Regulatory Role of Meox1 in Muscle Growth of Sebastes schlegelii
Abstract
1. Introduction
2. Results
2.1. Gene Structure, Synteny Analysis, and Evolution of Meox1
2.2. Protein Structure of Meox1
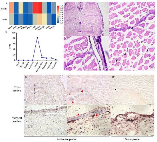
2.3. Identification of Growth-Specific Muscle Stem Cells in S. schlegelii
2.4. Tracing the Embryonic Origin of Growth-Specific Muscle Stem Cells in S. schlegelii
2.5. SsMeox1 Knockdown Hindered the Growth of S. schlegelii
2.6. Knockdown of SsMeox1 Expression Inhibited Enlargement of Muscle Fibers
2.7. SsMeox1 Knockdown Resulted in Increased Expression of Cell Cycle-Related Genes
2.8. SsMeox1 Inhibited the Expression of CcnB1 and Promoted the Expression of P21
3. Discussion
4. Materials and Methods
4.1. Animal Materials
4.2. Predicted 3D Protein Structure of SsMeox1
4.3. ISH and WISH
4.4. SsMeox1 Knockdown in Juvenile S. schlegelii
4.5. Transcriptome Analysis
4.6. Statistics Analysis
4.7. Dual-Fluorescein Reporter Gene Analysis
5. Conclusions
Supplementary Materials
Author Contributions
Funding
Institutional Review Board Statement
Informed Consent Statement
Data Availability Statement
Conflicts of Interest
References
- Greer-Walker, M. Growth and Development of the Skeletal Muscle Fibres of the Cod (Gadus Morhua L.). ICES J. Mar. Sci. 1970, 33, 228–244. [Google Scholar] [CrossRef]
- Stickland, N.C. Growth and development of muscle fibres in the rainbow trout (Salmo gairdneri). J. Anat. 1983, 137, 323–333. [Google Scholar] [PubMed]
- Johnston, I.A. Muscle development and growth: Potential implications for flesh quality in fish. Aquaculture 1999, 177, 99–115. [Google Scholar] [CrossRef]
- Biga, P.R.; Goetz, F.W. Zebrafish and giant danio as models for muscle growth: Determinate vs. indeterminate growth as determined by morphometric analysis. Am. J. Physiol. Integr. Comp. Physiol. 2006, 291, R1327–R1337. [Google Scholar] [CrossRef] [PubMed]
- Nguyen, P.D.; Gurevich, D.B.; Sonntag, C.; Hersey, L.; Alaei, S.; Nim, H.T.; Siegel, A.; Hall, T.E.; Rossello, F.J.; Boyd, S.E.; et al. Muscle Stem Cells Undergo Extensive Clonal Drift during Tissue Growth via Meox1-Mediated Induction of G2 Cell-Cycle Arrest. Cell Stem Cell 2017, 21, 107–119.e6. [Google Scholar] [CrossRef] [PubMed]
- Ruparelia, A.A.; Ratnayake, D.; Currie, P.D. Stem cells in skeletal muscle growth and regeneration in amniotes and teleosts: Emerging themes. Wiley Interdiscip. Rev. Dev. Biol. 2019, 9, e365. [Google Scholar] [CrossRef] [PubMed]
- Gurevich, D.B.; Nguyen, P.D.; Siegel, A.L.; Ehrlich, O.V.; Sonntag, C.; Phan, J.M.N.; Berger, S.; Ratnayake, D.; Hersey, L.; Berger, J.; et al. Asymmetric division of clonal muscle stem cells coordinates muscle regeneration in vivo. Science 2016, 353, aad9969. [Google Scholar] [CrossRef]
