Roles of CgEde1 and CgMca in Development and Virulence of Colletotrichum gloeosporioides
Abstract
1. Introduction
2. Results
2.1. Bioinformatic Analysis of CgEde1 and CgMca and Generation of Mutant Strains
2.2. CgEde1 Is Involved in Vegetative Growth, Conidiation, and Pathogenicity
2.3. CgMca Is a Potential Interacting Protein of CgEde1
2.4. CgMca Is Required for Conidiation, Spore Morphology and Germination
2.5. CgMca Is Required for the Virulence of C. gloeosporioides
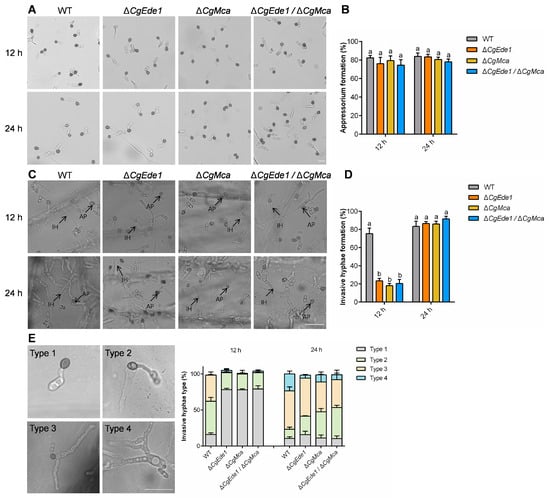
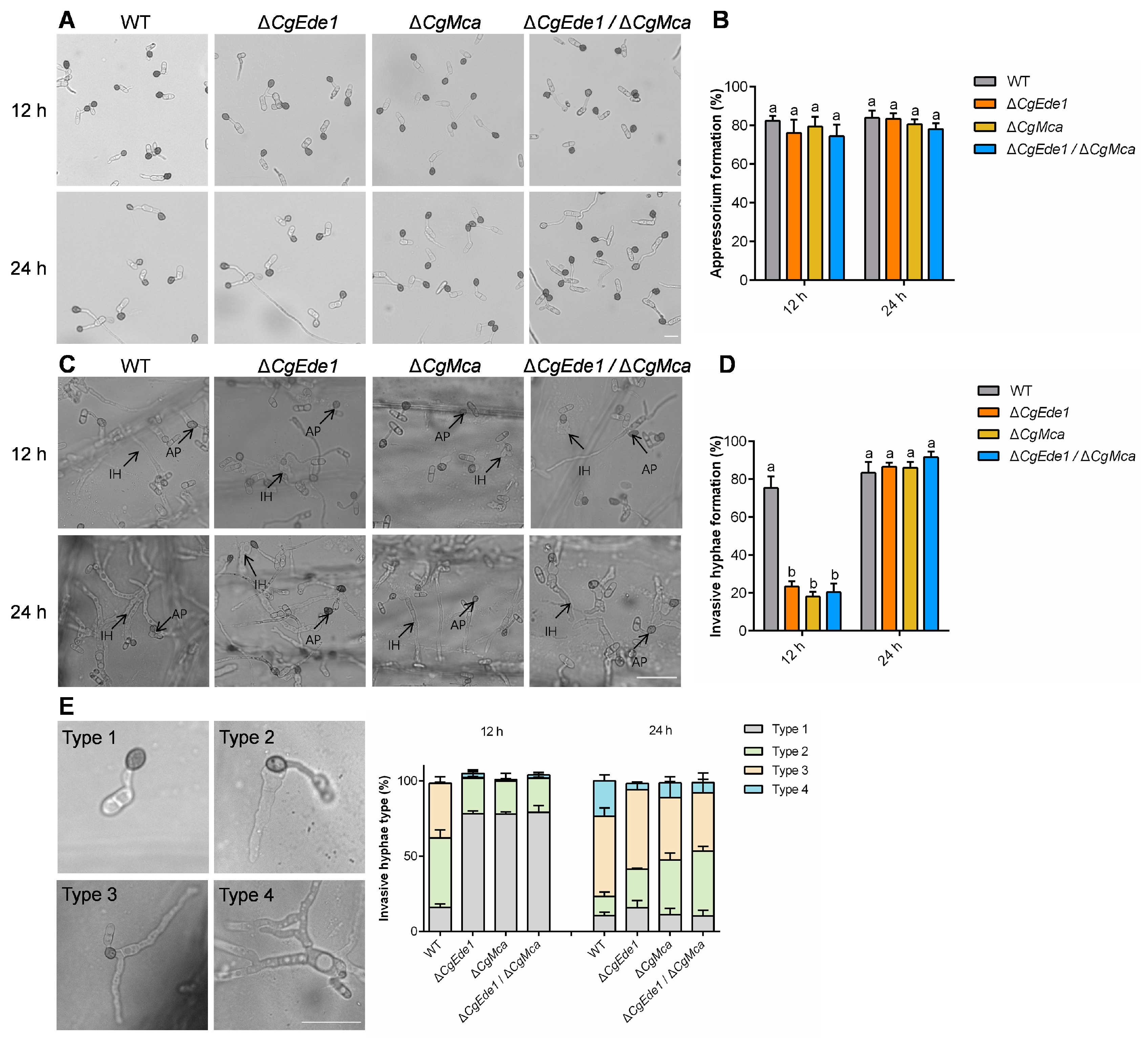
2.6. Both CgEde1 and CgMca Are Involved in the Development of Invasive Hyphae
2.7. CgEde1 and CgMca Are Involved in Stress Tolerance
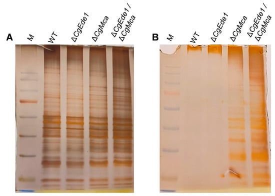
2.8. CgMca Plays a Role in the Removal of Protein Aggregates
3. Discussion
4. Materials and Methods
4.1. Characterization and Phylogenetic Analysis of CgEde1 and CgMca
4.2. Generation of Mutant Strains
4.3. Vegetative Growth Assay
4.4. Conidiation Assay
4.5. Pathogenicity Assay
4.6. Fluorescence Microscopy
4.7. Pull-Down Assay and Mass Spectrometry Analysis
4.8. Yeast Hybrid Assays
4.9. Appressorium Formation Assay
4.10. Penetration Ability Assay
4.11. Stress Tolerance Assay
4.12. Quantitative RT-PCR Analysis
4.13. Protein Aggregate Assays
4.14. Statistical Analysis
Supplementary Materials
Author Contributions
Funding
Institutional Review Board Statement
Informed Consent Statement
Data Availability Statement
Conflicts of Interest
References
- Doherty, G.J.; McMahon, H.T. Mechanisms of endocytosis. Annu. Rev. Biochem. 2009, 78, 857–902. [Google Scholar] [CrossRef]
- Fuchs, U.; Steinberg, G. Endocytosis in the plant-pathogenic fungus Ustilago maydis. Protoplasma 2005, 226, 75–80. [Google Scholar] [CrossRef]
- Wedlich-Söldner, R.; Bölker, M.; Kahmann, R.; Steinberg, G. A putative endosomal t-snare links exo- and endocytosis in the phytopathogenic fungus Ustilago maydis. Embo J. 2000, 19, 1974–1986. [Google Scholar] [CrossRef] [PubMed]
- Higuchi, Y.; Shoji, J.Y.; Arioka, M.; Kitamoto, K. Endocytosis is crucial for cell polarity and apical membrane recycling in the filamentous fungus Aspergillus oryzae. Eukaryot. Cell 2009, 8, 37–46. [Google Scholar] [CrossRef] [PubMed]
- Li, X.; Gao, C.Y.; Li, L.W.; Liu, M.X.; Yin, Z.Y.; Zhang, H.F.; Zheng, X.B. Moend3 regulates appressorium formation and virulence through mediating endocytosis in rice blast fungus Magnaporthe oryzae. PLoS Pathog. 2017, 13, e1006449. [Google Scholar] [CrossRef] [PubMed]
