Monolacunary Wells-Dawson Polyoxometalate as a Novel Contrast Agent for Computed Tomography: A Comprehensive Study on In Vivo Toxicity and Biodistribution
Abstract
1. Introduction
2. Results
2.1. In Vitro CT Performances
2.2. General Habit of Animals
2.3. Laboratory Blood Analysis
2.3.1. Arterial Blood Gas Analysis
2.3.2. Arterial Blood CO-Oxymetry Status
2.3.3. Arterial Blood Electrolyte Concentrations
2.3.4. Arterial Blood Glucose Level
2.3.5. Arterial Blood Lactate Level
2.3.6. Arterial Blood Creatinine Concentrations
2.3.7. Arterial Blood BUN Concentrations
2.4. Histological Analysis
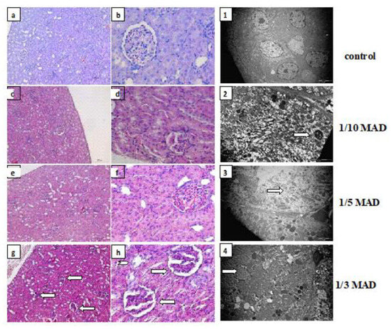
2.4.1. Histopathological Evaluation of Mono-WD POM—Induced Renal Toxicity
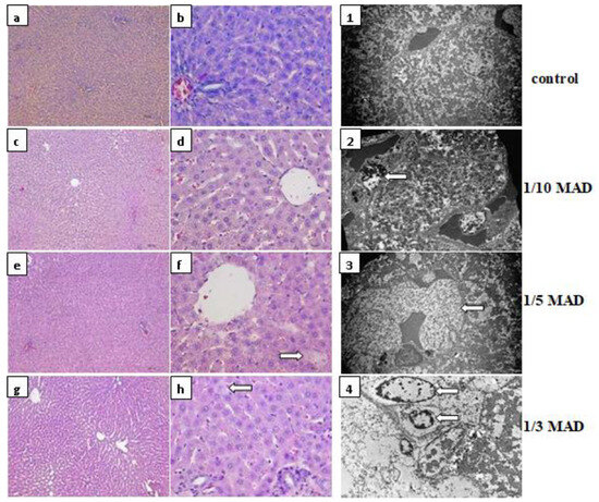
2.4.2. Histopathological Evaluation of Mono-WD POM—Induced Hepatotoxicity
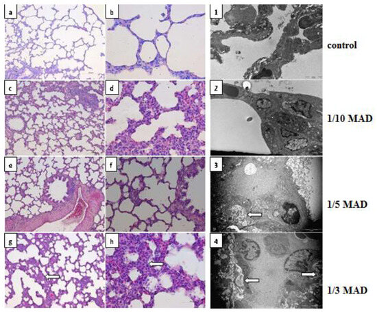
2.4.3. Histopathological Evaluation of Mono-WD POM—Induced Lung Toxicity
2.4.4. Histopathological Evaluation of Mono-WD POM—Induced Cardiotoxicity
2.5. Biodistribution Study In Vivo
3. Discussion
4. Materials and Methods
4.1. Chemicals
4.2. In Vitro CT Imaging
4.3. Ethical Approval
4.4. Experimental Animals
4.5. Experimental Design
4.6. Blood Sampling and Organ Harvesting
4.7. Laboratory Blood Analysis
4.8. Histological Analysis
4.9. Biodistribution Study In Vivo
4.10. Statistical Analysis
Author Contributions
Funding
Institutional Review Board Statement
Informed Consent Statement
Data Availability Statement
Conflicts of Interest
References
- Hisieh, J. Computed Tomography: Principles, Design, Artifacts, and Recent Advances, 3rd ed.; SPIE Press: Bellingham, WA, USA, 2015. [Google Scholar]
- Solomon, J.; Marin, D.; Roy Choudhury, K.; Patel, B.; Samei, E. Effect of Radiation Dose Reduction and Reconstruction Algorithm on Image Noise, Contrast, Resolution, and Detectability of Subtle Hypoattenuating Liver Lesions at Multidetector CT: Filtered Back Projection versus a Commercial Model-based Iterative Reconstruction Algorithm. Radiology 2017, 284, 777–787. [Google Scholar] [PubMed]
- De Bournonville, S.; Vangrunderbeeck, S.; Kerckhofs, G. Contrast-Enhanced MicroCT for Virtual 3D Anatomical Pathology of Biological Tissues: A Literature Review. Contrast. Media. Mol. Imaging 2019, 2019, 8617406. [Google Scholar] [CrossRef]
- Cha, M.J.; Kang, D.Y.; Lee, W.; Yoon, S.H.; Choi, Y.H.; Byun, J.S.; Lee, J.; Kim, Y.H.; Choo, K.S.; Cho, B.S.; et al. Hypersensitivity Reactions to Iodinated Contrast Media: A Multicenter Study of 196 081 Patients. Radiology 2019, 293, 117–124. [Google Scholar] [CrossRef]
- Morcos, R.; Kucharik, M.; Bansal, P.; Al Taii, H.; Manam, R.; Casale, J.; Khalili, H.; Maini, B. Contrast-Induced Acute Kidney Injury: Review and Practical Update. Clin. Med. Insights. Cardiol. 2019, 13, 1179546819878680. [Google Scholar] [CrossRef] [PubMed]
- Huang, L.; Luo, Y.; Chen, Z.L.; Yang, Z.Y.; Wu, Y. Thyroid dysfunction associated with iodine-contrast media: A real-world pharmacovigilance study based on the FDA adverse event reporting system. Heliyon 2023, 9, e21694. [Google Scholar] [CrossRef]
