Two Novel Mouse Models of Duchenne Muscular Dystrophy with Similar Dmd Exon 51 Frameshift Mutations and Varied Phenotype Severity
Abstract
1. Introduction
2. Results
2.1. Two Distinct Modified Lines Were Generated
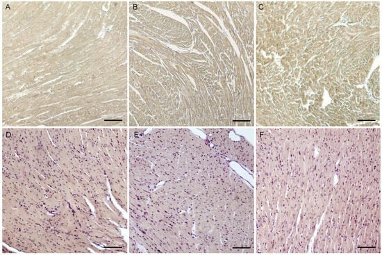
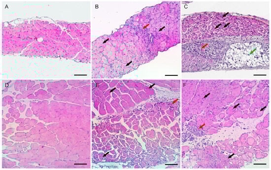
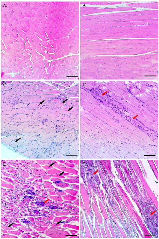
2.2. Mutant Lines Display Myodystrophy-Specific Pathology Complex
2.3. Full Dystrophin Isoform Is Lost in Mutant Animal Muscles
2.4. Dystrophin Expression Is Affected at mRNA Level
2.5. Survival Analysis
3. Discussion
4. Materials and Methods
4.1. Animals
4.2. Cas9 mRNA and sgRNA Preparation
4.3. Mutant Mouse Generation
4.4. Editing Event Discovery and Genotyping
4.4.1. F0 Generation
4.4.2. Genotyping
4.5. Tissue Preparation
4.6. Dystrophin Isoform Expression Quantification (qPCR)
4.7. Statistical Analysis and Data
Supplementary Materials
Author Contributions
Funding
Institutional Review Board Statement
Informed Consent Statement
Data Availability Statement
Conflicts of Interest
References
- Duan, D.; Goemans, N.; Takeda, S.; Mercuri, E.; Aartsma-Rus, A. Duchenne Muscular Dystrophy. Nat. Rev. Dis. Prim. 2021, 7, 13. [Google Scholar] [CrossRef] [PubMed]
- Kharraz, Y.; Guerra, J.; Pessina, P.; Serrano, A.L.; Muñoz-Cánoves, P. Understanding the Process of Fibrosis in Duchenne Muscular Dystrophy. BioMed Res. Int. 2014, 2014, 965631. [Google Scholar] [CrossRef] [PubMed]
- Deconinck, N.; Dan, B. Pathophysiology of Duchenne Muscular Dystrophy: Current Hypotheses. Pediatr. Neurol. 2007, 36, 1–7. [Google Scholar] [CrossRef] [PubMed]
- Laviola, M.; Priori, R.; D’Angelo, M.G.; Aliverti, A. Assessment of Diaphragmatic Thickness by Ultrasonography in Duchenne Muscular Dystrophy (DMD) Patients. PLoS ONE 2018, 13, e0200582. [Google Scholar] [CrossRef]
- Viggiano, E.; Picillo, E.; Cirillo, A.; Politano, L. Comparison of X-Chromosome Inactivation in Duchenne Muscle/Myocardium-Manifesting Carriers, Non-Manifesting Carriers and Related Daughters. Clin. Genet. 2013, 84, 265–270. [Google Scholar] [CrossRef]
- Wahlgren, L.; Kroksmark, A.-K.; Tulinius, M.; Sofou, K. One in Five Patients with Duchenne Muscular Dystrophy Dies from Other Causes than Cardiac or Respiratory Failure. Eur. J. Epidemiol. 2021, 37, 147. [Google Scholar] [CrossRef]
- Chen, C.; Ma, H.; Zhang, F.; Chen, L.; Xing, X.; Wang, S.; Zhang, X.; Luo, Y. Screening of Duchenne Muscular Dystrophy (DMD) Mutations and Investigating Its Mutational Mechanism in Chinese Patients. PLoS ONE 2014, 9, e108038. [Google Scholar] [CrossRef]
- Magri, F.; Govoni, A.; D’angelo, M.G.; Del Bo, R.; Ghezzi, S.; Sandra, G.; Turconi, A.C.; Sciacco, M.; Ciscato, P.; Bordoni, A.; et al. Genotype and Phenotype Characterization in a Large Dystrophinopathic Cohort with Extended Follow-Up. J. Neurol. 2011, 258, 1610–1623. [Google Scholar] [CrossRef]
