2D Chitosan-Based Films: A Proteomic Mass Spectrometry Study of Chondrocyte Phenotype as a Function of Cell–Biomaterial Interactions
Abstract
1. Introduction
2. Results
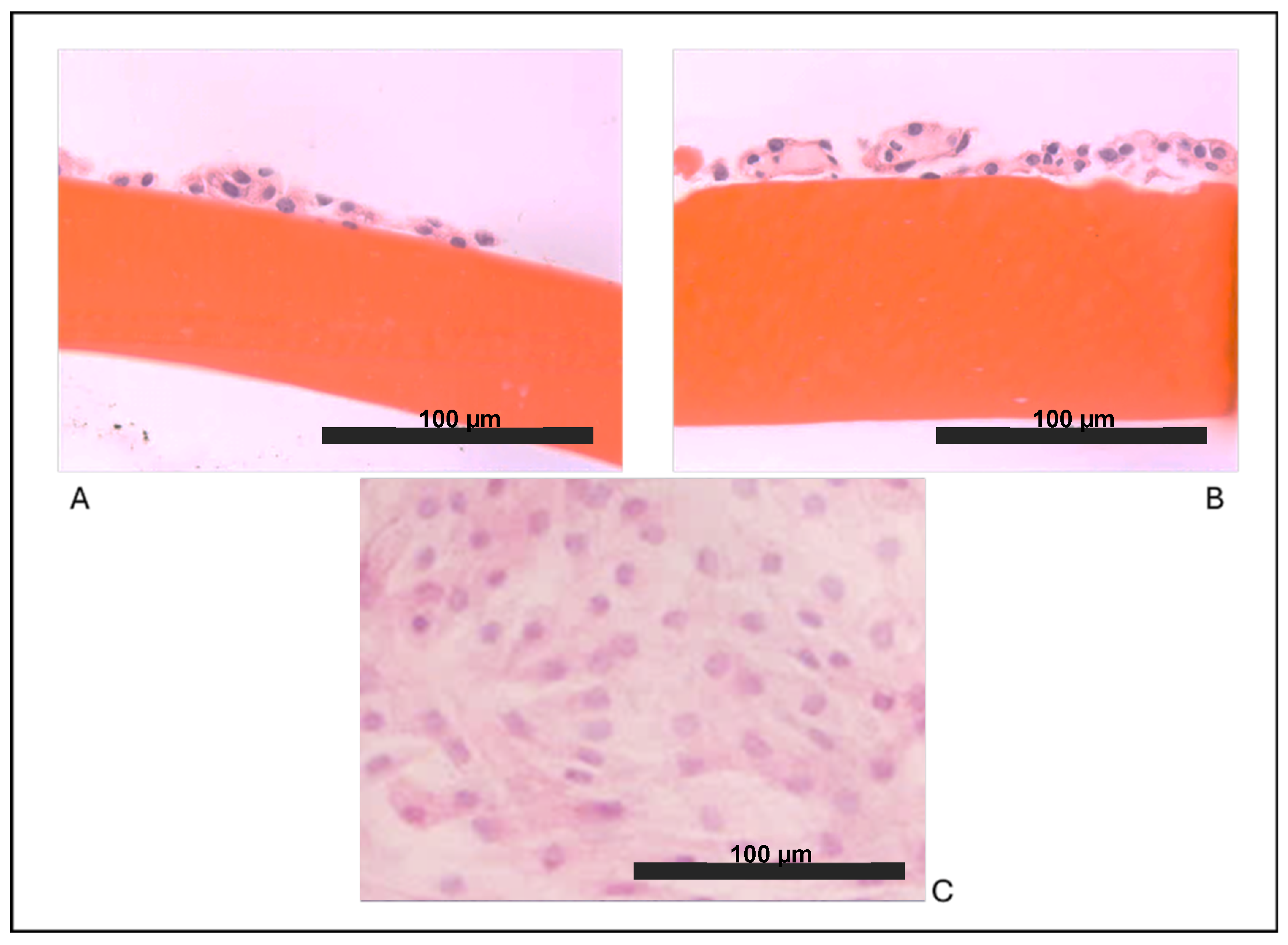
2.1. Effects of Biomaterials on Cell Morphology and Expression of Chondrogenesis Gene Markers
2.2. Exploratory Data Analysis of Differentially Expressed Proteins
2.3. Data Interpretation and Correlation with Chondrocyte Phenotype Protein Markers
3. Discussion
4. Materials and Methods
4.1. Reagents
4.2. 2D Film Preparation
4.3. Cell Isolation and Cell Culture
- Tissue culture dish (21 cm2) (Sarstedt, Nümbrecht, Germany) (P: plastic);
- Tissue culture dish (21 cm2) covered with film of chitosan (F);
- Tissue culture dish (21 cm2) covered with film of chitosan-hyaluronic acid (F+HA).
