Robust Angio-Vasculogenic Properties of 3D-Cultured Dual GCP-2/PDGF-β Gene-Edited Human ASCs
Abstract
1. Introduction
2. Results
2.1. Targeted Knock-In of GCP-2/PDGF-β in ASCs and Angiogenic Potential of 3D-A/GP
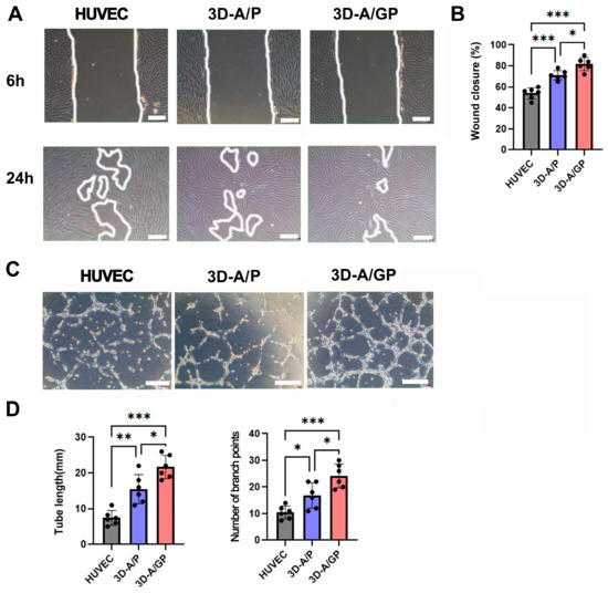
2.2. Factors Secreted from 3D-A/GP Stimulate Cell Migration and Endothelial Tube Formation
2.3. The 3D-A/GP Possess the Capacity of Vessel Formation In Vivo
2.4. Therapeutic Potential of 3D-A/GP in Hind Limb Ischemia (HLI) Model
2.5. Injection of 3D-A/GP Enhances Capillary Density in HLI
2.6. The 3D-ASCs Differentiated into Endothelial-like Cells in Vivo
3. Discussion
4. Materials and Methods
4.1. Cell Culture
4.2. Donor Vector Construction
4.3. Transfection and Selection and Fluorescence-Activated Cell Sorting (FACS)
4.4. Genomic DNA Extraction and Junction PCR
4.5. Conditioned Medium (CM) Collection
4.6. Gene Analysis
4.7. Matrigel Tube Formation Assay
4.8. Scratch Migration Assay
4.9. Matrigel Plug Assay
4.10. Cell Transplantation in the HLI Mouse Model
4.11. Histological Analysis
4.12. Scoring Criteria for Histological Evaluation
4.13. Statistical Analysis
Supplementary Materials
Author Contributions
Funding
Institutional Review Board Statement
Informed Consent Statement
Data Availability Statement
Conflicts of Interest
Correction Statement
References
- Zuk, P.A.; Zhu, M.I.; Mizuno, H.; Huang, J.; Futrell, J.W.; Katz, A.J.; Benhaim, P.; Lorenz, H.P.; Hedrick, M.H. Multilineage Cells from Human Adipose Tissue: Implications for Cell-Based Therapies. Tissue Eng. 2001, 7, 211–228. [Google Scholar] [CrossRef]
- Gimble, J.M.; Katz, A.J.; Bunnell, B.A. Adipose-Derived Stem Cells for Regenerative Medicine. Circ. Res. 2007, 100, 1249–1260. [Google Scholar] [CrossRef] [PubMed]
- Lukomska, B.; Stanaszek, L.; Zuba-Surma, E.; Legosz, P.; Sarzynska, S.; Drela, K. Challenges and Controversies in Human Mesenchymal Stem Cell Therapy. Stem Cells Int. 2019, 2019, 9628536. [Google Scholar] [CrossRef] [PubMed]
- Guo, L.Z.; Kim, T.-H.; Han, S.; Kim, S.-W. Angio-Vasculogenic Properties of Endothelial-Induced Mesenchymal Stem Cells Derived From Human Adipose Tissue. Circ. J. 2016, 80, 998–1007. [Google Scholar] [CrossRef] [PubMed]
- Kim, S.-W.; Lee, D.-W.; Yu, L.-H.; Zhang, H.-Z.; Kim, C.E.; Kim, J.-M.; Park, T.-H.; Cha, K.-S.; Seo, S.-Y.; Roh, M.-S.; et al. Mesenchymal stem cells overexpressing GCP-2 improve heart function through enhanced angiogenic properties in a myocardial infarction model. Cardiovasc. Res. 2012, 95, 495–506. [Google Scholar] [CrossRef]
- Strieter, R.M.; Burdick, M.D.; Gomperts, B.N.; Belperio, J.A.; Keane, M.P. CXC chemokines in angiogenesis. Cytokine Growth Factor Rev. 2005, 16, 593–609. [Google Scholar] [CrossRef]
- Hellberg, C.; Ostman, A.; Heldin, C.H. PDGF and vessel maturation. Recent Results Cancer Res. 2010, 180, 103–114. [Google Scholar] [CrossRef]
- Min, Y.; Han, S.; Ryu, H.A.; Kim, S.-W. Human adipose mesenchymal stem cells overexpressing dual chemotactic gene showed enhanced angiogenic capacity in ischaemic hindlimb model. Cardiovasc. Res. 2018, 114, 1400–1409. [Google Scholar] [CrossRef]
