Analysis of FBN1, TGFβ2, TGFβR1 and TGFβR2 mRNA as Key Molecular Mechanisms in the Damage of Aortic Aneurysm and Dissection in Marfan Syndrome
Abstract
1. Introduction
2. Results
2.1. Characteristics of the Study Population
2.2. Surgical Characteristics
2.3. FBN1, TGFβR1, TGβR2 and TGFβ2 mRNA Level Expression
3. Discussion
4. Materials and Methods
4.1. Patient Population
4.2. Surgical Procedure
4.3. Blood Samples
4.4. Laboratory Analysis
4.5. Aortic Samples
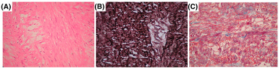
4.6. Histology
4.7. Sample Pulverization
4.8. mRNA Extraction and Quantification by RT-qPCR
4.9. Statistical Analysis
4.10. Ethical Statement
4.11. Data Availability
5. Conclusions
6. Limitations
Author Contributions
Funding
Institutional Review Board Statement
Informed Consent Statement
Data Availability Statement
Acknowledgments
Conflicts of Interest
References
- Dietz, H.C.; Cutting, C.R.; Pyeritz, R.E.; Maslen, C.L.; Sakai, L.Y.; Corson, G.M.; Puffenberger, E.G.; Hamosh, A.; Nanthakumar, E.J.; Curristin, S.M.; et al. Marfan syndrome caused by a recurrent de novo missense mutation in the fibrillin gene. Nature 1991, 352, 337–339. [Google Scholar] [CrossRef] [PubMed]
- Faivre, L.C.B.G.; Collod-Beroud, G.; Loeys, B.L.; Child, A.; Binquet, C.; Gautier, E.; Callewaert, B.; Arbustini, E.; Mayer, K.; Arslan-Kirchner, M.; et al. Effect of Mutation Type and Location on Clinical Outcome in 1,013 Probands with Marfan Syndrome or Related Phenotypes and FBN1 Mutations: An International Study. Am. J. Hum. Genet. 2007, 81, 454–466. [Google Scholar] [CrossRef] [PubMed]
- Neptune, E.R.; Frischmeyer, P.A.; Arking, D.E.; Myers, L.; Bunton, T.E.; Gayraud, B.; Ramirez, F.; Sakai, L.Y.; Dietz, H.C. Dysregulation of TGF-β activation contributes to pathogenesis in Marfan syndrome. Nat. Genet. 2003, 33, 407–411. [Google Scholar] [CrossRef] [PubMed]
- Loeys, B.L.; Chen, J.; Neptune, E.R.; Judge, D.P.; Podowski, M.; Holm, T.; Meyers, J.; Leitch, C.C.; Katsanis, N.; Sharifi, N.; et al. A syndrome of altered cardiovascular, craniofacial, neurocognitive and skeletal development caused by mutations in TGFBR1 or TGFBR2. Nat. Genet. 2005, 37, 275–281. [Google Scholar] [CrossRef]
- Van Hemelrijk, C.; Renard, M.; Loeys, B. The Loeys–Dietz syndrome: An update for the clinician. Curr. Opin. Cardiol. 2010, 25, 546–551. [Google Scholar] [CrossRef]
- Takeda, N.; Hara, H.; Fujiwara, T.; Kanaya, T.; Maemura, S.; Komuro, I. TGF-β Signaling-Related Genes and Thoracic Aortic Aneurysms and Dissections. Int. J. Mol. Sci. 2018, 19, 2125. [Google Scholar] [CrossRef]
- Mizuguchi, T.; Collod-Beroud, G.; Akiyama, T.; Abifadel, M.; Harada, N.; Morisaki, T.; Allard, D.; Varret, M.; Claustres, M.; Morisaki, H.; et al. Heterozygous TGFBR2 mutations in Marfan syndrome. Nat. Genet. 2004, 36, 855–860. [Google Scholar] [CrossRef]
- Fuentevilla-Álvarez, G.; Soto, M.E.; Torres-Paz, Y.E.; Meza-Toledo, S.E.; Vargas-Alarcón, G.; González-Moyotl, N.; Pérez-Torres, I.; Manzano-Pech, L.; Mejia, A.M.; Huesca-Gómez, C.; et al. The usefulness of the genetic panel in the classification and refinement of diagnostic accuracy of Mexican patients with Marfan syndrome and other connective tissue disorders. Biomol. Biomed. 2024, 24, 302–314. [Google Scholar] [CrossRef]
- Yao, X.; Chen, X.; Cottonham, C.; Xu, L. Preferential Utilization of Imp7/8 in Nuclear Import of Smads. J. Biol. Chem. 2008, 283, 22867–22874. [Google Scholar] [CrossRef]