4.4. Morphological Analysis
4.5. Total RNA Extraction
4.6. Reverse Transcription (RT)
4.7. Quantification of mRNA by Real-Time PCR (qPCR)
4.8. Protein Extraction and Sample Preparation for LC-MS/MS
4.9. Shotgun LC-MS/MS Proteomics
4.10. Gene Expression and Untargeted Proteomics Statistical Analysis
5. Conclusions
Supplementary Materials
Author Contributions
Funding
Institutional Review Board Statement
Informed Consent Statement
Data Availability Statement
Conflicts of Interest
References
- Zhang, Z. Chondrons and the Pericellular Matrix of Chondrocytes. Tissue Eng. Part. B Rev. 2015, 21, 267–277. [Google Scholar] [CrossRef]
- Castro-Dominguez, F.; Tibesku, C.; McAlindon, T.; Freitas, R.; Ivanavicius, S.; Kandaswamy, P.; Sears, A.; Latourte, A. Literature Review to Understand the Burden and Current Non-Surgical Management of Moderate–Severe Pain Associated with Knee Osteoarthritis. Rheumatol. Ther. 2024, 11, 1457–1499. [Google Scholar] [CrossRef]
- Nowaczyk, A.; Szwedowski, D.; Dallo, I.; Nowaczyk, J. Overview of First-Line and Second-Line Pharmacotherapies for Osteoarthritis with Special Focus on Intra-Articular Treatment. Int. J. Mol. Sci. 2022, 23, 1566. [Google Scholar] [CrossRef]
- Becerra, J.; Andrades, J.A.; Guerado, E.; Zamora-Navas, P.; López-Puertas, J.M.; Reddi, A.H. Articular Cartilage: Structure and Regeneration. Tissue Eng. Part. B Rev. 2010, 16, 617–627. [Google Scholar] [CrossRef] [PubMed]
- De Angelis, E.; Grolli, S.; Saleri, R.; Conti, V.; Andrani, M.; Berardi, M.; Cavalli, V.; Passeri, B.; Ravanetti, F.; Borghetti, P. Platelet Lysate Reduces the Chondrocyte Dedifferentiation during in Vitro Expansion: Implications for Cartilage Tissue Engineering. Res. Vet. Sci. 2020, 133, 98–105. [Google Scholar] [CrossRef]
- De Angelis, E.; Cacchioli, A.; Ravanetti, F.; Bileti, R.; Cavalli, V.; Martelli, P.; Borghetti, P. Gene Expression Markers in Horse Articular Chondrocytes: Chondrogenic Differentiaton In Vitro Depends on the Proliferative Potential and Ageing. Implication for Tissue Engineering of Cartilage. Res. Vet. Sci. 2020, 128, 107–117. [Google Scholar] [CrossRef]
- Medvedeva, E.V.; Grebenik, E.A.; Gornostaeva, S.N.; Telpuhov, V.I.; Lychagin, A.V.; Timashev, P.S.; Chagin, A.S. Repair of Damaged Articular Cartilage: Current Approaches and Future Directions. Int. J. Mol. Sci. 2018, 19, 2366. [Google Scholar] [CrossRef] [PubMed]
- Huang, X.; Zhong, L.; Post, J.N.; Karperien, M. Co-Treatment of TGF-Β3 and BMP7 Is Superior in Stimulating Chondrocyte Redifferentiation in Both Hypoxia and Normoxia Compared to Single Treatments. Sci. Rep. 2018, 8, 10251. [Google Scholar] [CrossRef]
- Grigolo, B.; Lisignoli, G.; Piacentini, A.; Fiorini, M.; Gobbi, P.; Mazzotti, G.; Duca, M.; Pavesio, A.; Facchini, A. Evidence for Redifferentiation of Human Chondrocytes Grown on a Hyaluronan-Based Biomaterial (HYAFF®11): Molecular, Immunohistochemical and Ultrastructural Analysis. Biomaterials 2002, 23, 1187–1195. [Google Scholar] [CrossRef] [PubMed]