- Miceli, V.; Pampalone, M.; Vella, S.; Carreca, A.P.; Amico, G.; Conaldi, P.G. Comparison of Immunosuppressive and Angiogenic Properties of Human Amnion-Derived Mesenchymal Stem Cells between 2D and 3D Culture Systems. Stem Cells Int. 2019, 2019, 7486279. [Google Scholar] [CrossRef]
- Frith, J.E.; Thomson, B.; Genever, P.G. Dynamic Three-Dimensional Culture Methods Enhance Mesenchymal Stem Cell Properties and Increase Therapeutic Potential. Tissue Eng. Part C Methods 2010, 16, 735–749. [Google Scholar] [CrossRef]
- Choi, J.S.; Park, Y.-J.; Kim, S.-W. Three-dimensional Differentiated Human Mesenchymal Stem Cells Exhibit Robust Antifibrotic Potential and Ameliorates Mouse Liver Fibrosis. Cell Transplant. 2021, 30, 0963689720987525. [Google Scholar] [CrossRef]
- Raman, D.; Baugher, P.J.; Thu, Y.M.; Richmond, A. Role of chemokines in tumor growth. Cancer Lett. 2007, 256, 137–165. [Google Scholar] [CrossRef]
- Cao, R.; Brakenhielm, E.; Li, X.; Pietras, K.; Widenfalk, J.; Ostman, A.; Eriksson, U.; Cao, Y. Angiogenesis stimulated by PDGF-CC, a novel member in the PDGF family, involves activation of PDGFR-aa and -ap receptors. FASEB J. 2002, 16, 1575–1583. [Google Scholar] [CrossRef]
- Jain, R.K. Molecular regulation of vessel maturation. Nat. Med. 2003, 9, 685–693. [Google Scholar] [CrossRef]
- Rouwkema, J.; Rivron, N.C.; van Blitterswijk, C.A. Vascularization in tissue engineering. Trends Biotechnol. 2008, 26, 434–441. [Google Scholar] [CrossRef]
- Reinmuth, N.; Rensinghoff, S.; Raedel, M.; Fehrmann, N.; Schwöppe, C.; Kessler, T.; Bisping, G.; Hilberg, F.; Roth, G.J.; Berdel, W.; et al. Paracrine interactions of vascular endothelial growth factor and platelet-derived growth factor in endothelial and lung cancer cells. Int. J. Oncol. 2007, 31, 621–626. [Google Scholar] [CrossRef] [PubMed]
- Asahara, T.; Murohara, T.; Sullivan, A.; Silver, M.; van der Zee, R.; Li, T.; Witzenbichler, B.; Schatteman, G.; Isner, J.M. Isolation of putative progenitor endothelial cells for angiogenesis. Science 1997, 275, 964–966. [Google Scholar] [CrossRef] [PubMed]
- Yoon, C.H.; Hur, J.; Park, K.W.; Kim, J.H.; Lee, C.S.; Oh, I.Y.; Kim, T.Y.; Cho, H.J.; Kang, H.J.; Chae, I.H.; et al. Synergistic neovascularization by mixed transplantation of early endothelial progenitor cells and late outgrowth endothelial cells: The role of angiogenic cytokines and matrix metalloproteinases. Circulation 2005, 112, 1618–1627. [Google Scholar] [CrossRef]
- Planat-Benard, V.; Silvestre, J.S.; Cousin, B.; Andre, M.; Nibbelink, M.; Tamarat, R.; Clergue, M.; Manneville, C.; Saillan-Barreau, C.; Duriez, M.; et al. Plasticity of human adipose lineage cells toward endothelial cells: Physiological and therapeutic perspectives. Circulation 2004, 109, 656–663. [Google Scholar] [CrossRef]
- Kim, S.-W.; Kim, H.; Cho, H.-J.; Lee, J.-U.; Levit, R.; Yoon, Y.-S. Human Peripheral Blood-Derived CD31+Cells Have Robust Angiogenic and Vasculogenic Properties and Are Effective for Treating Ischemic Vascular Disease. J. Am. Coll. Cardiol. 2010, 56, 593–607. [Google Scholar] [CrossRef]
