Ligand-Independent Vitamin D Receptor Actions Essential for Keratinocyte Homeostasis in the Skin
Abstract
1. Introduction
2. Results
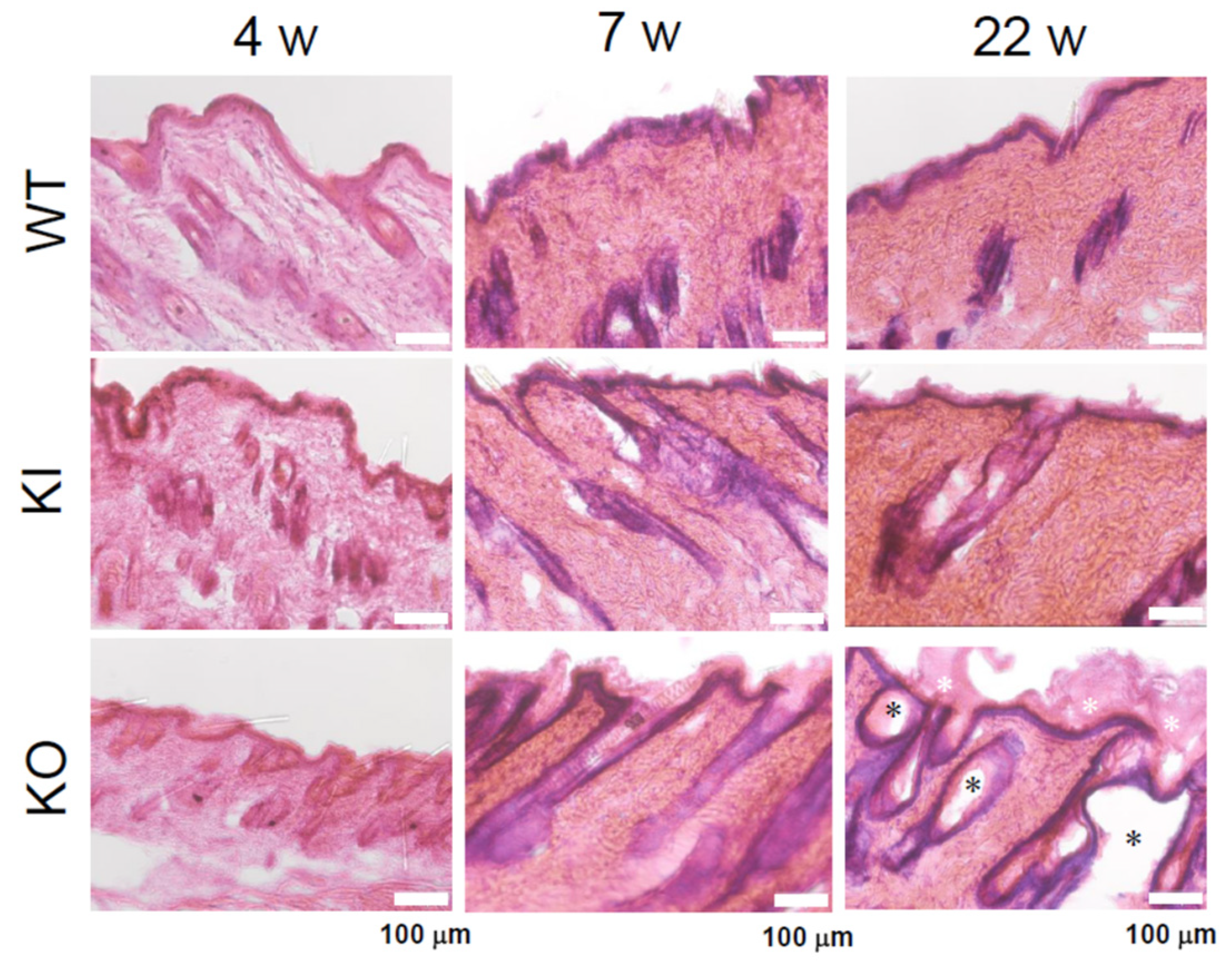
2.1. Comparison of Skin Morphology from Young Stage to Older Stage Among WT, KI, and KO Rats with HE Staining
2.2. VDR Localization in the Rat Skin via Immunofluorescence Analysis
2.3. SDS-PAGE Analysis of Rat Skin Proteins with CBB Staining and Western Blot Analysis Using Anti-Krt14 and Anti-Pan-Keratin Antibodies
2.4. Trans Epidermal Water Loss (TEWL) in the Rat Skin
2.5. Gene Expression Analysis by Bulk RNA-Seq
3. Discussion
- Non-liganded VDR is necessary for the expression of genes in Shh, Wnt, or Bmp pathways essential for hair cycle regulations.