- Kon, E.; Filardo, G.; Di Matteo, B.; Perdisa, F.; Marcacci, M. Matrix Assisted Autologous Chondrocyte Transplantation for Cartilage Treatment: A Systematic Review. Bone Jt. Res. 2013, 2, 18–25. [Google Scholar] [CrossRef]
- Mollon, B.; Kandel, R.; Chahal, J.; Theodoropoulos, J. The Clinical Status of Cartilage Tissue Regeneration in Humans. Osteoarthr. Cartil. 2013, 21, 1824–1833. [Google Scholar] [CrossRef]
- Ahmed, T.A.E.; Hincke, M.T. Strategies for Articular Cartilage Lesion Repair and Functional Restoration. Tissue Eng. Part. B Rev. 2010, 16, 305–329. [Google Scholar] [CrossRef] [PubMed]
- El-Araby, A.; Janati, W.; Ullah, R.; Ercisli, S.; Errachidi, F. Chitosan, Chitosan Derivatives, and Chitosan-Based Nanocomposites: Eco-Friendly Materials for Advanced Applications (a Review). Front. Chem. 2024, 11, 1327426. [Google Scholar] [CrossRef] [PubMed]
- Salahuddin, A.; Ashraf, A.; Ahmad, K.; Hou, H. Recent Advances in Chitosan-Based Smart Hydrogel for Drug Delivery Systems. Int. J. Biol. Macromol. 2024, 280, 135803. [Google Scholar] [CrossRef] [PubMed]
- Haider, A.; Khan, S.; Iqbal, D.N.; Shrahili, M.; Haider, S.; Mohammad, K.; Mohammad, A.; Rizwan, M.; Kanwal, Q.; Mustafa, G. Advances in Chitosan-Based Drug Delivery Systems: A Comprehensive Review for Therapeutic Applications. Eur. Polym. J. 2024, 210, 112983. [Google Scholar] [CrossRef]
- Zhang, X.; Liang, Y.; Huang, S.; Guo, B. Chitosan-Based Self-Healing Hydrogel Dressing for Wound Healing. Adv. Colloid. Interface Sci. 2024, 332, 103267. [Google Scholar] [CrossRef] [PubMed]
- Li, A.; Ma, B.; Hua, S.; Ping, R.; Ding, L.; Tian, B.; Zhang, X. Chitosan-Based Injectable Hydrogel with Multifunction for Wound Healing: A Critical Review. Carbohydr. Polym. 2024, 333, 121952. [Google Scholar] [CrossRef] [PubMed]
- Gonçalves, J.O.; Strieder, M.M.; Silva, L.F.O.; Dos Reis, G.S.; Dotto, G.L. Advanced Technologies in Water Treatment: Chitosan and Its Modifications as Effective Agents in the Adsorption of Contaminants. Int. J. Biol. Macromol. 2024, 270, 132307. [Google Scholar] [CrossRef]
- Elviri, L.; Foresti, R.; Bergonzi, C.; Zimetti, F.; Marchi, C.; Bianchera, A.; Bernini, F.; Silvestri, M.; Bettini, R. Highly Defined 3D Printed Chitosan Scaffolds Featuring Improved Cell Growth. Biomed. Mater. 2017, 12, 045009. [Google Scholar] [CrossRef]
- Intini, C.; Elviri, L.; Cabral, J.; Mros, S.; Bergonzi, C.; Bianchera, A.; Flammini, L.; Govoni, P.; Barocelli, E.; Bettini, R.; et al. 3D-Printed Chitosan-Based Scaffolds: An in Vitro Study of Human Skin Cell Growth and an in-Vivo Wound Healing Evaluation in Experimental Diabetes in Rats. Carbohydr. Polym. 2018, 199, 593–602. [Google Scholar] [CrossRef]
- Di Martino, A.; Sittinger, M.; Risbud, M.V. Chitosan: A Versatile Biopolymer for Orthopaedic Tissue-Engineering. Biomaterials 2005, 26, 5983–5990. [Google Scholar] [CrossRef]
- Tan, H.; Wu, J.; Lao, L.; Gao, C. Gelatin/Chitosan/Hyaluronan Scaffold Integrated with PLGA Microspheres for Cartilage Tissue Engineering. Acta Biomater. 2009, 5, 328–337. [Google Scholar] [CrossRef]
