The Combination of Start-Codon-Targeted (SCoT) and Falling Stone (FaSt) Transposon-Specific Primers Provides an Efficient Marker Strategy for Prunus Species
Abstract
1. Introduction
2. Results
2.1. Rationale and Basic Concept
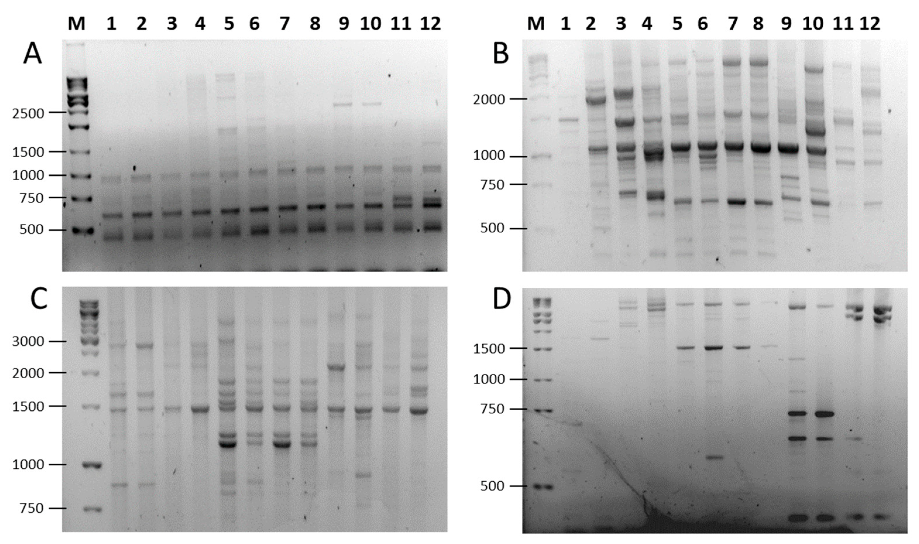
2.2. Amplification Efficiency of SCoT, FaSt-R, and Combined Primer Sets
2.3. Phylogenetic Analysis of Prunus Using SCoT–FaSt Markers
2.4. Sequence Analysis of the Amplified Fragments
3. Discussion
3.1. The SCoT Marker Efficiency in Prunus Is Increased by a FaSt Specific Assay
3.2. Functional and Evolutionary Aspects of the Genomic Landscape of FaSt
4. Materials and Methods
4.1. Plant Material and DNA Isolation
4.2. Genomic PCR with SCoT and FaSt-Specific Primers
4.3. Cloning and DNA Sequencing
4.4. Data Evaluation and Bioinformatics Analyses
Supplementary Materials
Author Contributions
Funding
Institutional Review Board Statement
Informed Consent Statement
Data Availability Statement
Acknowledgments
Conflicts of Interest
Abbreviations
| AFLP | amplified fragment length polymorphism |
| BLASTn | Basic Local Alignment Search Tool |
| FaSt | Falling Stones |
| GDR | Genome Database of Rosaceae |
| h | Nei’s gene diversity |
| I | Shannon’s information index |
| iPBS | inter-primer binding site |
| ISSR | inter-simple sequence repeat |
| LTR | long terminal repeat retrotransposons |
| MITE | miniature inverted-repeat transposable elements |
| NCBI | National Center for Biotechnology Information |
| NDB | number of differently sized bands |
| PA ≤ 1 kb | percentage of amplicons with size ≤ 1000 bp |
| PIC | polymorphism information content |
| PPB | percentage of the polymorphic bands |
| RAPD | random amplified polymorphic DNA |
| Rp | resolving power |
| SCoT | start-codon-targeted |
| SRA | size range of amplicons |
| SSR | microsatellite |
| TE | transposable elements |
| TIR | terminal inverted repeats |
| TNB | total number of bands |
| TSD | target site duplications |
References
- Potter, D. Basic Information on the Stone Fruit Crops. In Genetics, Genomics and Breeding of Stone Fruits; Kole, C., Abbott, A.G., Eds.; CRC Press: Boca Raton, FL, USA, 2012; pp. 1–21. [Google Scholar] [CrossRef]
- Meena, N.K.; Choudhary, K.; Negi, N.; Meena, V.S.; Gupta, V. Nutritional Composition of Stone Fruits. In Production Technology of Stone Fruits; Mir, M.M., Iqbal, U., Mir, S.A., Eds.; Springer: Singapore, 2021; pp. 227–251. [Google Scholar] [CrossRef]
- Rehder, A. Manual of Cultivated Trees and Shrubs Hardy in North America Exclusive of the Subtropical and Warmer Temperate Regions, 2nd ed.; MacMillan: New York, NY, USA, 1940; pp. 1–996. [Google Scholar]
- Shi, S.; Li, J.; Sun, J.; Yu, J.; Zhou, S. Phylogeny and Classification of Prunus sensu lato (Rosaceae). J. Integr. Plant Biol. 2013, 55, 1069–1079. [Google Scholar] [CrossRef] [PubMed]
- Su, N.; Hodel, R.; Wang, X.; Wang, J.-R.; Xie, S.-Y.; Gui, C.-X.; Zhang, L.; Yang, C.; Zhao, L.; Potter, D.; et al. Molecular Phylogeny and Inflorescence Evolution of Prunus (Rosaceae) Based on RAD-seq and Genome Skimming Analyses. Plant Divers. 2023, 45, 397–408. [Google Scholar] [CrossRef] [PubMed]
- Chin, S.-W.; Shaw, J.; Haberle, R.; Wen, J.; Potter, D. Diversification of Almonds, Peaches, Plums and Cherries—Molecular Systematics and Biogeographic History of Prunus (Rosaceae). Mol. Phylogenet. Evol. 2014, 76, 34–48. [Google Scholar] [CrossRef] [PubMed]
- Olden, E.J.; Nybom, N. On the Origin of Prunus cerasus L. Hereditas 1968, 59, 327–345. [Google Scholar] [CrossRef]
- Wöhner, T.W.; Emeriewen, O.F.; Wittenberg, A.H.; Schneiders, H.; Vrijenhoek, I.; Halász, J.; Hrotkó, K.; Hoff, K.J.; Gabriel, L.; Lempe, J.; et al. The Draft Chromosome-Level Genome Assembly of Tetraploid Ground Cherry (Prunus fruticosa Pall.) from Long Reads. Genomics 2021, 113, 4173–4183. [Google Scholar] [CrossRef]