- Manneken, J.D.; Dauer, M.V.; Currie, P.D. Dynamics of muscle growth and regeneration: Lessons from the teleost. Exp. Cell Res. 2021, 411, 112991. [Google Scholar] [CrossRef]
- Orford, K.W.; Scadden, D.T. Deconstructing stem cell self-renewal: Genetic insights into cell-cycle regulation. Nat. Rev. Genet. 2008, 9, 115–128. [Google Scholar] [CrossRef] [PubMed]
- Abou-Khalil, R.; Le Grand, F.; Pallafacchina, G.; Valable, S.; Authier, F.-J.; Rudnicki, M.A.; Gherardi, R.K.; Germain, S.; Chretien, F.; Sotiropoulos, A. Autocrine and paracrine angiopoietin 1/Tie-2 signaling promotes muscle satellite cell self-renewal. Cell Stem Cell 2009, 5, 298–309. [Google Scholar] [CrossRef]
- Dumont, N.A.; Wang, Y.X.; Rudnicki, M.A. Intrinsic and extrinsic mechanisms regulating satellite cell function. Development 2015, 142, 1572–1581. [Google Scholar] [CrossRef] [PubMed]
- Hollway, G.E.; Bryson-Richardson, R.J.; Berger, S.; Cole, N.J.; Hall, T.E.; Currie, P.D. Whole-Somite Rotation Generates Muscle Progenitor Cell Compartments in the Developing Zebrafish Embryo. Dev. Cell 2007, 12, 207–219. [Google Scholar] [CrossRef] [PubMed]
- Snippert, H.J.; van der Flier, L.G.; Sato, T.; van Es, J.H.; Born, M.V.D.; Kroon-Veenboer, C.; Barker, N.; Klein, A.M.; van Rheenen, J.; Simons, B.D.; et al. Intestinal Crypt Homeostasis Results from Neutral Competition between Symmetrically Dividing Lgr5 Stem Cells. Cell 2010, 143, 134–144. [Google Scholar] [CrossRef] [PubMed]
- Dumont, N.A.; Bentzinger, C.F.; Sincennes, M.C.; Rudnicki, M.A. Satellite Cells and Skeletal Muscle Regeneration. Compr. Physiol. 2015, 5, 1027–1059. [Google Scholar] [CrossRef] [PubMed]
- Tierney, M.T.; Sacco, A. Satellite Cell Heterogeneity in Skeletal Muscle Homeostasis. Trends Cell Biol. 2016, 26, 434–444. [Google Scholar] [CrossRef] [PubMed]
- Rodriguez-Outeiriño, L.; Hernandez-Torres, F.; Ramírez-de Acuña, F.; Matías-Valiente, L.; Sanchez-Fernandez, C.; Franco, D.; Aranega, A.E. Muscle satellite cell heterogeneity: Does embryonic origin matter? Front. Cell Dev. Biol. 2021, 9, 750534. [Google Scholar] [CrossRef] [PubMed]
- Skuntz, S.; Mankoo, B.; Nguyen, M.-T.T.; Hustert, E.; Nakayama, A.; Tournier-Lasserve, E.; Wright, C.V.; Pachnis, V.; Bharti, K.; Arnheiter, H. Lack of the mesodermal homeodomain protein MEOX1 disrupts sclerotome polarity and leads to a remodeling of the cranio-cervical joints of the axial skeleton. Dev. Biol. 2009, 332, 383–395. [Google Scholar] [CrossRef] [PubMed]
- Bayrakli, F.; Guclu, B.; Yakicier, C.; Balaban, H.; Kartal, U.; Erguner, B.; Sagiroglu, M.S.; Yuksel, S.; Ozturk, A.R.; Kazanci, B.; et al. Mutation in MEOX1 gene causes a recessive Klippel-Feil syndrome subtype. BMC Genet. 2013, 14, 95. [Google Scholar] [CrossRef]