- Correia, C.R.; Moreira-Teixeira, L.S.; Moroni, L.; Reis, R.L.; Van Blitterswijk, C.A.; Karperien, M.; Mano, J.F. Chitosan Scaffolds Containing Hyaluronic Acid for Cartilage Tissue Engineering. Tissue Eng. Part. C Methods 2011, 17, 717–730. [Google Scholar] [CrossRef]
- Roncada, T.; Blunn, G.; Roldo, M. Collagen and Alginate Hydrogels Support Chondrocytes Redifferentiation In Vitro without Supplementation of Exogenous Growth Factors. ACS Omega 2024, 9, 21388–21400. [Google Scholar] [CrossRef]
- Nair, S.; Remya, N.S.; Remya, S.; Nair, P.D. A Biodegradable in Situ Injectable Hydrogel Based on Chitosan and Oxidized Hyaluronic Acid for Tissue Engineering Applications. Carbohydr. Polym. 2011, 85, 838–844. [Google Scholar] [CrossRef]
- Hemmati-Sadeghi, S.; Ringe, J.; Dehne, T.; Haag, R.; Sittinger, M. Hyaluronic Acid Influence on Normal and Osteoarthritic Tissue-Engineered Cartilage. Int. J. Mol. Sci. 2018, 19, 1519. [Google Scholar] [CrossRef]
- Klinder, A.; Kussauer, S.; Hiemer, B.; Wree, A.; Bader, R.; Jonitz-Heincke, A. Influence of Conditioned Media on the Re-Differentiation Capacity of Human Chondrocytes in 3D Spheroid Cultures. JCM 2020, 9, 2798. [Google Scholar] [CrossRef]
- Yang, P.; Xiao, Y.; Chen, L.; Yang, C.; Cheng, Q.; Li, H.; Chen, D.; Wu, J.; Liao, Z.; Yang, C.; et al. Targeting Fascin1 Maintains Chondrocytes Phenotype and Attenuates Osteoarthritis Development. Bone Res. 2024, 12, 50. [Google Scholar] [CrossRef] [PubMed]
- Bianchera, A.; Salomi, E.; Pezzanera, M.; Ruwet, E.; Bettini, R.; Elviri, L. Chitosan Hydrogels for Chondroitin Sulphate Controlled Release: An Analytical Characterization. J. Anal. Methods Chem. 2014, 2014, 808703. [Google Scholar] [CrossRef] [PubMed]
- Brodkin, K.R.; Garcίa, A.J.; Levenston, M.E. Chondrocyte Phenotypes on Different Extracellular Matrix Monolayers. Biomaterials 2004, 25, 5929–5938. [Google Scholar] [CrossRef]
- Su, W.; Nie, Y.; Zheng, S.; Yao, Y. Recent Research on Chondrocyte Dedifferentiation and Insights for Regenerative Medicine. Biotech. Bioeng. 2025, 122, 749–760. [Google Scholar] [CrossRef] [PubMed]
- Jiang, Y.; Cai, Y.; Zhang, W.; Yin, Z.; Hu, C.; Tong, T.; Lu, P.; Zhang, S.; Neculai, D.; Tuan, R.S.; et al. Human Cartilage-Derived Progenitor Cells from Committed Chondrocytes for Efficient Cartilage Repair and Regeneration. Stem Cells Transl. Med. 2016, 5, 733–744. [Google Scholar] [CrossRef] [PubMed]
- Kosher, R.A.; Walker, K.H. The Effect of Prostaglandins on in Vitro Limb Cartilage Differentiation. Exp. Cell Res. 1983, 145, 145–153. [Google Scholar] [CrossRef]
- Francis Suh, J.-K.; Matthew, H.W.T. Application of Chitosan-Based Polysaccharide Biomaterials in Cartilage Tissue Engineering: A Review. Biomaterials 2000, 21, 2589–2598. [Google Scholar] [CrossRef]
- De Angelis, E.; Ravanetti, F.; Martelli, P.; Cacchioli, A.; Ivanovska, A.; Corradi, A.; Nasi, S.; Bianchera, A.; Passeri, B.; Canelli, E.; et al. The in Vitro Biocompatibility of D-(+) Raffinose Modified Chitosan: Two-Dimensional and Three-Dimensional Systems for Culturing of Horse Articular Chondrocytes. Res. Vet. Sci. 2017, 115, 310–317. [Google Scholar] [CrossRef]