- Zhebentyayeva, T.; Shankar, V.; Scorza, R.; Callahan, A.; Ravelonandro, M.; Castro, S.; DeJong, T.; Saski, C.A.; Dardick, C. Genetic Characterization of Worldwide Prunus domestica (plum) Germplasm Using Sequence-Based Genotyping. Hortic. Res. 2019, 6, 12. [Google Scholar] [CrossRef]
- Tao, R.; Watari, A.; Hanada, T.; Habu, T.; Yaegaki, H.; Yamaguchi, M.; Yamane, H. Self-compatible Peach (Prunus persica) Has Mutant Versions of the S Haplotypes Found in Self-incompatible Prunus Species. Plant Mol. Biol. 2007, 63, 109–123. [Google Scholar] [CrossRef]
- Velasco, D.; Hough, J.; Aradhya, M.; Ross-Ibarra, J. Evolutionary Genomics of Peach and Almond Domestication. G3 (Bethesda) 2016, 6, 3985–3993. [Google Scholar] [CrossRef]
- Alioto, T.; Alexiou, K.G.; Bardil, A.; Barteri, F.; Castanera, R.; Cruz, F.; Dhingra, A.; Duval, H.; Fernández i Martí, A.; Galán, B.; et al. Transposons Played a Major Role in the Diversification Between the Closely Related Almond and Peach Genomes: Results from the Almond Genome Sequence. Plant J. 2020, 101, 455–472. [Google Scholar] [CrossRef]
- Decroocq, V.; Hagen, L.; Favé, M.G.; Eyquard, J.-P.; Pierronnet, A. Microsatellite Markers in the Hexaploid Prunus domestica Species and Parentage Lineage of Three European Plum Cultivars Using Nuclear and Chloroplast Simple-Sequence Repeats. Mol. Breeding 2004, 13, 135–142. [Google Scholar] [CrossRef]
- Dirlewanger, E.; Cosson, P.; Tavaud, M.; Aranzana, M.; Poizat, C.; Zanetto, A.; Arús, P.; Laigret, F. Development of Microsatellite Markers in Peach [Prunus persica (L.) Batsch] and Their Use in Genetic Diversity Analysis in Peach and Sweet Cherry (Prunus avium L.). Theor. Appl. Genet. 2002, 105, 127–138. [Google Scholar] [CrossRef] [PubMed]
- Halász, J.; Kodad, O.; Galiba, G.M.; Skola, I.; Ercisli, S.; Ledbetter, C.A.; Hegedűs, A. Genetic Variability is Preserved among Strongly Differentiated and Geographically Diverse Almond Germplasm: An Assessment by Simple Sequence Repeat Markers. Tree Genet. Genomes 2019, 15, 12. [Google Scholar] [CrossRef]
- Halász, J.; Szendy, G.; Ivanovska, B.; Tóth, E.G.; Hegedűs, A. The Self-incompatibility Locus and Chloroplast DNA Regions of Prunus domestica Reflect the Origin and Genetic Diversity of Traditional Cultivars. J. Amer. Soc. Hort. Sci. 2023, 148, 230–239. [Google Scholar] [CrossRef]
- Makovics-Zsohár, N.; Tóth, M.; Surányi, D.; Kovács, S.; Hegedűs, A.; Halász, J. Simple Sequence Repeat Markers Reveal Hungarian Plum (Prunus domestica L.) Germplasm as a Valuable Gene Resource. HortScience 2017, 52, 1655–1660. [Google Scholar] [CrossRef]
- Martínez-Gómez, P.; Arulsekar, S.; Potter, D.; Gradziel, T.M. An Extended Interspecific Gene Pool Available to Peach and Almond Breeding as Characterized Using Simple Sequence Repeat (SSR) Markers. Euphytica 2003, 131, 313–322. [Google Scholar] [CrossRef]
- García-Gómez, B.; Razi, M.; Salazar, J.A.; Prudencio, A.S.; Ruiz, D.; Dondini, L.; Martínez-Gómez, P. Comparative Analysis of SSR Markers Developed in Exon, Intron, and Intergenic Regions and Distributed in Regions Controlling Fruit Quality Traits in Prunus Species: Genetic Diversity and Association Studies. Plant Mol. Biol. Rep. 2018, 36, 23–35. [Google Scholar] [CrossRef]
- Collard, B.C.Y.; Mackill, D.J. Start Codon Targeted (SCoT) Polymorphism: A Simple, Novel DNA Marker Technique for Generating Gene-Targeted Markers in Plants. Plant Mol. Biol. Rep. 2009, 27, 86–93. [Google Scholar] [CrossRef]
- Buer, H.; Rula, S.; Wang, Z.Y.; Fang, S.; Bai, Y.E. Analysis of Genetic Diversity in Prunus sibirica L. in Inner Mongolia Using SCoT Molecular Markers. Genet. Resour. Crop Evol. 2022, 69, 1057–1068. [Google Scholar] [CrossRef]