- Wang, X.; Wang, Z.; Yan, M.; Huang, S.; Chen, T.-J.; Zhong, N. Similarity of DMD Gene Deletion and Duplication in the Chinese Patients Compared to Global Populations. Behav. Brain Funct. BBF 2008, 4, 20. [Google Scholar] [CrossRef]
- Zinina, E.; Bulakh, M.; Chukhrova, A.; Ryzhkova, O.; Sparber, P.; Shchagina, O.; Polyakov, A.; Kutsev, S. Specificities of the DMD Gene Mutation Spectrum in Russian Patients. Int. J. Mol. Sci. 2022, 23, 12710. [Google Scholar] [CrossRef]
- Elangkovan, N.; Dickson, G. Gene Therapy for Duchenne Muscular Dystrophy. J. Neuromuscul. Dis. 2021, 8, S303. [Google Scholar] [CrossRef] [PubMed]
- Zhou, Y.; Zhang, C.; Xiao, W.; Herzog, R.W.; Han, R. Systemic Delivery of Full-Length Dystrophin in Duchenne Muscular Dystrophy Mice. Nat. Commun. 2024, 15, 6141. [Google Scholar] [CrossRef] [PubMed]
- Young, C.S.; Mokhonova, E.; Quinonez, M.; Pyle, A.D.; Spencer, M.J. Creation of a Novel Humanized Dystrophic Mouse Model of Duchenne Muscular Dystrophy and Application of a CRISPR/Cas9 Gene Editing Therapy. J. Neuromuscul. Dis. 2017, 4, 139. [Google Scholar] [CrossRef] [PubMed]
- Swiderski, K.; Lynch, G.S. Murine Models of Duchenne Muscular Dystrophy: Is There a Best Model? Am. J. Physiol. Cell Physiol. 2021, 321, C409–C412. [Google Scholar] [CrossRef]
- Kudoh, H.; Ikeda, H.; Kakitani, M.; Ueda, A.; Hayasaka, M.; Tomizuka, K.; Hanaoka, K. A New Model Mouse for Duchenne Muscular Dystrophy Produced by 2.4 Mb Deletion of Dystrophin Gene Using Cre-loxP Recombination System. Biochem. Biophys. Res. Commun. 2005, 328, 507–516. [Google Scholar] [CrossRef]
- Larcher, T.; Lafoux, A.; Tesson, L.; Remy, S.; Thepenier, V.; François, V.; Le Guiner, C.; Goubin, H.; Dutilleul, M.; Guigand, L.; et al. Characterization of Dystrophin Deficient Rats: A New Model for Duchenne Muscular Dystrophy. PLoS ONE 2014, 9, e110371. [Google Scholar] [CrossRef]
- Araki, E.; Nakamura, K.; Nakao, K.; Kameya, S.; Kobayashi, O.; Nonaka, I.; Kobayashi, T.; Katsuki, M. Targeted Disruption of Exon 52 in the Mouse Dystrophin Gene Induced Muscle Degeneration Similar to That Observed in Duchenne Muscular Dystrophy. Biochem. Biophys. Res. Commun. 1997, 238, 492–497. [Google Scholar] [CrossRef]
- Li, G.; Jin, M.; Li, Z.; Xiao, Q.; Lin, J.; Yang, D.; Liu, Y.; Wang, X.; Xie, L.; Ying, W.; et al. Mini-dCas13X–Mediated RNA Editing Restores Dystrophin Expression in a Humanized Mouse Model of Duchenne Muscular Dystrophy. J. Clin. Investig. 2023, 133, e162809. [Google Scholar] [CrossRef]
- Manning, J.; O’Malley, D. What Has the Mdx Mouse Model of Duchenne Muscular Dystrophy Contributed to Our Understanding of This Disease? J. Muscle Res. Cell Motil. 2015, 36, 155–167. [Google Scholar] [CrossRef]
- Bulfield, G.; Siller, W.G.; Wight, P.A.; Moore, K.J. X Chromosome-Linked Muscular Dystrophy (Mdx) in the Mouse. Proc. Natl. Acad. Sci. USA 1984, 81, 1189–1192. [Google Scholar] [CrossRef]