- Park, H.; Choi, B.; Hu, J.; Lee, M. Injectable Chitosan Hyaluronic Acid Hydrogels for Cartilage Tissue Engineering. Acta Biomater. 2013, 9, 4779–4786. [Google Scholar] [CrossRef] [PubMed]
- Al-Maslamani, N.A.; Oldershaw, R.; Tew, S.; Curran, J.; D’Hooghe, P.; Yamamoto, K.; Horn, H.F. Chondrocyte De-Differentiation: Biophysical Cues to Nuclear Alterations. Cells 2022, 11, 4011. [Google Scholar] [CrossRef]
- Peters, H.C.; Otto, T.J.; Enders, J.T.; Jin, W.; Moed, B.R.; Zhang, Z. The Protective Role of the Pericellular Matrix in Chondrocyte Apoptosis. Tissue Eng. Part. A 2011, 17, 2017–2024. [Google Scholar] [CrossRef]
- Cui, J.; Zhang, J. Cartilage Oligomeric Matrix Protein, Diseases, and Therapeutic Opportunities. Int. J. Mol. Sci. 2022, 23, 9253. [Google Scholar] [CrossRef]
- Thielen, N.; Van Der Kraan, P.; Van Caam, A. TGFβ/BMP Signaling Pathway in Cartilage Homeostasis. Cells 2019, 8, 969. [Google Scholar] [CrossRef]
- Chen, Y.; Yu, Y.; Wen, Y.; Chen, J.; Lin, J.; Sheng, Z.; Zhou, W.; Sun, H.; An, C.; Chen, J.; et al. A High-Resolution Route Map Reveals Distinct Stages of Chondrocyte Dedifferentiation for Cartilage Regeneration. Bone Res. 2022, 10, 38. [Google Scholar] [CrossRef]
- Picotti, P.; Bodenmiller, B.; Aebersold, R. Proteomics Meets the Scientific Method. Nat. Methods 2013, 10, 24–27. [Google Scholar] [CrossRef]
- Aebersold, R.; Agar, J.N.; Amster, I.J.; Baker, M.S.; Bertozzi, C.R.; Boja, E.S.; Costello, C.E.; Cravatt, B.F.; Fenselau, C.; Garcia, B.A.; et al. How Many Human Proteoforms Are There? Nat. Chem. Biol. 2018, 14, 206–214. [Google Scholar] [CrossRef]
- Parreno, J.; Nabavi Niaki, M.; Andrejevic, K.; Jiang, A.; Wu, P.; Kandel, R.A. Interplay between Cytoskeletal Polymerization and the Chondrogenic Phenotype in Chondrocytes Passaged in Monolayer Culture. J. Anat. 2017, 230, 234–248. [Google Scholar] [CrossRef]
- Lauer, J.C.; Selig, M.; Hart, M.L.; Kurz, B.; Rolauffs, B. Articular Chondrocyte Phenotype Regulation through the Cytoskeleton and the Signaling Processes That Originate from or Converge on the Cytoskeleton: Towards a Novel Understanding of the Intersection between Actin Dynamics and Chondrogenic Function. Int. J. Mol. Sci. 2021, 22, 3279. [Google Scholar] [CrossRef]
- Chan, B.; Parreno, J.; Glogauer, M.; Wang, Y.; Kandel, R. Adseverin, an Actin Binding Protein, Regulates Articular Chondrocyte Phenotype. J. Tissue Eng. Regen. Med. 2019, 13, 1438–1452. [Google Scholar] [CrossRef]
- Chan, B.; Glogauer, M.; Wang, Y.; Wrana, J.; Chan, K.; Beier, F.; Bali, S.; Hinz, B.; Parreno, J.; Ashraf, S.; et al. Adseverin, an Actin-Binding Protein, Modulates Hypertrophic Chondrocyte Differentiation and Osteoarthritis Progression. Sci. Adv. 2023, 9, eadf1130. [Google Scholar] [CrossRef]
- Charlier, E.; Deroyer, C.; Ciregia, F.; Malaise, O.; Neuville, S.; Plener, Z.; Malaise, M.; De Seny, D. Chondrocyte Dedifferentiation and Osteoarthritis (OA). Biochem. Pharmacol. 2019, 165, 49–65. [Google Scholar] [CrossRef] [PubMed]
