Comprehensive Analysis of SIGLEC-15 and PD-L1 Expression Identifies Distinct Prognostic Profiles in Gastric Cancer
Abstract
1. Introduction
2. Results
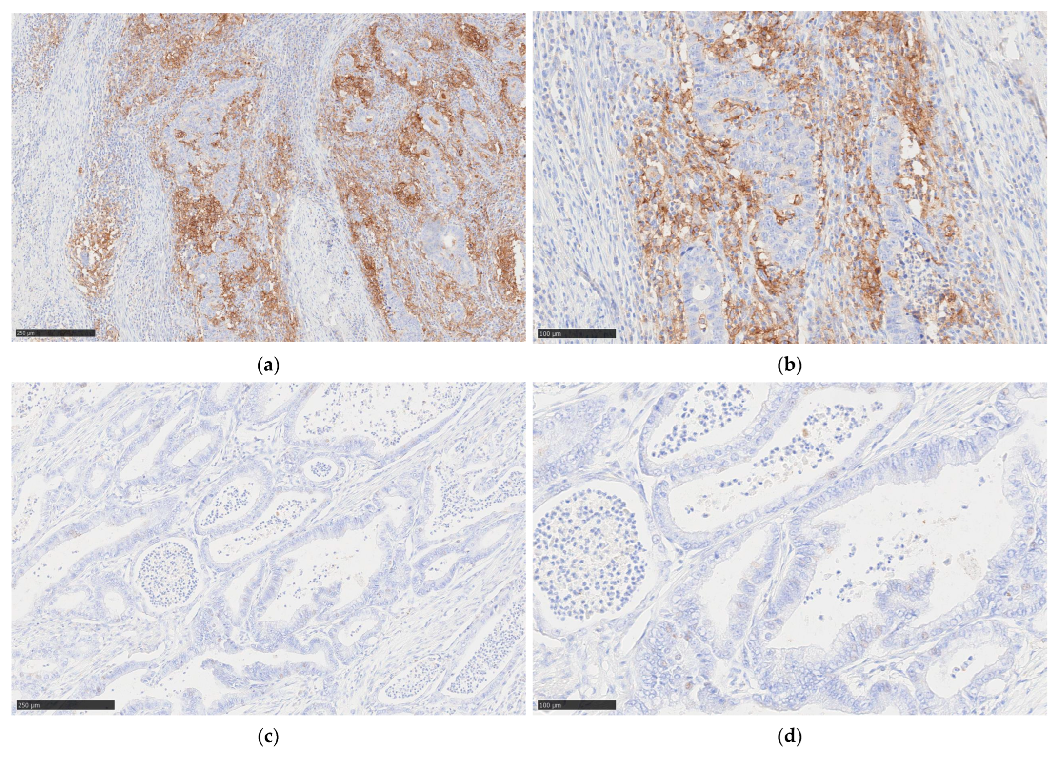
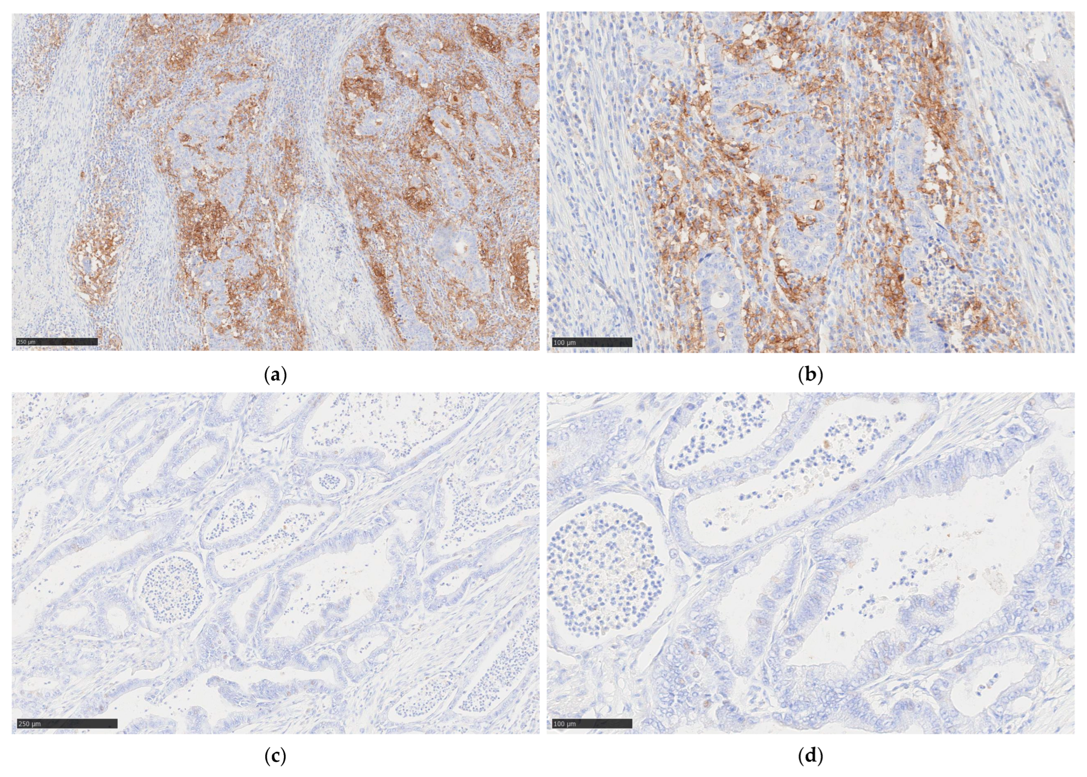
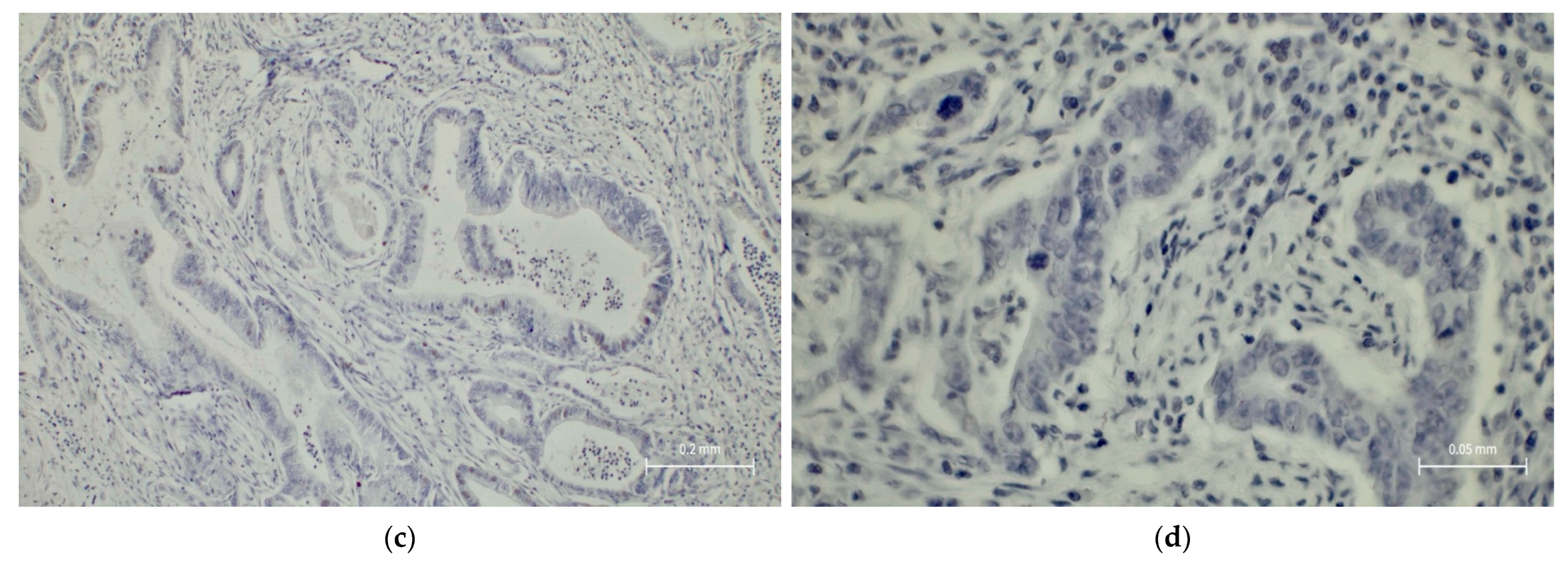
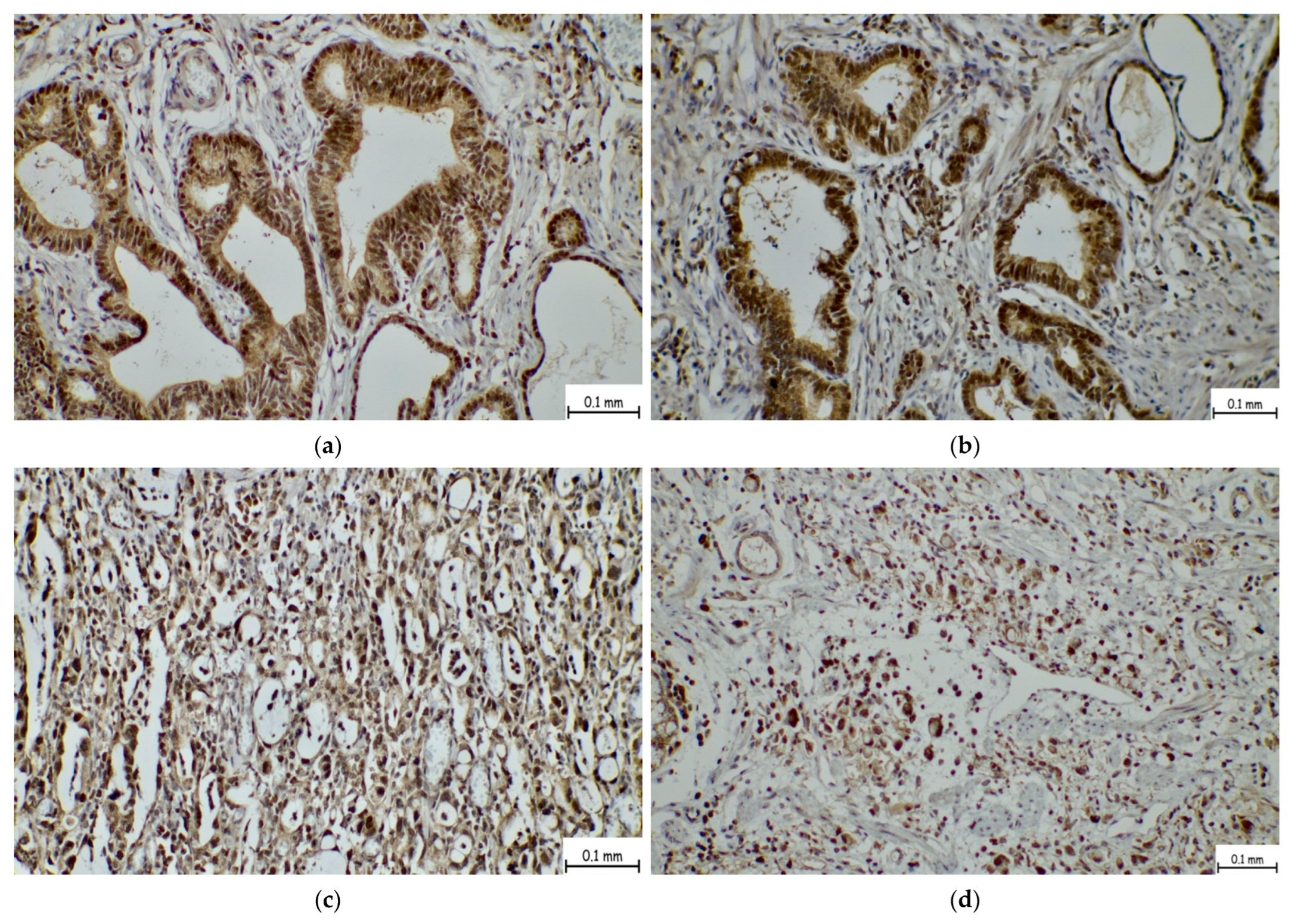
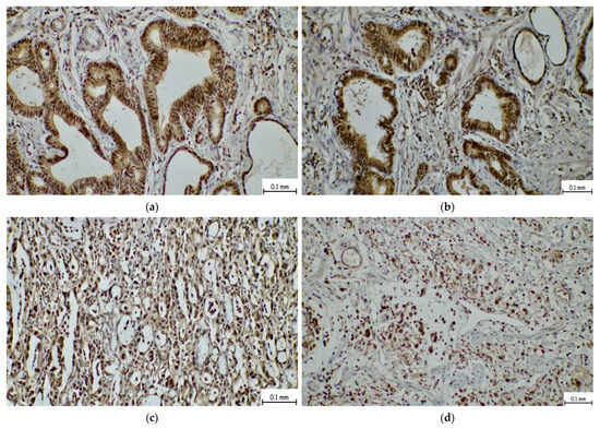
2.1. Associations Between SIGLEC-15 Expression and Clinicopathologic Features
2.2. Clinicopathological Characteristics Across SIGLEC-15 and PD-L1 Expression Subgroups
- (1)
- SIGLEC-15 low H-score (H-score < 110)/PD-L1 CPS < 1, n = 25 cases;
- (2)
- SIGLEC-15 high H-score (H-score ≥ 110)/PD-L1 CPS < 1, n = 35 cases;
- (3)
- SIGLEC-15 low H-score (H-score < 110)/PD-L1 CPS ≥ 1, n = 51 cases;
- (4)
- SIGLEC-15 high H-score (H-score ≥ 110)/PD-L1 CPS ≥ 1, n = 22 cases.
2.3. Overall Survival Analysis According to SIGLEC-15 Expression
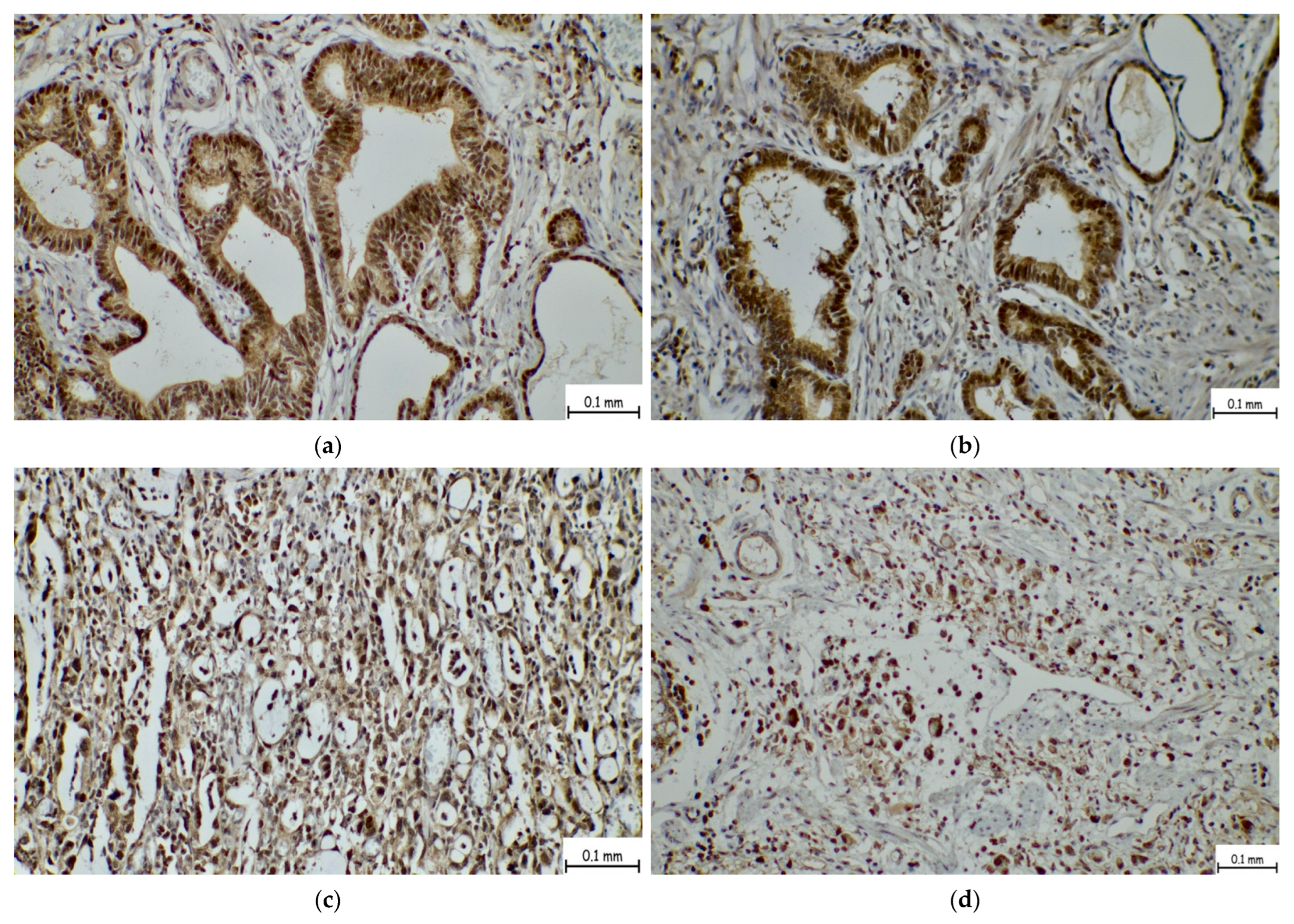
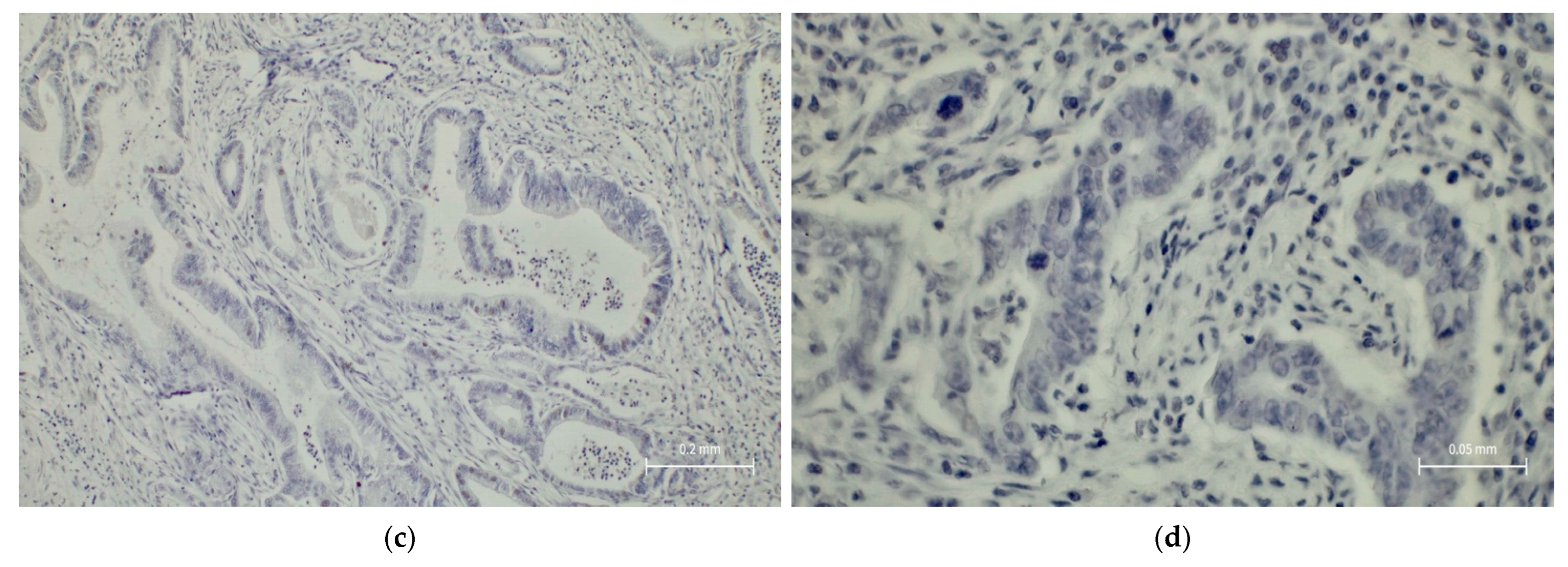
2.4. Survival Analysis Based on Combined SIGLEC-15 and PD-L1 Expression Patterns
3. Discussion
Strengths, Limitations, and Future Perspectives
4. Material and Methods
4.1. Study Population and Clinicopathologic Data
4.2. Immunohistochemistry (IHC)
4.3. Statistical Analysis
5. Conclusions
Author Contributions
Funding
Institutional Review Board Statement
Informed Consent Statement
Data Availability Statement
Acknowledgments
Conflicts of Interest
Abbreviations
| AJCC | American Joint Committee on Cancer |
| CPS | Combined positive score |
| EMA | European Medicines Agency |
| ESMO | European Society for Medical Oncology |
| FFPE | Formalin-fixed: paraffin-embedded |