- Pinard, A.; Jones, G.T.; Milewicz, D.M. Genetics of Thoracic and Abdominal Aortic Diseases. Circ. Res. 2019, 124, 588–606. [Google Scholar] [CrossRef]
- Shi, Y.; Massagué, J. Mechanisms of TGF-β signaling from cell membrane to the nucleus. Cell 2003, 113, 685–700. [Google Scholar] [CrossRef] [PubMed]
- Asano, K.; Cantalupo, A.; Sedes, L.; Ramirez, F. Pathophysiology and Therapeutics of Thoracic Aortic Aneurysm in Marfan Syndrome. Biomolecules 2022, 12, 128. [Google Scholar] [CrossRef] [PubMed]
- Iakoubova, O.A.; Tong, C.H.; Rowland, C.M.; Luke, M.M.; Garcia, V.E.; Catanese, J.J.; Moomiaie, R.M.; Sotonyi, P.; Ascady, G.; Nikas, D.; et al. Genetic variants in FBN-1 and risk for thoracic aortic aneurysm and dissection. PLoS ONE 2014, 9, e91437. [Google Scholar] [CrossRef]
- Zhang, Y.E. Non-Smad Signaling Pathways of the TGF-β Family. Cold Spring Harb. Perspect. Biol. 2017, 9, a022129. [Google Scholar] [CrossRef]
- Jones, J.A.; Spinale, F.G.; Ikonomidis, J.S. Transforming growth factor-beta signaling in thoracic aortic aneurysm development: A paradox in pathogenesis. J. Vasc. Res. 2009, 46, 119–137. [Google Scholar] [CrossRef]
- Singh, K.K.; Rommel, K.; Mishra, A.; Karck, M.; Haverich, A.; Schmidtke, J.; Arslan-Kirchner, M. TGFBR1 and TGFBR2 mutations in patients with features of Marfan syndrome and Loeys-Dietz syndrome. Hum. Mutat. 2006, 27, 770–777. [Google Scholar] [CrossRef]
- Feng, X.H.; Derynck, R. Specificity and versatility in tgf-beta signaling through Smads. Annu. Rev. Cell Dev. Biol. 2005, 21, 659–693. [Google Scholar] [CrossRef]
- Suszko, M.I.; Woodruff, T.K. Cell-specificity of transforming growth factor-beta response is dictated by receptor bioavailability. J. Mol. Endocrinol. 2006, 36, 591–600. [Google Scholar] [CrossRef]
- López-Casillas, F.; Payne, H.M.; Andres, J.L.; Massagué, J. Betaglycan can act as a dual modulator of TGF-beta access to signaling receptors: Mapping of ligand binding and GAG attachment sites. J. Cell Biol. 1994, 124, 557–568. [Google Scholar] [CrossRef]
- Wang, X.F.; Lin, H.Y.; Ng-Eaton, E.; Downward, J.; Lodish, H.F.; Weinberg, R.A. Expression cloning and characterization of the TGF-beta type III receptor. Cell 1991, 67, 797–805. [Google Scholar] [CrossRef]
- Xu, L. Regulation of Smad activities. Biochim. Biophys. Acta 2006, 1759, 503–513. [Google Scholar] [CrossRef] [PubMed]
- Massagué, J. How cells read TGF-beta signals. Nat. Rev. Mol. Cell Biol. 2000, 1, 169–178. [Google Scholar] [CrossRef] [PubMed]
- Moustakas, A.; Heldin, C.H. Non-Smad TGF-beta signals. J. Cell Sci. 2005, 118, 3573–3584. [Google Scholar] [CrossRef] [PubMed]
- Gomez, D.; Al Haj Zen, A.; Borges, L.F.; Philippe, M.; Gutierrez, P.S.; Jondeau, G.; Michel, J.B.; Vranckx, R. Syndromic and non-syndromic aneurysms of the human ascending aorta share activation of the Smad2 pathway. J. Pathol. 2009, 218, 131–142. [Google Scholar] [CrossRef]
- Holm, T.M.; Habashi, J.P.; Doyle, J.J.; Bedja, D.; Chen, Y.; Van Erp, C.; Lindsay, M.E.; Kim, D.; Schoenhoff, F.; Cohn, R.D.; et al. Noncanonical TGFβ signaling contributes to aortic aneurysm progression in Marfan syndrome mice. Science 2011, 332, 358–361. [Google Scholar] [CrossRef]
- Coelho, S.G.; Almeida, A.G. Marfan syndrome revisited: From genetics to the clinic. Rev. Port. Cardiol. 2020, 39, 215–226. [Google Scholar] [CrossRef]
