Effects of Exercises of Different Intensities on Bone Microstructure and Cardiovascular Risk Factors in Ovariectomized Mice
Abstract
1. Introduction
2. Results
2.1. Body Weight and Uterus Weight
2.2. Serum E2, cOCN, and ucOcn Level
2.3. Lipid Parameters, Blood Pressure, and Blood Vessel Morphology
2.4. Microstructure of the Distal Femur
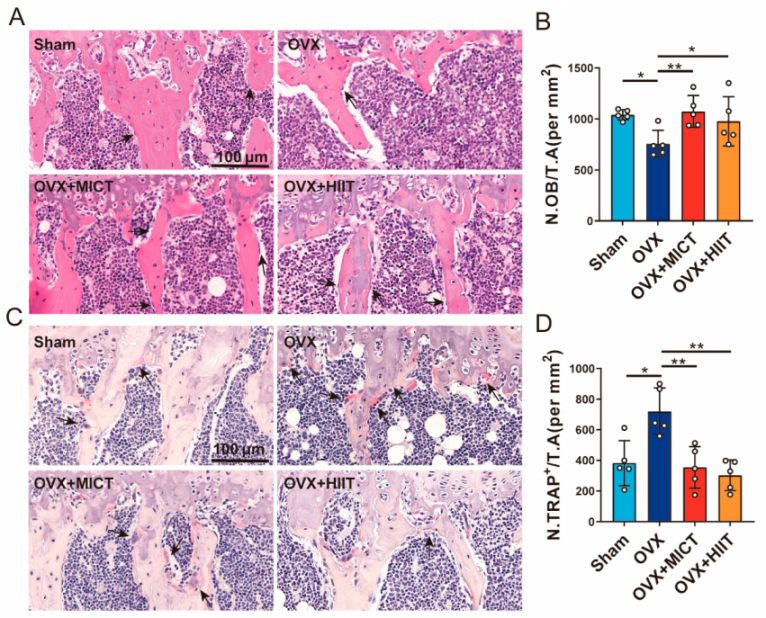
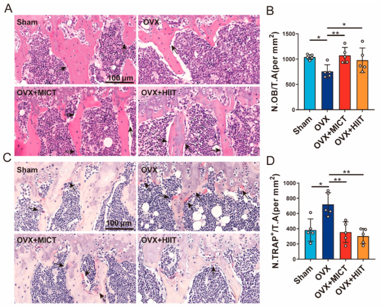
2.5. The Number of Osteoblasts and Osteoclasts in the Tibia
3. Discussion
4. Materials and Methods
4.1. Animals
4.2. Ovariectomy
4.3. Exercise Protocols
4.4. Blood Pressure Measurement
4.5. Serum Analysis
4.6. Morphometric Analysis
4.7. Micro-CT Analysis
4.8. Statistical Analysis
5. Conclusions
Author Contributions
Funding
Institutional Review Board Statement
Informed Consent Statement
Data Availability Statement
Conflicts of Interest
References
- Kochanek, K.D.; Murphy, S.L.; Xu, J.; Tejada-Vera, B. Deaths: Final Data for 2014. Natl. Vital. Stat. Rep. 2016, 65, 1–122. [Google Scholar]
- El Khoudary, S.R.; Aggarwal, B.; Beckie, T.M.; Hodis, H.N.; Johnson, A.E.; Langer, R.D.; Limacher, M.C.; Manson, J.E.; Stefanick, M.L.; Allison, M.A.; et al. Menopause Transition and Cardiovascular Disease Risk: Implications for Timing of Early Prevention: A Scientific Statement from the American Heart Association. Circulation 2020, 142, e506–e532. [Google Scholar] [CrossRef] [PubMed]
- Expert Panel on Detection, Evaluation, and Treatment of High Blood Cholesterol in Adults. Executive Summary of The Third Report of The National Cholesterol Education Program (NCEP) Expert Panel on Detection, Evaluation, And Treatment of High Blood Cholesterol In Adults (Adult Treatment Panel III). JAMA 2001, 285, 2486–2497. [Google Scholar] [CrossRef]
- Zhu, D.; Li, X.; Macrae, V.E.; Simoncini, T.; Fu, X. Extragonadal Effects of Follicle-Stimulating Hormone on Osteoporosis and Cardiovascular Disease in Women during Menopausal Transition. Trends Endocrinol. Metab. 2018, 29, 571–580. [Google Scholar] [CrossRef] [PubMed]
- Farhat, G.N.; Strotmeyer, E.S.; Newman, A.B.; Sutton-Tyrrell, K.; Bauer, D.C.; Harris, T.; Johnson, K.C.; Taaffe, D.R.; Cauley, J.A. Volumetric and areal bone mineral density measures are associated with cardiovascular disease in older men and women: The health, aging, and body composition study. Calcif. Tissue Int. 2006, 79, 102–111. [Google Scholar] [CrossRef]
- Farhat, G.N.; Cauley, J.A. The link between osteoporosis and cardiovascular disease. Clin. Cases Miner. Bone Metab. 2008, 5, 19–34. [Google Scholar]
- van der Klift, M.; Pols, H.A.; Hak, A.E.; Witteman, J.C.; Hofman, A.; de Laet, C.E. Bone mineral density and the risk of peripheral arterial disease: The Rotterdam Study. Calcif. Tissue Int. 2002, 70, 443–449. [Google Scholar] [CrossRef]
