Molecular Features of HHV8 Monoclonal Microlymphoma Associated with Kaposi Sarcoma and Multicentric Castleman Disease in an HIV-Negative Patient
Abstract
1. Introduction
2. Detailed Case Description
2.1. Clinical Data
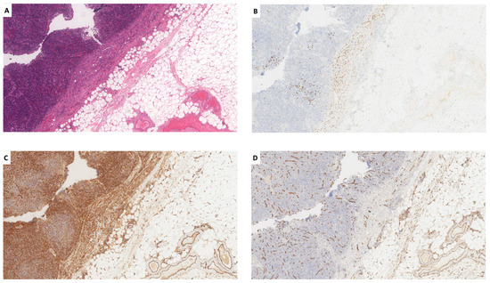
2.2. Histological Findings
2.3. Clonality Analyses
2.4. Mutational Analyses
3. Discussion
4. Conclusions
Author Contributions
Funding
Institutional Review Board Statement
Informed Consent Statement
Data Availability Statement
Conflicts of Interest
References
- Alaggio, R.; Amador, C.; Anagnostopoulos, I.; Attygalle, A.D.; de Oliveira Araujo, I.B.; Berti, E.; Bhagat, G.; Borges, A.M.; Boyer, D.; Calaminici, M.; et al. Correction: “The 5th Edition of the World Health Organization Classification of Haematolymphoid Tumours: Lymphoid Neoplasms” Leukemia. 2022 Jul;36(7):1720–1748. Leukemia 2023, 37, 1944–1951. [Google Scholar] [CrossRef]
- Dispenzieri, A.; Fajgenbaum, D.C. Overview of Castleman Disease. Blood 2020, 135, 1353–1364. [Google Scholar] [CrossRef] [PubMed]
- Cesarman, E.; Chadburn, A.; Rubinstein, P.G. Kshv/Hhv8-Mediated Hematologic Diseases. Blood 2022, 139, 1013–1025. [Google Scholar] [CrossRef] [PubMed]
- Dupin, N.; Diss, T.L.; Kellam, P.; Tulliez, M.; Du, M.Q.; Sicard, D.; Weiss, R.A.; Isaacson, P.G.; Boshoff, C. Hhv-8 Is Associated with a Plasmablastic Variant of Castleman Disease That Is Linked to Hhv-8-Positive Plasmablastic Lymphoma. Blood 2000, 95, 1406–1412. [Google Scholar] [CrossRef] [PubMed]
- Du, M.Q.; Liu, H.; Diss, T.C.; Ye, H.; Hamoudi, R.A.; Dupin, N.; Meignin, V.; Oksenhendler, E.; Boshoff, C.; Isaacson, P.G. Kaposi Sarcoma-Associated Herpesvirus Infects Monotypic (Igm Lambda) but Polyclonal Naive B Cells in Castleman Disease and Associated Lymphoproliferative Disorders. Blood 2001, 97, 2130–2136. [Google Scholar] [CrossRef] [PubMed]
- Oksenhendler, E.; Boulanger, E.; Galicier, L.; Du, M.Q.; Dupin, N.; Diss, T.C.; Hamoudi, R.; Daniel, M.T.; Agbalika, F.; Boshoff, C.; et al. High Incidence of Kaposi Sarcoma-Associated Herpesvirus-Related Non-Hodgkin Lymphoma in Patients with Hiv Infection and Multicentric Castleman Disease. Blood 2002, 99, 2331–2336. [Google Scholar] [CrossRef] [PubMed]
- Chadburn, A.; Said, J.; Gratzinger, D.; Chan, J.K.; de Jong, D.; Jaffe, E.S.; Natkunam, Y.; Goodlad, J.R. Hhv8/Kshv-Positive Lymphoproliferative Disorders and the Spectrum of Plasmablastic and Plasma Cell Neoplasms: 2015 Sh/Eahp Workshop Report-Part 3. Am. J. Clin. Pathol. 2017, 147, 171–187. [Google Scholar] [CrossRef] [PubMed]
- Hu, Z.; Pan, Z.; Chen, W.; Shi, Y.; Wang, W.; Yuan, J.; Wang, E.; Zhang, S.; Kurt, H.; Mai, B.; et al. Primary Effusion Lymphoma: A Clinicopathological Study of 70 Cases. Cancers 2021, 13, 878. [Google Scholar] [CrossRef] [PubMed]
- Gaidano, G.; Pasqualucci, L.; Capello, D.; Berra, E.; Deambrogi, C.; Rossi, D.; Maria Larocca, L.; Gloghini, A.; Carbone, A.; Dalla-Favera, R. Aberrant Somatic Hypermutation in Multiple Subtypes of Aids-Associated Non-Hodgkin Lymphoma. Blood 2003, 102, 1833–1841. [Google Scholar] [CrossRef]