- Mohamed, J.Y.; Faqeih, E.; Alsiddiky, A.; Alshammari, M.J.; Ibrahim, N.A.; Alkuraya, F.S. Mutations in MEOX1, Encoding Mesenchyme Homeobox 1, Cause Klippel-Feil Anomaly. Am. J. Hum. Genet. 2013, 92, 157–161. [Google Scholar] [CrossRef]
- Dauer, M.V.; Currie, P.D.; Berger, J. Skeletal malformations of Meox1-deficient zebrafish resemble human Klippel–Feil syndrome. J. Anat. 2018, 233, 687–695. [Google Scholar] [CrossRef]
- Nguyen, P.D.; Hollway, G.E.; Sonntag, C.; Miles, L.B.; Hall, T.E.; Berger, S.; Fernandez, K.J.; Gurevich, D.B.; Cole, N.J.; Alaei, S.; et al. Haematopoietic stem cell induction by somite-derived endothelial cells controlled by meox1. Nature 2014, 512, 314–318. [Google Scholar] [CrossRef] [PubMed]
- He, Y.; Chang, Y.; Bao, L.; Yu, M.; Li, R.; Niu, J.; Fan, G.; Song, W.; Seim, I.; Qin, Y.; et al. A chromosome-level genome of black rockfish, Sebastes schlegelii, provides insights into the evolution of live birth. Mol. Ecol. Resour. 2019, 19, 1309–1321. [Google Scholar] [CrossRef] [PubMed]
- Holland, P.W.H. Evolution of homeobox genes. Wiley Interdiscip. Rev. Dev. Biol. 2012, 2, 31–45. [Google Scholar] [CrossRef] [PubMed]
- Zhang, X.; Liu, X.; Ma, J.; Zhao, J. Silencing of cytochrome P450 CYP6B6 gene of cotton bollworm (Helicoverpa armigera) by RNAi. Bull. Èntomol. Res. 2013, 103, 584–591. [Google Scholar] [CrossRef] [PubMed]
- De-Souza, E.A.; Camara, H.; Salgueiro, W.G.; Moro, R.P.; Knittel, T.L.; Tonon, G.; Pinto, S.; Pinca, A.P.F.; Antebi, A.; Pasquinelli, A.E.; et al. RNA interference may result in unexpected phenotypes in Caenorhabditis elegans. Nucleic Acids Res. 2019, 47, 3957–3969. [Google Scholar] [CrossRef] [PubMed]
- Ma, Z.; Zhou, H.; Wei, Y.; Yan, S.; Shen, J. A novel plasmid–Escherichia coli system produces large batch dsRNAs for insect gene silencing. Pest Manag. Sci. 2020, 76, 2505–2512. [Google Scholar] [CrossRef]
- Meng, J.; Lei, J.; Davitt, A.; Holt, J.R.; Huang, J.; Gold, R.; Vargo, E.L.; Tarone, A.M.; Zhu-Salzman, K. Suppressing tawny crazy ant (Nylanderia fulva) by RNAi technology. Insect Sci. 2018, 27, 113–121. [Google Scholar] [CrossRef] [PubMed]
- Arellano, M.; Moreno, S. Regulation of CDK/cyclin complexes during the cell cycle. Int. J. Biochem. Cell Biol. 1997, 29, 559–573. [Google Scholar] [CrossRef]
- Lim, S.; Kaldis, P. Cdks, cyclins and CKIs: Roles beyond cell cycle regulation. Development 2013, 140, 3079–3093. [Google Scholar] [CrossRef] [PubMed]
- Khan, A.; Fornes, O.; Stigliani, A.; Gheorghe, M.; Castro-Mondragon, J.A.; Van Der Lee, R.; Bessy, A.; Cheneby, J.; Kulkarni, S.R.; Tan, G. JASPAR 2018: Update of the open-access database of transcription factor binding profiles and its web framework. Nucleic Acids Res. 2018, 46, D260–D266. [Google Scholar] [CrossRef]
