Limosilactobacillus reuteri AJCR4: A Potential Probiotic in the Fight Against Oral Candida spp. Biofilms
Abstract
1. Introduction
2. Results
2.1. Isolation and Selection of the Oral Isolates
2.2. Antifungal Activity of L. reuteri AJCR4 Against Candida spp. in Planktonic Form
2.3. Antifungal Activity of Cells and Cell-Free Supernatant of L. reuteri AJCR4 Against Candida spp. Biofilms
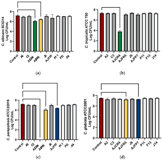
2.4. Antifungal Activity of Cells and Cell-Free Supernatant of L. reuteri AJCR4 Against Candida Oral Clinical Strains
2.5. Evaluation of the Impact of L. reuteri AJCR4 Cell-Free Supernatant on Adhesion and Inhibition of Candida Biofilms Production on Polymethyl Methacrylate Acrylic Resin Discs
2.6. L. reuteri AJCR4 Auto-Aggregation and Co-Aggregation
2.7. Impact of Various Treatments on the Antibiofilm Activity of Cells-Free Supernatants
3. Discussion
4. Materials and Methods
4.1. Subjects
4.2. Saliva Sampling and Isolation of the Lactobacillus
4.3. Microorganisms
4.4. Preliminary Screening of the Oral Isolates
4.5. Antifungal Activity Against Planktonic Cells of Candida (MFC)
4.6. Preparation of Cell-Free Supernatant
4.7. Activity Against Candida Biofilms
4.8. Inhibition of the Adherence of Candida spp. to Acrylic Denture Resins
4.9. Co-Aggregation and Auto-Aggregation Evaluation
4.10. Effect of pH on Antifungal Activity
4.11. Effect of High-Temperature Treatment on CFS Antifungal Activity
4.12. Effect of Catalase and Peroxidase on Antifungal Activity
4.13. Statistical Analysis
5. Conclusions
Author Contributions
Funding
Institutional Review Board Statement
Informed Consent Statement
Data Availability Statement
Conflicts of Interest
References
- Czajka, K.M.; Venkataraman, K.; Brabant-Kirwan, D.; Santi, S.A.; Verschoor, C.; Appanna, V.D.; Singh, R.; Saunders, D.P.; Tharmalingam, S. Molecular Mechanisms Associated with Antifungal Resistance in Pathogenic Candida Species. Cells 2023, 12, 2655. [Google Scholar] [CrossRef] [PubMed]
- Alves, A.M.C.V.; Lopes, B.O.; de Leite, A.C.R.M.; Cruz, G.S.; de Brito, É.H.S.; de Lima, L.F.; Černáková, L.; Azevedo, N.F.; Rodrigues, C.F. Characterization of Oral Candida spp. Biofilms in Children and Adults Carriers from Eastern Europe and South America. Antibiotics 2023, 12, 797. [Google Scholar] [CrossRef]
- Andrade, J.C.; Kumar, S.; Kumar, A.; Černáková, L.; Rodrigues, C.F. Application of Probiotics in Candidiasis Management. Crit. Rev. Food Sci. Nutr. 2021, 62, 8249–8264. [Google Scholar] [CrossRef] [PubMed]
- Goulart, L.S.; de Souza, W.W.R.; Vieira, C.A.; de Lima, J.S.; de Olinda, R.A.; de Araújo, C. Oral Colonization by Candida Species in HIV-Positive Patients: Association and Antifungal Susceptibility Study. Einstein (São Paulo) 2018, 16, eAO4224. [Google Scholar] [CrossRef] [PubMed]
- Rodrigues, C.F.; Correia, A.; Vilanova, M.; Henriques, M. Inflammatory Cell Recruitment in Candida Glabrata Biofilm Cell-Infected Mice Receiving Antifungal Chemotherapy. J. Clin. Med. 2019, 8, 142. [Google Scholar] [CrossRef]