| GC | Gastric cancer |
| GI | Gastrointestinal |
| IHC | Immunohistochemistry |
| IQR | Interquartile ranges |
| IL | Interleukin |
| IO | Immunotherapy |
| NCCN | National Comprehensive Cancer Network |
| NSCLC | Non-small cell lung cancer |
| PD-L1 | Programmed death-ligand 1 |
| SIGLEC-15 | Sialic acid-binding immunoglobulin-like lectin 15 |
| TAMs | Tumor-associated macrophages |
References
- Pavlovic, M.; Gajovic, N.; Jurisevic, M.; Mitrovic, S.; Radosavljevic, G.; Pantic, J.; Arsenijevic, N.; Jovanovic, I. Diverse Expression of IL-32 in Diffuse and Intestinal Types of Gastric Cancer. Gastroenterol. Res. Pract. 2018, 2018, 6578273. [Google Scholar] [CrossRef] [PubMed Central]
- Cozac-Szőke, A.-R.; Radu, G.-N.; Negovan, A.; Cozac, D.A.; Turdean, S.; Tinca, A.-C.; Szász, E.-A.; Cocuz, I.-G.; Sabău, A.-H.; Niculescu, R.; et al. Prognostic Impact of Klintrup–Mäkinen (KM) Score in Gastric Cancer and Its Association with Pathological Parameters. Medicina 2025, 61, 715. [Google Scholar] [CrossRef]
- Kang, K.; Bagaoisan, M.A.; Zhang, Y. Unveiling the Younger Face of Gastric Cancer: A Comprehensive Review of Epidemiology, Risk Factors, and Prevention Strategies. Cureus 2024, 16, e62826. [Google Scholar] [CrossRef] [PubMed] [PubMed Central]
- Shin, W.S.; Xie, F.; Chen, B.; Yu, J.; Lo, K.W.; Tse, G.M.K.; To, K.F.; Kang, W. Exploring the Microbiome in Gastric Cancer: Assessing Potential Implications and Contextualizing Microorganisms beyond H. pylori and Epstein-Barr Virus. Cancers 2023, 15, 4993. [Google Scholar] [CrossRef] [PubMed]