- Cohn, R.D.; Van Erp, C.; Habashi, J.P.; Soleimani, A.A.; Klein, E.C.; Lisi, M.T.; Gamradt, M.; Ap Rhys, C.M.; Holm, T.M.; Loeys, B.L.; et al. Angiotensin II type 1 receptor blockade attenuates TGF-beta-induced failure of muscle regeneration in multiple myopathic states. Nat. Med. 2007, 13, 204–210. [Google Scholar] [CrossRef]
- Honjo, Y.; Bian, Y.; Kawakam, K.; Molinolo, A.; Longenecker, G.; Boppana, R.; Larsson, J.; Karlsson, S.; Gutkind, J.S.; Puri, R.K.; et al. TGF-beta receptor I conditional knockout mice develop spontaneous squamous cell carcinoma. Cell Cycle 2007, 6, 1360–1366. [Google Scholar] [CrossRef]
- Li, L.; Huang, J.; Liu, Y. The extracellular matrix glycoprotein fibrillin-1 in health and disease. Front. Cell Dev. Biol. 2024, 11, 1302285. [Google Scholar] [CrossRef]
- Granata, A.; Serrano, F.; Bernard, W.G.; McNamara, M.; Low, L.; Sastry, P.; Sinha, S. An iPSC-derived vascular model of Marfan syndrome identifies key mediators of smooth muscle cell death. Nat. Genet. 2017, 49, 97–109. [Google Scholar] [CrossRef]
- Stark, V.C.; Olfe, J.; Diaz-Gil, D.; von Kodolitsch, Y.; Kozlik-Feldmann, R.; Reincke, J.; Stark, M.; Wiegand, P.; Zeller, T.; Mir, T.S. TGFβ level in healthy and children with Marfan syndrome—Effective reduction under sartan therapy. Front. Pediatr. 2024, 12, 1276215. [Google Scholar] [CrossRef] [PubMed]
- Türk, U.O.; Alioğlu, E.; Nalbantgil, S.; Nart, D. Catastrophic cardiovascular consequences of weight lifting in a family with Marfan syndrome. Turk. Kardiyol. Dern. Ars. 2008, 36, 32–34. [Google Scholar] [PubMed]
- Seim, B.E.; Holt, M.F.; Ratajska, A.; Michelsen, A.; Ringseth, M.M.; Halvorsen, B.E.; Skjelland, M.; Kvitting, J.P.E.; Lundblad, R.; Krohg-Sørensen, K.; et al. Markers of extracellular matrix remodeling and systemic inflammation in patients with heritable thoracic aortic diseases. Front. Cardiovasc. Med. 2022, 9, 1073069. [Google Scholar] [CrossRef]
- Renard, M.; Francis, C.; Ghosh, R.; Scott, A.F.; Witmer, P.D.; Adès, L.C.; Andelfinger, G.U.; Arnaud, P.; Boileau, C.; Callewaert, B.L.; et al. Clinical Validity of Genes for Heritable Thoracic Aortic Aneurysm and Dissection. J. Am. Coll. Cardiol. 2018, 72, 605–615. [Google Scholar] [CrossRef]
- Klopf, J.; Brostjan, C.; Neumayer, C.; Eilenberg, W. Neutrophils as regulators and biomarkers of cardiovascular inflammation in the context of abdominal aortic aneurysms. Biomedicines 2021, 9, 1236. [Google Scholar] [CrossRef]
- Plana, E.; Oto, J.; Medina, P.; Fernández-Pardo, Á.; Miralles, M. Novel contributions of neutrophils in the pathogenesis of abdominal aortic aneurysm, the role of neutrophil extracellular traps: A systematic review. Thromb. Res. 2020, 194, 200–208. [Google Scholar] [CrossRef]
- Quarto, N.; Li, S.; Renda, A.; Longaker, M.T. Exogenous activation of BMP-2 signaling overcomes TGFβ-mediated inhibition of osteogenesis in Marfan embryonic stem cells and Marfan patient-specific induced pluripotent stem cells. Stem Cells 2012, 30, 2709–2719. [Google Scholar] [CrossRef]
- Ikonomidis, J.S.; Jones, J.A.; Barbour, J.R.; Stroud, R.E.; Clark, L.L.; Kaplan, B.S.; Zeeshan, A.; Bavaria, J.E.; Gorman, J.H., III; Spinale, F.G.; et al. Expression of matrix metalloproteinases and endogenous inhibitors within ascending aortic aneurysms of patients with Marfan syndrome. Circulation 2006, 114, I-365–I-370. [Google Scholar] [CrossRef]