- Garciadiego-Cázares, D.; Aguirre-Sánchez, H.I.; Abarca-Buis, R.F.; Kouri, J.B.; Velasquillo, C.; Ibarra, C. Regulation of A5 and αV Integrin Expression by GDF-5 and BMP-7 in Chondrocyte Differentiation and Osteoarthritis. PLoS ONE 2015, 10, e0127166. [Google Scholar] [CrossRef]
- Zhang, R.; Guo, H.; Yang, X.; Li, Z.; Zhang, D.; Li, B.; Zhang, D.; Li, Q.; Xiong, Y. Potential Candidate Biomarkers Associated with Osteoarthritis: Evidence from a Comprehensive Network and Pathway Analysis. J. Cell. Physiol. 2019, 234, 17433–17443. [Google Scholar] [CrossRef] [PubMed]
- Tan, W.; Chen, G.; Ci, Q.; Deng, Z.; Gu, R.; Yang, D.; Dai, F.; Liu, H.; Cheng, Y. Elevated ITGA3 Expression Serves as a Novel Prognostic Biomarker and Regulates Tumor Progression in Cervical Cancer. Sci. Rep. 2024, 14, 27063. [Google Scholar] [CrossRef]
- Shin, H.; Lee, M.N.; Choung, J.S.; Kim, S.; Choi, B.H.; Noh, M.; Shin, J.H. Focal Adhesion Assembly Induces Phenotypic Changes and Dedifferentiation in Chondrocytes: Focal Adhesion and Chondrocyte Dedifferentiation. J. Cell. Physiol. 2016, 231, 1822–1831. [Google Scholar] [CrossRef]
- Piva, R.; Lambertini, E.; Manferdini, C.; Capanni, C.; Penolazzi, L.; Gabusi, E.; Paolella, F.; Lolli, A.; Angelozzi, M.; Lattanzi, G.; et al. Slug Transcription Factor and Nuclear Lamin B1 Are Upregulated in Osteoarthritic Chondrocytes. Osteoarthr. Cartil. 2015, 23, 1226–1230. [Google Scholar] [CrossRef]
- Satija, R.; Farrell, J.A.; Gennert, D.; Schier, A.F.; Regev, A. Spatial Reconstruction of Single-Cell Gene Expression Data. Nat. Biotechnol. 2015, 33, 495–502. [Google Scholar] [CrossRef] [PubMed]
- Ivanes, F.; Faccenda, D.; Gatliff, J.; Ahmed, A.A.; Cocco, S.; Cheng, C.H.K.; Allan, E.; Russell, C.; Duchen, M.R.; Campanella, M. The Compound BTB 06584 Is an IF1-dependent Selective Inhibitor of the Mitochondrial F1Fo-ATP Ase. Br. J Pharmacol. 2014, 171, 4193–4206. [Google Scholar] [CrossRef] [PubMed]
- Yu, D.; Li, M.; Tian, Y.; Liu, J.; Shang, J. Luteolin Inhibits ROS-Activated MAPK Pathway in Myocardial Ischemia/Reperfusion Injury. Life Sci. 2015, 122, 15–25. [Google Scholar] [CrossRef]
- Yano, F.; Kugimiya, F.; Ohba, S.; Ikeda, T.; Chikuda, H.; Ogasawara, T.; Ogata, N.; Takato, T.; Nakamura, K.; Kawaguchi, H.; et al. The Canonical Wnt Signaling Pathway Promotes Chondrocyte Differentiation in a Sox9-Dependent Manner. Biochem. Biophys. Res. Commun. 2005, 333, 1300–1308. [Google Scholar] [CrossRef]
- Xie, Z.; Khair, M.; Shaukat, I.; Netter, P.; Mainard, D.; Barré, L.; Ouzzine, M. Non-Canonical Wnt Induces Chondrocyte de-Differentiation through Frizzled 6 and DVL-2/B-Raf/CaMKIIα/Syndecan 4 Axis. Cell Death Differ. 2018, 25, 1442–1456. [Google Scholar] [CrossRef]
- Lane, J.M.; Brighton, C.T.; Menkowitz, B.J. Anaerobic and Aerobic Metabolism in Articular Cartilage. J. Rheumatol. 1977, 4, 334–342. [Google Scholar] [PubMed]
- Martínez-Reyes, I.; Chandel, N.S. Mitochondrial TCA Cycle Metabolites Control Physiology and Disease. Nat. Commun. 2020, 11, 102. [Google Scholar] [CrossRef] [PubMed]