- Thakur, M.; Luharch, R.; Sharma, V.; Sharma, D.P. Molecular Markers Based Genetic Relatedness Studies in Tissue Culture Propagated Japanese Plum Cultivars Santa Rosa and Frontier. Genet. Resour. Crop Evol. 2022, 69, 567–575. [Google Scholar] [CrossRef]
- Atapour, Y.; Ghanbari, A.; Estaji, A.; Haghjooyan, R. Evaluation of Genetic Diversity of Twenty-eight Sweet Cherry Genotypes by Morphological Traits and SCoT Markers in the Northwest of Iran. J. Genet. Resour. 2022, 8, 138–146. [Google Scholar]
- Wicker, T.; Sabot, F.; Hua-Van, A.; Bennetzen, J.L.; Capy, P.; Chalhoub, B.; Flavell, A.; Leroy, P.; Morgante, M.; Panaud, O.; et al. A Unified Classification System for Eukaryotic Transposbale Elments. Nat. Rev. Genet. 2007, 8, 973–982. [Google Scholar] [CrossRef]
- Kejnovsky, E.; Hawkins, J.S.; Feschotte, C. Plant Transposable Elements: Biology and Evolution. In Plant Genome Diversity; Wendel, J., Greilhuber, J., Dolezel, J., Leitch, I., Eds.; Springer: Vienna, Austria, 2012; Volume 1, pp. 17–34. [Google Scholar] [CrossRef]
- Castanera, R.; Tomás, C.; Ruggieri, V.; Vicient, C.; Eduardo, I.; Aranzana, M.; Arús, P.; Casacuberta, J. A Phased Genome of the Highly Heterozygous ‘Texas’ Almond Uncovers Patterns of Allele- specific Expression Linked to Heterozygous Structural Variants. Hortic. Res. 2024, 11, uhae106. [Google Scholar] [CrossRef] [PubMed]
- Verde, I.; Abbott, A.G.; Scalabrin, S.; Jung, S.; Shu, S.; Marroni, F.; Zhebentyayeva, T.; Dettori, M.T.; Grimwood, J.; Cattonaro, F.; et al. The High-quality Draft Genome of Peach (Prunus persica) Identifies Unique Patterns of Genetic Diversity, Domestication and Genome Evolution. Nat. Genet. 2013, 45, 487–494. [Google Scholar] [CrossRef] [PubMed]
- Zhang, Q.; Chen, W.; Sun, L.; Zhao, F.; Huang, B.; Yang, W.; Tao, Y.; Wang, J.; Yuan, Z.; Fan, G.; et al. The Genome of Prunus mume. Nat. Commun. 2012, 3, 1318. [Google Scholar] [CrossRef] [PubMed]
- Wang, J.; Liu, W.; Zhu, D.; Zhou, X.; Hong, P.; Zhao, H.; Tan, Y.; Chen, X.; Zhong, X.; Xu, L.; et al. A de novo Assembly of the Sweet Cherry (Prunus avium cv. Tieton) Genome Using Linked-read Sequencing Technology. PeerJ 2020, 8, e9114. [Google Scholar] [CrossRef]
- Roy, N.S.; Choi, J.Y.; Lee, S.I.; Kim, N.S. Marker Utility of Transposable Elements for Plant Genetics, Breeding, and Ecology: A Review. Genes Genom. 2015, 37, 141–151. [Google Scholar] [CrossRef]
- Kalendar, R.; Antonius, K.; Smýkal, P.; Schulman, A.H. iPBS: A Universal Method for DNA Fingerprinting and Retrotransposon Isolation. Theor. Appl. Genet. 2010, 121, 1419–1430. [Google Scholar] [CrossRef]
- Baránek, M.; Meszáros, M.; Sochorová, J.; Čechová, J.; Raddová, J. Utility of Retrotransposon-derived Marker Systems for Differentiation of Presumed Clones of the Apricot Cultivar Velkopavlovická. Sci. Hortic. 2012, 143, 1–6. [Google Scholar] [CrossRef]
- Shen, Y.; Ding, X.; Fei, W.; Cai, B.; Gao, Z.; Zhang, Z. Analysis of Genetic Diversity in Japanese Apricot (Prunus mume Sieb. et Zucc.) Based on REMAP and IRAP Molecular Markers. Sci. Hortic. 2011, 132, 50–58. [Google Scholar]
- Wang, G.; Li, R.; Wu, M.; Ren, F.; Wang, L.; Qiao, G. Assessment of Genetic Diversity of Prunus salicina ‘Shazikongxinli’ by Morphological Traits and Molecular Markers. Genet. Resour. Crop Evol. 2023, 70, 2727–2739. [Google Scholar] [CrossRef]
- Halász, J.; Kodad, O.; Hegedűs, A. Identification of a Recently Active Prunus-specific Non-autonomous Mutator Element with Considerable Genome Shaping Force. Plant J. 2014, 79, 220–231. [Google Scholar] [CrossRef] [PubMed]
- Muñoz-Sanz, J.V.; Zuriaga, E.; Badenes, M.L.; Romero, C. A Disulfide Bond A-like Oxidoreductase is a Strong Candidate Gene for Self-incompatibility in Apricot (Prunus armeniaca) Pollen. J. Exp. Bot. 2017, 68, 5069–5078. [Google Scholar] [CrossRef] [PubMed]