- Wang, Y.; Zhu, C.; Song, W.; Li, J.; Zhao, G.; Cao, H. PD-L1 Expression and CD8+ T Cell Infiltration Predict a Favorable Prognosis in Advanced Gastric Cancer. J. Immunol. Res. 2018, 2018, 4180517. [Google Scholar] [CrossRef]
- Ito, M.; Oshima, Y.; Yajima, S.; Suzuki, T.; Nanami, T.; Shiratori, F.; Funahashi, K.; Nemoto, T.; Shimada, H. Is high serum programmed death ligand 1 level a risk factor for poor survival in patients with gastric cancer? Ann. Gastroenterol. Surg. 2018, 2, 313. [Google Scholar] [CrossRef] [PubMed Central]
- Amatatsu, M.; Arigami, T.; Uenosono, Y.; Yanagita, S.; Uchikado, Y.; Kijima, Y.; Kurahara, H.; Kita, Y.; Mori, S.; Sasaki, K.; et al. Programmed death-ligand 1 is a promising blood marker for predicting tumor progression and prognosis in patients with gastric cancer. Cancer Sci. 2018, 109, 814–820. [Google Scholar] [CrossRef] [PubMed] [PubMed Central]
- Yun, T.; Wang, S.; Jiang, B.; Wang, C.; Meng, N.; Yuan, X.; Wang, Y.; Gurzu, S. Significance of Detection of the HER2 Gene and PD-1/PD-L1 in Gastric Cancer. J. Oncol. 2020, 2020, 8678945. [Google Scholar] [CrossRef] [PubMed Central]
- Jiang, K.-Y.; Qi, L.-L.; Liu, X.-B.; Wang, Y.; Wang, L. Prognostic value of Siglec-15 expression in patients with solid tumors: A meta-analysis. Front. Oncol. 2023, 12, 1073932. [Google Scholar] [CrossRef]
- Ahmad, M.S.; Braoudaki, M.; Patel, H.; Ahmad, I.; Shagufta; Siddiqui, S.S. Novel Siglec-15-Sia axis inhibitor leads to colorectal cancer cell death by targeting miR-6715b-3p and oncogenes. Front. Immunol. 2023, 14, 1254911. [Google Scholar] [CrossRef]