- Arnold, P.K.; Jackson, B.T.; Paras, K.I.; Brunner, J.S.; Hart, M.L.; Newsom, O.J.; Alibeckoff, S.P.; Endress, J.; Drill, E.; Sullivan, L.B.; et al. A Non-Canonical Tricarboxylic Acid Cycle Underlies Cellular Identity. Nature 2022, 603, 477–481. [Google Scholar] [CrossRef] [PubMed]
- Mateska, I.; Alexaki, V.I. Light Shed on a Non-Canonical TCA Cycle: Cell State Regulation beyond Mitochondrial Energy Production. Signal Transduct. Target. Ther. 2022, 7, 201. [Google Scholar] [CrossRef]
- Deja, S.; Crawford, P.A.; Burgess, S.C. Krebs Takes a Turn at Cell Differentiation. Cell Metab. 2022, 34, 658–660. [Google Scholar] [CrossRef] [PubMed]
- De Angelis, E.; Barilli, A.; Saleri, R.; Rotoli, B.M.; Ravanetti, F.; Ferrari, F.; Ferrari, L.; Martelli, P.; Dall’Asta, V.; Borghetti, P. Osmolarity Modulates the De-Differentiation of Horse Articular Chondrocytes during Cell Expansion in Vitro: Implications for Tissue Engineering in Cartilage Repair. Vet. Res. Commun. 2023, 47, 2285–2292. [Google Scholar] [CrossRef] [PubMed]





Disclaimer/Publisher’s Note: The statements, opinions and data contained in all publications are solely those of the individual author(s) and contributor(s) and not of MDPI and/or the editor(s). MDPI and/or the editor(s) disclaim responsibility for any injury to people or property resulting from any ideas, methods, instructions or products referred to in the content. |
© 2025 by the authors. Licensee MDPI, Basel, Switzerland. This article is an open access article distributed under the terms and conditions of the Creative Commons Attribution (CC BY) license (https://creativecommons.org/licenses/by/4.0/).
Share and Cite
Zaccarelli, A.; Saleri, R.; De Angelis, E.; Ravanetti, F.; Corradi, A.; Borghetti, P. 2D Chitosan-Based Films: A Proteomic Mass Spectrometry Study of Chondrocyte Phenotype as a Function of Cell–Biomaterial Interactions. Int. J. Mol. Sci. 2025, 26, 10291. https://doi.org/10.3390/ijms262110291
Zaccarelli A, Saleri R, De Angelis E, Ravanetti F, Corradi A, Borghetti P. 2D Chitosan-Based Films: A Proteomic Mass Spectrometry Study of Chondrocyte Phenotype as a Function of Cell–Biomaterial Interactions. International Journal of Molecular Sciences. 2025; 26(21):10291. https://doi.org/10.3390/ijms262110291
Chicago/Turabian StyleZaccarelli, Alessandro, Roberta Saleri, Elena De Angelis, Francesca Ravanetti, Attilio Corradi, and Paolo Borghetti. 2025. "2D Chitosan-Based Films: A Proteomic Mass Spectrometry Study of Chondrocyte Phenotype as a Function of Cell–Biomaterial Interactions" International Journal of Molecular Sciences 26, no. 21: 10291. https://doi.org/10.3390/ijms262110291
APA StyleZaccarelli, A., Saleri, R., De Angelis, E., Ravanetti, F., Corradi, A., & Borghetti, P. (2025). 2D Chitosan-Based Films: A Proteomic Mass Spectrometry Study of Chondrocyte Phenotype as a Function of Cell–Biomaterial Interactions. International Journal of Molecular Sciences, 26(21), 10291. https://doi.org/10.3390/ijms262110291