- Chung, A.W.Y.; Au Yeung, K.; Sandor, G.G.S.; Judge, D.P.; Dietz, H.C.; Van Breemen, C. Loss of elastic fiber integrity and reduction of vascular smooth muscle contraction resulting from the upregulated activities of matrix metalloproteinase-2 and -9 in the thoracic aortic aneurysm in Marfan syndrome. Circ. Res. 2007, 101, 512–522. [Google Scholar] [CrossRef]
- Levéen, P.; Larsson, J.; Ehinger, M.; Cilio, C.M.; Sundler, M.; Sjöstrand, L.J.; Holmdahl, R.; Karlsson, S. Induced disruption of the transforming growth factor beta type II receptor gene in mice causes a lethal inflammatory disorder that is transplantable. Blood 2002, 100, 560–568. [Google Scholar] [CrossRef]
- Wang, Y.; Panicker, I.S.; Anesi, J.; Sargisson, O.; Atchison, B.; Habenicht, A.J.R. Animal Models, Pathogenesis, and Potential Treatment of Thoracic Aortic Aneurysm. Int. J. Mol. Sci. 2024, 25, 901. [Google Scholar] [CrossRef] [PubMed]
- Wei, H.; Hu, J.H.; Angelov, S.N.; Fox, K.; Yan, J.; Enstrom, R.; Smith, A.; Dichek, D.A. Aortopathy in a Mouse Model of Marfan Syndrome Is Not Mediated by Altered Transforming Growth Factor β Signaling. J. Am. Heart Assoc. 2017, 6, e004968. [Google Scholar] [CrossRef] [PubMed]
- Angelov, S.N.; Zhu, J.; D’Ichek, D.A. New mouse model of abdominal aortic aneurysm put out to expand. Arterioscler. Thromb. Vasc. Biol. 2017, 37, 1990–1993. [Google Scholar] [CrossRef] [PubMed]
- Lareyre, F.; Clément, M.; Raffort, J.; Pohlod, S.; Patel, M.; Esposito, B.; Master, L.; Finigan, A.; Vandestienne, M.; Stergiopulos, N.; et al. TGFβ (transforming growth factor-β) blockade induces a human-like disease in a nondissecting mouse model of abdominal aortic aneurysm. Arterioscler. Thromb. Vasc. Biol. 2017, 37, 2171–2181. [Google Scholar] [CrossRef]
- Wang, Y.; Ait-Oufella, H.; Herbin, O.; Bonnin, P.; Ramkhelawon, B.; Taleb, S.; Huang, J.; Offenstadt, G.; Combadière, C.; Rénia, L.; et al. TGF-beta activity protects against inflammatory aortic aneurysm progression and complications in angiotensin II-infused mice. J. Clin. Investig. 2010, 120, 422–432. [Google Scholar] [CrossRef]
- Rodríguez, J.F.; Ruiz, C.; Doblaré, M.; Holzapfel, G.A. Mechanical stresses in abdominal aortic aneurysms: Influence of diameter, asymmetry, and material anisotropy. J. Biomech. Eng. 2008, 130, 021023. [Google Scholar] [CrossRef]
- Vorp, D.A.; Vande Geest, J.P. Biomechanical determinants of abdominal aortic aneurysm rupture. Arterioscler. Thromb. Vasc. Biol. 2005, 25, 1558–1566. [Google Scholar] [CrossRef]
- Haller, S.J.; Azarbal, A.F.; Rugonyi, S. Predictors of Abdominal Aortic Aneurysm Risks. Bioengineering 2020, 7, 79. [Google Scholar] [CrossRef]
- Goumans, M.J.; ten Dijke, P. TGF-β Signaling in Control of Cardiovascular Function. Cold Spring Harb. Perspect. Biol. 2018, 10, a022210. [Google Scholar] [CrossRef]
- Sakai, L.Y.; Keene, D.R.; Engvall, E. Fibrillin, a new 350-kD glycoprotein, is a component of extracellular microfibrils. J. Cell Biol. 1986, 103, 2499–2509. [Google Scholar] [CrossRef]
- Habashi, J.P.; Judge, D.P.; Holm, T.M.; Cohn, R.D.; Loeys, B.L.; Cooper, T.K.; Myers, L.; Klein, E.C.; Liu, G.; Calvi, C.; et al. Losartan, an AT1 antagonist, prevents aortic aneurysm in a mouse model of Marfan syndrome. Science 2006, 312, 117–121. [Google Scholar] [CrossRef] [PubMed]