- Shin, H.; Taghavifar, S.; Salehi, S.; Joyce, P.; Gholamrezanezhad, A. Current comments on contrast media administration in patients with renal insufficiency. Clin. Imaging 2021, 69, 37–44. [Google Scholar] [CrossRef]
- Kumar, P.P.P.; Mahajan, R. Gold Polymer Nanomaterials: A Promising Approach for Enhanced Biomolecular Imaging. Nanotheranostics 2024, 8, 64–89. [Google Scholar] [CrossRef]
- Stojanović, M.; Lalatović, J.; Milosavljević, A.; Savić, N.; Simms, C.; Radosavljević, B.; Ćetković, M.; Kravić Stevović, T.; Mrda, D.; Čolović, M.B.; et al. In vivo toxicity evaluation of a polyoxotungstate nanocluster as a promising contrast agent for computed tomography. Sci. Rep. 2023, 13, 9140. [Google Scholar] [CrossRef]
- De Clercq, K.; Persoons, E.; Napso, T.; Luyten, C.; Parac-Vogt, T.N.; Sferruzzi-Perri, A.N.; Kerckhofs, G.; Vriens, J. High-resolution contrast-enhanced microCT reveals the true three-dimensional morphology of the murine placenta. Proc. Natl. Acad. Sci. USA 2019, 116, 13927–13936. [Google Scholar] [CrossRef] [PubMed]
- Kerckhofs, G.; Stegen, S.; van Gastel, N.; Sap, A.; Falgayrac, G.; Penel, G.; Durand, M.; Luyten, F.P.; Geris, L.; Vandamme, K.; et al. Simultaneous three-dimensional visualization of mineralized and soft skeletal tissues by a novel microCT contrast agent with polyoxometalate structure. Biomaterials 2018, 159, 1–12. [Google Scholar] [CrossRef]
- De Bournonville, S.; Vangrunderbeeck, S.; Ly, H.G.T.; Geeroms, C.; De Borggraeve, W.M.; Parac-Vogt, T.N.; Kerckhofs, G. Exploring polyoxometalates as non-destructive staining agents for contrast-enhanced microfocus computed tomography of biological tissues. Acta. Biomater. 2020, 105, 253–262. [Google Scholar] [CrossRef]
- Zhang, S.; Li, M.; Zhang, Y.; Wang, R.; Song, Y.; Zhao, W.; Lin, S. A supramolecular complex based on a Gd-containing polyoxometalate and food-borne peptide for MRI/CT imaging and NIR-triggered photothermal therapy. Dalton. Trans. 2021, 50, 8076–8083. [Google Scholar] [CrossRef]
- Dong, Y.C.; Hajfathalian, M.; Maidment, P.S.N.; Hsu, J.C.; Naha, P.C.; Si-Mohamed, S.; Breuilly, M.; Kim, J.; Chhour, P.; Douek, P. Effect of Gold Nanoparticle Size on Their Properties as Contrast Agents for Computed Tomography. Sci. Rep. 2019, 9, 14912. [Google Scholar] [CrossRef] [PubMed]
- Carvalho, F.; Aureliano, M. Polyoxometalates impact as anticancer agents. Int. J. Mol. Sci. 2023, 24, 5043. [Google Scholar] [CrossRef]
- Dinčić, M.; Čolović, M.B.; Sarić Matutinović, M.; Ćetković, M.; Kravić Stevović, T.; Mougharbel, A.S.; Todorović, J.; Ignjatović, S.; Radosavljević, B.; Milisavljević, M.; et al. In vivo toxicity evaluation of two polyoxotungstates with potential antidiabetic activity using Wistar rats as a model system. RSC Adv. 2020, 10, 2846–2855. [Google Scholar] [CrossRef] [PubMed]
- Čolović, M.B.; Lacković, M.; Lalatović, J.; Mougharbel, A.S.; Kortz, U.; Krstić, D.Z. Polyoxometalates in biomedicine: Update and overview. Curr. Med. Chem. 2020, 27, 362–379. [Google Scholar] [CrossRef] [PubMed]