- Kumar, S.; Kumar, A.; Roudbary, M.; Mohammadi, R.; Černáková, L.; Rodrigues, C.F. Overview on the Infections Related to Rare Candida Species. Pathogens 2022, 11, 963. [Google Scholar] [CrossRef]
- Rodrigues, C.; Henriques, M. Liposomal and Deoxycholate Amphotericin B Formulations: Effectiveness against Biofilm Infections of Candida spp. Pathogens 2017, 6, 62. [Google Scholar] [CrossRef] [PubMed]
- Catanoze, I.A.; Cunha, B.G.; Costa, G.Q.; Freitas da Silva, E.V.; Duque, C.; Guiotti, A.M. Antagonistic Effect of Isolated and Commercially Available Probiotics on the Growth of Candida Albicans on Acrylic Resin Denture Surfaces. J. Prosthet. Dent. 2020, 127, 338–344. [Google Scholar] [CrossRef]
- Al-Saleh, S.; Alshahrani, A.; Albaqawi, A.H.; Alqarawi, F.K.; Alzahrani, K.M.; Tanveer, S.A.; Siddiqui, S.; Naseem, M.; Vohra, F.; Abduljabbar, T. Use of Photosensitizer, Glutaraldehyde, Alcohol and Ultrasonics in Disinfection of Polished and Rough Surfaces of Self-Curing Polymethyl Methacrylate Denture Base Material. Photodiagnosis Photodyn. Ther. 2022, 37, 102566. [Google Scholar] [CrossRef] [PubMed]
- Garcia-Effron, G. Molecular Markers of Antifungal Resistance: Potential Uses in Routine Practice and Future Perspectives. J. Fungi 2021, 7, 197. [Google Scholar] [CrossRef] [PubMed]
- Rodrigues, C.; Henriques, M. Portrait of Matrix Gene Expression in Candida Glabrata Biofilms with Stress Induced by Different Drugs. Genes 2018, 9, 205. [Google Scholar] [CrossRef]
- Maertens, J.A. History of the Development of Azole Derivatives. Clin. Microbiol. Infect. 2004, 10, 1–10. [Google Scholar] [CrossRef]
- Zhang, L.; Fu, J.; Hua, H.; Yan, Z. Efficacy and Safety of Miconazole for Oral Candidiasis: A Systematic Review and Meta-analysis. Oral Dis. 2016, 22, 185–195. [Google Scholar] [CrossRef]
- Efimova, S.S.; Schagina, L.V.; Ostroumova, O.S. Investigation of Channel-Forming Activity of Polyene Macrolide Antibiotics in Planar Lipid Bilayers in the Presence of Dipole Modifiers. Acta Naturae 2014, 6, 67–79. [Google Scholar] [CrossRef] [PubMed]
- Waller, D.G.; Sampson, A.P. Chemotherapy of Infections. In Medical Pharmacology and Therapeutics; Elsevier: Amsterdam, The Netherlands, 2018; pp. 581–629. [Google Scholar]
- Bhattacharya, S.; Sae-Tia, S.; Fries, B.C. Candidiasis and Mechanisms of Antifungal Resistance. Antibiotics 2020, 9, 312. [Google Scholar] [CrossRef] [PubMed]
- Cantón, E.; Pemán, J.; Sastre, M.; Romero, M.; Espinel-Ingroff, A. Killing Kinetics of Caspofungin, Micafungin, and Amphotericin B against Candida Guilliermondii. Antimicrob. Agents Chemother 2006, 50, 2829–2832. [Google Scholar] [CrossRef] [PubMed]
- Walker, L.A.; Gow, N.A.R.; Munro, C.A. Fungal Echinocandin Resistance. Fungal Genet. Biol. 2010, 47, 117–126. [Google Scholar] [CrossRef]
- Campoy, S.; Adrio, J.L. Antifungals. Biochem. Pharmacol. 2017, 133, 86–96. [Google Scholar] [CrossRef] [PubMed]
- Ribeiro, F.C.; Rossoni, R.D.; Barros, P.P.; Santos, J.D.; Fugisaki, L.R.O.; Leão, M.P.V.; Junqueira, J.C. Action Mechanisms of Probiotics on Candida spp. and Candidiasis Prevention: An Update. J. Appl. Microbiol. 2020, 129, 175–185. [Google Scholar] [CrossRef]