- Kumar, S.; Suleski, M.; Craig, J.M.; Kasprowicz, A.E.; Sanderford, M.; Li, M.; Stecher, G.; Hedges, S.B. TimeTree 5: An Expanded Resource for Species Divergence Times. Mol. Biol. Evol. 2022, 39, msac174. [Google Scholar] [CrossRef]
- Rai, M.K. Start Codon Targeted (SCoT) Polymorphism Marker in Plant Genome Analysis: Current Status and Prospects. Planta 2023, 257, 34. [Google Scholar] [CrossRef]
- Guo, L.; Li, H.; Luoa, Z.R. New Insights into the Genetic Diversity and Species Identification of the Native Apricots in Southern Xinjiang of China. Genet. Mol. Res. 2018, 17, 16039874. [Google Scholar] [CrossRef]
- Mahjbi, A.; Baraket, G.; Oueslati, A.; Salhi-Hannachi, A. Start Codon Targeted (SCoT) Markers Provide New Insights into the Genetic Diversity Analysis and Characterization of Tunisian Citrus Species. Biochem. Syst. Ecol. 2015, 61, 390–398. [Google Scholar] [CrossRef]
- Heikrujam, M.; Kumar, J.; Agrawal, V. Genetic Diversity Analysis among Male and Female Jojoba Genotypes Employing Gene Targeted Molecular Markers, Start Codon Targeted (SCoT) Polymorphism and CAAT Box-derived Polymorphism (CBDP) Markers. Meta Gene 2015, 5, 90–97. [Google Scholar] [CrossRef]
- Karapetsi, L.; Pantelidis, G.; Pratsinakis, E.D.; Drogoudi, P.; Madesis, P. Fruit Quality Traits and Genotypic Characterization in a Pomegranate ex situ (Punica granatum L.) Collection in Greece. Agriculture 2021, 11, 482. [Google Scholar] [CrossRef]
- Giri, M.S.; Jingade, P.; Huded, A.K.C.; Daivasikamani, S.; Mishra, M.K. Genetic Characterization of Paramyrothecium roridum Strains Isolated from Different Host Plants in Coffee Agroecosystem Using SRAP, SCoT Markers and ITS Sequencing. Indian Phytopathol. 2024, 77, 657–668. [Google Scholar] [CrossRef]
- Palacıoğlu, G.; Alkan, M.; Derviş, S.; Bayraktar, H.; Özer, G. Molecular Phylogeny of Plant Pathogenic Fungi Based on Start Codon Targeted (SCoT) Polymorphism. Mol. Biol. Rep. 2023, 50, 8271–8279. [Google Scholar] [CrossRef]
- Surányi, D. Nemzeti Szívügyünk III. A Pándy Meggy. Tájökológiai Lapok 2016, 14, 135–154. [Google Scholar] [CrossRef]
- Hartmann, W.; Neumüller, M. Breeding for Resistance: Breeding for Plum Pox Virus Resistant Plums (Prunus domestica L.) in Germany. EPPO Bull. 2006, 36, 332–336. [Google Scholar] [CrossRef]
- Butac, M.; Zagrai, I. and Botu, M. Breeding of New Plum Cultivars in Romania. Acta Hortic. 2010, 874, 51–58. [Google Scholar] [CrossRef]
- Faust, M.; Surányi, D. Origin and Dissemination of Plums in. Hortic. Rev. 2010, 23, 179–231. [Google Scholar]
- Lisch, D.; Girard, L.; Donlin, M.; Freeling, M. Functional Analysis of Deletion Derivatives of the Maize Transposon MuDR Delineates Roles for the MURA and MURB Proteins. Genetics 1999, 151, 331–341. [Google Scholar] [CrossRef]
- Bromham, L.; Hua, X.; Lanfear, R.; Cowman, P.F. Exploring the Relationships between Mutation Rates, Life History, Genome Size, Environment, and Species Richness in Flowering Plants. Am. Nat. 2015, 185, 507–524. [Google Scholar] [CrossRef]
- Oki, N.; Yano, K.; Okumoto, Y.; Tsukiyama, T.; Teraishi, M.; Tanisaka, T. A Genome-wide View of Miniature Inverted-repeat Transposable Elements (MITEs) in Rice, Oryza sativa ssp. japonica. Genes Genet. Sys. 2008, 83, 321–329. [Google Scholar] [CrossRef]
- Zhou, M.; Tao, G.; Pi, P.; Zhu, Y.; Bai, Y.; Meng, X. Genome-wide Characterization and Evolution Analysis of Miniature Inverted-repeat Transposable Elements (MITEs) in Moso Bamboo (Phyllostachys heterocycla). Planta 2016, 244, 775–787. [Google Scholar] [CrossRef]
- Goodall, G.J.; Filipowicz, W. Different Effects of Intron Nucleotide Composition and Secondary Structure on pre-mRNA Splicing in Monocot and Dicot Plants. EMBO J. 1991, 10, 2635–2644. [Google Scholar] [CrossRef]
- Xie, X.; Wu, N. Introns in Higher Plant Genes. Chin. Sci. Bull. 2002, 47, 1409–1415. [Google Scholar] [CrossRef]
