? Front. Neurosci. 2018, 12, 379. [Google Scholar] [CrossRef]
- Preziosa, P.; Rocca, M.A.; Mesaros, S.; Pagani, E.; Drulovic, J.; Stosic-Opincal, T.; Dackovic, J.; Copetti, M.; Caputo, D.; Filippi, M. Relationship between Damage to the Cerebellar Peduncles and Clinical Disability in Multiple Sclerosis. Radiology 2014, 271, 822–830. [Google Scholar] [CrossRef]
- Nozaki, H.; Sekine, Y.; Fukutake, T.; Nishimoto, Y.; Shimoe, Y.; Shirata, A.; Yanagawa, S.; Hirayama, M.; Tamura, M.; Nishizawa, M.; et al. Characteristic features and progression of abnormalities on MRI for CARASIL. Neurology 2015, 85, 459–463. [Google Scholar] [CrossRef]
- Snell, R.S. Clinical Neuroanatomy, 6th ed.; Lippincott Williams & Wilkins: Philadelphia, PA, USA, 2010. [Google Scholar]
- Jones, H.R.; Burns, T.; Aminoff, M.J.; Pomeroy, S. The Netter Collection of Medical Illustrations: Nervous System, Volume 7, Part 1-Brain. In Netter Green Book Collection, 2nd ed.; Elsevier: Amsterdam, The Netherlands, 2013; ISBN 9781455733873. [Google Scholar]
- Oh, M.E.; Driever, P.H.; Khajuria, R.K.; Rueckriegel, S.M.; Koustenis, E.; Bruhn, H.; Thomale, U.-W. DTI fiber tractography of cerebro-cerebellar pathways and clinical evaluation of ataxia in childhood posterior fossa tumor survivors. J. Neurooncol. 2017, 131, 267–276. [Google Scholar] [CrossRef] [PubMed]
- Tamanini, J.V.G.; Ribeiro, G.A.S.; Kimura, A.T.; Borella, L.F.; Freddi, T. de A.; Reis, F. Hyperintense lesions of the middle cerebellar peduncle and beyond: A pictorial essay. Radiol. Bras. 2024, 57, e20240001. [Google Scholar] [CrossRef] [PubMed]
- Brunberg, J.A.; Jacquemont, S.; Hagerman, R.J.; Berry-Kravis, E.M.; Grigsby, J.; Leehey, M.A.; Tassone, F.; Brown, W.T.; Greco, C.M.; Hagerman, P.J. Fragile X premutation carriers: Characteristic MR imaging findings of adult male patients with progressive cerebellar and cognitive dysfunction. AJNR. Am J Neuroradiol. 2002, 23, 1757–1766. [Google Scholar]
- Jacquemont, S.; Hagerman, R.J.; Leehey, M.; Grigsby, J.; Zhang, L.; Brunberg, J.A.; Greco, C.; Des Portes, V.; Jardini, T.; Levine, R.; et al. Fragile X premutation tremor/ataxia syndrome: Molecular, clinical, and neuroimaging correlates. Am. J. Hum. Genet. 2003, 72, 869–878. [Google Scholar] [CrossRef]
- Hagerman, R.; Hagerman, P. Advances in clinical and molecular understanding of the FMR1 premutation and fragile X-associated tremor/ataxia syndrome. Lancet. Neurol. 2013, 12, 786–798. [Google Scholar] [CrossRef]
- Tassone, F.; Hagerman, R.J.; Chamberlain, W.D.; Hagerman, P.J. Transcription of the FMR1 gene in individuals with fragile X syndrome. Am. J. Med. Genet. 2000, 97, 195–203. [Google Scholar] [CrossRef] [PubMed]
- Sellier, C.; Rau, F.; Liu, Y.; Tassone, F.; Hukema, R.K.; Gattoni, R.; Schneider, A.; Richard, S.; Willemsen, R.; Elliott, D.J.; et al. Sam68 sequestration and partial loss of function are associated with splicing alterations in FXTAS patients. EMBO J. 2010, 29, 1248–1261. [Google Scholar] [CrossRef] [PubMed]
- Sofola, O.A.; Jin, P.; Qin, Y.; Duan, R.; Liu, H.; de Haro, M.; Nelson, D.L.; Botas, J. RNA-binding proteins hnRNP A2/B1 and CUGBP1 suppress fragile X CGG premutation repeat-induced neurodegeneration in a Drosophila model of FXTAS. Neuron 2007, 55, 565–571. [Google Scholar] [CrossRef]
- Sellier, C.; Freyermuth, F.; Tabet, R.; Tran, T.; He, F.; Ruffenach, F.; Alunni, V.; Moine, H.; Thibault, C.; Page, A.; et al. Sequestration of DROSHA and DGCR8 by expanded CGG RNA repeats alters microRNA processing in fragile X-associated tremor/ataxia syndrome. Cell Rep. 2013, 3, 869–880. [Google Scholar] [CrossRef]