- Sung, V.; Hiscock, H.; Tang, M.L.K.; Mensah, F.K.; Nation, M.L.; Satzke, C.; Heine, R.G.; Stock, A.; Barr, R.G.; Wake, M. Treating Infant Colic with the Probiotic Lactobacillus Reuteri: Double Blind, Placebo Controlled Randomised Trial. BMJ 2014, 348, g2107. [Google Scholar] [CrossRef]
- Rossoni, R.D.; de Barros, P.P.; de Alvarenga, J.A.; de Ribeiro, F.C.; dos Velloso, M.S.; Fuchs, B.B.; Mylonakis, E.; Jorge, A.O.C.; Junqueira, J.C. Antifungal Activity of Clinical Lactobacillus Strains against Candida Albicans Biofilms: Identification of Potential Probiotic Candidates to Prevent Oral Candidiasis. Biofouling 2018, 34, 212–225. [Google Scholar] [CrossRef] [PubMed]
- Bakhshi, M.; Salari, S.; Almani, P.G.N.; Afshari, S.A.K. Evaluation of the Antifungal Activity of Lactobacillus Reuteri against Candida Species. Gene Rep. 2021, 25, 101369. [Google Scholar] [CrossRef]
- Vazquez-Munoz, R.; Dongari-Bagtzoglou, A. Anticandidal Activities by Lactobacillus Species: An Update on Mechanisms of Action. Front. Oral Health 2021, 2, 689382. [Google Scholar] [CrossRef]
- European Committe on Antimicrobial Susceptibility Testing. Antifungal Susceptibility Testing (AFST). Available online: https://www.eucast.org/ (accessed on 12 December 2022).
- Pinto-Almazán, R.; Frías-De-León, M.G.; Fuentes-Venado, C.E.; Arenas, R.; González-Gutiérrez, L.; Chávez-Gutiérrez, E.; Torres-Paez, O.U.; Martínez-Herrera, E. Frequency of Candida spp. in the Oral Cavity of Asymptomatic Preschool Mexican Children and Its Association with Nutritional Status. Children 2022, 9, 1510. [Google Scholar] [CrossRef] [PubMed]
- Hellstein, J.W.; Marek, C.L. Candidiasis: Red and White Manifestations in the Oral Cavity. Head Neck Pathol. 2019, 13, 25–32. [Google Scholar] [CrossRef] [PubMed]
- Ramamurthy, P.; Swamy, H.; Bennete, F.; Rohini, M.; Nagarathnamma, T. Relationship between Severe-Early Childhood Caries, Salivary Mutans Streptococci, and Lactobacilli in Preschool Children of Low Socioeconomic Status in Bengaluru City. J. Indian Soc. Pedod. Prev. Dent. 2014, 32, 44. [Google Scholar] [CrossRef] [PubMed]
- Ahola, A.J.; Yli-Knuuttila, H.; Suomalainen, T.; Poussa, T.; Ahlström, A.; Meurman, J.H.; Korpela, R. Short-Term Consumption of Probiotic-Containing Cheese and Its Effect on Dental Caries Risk Factors. Arch. Oral Biol. 2002, 47, 799–804. [Google Scholar] [CrossRef]
- Badet, C.; Thebaud, N.B. Ecology of Lactobacilli in the Oral Cavity: A Review of Literature. Open Microbiol. J. 2008, 2, 38–48. [Google Scholar] [CrossRef]
- Rodrigues, F.J.; Cedran, M.F.; Bicas, J.L.; Sato, H.H. Reuterin-Producing Limosilactobacillus Reuteri: Optimization of in Situ Reuterin Production in Alginate-Based Filmogenic Solutions. Curr. Res. Food Sci. 2021, 4, 926–931. [Google Scholar] [CrossRef]
- Cleusix, V.; Lacroix, C.; Vollenweider, S.; Le Blay, G. Glycerol Induces Reuterin Production and Decreases Escherichia Coli Population in an in Vitro Model of Colonic Fermentation with Immobilized Human Feces. FEMS Microbiol. Ecol. 2008, 63, 56–64. [Google Scholar] [CrossRef] [PubMed]