- Douville, J.M.; Cheung, D.Y.C.; Herbert, K.L.; Moffatt, T.; Wigle, J.T. Mechanisms of MEOX1 and MEOX2 Regulation of the Cyclin Dependent Kinase Inhibitors p21CIP1/WAF1 and p16INK4a in Vascular Endothelial Cells. PLoS ONE 2011, 6, e29099. [Google Scholar] [CrossRef] [PubMed]
- Mankoo, B.S.; Skuntz, S.; Harrigan, I.; Grigorieva, E.; Candia, A.; Wright, C.V.E.; Arnheiter, H.; Pachnis, V. The concerted action of Meox homeobox genes is required upstream of genetic pathways essential for the formation, patterning and differentiation of somites. Development 2003, 130, 4655–4664. [Google Scholar] [CrossRef] [PubMed]
- Dong, K.; Guo, X.; Chen, W.; Hsu, A.C.; Shao, Q.; Chen, J.-F.; Chen, S.-Y. Mesenchyme homeobox 1 mediates transforming growth factor-β (TGF-β)–induced smooth muscle cell differentiation from mouse mesenchymal progenitors. J. Biol. Chem. 2018, 293, 8712–8719. [Google Scholar] [CrossRef] [PubMed]
- Sun, L.; Burnett, J.P.; Gasparyan, M.; Korkaya, H.; Jiang, H.; Liu, Y.; Connarn, J.; Wicha, M.; Sun, D. Abstract 218: MEOX-1 as a novel cancer stem cell target for treatment of trastuzumab-resistant Her2+ breast cancers. In Proceedings of the AACR Annual Meeting 2014, San Diego, CA, USA, 5–9 April 2014; p. 218. [Google Scholar]
- Alway, S.E.; Myers, M.J.; Mohamed, J.S. Regulation of Satellite Cell Function in Sarcopenia. Front. Aging Neurosci. 2014, 6, 246. [Google Scholar] [CrossRef] [PubMed]
- Jin, C.; Yan, K.; Wang, M.; Song, W.; Kong, X.; Zhang, Z. Identification, Characterization and Functional Analysis of Fibroblast Growth Factors in Black Rockfish (Sebastes schlegelii). Int. J. Mol. Sci. 2023, 24, 3626. [Google Scholar] [CrossRef] [PubMed]
- Wang, M.; Jin, C.; Zhang, F.; Huang, K.; He, Y. Preliminary study on the muscle growth and development of black rockfish (Sebastes schlegelii). Period. Ocean Univ. China 2021, 51, 44–50. [Google Scholar]
- Rieder, C.L. Mitosis in vertebrates: The G2/M and M/A transitions and their associated checkpoints. Chromosome Res. 2011, 19, 291–306. [Google Scholar] [CrossRef] [PubMed]
- Shih, H.-C.; Shiozawa, T.; Kato, K.; Imai, T.; Miyamoto, T.; Uchikawa, J.; Nikaido, T.; Konishi, I. Immunohistochemical expression of cyclins, cyclin-dependent kinases, tumor-suppressor gene products, Ki-67, and sex steroid receptors in endometrial carcinoma: Positive staining for cyclin A as a poor prognostic indicator. Hum. Pathol. 2003, 34, 471–478. [Google Scholar] [CrossRef]
- Lu, M.-H.; Huang, C.-C.; Pan, M.-R.; Chen, H.-H.; Hung, W.-C. Prospero Homeobox 1 Promotes Epithelial–Mesenchymal Transition in Colon Cancer Cells by Inhibiting E-cadherin via miR-9. Clin. Cancer Res. 2012, 18, 6416–6425. [Google Scholar] [CrossRef]