- The initial hair cycle proceeds through anagen and catagen phases even in the absence of VDR.
- The transition from catagen to telogen requires VDR-dependent apoptosis of the epithelial strand of the hair follicle [13].
- Epithelial strands of hair follicles that evade apoptosis form cysts, which continue to proliferate to result in the formation of wavy skin surfaces as cornified layers (Supplementary Figures S1 and S4).
4. Materials and Methods
4.1. Animals and Diets
4.2. Immunofluorescence
4.3. HE Staining
4.4. Western Blot Analysis
4.5. Measurement of Moisture Transpiration (TEWL)
4.6. RNA-Seq Analysis
4.7. Statistical Analysis
5. Conclusions
Supplementary Materials
Author Contributions
Funding
Institutional Review Board Statement
Informed Consent Statement
Data Availability Statement
Acknowledgments
Conflicts of Interest
References
- Bouillon, R.; Carmeliet, G.; Verlinden, L.; van Etten, E.; Verstuyf, A.; Luderer, H.F.; Lieben, L.; Mathieu, C.; Demay, M. Vitamin D and human health: Lessons from vitamin D receptor null mice. Endocr. Rev. 2008, 29, 726–776. [Google Scholar] [CrossRef] [PubMed]
- Cui, X.; Gooch, H.; Petty, A.; McGrath, J.J.; Eyles, D. Vitamin D and the brain: Genomic and non-genomic actions. Mol. Cell. Endocrinol. 2017, 453, 131–143. [Google Scholar] [CrossRef]
- Tohda, C.; Urano, T.; Umezaki, M.; Nemere, I.; Kuboyama, T. Diosgenin is an exogenous activator of 1,25D₃-MARRS/Pdia3/ERp57 and improves Alzheimer’s disease pathologies in 5XFAD mice. Sci. Rep. 2012, 2, 535. [Google Scholar] [CrossRef]
- Yahyavi, S.K.; Boisen, I.M.; Cui, Z.; Jorsal, M.J.; Kooij, I.; Holt, R.; Juul, A.; Blomberg, J.M. Calcium and vitamin D homoeostasis in male fertility. Proc. Nutr. Soc. 2024, 83, 95–108. [Google Scholar] [CrossRef] [PubMed]
- Malloy, P.J.; Feldman, D. The role of vitamin D receptor mutations in the development of alopecia. Mol. Cell Endocrinol. 2011, 347, 90–96. [Google Scholar] [CrossRef] [PubMed]
- Kise, S.; Iijima, A.; Nagao, C.; Okada, T.; Mano, H.; Nishikawa, M.; Ikushiro, S.; Kanemoto, Y.; Kato, S.; Nakanishi, T.; et al. Functional analysis of vitamin D receptor (VDR) using adenovirus vector. J. Steroid Biochem. Mol. Biol. 2023, 230, 106275. [Google Scholar] [CrossRef] [PubMed]
- Nishikawa, M.; Yasuda, K.; Takamatsu, M.; Abe, K.; Okamoto, K.; Horibe, K.; Mano, H.; Nakagawa, K.; Tsugawa, N.; Hirota, Y.; et al. Generation of novel genetically modified rats to reveal the molecular mechanisms of vitamin D actions. Sci. Rep. 2020, 10, 5677. [Google Scholar] [CrossRef] [PubMed]
- Iwai, Y.; Iijima, A.; Kise, S.; Nagao, C.; Senda, Y.; Yabu, K.; Mano, H.; Nishikawa, M.; Ikushiro, S.; Yasuda, K.; et al. Characterization of Rickets Type II Model Rats to Reveal Functions of Vitamin D and Vitamin D Receptor. Biomolecules 2023, 13, 1666. [Google Scholar] [CrossRef] [PubMed]