- Gallo, E.M.; Loch, D.C.; Habashi, J.P.; Calderon, J.F.; Chen, Y.; Bedja, D.; Van Erp, C.; Gerber, E.E.; Parker, S.J.; Sauls, K.; et al. Angiotensin II-dependent TGF-β signaling contributes to Loeys-Dietz syndrome vascular pathogenesis. J. Clin. Investig. 2014, 124, 448–460. [Google Scholar] [CrossRef] [PubMed]
- Hasham, S.N.; Guo, D.C.; Milewicz, D.M. Genetic basis of thoracic aortic aneurysms and dissections. Curr. Opin. Cardiol. 2002, 17, 677–683. [Google Scholar] [CrossRef] [PubMed]
- Ritelli, M.; Colombi, M. Molecular Genetics and Pathogenesis of Ehlers-Danlos Syndrome and Related Connective Tissue Disorders. Genes 2020, 11, 547. [Google Scholar] [CrossRef]
- Braga, M.; Bhasin, S.; Jasuja, R.; Pervin, S.; Singh, R. Testosterone inhibits transforming growth factor-β signaling during myogenic differentiation and proliferation of mouse satellite cells: Potential role of follistatin in mediating testosterone action. Mol. Cell. Endocrinol. 2012, 350, 39–52. [Google Scholar] [CrossRef]
- Growth, K.A.; Stochholm, K.; Hove, H.; Andersen, N.H.; Gravholt, C.H. Causes of Mortality in the Marfan Syndrome (from a Nationwide Register Study). Am. J. Cardiol. 2018, 122, 1231–1235. [Google Scholar] [CrossRef]
- Yan, J.; Lehsau, A.C.; Sauer, B.; Pieper, B.; Mohamed, S.A.; Members, M.L.C.; Loeys, B.L.; Dietz, H.C.; Van Laer, L.; McCallion, A.S.; et al. Comparison of biomechanical properties in ascending aortic aneurysms of patients with congenital bicuspid aortic valve and Marfan syndrome. Int. J. Cardiol. 2019, 278, 65–69. [Google Scholar] [CrossRef]
- Zúñiga-Muñoz, A.M.; Pérez-Torres, I.; Guarner-Lans, V.; Núñez-Garrido, E.; Espejel, R.V.; Huesca-Gómez, C.; Gamboa-Ávila, R.; Soto, M.E. Glutathione system participation in thoracic aneurysms from patients with Marfan syndrome. Vasa 2017, 46, 177–186. [Google Scholar] [CrossRef]
- Livak, K.J.; Schmittgen, T.D. Analysis of relative gene expression data using real-time quantitative PCR and the 2(-Delta Delta C(T)) Method. Methods 2001, 25, 402–408. [Google Scholar] [CrossRef]


| Total n = 40 | MFS n = 20 | Controls n = 20 | p | |
|---|---|---|---|---|
| Gender | ||||
| Women (n) | 14 | 10 | 4 | NS |
| Men (n) | 26 | 10 | 16 | NS |
| Age (years) | 48 ± 19 | 32 ± 8 | 64 ± 13 | 0.0001 |
| BMI (kg/m2) | 25 ± 4 | 24 ± 4 | 26 ± 5 | NS |
| Laboratories | Median (min–max) | |||
| Hemoglobin (g/dL) | 14 (9–28) | 13 (9–18) | 14 (9–28) | NS |
| Total Cholesterol (mg/dL) | 258 (56–279) | 150 (75–222) | 179 (56–279) | 0.03 |
| HDL-C (mg/dL) | 35 (8–68) | 35 (19–54) | 35 (8–68) | NS |
| LDL-C (mg/dL) | 104 (40–202) | 93 (40–132) | 127 (40–202) | 0.02 |
| Triglycerides (mg/dL) | 101 (41–371) | 92 (41–371) | 111 (80–396) | 0.008 |
| Glucose (mg/dL) | 96 (54–209) | 89 (54–209) | 104 (81–271) | 0.001 |
| Serum Creatinine (mg/dL) | 0.05 (0.6–5.0) | 0.80 (0.6–1.7) | 1.04 (0.7–5.0) | 0.03 |
| LVEF (%) | 55 (15–71) | 54 (18–66) | 58 (15–71) | NS |
| Comorbidities | ||||
| Obesity n (%) | 9 (23) | 5 (25) | 4 (20) | NS |
| SAH n (%) | 19 (48) | 5 (25) | 14 (70) | 0.0001 |
| DMTII n (%) | 10 (25) | 4 (20) | 6 (30) | NS |
| Smoking n (%) | 2 (5) | 0 (0) | 2 (10) | NS |
| Hypothyroidism n (%) | 2 (5) | 0 (0) | 2 (10) | NS |
| Aortic dilation n (%) | 33 (83) | 20 (100) | 13 (65) | 0.001 |
| Atrial fibrillation n (%) | 4 (10) | 1 (5) | 3 (15) | NS |
| Patient | Age | Sex | Ghent Criteria | ||||||
|---|---|---|---|---|---|---|---|---|---|
| 1 | 2 | 3 | 4 | 5 | Total Ghent Criteria | ||||
| FH | EL | AD | Points SS | SS 7/20 | FBN1 | ||||