- Wang, X.; Lu, D.X.; Tian, C.M. Cgend3 regulates endocytosis, appressorium formation, and virulence in the poplar anthracnose fungus Colletotrichum gloeosporioides. Int. J. Mol. Sci. 2021, 22, 4029. [Google Scholar] [CrossRef] [PubMed]
- Chen, D.; Hu, H.; He, W.H.; Zhang, S.M.; Tang, M.X.; Xiang, S.K.; Liu, C.Y.; Cai, X.; Hendy, A.; Kamran, M.; et al. Endocytic protein Pal1 regulates appressorium formation and is required for full virulence of Magnaporthe oryzae. Mol. Plant Pathol. 2022, 23, 133–147. [Google Scholar] [CrossRef] [PubMed]
- Boeke, D.; Trautmann, S.; Meurer, M.; Wachsmuth, M.; Godlee, C.; Knop, M.; Kaksonen, M. Quantification of cytosolic interactions identifies Ede1 oligomers as key organizers of endocytosis. Mol. Syst. Biol. 2014, 10, 756. [Google Scholar] [CrossRef] [PubMed]
- Lu, R.; Drubin, D.G. Selection and stabilization of endocytic sites by Ede1, a yeast functional homologue of human Eps15. Mol. Biol. Cell 2017, 28, 567–575. [Google Scholar] [CrossRef]
- Gagny, B.; Wiederkehr, A.; Dumoulin, P.; Winsor, B.; Riezman, H.; Haguenauer-Tsapis, R. A novel EH domain protein of Saccharomyces cerevisiae, Ede1p, involved in endocytosis. J. Cell Sci. 2000, 113, 3309–3319. [Google Scholar] [CrossRef]
- Kaksonen, M.; Toret, C.P.; Drubin, D.G. A modular design for the clathrin-and actin-mediated endocytosis machinery. Cell 2005, 123, 305–320. [Google Scholar] [CrossRef]
- Stimpson, H.E.; Toret, C.P.; Cheng, A.T.; Pauly, B.S.; Drubin, D.G. Early-arriving Syp1p and Ede1p function in endocytic site placement and formation in budding yeast. Mol. Biol. Cell 2009, 20, 4640–4651. [Google Scholar] [CrossRef]
- Han, X.L.; Chen, L.; Li, W.D.; Zhang, L.; Zhang, L.Y.; Zou, S.S.; Liang, Y.C.; Yu, J.F.; Dong, H.S. Endocytic Fgede1 regulates virulence and autophagy in Fusarium graminearum. Fungal Genet. Biol. 2020, 141, 103400. [Google Scholar] [CrossRef]
- Büttner, S.; Eisenberg, T.; Herker, E.; Carmona-Gutierrez, D.; Kroemer, G.; Madeo, F. Why yeast cells can undergo apoptosis: Death in times of peace, love, and war. J. Cell Biol. 2006, 175, 521–525. [Google Scholar] [CrossRef]
- Sharon, A.; Finkelstein, A.; Shlezinger, N.; Hatam, I. Fungal apoptosis: Function, genes and gene function. FEMS Microbiol. Rev. 2009, 33, 833–854. [Google Scholar] [CrossRef]
- Shrestha, A.; Megeney, L.A. The non-death role of metacaspase proteases. Front. Oncol. 2012, 2, 2009–2012. [Google Scholar] [CrossRef]