- Rossi, G.; Cozzi, I.; Della Starza, I.; De Novi, L.A.; De Propris, M.S.; Gaeta, A.; Petrucci, L.; Pulsoni, A.; Pulvirenti, F.; Ascoli, V. Human Herpesvirus-8-Positive Primary Effusion Lymphoma in Hiv-Negative Patients: Single Institution Case Series with a Multidisciplinary Characterization. Cancer Cytopathol. 2021, 129, 62–74. [Google Scholar] [CrossRef]
- Polizzotto, M.N.; Uldrick, T.S.; Wyvill, K.M.; Aleman, K.; Marshall, V.; Wang, V.; Whitby, D.; Pittaluga, S.; Jaffe, E.S.; Millo, C.; et al. Clinical Features and Outcomes of Patients with Symptomatic Kaposi Sarcoma Herpesvirus (Kshv)-Associated Inflammation: Prospective Characterization of Kshv Inflammatory Cytokine Syndrome (Kics). Clin. Infect. Dis. 2016, 62, 730–738. [Google Scholar] [CrossRef] [PubMed]
- Mularoni, A.; Gallo, A.; Riva, G.; Barozzi, P.; Miele, M.; Cardinale, G.; Vizzini, G.; Volpes, R.; Grossi, P.; Di Carlo, D.; et al. Successful Treatment of Kaposi Sarcoma-Associated Herpesvirus Inflammatory Cytokine Syndrome after Kidney-Liver Transplant: Correlations with the Human Herpesvirus 8 Mirnome and Specific T Cell Response. Am. J. Transplant. 2017, 17, 2963–2969. [Google Scholar] [CrossRef] [PubMed]
- Indave Ruiz, B.I.; Armon, S.; Watanabe, R.; Uttley, L.; White, V.A.; Lazar, A.J.; Cree, I.A. Clonality, Mutation and Kaposi Sarcoma: A Systematic Review. Cancers 2022, 14, 1201. [Google Scholar] [CrossRef] [PubMed]
- Naresh, K.N.; Rice, A.J.; Bower, M. Lymph Nodes Involved by Multicentric Castleman Disease among Hiv-Positive Individuals Are Often Involved by Kaposi Sarcoma. Am. J. Surg. Pathol. 2008, 32, 1006–1012. [Google Scholar] [CrossRef] [PubMed]
- Eaton, C.; Dorer, R.; Aboulafia, D.M. Human Herpesvirus-8 Infection Associated with Kaposi Sarcoma, Multicentric Castleman’s Disease, and Plasmablastic Microlymphoma in a Man with Aids: A Case Report with Review of Pathophysiologic Processes. Patholog. Res. Int. 2010, 2011, 647518. [Google Scholar] [CrossRef] [PubMed]
- Hwang, J.P.; Kim, J.; Park, J.M. Human Immunodeficiency Virus-Negative Multicentric Castleman’s Disease Coexistent with Kaposi’s Sarcoma on (18)F-Fdg Pet/Ct: A Case Report. Mol. Clin. Oncol. 2019, 10, 318–320. [Google Scholar] [CrossRef] [PubMed]
- Dossier, A.; Meignin, V.; Fieschi, C.; Boutboul, D.; Oksenhendler, E.; Galicier, L. Human Herpesvirus 8-Related Castleman Disease in the Absence of Hiv Infection. Clin. Infect. Dis. 2013, 56, 833–842. [Google Scholar] [CrossRef] [PubMed]
- Bollen, J.; Polstra, A.; Van Der Kuyl, A.; Weel, J.; Noorduyn, L.; Van Oers, M.; Cornelissen, M. Multicentric Castleman’s Disease and Kaposi’s Sarcoma in a Cyclosporin Treated, Hiv-1 Negative Patient: Case Report. BMC Blood Disord. 2003, 3, 3. [Google Scholar] [CrossRef] [PubMed]