- Oda, Y.; Tu, C.L.; Menendez, A.; Nguyen, T.; Bikle, D.D. Vitamin D and calcium regulation of epidermal wound healing. J. Steroid Biochem. Mol. Biol. 2016, 164, 379–385. [Google Scholar] [CrossRef]
- Pálmer, H.G.; Martinez, D.; Carmeliet, G.; Watt, F.M. The vitamin D receptor is required for mouse hair cycle progression but not for maintenance of the epidermal stem cell compartment. J. Investig. Dermatol. 2008, 128, 2113–2117. [Google Scholar] [CrossRef] [PubMed]
- Tian, X.Q.; Chen, T.C.; Holick, M.F. 1,25-dihydroxyvitamin D3: A novel agent for enhancing wound healing. J. Cell Biochem. 1995, 59, 53–56. [Google Scholar] [CrossRef]
- Bikle, D.D.; Ng, D.; Tu, C.L.; Oda, Y.; Xie, Z. Calcium- and vitamin D-regulated keratinocyte differentiation. Mol. Cell. Endocrinol. 2001, 177, 161–171. [Google Scholar] [CrossRef] [PubMed]
- Joko, Y.; Yamamoto, Y.; Kato, S.; Takemoto, T.; Abe, M.; Matsumoto, T.; Fukumoto; Sawatsubashi, S. VDR is an essential regulator of hair follicle regression through the progression of cell death. Life Sci. Alliance 2023, 6, e202302014. [Google Scholar] [CrossRef] [PubMed]
- Schwindt, D.A.; Wilhelm, K.P.; Maibach, H.I. Water diffusion characteristics of human stratum corneum at different anatomical sites In Vivo. J. Investig. Dermatol. 1998, 111, 385–389. [Google Scholar] [CrossRef]
- Hsieh, J.C.; Estess, R.C.; Kaneko, I.; Whitfield, G.K.; Jurutka, P.W.; Haussler, M.R. Vitamin D receptor-mediated control of Soggy, Wise, and Hairless gene expression in keratinocytes. J. Endocrinol. 2014, 220, 165–178. [Google Scholar] [CrossRef]
- Teichert, A.; Elalieh, H.; Bikle, D. Disruption of the hedgehog signaling pathway contributes to the hair follicle cycling deficiency in Vdr knockout mice. J. Cell. Physiol. 2010, 225, 482–489. [Google Scholar] [CrossRef] [PubMed]
- Kalabusheva, E.P.; Shtompel, A.S.; Rippa, A.L.; Ulianov, S.V.; Razin, S.V.; Vorotelyak, E.A. A Kaleidoscope of Keratin Gene Expression and the Mosaic of Its Regulatory Mechanisms. Int. J. Mol. Sci. 2023, 24, 5603. [Google Scholar] [CrossRef]
- Halioua, B.; Caillet, G.; Taieb, C.; Bewley, A.; Snel-Prentø, A.; Praestegaard, M.; Armstrong, A.; Pinter, A. A novel calcipotriol and betamethasone dipropionate (CAL/BDP) PAD-cream demonstrates greater improvements in daily activities and personal relationships than CAL/BDP gel/TS: A post-hoc analysis of DLQI outcomes from two phase 3 placebo-controlled randomized clinical trials in mild-to-moderate psoriasis. J. Eur. Acad. Dermatol. Venereol. 2024, 38, e326–e328. [Google Scholar]