- Todd, P.K.; Oh, S.Y.; Krans, A.; He, F.; Sellier, C.; Frazer, M.; Renoux, A.J.; Chen, K.; Scaglione, K.M.; Basrur, V.; et al. CGG repeat-associated translation mediates neurodegeneration in fragile X tremor ataxia syndrome. Neuron 2013, 78, 440–455. [Google Scholar] [CrossRef]
- Glineburg, M.R.; Todd, P.K.; Charlet-Berguerand, N.; Sellier, C. Repeat-associated non-AUG (RAN) translation and other molecular mechanisms in Fragile X Tremor Ataxia Syndrome. Brain Res. 2018, 1693, 43–54. [Google Scholar] [CrossRef] [PubMed]
- Greco, C.M.; Hagerman, R.J.; Tassone, F.; Chudley, A.E.; Del Bigio, M.R.; Jacquemont, S.; Leehey, M.; Hagerman, P.J. Neuronal intranuclear inclusions in a new cerebellar tremor/ataxia syndrome among fragile X carriers. Brain 2002, 125, 1760–1771. [Google Scholar] [CrossRef]
- Greco, C.M.; Berman, R.F.; Martin, R.M.; Tassone, F.; Schwartz, P.H.; Chang, A.; Trapp, B.D.; Iwahashi, C.; Brunberg, J.; Grigsby, J.; et al. Neuropathology of fragile X-associated tremor/ataxia syndrome (FXTAS). Brain 2006, 129, 243–255. [Google Scholar] [CrossRef]
- Iwahashi, C.K.; Yasui, D.H.; An, H.-J.; Greco, C.M.; Tassone, F.; Nannen, K.; Babineau, B.; Lebrilla, C.B.; Hagerman, R.J.; Hagerman, P.J. Protein composition of the intranuclear inclusions of FXTAS. Brain 2006, 129, 256–271. [Google Scholar] [CrossRef] [PubMed]
- Ma, L.; Herren, A.W.; Espinal, G.; Randol, J.; McLaughlin, B.; Martinez-Cerdeño, V.; Pessah, I.N.; Hagerman, R.J.; Hagerman, P.J. Composition of the Intranuclear Inclusions of Fragile X-associated Tremor/Ataxia Syndrome. Acta Neuropathol. Commun. 2019, 7, 143. [Google Scholar] [CrossRef]
- Gohel, D.; Berguerand, N.C.; Tassone, F.; Singh, R. The emerging molecular mechanisms for mitochondrial dysfunctions in FXTAS. Biochim. Biophys. Acta. Mol. Basis Dis. 2020, 1866, 165918. [Google Scholar] [CrossRef]
- Tassone, F.; Adams, J.; Berry-Kravis, E.M.; Cohen, S.S.; Brusco, A.; Leehey, M.A.; Li, L.; Hagerman, R.J.; Hagerman, P.J. CGG repeat length correlates with age of onset of motor signs of the fragile X-associated tremor/ataxia syndrome (FXTAS). Am. J. Med. Genet. Part B Neuropsychiatr. Genet. 2007, 144B, 566–569. [Google Scholar] [CrossRef]
- Lozano, R.; Hagerman, R.J.; Duyzend, M.; Budimirovic, D.B.; Eichler, E.E.; Tassone, F. Genomic studies in fragile X premutation carriers. J. Neurodev. Disord. 2014, 6, 27. [Google Scholar] [CrossRef] [PubMed]
- Hagerman, P.J. Current Gaps in Understanding the Molecular Basis of FXTAS. Tremor Other Hyperkinet. Mov. 2012, 2, tre-02-63-375-2. [Google Scholar] [CrossRef]
- Apartis, E.; Blancher, A.; Meissner, W.G.; Guyant-Maréchal, L.; Maltête, D.; De Broucker, T.; Legrand, A.-P.; Bouzenada, H.; Thanh, H.T.; Sallansonnet-Froment, M.; et al. FXTAS: New insights and the need for revised diagnostic criteria. Neurology 2012, 79, 1898–1907. [Google Scholar] [CrossRef]
- Elias-Mas, A.; Wang, J.Y.; Rodríguez-Revenga, L.; Kim, K.; Tassone, F.; Hessl, D.; Rivera, S.M.; Hagerman, R. Enlarged perivascular spaces and their association with motor, cognition, MRI markers and cerebrovascular risk factors in male fragile X premutation carriers. J. Neurol. Sci. 2024, 461, 123056. [Google Scholar] [CrossRef]
- Wang, J.Y.; Hessl, D.; Tassone, F.; Kim, K.; Hagerman, R.J.; Rivera, S.M. Interaction between ventricular expansion and structural changes in the corpus callosum and putamen in males with FMR1 normal and premutation alleles. Neurobiol. Aging 2020, 86, 27–38. [Google Scholar] [CrossRef] [PubMed]