- Luo, Z.; Chen, A.; Xie, A.; Liu, X.; Jiang, S.; Yu, R. Limosilactobacillus Reuteri in Immunomodulation: Molecular Mechanisms and Potential Applications. Front. Immunol. 2023, 14, 1228754. [Google Scholar] [CrossRef]
- Yu, Z.; Chen, J.; Liu, Y.; Meng, Q.; Liu, H.; Yao, Q.; Song, W.; Ren, X.; Chen, X. The Role of Potential Probiotic Strains Lactobacillus Reuteri in Various Intestinal Diseases: New Roles for an Old Player. Front. Microbiol. 2023, 14, 1095555. [Google Scholar] [CrossRef] [PubMed]
- Widyarman, A.; Pranoto, S.; Theodorea, C.; Bachtiar, E.; Bachtiar, B. Isolation and Identification of Indonesian Lactobacillus Reuteri Strain from the Saliva of Young Adults. Sci. Dent. J. 2018, 2, 67. [Google Scholar] [CrossRef]
- Ajetunmobi, O.H.; Badali, H.; Romo, J.A.; Ramage, G.; Lopez-Ribot, J.L. Antifungal Therapy of Candida Biofilms: Past, Present and Future. Biofilm 2023, 5, 100126. [Google Scholar] [CrossRef]
- Köhler, G.A.; Assefa, S.; Reid, G. Probiotic Interference of Lactobacillus Rhamnosus GR-1 and Lactobacillus Reuteri RC-14 with the Opportunistic Fungal Pathogen Candida Albicans. Infect. Dis. Obs. Gynecol. 2012, 2012, 636474. [Google Scholar] [CrossRef]
- Chew, S.Y.; Cheah, Y.K.; Seow, H.F.; Sandai, D.; Than, L.T.L. Probiotic Lactobacillus Rhamnosus GR-1 and Lactobacillus Reuteri RC-14 Exhibit Strong Antifungal Effects against Vulvovaginal Candidiasis-Causing Candida Glabrata Isolates. J. Appl. Microbiol. 2015, 118, 1180–1190. [Google Scholar] [CrossRef] [PubMed]
- De Gregorio, P.R.; Silva, J.A.; Marchesi, A.; Nader-Macías, M.E.F. Anti-Candida Activity of Beneficial Vaginal Lactobacilli in in Vitro Assays and in a Murine Experimental Model. FEMS Yeast Res. 2019, 19, foz008. [Google Scholar] [CrossRef]
- Ramage, G.; Borghi, E.; Rodrigues, C.F.; Kean, R.; Williams, C.; Lopez-Ribot, J. Our Current Clinical Understanding of Candida Biofilms: Where Are We Two Decades On? APMIS 2023, 131, 636–653. [Google Scholar] [CrossRef] [PubMed]
- Rodrigues, C.; Rodrigues, M.; Silva, S.; Henriques, M. Candida Glabrata Biofilms: How Far Have We Come? J. Fungi 2017, 3, 11. [Google Scholar] [CrossRef]
- Boahen, A.; Chew, S.Y.; Neela, V.K.; Than, L.T.L. Limosilactobacillus Reuteri 29A Cell-Free Supernatant Antibiofilm and Antagonistic Effects in Murine Model of Vulvovaginal Candidiasis. Probiotics Antimicrob. Proteins 2023, 15, 1681–1699. [Google Scholar] [CrossRef]
- Silva, S.; Henriques, M.; Martins, A.; Oliveira, R.; Williams, D.; Azeredo, J. Biofilms of Non-Candida Albicans Candida Species: Quantification, Structure and Matrix Composition. Med. Mycol. 2009, 47, 681–689. [Google Scholar] [CrossRef] [PubMed]
- Maccelli, A.; Carradori, S.; Puca, V.; Sisto, F.; Lanuti, P.; Crestoni, M.E.; Lasalvia, A.; Muraro, R.; Bysell, H.; Di Sotto, A.; et al. Correlation between the Antimicrobial Activity and Metabolic Profiles of Cell Free Supernatants and Membrane Vesicles Produced by Lactobacillus Reuteri DSM 17938. Microorganisms 2020, 8, 1653. [Google Scholar] [CrossRef]