- Madeo, F.; Herker, E.; Maldener, C.; Wissing, S.; Lächelt, S.; Herlan, M.; Fehr, M.; Lauber, K.; Sigrist, S.J.; Wesselborg, S.; et al. A caspase-related protease regulates apoptosis in yeast. Mol. Cell 2002, 9, 911–917. [Google Scholar] [CrossRef]
- Vercammen, D.; Cotte, B.V.; Jaeger, G.D.; Eeckhout, D.; Casteels, P.; Vandepoele, K.; Vandenberghe, I.; Beeumen, J.V.; Inze, D.; Breusegem, F. Type II metacaspases Atmc4 and Atmc9 of Arabidopsis thaliana cleave substrates after arginine and lysine. J. Biol. Chem. 2004, 279, 45329–45336. [Google Scholar] [CrossRef] [PubMed]
- Carmona-Gutierrez, D.; Fröhlich, K.-U.; Kroemer, G.; Madeo, F. Metacaspases are caspases. Doubt no more. Cell Death Differ. 2010, 17, 377–378. [Google Scholar] [CrossRef] [PubMed]
- Tsiatsiani, L.; Van, B.F.; Gallois, P.; Zavialov, A.; Lam, E.; Bozhkov, P.V. Metacaspases. Cell Death Differ. 2011, 18, 1279–1288. [Google Scholar] [CrossRef] [PubMed]
- Richie, D.L.; Miley, M.D.; Bhabhra, R.; Robson, G.D.; Rhodes, J.C.; Askew, D.S. The Aspergillus fumigatus metacaspases CasA and CasB facilitate growth under conditions of endoplasmic reticulum stress. Mol. Microbiol. 2007, 63, 591–604. [Google Scholar] [CrossRef]
- Cao, Y.Y.; Huang, S.; Dai, B.; Zhu, Z.Y.; Lu, H.; Dong, L.L.; Cao, Y.B.; Wang, Y.; Gao, P.H.; Chai, Y.F.; et al. Candida albicans cells lacking CaMCA1-encoded metacaspase show resistance to oxidative stress-induced death and change in energy metabolism. Fungal Genet. Biol. 2009, 46, 183–189. [Google Scholar] [CrossRef]
- Mukherjee, D.; Gupta, S.; Saran, N.; Datta, R.; Ghosh, A. Induction of apoptosis-like cell death and clearance of stress-induced intracellular protein aggregates: Dual roles for Ustilago maydis metacaspase Mca1. Mol. Microbiol. 2017, 106, 815–831. [Google Scholar] [CrossRef]
- Fernandez, J.; Lopez, V.; Kinch, L.; Pfeifer, M.A.; Gray, H.; Garcia, N.; Grishin, N.V.; Khang, C.-H.; Orth, K. Role of Two Metacaspases in Development and Pathogenicity of the Rice Blast Fungus Magnaporthe oryzae. mBio 2021, 12, e03471-20. [Google Scholar] [CrossRef]
- Khan, M.A.S.; Chock, P.B.; Stadtman, E.R. Knockout of caspase-like gene, YCA1, abrogates apoptosis and elevates oxidized proteins in Saccharomyces cerevisiae. Proc. Natl. Acad. Sci. USA 2005, 102, 17326–17331. [Google Scholar] [CrossRef]
- Lee, R.E.; Brunette, S.; Puente, L.G.; Megeney, L.A. Metacaspase Yca1 is required for clearance of insoluble protein aggregates. Proc. Natl. Acad. Sci. USA 2010, 107, 13348–13353. [Google Scholar] [CrossRef]