- Filley, C.M.; Brown, M.S.; Onderko, K.; Ray, M.; Bennett, R.E.; Berry-Kravis, E.; Grigsby, J. White matter disease and cognitive impairment in FMR1 premutation carriers. Neurology 2015, 84, 2146–2152. [Google Scholar] [CrossRef]
- Hashimoto, R.; Srivastava, S.; Tassone, F.; Hagerman, R.J.; Rivera, S.M. Diffusion tensor imaging in male premutation carriers of the fragile X mental retardation gene. Mov. Disord. 2011, 26, 1329–1336. [Google Scholar] [CrossRef] [PubMed]
- Wang, J.Y.; Hessl, D.; Schneider, A.; Tassone, F.; Hagerman, R.J.; Rivera, S.M. Fragile X-associated tremor/ataxia syndrome: Influence of the FMR1 gene on motor fiber tracts in males with normal and premutation alleles. JAMA Neurol. 2013, 70, 1022–1029. [Google Scholar] [CrossRef] [PubMed]
- Adams, J.S.; Adams, P.E.; Nguyen, D.; Brunberg, J.A.; Tassone, F.; Zhang, W.; Koldewyn, K.; Rivera, S.M.; Grigsby, J.; Zhang, L.; et al. Volumetric brain changes in females with fragile X-associated tremor/ataxia syndrome (FXTAS). Neurology 2007, 69, 851–859. [Google Scholar] [CrossRef]
- Helmich, R.C.; Janssen, M.J.R.; Oyen, W.J.G.; Bloem, B.R.; Toni, I. Pallidal dysfunction drives a cerebellothalamic circuit into Parkinson tremor. Ann. Neurol. 2011, 69, 269–281. [Google Scholar] [CrossRef]
- Shelton, A.L.; Cornish, K.M.; Godler, D.; Bui, Q.M.; Kolbe, S.; Fielding, J. White matter microstructure, cognition, and molecular markers in fragile X premutation females. Neurology 2017, 88, 2080–2088. [Google Scholar] [CrossRef]
- Wang, J.Y.; Grigsby, J.; Placido, D.; Wei, H.; Tassone, F.; Kim, K.; Hessl, D.; Rivera, S.M.; Hagerman, R.J. Clinical and Molecular Correlates of Abnormal Changes in the Cerebellum and Globus Pallidus in Fragile X Premutation. Front. Neurol. 2022, 13, 797649. [Google Scholar] [CrossRef]
- Lara-Aparicio, S.Y.; Laureani-Fierro, A.J.; Morgado-Valle, C.; Beltrán-Parrazal, L.; Rojas-Durán, F.; García, L.I.; Toledo-Cárdenas, R.; Hernández, M.E.; Manzo, J.; Pérez, C.A. Latest research on the anatomy and physiology of the cerebellum. Neurol. Perspect. 2022, 2, 34–46. [Google Scholar] [CrossRef]
- FitzGerald, M.J.T. Neuroanatomy: Basic and Clinical, 3rd ed.; Bailliere Tindall: London, UK, 1996; ISBN 9780702019944. [Google Scholar]
- Kandel, E.; Koester, J.D.; Mack, S.H.; Siegelbaum, S. Principles of Neural Science, 6th ed.; McGraw-Hill Education: Columbus, OH, USA, 2021; ISBN 9781259642234. [Google Scholar]
- Thach, W.T.; Bastian, A.J. Role of the cerebellum in the control and adaptation of gait in health and disease. Prog. Brain Res. 2004, 143, 353–366. [Google Scholar] [CrossRef] [PubMed]
- Singh, R. Cerebellum: Its Anatomy, Functions and Diseases; Tunalı, N.E., Ed.; IntechOpen: Rijeka, Croatia, 2020; p. Ch. 1. ISBN 978-1-83880-150-2. [Google Scholar]
- Ruigrok, T.J.H.; Voogd, J. Organization of projections from the inferior olive to the cerebellar nuclei in the rat. J. Comp. Neurol. 2000, 426, 209–228. [Google Scholar] [CrossRef]
- Khoyratty, F.; Wilson, T. The dentato-rubro-olivary tract: Clinical dimension of this anatomical pathway. Case Rep. Otolaryngol. 2013, 2013, 934386. [Google Scholar] [CrossRef]
- Murdoch, S.; Shah, P.; Jampana, R. The Guillain–Mollaret triangle in action. Pract. Neurol. 2016, 16, 243–246. [Google Scholar] [CrossRef]
- Grueschow, M.; Stenz, N.; Thörn, H.; Ehlert, U.; Breckwoldt, J.; Brodmann Maeder, M.; Exadaktylos, A.K.; Bingisser, R.; Ruff, C.C.; Kleim, B. Real-world stress resilience is associated with the responsivity of the locus coeruleus. Nat. Commun. 2021, 12, 2275. [Google Scholar] [CrossRef] [PubMed]