- Biro, J.C. Correlation between Nucleotide Composition and Folding Energy of Coding Sequences with Special Attention to Wobble Bases. Theor. Biol. Med. Model. 2008, 5, 14. [Google Scholar] [CrossRef] [PubMed]
- Šmarda, P.; Bureš, P. The Variation of Base Composition in Plant Genomes. In Plant Genome Diversity; Wendel, J., Greilhuber, J., Dolezel, J., Leitch, I., Eds.; Springer: Vienna, Austria, 2012; Volume 1, pp. 209–235. [Google Scholar]
- Gingerich, D.J.; Gagne, J.M.; Salter, D.W.; Hellmann, H.; Estelle, M.; Ma, L.; Vierstra, R.D. Cullins 3a and 3b Assemble with Members of the Broad Complex/tramtrack/bric-a-brac (BTB) Protein Family to Form Essential Ubiquitin-protein Ligases (E3s) in Arabidopsis. J. Biol. Chem. 2005, 280, 18810–18821. [Google Scholar] [CrossRef] [PubMed]
- Ma, Y.; Zhang, X.; Zhang, W.; Li, L.; Cheng, S.; Guo, M.; Chen, G. Transcriptome Analysis Reveals the Mechanism of Delayed Softening of ‘France’ Prune (Prunus domestica L.) during Storage at Near-freezing Temperature. LWT 2023, 189, 115446. [Google Scholar] [CrossRef]
- Wu, B.; Gao, L.; Gao, J.; Xu, Y.; Liu, H.; Cao, X.; Zhang, B.; Chen, K. Genome-wide Identification, Expression Patterns, and Functional Analysis of UDP Glycosyltransferase Family in Peach (Prunus persica L. Batsch). Front. Plant Sci. 2017, 8, 389. [Google Scholar] [CrossRef]
- Foix, L.; Nadal, A.; Zagorščak, M.; Ramšak, Ž.; Esteve-Codina, A.; Gruden, K.; Pla, M. Prunus persica Plant Endogenous Peptides PpPep1 and PpPep2 Cause PTI-like Transcriptome Reprogramming in Peach and Enhance Resistance to Xanthomonas arboricola pv. pruni. BMC Genom. 2021, 22, 360. [Google Scholar] [CrossRef]
- Huang, T.S.; Wei, T.; Laliberté, J.F.; Wang, A. A Host RNA Helicase-like Protein, AtRH8, Interacts with the Potyviral Genome-linked Protein, VPg, Associates with the Virus Accumulation Complex, and is Essential for Infection. Plant Physiol. 2010, 152, 255–266. [Google Scholar] [CrossRef]
- Mahmood, U.; Fan, Y.; Wei, S.; Niu, Y.; Li, Y.; Huang, H.; Chen, Y.; Tang, Z.; Liu, L.; Qu, C.; et al. Comprehensive Analysis of Polygalacturonase Genes Offers New Insights into their Origin and Functional Evolution in Land Plants. Genomics 2021, 113, 1096–1108. [Google Scholar] [CrossRef]
- Li, S.; Wu, P.; Yu, X.; Cao, J.; Chen, X.; Gao, L.; Chen, K.; Grierson, D. Contrasting Roles of Ethylene Response Factors in Pathogen Response and Ripening in Fleshy Fruit. Cells 2022, 11, 2484. [Google Scholar] [CrossRef]
- Wang, G.; Weng, W.; Jia, Z.; Zhang, J.; Wang, T.; Xuan, J. Identification of Candidate Genes Associated with Pulp Color by Transcriptomic Analysis of ‘Huaxiu’ Plum (Prunus salicina Lindl.) during Fruit-ripening. Curr. Issues Mol. Biol. 2022, 44, 6368–6384. [Google Scholar] [CrossRef]
- Dietrich, C.R.; Cui, F.; Packila, M.L.; Li, J.; Ashlock, D.A.; Nikolau, B.J.; Schnable, P.S. Maize Mu Transposons are Targeted to the 5′ Untranslated Region of the gl8 Gene and Sequences Flanking Mu Target-site Duplications Exhibit Nonrandom Nucleotide Composition Throughout the Genome. Genetics 2002, 160, 697–716. [Google Scholar] [CrossRef]
- Hardy, E.C.; Balcerowicz, M. Untranslated yet Indispensable—UTRs Act as Key Regulators in the Environmental Control of Gene Expression. J. Exp. Bot. 2024, 75, 4314–4331. [Google Scholar] [CrossRef] [PubMed]
- Hu, J.; Liu, C.; Du, Z.; Guo, F.; Song, D.; Wang, N.; Wei, Z.; Jiang, J.; Cao, Z.; Shi, C.; et al. Transposable Elements Cause the Loss of Self-incompatibility in Citrus. Plant Biotechnol. J. 2024, 22, 1113–1131. [Google Scholar] [CrossRef]
- Guo, X.; Fang, D.; Sahu, S.K.; Yang, S.; Guang, X.; Folk, R.; Smith, S.A.; Chanderbali, A.S.; Chen, S.; Liu, M.; et al. Chloranthus Genome Provides Insights into the Early Diversification of Angiosperms. Nat. Commun. 2021, 12, 6930. [Google Scholar] [CrossRef] [PubMed]
