Beyond the Known: Expanding the Clinical and Genetic Spectrum of Rare RPL13-Related Spondyloepimetaphyseal Dysplasia
Abstract
1. Introduction
2. Results
2.1. Molecular and Splicing Analysis
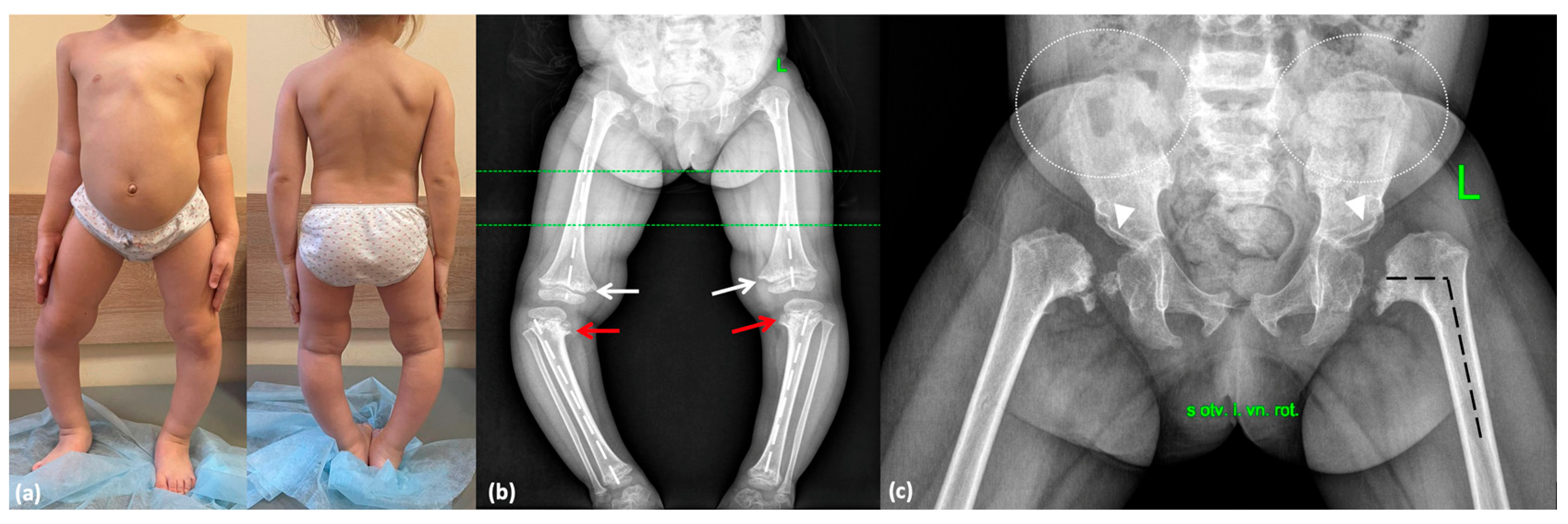
2.2. Clinical and Radiographic Findings
2.2.1. Family 1
2.2.2. Family 2
2.2.3. Family 3
2.2.4. Family 4
3. Discussion
4. Materials and Methods
4.1. Subjects
4.2. Massive Parallel Sequencing and Variant Analysis
4.3. RNA Analysis
4.4. Structural Mapping and Analyses
5. Conclusions
Supplementary Materials
Author Contributions
Funding
Institutional Review Board Statement
Informed Consent Statement
Data Availability Statement
Acknowledgments
Conflicts of Interest
References
- Isidor, B.; Geffroy, L.; de Courtivron, B.; Le Caignec, C.; Thiel, C.T.; Mortier, G.; Cormier-Daire, V.; David, A.; Toutain, A. A new form of severe spondyloepimetaphyseal dysplasia: Clinical and radiological characterization. Am. J. Med. Genet. 2013, 161A, 2645–2651. [Google Scholar] [CrossRef] [PubMed]
- Le Caignec, C.; Ory, B.; Lamoureux, F.; O’Donohue, M.F.; Orgebin, E.; Lindenbaum, P.; Téletchéa, S.; Saby, M.; Hurst, A.; Nelson, K.; et al. RPL13 Variants Cause Spondyloepimetaphyseal Dysplasia with Severe Short Stature. Am. J. Hum. Genet. 2019, 105, 1040–1047. [Google Scholar] [CrossRef] [PubMed]
- Costantini, A.; Alm, J.J.; Tonelli, F.; Valta, H.; Huber, C.; Tran, A.N.; Daponte, V.; Kirova, N.; Kwon, Y.U.; Bae, J.Y.; et al. Novel RPL13 Variants and Variable Clinical Expressivity in a Human Ribosomopathy with Spondyloepimetaphyseal Dysplasia. J. Bone Miner. Res. 2021, 36, 283–297. [Google Scholar] [CrossRef] [PubMed]
- Jacob, P.; Lindelöf, H.; Rustad, C.F.; Sutton, V.R.; Moosa, S.; Udupa, P.; Hammarsjö, A.; Bhavani, G.S.L.; Batkovskyte, D.; Tveten, K.; et al. Clinical, genetic and structural delineation of RPL13-related spondyloepimetaphyseal dysplasia suggest extra-ribosomal functions of eL13. NPJ Genom. Med. 2023, 8, 39. [Google Scholar] [CrossRef] [PubMed]
- Díaz-González, F.; Parrón-Pajares, M.; Lucas-Castro, E.; Modamio-Høybjør, S.; Sentchordi-Montané, L.; Seidel, V.; Prieto, P.; Tarraso-Urios, G.; Codina-Sola, M.; Cueto-González, A.M.; et al. Evolution of clinical and radiological presentations of spondyloepimetaphyseal dysplasia, RPL13-related: Description of 11 further cases. Clin. Genet. 2023, 104, 100–106. [Google Scholar] [CrossRef] [PubMed]
- Yelick, P.C.; Trainor, P.A. Ribosomopathies: Global process, tissue specific defects. Rare Dis. 2015, 3, e1025185. [Google Scholar] [CrossRef] [PubMed]