- Bao, B.; Yu, X.; Zheng, W. MiR-139-5p Targeting CCNB1 Modulates Proliferation, Migration, Invasion and Cell Cycle in Lung Adenocarcinoma. Mol. Biotechnol. 2022, 64, 852–860. [Google Scholar] [CrossRef]
- Li, B.; Zhu, H.; Song, G.; Cheng, J.; Li, C.; Zhang, Y.; Zhao, P. Regulating the CCNB1 gene can affect cell proliferation and apoptosis in pituitary adenomas and activate epithelial-to-mesenchymal transition. Oncol. Lett. 2019, 18, 4651–4658. [Google Scholar] [CrossRef] [PubMed]
- Xiao, X.; Rui, B.; Rui, H.; Ju, M.; Hongtao, L. MEOX1 suppresses the progression of lung cancer cells by inhibiting the cell-cycle checkpoint gene CCNB1. Environ. Toxicol. 2021, 37, 504–513. [Google Scholar] [CrossRef] [PubMed]
- Zeng, G.; Liu, X.; Su, X.; Wang, Y.; Liu, B.; Zhou, H.; Wang, Y.; Li, F. The role of MEOX1 in non-neoplastic and neoplastic diseases. Biomed. Pharmacother. 2023, 158, 114068. [Google Scholar] [CrossRef] [PubMed]
- Wang, B.; Du, X.; Wang, H.; Jin, C.; Gao, C.; Liu, J.; Zhang, Q. Comparative studies on duplicated tdrd7 paralogs in teleosts: Molecular evolution caused neo-functionalization. Comp. Biochem. Physiol. Part D Genom. Proteom. 2019, 30, 347–357. [Google Scholar] [CrossRef] [PubMed]
- Wang, W.; Ling, X.; Lu, Q.; Liu, P.; Zhang, J.; Chen, H. Construction of RNA interference vector and function analysis of FAD gene in Kerria chinensis. For. Res. Beijing 2019, 32, 14–20. [Google Scholar]
- Wang, M.; Song, W.; Jin, C.; Huang, K.; Yu, Q.; Qi, J.; Zhang, Q.; He, Y. Pax3 and pax7 exhibit distinct and overlapping functions in marking muscle satellite cells and muscle repair in a marine teleost, Sebastes schlegelii. Int. J. Mol. Sci. 2021, 22, 3769. [Google Scholar] [CrossRef] [PubMed]
- Patro, R.; Duggal, G.; Love, M.I.; Irizarry, R.A.; Kingsford, C. Salmon provides fast and bias-aware quantification of transcript expression. Nat. Methods 2017, 14, 417–419. [Google Scholar] [CrossRef] [PubMed]
- Wagner, G.P.; Kin, K.; Lynch, V.J. Measurement of mRNA abundance using RNA-seq data: RPKM measure is inconsistent among samples. Theory Biosci. 2012, 131, 281–285. [Google Scholar] [CrossRef]
- Love, M.I.; Huber, W.; Anders, S. Moderated estimation of fold change and dispersion for RNA-seq data with DESeq2. Genome Biol. 2014, 15, 550. [Google Scholar] [CrossRef]








| Primer Name | Sequence (5′-3′) | Usage |
|---|---|---|
| Ssc-Meox1-ISH-SP6-fw | ATTTAGGTGACACTATAGAAGAGTGACACGGAGAGAGACT | ISH/WISH |
| Ssc-Meox1-ISH-T7-rv | TAATACGACTCACTATAGGGAGACTTATGGCTTGGCAACAC | ISH/WISH |
| Ssc-Meox1-qPCR-fw | AGTTCACCCACCACAACTAC | qPCR |
| Ssc-Meox1-qPCR-rv | GAGGCTGCTGAGTCAATGT | qPCR |
| CcnF-luc-hindIII-fw | CCCAAGCTTGGGCAGCACCACAAATGTGCCACC | DLR |