- Di Napoli, A.; Rogges, E.; Noccioli, N.; Gazzola, A.; Lopez, G.; Persechino, S.; Mancini, R.; Sabattini, E. Deep Sequencing of Immunoglobulin Genes Identifies a Very Low Percentage of Monoclonal B Cells in Primary Cutaneous Marginal Zone Lymphomas with Cd30-Positive Hodgkin/Reed-Sternberg-like Cells. Diagnostics 2022, 12, 290. [Google Scholar] [CrossRef]
- Lay, L.; Stroup, B.; Payton, J.E. Validation and Interpretation of IGH and TCR Clonality Testing by Ion Torrent S5 Ngs for Diagnosis and Disease Monitoring in B and T Cell Cancers. Pract. Lab. Med. 2020, 22, e00191. [Google Scholar] [CrossRef]
- Arcila, M.E.; Yu, W.; Syed, M.; Kim, H.; Maciag, L.; Yao, J.; Ho, C.; Petrova, K.; Moung, C.; Salazar, P.; et al. Establishment of Immunoglobulin Heavy (Igh) Chain Clonality Testing by Next-Generation Sequencing for Routine Characterization of B-Cell and Plasma Cell Neoplasms. J. Mol. Diagn. 2019, 21, 330–342. [Google Scholar] [CrossRef] [PubMed]
- Scheijen, B.; Meijers, R.W.J.; Rijntjes, J.; van der Klift, M.Y.; Mobs, M.; Steinhilber, J.; Reigl, T.; van den Brand, M.; Kotrova, M.; Ritter, J.M.; et al. Next-Generation Sequencing of Immunoglobulin Gene Rearrangements for Clonality Assessment: A Technical Feasibility Study by Euroclonality-Ngs. Leukemia 2019, 33, 2227–2240. [Google Scholar] [CrossRef] [PubMed]
- Totonchy, J.; Osborn, J.M.; Chadburn, A.; Nabiee, R.; Argueta, L.; Mikita, G.; Cesarman, E. Kshv Induces Immunoglobulin Rearrangements in Mature B Lymphocytes. PLoS Pathog. 2018, 14, e1006967. [Google Scholar] [CrossRef] [PubMed]
- Derudder, E.; Cadera, E.J.; Vahl, J.C.; Wang, J.; Fox, C.J.; Zha, S.; van Loo, G.; Pasparakis, M.; Schlissel, M.S.; Schmidt-Supprian, M.; et al. Development of Immunoglobulin Lambda-Chain-Positive B Cells, but Not Editing of Immunoglobulin Kappa-Chain, Depends on Nf-kappab Signals. Nat. Immunol. 2009, 10, 647–654. [Google Scholar] [CrossRef] [PubMed]
- Myoung, J.; Ganem, D. Infection of Primary Human Tonsillar Lymphoid Cells by Kshv Reveals Frequent but Abortive Infection of T Cells. Virology 2011, 413, 1–11. [Google Scholar] [CrossRef] [PubMed]
- Fakhari, F.D.; Jeong, J.H.; Kanan, Y.; Dittmer, D.P. The Latency-Associated Nuclear Antigen of Kaposi Sarcoma-Associated Herpesvirus Induces B Cell Hyperplasia and Lymphoma. J. Clin. Investig. 2006, 116, 735–742. [Google Scholar] [CrossRef] [PubMed]
- Li, C.F.; Ye, H.; Liu, H.; Du, M.Q.; Chuang, S.S. Fatal Hhv-8-Associated Hemophagocytic Syndrome in an Hiv-Negative Immunocompetent Patient with Plasmablastic Variant of Multicentric Castleman Disease (Plasmablastic Microlymphoma). Am. J. Surg. Pathol. 2006, 30, 123–127. [Google Scholar] [CrossRef]
- Dargent, J.L.; Lespagnard, L.; Sirtaine, N.; Cantinieaux, B.; Li, R.; Hermans, P. Plasmablastic Microlymphoma Occurring in Human Herpesvirus 8 (Hhv-8)-Positive Multicentric Castleman’s Disease and Featuring a Follicular Growth Pattern. APMIS 2007, 115, 869–874. [Google Scholar] [CrossRef] [PubMed]