- Chen, X.; Mo, S.; Zhang, Y.; Ma, H.; Lu, Z.; Yu, S.; Chen, J. Analysis of a novel immune checkpoint, Siglec-15, in pancreatic ductal adenocarcinoma. J. Pathol. Clin. Res. 2022, 8, 268. [Google Scholar] [CrossRef] [PubMed] [PubMed Central]
- Li, Q.-T.; Huang, Z.-Z.; Chen, Y.-B.; Yao, H.-Y.; Ke, Z.-H.; He, X.X.; Qiu, M.-J.; Wang, M.-M.; Xiong, Z.-F.; Yang, S.-L. Integrative Analysis of Siglec-15 mRNA in Human Cancers Based on Data Mining. J. Cancer 2020, 11, 2453–2464. [Google Scholar] [CrossRef] [PubMed Central]
- Quirino, M.W.L.; Pereira, M.C.; Souza, M.d.F.D.d.; Pitta, I.d.R.; Filho, A.F.D.S.; Albuquerque, M.S.d.S.; Albuquerque, A.P.d.B.; Martins, M.R.; Pitta, M.G.d.R.; Rêgo, M.J.B.d.M. Immunopositivity for Siglec-15 in gastric cancer and its association with clinical and pathological parameters. Eur. J. Histochem. 2021, 65, 3174. [Google Scholar] [CrossRef]
- Cozac-Szőke, A.-R.; Cozac, D.A.; Negovan, A.; Tinca, A.C.; Vilaia, A.; Cocuz, I.-G.; Sabău, A.H.; Niculescu, R.; Chiorean, D.M.; Tomuț, A.N.; et al. Immune Cell Interactions and Immune Checkpoints in the Tumor Microenvironment of Gastric Cancer. Int. J. Mol. Sci. 2025, 26, 1156. [Google Scholar] [CrossRef]
- Wang, J.; Sun, J.; Liu, L.N.; Flies, D.B.; Nie, X.; Toki, M.; Zhang, J.; Song, C.; Zarr, M.; Zhou, X.; et al. Siglec-15 as an immune suppressor and potential target for normalization cancer immunotherapy. Nat. Med. 2019, 25, 656–666. [Google Scholar] [CrossRef]
- Zhao, J.; Yang, H.; Hu, H.; Liu, C.; Wei, M.; Zhao, Y.; Chen, Y.; Cui, Y.; Chen, P.; Xiong, K.; et al. Prognostic value of PD-L1 and Siglec-15 expression in patients with nasopharyngeal carcinoma. Sci. Rep. 2022, 12, 10401. [Google Scholar] [CrossRef]