- Sumino, H.; Ichikawa, S.; Kasama, S.; Takahashi, T.; Sakamoto, H.; Kumakura, H.; Takayama, Y.; Kanda, T.; Murakami, M.; Kurabayashi, M. Relationship between brachial arterial endothelial function and lumbar spine bone mineral density in postmenopausal women. Circ. J. 2007, 71, 1555–1559. [Google Scholar] [CrossRef]
- Cooper, C.; Campion, G.; Melton, L.J. 3rd. Hip fractures in the elderly: A world-wide projection. Osteoporos. Int. 1992, 2, 285–289. [Google Scholar] [CrossRef] [PubMed]
- El Khoudary, S.R. Gaps, limitations and new insights on endogenous estrogen and follicle stimulating hormone as related to risk of cardiovascular disease in women traversing the menopause: A narrative review. Maturitas 2017, 104, 44–53. [Google Scholar] [CrossRef]
- Mehta, J.M.; Manson, J.E. The menopausal transition period and cardiovascular risk. Nat. Rev. Cardiol. 2024, 21, 203–211. [Google Scholar] [CrossRef]
- Asikainen, T.M.; Kukkonen-Harjula, K.; Miilunpalo, S. Exercise for health for early postmenopausal women: A systematic review of randomised controlled trials. Sports Med. 2004, 34, 753–778. [Google Scholar] [CrossRef]
- Febbraio, M.A. Exercise metabolism in 2016: Health benefits of exercise—More than meets the eye! Nat. Rev. Endocrinol. 2017, 13, 72–74. [Google Scholar] [CrossRef] [PubMed]
- Tacey, A.; Qaradakhi, T.; Brennan-Speranza, T.; Hayes, A.; Zulli, A.; Levinger, I. Potential Role for Osteocalcin in the Development of Atherosclerosis and Blood Vessel Disease. Nutrients 2018, 10, 1426. [Google Scholar] [CrossRef] [PubMed]
- Karsenty, G. Update on the Biology of Osteocalcin. Endocr. Pract. 2017, 23, 1270–1274. [Google Scholar] [CrossRef] [PubMed]
- Salari, P.; Keshtkar, A.; Shirani, S.; Mounesan, L. Coronary Artery Calcium Score and Bone Metabolism: A Pilot Study in Postmenopausal Women. J. Bone Metab. 2017, 24, 15–21. [Google Scholar] [CrossRef][Green Version]
- Ling, Y.; Wang, Z.; Wu, B.; Gao, X. Association of bone metabolism markers with coronary atherosclerosis and coronary artery disease in postmenopausal women. J. Bone Miner. Metab. 2018, 36, 352–363. [Google Scholar] [CrossRef]
- Sophocleous, A.; Idris, A.I. Rodent models of osteoporosis. Bonekey Rep. 2014, 10, 614. [Google Scholar] [CrossRef] [PubMed]
- Souza, V.R.; Mendes, E.; Casaro, M.; Antiorio, A.T.F.B.; Oliveira, F.A.; Ferreira, C.M. Description of Ovariectomy Protocol in Mice. Methods Mol. Biol. 2018, 1916, 303–309. [Google Scholar]
- McNeil, M.A.; Merriam, S.B. Menopause. Ann. Intern. Med. 2021, 174, Itc97–Itc112. [Google Scholar] [CrossRef]
- Lindsay, R. The menopause and osteoporosis. Obstet. Gynecol. 1996, 87 (Suppl. S2), 16s–19s. [Google Scholar] [CrossRef] [PubMed]
- Lisabeth, L.; Bushnell, C. Stroke risk in women: The role of menopause and hormone therapy. Lancet Neurol. 2012, 11, 82–91. [Google Scholar] [CrossRef] [PubMed]
- Nappi, R.E.; Chedraui, P.; Lambrinoudaki, I.; Simoncini, T. Menopause: A cardiometabolic transition. Lancet Diabetes Endocrinol. 2022, 10, 442–456. [Google Scholar] [CrossRef] [PubMed]