- Hamann, A.; Brust, D.; Osiewacz, H.D. Deletion of putative apoptosis factors leads to lifespan extension in the fungal ageing model Podospora anserina. Mol. Microbiol. 2007, 65, 948–958. [Google Scholar] [CrossRef]
- Strobel, I.; Osiewacz, H.D. Poly (ADP-ribose) polymerase is a substrate recognized by two metacaspases of Podospora anserina. Eukaryot. Cell 2013, 12, 900–912. [Google Scholar] [CrossRef] [PubMed]
- Wang, X.Y.; Wang, Y.Z.; Zhou, Y.Q.; Wei, X.L. Farnesol induces apoptosis-like cell death in the pathogenic fungus Aspergillus flavus. Mycologia 2014, 106, 881–888. [Google Scholar] [CrossRef] [PubMed]
- Ždralević, M.; Longo, V.; Guaragnella, N.; Giannattasio, S.; Timperio, A.M.; Zolla, L. Differential proteome-metabolome profiling of YCA1-knock-out and wild type cells reveals novel metabolic pathways and cellular processes dependent on the yeast metacaspase. Mol. Biosyst. 2015, 11, 1573–1583. [Google Scholar] [CrossRef] [PubMed]
- Dean, R.; Kan, J.A.; Pretorius, Z.A.; Hammond-Kosack, K.E.; Pietro, A.D.; Spanu, P.D.; Rudd, J.J.; Dickman, M.; Kahmann, R.; Ellis, J.; et al. The top 10 fungal pathogens in molecular plant pathology. Mol. Plant Pathol. 2012, 13, 414–430. [Google Scholar] [CrossRef]
- O’Connell, R.J.; Thon, M.R.; Hacquard, S.; Amyotte, S.G.; Kleemann, J.; Torres, M.F.; Damm, U.; Buiate, E.A.; Epstrin, L.; Alkan, N.; et al. Lifestyle transitions in plant pathogenic Colletotrichum fungi deciphered by genome and transcriptome analyses. Nat. Genet. 2012, 44, 1060–1065. [Google Scholar] [CrossRef] [PubMed]
- Riolo, M.; Pane, A.; Santilli, E.; Moricca, S.; Cacciola, S.O. Susceptibility of Italian olive cultivars to various Colletotrichum species associated with fruit anthracnose. Plant Pathol. 2023, 72, 255–267. [Google Scholar] [CrossRef]
- Chung, P.C.; Wu, H.Y.; Wang, Y.W.; Ariyawansa, H.A.; Hu, H.P.; Hung, T.H.; Tzean, S.S.; Chung, C.L. Diversity and pathogenicity of Colletotrichum species causing strawberry anthracnose in Taiwan and description of a new species, Colletotrichum miaoliense sp. nov. Sci. Rep. 2020, 10, 14664. [Google Scholar] [CrossRef]
- Saheb, E.; Trzyna, W.; Maringer, K.; Bush, J. Abnormalities of Endocytosis, Phagocytosis, and Development Process in Dictyostelium Cells That Over-Express Acanthamoeba castellanii Metacaspase Protein. Iran. J. Parasitol. 2015, 10, 213–229. [Google Scholar] [PubMed]