- Lu, Z.; Cheng, P.; Huang, F.; Li, J.; Wang, B.; Zou, S.; Zheng, Z.; Peng, C. Significance of Siglec-15 expression in colorectal cancer: Association with advanced disease stage and fewer tumor-infiltrating lymphocytes. J. Pathol. Clin. Res. 2023, 9, 121–128. [Google Scholar] [CrossRef]
- Chen, Q.; Chen, B.; Wang, C.; Hu, L.; Wu, Q.; Zhu, Y.; Zhang, Q. Dynamic change in Siglec-15 expression in peritumoral macrophages confers an immunosuppressive microenvironment and poor outcome in glioma. Front. Immunol. 2023, 14, 1159085. [Google Scholar] [CrossRef] [PubMed]
- Deng, D.; Xiao, J.; Liu, J.; Li, H.; Hu, M.; Zhou, B.; Liang, H.; Fan, B.; Chen, J.; Kuang, X.; et al. Evasion of immunosurveillance by the upregulation of Siglec15 in bladder cancer. J. Hematol. Oncol. 2024, 17, 117. [Google Scholar] [CrossRef] [PubMed]
- Huang, Z.; Guo, Y.; Li, B.; Shen, M.; Yi, Y.; Li, L.; Zhao, X.; Yang, L. Siglec-15 on macrophages suppress the immune microenvironment in patients with PD-L1 negative non-metastasis lung adenocarcinoma. Cancer Gene Ther. 2023, 31, 427–438. [Google Scholar] [CrossRef]
- Li, B.; Guo, Y.; Yi, Y.; Huang, Z.; Ren, Y.; Wang, H.; Yang, L. Non-spatial and spatial heterogeneity revealed a suppressive immune feature of Siglec-15 in lung adenocarcinomas. J. Transl. Med. 2023, 21, 599. [Google Scholar] [CrossRef]
- Yang, K.; Lu, R.; Mei, J.; Cao, K.; Zeng, T.; Hua, Y.; Huang, X.; Li, W.; Yin, Y. The war between the immune system and the tumor—Using immune biomarkers as tracers. Biomark. Res. 2024, 12, 51. [Google Scholar] [CrossRef]