- Wong, N.D.; Sattar, N. Cardiovascular risk in diabetes mellitus: Epidemiology, assessment and prevention. Nat. Rev. Cardiol. 2023, 20, 685–695. [Google Scholar] [CrossRef]
- World Health Organization. Global Health Risks: Mortality and Burden of Disease Attributable to Selected Major Risks; World Health Organization: Geneva, Switzerland, 2009. [Google Scholar]
- Pescatello, L.S.; Franklin, B.A.; Fagard, R.; Farquhar, W.B.; Kelley, G.A.; Ray, C.A. American College of Sports Medicine position stand. Exercise and hypertension. Med. Sci. Sports Exerc. 2004, 36, 533–553. [Google Scholar] [CrossRef] [PubMed]
- Grundy, S.M. Cholesterol and coronary heart disease: A new era. JAMA 1986, 256, 2849–2858. [Google Scholar] [CrossRef] [PubMed]
- Skinner, E.R. Lipid metabolism. Curr. Opin. Lipidol. 1996, 7, U119–U124. [Google Scholar] [CrossRef]
- Lee, J.S.; Chang, P.Y.; Zhang, Y.; Kizer, J.R.; Best, L.G.; Howard, B.V. Triglyceride and HDL-C Dyslipidemia and Risks of Coronary Heart Disease and Ischemic Stroke by Glycemic Dysregulation Status: The Strong Heart Study. Diabetes Care 2017, 40, 529–537. [Google Scholar] [CrossRef]
- Simpson, K.A.; Mavros, Y.; Kay, S.; Meiklejohn, J.; de Vos, N.; Wang, Y.; Guo, Q.; Zhao, R.; Climstein, M.; Baune, B.T.; et al. Graded Resistance Exercise And Type 2 Diabetes in Older adults (The GREAT2DO study): Methods and baseline cohort characteristics of a randomized controlled trial. Trials 2015, 16, 512. [Google Scholar] [CrossRef]
- Bittner, V. Menopause, age, and cardiovascular risk: A complex relationship. J. Am. Coll. Cardiol. 2009, 54, 2374–2375. [Google Scholar] [CrossRef]
- Matthews, K.A.; Crawford, S.L.; Chae, C.U.; Everson-Rose, S.A.; Sowers, M.F.; Sternfeld, B.; Sutton-Tyrrell, K. Are changes in cardiovascular disease risk factors in midlife women due to chronological aging or to the menopausal transition? J. Am. Coll. Cardiol. 2009, 54, 2366–2373. [Google Scholar] [CrossRef]
- Lee, J.; Cho, H.S.; Kim, D.Y.; Cho, J.Y.; Chung, J.S.; Lee, H.K.; Seong, N.-H.; Kim, W.K. Combined effects of exercise and soy isoflavone diet on paraoxonase, nitric oxide and aortic apoptosis in ovariectomized rats. Appetite 2012, 58, 462–469. [Google Scholar] [CrossRef] [PubMed]
- Opie, L.H. Lipid metabolism of the heart and arteries in relation to ischaemic heart-disease. Lancet 1973, 1, 192–195. [Google Scholar] [CrossRef]
- Karliner, J.S.; Brown, J.H. Lipid signalling in cardiovascular pathophysiology. Cardiovasc. Res. 2009, 82, 171–174. [Google Scholar] [CrossRef] [PubMed][Green Version]
- Cao, J.J.; Gregoire, B.R. A high-fat diet increases body weight and circulating estradiol concentrations but does not improve bone structural properties in ovariectomized mice. Nutr. Res. 2016, 36, 320–327. [Google Scholar] [CrossRef] [PubMed]
- Pimenta, M.; Bringhenti, I.; Souza-Mello, V.; Dos Santos Mendes, I.K.; Aguila, M.B.; Mandarim-de-Lacerda, C.A. High-intensity interval training beneficial effects on body mass, blood pressure, and oxidative stress in diet-induced obesity in ovariectomized mice. Life Sci. 2015, 139, 75–82. [Google Scholar] [CrossRef] [PubMed]