- Chamberlain, J.S.; Metzger, J.; Reyes, M.; Townsend, D.; Faulkner, J.A. Dystrophin-Deficient Mdx Mice Display a Reduced Life Span and Are Susceptible to Spontaneous Rhabdomyosarcoma. FASEB J. 2007, 21, 2195–2204. [Google Scholar] [CrossRef] [PubMed]
- Donen, G.; Milad, N.; Bernatchez, P. Humanization of the Mdx Mouse Phenotype for Duchenne Muscular Dystrophy Modeling: A Metabolic Perspective. J. Neuromuscul. Dis. 2023, 10, 1003. [Google Scholar] [CrossRef] [PubMed]
- Hammers, D.W.; Hart, C.C.; Matheny, M.K.; Wright, L.A.; Armellini, M.; Barton, E.R.; Sweeney, H.L. The D2.Mdx Mouse as a Preclinical Model of the Skeletal Muscle Pathology Associated with Duchenne Muscular Dystrophy. Sci. Rep. 2020, 10, 14070. [Google Scholar] [CrossRef] [PubMed]
- Fukada, S.; Morikawa, D.; Yamamoto, Y.; Yoshida, T.; Sumie, N.; Yamaguchi, M.; Ito, T.; Miyagoe-Suzuki, Y.; Takeda, S.; Tsujikawa, K.; et al. Genetic Background Affects Properties of Satellite Cells and Mdx Phenotypes. Am. J. Pathol. 2010, 176, 2414–2424. [Google Scholar] [CrossRef] [PubMed]
- Isaac, C.; Wright, A.; Usas, A.; Li, H.; Tang, Y.; Mu, X.; Greco, N.; Dong, Q.; Vo, N.; Kang, J.; et al. Dystrophin and Utrophin “Double Knockout” Dystrophic Mice Exhibit a Spectrum of Degenerative Musculoskeletal Abnormalities. J. Orthop. Res. 2013, 31, 343–349. [Google Scholar] [CrossRef]
- Deconinck, A.E.; Rafael, J.A.; Skinner, J.A.; Brown, S.C.; Potter, A.C.; Metzinger, L.; Watt, D.J.; Dickson, J.G.; Tinsley, J.M.; Davies, K.E. Utrophin-Dystrophin-Deficient Mice as a Model for Duchenne Muscular Dystrophy. Cell 1997, 90, 717–727. [Google Scholar] [CrossRef]
- Heydemann, A.; Ceco, E.; Lim, J.E.; Hadhazy, M.; Ryder, P.; Moran, J.L.; Beier, D.R.; Palmer, A.A.; McNally, E.M. Latent TGF-β–Binding Protein 4 Modifies Muscular Dystrophy in Mice. J. Clin. Investig. 2009, 119, 3703–3712. [Google Scholar] [CrossRef]
- Chapman, V.M.; Miller, D.R.; Armstrong, D.; Caskey, C.T. Recovery of Induced Mutations for X Chromosome-Linked Muscular Dystrophy in Mice. Proc. Natl. Acad. Sci. USA 1989, 86, 1292–1296. [Google Scholar] [CrossRef]
- Cox, G.A.; Phelps, S.F.; Chapman, V.M.; Chamberlain, J.S. New Mdx Mutation Disrupts Expression of Muscle and Nonmuscle Isoforms of Dystrophin. Nat. Genet. 1993, 4, 87–93. [Google Scholar] [CrossRef]
- Aoki, Y.; Nakamura, A.; Yokota, T.; Saito, T.; Okazawa, H.; Nagata, T.; Takeda, S. In-Frame Dystrophin Following Exon 51-Skipping Improves Muscle Pathology and Function in the Exon 52-Deficient Mdx Mouse. Mol. Ther. 2010, 18, 1995–2005. [Google Scholar] [CrossRef]
- Wertz, K.; Füchtbauer, E.M. DmdMdx-βGeo: A New Allele for the Mouse Dystrophin Gene. Dev. Dyn. 1998, 212, 229–241. [Google Scholar] [CrossRef]
- De Los Santos, Y.; Kresak, J.L. Becker and Duchenne Muscular Dystrophy. Available online: https://www.pathologyoutlines.com/topic/musclebeckerduchennemusculardystrophy.html (accessed on 28 October 2024).