- Rodrigues, M.E.; Gomes, F.; Rodrigues, C.F. Candida spp./Bacteria Mixed Biofilms. J. Fungi 2019, 6, 5. [Google Scholar] [CrossRef] [PubMed]
- Alves, A.M.C.V.; de Brito, É.H.S.; de Araújo, M.F.M.; de Hollanda Celestino, J.J.; de Leite, A.C.R.M.; Cruz, G.S.; Azevedo, N.F.; Rodrigues, C.F. Antifungal Susceptibility and Candida sp. Biofilm Production in Clinical Isolates of HIV-Positive Brazilian Patients under HAART Therapy. Biomedicines 2024, 12, 310. [Google Scholar] [CrossRef] [PubMed]
- Pappas, P.G.; Kauffman, C.A.; Andes, D.R.; Clancy, C.J.; Marr, K.A.; Ostrosky-Zeichner, L.; Reboli, A.C.; Schuster, M.G.; Vazquez, J.A.; Walsh, T.J.; et al. Clinical Practice Guideline for the Management of Candidiasis: 2016 Update by the Infectious Diseases Society of America. Clin. Infect. Dis. 2016, 62, e1–e50. [Google Scholar] [CrossRef]
- Gad, M.M.; Al-suny, M.; Al-shayeb, A.; Al-namsy, R.; Al-naser, Z.; Khan, S.Q. The In-Vitro Effects of White Henna Addition on the Candida Albicans Adhesion and Physical Properties of Denture Base Resin. Eur. Oral Res. 2021, 55, 86–93. [Google Scholar] [CrossRef] [PubMed]
- Namangkalakul, W.; Benjavongkulchai, S.; Pochana, T.; Promchai, A.; Satitviboon, W.; Howattanapanich, S.; Phuprasong, R.; Ungvijanpunya, N.; Supakanjanakanti, D.; Chaitrakoonthong, T.; et al. Activity of Chitosan Antifungal Denture Adhesive against Common Candida Species and Candida Albicans Adherence on Denture Base Acrylic Resin. J. Prosthet. Dent. 2020, 123, 181.e1–181.e7. [Google Scholar] [CrossRef] [PubMed]
- Ishikawa, K.H.; Mayer, M.P.A.; Miyazima, T.Y.; Matsubara, V.H.; Silva, E.G.; Paula, C.R.; Campos, T.T.; Nakamae, A.E.M. A Multispecies Probiotic Reduces Oral Candida Colonization in Denture Wearers. J. Prosthodont. 2015, 24, 194–199. [Google Scholar] [CrossRef]
- Shankar, R.K.; Balaji, H.; Shanmuganathan, N.; Parthasarathy, N.; Athiban, I.; Thirumalaikumaran, R. Anti-Fungal Efficacy of Probiotics in Heat Cure Dentures Base Resin: An In-Vitro Study. J. Pharm. Res. Int. 2022, 34, 1–6. [Google Scholar] [CrossRef]
- Zanetta, P.; Squarzanti, D.F.; di Coste, A.; Amoruso, A.; Pane, M.; Azzimonti, B. Growth Conditions Influence Lactobacillus Cell-Free Supernatant Impact on Viability, Biofilm Formation, and Co-Aggregation of the Oral Periodontopathogens Fusobacterium Nucleatum and Porphyromonas Gingivalis. Biomedicines 2023, 11, 859. [Google Scholar] [CrossRef]
- Jørgensen, M.R.; Kragelund, C.; Jensen, P.Ø.; Keller, M.K.; Twetman, S. Probiotic Lactobacillus Reuteri Has Antifungal Effects on Oral Candida Species in Vitro. J. Oral Microbiol. 2017, 9, 1274582. [Google Scholar] [CrossRef]
- Ali, M.d.S.; Lee, E.-B.; Lim, S.-K.; Suk, K.; Park, S.-C. Isolation and Identification of Limosilactobacillus Reuteri PSC102 and Evaluation of Its Potential Probiotic, Antioxidant, and Antibacterial Properties. Antioxidants 2023, 12, 238. [Google Scholar] [CrossRef]