- Seliem, R.M.; Griffith, R.C.; Harris, N.L.; Beheshti, J.; Schiffman, F.J.; Longtine, J.; Kutok, J.; Ferry, J.A. Hhv-8+, Ebv+ Multicentric Plasmablastic Microlymphoma in an Hiv+ Man: The Spectrum of Hhv-8+ Lymphoproliferative Disorders Expands. Am. J. Surg. Pathol. 2007, 31, 1439–1445. [Google Scholar] [CrossRef]
- Koenig, G.; Stevens, T.M.; Peker, D. Plasmablastic Microlymphoma Arising in Human Herpesvirus-8-Associated Multicentric Castleman Disease in a Human Immunodeficiency Virus-Seronegative Patient with Clinical Response to Anti-Interleukin-6 Therapy. Histopathology 2015, 67, 930–932. [Google Scholar] [CrossRef]
- Gonzalez-Farre, B.; Martinez, D.; Lopez-Guerra, M.; Xipell, M.; Monclus, E.; Rovira, J.; Garcia, F.; Lopez-Guillermo, A.; Colomo, L.; Campo, E.; et al. Hhv8-Related Lymphoid Proliferations: A Broad Spectrum of Lesions from Reactive Lymphoid Hyperplasia to Overt Lymphoma. Mod. Pathol. 2017, 30, 745–760. [Google Scholar] [CrossRef] [PubMed]
- Campo, E.; Jaffe, E.S.; Cook, J.R.; Quintanilla-Martinez, L.; Swerdlow, S.H.; Anderson, K.C.; Brousset, P.; Cerroni, L.; de Leval, L.; Dirnhofer, S.; et al. The International Consensus Classification of Mature Lymphoid Neoplasms: A Report from the Clinical Advisory Committee. Blood 2022, 140, 1229–1253. [Google Scholar] [CrossRef] [PubMed]
- Di Napoli, A.; Soma, L.; Quintanilla-Martinez, L.; de Leval, L.; Leoncini, L.; Zamo, A.; Ng, S.B.; Ondrejka, S.L.; Climent, F.; Wotherspoon, A.; et al. Cavity-Based Lymphomas: Challenges and Novel Concepts. A Report of the 2022 Ea4hp/Sh Lymphoma Workshop. Virchows Arch 2023, 483, 299–316. [Google Scholar] [CrossRef] [PubMed]
- Boulanger, E.; Marchio, A.; Hong, S.S.; Pineau, P. Mutational Analysis of Tp53, Pten, Pik3ca and Ctnnb1/Beta-Catenin Genes in Human Herpesvirus 8-Associated Primary Effusion Lymphoma. Haematologica 2009, 94, 1170–1174. [Google Scholar] [CrossRef] [PubMed]
- Kastnerova, L.; Belousova, I.E.; Michal, M.; Ptakova, N.; Michal, M.; Kazakov, D.V. Kaposi Sarcoma in Association with an Extracavitary Primary Effusion Lymphoma Showing Unusual Intravascular Involvement: Report of a Case Harboring a Fam175a Germline Mutation. Am. J. Dermatopathol. 2020, 42, 55–60. [Google Scholar] [CrossRef] [PubMed]
- Yang, D.; Chen, W.; Xiong, J.; Sherrod, C.J.; Henry, D.H.; Dittmer, D.P. Interleukin 1 Receptor-Associated Kinase 1 (Irak1) Mutation Is a Common, Essential Driver for Kaposi Sarcoma Herpesvirus Lymphoma. Proc. Natl. Acad. Sci. USA 2014, 111, E4762–E4768. [Google Scholar] [CrossRef]
- Shinsky, S.A.; Monteith, K.E.; Viggiano, S.; Cosgrove, M.S. Biochemical Reconstitution and Phylogenetic Comparison of Human Set1 Family Core Complexes Involved in Histone Methylation. J. Biol. Chem. 2015, 290, 6361–6375. [Google Scholar] [CrossRef] [PubMed]