- Anderson, V.M.; Wheeler-Kingshott, C.A.M.; Abdel-Aziz, K.; Miller, D.H.; Toosy, A.; Thompson, A.J.; Ciccarelli, O. A comprehensive assessment of cerebellar damage in multiple sclerosis using diffusion tractography and volumetric analysis. Mult. Scler. 2011, 17, 1079–1087. [Google Scholar] [CrossRef] [PubMed]
- Cavallari, M.; Moscufo, N.; Skudlarski, P.; Meier, D.; Panzer, V.P.; Pearlson, G.D.; White, W.B.; Wolfson, L.; Guttmann, C.R.G. Mobility impairment is associated with reduced microstructural integrity of the inferior and superior cerebellar peduncles in elderly with no clinical signs of cerebellar dysfunction. NeuroImage. Clin. 2013, 2, 332–340. [Google Scholar] [CrossRef]
- Lee, S.-U.; Bae, H.-J.; Kim, J.-S. Ipsilesional limb ataxia and truncal ipsipulsion in isolated infarction of the superior cerebellar peduncle. J. Neurol. Sci. 2015, 349, 251–253. [Google Scholar] [CrossRef]
- Decramer, T.; Demaerel, P.; van Loon, J.; Thijs, V. Wallerian Degeneration of the Superior Cerebellar Peduncle. JAMA Neurol. 2015, 72, 1206–1208. [Google Scholar] [CrossRef]
- Savoiardo, M. Cerebellar input tremor: Inferior or superior cerebellar peduncle lesion? Neurology 1998, 51, 1777–1778. [Google Scholar] [CrossRef]
- Ling, Y.T.; Li, J.M.; Ling, Y.; Wang, S.G.; Wang, J.T.; Zhang, X.Y.; Dong, L.H. Wernekinck Commissure Syndrome with Holmes Tremor: A Report of Two Cases and Review of Literature. Neurol. India 2022, 70, 281–284. [Google Scholar] [CrossRef] [PubMed]
- Agarwal, K.; Biswas, R.; Kumar, V. Wernekink Commissure Syndrome With Bilateral Cerebellar Signs and Holmes Tremor in a Patient With a Preexisting Movement Disorder. Cureus 2023, 15, e35674. [Google Scholar]
- Dorigatti Soldatelli, M.; Ertl-Wagner, B.B. Diffusion Tensor Imaging May Help Diagnose Cerebellar Mutism Syndrome. Radiology 2024, 311, e240760. [Google Scholar] [CrossRef]
- Coenen, V.A.; Sajonz, B.; Prokop, T.; Reisert, M.; Piroth, T.; Urbach, H.; Jenkner, C.; Reinacher, P.C. The dentato-rubro-thalamic tract as the potential common deep brain stimulation target for tremor of various origin: An observational case series. Acta Neurochir. 2020, 162, 1053–1066. [Google Scholar] [CrossRef] [PubMed]
- Dembek, T.A.; Petry-Schmelzer, J.N.; Reker, P.; Wirths, J.; Hamacher, S.; Steffen, J.; Dafsari, H.S.; Hövels, M.; Fink, G.R.; Visser-Vandewalle, V.; et al. PSA and VIM DBS efficiency in essential tremor depends on distance to the dentatorubrothalamic tract. NeuroImage Clin. 2020, 26, 102235. [Google Scholar] [CrossRef] [PubMed]
- Kong, J.; Lee, S.-U.; Yu, S.; Kim, J.-S. Isolated Bilateral Superior Cerebellar Peduncular Lesion Presenting Square-Wave Jerks and Ataxia. J. Clin. Neurol. 2023, 19, 93–95. [Google Scholar] [CrossRef]
- Fabozzi, F.; Margoni, S.; Andreozzi, B.; Musci, M.S.; Del Baldo, G.; Boccuto, L.; Mastronuzzi, A.; Carai, A. Cerebellar mutism syndrome: From pathophysiology to rehabilitation. Front. cell Dev. Biol. 2022, 10, 1082947. [Google Scholar] [CrossRef]
- van Baarsen, K.; Kleinnijenhuis, M.; Konert, T.; van Cappellen van Walsum, A.-M.; Grotenhuis, A. Tractography demonstrates dentate-rubro-thalamic tract disruption in an adult with cerebellar mutism. Cerebellum 2013, 12, 617–622. [Google Scholar] [CrossRef]
- Carr, K.; Ghamasaee, P.; Singh, A.; Tarasiewicz, I. Posterior fossa syndrome with delayed MR evidence of unilateral superior cerebellar peduncle (SCP) damage. Child’s Nerv. Syst. 2017, 33, 503–507. [Google Scholar] [CrossRef]
- Nicoletti, G.; Valentino, P.; Chiriaco, C.; Granata, A.; Barone, S.; Filippelli, E.; Caligiuri, M.E.; Vescio, B.; Sarica, A.; Quattrone, A. Superior Cerebellar Peduncle Atrophy Predicts Cognitive Impairment in Relapsing Remitting Multiple Sclerosis Patients with Cerebellar Symptoms: A DTI Study. J. Mult. Scler. 2017, 4, 1–6. [Google Scholar] [CrossRef]