- Pouget, M.; Youssef, S.; Dumas, P.J.; Baumberger, T.; San Roman, A.; Torre, F.; Affre, L.; Médail, F.; Baumel, A. Spatial Mismatches between Plant Biodiversity Facets and Evolutionary Legacy in the Vicinity of a Major Mediterranean City. Ecol. Indic. 2016, 60, 736–745. [Google Scholar] [CrossRef]
- Wang, D.; Yu, C.; Zuo, T.; Zhang, J.; Weber, D.F.; Peterson, T. Alternative Transposition Generates New Chimeric Genes and Segmental Duplications at the Maize p1 Locus. Genetics 2015, 201, 925–935. [Google Scholar] [CrossRef]
- Xin, Y.; Ma, B.; Xiang, Z.; He, N. Amplification of Miniature Inverted-repeat Transposable Elements and the Associated Impact on gene Regulation and Alternative Splicing in Mulberry (Morus notabilis). Mobile DNA 2019, 10, 27. [Google Scholar] [CrossRef]
- Yu, Z.; Li, J.; Wang, H.; Ping, B.; Li, X.; Liu, Z.; Guo, B.; Yu, Q.; Zou, Y.; Sun, Y.; et al. Transposable Elements in Rosaceae: Insights into Genome Evolution, Expression Dynamics, and Syntenic Gene Regulation. Hortic. Res. 2024, 11, uhae118. [Google Scholar] [CrossRef]
- Batzer, M.A.; Deininger, P.L. Alu Repeats and Human Genomic Diversity. Nat. Rev. Genet. 2002, 3, 370–379. [Google Scholar] [CrossRef]
- Halász, J.; Fodor, A.; Pedryc, A.; Hegedűs, A. S-genotyping of Eastern European Almond Cultivars: Identification and Characterization of New (S36–S39) Self-incompatibility Ribonuclease Alleles. Plant Breed. 2010, 129, 227–232. [Google Scholar] [CrossRef]
- López, M.; Vargas, F.J.; Batlle, I. Self-(in) compatibility Almond Genotypes: A Review. Euphytica 2006, 150, 1–16. [Google Scholar] [CrossRef]
- Surányi, D. Plum Cultivars. In Hungarian Fruit Cultivars; Soltész, M., Ed.; Mezőgazda Kiadó: Budapest, Hungary, 2013; pp. 377–393. [Google Scholar]
- Amiryousefi, A.; Hyvönen, J.; Poczai, P. iMEC: Online Marker Efficiency Calculator. Appl. Plant Sci. 2018, 6, e01159. [Google Scholar] [CrossRef] [PubMed]
- Yeh, F.C.; Boyle, T.J.B. Population Genetic Analysis of Co-dominant and Dominant Markers and Quantitative Traits. Belg. J. Bot. 1997, 129, 157–163. [Google Scholar]
- Hammer, O. PAST: Paleontological Statistics Software Package for Education and Data Analysis. Palaeontol. Electron. 2001, 4, 9. [Google Scholar]
- Altschul, S.F.; Gish, W.; Miller, W.; Myers, E.W.; Lipman, D.J. Basic Local Alignment Search Tool. J. Mol. Biol. 1990, 215, 403–410. [Google Scholar] [CrossRef]
- Zhang, Z.; Schwartz, S.; Wagner, L.; Miller, W. A Greedy Algorithm for Aligning DNA Sequences. J. Comput. Biol. 2000, 7, 203–214. [Google Scholar] [CrossRef]
- Kumar, S.; Stecher, G.; Tamura, K. MEGA7: Molecular Evolutionary Genetics Analysis Version 7.0 for Bigger Datasets. Mol. Biol. Evol. 2016, 33, 1870–1874. [Google Scholar] [CrossRef]
- Hall, T.A. BioEdit: A User-friendly Biological Sequence Alignment Editor and Analysis Program for Windows 95/98/NT. Nucleic Acids Symp. Ser. 1999, 41, 95–98. [Google Scholar]
- Babicki, S.; Arndt, D.; Marcu, A.; Liang, Y.; Grant, J.R.; Maciejewski, A.; Wishart, D.S. Heatmapper: Web-enabled Heat Mapping for All. Nucleic Acids Res. 2016, 44, W147–W153. [Google Scholar] [CrossRef]







| TNB * | NDB * | SRA * | PA ≤ 1 kb * | PPB * | PIC * | Rp * | h * | I * | |
|---|---|---|---|---|---|---|---|---|---|
| SCoT 1 | 73 | 11 | 350–2200 | 43.8 | 83.6 | 0.37 | 6.17 | 0.35 | 0.51 |
| SCoT 2 | 88 | 14 | 650–3000 | 6.8 | 59.1 | 0.28 | 6.00 | 0.24 | 0.37 |
| SCoT 4 | 133 | 23 | 250–4000 | 59.4 | 72.9 | 0.35 | 12.50 | 0.28 | 0.43 |
| SCoT 5 | 86 | 14 | 500–3000 | 47.7 | 86.0 | 0.37 | 8.33 | 0.33 | 0.50 |
| SCoT 6 | 81 | 12 | 350–3000 | 55.6 | 85.2 | 0.33 | 5.83 | 0.30 | 0.45 |
| SCoT 7 | 35 | 8 | 1100–3500 | 0.0 | 100.0 | 0.37 | 4.50 | 0.29 | 0.46 |