- Cho, Y.W.; Hong, T.; Hong, S.; Guo, H.; Yu, H.; Kim, D.; Guszczynski, T.; Dressler, G.R.; Copeland, T.D.; Kalkum, M.; et al. Ptip Associates with Mll3- and Mll4-Containing Histone H3 Lysine 4 Methyltransferase Complex. J. Biol. Chem. 2007, 282, 20395–20406. [Google Scholar] [CrossRef] [PubMed]
- Morin, R.D.; Mendez-Lago, M.; Mungall, A.J.; Goya, R.; Mungall, K.L.; Corbett, R.D.; Johnson, N.A.; Severson, T.M.; Chiu, R.; Field, M.; et al. Frequent Mutation of Histone-Modifying Genes in Non-Hodgkin Lymphoma. Nature 2011, 476, 298–303. [Google Scholar] [CrossRef]
- Chapuy, B.; Stewart, C.; Dunford, A.J.; Kim, J.; Kamburov, A.; Redd, R.A.; Lawrence, M.S.; Roemer, M.G.M.; Li, A.J.; Ziepert, M.; et al. Molecular Subtypes of Diffuse Large B Cell Lymphoma Are Associated with Distinct Pathogenic Mechanisms and Outcomes. Nat. Med. 2018, 24, 679–690. [Google Scholar] [CrossRef]
- You, H.; Xu-Monette, Z.Y.; Wei, L.; Nunns, H.; Nagy, M.L.; Bhagat, G.; Fang, X.; Zhu, F.; Visco, C.; Tzankov, A.; et al. Genomic Complexity Is Associated with Epigenetic Regulator Mutations and Poor Prognosis in Diffuse Large B-Cell Lymphoma. Oncoimmunology 2021, 10, 1928365. [Google Scholar] [CrossRef]
- Gebauer, N.; Kunstner, A.; Ketzer, J.; Witte, H.M.; Rausch, T.; Benes, V.; Zimmermann, J.; Gebauer, J.; Merz, H.; Bernard, V.; et al. Genomic Insights into the Pathogenesis of Epstein-Barr Virus-Associated Diffuse Large B-Cell Lymphoma by Whole-Genome and Targeted Amplicon Sequencing. Blood Cancer J. 2021, 11, 102. [Google Scholar] [CrossRef]
- Pasqualucci, L.; Khiabanian, H.; Fangazio, M.; Vasishtha, M.; Messina, M.; Holmes, A.B.; Ouillette, P.; Trifonov, V.; Rossi, D.; Tabbo, F.; et al. Genetics of Follicular Lymphoma Transformation. Cell Rep. 2014, 6, 130–140. [Google Scholar] [CrossRef]
- Trinh, D.L.; Scott, D.W.; Morin, R.D.; Mendez-Lago, M.; An, J.; Jones, S.J.; Mungall, A.J.; Zhao, Y.; Schein, J.; Steidl, C.; et al. Analysis of Foxo1 Mutations in Diffuse Large B-Cell Lymphoma. Blood 2013, 121, 3666–3674. [Google Scholar] [CrossRef]
- Roberto, M.P.; Varano, G.; Vinas-Castells, R.; Holmes, A.B.; Kumar, R.; Pasqualucci, L.; Farinha, P.; Scott, D.W.; Dominguez-Sola, D. Mutations in the Transcription Factor Foxo1 Mimic Positive Selection Signals to Promote Germinal Center B Cell Expansion and Lymphomagenesis. Immunity 2021, 54, 1807–1824.e1814. [Google Scholar] [CrossRef]




| Gene | Reference | Chr | cDNA | Coding Consequence | AAchange | COSMIC/ Clinvar | VAF | SIFT | Polyphen2 | Mutation Assessor | Mutation Taster | Prediction |
|---|---|---|---|---|---|---|---|---|---|---|---|---|
| KMT2D | NM_003482 | 12q13.12 | c.1940del | Frameshift | p.(Pro647fs) | COSV56415893/rs770315135 | 1.9 | NA | NA | NA | NA | Pathogenic/Likely pathogenic |
| KMT2D | NM_003482 | 12q13.12 | c.11843T>A | Missense | p.(Leu3948His) | COSV105187453/rs1943003450 | 5.5 | Uncertain | Benign | Benign moderate (0) | Uncertain (1) | VUS |
| KMT2D | NM_003482 | 12q13.12 | c.11756_11758del | Inframe_3 | p.(Gln3919del) | COSV56474613/rs576788910 | 5.3 | NA | NA | NA | NA | VUS |