- Elagizi, A.; Kachur, S.; Carbone, S.; Lavie, C.J.; Blair, S.N.A. Review of Obesity, Physical Activity, and Cardiovascular Disease. Curr. Obes. Rep. 2020, 9, 571–581. [Google Scholar] [CrossRef]
- Blundell, J.E.; Gibbons, C.; Caudwell, P.; Finlayson, G.; Hopkins, M. Appetite control and energy balance: Impact of exercise. Obes. Rev. 2015, 16 (Suppl. S1), 67–76. [Google Scholar] [CrossRef] [PubMed]
- Boisseau, N.; Delamarche, P. Metabolic and hormonal responses to exercise in children and adolescents. Sports Med. 2000, 30, 405–422. [Google Scholar] [CrossRef] [PubMed]
- Kang, Y.; Yao, J.; Gao, X.; Zhong, H.; Song, Y.; Di, X.; Feng, Z.; Xie, L.; Zhang, J. Exercise ameliorates anxious behavior and promotes neuroprotection through osteocalcin in VCD-induced menopausal mice. CNS Neurosci. Ther. 2023, 29, 3980–3994. [Google Scholar] [CrossRef] [PubMed]
- Li, L.; Chen, X.; Lv, S.; Dong, M.; Zhang, L.; Tu, J.; Yang, J.; Zhang, L.; Song, Y.; Xu, L.; et al. Influence of exercise on bone remodeling-related hormones and cytokines in ovariectomized rats: A model of postmenopausal osteoporosis. PLoS ONE 2014, 9, e112845. [Google Scholar] [CrossRef]
- Wieczorek-Baranowska, A.; Nowak, A.; Pilaczyńska-Szcześniak, Ł. Osteocalcin and glucose metabolism in postmenopausal women subjected to aerobic training program for 8 weeks. Metabolism 2012, 61, 542–545. [Google Scholar] [CrossRef] [PubMed]
- Winberg, J.; Rentz, J.; Sugamori, K.; Swardfager, W.; Mitchell, J. Sex Differences in Metabolic and Behavioral Responses to Exercise but Not Exogenous Osteocalcin Treatment in Mice Fed a High Fat Diet. Front. Physiol. 2022, 13, 831056. [Google Scholar] [CrossRef]
- Moriishi, T.; Ozasa, R.; Ishimoto, T.; Nakano, T.; Hasegawa, T.; Miyazaki, T.; Liu, W.; Fukuyama, R.; Wang, Y.; Komori, H.; et al. Osteocalcin is necessary for the alignment of apatite crystallites, but not glucose metabolism, testosterone synthesis, or muscle mass. PLoS Genet. 2020, 16, e1008586. [Google Scholar] [CrossRef]
- Kim, Y.S.; Nam, J.S.; Yeo, D.W.; Kim, K.R.; Suh, S.H.; Ahn, C.W. The effects of aerobic exercise training on serum osteocalcin, adipocytokines and insulin resistance on obese young males. Clin. Endocrinol. 2015, 82, 686–694. [Google Scholar] [CrossRef]
- Bouxsein, M.L.; Boyd, S.K.; Christiansen, B.A.; Guldberg, R.E.; Jepsen, K.J.; Müller, R. Guidelines for assessment of bone microstructure in rodents using micro-computed tomography. J. Bone Miner. Res. 2010, 25, 1468–1486. [Google Scholar] [CrossRef]
- Michel, B.A.; Bloch, D.A.; Fries, J.F. Weight-bearing exercise, overexercise, and lumbar bone density over age 50 years. Arch. Intern. Med. 1989, 149, 2325–2329. [Google Scholar] [CrossRef] [PubMed]
- Peng, Z.Q.; Väänänen, H.K.; Tuukkanen, J. Ovariectomy-induced bone loss can be affected by different intensities of treadmill running exercise in rats. Calcif. Tissue Int. 1997, 60, 441–448. [Google Scholar] [CrossRef]