- Okugawa, G.; Nobuhara, K.; Minami, T.; Takase, K.; Sugimoto, T.; Saito, Y.; Yoshimura, M.; Kinoshita, T. Neural disorganization in the superior cerebellar peduncle and cognitive abnormality in patients with schizophrenia: A diffusion tensor imaging study. Prog. Neuropsychopharmacol. Biol. Psychiatry 2006, 30, 1408–1412. [Google Scholar] [CrossRef] [PubMed]
- Kim, S.E.; Jung, S.; Sung, G.; Bang, M.; Lee, S.-H. Impaired cerebro-cerebellar white matter connectivity and its associations with cognitive function in patients with schizophrenia. npj Schizophr. 2021, 7, 38. [Google Scholar] [CrossRef]
- Sakaue, S.; Hasegawa, T.; Sakai, K.; Zen, Y.; Tozawa, T.; Chiyonobu, T.; Yamada, K.; Morimoto, M.; Hosoi, H. Low-grade IVH in preterm infants causes cerebellar damage, motor, and cognitive impairment. Pediatr. Int. 2021, 63, 1327–1333. [Google Scholar] [CrossRef] [PubMed]
- Bianco, K.M.; Fuelscher, I.; Lum, J.A.G.; Singh, M.; Enticott, P.G.; Caeyenberghs, K.; Hyde, C. Individual differences in procedural learning are associated with fiber specific white matter microstructure of the superior cerebellar peduncles in healthy adults. Cortex. 2023, 161, 1–12. [Google Scholar] [CrossRef] [PubMed]
- Bianco, K.M.; Fuelscher, I.; Lum, J.A.G.; Singh, M.; Barhoun, P.; Silk, T.J.; Caeyenberghs, K.; Williams, J.; Enticott, P.G.; Mukherjee, M.; et al. Procedural learning is associated with microstructure of basal ganglia-cerebellar circuitry in children. Brain Cogn. 2024, 180, 106204. [Google Scholar] [CrossRef]
- Ruggieri, S.; Bharti, K.; Prosperini, L.; Giannì, C.; Petsas, N.; Tommasin, S.; De Giglio, L.; Pozzilli, C.; Pantano, P. A Comprehensive Approach to Disentangle the Effect of Cerebellar Damage on Physical Disability in Multiple Sclerosis. Front. Neurol. 2020, 11, 529. [Google Scholar] [CrossRef]
- Blain, C.R.V.; Barker, G.J.; Jarosz, J.M.; Coyle, N.A.; Landau, S.; Brown, R.G.; Chaudhuri, K.R.; Simmons, A.; Jones, D.K.; Williams, S.C.R.; et al. Measuring brain stem and cerebellar damage in parkinsonian syndromes using diffusion tensor MRI. Neurology 2006, 67, 2199–2205. [Google Scholar] [CrossRef]
- Garg, D.; Tomer, S.; Motiani, R. A Sweet Imbalance: Reversible Middle Cerebellar Peduncle Signal Change in Hypoglycaemic Encephalopathy. Ann. Indian Acad. Neurol. 2022, 25, 952–954. [Google Scholar] [CrossRef]
- Tobyne, S.M.; Ochoa, W.B.; Bireley, J.D.; Smith, V.M.J.; Geurts, J.J.G.; Schmahmann, J.D.; Klawiter, E.C. Cognitive impairment and the regional distribution of cerebellar lesions in multiple sclerosis. Mult. Scler. J. 2017, 24, 1687–1695. [Google Scholar] [CrossRef]
- Lopes, M.; Monteiro, A.; Dória, M. do C.; Rêgo, A.; Rocha, M.; Madeira, D.; Valido, T. Progressive Multifocal Leukoencephalopathy Associated With Idiopathic CD8+ Lymphocytopenia. Cureus 2022, 14, e32870. [Google Scholar] [CrossRef]
- Choi, J.-H.; Seo, J.-D.; Choi, Y.R.; Kim, M.-J.; Kim, H.-J.; Kim, J.S.; Choi, K.-D. Inferior cerebellar peduncular lesion causes a distinct vestibular syndrome. Eur. J. Neurol. 2015, 22, 1062–1067. [Google Scholar] [CrossRef] [PubMed]
- Kim, J.S.; Kim, S.-H.; Lim, S.H.; Im, S.; Hong, B.Y.; Oh, J.; Kim, Y. Degeneration of the Inferior Cerebellar Peduncle After Middle Cerebral Artery Stroke. Stroke 2019, 50, 2700–2707. [Google Scholar] [CrossRef]
- Dhabalia, R.; Kashikar, S.V.; Parihar, P.S.; Mishra, G. V Unveiling the Intricacies: A Comprehensive Review of Magnetic Resonance Imaging (MRI) Assessment of T2-Weighted Hyperintensities in the Neuroimaging Landscape. Cureus 2024, 16, e54808. [Google Scholar] [CrossRef]