- Collado, M.C.; Meriluoto, J.; Salminen, S. Adhesion and Aggregation Properties of Probiotic and Pathogen Strains. Eur. Food Res. Technol. 2008, 226, 1065–1073. [Google Scholar] [CrossRef]
- Grześkowiak, Ł.; Collado, M.C.; Salminen, S. Evaluation of Aggregation Abilities between Commensal Fish Bacteria and Pathogens. Aquaculture 2012, 356, 412–414. [Google Scholar] [CrossRef]
- Aarti, C.; Khusro, A.; Varghese, R.; Arasu, M.V.; Agastian, P.; Al-Dhabi, N.A.; Ilavenil, S.; Choi, K.C. In Vitro Investigation on Probiotic, Anti-Candida, and Antibiofilm Properties of Lactobacillus Pentosus Strain LAP1. Arch. Oral Biol. 2018, 89, 99–106. [Google Scholar] [CrossRef]
- Dell’Anno, M.; Giromini, C.; Reggi, S.; Cavalleri, M.; Moscatelli, A.; Onelli, E.; Rebucci, R.; Sundaram, T.S.; Coranelli, S.; Spalletta, A.; et al. Evaluation of Adhesive Characteristics of L. plantarum and L. reuteri Isolated from Weaned Piglets. Microorganisms 2021, 9, 1587. [Google Scholar] [CrossRef]
- Pelyuntha, W.; Chaiyasut, C.; Kantachote, D.; Sirilun, S. Cell-Free Supernatants from Cultures of Lactic Acid Bacteria Isolated from Fermented Grape as Biocontrol against Salmonella Typhi and Salmonella Typhimurium Virulence via Autoinducer-2 and Biofilm Interference. PeerJ 2019, 7, e7555. [Google Scholar] [CrossRef] [PubMed]
- Qadi, W.S.M.; Mediani, A.; Kasim, Z.M.; Misnan, N.M.; Sani, N.A.; Jamar, N.H. Biological Characterization and Metabolic Variations among Cell-Free Supernatants Produced by Selected Plant-Based Lactic Acid Bacteria. Metabolites 2023, 13, 849. [Google Scholar] [CrossRef]
- Geraldo, B.M.C.; Batalha, M.N.; Milhan, N.V.M.; Rossoni, R.D.; Scorzoni, L.; Anbinder, A.L. Heat-killed Lactobacillus Reuteri and Cell-free Culture Supernatant Have Similar Effects to Viable Probiotics during Interaction with Porphyromonas Gingivalis. J. Periodontal Res. 2020, 55, 215–220. [Google Scholar] [CrossRef] [PubMed]
- Chantanawilas, P.; Pahumunto, N.; Thananimit, S.; Teanpaisan, R. Anticandidal Activity of Various Probiotic Lactobacillus Strains and Their Efficacy Enhanced by Prebiotic Supplementation. Curr. Microbiol. 2024, 81, 271. [Google Scholar] [CrossRef] [PubMed]
- Grande, R.; Celia, C.; Mincione, G.; Stringaro, A.; Di Marzio, L.; Colone, M.; Di Marcantonio, M.C.; Savino, L.; Puca, V.; Santoliquido, R.; et al. Detection and Physicochemical Characterization of Membrane Vesicles (MVs) of Lactobacillus Reuteri DSM 17938. Front Microbiol 2017, 8, 1040. [Google Scholar] [CrossRef]
- Vitale, I.; Spano, M.; Puca, V.; Carradori, S.; Cesa, S.; Marinacci, B.; Sisto, F.; Roos, S.; Grompone, G.; Grande, R. Antibiofilm Activity and NMR-Based Metabolomic Characterization of Cell-Free Supernatant of Limosilactobacillus Reuteri DSM 17938. Front. Microbiol. 2023, 14, 1128275. [Google Scholar] [CrossRef] [PubMed]
- Marinacci, B.; Pellegrini, B.; Roos, S. A Mini-Review: Valuable Allies for Human Health: Probiotic Strains of Limosilactobacillus Reuteri. Ital. J. Anat. Embryol. 2023, 127, 57–60. [Google Scholar] [CrossRef]