- Cheng, Z.; Mugler, C.F.; Keskin, A.; Hodapp, S.; Chan, L.Y.L.; Weis, K.; Mertins, P.; Regev, A.; Jovanovic, M.; Brar, G.A. Small and Large Ribosomal Subunit Deficiencies Lead to Distinct Gene Expression Signatures that Reflect Cellular Growth Rate. Mol. Cell 2019, 73, 36–47.e10. [Google Scholar] [CrossRef] [PubMed]
- Luan, Y.; Tang, N.; Yang, J.; Liu, S.; Cheng, C.; Wang, Y.; Chen, C.; Guo, Y.N.; Wang, H.; Zhao, W.; et al. Deficiency of ribosomal proteins reshapes the transcriptional and translational landscape in human cells. Nucleic Acids Res. 2022, 50, 6601–6617. [Google Scholar] [CrossRef] [PubMed]
- Farley-Barnes, K.I.; Ogawa, L.M.; Baserga, S.J. Ribosomopathies: Old Concepts, New Controversies. Trends Genet. 2019, 35, 754–767. [Google Scholar] [CrossRef] [PubMed]
- Narla, A.; Ebert, B.L. Ribosomopathies: Human disorders of ribosome dysfunction. Blood 2010, 115, 3196–3205. [Google Scholar] [CrossRef] [PubMed]
- Richards, S.; Aziz, N.; Bale, S.; Bick, D.; Das, S.; Gastier-Foster, J.; Grody, W.W.; Hegde, M.; Lyon, E.; Spector, E.; et al. Standards and guidelines for the interpretation of sequence variants: A joint consensus recommendation of the American College of Medical Genetics and Genomics and the Association for Molecular Pathology. Genet. Med. 2015, 17, 405–424. [Google Scholar] [CrossRef] [PubMed]
- Janoyer, M. Blount disease. Orthop. Traumatol. Surg. Res. 2019, 105, S111–S121. [Google Scholar] [CrossRef] [PubMed]
- Nakamura, K.; Kurokawa, T.; Nagano, A.; Nakamura, S.; Taniguchi, K.; Hamazaki, M. Dyggve-Melchior-Clausen syndrome without mental retardation (Smith-McCort dysplasia): Morphological and Biochemical Findings in Cartilage Growth Zones. Am. J. Med. Genet. 1998, 72, 11–17. [Google Scholar] [CrossRef]
- Unger, S.; Ferreira, C.R.; Mortier, G.R.; Ali, H.; Bertola, D.R.; Calder, A.; Cohn, D.H.; Cormier-Daire, V.; Girisha, K.M.; Hall, C.; et al. Nosology of genetic skeletal disorders: 2023 revision. Am. J. Med. Genet. 2023, 191, 1164–1209. [Google Scholar] [CrossRef] [PubMed]
- Reinsch, B.; Grand, K.; Lachman, R.S.; Kim, H.K.W.; Sanchez-Lara, P.A. Expanding the phenotypic spectrum of RPL13-related skeletal dysplasia. Am. J. Med. Genet. 2021, 185, 2776–2781. [Google Scholar] [CrossRef] [PubMed]
- Beskorovainy, N.S. NGS-Data-Genome (Certificate of State Registration No. 2021662119); Federal State Budgetary Scientific Institution “Research Centre for Medical Genetics named after academician N.P. Bochkov. Available online: https://elibrary.ru/xcnaip (accessed on 9 July 2025).
- Beskorovainy, N.S.; Beskorovainaya, T.S. NGSData. Available online: https://ngs-data-ccu.epigenetic.ru/main/ (accessed on 9 July 2025).