| 1 | 32 | F | + | − | + | 15 (SWM, FF, PC; PN, DE, ER. HF, MS, SM, M, MVP) | + | TNP | 3 (FH + AD + SS) |
| 2 | 25 | F | + | − | + | 14 (SWM, FF, PC, HF, DE, MS, SM, AS/H) | + | + | 4 (FH + AD + SS + FBN1) |
| 3 | 36 | F | + | − | + | 13 (SWM, FF, PC, MS, ER, MVP) | + | TNP | 3 (FH + AD + SS) |
| 4 | 23 | M | − | − | + | 15 (SWM, PC, HF, RUS/LS, MS, M; MVP) | + | + | 3 (AD + SS + FBN1) |
| 5 | 35 | F | − | + | + | 7 (SWM, RUS/LS, MS, M, MVP) | + | TNP | 3 (EL + AD + SS) |
| 6 | 35 | F | − | − | + | 7 (FF, HF, RUS/LS, S M, MS, MVP) | + | TNP | 2 (AD + SS) |
| 7 | 52 | F | − | − | + | 7 (SWM, FF, HF, MS, SM, M, MVP) | + | TNP | 2 (AD + SS) |
| 8 | 51 | M | − | − | + | 8 (FF, MS, HF, ER, M, MS, DE, MVP) | + | TNP | 2 (AD + SS) |
| 9 | 35 | F | + | + | + | 10 (SWM, FF, PE, HF, DE, MS, MS) | + | TNP | 4 (FH + EL + AD + SS) |
| 10 | 33 | M | − | − | + | 4 (DE, MS, PC) | + | TNP | 2 (AD + SS) |
| 11 | 33 | F | − | − | + | 5 (PE, FF, HF, DE) | − | + | 2 (AD + FBN1) |
| 12 | 21 | F | + | − | + | 5 (PE, FF, DE; ER, MS) | − | + | 3 (FH + AD + FBN1) |
| 13 | 28 | M | − | + | + | 12 (SWM, FF, PE, HF, DE, MS, RUS/LS, ER, MS) | + | TNP | 3 (EL + AD + SS) |
| 14 | 37 | M | + | + | + | 9 (SWM, PE, HF, DEMS, SM) | + | + | 5 (FH + EL + AD + SS + FBN1) |
| 15 | 32 | M | + | + | + | 10 (SWM, FF, HF, DE, RUS/LS, MS, SM) | + | TNP | 4 (FH + EL + AD + SS) |
| 16 | 32 | M | + | − | + | 14 (SWM, FF, PE, HF, DE, RUS/LS, MS, ER, MS, M) | + | TNP | 3 (FH + AD + SS) |
| 17 | 30 | M | − | − | + | 11 (SWM, FF, PE, DE, ER; MS, M, MVP) | + | TNP | 2 (AD + SS) |
| 18 | 33 | M | + | + | + | 17 (SWM, FF, PE, HF, PN, DE, MD, AS/H, ER, MS, M, MVP) | + | TNP | 4 (FH + EL + AD + SS) |
| 19 | 22 | M | + | + | + | 9 (SWM, FF, PC, HF, MS, M, MVP) | + | TNP | 4 (FH + EL + AD + SS) |
| 20 | 51 | F | − | − | + | 7 (SWM, FF, MS, SM, MVP) | + | TNP | 2 (AD + SS) |
| Frequency of systemic score items in patients with Marfan syndrome. | |||||||||
| Total 20 | |||||||||
| Stretch marks n (%) | 19 (95) | ||||||||
| Facial features n (%) | 17 (85) | ||||||||
| Cavus foot n (%) | 14 (70) | ||||||||
| Scoliosis n (%) | 13 (65) | ||||||||
| Reduction in the upper/lower segment n (%) | 11 (55) | ||||||||
| Valve prolapse n (%) | 11 (55) | ||||||||
| Dural ectasia n (%) | 10 (50) | ||||||||
| Myopia n (%) | 10 (50) | ||||||||
| Walker Murdock sign n (%) | 9 (45) | ||||||||
| Pectum excavatum n (%) | 7 (35) | ||||||||
| Pectum carinatum n (%) | 6 (30) | ||||||||
| Steinberg sign n (%) | 5 (25) | ||||||||
| Reduced elbow extension n (%) | 3 (15) | ||||||||
| Pneumothorax n (%) | 2 (10) | ||||||||
| Acetabular protrusion n (%) | 0 (0) | ||||||||
| Total | MFS | Controls | p | |
|---|---|---|---|---|
| Type of surgery | n = 40 | n = 20 | n = 20 | |
| Elective n (%) | 31 (77.5) | 16 (80) | 15 (75) | NS |
| Urgent n (%) | 9 (22.5) | 4 (20) | 5 (25) | NS |
| CSEC (minutes) | 184 (122–440) | 182 (122–352) | 160 (94–440) | NS |
| Clamping time (minutes) | 136 (66–254) | 152 (110–224) | 131 (66–254) | 0.03 |
| Postoperative Survival Duration (days) | 19 (0–116) | − | 16 (0–100) | NS |
| Without aortic dilation or dissection n (%) | 7 (17.5) | 1 (5) | 6 (30) | NS |
| Aortic dilation n (%) | 26 (65) | 17 (85) | 9 (45) | 0.01 |
| Aortic dissection n (%) | 7 (17.5) | 2 (10) | 5 (25) | NS |
| Survivors n (%) | 36 (90) | 20 (100) | 16 (80) | NS |
| They stopped coming to the institution | 9 (22.5) | 7 (35) | 2 (10) | NS |