- Chan, C.; Lustig, M.; Baumann, N.; Valerius, T.; van Tetering, G.; Leusen, J.H.W. Targeting Myeloid Checkpoint Molecules in Combination With Antibody Therapy: A Novel Anti-Cancer Strategy With IgA Antibodies? Front. Immunol. 2022, 13, 932155. Erratum in Front. Immunol. 2022, 13, 1017924. https://doi.org/10.3389/fimmu.2022.1017924. [CrossRef]
- Shi, T.; Ma, Y.; Yu, L.; Jiang, J.; Shen, S.; Hou, Y.; Wang, T. Cancer immunotherapy: A focus on the regulation of immune checkpoints. Int. J. Mol. Sci. 2018, 19, 1389. [Google Scholar] [CrossRef]
- Liu, X.; Liu, L.; Ren, Z.; Yang, K.; Xu, H.; Luan, Y.; Fu, K.; Guo, J.; Peng, H.; Zhu, M.; et al. Dual Targeting of Innate and Adaptive Checkpoints on Tumor Cells Limits Immune Evasion. Cell Rep. 2018, 24, 2101–2111. [Google Scholar] [CrossRef]
- Liu, B.; Guo, H.; Xu, J.; Qin, T.; Guo, Q.; Gu, N.; Zhang, D.; Qian, W.; Dai, J.; Hou, S.; et al. Elimination of tumor by CD47/PD-L1 dual-targeting fusion protein that engages innate and adaptive immune responses. mAbs 2018, 10, 315–324. [Google Scholar] [CrossRef] [PubMed]
- Pardoll, D.M. The blockade of immune checkpoints in cancer immunotherapy. Nat. Rev. Cancer 2012, 12, 252–264. [Google Scholar] [CrossRef] [PubMed]
- Lordick, F.; Carneiro, F.; Cascinu, S.; Fleitas, T.; Haustermans, K.; Piessen, G.; Vogel, A.; Smyth, E.C.; ESMO Guidelines Committee. Gastric cancer: ESMO Clinical Practice Guideline for diagnosis, treatment and follow-up. Ann. Oncol. 2022, 33, 1005–1020. [Google Scholar] [CrossRef] [PubMed]
- Ajani, J.A.; D’Amico, T.A.; Bentrem, D.J.; Chao, J.; Dasari, A.; Denlinger, C.S.; Fanta, P.T.; Gibson, M.K.; Goyal, A.; Kunz, P.L.; et al. Gastric Cancer, Version 2.2025, NCCN Clinical Practice Guidelines in Oncology. J. Natl. Compr. Canc. Netw. 2025, 23, 169–191. [Google Scholar] [CrossRef]