| KMT2A | NM_001197104 | 11q23.3 | c.46A>C | Missense | p.(Thr16Pro) | None | 1.5 | Uncertain (0.00) | Possibly damaging (0.914) | Benign moderate (0) | Benign supporting (0.99) | VUS |
| FOXO1 | NM_002015 | 13q14.11 | c.295G>C | Missense | p.(Ala99Pro) | None | 3.3 | Benign moderate (0.34) | Possibly damaging (0.652) | Benign moderate (0) | Uncertain (0.99) | VUS |
| ARID1A | NM_006015 | 1p36.11 | c.64T>G | Missense | p.(Ser22Ala) | None | 3.1 | Pathogenic supporting (0.0) | Possibly damaging (0.956) | Benign moderate (0.55) | Benign moderate (0.69) | VUS |
| Age/Sex | HIV Status | Diagnosis (Site of Involvement) | Plasmablasts Light-Chain Restriction | IGH Rearrangement | Associated Diseases (Site of Involvement) | Clinical Outcome |
|---|---|---|---|---|---|---|
| Dupin et al. [4] | ||||||
| 32/M | Positive | HHV8 MCD (LN, spleen) Microlymphoma (spleen) | Lambda | Unable to confirm monoclonality | KS (skin) | Death within 6 months from diagnosis of “plasmablast” crisis |
| 62/M | Positive | HHV8 MCD (LN, spleen) Microlymphoma (spleen) | Lambda | Unable to confirm monoclonality | None | Death within 7 months from diagnosis of disease progression and ketoacidosis |
| 47/F | Positive | HHV8 MCD (LN, spleen) Lymphoma (LN, spleen, pharynx) Microlymphoma (spleen) | Lambda | Unable to confirm monoclonality | KS (skin and palate) | Death within 9 months from diagnosis of plasmablastic lymphoma |
| Du et al. [5] | ||||||
| - | Negative | HHV8 MCD (LN) Lymphoma (LN) Microlymphoma (spleen) | Lambda | Monoclonal | - | - |
| - | Positive | HHV8 MCD (LN) Microlymphoma (spleen) | Lambda | Polyclonal | - | - |
| - | Negative | HHV8 MCD (LN) Microlymphoma (LN) | Lambda | Polyclonal | - | - |
| - | Positive | HHV8 MCD (LN) Microlymphoma (spleen) | Lambda | Monoclonal | - | - |
| - | Positive | HHV8 MCD (LN) Lymphoma (LN) Microlymphoma (spleen) | Lambda | Polyclonal | - | - |
| - | Positive | HHV8 MCD (LN) Microlymphoma (spleen) | Lambda | Polyclonal | - | - |
| - | Positive | HHV8 MCD (LN) Microlymphoma (spleen) | Lambda | Polyclonal | - | - |
| - | Positive | HHV8 MCD (LN) Microlymphoma (spleen) | Lambda | - | - | - |
| - | Positive | HHV8 MCD Microlymphoma (LN) | Lambda | Polyclonal | - | - |
| Li et al. [27] | ||||||
| 61/M | Negative | HHV8 MCD (LN) Microlymphoma (LN) | Lambda | Polyclonal | Hemophagocytic Syndrome (BM) | Death within 1 month from diagnosis of acute respiratory distress syndrome |
| Dargent et al. [28] | ||||||
| 32/M | Positive | HHV8 MCD (LN) Microlymphoma (LN) | Lambda | Polyclonal | KS | Death shortly after diagnosis of multiple organ failure |
| Eaton et al. [15] | ||||||
| 42/M | Positive | HHV8 MCD (LN) Microlymphoma (LN) | Lambda | Not determined | KS (skin and LN) | Alive at 10 years follow-up |
| Seliem et al. [29] | ||||||
| 45/M | Positive | HHV8 MCD (LN) GLPD vs. Microlymphoma vs. ECPEL (LN and spleen) | Lambda (dim) | Polyclonal | KS (spleen and LN) Hemophagocytic syndrome (BM) | Death within 7 months from diagnosis of hemophagocytic syndrome |