- Bartosh, T.J.; Ylöstalo, J.H.; Mohammadipoor, A.; Bazhanov, N.; Coble, K.; Claypool, K.; Lee, R.H.; Choi, H.; Prockop, D.J. Aggregation of human mesenchymal stromal cells (MSCs) into 3D spheroids enhances their antiinflammatory properties. Proc. Natl. Acad. Sci. USA 2010, 107, 13724–13729. [Google Scholar] [CrossRef]
- Chae, D.; Han, J.H.; Park, Y.; Kim, S. TGF-β1 overexpressing human MSCs generated using gene editing show robust therapeutic potential for treating collagen-induced arthritis. J. Tissue Eng. Regen. Med. 2021, 15, 513–523. [Google Scholar] [CrossRef]
- Choi, J.S.; Jeong, I.S.; Han, J.H.; Cheon, S.H.; Kim, S.-W. IL-10-secreting human MSCs generated by TALEN gene editing ameliorate liver fibrosis through enhanced anti-fibrotic activity. Biomater. Sci. 2019, 7, 1078–1087. [Google Scholar] [CrossRef]
- Kim, S.W.; Houge, M.; Brown, M.; Davis, M.E.; Yoon, Y.S. Cultured human bone marrow-derived CD31(+) cells are effective for cardiac and vascular repair through enhanced angiogenic, adhesion, and anti-inflammatory effects. J. Am. Coll. Cardiol. 2014, 64, 1681–1694. [Google Scholar] [CrossRef]
- Jeong, I.S.; Park, Y.; Ryu, H.A.; An, H.S.; Han, J.H.; Kim, S.-W. Dual chemotactic factors-secreting human amniotic mesenchymal stem cells via TALEN-mediated gene editing enhanced angiogenesis. Int. J. Cardiol. 2018, 260, 156–162, Correction in Int. J. Cardiol. 2018, 263, 186. [Google Scholar] [CrossRef]






| Gene | Human | Mouse |
|---|---|---|
| Ang-1 | Mm00456503_m1 | |
| FGF-2 | Hs00266645_m1 | Mm00433287_m1 |
| GAPDH | Hs99999905_m1 | Mm99999915_g1 |
| GCP-2 | Hs00237017_m1 | |
| HGF | Hs00300159_m1 | |
| IGF-1 | Hs01547657-m1 | Mm00439560_m1 |
| PDGF-β | Hs00966522_m1 | |
| IL-8 | Hs00174103_m1 | |
| VEGF-A | Hs99999070_m1 | Mm01204733_m1 |
Disclaimer/Publisher’s Note: The statements, opinions and data contained in all publications are solely those of the individual author(s) and contributor(s) and not of MDPI and/or the editor(s). MDPI and/or the editor(s) disclaim responsibility for any injury to people or property resulting from any ideas, methods, instructions or products referred to in the content. |
© 2025 by the authors. Licensee MDPI, Basel, Switzerland. This article is an open access article distributed under the terms and conditions of the Creative Commons Attribution (CC BY) license (https://creativecommons.org/licenses/by/4.0/).
Share and Cite
Han, S.; An, S.J.; Kim, S.-W. Robust Angio-Vasculogenic Properties of 3D-Cultured Dual GCP-2/PDGF-β Gene-Edited Human ASCs. Int. J. Mol. Sci. 2025, 26, 8425. https://doi.org/10.3390/ijms26178425
Han S, An SJ, Kim S-W. Robust Angio-Vasculogenic Properties of 3D-Cultured Dual GCP-2/PDGF-β Gene-Edited Human ASCs. International Journal of Molecular Sciences. 2025; 26(17):8425. https://doi.org/10.3390/ijms26178425
Chicago/Turabian StyleHan, Seongho, Sang Joon An, and Sung-Whan Kim. 2025. "Robust Angio-Vasculogenic Properties of 3D-Cultured Dual GCP-2/PDGF-β Gene-Edited Human ASCs" International Journal of Molecular Sciences 26, no. 17: 8425. https://doi.org/10.3390/ijms26178425
APA StyleHan, S., An, S. J., & Kim, S.-W. (2025). Robust Angio-Vasculogenic Properties of 3D-Cultured Dual GCP-2/PDGF-β Gene-Edited Human ASCs. International Journal of Molecular Sciences, 26(17), 8425. https://doi.org/10.3390/ijms26178425