| SCoT 11 | 51 | 7 | 2000–4500 | 0.0 | 52.9 | 0.33 | 3.83 | 0.24 | 0.37 |
| SCoT 12 | 70 | 11 | 350–3000 | 60.0 | 100.0 | 0.41 | 8.00 | 0.35 | 0.53 |
| SCoT 13 | 98 | 16 | 300–4500 | 36.7 | 100.0 | 0.38 | 11.00 | 0.33 | 0.50 |
| SCoT 16 | 76 | 10 | 750–2250 | 47.6 | 68.4 | 0.34 | 5.33 | 0.32 | 0.47 |
| SCoT 18 | 119 | 23 | 300–2500 | 67.2 | 69.7 | 0.37 | 12.83 | 0.28 | 0.44 |
| SCoT 19 | 82 | 14 | 500–3000 | 23.2 | 85.4 | 0.36 | 7.33 | 0.32 | 0.48 |
| SCoT 21 | 78 | 12 | 500–2500 | 21.8 | 84.6 | 0.37 | 6.67 | 0.34 | 0.51 |
| SCoT 22 | 79 | 12 | 800–3000 | 27.8 | 54.4 | 0.33 | 6.50 | 0.25 | 0.39 |
| SCoT 23 | 54 | 10 | 400–4000 | 27.5 | 33.3 | 0.23 | 3.00 | 0.26 | 0.32 |
| SCoT 24 | 72 | 11 | 500–2000 | 54.2 | 100.0 | 0.38 | 6.67 | 0.38 | 0.56 |
| SCoT 27 | 90 | 14 | 300–6000 | 64.4 | 73.3 | 0.37 | 7.17 | 0.29 | 0.44 |
| SCoT 32 | 70 | 12 | 350–3000 | 40.0 | 82.9 | 0.34 | 6.00 | 0.31 | 0.46 |
| SCoT 34 | 63 | 12 | 650–4000 | 17.5 | 81.0 | 0.39 | 7.83 | 0.30 | 0.46 |
| Mean | 78.8 | 12.9 | 36.9 | 77.5 | 0.35 | 7.13 | 0.30 | 0.46 | |
| FaSt-R | 46 | 10 | 700–2500 | 34.8 | 73.9 | 0.36 | 5.67 | 0.25 | 0.40 |
| SCoT 1 + FaSt-R | 73 | 10 | 600–4000 | 32.9 | 100.0 | 0.35 | 6.17 | 0.35 | 0.52 |
| SCoT 2 + FaSt-R | 74 | 10 | 300–4000 | 27.0 | 83.8 | 0.35 | 5.67 | 0.36 | 0.53 |
| SCoT 4 + FaSt-R | 49 | 11 | 450–3000 | 36.7 | 100.0 | 0.34 | 5.50 | 0.29 | 0.45 |
| SCoT 5 + FaSt-R | 77 | 11 | 300–8000 | 6.5 | 84.4 | 0.28 | 4.50 | 0.30 | 0.46 |
| SCoT 6 + FaSt-R | 65 | 14 | 150–3500 | 47.7 | 81.5 | 0.32 | 6.50 | 0.26 | 0.41 |
| SCoT 7 + FaSt-R | 30 | 9 | 300–4000 | 30.0 | 100.0 | 0.35 | 4.67 | 0.24 | 0.39 |
| SCoT 11 + FaSt-R | 112 | 21 | 250–4000 | 33.9 | 78.6 | 0.38 | 13.00 | 0.29 | 0.45 |
| SCoT 12 + FaSt-R | 56 | 10 | 450–8000 | 46.4 | 100.0 | 0.42 | 6.50 | 0.34 | 0.52 |
| SCoT 13 + FaSt-R | 84 | 13 | 700–5000 | 41.7 | 85.7 | 0.35 | 7.00 | 0.34 | 0.50 |
| SCoT 16 + FaSt-R | 67 | 16 | 480–8000 | 32.8 | 100.0 | 0.38 | 8.83 | 0.29 | 0.45 |
| SCoT 18 + FaSt-R | 86 | 14 | 500–5500 | 11.6 | 84.8 | 0.32 | 6.33 | 0.30 | 0.46 |
| SCoT 19 + FaSt-R | 91 | 19 | 290–6000 | 36.3 | 86.8 | 0.37 | 10.50 | 0.29 | 0.44 |
| SCoT 21 + FaSt-R | 75 | 13 | 150–6000 | 42.7 | 100.0 | 0.35 | 6.83 | 0.34 | 0.51 |
| SCoT 22 + FaSt-R | 94 | 16 | 750–6000 | 34.0 | 87.2 | 0.36 | 8.67 | 0.32 | 0.48 |
| SCoT 23 + FaSt-R | 70 | 13 | 750–4500 | 20.0 | 91.4 | 0.38 | 6.33 | 0.26 | 0.42 |
| SCoT 24 + FaSt-R | 54 | 10 | 250–4000 | 37.0 | 55.6 | 0.31 | 5.00 | 0.22 | 0.35 |
| SCoT 27 + FaSt-R | 31 | 12 | 180–3500 | 45.2 | 100.0 | 0.34 | 4.83 | 0.22 | 0.37 |
| SCoT 32 + FaSt-R | 50 | 10 | 400–6000 | 20.0 | 100.0 | 0.38 | 5.33 | 0.32 | 0.49 |
| SCoT 34 + FaSt-R | 45 | 16 | 280–3000 | 44.4 | 100.0 | 0.30 | 5.83 | 0.20 | 0.34 |
| Mean | 67.5 | 13.1 | 33.0 | 90.5 | 0.35 | 6.74 | 0.29 | 0.45 |
| Cultivar Name | Species | Pedigree (Year of Cultivar Recognition) | Country of Origin |
|---|---|---|---|
| ‘Besztercei Bt2’ | P. domestica | Clone of Besztercei (1974) | Hungary |
| ‘Bühler Frühzwetschge’ | P. domestica | German landrace (1840) | Germany |
| ‘Canada giant’ (‘Sumgita’) | P. avium | Van × Sam (1992) | Canada |
| ‘Ceglédi óriás’ | P. armeniaca | Local selection, Izsák (1953) | Hungary |
| ‘Collins’ | P. persica | Jerseyland × NJ-188 (1955) | USA |
| ‘Condor’ | P. persica | Unknown | USA |
| ‘Czar’ | P. domestica | Prince Engelbert × Early Prolific (1874) | United Kingdom |
| ‘Duránci’ | P. domestica | Hungarian landrace (Borsod) | Hungary |
| ‘Elena’ | P. domestica | Fellenberg × Stanley (1993) | Germany |
| ‘Empress’ | P. domestica | Unknown (2000) | Italy |
| ‘Fehérszilva’ | P. domestica | Hungarian landrace (Duna-Tisza-köz, Borsod, Bácska) (2014) | Hungary |
| ‘Feketicsi meggy’ | P. cerasus | Landrace, Bácsfeketehegy | Serbia |
| ‘Giant’ | P. domestica | Ageni × Pond’s Seedling (1893) | USA |