| Transfer to another institution n (%) | 1 (2.5) | 0 (0) | 1 (5) | NS |
| Death n (%) | 4 (10) | 0 (0) | 4 (20) | 0.05 |
| No | Sex | Age | CEC | ACT | ARD | SVD | STJ | TAscA | TS | D | Surgery |
|---|---|---|---|---|---|---|---|---|---|---|---|
| 1 | F | 32 | No | No | 22 | 44 | 26 | 29 | E | No | Aortic Replacement + Revascularization of Visceral Trunks |
| 2 | F | 25 | 184 | 160 | 23 | 51 | 23 | 28 | E | No | Post-Asc Ao Tube Abdominal Aorta Replacement + Mesenteric and Renal Trunks |
| 3 | F | 36 | 272 | 197 | 22 | 40 | 34 | 28 | E | No | Bentall + Replacement of Arch with 3 Trunks + Packing |
| 4 | M | 23 | 149 | 113 | 43 | 91 | 95 | 30 | E | No | Bentall + CVM INC 30 |
| 5 | F | 35 | 209 | 154 | 41 | 80 | 82 | 93 | E | No | Bentall + REVAS HVSI-CD |
| 6 | F | 35 | 187 | 149 | 44 | 50 | 45 | 53 | E | No | Bentall |
| 7 | F | 42 | 142 | 110 | 32 | 46 | 34 | 32 | E | No | Bentall + Packing |
| 8 | M | 51 | 192 | 145 | 30 | 75 | 60 | 68 | E | No | Bentall + Tricuspid Valve Repair INC 28 + Packing |
| 9 | F | 35 | 22 | 200 | 62 | 60 | 70 | 40 | E | No | Bentall + CVM INC 34 + Tricuspid Valve Repair INC 28 + Left Atrial Redx + Arch Wrapping with Dacron Tube |
| 10 | M | 33 | 151 | 122 | 38 | 44 | 36 | 36 | E | No | Bentall |
| 11 | F | 33 | 162 | 118 | 27 | 48 | 58 | 67 | E | No | Bentall |
| 12 | F | 21 | 210 | 115 | 38 | 57 | 72 | 54 | U | yes | Bentall |
| 13 | M | 28 | 184 | 159 | 36 | 94 | 100 | 107 | E | No | Bentall + CVM INC 30 + REVAS HVSI-CD |
| 14 | M | 37 | 179 | 150 | 37 | 44 | 45 | 38 | E | No | Aortic Valve Resuspension (David Type) |
| 15 | M | 32 | 186 | 136 | 46 | 77 | 77 | 76 | E | No | Bentall |
| 16 | M | 32 | 352 | 205 | 34 | 56 | 50 | 56 | U | yes | Aortic Valve Replacement Bentall and Bono |
| 17 | M | 30 | 290 | 224 | 35 | 82 | 37 | 37 | U | yes | Aortic Valve Replacement Bentall and Bono |
| 18 | M | 33 | 243 | 194 | 43 | 84 | 32 | 29 | U | No | Aortic Valve Replacement Bentall and Bono |
| 19 | M | 22 | 230 | 117 | 39 | 50 | 34 | 30 | E | No | David |
| 20 | F | 53 | 440 | 164 | 26 | 38 | 43 | 20 | E | No | Bentall + Revascularization of Supra-Aortic Trunks + Elephant Trunk + Packing |
| Diameters | Marfan | Control | p |
|---|---|---|---|
| Aortic root | 37.55 ± 7.5 | 30.8 ± 6.1 | 0.004 |
| Sinus of Valsalva | 61.3 ± 20.9 | 38.4 ± 5.2 | 0.0001 |
| Sinotubular junction | 57.1 ± 21.4 | 38.2 ± 9.9 | 0.0001 |
| Ascending aorta | 58.8 ± 24.3 | 47.4 ± 15.5 | 0.08 |
| With Dilatation Aneurysm | With Dissection | |||||
|---|---|---|---|---|---|---|
| mRNA | Controls n = 8 | MFS n = 16 | p1 | Controls n = 3 | MFS n = 4 | p2 |
| FBN1 | 33.04 (18.5–98.2) | 34.5 (11–143.2) | NS | 37.2 (25.1–79) | 79 (48.1–110.1) | 0.03 |
| TGFβR1 | 60.6 (0.57–177.2) | 35.3 (0.17–47.5) | NS | 52.5 (6.8–65.8) | 70.6 (30.1–111.1) | NS |
| TGFβR2 | 96.3 (0.05–282.02) | 4 (0.40–41.3) | 0.05 | 83.5 (71.8–135.9) | 5.4 (3.6–7.2) | NS |
| TGFβ2 | 31.20 (1.12–35) | 22.30 (5.60–36.86) | NS | 44.29 (25.85–85.36) | 12.17 (6.54–24.70) | 0.02 |
| Aortic Segment Site | FBN1 | TGFβR1 | TGFβR2 | TGFβ2 | ||||
|---|---|---|---|---|---|---|---|---|
| Marfan | r | p | r | p | r | p | r | p |
| Aortic root | 0.02 | 0.92 | 0.02 | 0.92 | 0.11 | 0.64 | −0.03 | 0.87 |
| Sinus of Valsalva | 0.39 | 0.09 | 0.34 | 0.14 | 0.18 | 0.44 | 0.02 | 0.95 |
| Sinotubular junction | 0.42 | 0.07 | 0.22 | 0.35 | 0.02 | 0.90 | 0.44 | 0.05 |