| CcnF-luc-kpnI-rv | CGGGGTACCCCGTGCCAAGCTGACATCATGCCA | DLR |
| CcnB3-luc-kpnI-fw | CGGGGTACCCCGTAGCAAATTGTACTGTAAATG | DLR |
| CcnB3-luc-hindIII-rv | CCCAAGCTTGGGAACTGATGTGCTGCACAGAAT | DLR |
| CDK1-luc-hindIII-fw | CCCAAGCTTGGGAGTTTCTAGTGGATTGAGCTG | DLR |
| CDK1-luc-kpnI-rv | CGGGGTACCCCGCATTCAGCGGCAGTCTGAGTA | DLR |
| CcnD2-luc-kpnI-fw | CGGGGTACCCCGCCTCACGAGGTGTCACTTGCT | DLR |
| CcnD2-luc-hindIII-rv | CCCAAGCTTGGGTTTTAAGCGGATTTACCGACG | DLR |
| CDK2-luc-hindIII-fw | CCCAAGCTTGGGGTAGACATTTCTTGTGCCATA | DLR |
| CDK2-luc-kpnI-rv | CGGGGTACCCCGAAGCTGTGTGGCTGACAGTTG | DLR |
| CcnA2-luc-kpnI-fw | CGGGGTACCCCGGGACATTCTGCATAATGATTA | DLR |
| CcnA2-luc-hindIII-rv | CCCAAGCTTGGGAAAAGTAAAAGTCCTACATTC | DLR |
| CcnB1-luc-kpnI-fw | CGGGGTACCCCGCCACTTCTTTCCACCACAAG | DLR |
| CcnB1-luc-hindIII-rv | CCCAAGCTTGGGTAATGTTGCAGCTGGTAAAGG | DLR |
| CDKN1A-luc-kpnI-fw | CGGGGTACCCCGGGGAAATGTAGGTGTGTTTCG | DLR |
| CDKN1A-luc-hindIII-rv | CCCAAGCTTGGGACTGGGCAGCTCTTTATAGG | DLR |
| CDKN3-luc-hindIII-fw | CCCAAGCTTGGGTCTTACCACCATGAACTATAC | DLR |
| CDKN3-luc-kpnI-rv | CGGGGTACCCCGGATTTACAACATGCTTCAGCT | DLR |
| Ssc-Meox1-KD-XbaⅠ-fw | GCTCTAGAGCGCTGGACAGTGTAGGGG | RNAi Vector |
| Ssc-Meox1-KD-HindIII-rv | CCCAAGCTTGGGAGGCTGCTGAGTCAATG | RNAi Vector |
Disclaimer/Publisher’s Note: The statements, opinions and data contained in all publications are solely those of the individual author(s) and contributor(s) and not of MDPI and/or the editor(s). MDPI and/or the editor(s) disclaim responsibility for any injury to people or property resulting from any ideas, methods, instructions or products referred to in the content. |
© 2024 by the authors. Licensee MDPI, Basel, Switzerland. This article is an open access article distributed under the terms and conditions of the Creative Commons Attribution (CC BY) license (https://creativecommons.org/licenses/by/4.0/).
Share and Cite
Song, W.; Liu, X.; Huang, K.; Qi, J.; He, Y. Regulatory Role of Meox1 in Muscle Growth of Sebastes schlegelii. Int. J. Mol. Sci. 2024, 25, 4871. https://doi.org/10.3390/ijms25094871
Song W, Liu X, Huang K, Qi J, He Y. Regulatory Role of Meox1 in Muscle Growth of Sebastes schlegelii. International Journal of Molecular Sciences. 2024; 25(9):4871. https://doi.org/10.3390/ijms25094871
Chicago/Turabian StyleSong, Weihao, Xiaotong Liu, Kejia Huang, Jie Qi, and Yan He. 2024. "Regulatory Role of Meox1 in Muscle Growth of Sebastes schlegelii" International Journal of Molecular Sciences 25, no. 9: 4871. https://doi.org/10.3390/ijms25094871
APA StyleSong, W., Liu, X., Huang, K., Qi, J., & He, Y. (2024). Regulatory Role of Meox1 in Muscle Growth of Sebastes schlegelii. International Journal of Molecular Sciences, 25(9), 4871. https://doi.org/10.3390/ijms25094871