- Upadhyay, S.; Shaw, B.D. The role of actin, fimbrin and endocytosis in growth of hyphae in Aspergillus nidulans. Mol. Microbiol. 2008, 68, 690–705. [Google Scholar] [CrossRef]
- Steinberg, G.; Peñalva, M.A.; Aime, M.C.; Wosten, H.A.; Harris, S.M. Cell biology of hyphal growth. Microbiol. Spectr. 2017, 5, 34. [Google Scholar] [CrossRef]
- Riquelme, M.; Aguirre, J.; Bartnicki-Garcia, S.; Braus, G.H.; Feldbrugge, M.; Fleig, U.; Hansberg, W.; Herrera-Estrella, A.; Kamper, J.; Kuck, U.; et al. Fungal morphogenesis, from the polarized growth of hyphae to complex reproduction and infection structures. Microbiol. Mol. Biol. Rev. 2018, 82, e00068-17. [Google Scholar] [CrossRef]
- Uetz, P.; Giot, L.; Cagney, G.; Mansfield, T.A.; Judson, R.S.; Knight, J.R.; Lockshon, D.; Narayan, V.; Srinivasan, M.; Pochart, P.; et al. A comprehensive analysis of protein-protein interactions in Saccharomyces cerevisiae. Nature 2000, 403, 623–627. [Google Scholar] [CrossRef]
- Mazzoni, C.; Falcone, C. Caspase-dependent apoptosis in yeast. Biochim. Biophys. Acta 2008, 1783, 1320–1327. [Google Scholar] [CrossRef] [PubMed]
- Lehman, K.; Rossi, G.; Adamo, J.E.; Brennwald, P. Yeast homologues of tomosyn and lethal giant larvae function in exocytosis and are associated with the plasma membrane SNARE, Sec9. J. Cell Biol. 1999, 146, 125–140. [Google Scholar] [CrossRef] [PubMed]
- Drubin, D.G.; Nelson, W.J. Origins of cell polarity. Cell 1996, 84, 335–344. [Google Scholar] [CrossRef] [PubMed]
- Fischer, R.; Zekert, N.; Takeshita, N. Polarized growth in fungi-interplay between the cytoskeleton, positional markers and membrane domains. Mol. Microbiol. 2008, 68, 813–826. [Google Scholar] [CrossRef] [PubMed]
- Riquelme, M. Tip growth in filamentous fungi: A road trip to the apex. Annu. Rev. Microbiol. 2013, 67, 587–609. [Google Scholar] [CrossRef] [PubMed]
- Casamayor, A.; Snyder, M. Bud-site selection and cell polarity in budding yeast. Curr. Opin. Microbiol. 2002, 5, 179–186. [Google Scholar] [CrossRef] [PubMed]
- Takeshita, N.; Fischer, R. On the role of microtubules, cell end markers, and septal microtubule organizing centres on site selection for polar growth in Aspergillus nidulans. Fungal Biol. 2011, 115, 506–517. [Google Scholar] [CrossRef] [PubMed]
- Wilson, R.A.; Talbot, N.J. Under pressure: Investigating the biology of plant infection by Magnaporthe oryzae. Nat. Rev. Microbiol. 2009, 7, 185–195. [Google Scholar] [CrossRef]