| Ascending aorta | 0.07 | 0.74 | 0.42 | 0.07 | 0.14 | 0.55 | 0.53 | 0.01 |
| Control | r | p | r | p | r | p | r | p |
| Aortic root | −0.20 | 0.52 | 0.21 | 0.91 | 0.33 | 0.28 | 0.62 | 0.004 |
| Sinus of Valsalva | 0.36 | 1.0 | 0.21 | 0.50 | 0.38 | 0.22 | −0.46 | 0.039 |
| Sinotubular junction | 0.22 | 0.48 | 0.64 | 0.02 | 0.01 | 0.96 | 0.03 | 0.85 |
| Ascending aorta | 0.01 | 0.95 | 0.81 | 0.001 | 0.16 | 1.0 | 0.008 | 0.92 |
| mRNA | Controls n = 20 | MFS-Variants n = 5 | MFS-TNP n = 15 | p1 | p2 | p3 |
|---|---|---|---|---|---|---|
| FBN1 | 29.53 (3.20–96.20) | 33.86 (19–112.8) | 29.08 (1.43–143.2) | 0.27 | 0.75 | 0.45 |
| TGFβR1 | 48.82 (0.10–347.5) | 1.12 (0.25–61.79) | 17.30 (0.7–78.79) | 0.22 | 0.27 | 0.71 |
| TGFβR2 | 67.86 (0.05–282.02) | 2.03 (0.03–3.61) | 4.03 (0.34–25.62) | 0.02 | 0.01 | 0.16 |
| TGFβ2 | 33.68 (1.12–85.36) | 9.63 (5.60–13.67) | 22.30 (6.54–36.86) | 0.07 | 0.08 | 0.23 |
Disclaimer/Publisher’s Note: The statements, opinions and data contained in all publications are solely those of the individual author(s) and contributor(s) and not of MDPI and/or the editor(s). MDPI and/or the editor(s) disclaim responsibility for any injury to people or property resulting from any ideas, methods, instructions or products referred to in the content. |
© 2025 by the authors. Licensee MDPI, Basel, Switzerland. This article is an open access article distributed under the terms and conditions of the Creative Commons Attribution (CC BY) license (https://creativecommons.org/licenses/by/4.0/).
Share and Cite
Soto, M.E.; Rodríguez-Brito, M.; Pérez-Torres, I.; Herrera-Alarcon, V.; Martínez-Hernández, H.; Hernández, I.; Castrejón-Téllez, V.; Peña-Ocaña, B.A.; Alvarez-Leon, E.; Manzano-Pech, L.; et al. Analysis of FBN1, TGFβ2, TGFβR1 and TGFβR2 mRNA as Key Molecular Mechanisms in the Damage of Aortic Aneurysm and Dissection in Marfan Syndrome. Int. J. Mol. Sci. 2025, 26, 3067. https://doi.org/10.3390/ijms26073067
Soto ME, Rodríguez-Brito M, Pérez-Torres I, Herrera-Alarcon V, Martínez-Hernández H, Hernández I, Castrejón-Téllez V, Peña-Ocaña BA, Alvarez-Leon E, Manzano-Pech L, et al. Analysis of FBN1, TGFβ2, TGFβR1 and TGFβR2 mRNA as Key Molecular Mechanisms in the Damage of Aortic Aneurysm and Dissection in Marfan Syndrome. International Journal of Molecular Sciences. 2025; 26(7):3067. https://doi.org/10.3390/ijms26073067
Chicago/Turabian StyleSoto, María Elena, Myrlene Rodríguez-Brito, Israel Pérez-Torres, Valentín Herrera-Alarcon, Humberto Martínez-Hernández, Iván Hernández, Vicente Castrejón-Téllez, Betsy Anaid Peña-Ocaña, Edith Alvarez-Leon, Linaloe Manzano-Pech, and et al. 2025. "Analysis of FBN1, TGFβ2, TGFβR1 and TGFβR2 mRNA as Key Molecular Mechanisms in the Damage of Aortic Aneurysm and Dissection in Marfan Syndrome" International Journal of Molecular Sciences 26, no. 7: 3067. https://doi.org/10.3390/ijms26073067
APA StyleSoto, M. E., Rodríguez-Brito, M., Pérez-Torres, I., Herrera-Alarcon, V., Martínez-Hernández, H., Hernández, I., Castrejón-Téllez, V., Peña-Ocaña, B. A., Alvarez-Leon, E., Manzano-Pech, L., Gamboa, R., Fuentevilla-Alvarez, G., & Huesca-Gómez, C. (2025). Analysis of FBN1, TGFβ2, TGFβR1 and TGFβR2 mRNA as Key Molecular Mechanisms in the Damage of Aortic Aneurysm and Dissection in Marfan Syndrome. International Journal of Molecular Sciences, 26(7), 3067. https://doi.org/10.3390/ijms26073067