- Bell, C.D.; Conen, P.E. Histopathological Changes in Duchenne Muscular Dystrophy. J. Neurol. Sci. 1968, 7, 529–544. [Google Scholar] [CrossRef] [PubMed]
- Pertl, C.; Eblenkamp, M.; Pertl, A.; Pfeifer, S.; Wintermantel, E.; Lochmüller, H.; Walter, M.C.; Krause, S.; Thirion, C. A New Web-Based Method for Automated Analysis of Muscle Histology. BMC Musculoskelet. Disord. 2013, 14, 26. [Google Scholar] [CrossRef] [PubMed]
- Zhao, J.; Kodippili, K.; Yue, Y.; Hakim, C.H.; Wasala, L.; Pan, X.; Zhang, K.; Yang, N.N.; Duan, D.; Lai, Y. Dystrophin Contains Multiple Independent Membrane-Binding Domains. Hum. Mol. Genet. 2016, 25, 3647. [Google Scholar] [CrossRef] [PubMed]
- Gao, Q.; McNally, E.M. The Dystrophin Complex: Structure, Function and Implications for Therapy. Compr. Physiol. 2015, 5, 1223. [Google Scholar] [CrossRef]
- Leibovitz, S.; Meshorer, A.; Fridman, Y.; Wieneke, S.; Jockusch, H.; Yaffe, D.; Nudel, U. Exogenous Dp71 Is a Dominant Negative Competitor of Dystrophin in Skeletal Muscle. Neuromuscul. Disord. NMD 2002, 12, 836–844. [Google Scholar] [CrossRef]
- Grady, R.M.; Teng, H.; Nichol, M.C.; Cunningham, J.C.; Wilkinson, R.S.; Sanes, J.R. Skeletal and Cardiac Myopathies in Mice Lacking Utrophin and Dystrophin: A Model for Duchenne Muscular Dystrophy. Cell 1997, 90, 729–738. [Google Scholar] [CrossRef]
- Coulton, G.R.; Morgan, J.E.; Partridge, T.A.; Sloper, J.C. The Mdx Mouse Skeletal Muscle Myopathy: I. a Histological, Morphometric and Biochemical Investigation. Neuropathol. Appl. Neurobiol. 1988, 14, 53–70. [Google Scholar] [CrossRef]
- Concordet, J.-P.; Haeussler, M. CRISPOR: Intuitive Guide Selection for CRISPR/Cas9 Genome Editing Experiments and Screens. Nucleic Acids Res. 2018, 46, W242–W245. [Google Scholar] [CrossRef]
- Stavskaya, N.; Ilchuk, L.; Okulova, Y.; Kubekina, M.; Varlamova, E.; Silaeva, Y.; Bruter, A. Transgenic Mice for Study of the CDK8/19 Cyclin-Dependent Kinase Kinase-Independent Mechanisms of Action. Bull. Russ. State Med. Univ. 2022, 6, 69–73. [Google Scholar] [CrossRef]
- Gage, G.J.; Kipke, D.R.; Shain, W. Whole Animal Perfusion Fixation for Rodents. J. Vis. Exp. 2012, 65, 3564. [Google Scholar] [CrossRef]
- ’t Hoen, P.A.C.; de Meijer, E.J.; Boer, J.M.; Vossen, R.H.A.M.; Turk, R.; Maatman, R.G.H.J.; Davies, K.E.; van Ommen, G.-J.B.; van Deutekom, J.C.T.; den Dunnen, J.T. Generation and Characterization of Transgenic Mice with the Full-Length Human DMD Gene. J. Biol. Chem. 2008, 283, 5899–5907. [Google Scholar] [CrossRef] [PubMed]
- Kogelman, B.; Khmelinskii, A.; Verhaart, I.; van Vliet, L.; Bink, D.I.; Aartsma-Rus, A.; van Putten, M.; Weerd, L. van der Influence of Full-Length Dystrophin on Brain Volumes in Mouse Models of Duchenne Muscular Dystrophy. PLoS ONE 2018, 13, e0194636. [Google Scholar] [CrossRef]
- Tokarz, S.A.; Duncan, N.M.; Rash, S.M.; Sadeghi, A.; Dewan, A.K.; Pillers, D.A. Redefinition of Dystrophin Isoform Distribution in Mouse Tissue by RT-PCR Implies Role in Nonmuscle Manifestations of Duchenne Muscular Dystrophy. Mol. Genet. Metab. 1998, 65, 272–281. [Google Scholar] [CrossRef]
- Kubekina, M.; Kalinina, A.; Korshunova, D.; Bruter, A.; Silaeva, Y. Models of Mitochondrial Dysfunction with Inducible Expression of Polg Pathogenic Mutant Variant. Bull. Russ. State Med. Univ. 2022, 2, 11–17. [Google Scholar] [CrossRef]