- Hauschka, P.V.; Lian, J.B.; Gallop, P.M. Direct identification of the calcium-binding amino acid, gamma-carboxyglutamate, in mineralized tissue. Proc. Natl. Acad. Sci. USA 1975, 72, 3925–3929. [Google Scholar] [CrossRef] [PubMed]
- Neve, A.; Corrado, A.; Cantatore, F.P. Cantatore, Osteoblast physiology in normal and pathological conditions. Cell Tissue Res. 2011, 343, 289–302. [Google Scholar] [CrossRef] [PubMed]
- Booth, S.L.; Centi, A.; Smith, S.R.; Gundberg, C. The role of osteocalcin in human glucose metabolism: Marker or mediator? Nat. Rev. Endocrinol. 2013, 9, 43–55. [Google Scholar] [CrossRef]
- Martinez-Huenchullan, S.F.; Maharjan, B.R.; Williams, P.F.; Tam, C.S.; McLennan, S.V.; Twigg, S.M. Differential metabolic effects of constant moderate versus high intensity interval training in high-fat fed mice: Possible role of muscle adiponectin. Physiol. Rep. 2018, 6, e13599. [Google Scholar] [CrossRef] [PubMed]





Disclaimer/Publisher’s Note: The statements, opinions and data contained in all publications are solely those of the individual author(s) and contributor(s) and not of MDPI and/or the editor(s). MDPI and/or the editor(s) disclaim responsibility for any injury to people or property resulting from any ideas, methods, instructions or products referred to in the content. |
© 2025 by the authors. Licensee MDPI, Basel, Switzerland. This article is an open access article distributed under the terms and conditions of the Creative Commons Attribution (CC BY) license (https://creativecommons.org/licenses/by/4.0/).
Share and Cite
Wang, X.; Kang, Y.; Yao, J.; Gao, X.; Feng, Z.; Song, Y.; Di, X.; Zhang, Q.; Zhang, J. Effects of Exercises of Different Intensities on Bone Microstructure and Cardiovascular Risk Factors in Ovariectomized Mice. Int. J. Mol. Sci. 2025, 26, 1005. https://doi.org/10.3390/ijms26031005
Wang X, Kang Y, Yao J, Gao X, Feng Z, Song Y, Di X, Zhang Q, Zhang J. Effects of Exercises of Different Intensities on Bone Microstructure and Cardiovascular Risk Factors in Ovariectomized Mice. International Journal of Molecular Sciences. 2025; 26(3):1005. https://doi.org/10.3390/ijms26031005
Chicago/Turabian StyleWang, Xiaoni, Yiting Kang, Jie Yao, Xiaohang Gao, Zeguo Feng, Yifei Song, Xiaohui Di, Qianyu Zhang, and Jianbao Zhang. 2025. "Effects of Exercises of Different Intensities on Bone Microstructure and Cardiovascular Risk Factors in Ovariectomized Mice" International Journal of Molecular Sciences 26, no. 3: 1005. https://doi.org/10.3390/ijms26031005
APA StyleWang, X., Kang, Y., Yao, J., Gao, X., Feng, Z., Song, Y., Di, X., Zhang, Q., & Zhang, J. (2025). Effects of Exercises of Different Intensities on Bone Microstructure and Cardiovascular Risk Factors in Ovariectomized Mice. International Journal of Molecular Sciences, 26(3), 1005. https://doi.org/10.3390/ijms26031005