- Wang, Q.; An, B.; Hou, X.; Guo, Y.; Luo, H.; He, C. Dicer-like Proteins Regulate the Growth, Conidiation, and Pathogenicity of Colletotrichum gloeosporioides from Hevea brasiliensis. Front. Microbiol. 2018, 8, 2621. [Google Scholar] [CrossRef]
- Tamura, K.; Stecher, G.; Kumar, S. MEGA11: Molecular evolutionary genetics analysis version 11. Mol. Biol. Evol. 2021, 38, 3022–3027. [Google Scholar] [CrossRef]
- Gao, X.S.; Wang, Q.N.; Feng, Q.D.; Zhang, B.; He, C.Z.; Luo, H.L.; An, B. Heat shock transcription factor CgHSF1 is required for melanin biosynthesis, appressorium formation, and pathogenicity in Colletotrichum gloeosporioides. J. Fungi 2022, 8, 175. [Google Scholar] [CrossRef]
- Liu, S.K.; Wang, Q.N.; Liu, N.; Luo, H.L.; He, C.Z.; An, B. The histone deacetylase hos2 controls pathogenicity through regulation of melanin biosynthesis and appressorium formation in Colletotrichum gloeosporioides. Phytopathol. Res. 2022, 4, 21. [Google Scholar] [CrossRef]









Disclaimer/Publisher’s Note: The statements, opinions and data contained in all publications are solely those of the individual author(s) and contributor(s) and not of MDPI and/or the editor(s). MDPI and/or the editor(s) disclaim responsibility for any injury to people or property resulting from any ideas, methods, instructions or products referred to in the content. |
© 2024 by the authors. Licensee MDPI, Basel, Switzerland. This article is an open access article distributed under the terms and conditions of the Creative Commons Attribution (CC BY) license (https://creativecommons.org/licenses/by/4.0/).
Share and Cite
Wang, D.; An, B.; Luo, H.; He, C.; Wang, Q. Roles of CgEde1 and CgMca in Development and Virulence of Colletotrichum gloeosporioides. Int. J. Mol. Sci. 2024, 25, 2943. https://doi.org/10.3390/ijms25052943
Wang D, An B, Luo H, He C, Wang Q. Roles of CgEde1 and CgMca in Development and Virulence of Colletotrichum gloeosporioides. International Journal of Molecular Sciences. 2024; 25(5):2943. https://doi.org/10.3390/ijms25052943
Chicago/Turabian StyleWang, Dan, Bang An, Hongli Luo, Chaozu He, and Qiannan Wang. 2024. "Roles of CgEde1 and CgMca in Development and Virulence of Colletotrichum gloeosporioides" International Journal of Molecular Sciences 25, no. 5: 2943. https://doi.org/10.3390/ijms25052943
APA StyleWang, D., An, B., Luo, H., He, C., & Wang, Q. (2024). Roles of CgEde1 and CgMca in Development and Virulence of Colletotrichum gloeosporioides. International Journal of Molecular Sciences, 25(5), 2943. https://doi.org/10.3390/ijms25052943