| Koenig et al. [30] | ||||||
| 67/F | Negative | MCD (LN, spleen) Microlymphoma (LN) | Lambda | Not determined | - | Partial response to rituximab and complete response to siltuximab, alive |
| Gonzalez-Farre et al. [31] | ||||||
| 22/F | Positive | Plasmablastic-rich MCD (LN) | Lambda | Polyclonal | - | R-CHOP and intrathecal RT, alive 64 months after diagnosis |
| 37/M | Positive | Plasmablastic-rich MCD (LN) | Lambda | Not determined | - | Death shortly after diagnosis |
| 30/M | Positive | Plasmablastic-rich MCD (LN) | Lambda | Polyclonal | KS | R-CHOP and cART, alive 64 months after diagnosis |
| Rogges et al. (present case) | ||||||
| 66/M | Negative | MCD (LN) Microlymphoma (LN) | Lambda | Monoclonal | KS (skin and LN) | Death shortly after diagnosis of multiple organ failure |
Disclaimer/Publisher’s Note: The statements, opinions and data contained in all publications are solely those of the individual author(s) and contributor(s) and not of MDPI and/or the editor(s). MDPI and/or the editor(s) disclaim responsibility for any injury to people or property resulting from any ideas, methods, instructions or products referred to in the content. |
© 2024 by the authors. Licensee MDPI, Basel, Switzerland. This article is an open access article distributed under the terms and conditions of the Creative Commons Attribution (CC BY) license (https://creativecommons.org/licenses/by/4.0/).
Share and Cite
Rogges, E.; Pelliccia, S.; Savio, C.; Lopez, G.; Della Starza, I.; La Verde, G.; Di Napoli, A. Molecular Features of HHV8 Monoclonal Microlymphoma Associated with Kaposi Sarcoma and Multicentric Castleman Disease in an HIV-Negative Patient. Int. J. Mol. Sci. 2024, 25, 3775. https://doi.org/10.3390/ijms25073775
Rogges E, Pelliccia S, Savio C, Lopez G, Della Starza I, La Verde G, Di Napoli A. Molecular Features of HHV8 Monoclonal Microlymphoma Associated with Kaposi Sarcoma and Multicentric Castleman Disease in an HIV-Negative Patient. International Journal of Molecular Sciences. 2024; 25(7):3775. https://doi.org/10.3390/ijms25073775
Chicago/Turabian StyleRogges, Evelina, Sabrina Pelliccia, Camilla Savio, Gianluca Lopez, Irene Della Starza, Giacinto La Verde, and Arianna Di Napoli. 2024. "Molecular Features of HHV8 Monoclonal Microlymphoma Associated with Kaposi Sarcoma and Multicentric Castleman Disease in an HIV-Negative Patient" International Journal of Molecular Sciences 25, no. 7: 3775. https://doi.org/10.3390/ijms25073775
APA StyleRogges, E., Pelliccia, S., Savio, C., Lopez, G., Della Starza, I., La Verde, G., & Di Napoli, A. (2024). Molecular Features of HHV8 Monoclonal Microlymphoma Associated with Kaposi Sarcoma and Multicentric Castleman Disease in an HIV-Negative Patient. International Journal of Molecular Sciences, 25(7), 3775. https://doi.org/10.3390/ijms25073775