- Sayegh, S.; Fantecelle, C.H.; Laphanuwat, P.; Subramanian, P.; Rustin, M.H.A.; Gomes, D.C.O.; Akbar, A.N.; Chambers, E.S. Vitamin D3 inhibits p38 MAPK and senescence-associated inflammatory mediator secretion by senescent fibroblasts that impacts immune responses during ageing. Aging Cell 2024, 23, e14093. [Google Scholar] [CrossRef] [PubMed]
- Bikle, D.D.; Nemanic, M.K.; Whitney, J.O.; Elias, P.W. Neonatal human foreskin keratinocytes produce 1,25-dihydroxyvitamin D3. Biochemistry 1986, 25, 1545–1548. [Google Scholar] [CrossRef] [PubMed]
- Bikle, D.D. Vitamin D: Production, Metabolism and Mechanisms of Action. In Endotext [Internet]; Feingold, K.R., Anawalt, B., Blackman, M.R., Boyce, A., Chrousos, G., Corpas, E., de Herder, W.W., Dhatariya, K., Dungan, K., Hofland, J., et al., Eds.; MDText.com, Inc.: South Dartmouth, MA, USA, 2000. [Google Scholar] [PubMed]
- Huet, T.; Laverny, G.; Ciesielski, F.; Molnár, F.; Ramamoorthy, T.G.; Belorusova, A.Y.; Antony, P.; Potier, N.; Metzger, D.; Moras, D.; et al. A vitamin D receptor selectively activated by gemini analogs reveals ligand dependent and independent effects. Cell Rep. 2015, 10, 516–526. [Google Scholar] [CrossRef] [PubMed]
- Skorija, K.; Cox, M.; Sisk, J.M.; Dowd, D.R.; MacDonald, P.N.; Thompson, C.C.; Demay, M.B. Ligand-independent actions of the vitamin D receptor maintain hair follicle homeostasis. Mol. Endocrinol. 2005, 19, 855–862. [Google Scholar] [CrossRef] [PubMed]
- Alimirah, F.; Vaishnav, A.; McCormick, M.; Echchgadda, I.; Chatterjee, B.; Mehta, R.G.; Peng, X. Functionality of unliganded VDR in breast cancer cells: Repressive action on CYP24 basal transcription. Mol. Cell. Biochem. 2010, 342, 143–150. [Google Scholar] [CrossRef] [PubMed]
- Xie, Z.; Komuves, L.; Yu, Q.C.; Elalieh, H.; Ng, D.C.; Leary, C.; Chang, S.; Crumrine, D.; Yoshizawa, T.; Kato, S.; et al. Lack of the vitamin D receptor is associated with reduced epidermal differentiation and hair follicle growth. J. Investig. Dermatol. 2006, 118, 11–16. [Google Scholar] [CrossRef]
- Hesse, M.; Zimek, A.; Weber, K.; Magin, T.M. Comprehensive analysis of keratin gene clusters in humans and rodents. Eur. J. Cell Biol. 2004, 83, 19–26. [Google Scholar] [CrossRef]
- Xie, Z.; Chang, S.; Oda, Y.; Bikle, D.D. Hairless suppresses vitamin D receptor transactivation in human keratinocytes. Endocrinology 2006, 147, 314–323. [Google Scholar] [CrossRef] [PubMed]
- Kise, S.; Iijima, A.; Nagao, C.; Okada, T.; Nishikawa, M.; Ikushiro, S.; Nakanishi, T.; Sato, S.; Yasuda, K.; Sakaki, T. Gene therapy for alopecia in type II rickets model rats using vitamin D receptor-expressing adenovirus vector. Sci. Rep. 2023, 13, 18528. [Google Scholar] [CrossRef] [PubMed]
- Krueger, F. Trim Galore (RRID: SCR_011847). Available online: https://github.com/FelixKrueger/TrimGalore (accessed on 29 December 2024).