| Histopathological Markers | insT Line, 3 Weeks Old | insG Line, 1 Week Old |
|---|---|---|
| Centrally located nuclei, % | Sk: 2.44 ± 0.64% | Sk: 3.41 ± 1.12% |
| DIA: 0.20 ± 0.16% | DIA: 0.96 ± 0.20% | |
| Atrophic muscle fibers and/or myotubules (<20 μm), % | Sk: 3.9 ± 3.6% | Sk: 35.2 ± 2.8% |
| DIA: 3.9 ± 3.1% | DIA: 19.1 ± 3.9% | |
| Hypertrophic fibers (>45 μm), % | Sk: none | Sk: 8.4 ± 0.7% |
| DIA: 0.2 ± 0.3% | DIA: 2.1 ± 3.6% | |
| Minimal Feret’s diameter coefficient of variation, % | Sk: 18.1% | Sk: 43.8% |
| DIA: 21.1% | DIA: 29.8% |
| Diaphragm | Intercostal | Skeletal | |||||||
|---|---|---|---|---|---|---|---|---|---|
| wt | insT | insG | wt | insT | insG | wt | insT | insG | |
| median of minimal Feret’s diameter ± SEM, μm | 33.33 ± 0.14 | 27.32 ± 0.28 w,m | 30.57 ± 0.11 w,m | 30.4 ± 0.28 | 33.32 ± 0.43 w,m | 27.25 ± 0.35 w,m | 26.54 ± 0.26 | 26.99 ± 0.13 w | 26.81 ± 0.29 w |
| coefficient of variation, % | 18.2 | 31.8 w,m | 34.2 w,m | 19.1 | 36.9 w,m | 57.8 w,m | 20.0 | 34.5 w,m | 50.9 w,m |
| Histopathological Markers | insT Line | insG Line |
|---|---|---|
| Centrally located nuclei, % | Sk: 8.6 ± 1.2% | Sk: 17.3 ± 1.8% |
| IC: 6.9 ± 0.4% | IC: 15.7 ± 2.1% | |
| DIA: 6.3 ± 0.6% | DIA: 18.8 ± 2.5% | |
| Atrophic muscle fibers and/or myotubules (<20 μm) | Sk: 1.9 ± 0.9% | Sk: 33.8 ± 1.4% |
| IC: 14.9 ± 0.8% | IC: 40.2 ± 1.3% | |
| DIA: 20.6 ± 0.95% | DIA: 12.2 ± 1.36% | |
| Hypertrophic fibers (>50 μm) | Sk: 8.1 ± 1.1% | Sk: 15.9 ± 1.0% |
| IC: 12.9 ± 1.1% | IC: 16.1 ± 0.9% | |
| DIA: 1.8 ± 0.5% | DIA: 6.9 ± 1.0% | |
| Necrosis areas | Individual muscle fibers | From local foci to extensive regions |
| Endomysium hypertrophy and fibrosis | Local hypertrophy foci | Local hypertrophy and fibrosis foci |
| Loss of cross-striation | Individual fibers in skeletal and intercostal muscles | Individual fibers in diaphragm, foci in intercostal and skeletal muscles |
| Macrophage infiltration | Local foci | Spread infiltration foci |
| Adipose replacement | none | Foci of adipose replacement in diaphragm and intercostal muscles |
| Myocardial histopathology | none | none |
| Mouse Line/ Characteristics | insT | insG | Mdx (C57BL/10ScSn-Dmdmdx/J) | mdx-utrn−/− | mdx52 | DMD-Null | |
|---|---|---|---|---|---|---|---|
| Mutation | Dmd gene exon 51: NM_007868.6:c.7321_7322insT | Dmd gene exon 51: NM_007868.6:c.7321_7322insG | Spontaneous stop codon (3185 C>T conversion) in exon 23 | Double knockout Mdx and Utrntm1Ked (Utrn−/−) (neomycin cassette in utrophin exon 7) | Neomycin cassette in exon 52 | DMD deletion using Cre-loxP system | |
| Protein | Dp427 absence | Dp427 absence | Dp427 absence | Dp427 and utrophin absence | Dp427, Dp260, and Dp140 absence | Dp427, Dp260, and Dp140 absence | |
| Skeletal muscle and diaphragm pathology | Necrosis/regeneration cycle onset | 3–4 weeks old, then stabilization | 1.5 weeks old, then pathology development | 6 weeks old, then stabilization | 1 week old, then pathology development | 3–4 weeks old | 3–4 weeks old |
| Central nucleation | + | + | + | + | + | + | |
| Fibrosis | Focal | From local to extensive | Usually local | Extensive | Focal (analysis is difficult due to calcification) | Usually local | |