- Gaddamanugu, S.; Shafaat, O.; Sotoudeh, H.; Sarrami, A.H.; Rezaei, A.; Saadatpour, Z.; Singhal, A. Clinical applications of diffusion-weighted sequence in brain imaging: Beyond stroke. Neuroradiology 2022, 64, 15–30. [Google Scholar] [CrossRef] [PubMed]
- O’Donnell, L.J.; Westin, C.-F. An introduction to diffusion tensor image analysis. Neurosurg. Clin. N. Am. 2011, 22, 185–196, viii. [Google Scholar] [CrossRef] [PubMed]
- Jeurissen, B.; Tournier, J.-D.; Dhollander, T.; Connelly, A.; Sijbers, J. Multi-tissue constrained spherical deconvolution for improved analysis of multi-shell diffusion MRI data. Neuroimage 2014, 103, 411–426. [Google Scholar] [CrossRef]
- Tuch, D.S.; Reese, T.G.; Wiegell, M.R.; Makris, N.; Belliveau, J.W.; Wedeen, V.J. High angular resolution diffusion imaging reveals intravoxel white matter fiber heterogeneity. Magn. Reson. Med. 2002, 48, 577–582. [Google Scholar] [CrossRef]
- Re, T.J.; Levman, J.; Lim, A.R.; Righini, A.; Grant, P.E.; Takahashi, E. High-angular resolution diffusion imaging tractography of cerebellar pathways from newborns to young adults. Brain Behav. 2017, 7, e00589. [Google Scholar] [CrossRef]
- Grisot, G.; Haber, S.N.; Yendiki, A. Diffusion MRI and anatomic tracing in the same brain reveal common failure modes of tractography. Neuroimage 2021, 239, 118300. [Google Scholar] [CrossRef]
- Safriel, Y.; Pol-Rodriguez, M.; Novotny, E.J.; Rothman, D.L.; Fulbright, R.K. Reference Values for Long Echo Time MR Spectroscopy in Healthy Adults. Am. J. Neuroradiol. 2005, 26, 1439LP–1445. [Google Scholar]
- Metwally, M.I.; Basha, M.A.A.; AbdelHamid, G.A.; Nada, M.G.; Ali, R.R.; Frere, R.A.F.; Elshetry, A.S.F. Neuroanatomical MRI study: Reference values for the measurements of brainstem, cerebellar vermis, and peduncles. Br. J. Radiol. 2021, 94, 20201353. [Google Scholar] [CrossRef] [PubMed]
- Famula, J.L.; McKenzie, F.; McLennan, Y.A.; Grigsby, J.; Tassone, F.; Hessl, D.; Rivera, S.M.; Martinez-Cerdeno, V.; Hagerman, R.J. Presence of Middle Cerebellar Peduncle Sign in FMR1 Premutation Carriers Without Tremor and Ataxia. Front. Neurol. 2018, 9, 695. [Google Scholar] [CrossRef] [PubMed]
- Wang, J.Y.; Hessl, D.; Hagerman, R.J.; Tassone, F.; Rivera, S.M. Age-Dependent Structural Connectivity Effects in Fragile X Premutation. Arch. Neurol. 2012, 69, 482–489. [Google Scholar] [CrossRef]
- Battistella, G.; Niederhauser, J.; Fornari, E.; Hippolyte, L.; Gronchi Perrin, A.; Lesca, G.; Forzano, F.; Hagmann, P.; Vingerhoets, F.J.G.; Draganski, B.; et al. Brain structure in asymptomatic FMR1 premutation carriers at risk for fragile X-associated tremor/ataxia syndrome. Neurobiol. Aging 2013, 34, 1700–1707. [Google Scholar] [CrossRef] [PubMed]
- Hashimoto, R.; Javan, A.K.; Tassone, F.; Hagerman, R.J.; Rivera, S.M. A voxel-based morphometry study of grey matter loss in fragile X-associated tremor/ataxia syndrome. Brain 2011, 134, 863–878. [Google Scholar] [CrossRef]
- Brancati, F.; Dallapiccola, B.; Valente, E.M. Joubert Syndrome and related disorders. Orphanet J. Rare Dis. 2010, 5, 20. [Google Scholar] [CrossRef]
- Gatto, R.G.; Martin, P.R.; Ali, F.; Clark, H.M.; Duffy, J.R.; Utianski, R.L.; Botha, H.; Machulda, M.M.; Dickson, D.W.; Josephs, K.A.; et al. Diffusion tractography of superior cerebellar peduncle and dentatorubrothalamic tracts in two autopsy confirmed progressive supranuclear palsy variants: Richardson syndrome and the speech-language variant. NeuroImage Clin. 2022, 35, 103030. [Google Scholar] [CrossRef]