- Martin, M. Cutadapt removes adapter sequences from high-throughput sequencing reads. EMBnet. J. 2011, 17, 10–12. [Google Scholar] [CrossRef]
- Ramdas, S.; Ozel, A.B.; Treutelaar, M.K.; Holl, K.; Mandel, M.; Woods, L.C.S.; Li, J.Z. Extended Regions of Suspected Mis-Assembly in the Rat Reference Genome. Sci. Data 2019, 6, 39. [Google Scholar] [CrossRef] [PubMed]
- Kim, D.; Langmead, B.; Salzberg, S.L. HISAT: A fast spliced aligner with low memory requirements. Nat. Methods 2015, 12, 357–360. [Google Scholar] [CrossRef]
- Pertea, M.; Pertea, G.M.; Antonescu, C.M.; Chang, T.C.; Mendell, J.T.; Salzberg, S.L. StringTie enables improved reconstruction of a transcriptome from RNA-seq reads. Nat. Biotechnol. 2015, 33, 290–295. [Google Scholar] [CrossRef]
- Robinson, M.D.; Oshlack, A. A scaling normalization method for differential expression analysis of RNA-seq data. Genome Biol. 2010, 11, R25. [Google Scholar] [CrossRef]
- Sun, J.; Nishiyama, T.; Shimizu, K.; Kadota, K. TCC: An R package for comparing tag count data with robust normalization strategies. BMC Bioinform. 2013, 14, 219. [Google Scholar] [CrossRef] [PubMed]
- Robinson, M.D.; McCarthy, D.J.; Smyth, G.K. edgeR: A Bioconductor package for differential expression analysis of digital gene expression data. Bioinformatics 2010, 26, 139–140. [Google Scholar] [CrossRef] [PubMed]
- Chen, H.; Boutros, P.C. VennDiagram: A package for the generation of highly-customizable Venn and Euler diagrams in R. BMC Bioinform. 2011, 12, 35. [Google Scholar] [CrossRef] [PubMed]
- Hara, Y.; Kawasaki, N.; Hirano, K.; Hashimoto, Y.; Adachi, J.; Watanabe, S.; Tomonaga, T. Quantitative proteomic analysis of cultured skin fibroblast cells derived from patients with triglyceride deposit cardiomyovasculopathy. Orphanet J. Rare Dis. 2013, 8, 197. [Google Scholar] [CrossRef] [PubMed]












| Protein | First Ig | Second Ig |
|---|---|---|
| VDR | Anti-VDR antibody (D2K6W) Rabbit mAb (Cell Signaling Technology) | Alexa Flour 488 goat anti-rabbit IgG (Invitrogen) |
| Krt14 | Anti-Cytokeratin 14 polyclonal rabbit Ig (Proteintech Group, Inc., Rosemont, IL, USA) | HRP-conjugated goat anti-rabbit #7074 (Cell Signaling Technology) |
| Krt1, 5, and 8 | clone PCK-26, purified from hybridoma cell culture C5992 (Sigma-Aldrich, St. Louis, MO, USA) | HRP-conjugated horse anti-mouse IgG(H+L) #7076 (Cell Signaling Technology) |
| β-actin | β-Actin Antibody #4967 (Cell Signaling Technology) | HRP-conjugated Anti-rabbit #7074 (Cell Signaling Technology) |
Disclaimer/Publisher’s Note: The statements, opinions and data contained in all publications are solely those of the individual author(s) and contributor(s) and not of MDPI and/or the editor(s). MDPI and/or the editor(s) disclaim responsibility for any injury to people or property resulting from any ideas, methods, instructions or products referred to in the content. |
© 2025 by the authors. Licensee MDPI, Basel, Switzerland. This article is an open access article distributed under the terms and conditions of the Creative Commons Attribution (CC BY) license (https://creativecommons.org/licenses/by/4.0/).
Share and Cite
Kise, S.; Morita, S.; Sakaki, T.; Kimura, H.; Kinuya, S.; Yasuda, K. Ligand-Independent Vitamin D Receptor Actions Essential for Keratinocyte Homeostasis in the Skin. Int. J. Mol. Sci. 2025, 26, 422. https://doi.org/10.3390/ijms26010422
Kise S, Morita S, Sakaki T, Kimura H, Kinuya S, Yasuda K. Ligand-Independent Vitamin D Receptor Actions Essential for Keratinocyte Homeostasis in the Skin. International Journal of Molecular Sciences. 2025; 26(1):422. https://doi.org/10.3390/ijms26010422
Chicago/Turabian StyleKise, Satoko, Shinichi Morita, Toshiyuki Sakaki, Hiroyuki Kimura, Seigo Kinuya, and Kaori Yasuda. 2025. "Ligand-Independent Vitamin D Receptor Actions Essential for Keratinocyte Homeostasis in the Skin" International Journal of Molecular Sciences 26, no. 1: 422. https://doi.org/10.3390/ijms26010422
APA StyleKise, S., Morita, S., Sakaki, T., Kimura, H., Kinuya, S., & Yasuda, K. (2025). Ligand-Independent Vitamin D Receptor Actions Essential for Keratinocyte Homeostasis in the Skin. International Journal of Molecular Sciences, 26(1), 422. https://doi.org/10.3390/ijms26010422