- Merck. European Commission Approves Pembrolizumab (Keytruda) Plus Chemotherapy as First Line Treatment for HER2 Negative Advanced Gastric or Gastroesophageal Junction Adenocarcinoma Expressing PD L1 (CPS ≥ 1). Merck Press Release, 18 December 2023. Available online: https://www.merck.com/news/european-commission-approves-mercks-keytruda-pembrolizumab-plus-chemotherapy-for-new-first-line-indications-in-advanced-her2-negative-gastric-or-gej-adenocarcinoma-in-tumors-expressin/ (accessed on 29 August 2025).
- Gajewski, T.F.; Corrales, L.; Williams, J.; Horton, B.; Sivan, A.; Spranger, S. Cancer Immunotherapy Targets Based on Understanding the T Cell-Inflamed Versus Non-T Cell-Inflamed Tumor Microenvironment. Adv. Exp. Med. Biol. 2017, 1036, 19–31. [Google Scholar] [CrossRef] [PubMed Central]
- Study Details|A Safety and Tolerability Study of NC318 in Subjects with Advanced or Metastatic Solid Tumors|ClinicalTrials.gov [Internet]. Available online: https://clinicaltrials.gov/study/NCT03665285 (accessed on 29 July 2025).
- Nagtegaal, I.D.; Odze, R.D.; Klimstra, D.; Paradis, V.; Rugge, M.; Schirmacher, P.; Washington, K.M.; Carneiro, F.; Cree, I.A.; WHO Classification of Tumours Editorial Board. The 2019 WHO classification of tumours of the digestive system. Histopathology 2020, 76, 182–188. [Google Scholar] [CrossRef] [PubMed]
- AJCC Cancer Staging Manual. [Internet]. 24 October 2016. Available online: https://www.scienceopen.com/book?vid=e1748081-6c66-423e-b771-71537c1a8bcb (accessed on 29 July 2025).