| Adipose replacement | − | Focal, more common in the diaphragm | Single cases in the diaphragm (12 months and older) | From focal to extensive | Absent or minimal | Rarely, single foci | |
| Cardiopathology | − | − | Subtle cardiomyopathy from 6 months of age | Cardiomyopathy from 8 weeks of age, myocardium fibrosis, left ventricular dilation, cardiac dysfunction | − | Cardiomyopathy from 6 months of age, myocardial fibrosis | |
| Life expectancy | More than 12 months | 7 weeks | 21–23 months | 20 weeks | More than 12 months | More than 12 months | |
| Reference | This work | This work | [39] | [38] | [17] | [15] | |
| Target/Direction | Sequence (5′-3′) | Reference |
|---|---|---|
| Dp427m F | AGGAGAAAGATGCTGTTTTGCG | [43] |
| Dp427m R | AATTGTGCATTTATCCATTTTGTGA | |
| Dp427c F | AGGAGAAAGATGCTGTTTTGCG | [44] |
| Dp427c R | AATTGTGCATTTATCCATTTTGTGA | |
| Dp71 F | ACTCCTCCGCTCTAAGCGT | [45] (a mismatch to the reference genome was fixed) |
| Dp71 R | CTTCTGGAGCCTTCTGAGC | |
| Hprt F | CAGCGTCGTGATTAGCGATGA | [46] |
| Hprt R | GCCACAATGTGATGGCCTCC |
Disclaimer/Publisher’s Note: The statements, opinions and data contained in all publications are solely those of the individual author(s) and contributor(s) and not of MDPI and/or the editor(s). MDPI and/or the editor(s) disclaim responsibility for any injury to people or property resulting from any ideas, methods, instructions or products referred to in the content. |
© 2024 by the authors. Licensee MDPI, Basel, Switzerland. This article is an open access article distributed under the terms and conditions of the Creative Commons Attribution (CC BY) license (https://creativecommons.org/licenses/by/4.0/).
Share and Cite
Baikova, I.P.; Ilchuk, L.A.; Safonova, P.D.; Varlamova, E.A.; Okulova, Y.D.; Kubekina, M.V.; Tvorogova, A.V.; Dolmatova, D.M.; Bakaeva, Z.V.; Kislukhina, E.N.; et al. Two Novel Mouse Models of Duchenne Muscular Dystrophy with Similar Dmd Exon 51 Frameshift Mutations and Varied Phenotype Severity. Int. J. Mol. Sci. 2025, 26, 158. https://doi.org/10.3390/ijms26010158
Baikova IP, Ilchuk LA, Safonova PD, Varlamova EA, Okulova YD, Kubekina MV, Tvorogova AV, Dolmatova DM, Bakaeva ZV, Kislukhina EN, et al. Two Novel Mouse Models of Duchenne Muscular Dystrophy with Similar Dmd Exon 51 Frameshift Mutations and Varied Phenotype Severity. International Journal of Molecular Sciences. 2025; 26(1):158. https://doi.org/10.3390/ijms26010158
Chicago/Turabian StyleBaikova, Iuliia P., Leonid A. Ilchuk, Polina D. Safonova, Ekaterina A. Varlamova, Yulia D. Okulova, Marina V. Kubekina, Anna V. Tvorogova, Daria M. Dolmatova, Zanda V. Bakaeva, Evgenia N. Kislukhina, and et al. 2025. "Two Novel Mouse Models of Duchenne Muscular Dystrophy with Similar Dmd Exon 51 Frameshift Mutations and Varied Phenotype Severity" International Journal of Molecular Sciences 26, no. 1: 158. https://doi.org/10.3390/ijms26010158
APA StyleBaikova, I. P., Ilchuk, L. A., Safonova, P. D., Varlamova, E. A., Okulova, Y. D., Kubekina, M. V., Tvorogova, A. V., Dolmatova, D. M., Bakaeva, Z. V., Kislukhina, E. N., Lizunova, N. V., Bruter, A. V., & Silaeva, Y. Y. (2025). Two Novel Mouse Models of Duchenne Muscular Dystrophy with Similar Dmd Exon 51 Frameshift Mutations and Varied Phenotype Severity. International Journal of Molecular Sciences, 26(1), 158. https://doi.org/10.3390/ijms26010158