| Criteria | P1 (Present Study) | P2 (Present Study) | Reinsch B. et al., 2020 [15] | Díaz-González F. et al., 2023 [5] | Jacob P. et al., 2023 [4] |
|---|---|---|---|---|---|
| RPL13 variant | c.477+1G>C | c.477+5G>C | c.477+1G>A | c.477+3A>T | c.548G>A |
| Mode of inheritance | inherited | inherited | de novo | de novo | de novo |
| Age (y.o.) | 7 | 9 | 9 | 5.7 | 9 |
| Sex | f | f | m | m | m |
| Birth length, cm (SDS) a | 50 (0.06) | 50 (0.68) | 51 (0.6) | n/d | n/d |
| Height at time of examination, cm (SDS) a | 115 (−1.31) | 133 (0.07) | 129 (−0.59) | 107 (−1.80) | 129 (−0.6) |
| Referring diagnosis | Rickets-like disease, Blount disease, MED | Rickets-like disease, Blount disease, LCP disease, MED | LCP disease, MED | n/d | n/d |
| Irregular vertebral bodies | + | + | + | + | + |
| Platyspondyly | +/− | +/− | − | +/− | +/− |
| Scoliosis | − | − | − | − | − |
| Lumbar hyperlordosis | + | + | − | + | − |
| Short trunk | − | − | − | n/d | − |
| Metaphyseal involvement | + | + | + | + | + |
| Delayed epiphyseal ossification | + | + | n/d | + | + |
| Proximal femoral epiphyseal involvement | + | + | + | + | + |
| Irregular iliac crests | +/− | +/− | n/d | − | n/d |
| Coxa vara | + | + | + | + | + |
| Genu varum | + | + | − | +/− | − |
| Hyperlaxity | + | + | − | n/d | − |
| Others | Equino-abducto-plano-valgus foot deformity, cervicothoracic kyphosis | Varus deviation of the right foot | − | Pectus carinatum (mild) | Mild pectus excavatum, thoracic kyphosis |
| Extraskeletal findings | − | − | − | − | − |
| Orthopedic surgery | Hemiepiphysiodesis | Hemiepiphysiodesis | − | No but planned for future | n/d |
Disclaimer/Publisher’s Note: The statements, opinions and data contained in all publications are solely those of the individual author(s) and contributor(s) and not of MDPI and/or the editor(s). MDPI and/or the editor(s) disclaim responsibility for any injury to people or property resulting from any ideas, methods, instructions or products referred to in the content. |
© 2025 by the authors. Licensee MDPI, Basel, Switzerland. This article is an open access article distributed under the terms and conditions of the Creative Commons Attribution (CC BY) license (https://creativecommons.org/licenses/by/4.0/).
Share and Cite
Gorodilova, D.; Dadali, E.; Kenis, V.; Melchenko, E.; Akimova, D.; Bulakh, M.; Orlova, A.; Orlova, M.; Shatokhina, O.; Melnik, E.; et al. Beyond the Known: Expanding the Clinical and Genetic Spectrum of Rare RPL13-Related Spondyloepimetaphyseal Dysplasia. Int. J. Mol. Sci. 2025, 26, 6982. https://doi.org/10.3390/ijms26146982
Gorodilova D, Dadali E, Kenis V, Melchenko E, Akimova D, Bulakh M, Orlova A, Orlova M, Shatokhina O, Melnik E, et al. Beyond the Known: Expanding the Clinical and Genetic Spectrum of Rare RPL13-Related Spondyloepimetaphyseal Dysplasia. International Journal of Molecular Sciences. 2025; 26(14):6982. https://doi.org/10.3390/ijms26146982
Chicago/Turabian StyleGorodilova, Daria, Elena Dadali, Vladimir Kenis, Evgenii Melchenko, Daria Akimova, Maria Bulakh, Anna Orlova, Maria Orlova, Olga Shatokhina, Evgeniya Melnik, and et al. 2025. "Beyond the Known: Expanding the Clinical and Genetic Spectrum of Rare RPL13-Related Spondyloepimetaphyseal Dysplasia" International Journal of Molecular Sciences 26, no. 14: 6982. https://doi.org/10.3390/ijms26146982
APA StyleGorodilova, D., Dadali, E., Kenis, V., Melchenko, E., Akimova, D., Bulakh, M., Orlova, A., Orlova, M., Shatokhina, O., Melnik, E., Baud’huin, M., Skoblov, M., Kutsev, S., & Markova, T. (2025). Beyond the Known: Expanding the Clinical and Genetic Spectrum of Rare RPL13-Related Spondyloepimetaphyseal Dysplasia. International Journal of Molecular Sciences, 26(14), 6982. https://doi.org/10.3390/ijms26146982