| ‘Gönci magyar kajszi’ | P. armeniaca | Selected clone of Hungarian Best (1960) | Hungary |
| ‘Grand prize’ | P. domestica | Unknown seedling of Burbank (1937) | USA |
| ‘Haganta’ | P. domestica | Cacanska najbolja× Valor (2003) | Germany |
| ‘Hanita’ | P. domestica | President × Auerbacher (1980) | Germany |
| ‘Haroma’ * | P. domestica | (Ortenauer × Stanley 34) × Hanita (1993) | Germany |
| ‘Jojo’ | P. domestica | Ortenauer × Stanley (1991) | Germany |
| ‘Kántorjánosi 3’ | P. cerasus | Selected clone of a landrace, Kántorjános (1994) | Hungary |
| ‘Katalin’ | P. avium | Germersdorfer × Podyebrad (1989) | Hungary |
| ‘Nemtudom P3’ | P. domestica | Selected clone of a landrace (2012) | Hungary |
| ‘Opal’ | P. domestica | Early Favourite × Oullins gage (1925) | Sweden |
| ‘Páczelt szilvája’ | P. domestica | Unknown, Páczelt János, Nagykároly (end of the 19th century) | Hungary |
| ‘Presenta’ | P. domestica | President × Ortenauer (1996) | Germany |
| ‘Sanctus Hubertus’ | P. domestica | Mater Dolorosa × Early Rues (1963) | Belgium |
| Soviet 2 | P. domestica | Soviet seedling | Russia |
| Soviet 3 | P. domestica | Soviet seedling | Russia |
| ‘Tétényi keményhéjú’ | P. dulcis | Open pollination from Burbank magonca (1980) | Hungary |
| ‘Topend plus’ | P. domestica | Cacanska najbolja × Valor (1994) | Germany |
| ‘Topfive’ | P. domestica | Cacanska najbolja × Bühler Frühzwetsche (1999) | Germany |
| ‘Tophit’ | P. domestica | Cacanska najbolja × President (1988) | Germany |
| ‘Toptaste’ * | P. domestica | Valor × Hauszwetschke (1994) | Germany |
| ‘Tuleu timpuriu’ | P. domestica | Tuleu gras × Sermina (1967) | Romania |
| ‘Tuono’ | P. dulcis | Unknown (~1830) | Italy |
| ‘Vengerka virla’ | P. domestica | Unknown | Russia |
| ‘Vörös nagygyümölcsű’ | P. domestica | Landrace | Hungary |
| ‘Wagenheim’ | P. domestica | Unknown (1837) | Germany |
Disclaimer/Publisher’s Note: The statements, opinions and data contained in all publications are solely those of the individual author(s) and contributor(s) and not of MDPI and/or the editor(s). MDPI and/or the editor(s) disclaim responsibility for any injury to people or property resulting from any ideas, methods, instructions or products referred to in the content. |
© 2025 by the authors. Licensee MDPI, Basel, Switzerland. This article is an open access article distributed under the terms and conditions of the Creative Commons Attribution (CC BY) license (https://creativecommons.org/licenses/by/4.0/).
Share and Cite
Ivanovska, B.; Onlamun, T.; Halász, J.; Hegedűs, A. The Combination of Start-Codon-Targeted (SCoT) and Falling Stone (FaSt) Transposon-Specific Primers Provides an Efficient Marker Strategy for Prunus Species. Int. J. Mol. Sci. 2025, 26, 3972. https://doi.org/10.3390/ijms26093972
Ivanovska B, Onlamun T, Halász J, Hegedűs A. The Combination of Start-Codon-Targeted (SCoT) and Falling Stone (FaSt) Transposon-Specific Primers Provides an Efficient Marker Strategy for Prunus Species. International Journal of Molecular Sciences. 2025; 26(9):3972. https://doi.org/10.3390/ijms26093972
Chicago/Turabian StyleIvanovska, Beti, Thanyarat Onlamun, Júlia Halász, and Attila Hegedűs. 2025. "The Combination of Start-Codon-Targeted (SCoT) and Falling Stone (FaSt) Transposon-Specific Primers Provides an Efficient Marker Strategy for Prunus Species" International Journal of Molecular Sciences 26, no. 9: 3972. https://doi.org/10.3390/ijms26093972
APA StyleIvanovska, B., Onlamun, T., Halász, J., & Hegedűs, A. (2025). The Combination of Start-Codon-Targeted (SCoT) and Falling Stone (FaSt) Transposon-Specific Primers Provides an Efficient Marker Strategy for Prunus Species. International Journal of Molecular Sciences, 26(9), 3972. https://doi.org/10.3390/ijms26093972