| Parameter | SIGLEC-15 High H-Score Group n = 57 | SIGLEC-15 Low H-Score Group n = 76 | Fisher’s p-Value * | OR | 95% CI | ||
|---|---|---|---|---|---|---|---|
| n | % | n | % | ||||
| Male sex | 42 | 73.6 | 56 | 73.6 | 0.99 | 1.00 | 0.46–2.18 |
| Age ≥68 years | 29 | 50.8 | 41 | 53.9 | 0.72 | 0.88 | 0.44–1.76 |
| Borrmann classification III and IV | 38 | 66.6 | 48 | 63.1 | 0.71 | 1.17 | 0.57–2.40 |
| Tumor size ≥5 cm | 31 | 54.3 | 37 | 48.6 | 0.59 | 1.26 | 0.63–2.50 |
| Grading G3 (poorly differentiated) | 35 | 61.4 | 35 | 46.0 | 0.03 | 2.12 | 1.05–4.28 |
| Tumor invasion depth pT3-4 | 52 | 91.2 | 62 | 81.5 | 0.13 | 2.35 | 0.79–6.95 |
| Lymph node metastasis pN1-3 | 50 | 87.7 | 47 | 61.8 | <0.001 | 4.41 | 1.76–11.02 |
| Distant metastasis status pM1 | 10 | 17.5 | 14 | 18.4 | 0.99 | 0.94 | 0.38–2.31 |
| Lymphatic invasion (L1) | 46 | 80.7 | 38 | 50.0 | <0.001 | 4.18 | 1.89–9.28 |
| Venous invasion (V1) | 31 | 54.3 | 23 | 30.2 | 0.007 | 2.75 | 1.34–5.62 |
| Perineural invasion (Pn1) | 28 | 49.1 | 19 | 25.0 | 0.005 | 2.90 | 1.39–6.04 |
| Positive surgical margins (R1) | 16 | 28.0 | 15 | 19.7 | 0.30 | 1.59 | 0.71–3.56 |
| Systemic therapy | |||||||
| Anti-PD-1 + chemotherapy vs. chemotherapy without IO | 6 | 10.5 | 8 | 10.5 | 0.99 | 1.00 | 0.33–3.06 |
| Parameter | SIGLEC-15 Low H-Score/PD-L1 CPS < 1 (n = 25) | SIGLEC-15 High H-Score/PD-L1 CPS < 1 (n = 35) | SIGLEC-15 Low H-Score/PD-L1 CPS ≥ 1 (n = 51) | SIGLEC-15 High H-Score/PD-L1 CPS ≥ 1 (n = 22) | p-Value * |
|---|---|---|---|---|---|
| Grading G3 Poorly differentiated | 12 (48%) | 20 (57.1%) | 23 (45.1%) | 15 (68.2%) | 0.28 |
| Tumor invasion depth pT3-4 | 22 (88%) | 31 (88.6%) | 40 (78.4%) | 21 (95.4%) | 0.08 |
| Lymph node metastasis pN1-3 | 18 (72%) | 30 (85.7%) | 29 (56.9%) | 20 (90.9%) | 0.004 |
| Distant metastasis status pM1 | 4 (16%) | 5 (14.3%) | 10 (19.6%) | 5 (22.7%) | 0.84 |
| Lymphatic invasion (L1) | 14 (56%) | 28 (80%) | 24 (47.1%) | 18 (81.8%) | 0.003 |
| Venous invasion (V1) | 6 (24%) | 19 (54.3%) | 17 (33.3%) | 12 (54.5%) | 0.03 |
| Perineural invasion (Pn1) | 9 (36%) | 17 (48.6%) | 10 (19.6%) | 11 (50%) | 0.01 |
| Positive surgical margins (R1) | 4 (16%) | 11 (31.4%) | 11 (21.6%) | 5 (22.7%) | 0.54 |
Disclaimer/Publisher’s Note: The statements, opinions and data contained in all publications are solely those of the individual author(s) and contributor(s) and not of MDPI and/or the editor(s). MDPI and/or the editor(s) disclaim responsibility for any injury to people or property resulting from any ideas, methods, instructions or products referred to in the content. |
© 2025 by the authors. Licensee MDPI, Basel, Switzerland. This article is an open access article distributed under the terms and conditions of the Creative Commons Attribution (CC BY) license (https://creativecommons.org/licenses/by/4.0/).
Share and Cite
Cozac-Szőke, A.-R.; Tinca, A.C.; Negovan, A.; Vilaia, A.; Cozac, D.-A.; Cocuz, I.-G.; Sabău, A.H.; Hagău, R.-D.; Chiorean, D.-M.; Lazar, A.-B.; et al. Comprehensive Analysis of SIGLEC-15 and PD-L1 Expression Identifies Distinct Prognostic Profiles in Gastric Cancer. Int. J. Mol. Sci. 2025, 26, 8637. https://doi.org/10.3390/ijms26178637
Cozac-Szőke A-R, Tinca AC, Negovan A, Vilaia A, Cozac D-A, Cocuz I-G, Sabău AH, Hagău R-D, Chiorean D-M, Lazar A-B, et al. Comprehensive Analysis of SIGLEC-15 and PD-L1 Expression Identifies Distinct Prognostic Profiles in Gastric Cancer. International Journal of Molecular Sciences. 2025; 26(17):8637. https://doi.org/10.3390/ijms26178637
Chicago/Turabian StyleCozac-Szőke, Andreea-Raluca, Andreea Cătălina Tinca, Anca Negovan, Alexandra Vilaia, Dan-Alexandru Cozac, Iuliu-Gabriel Cocuz, Adrian Horațiu Sabău, Raluca-Diana Hagău, Diana-Maria Chiorean, Andreea-Bianca Lazar, and et al. 2025. "Comprehensive Analysis of SIGLEC-15 and PD-L1 Expression Identifies Distinct Prognostic Profiles in Gastric Cancer" International Journal of Molecular Sciences 26, no. 17: 8637. https://doi.org/10.3390/ijms26178637
APA StyleCozac-Szőke, A.-R., Tinca, A. C., Negovan, A., Vilaia, A., Cozac, D.-A., Cocuz, I.-G., Sabău, A. H., Hagău, R.-D., Chiorean, D.-M., Lazar, A.-B., Turdean, S., Szász, E.-A., Tomuț, A. N., & Cotoi, O. S. (2025). Comprehensive Analysis of SIGLEC-15 and PD-L1 Expression Identifies Distinct Prognostic Profiles in Gastric Cancer. International Journal of Molecular Sciences, 26(17), 8637. https://doi.org/10.3390/ijms26178637