- Tsuboi, Y.; Slowinski, J.; Josephs, K.A.; Honer, W.G.; Wszolek, Z.K.; Dickson, D.W. Atrophy of superior cerebellar peduncle in progressive supranuclear palsy. Neurology 2003, 60, 1766–1769. [Google Scholar] [CrossRef]
- Nicoletti, G.; Fera, F.; Condino, F.; Auteri, W.; Gallo, O.; Pugliese, P.; Arabia, G.; Morgante, L.; Barone, P.; Zappia, M.; et al. MR imaging of middle cerebellar peduncle width: Differentiation of multiple system atrophy from Parkinson disease. Radiology 2006, 239, 825–830. [Google Scholar] [CrossRef]
- Schrag, A.; Kingsley, D.; Phatouros, C.; Mathias, C.J.; Lees, A.J.; Daniel, S.E.; Quinn, N.P. Clinical usefulness of magnetic resonance imaging in multiple system atrophy. J. Neurol. Neurosurg. Psychiatry 1998, 65, 65–71. [Google Scholar] [CrossRef]
- Naidoo, A.K.; Wells, C.-L.D.; Rugbeer, Y.; Naidoo, N. The “Hot Cross Bun Sign” in Spinocerebellar Ataxia Types 2 and 7-Case Reports and Review of Literature. Mov. Disord. Clin. Pract. 2022, 9, 1105–1113. [Google Scholar] [CrossRef] [PubMed]
- Liu, H.; Lin, J.; Shang, H. Voxel-based meta-analysis of gray matter and white matter changes in patients with spinocerebellar ataxia type 3. Front. Neurol. 2023, 14, 1197822. [Google Scholar] [CrossRef]
- Pittock, S.J.; Debruyne, J.; Krecke, K.N.; Giannini, C.; van den Ameele, J.; De Herdt, V.; McKeon, A.; Fealey, R.D.; Weinshenker, B.G.; Aksamit, A.J.; et al. Chronic lymphocytic inflammation with pontine perivascular enhancement responsive to steroids (CLIPPERS). Brain 2010, 133, 2626–2634. [Google Scholar] [CrossRef] [PubMed]
- Hong, J.H.; Kim, O.L.; Kim, S.H.; Lee, M.Y.; Jang, S.H. Cerebellar peduncle injury in patients with ataxia following diffuse axonal injury. Brain Res. Bull. 2009, 80, 30–35. [Google Scholar] [CrossRef]
- Jones, S.A.; Nagel, B.J.; Nigg, J.T.; Karalunas, S.L. Attention-deficit/hyperactivity disorder and white matter microstructure: The importance of dimensional analyses and sex differences. JCPP Adv. 2022, 2, e12109. [Google Scholar] [CrossRef]
- Lee, J.C.; Nopoulos, P.C.; Tomblin, J.B. Procedural and declarative memory brain systems in developmental language disorder (DLD). Brain Lang. 2020, 205, 104789. [Google Scholar] [CrossRef]
- Connally, E.L.; Ward, D.; Howell, P.; Watkins, K.E. Disrupted white matter in language and motor tracts in developmental stuttering. Brain Lang. 2014, 131, 25–35. [Google Scholar] [CrossRef]
- Dietze, L.M.F.; McWhinney, S.R.; Radua, J.; Hajek, T. Extended and replicated white matter changes in obesity: Voxel-based and region of interest meta-analyses of diffusion tensor imaging studies. Front. Nutr. 2023, 10, 1108360. [Google Scholar] [CrossRef]
- Koch, K.; Wagner, G.; Dahnke, R.; Schachtzabel, C.; Schultz, C.; Roebel, M.; Güllmar, D.; Reichenbach, J.R.; Sauer, H.; Schlösser, R.G.M. Disrupted white matter integrity of corticopontine-cerebellar circuitry in schizophrenia. Eur. Arch. Psychiatry Clin. Neurosci. 2010, 260, 419–426. [Google Scholar] [CrossRef]
- Okugawa, G.; Nobuhara, K.; Minami, T.; Tamagaki, C.; Takase, K.; Sugimoto, T.; Sawada, S.; Kinoshita, T. Subtle disruption of the middle cerebellar peduncles in patients with schizophrenia. Neuropsychobiology 2004, 50, 119–123. [Google Scholar] [CrossRef]
- Parkkinen, S.; Radua, J.; Andrews, D.S.; Murphy, D.; Dell’Acqua, F.; Parlatini, V. Cerebellar network alterations in adult attention-deficit/hyperactivity disorder. J. Psychiatry Neurosci. 2024, 49, E233–E241. [Google Scholar] [CrossRef] [PubMed]
- Lim, C.Y.; Seo, Y.; Sohn, B.; Seong, M.; Kim, S.T.; Hong, S.; Youn, J.; Kim, E.Y. The Inferior Cerebellar Peduncle Sign: A Novel Imaging Marker for Differentiating Multiple System Atrophy Cerebellar Type from Spinocerebellar Ataxia. Am. J. Neuroradiol. 2024, ajnr.A8623. [Google Scholar] [CrossRef] [PubMed]