- De Weirdt, R.; Crabbé, A.; Roos, S.; Vollenweider, S.; Lacroix, C.; van Pijkeren, J.P.; Britton, R.A.; Sarker, S.; Van de Wiele, T.; Nickerson, C.A. Glycerol Supplementation Enhances L. reuteri’s Protective Effect against S. typhimurium Colonization in a 3-D Model of Colonic Epithelium. PLoS ONE 2012, 7, e37116. [Google Scholar] [CrossRef] [PubMed]
- Bian, L.; Molan, A.-L.; Maddox, I.; Shu, Q. Antimicrobial Activity of Lactobacillus Reuteri DPC16 Supernatants against Selected Food Borne Pathogens. World J. Microbiol. Biotechnol. 2011, 27, 991–998. [Google Scholar] [CrossRef]
- Sun, Y.; Gutierrez-Maddox, N.; Mutukumira, A.N.; Maddox, I.S.; Shu, Q. Influence of Operating Conditions on Reuterin Production Using Resting Cells of Limosilactobacillus Reuteri DPC16. Fermentation 2022, 8, 227. [Google Scholar] [CrossRef]
- Yu, H.; Ganas, P.; Schwendicke, F. Environment-Specific Probiotic Supernatants Modify the Metabolic Activity and Survival of Streptococcus Mutans in Vitro. Front. Microbiol. 2020, 11, 1447. [Google Scholar] [CrossRef] [PubMed]
- Aminnezhad, S.; Kasra Kermanshahi, R.; Ranjbar, R. Evaluation of Synergistic Interactions Between Cell-Free Supernatant of Lactobacillus Strains and Amikacin and Genetamicin Against Pseudomonas Aeruginosa. Jundishapur J. Microbiol. 2015, 8, e16592. [Google Scholar] [CrossRef]
- Rossoni, R.D.; dos Velloso, M.S.; de Barros, P.P.; de Alvarenga, J.A.; dos Santos, J.D.; dos Santos Prado, A.C.C.; de Ribeiro, F.C.; Anbinder, A.L.; Junqueira, J.C. Inhibitory Effect of Probiotic Lactobacillus Supernatants from the Oral Cavity on Streptococcus Mutans Biofilms. Microb. Pathog. 2018, 123, 361–367. [Google Scholar] [CrossRef]
- Kristjansdottir, T.; Bosma, E.F.; Branco dos Santos, F.; Özdemir, E.; Herrgård, M.J.; França, L.; Ferreira, B.; Nielsen, A.T.; Gudmundsson, S. A Metabolic Reconstruction of Lactobacillus Reuteri JCM 1112 and Analysis of Its Potential as a Cell Factory. Microb. Cell Factories 2019, 18, 186. [Google Scholar] [CrossRef] [PubMed]
- Van Holm, W.; Verspecht, T.; Carvalho, R.; Bernaerts, K.; Boon, N.; Zayed, N.; Teughels, W. Glycerol Strengthens Probiotic Effect of Limosilactobacillus Reuteri in Oral Biofilms: A Synergistic Synbiotic Approach. Mol. Oral Microbiol. 2022, 37, 266–275. [Google Scholar] [CrossRef]
- Schmidt, M.; Lynch, K.M.; Zannini, E.; Arendt, E.K. Fundamental Study on the Improvement of the Antifungal Activity of Lactobacillus Reuteri R29 through Increased Production of Phenyllactic Acid and Reuterin. Food Control 2018, 88, 139–148. [Google Scholar] [CrossRef]
- Černáková, L.; Líšková, A.; Lengyelová, L.; Rodrigues, C.F. Prevalence and Antifungal Susceptibility Profile of Oral Candida spp. Isolates from a Hospital in Slovakia. Medicina 2022, 58, 576. [Google Scholar] [CrossRef]
- Rodrigues, C.; Alves, D.; Henriques, M. Combination of Posaconazole and Amphotericin B in the Treatment of Candida Glabrata Biofilms. Microorganisms 2018, 6, 123. [Google Scholar] [CrossRef] [PubMed]
- Yu, H.J.; Chen, Y.F.; Yang, H.J.; Yang, J.; Xue, J.G.; Li, C.K.; Kwok, L.Y.; Zhang, H.P.; Sun, T.S. Screening for Lactobacillus Plantarum with Potential Inhibitory Activity against Enteric Pathogens. Ann. Microbiol. 2015, 65, 1257–1265. [Google Scholar] [CrossRef]







| L. reuteri AJCR4 MFC (CFU/mL) | |
|---|---|
| C. albicans SC5314 | 108–107 |
| C. tropicalis ATCC750 | 106 |
| C. parapsilosis ATCC22019 | 108 |
| C. glabrata ATCC2001 | 107 |
| L. reuteri AJCR4 MBEC (CFU/mL) | |||
|---|---|---|---|
| Species | Strain | MBEC (CFU/mL) | MBEC–S |
| C. albicans | SC5314 | 108 | CFS |
| H37 | 108 | CFS | |
| H43 | 108 | CFS | |
| MYK 2760 | 108 | CFS | |
| C. tropicalis | ATCC750 | 108 | CFS |
| C7 | 108 | CFS | |
| C. glabrata | ATCC2001 | 108 | - |
| 15 | 108 | CFS | |
| H49 | 108 | CFS | |
| C. parapsilosis | ATCC22019 | 108 | CFS |
| Species | Strain | Country | Origin | Reference |
|---|---|---|---|---|
| C. albicans | SC5314 | Reference strain | - | ATCC |
| H37 | Brazil | Oral | [46] | |
| H43 | Brazil | Oral | [46] | |
| MYK 2760 | Slovakia | Oral | [2,75] | |
| C. tropicalis | ATCC750 | Reference strain | - | ATCC |
| C7 | Brazil | Oral | Collection strain | |
| C. glabrata | ATCC2001 | Reference strain | - | ATCC |
| 15 | Slovakia | Oral | [2] | |
| H49 | Brazil | Oral | [46] | |
| C. parapsilosis | ATCC22019 | Reference strain | - | ATCC |
Disclaimer/Publisher’s Note: The statements, opinions and data contained in all publications are solely those of the individual author(s) and contributor(s) and not of MDPI and/or the editor(s). MDPI and/or the editor(s) disclaim responsibility for any injury to people or property resulting from any ideas, methods, instructions or products referred to in the content. |
© 2025 by the authors. Licensee MDPI, Basel, Switzerland. This article is an open access article distributed under the terms and conditions of the Creative Commons Attribution (CC BY) license (https://creativecommons.org/licenses/by/4.0/).
Share and Cite
Rajão, A.; Silva, J.P.N.; Almeida-Nunes, D.L.; Rompante, P.; Rodrigues, C.F.; Andrade, J.C. Limosilactobacillus reuteri AJCR4: A Potential Probiotic in the Fight Against Oral Candida spp. Biofilms. Int. J. Mol. Sci. 2025, 26, 638. https://doi.org/10.3390/ijms26020638
Rajão A, Silva JPN, Almeida-Nunes DL, Rompante P, Rodrigues CF, Andrade JC. Limosilactobacillus reuteri AJCR4: A Potential Probiotic in the Fight Against Oral Candida spp. Biofilms. International Journal of Molecular Sciences. 2025; 26(2):638. https://doi.org/10.3390/ijms26020638
Chicago/Turabian StyleRajão, António, João P. N. Silva, Diana L. Almeida-Nunes, Paulo Rompante, Célia Fortuna Rodrigues, and José Carlos Andrade. 2025. "Limosilactobacillus reuteri AJCR4: A Potential Probiotic in the Fight Against Oral Candida spp. Biofilms" International Journal of Molecular Sciences 26, no. 2: 638. https://doi.org/10.3390/ijms26020638
APA StyleRajão, A., Silva, J. P. N., Almeida-Nunes, D. L., Rompante, P., Rodrigues, C. F., & Andrade, J. C. (2025). Limosilactobacillus reuteri AJCR4: A Potential Probiotic in the Fight Against Oral Candida spp. Biofilms. International Journal of Molecular Sciences, 26(2), 638. https://doi.org/10.3390/ijms26020638