| Neurological Disorder | Alterations | CNS Atrophy Pattern | References |
|---|---|---|---|
| FXTAS | Reduced FA in all CPs Reduced width of the MCP MCP sign | Generalized brain and cerebellar atrophy | [8,15,33,34,36,37,40] |
| Joubert’s syndrome | Absence of decussation of the SCP tracts Elongation, horizontalization, and increased width of the SCP, forming the molar tooth sign | Not applied (hypo-dysplasia of the cerebellar vermis) | [91] |
| MSA (MSA-C variant) | Reduced width of the SCP and MCP Reduced FA in the MCP Pontine cruciform hyperintensities (hot cross bun sign) MCP sign T2 hyperintensity of the ICP (ICP sign) | Brainstem Cerebellum | [92,94,95,107] |
| Progressive supranuclear palsy | Reduced FA and reduced width of the SCP | Midbrain | [3] |
| Spinocerebellar ataxia | Reduced FA in all CPs Reduced width of the MCP Hot cross bun sign MCP sign | Pons Cerebellum | [2,14,96,97,107] |
| CARASIL | Symmetrical T2/FLAIR hyperintense signal in the MCP connecting through the pons (arc sign) | Brain Brainstem Cerebellum | [10] |
| CLIPPERS | MRI punctate Pattern of patchy gadolinium enhancement ‘peppering’ the brainstem and MCP | Not characteristic at early stages | [98] |
| Diffuse axonal injury | Reduced FA in all CPs Subtle hyperintense small lesions on T2 weighted image and/or hypointense on T2*-weighted image 1 (microbleeds) | Not characteristic at early stages | [99] |
Disclaimer/Publisher’s Note: The statements, opinions and data contained in all publications are solely those of the individual author(s) and contributor(s) and not of MDPI and/or the editor(s). MDPI and/or the editor(s) disclaim responsibility for any injury to people or property resulting from any ideas, methods, instructions or products referred to in the content. |
© 2025 by the authors. Licensee MDPI, Basel, Switzerland. This article is an open access article distributed under the terms and conditions of the Creative Commons Attribution (CC BY) license (https://creativecommons.org/licenses/by/4.0/).
Share and Cite
Paracuellos-Ayala, I.; Caruana, G.; Reyes Ortega, M.M.; Hagerman, R.J.; Wang, J.Y.; Rodriguez-Revenga, L.; Elias-Mas, A. Involvement of the Cerebellar Peduncles in FMR1 Premutation Carriers: A Pictorial Review of Their Anatomy, Imaging, and Pathology. Int. J. Mol. Sci. 2025, 26, 4402. https://doi.org/10.3390/ijms26094402
Paracuellos-Ayala I, Caruana G, Reyes Ortega MM, Hagerman RJ, Wang JY, Rodriguez-Revenga L, Elias-Mas A. Involvement of the Cerebellar Peduncles in FMR1 Premutation Carriers: A Pictorial Review of Their Anatomy, Imaging, and Pathology. International Journal of Molecular Sciences. 2025; 26(9):4402. https://doi.org/10.3390/ijms26094402
Chicago/Turabian StyleParacuellos-Ayala, Irene, Giovanni Caruana, Macarena Maria Reyes Ortega, Randi J. Hagerman, Jun Yi Wang, Laia Rodriguez-Revenga, and Andrea Elias-Mas. 2025. "Involvement of the Cerebellar Peduncles in FMR1 Premutation Carriers: A Pictorial Review of Their Anatomy, Imaging, and Pathology" International Journal of Molecular Sciences 26, no. 9: 4402. https://doi.org/10.3390/ijms26094402
APA StyleParacuellos-Ayala, I., Caruana, G., Reyes Ortega, M. M., Hagerman, R. J., Wang, J. Y., Rodriguez-Revenga, L., & Elias-Mas, A. (2025). Involvement of the Cerebellar Peduncles in FMR1 Premutation Carriers: A Pictorial Review of Their Anatomy, Imaging, and Pathology. International Journal of Molecular Sciences, 26(9), 4402. https://doi.org/10.3390/ijms26094402