- Krinke, G.J. The laboratory rat. In Handbook of Experimental Animals, 1st ed.; Elsevier: Amsterdam, The Netherlands, 2000. [Google Scholar]
- Čolović, M.B.; Medić, B.; Ćetković, M.; Kravić Stevović, T.; Stojanović, M.; Ayass, W.W.; Mougharbel, A.S.; Radenković, M.; Prostran, M.; Kortz, U.; et al. Toxicity evaluation of two polyoxotungstates with anti-acetylcholinesterase activity. Toxicol. Appl. Pharmacol. 2017, 333, 68–75. [Google Scholar] [CrossRef]
- Kim, S.J.; Xu, W.; Ahmad, M.W.; Baeck, J.S.; Chang, Y.; Bae, J.E.; Chae, K.S.; Kim, T.J.; Park, J.A.; Lee, G.H. Synthesis of nanoparticle CT contrast agents: In vitro and in vivo studies. Sci. Technol. Adv. Mat. 2015, 16, 055003. [Google Scholar] [CrossRef][Green Version]
- Yang, Z.; Wang, J.; Liu, S.; Sun, F.; Miao, J.; Xu, E.; Tao, L.; Wang, Y.; Ai, S.; Guan, W. Tumor-targeting W18O49 nanoparticles for dual-modality imaging and guided heat-shock-response-inhibited photothermal therapy in gastric cancer. Part. Part. Syst. Char. 2019, 36, 1900124. [Google Scholar] [CrossRef]
- Herman, T.F.; Santos, C. First Pass Effect. In StatPearls; StatPearls Publishing: Treasure Island, FL, USA, 2023. [Google Scholar]
- Wang, J.; Qu, X.; Qi, Y.; Li, J.; Song, X.; Li, L.; Yin, D.; Xu, K.; Li, J. Pharmacokinetics of anti-HBV polyoxometalate in rats. PLoS ONE 2014, 9, e98292. [Google Scholar] [CrossRef]
- Burns, G.P. Arterial blood gases made easy. Clin. Med. 2014, 14, 66–68. [Google Scholar] [CrossRef] [PubMed]
- Verma, A.K.; Roach, P. The interpretation of arterial blood gases. Aust. Prescr. 2010, 33, 124–129. [Google Scholar] [CrossRef]
- Choi, Y.J.; Kim, M.C.; Lim, Y.J.; Yoon, S.Z.; Yoon, S.M.; Yoon, H.R. Propofol infusion associated metabolic acidosis in patients undergoing neurosurgical anesthesia: A retrospective study. J. Korean Neurosurg. Soc. 2014, 56, 135–140. [Google Scholar] [CrossRef] [PubMed]
- McGee, S. Cyanosis in Evidence-Based Physical Diagnosis, 2nd ed.; McGee, S., Ed.; Saunders Elsevier: St Louis, MO, USA, 2007; pp. 85–89. [Google Scholar]
- Tanaka, J.; Moriyama, H.; Terada, M.; Takada, T.; Suzuki, E.; Narita, I.; Kawabata, Y.; Yamaguchi, T.; Hebisawa, A.; Sakai, F.; et al. An observational study of giant cell interstitial pneumonia and lung fibrosis in hard metal lung disease. BMJ Open 2014, 4, e004407. [Google Scholar] [CrossRef]
- Miller, K.; McVeigh, C.M.; Barr, E.B.; Herbert, G.W.; Jacquez, Q.; Hunter, R.; Medina, S.; Lucas, S.N.; Ali, A.S.; Campen, M.J.; et al. Inhalation of tungsten metal particulates alters the lung and bone microenvironments following acute exposure. Toxicol. Sci. 2021, 184, 286–299. [Google Scholar] [CrossRef]
- Maitra, S.; Kirtania, J.; Pal, S.; Bhattacharjee, S.; Layek, A.; Ray, S. Intraoperative blood glucose levels in nondiabetic patients undergoing elective major surgery under general anaesthesia receiving different crystalloid solutions for maintenance fluid. Anesth. Essays Res. 2013, 7, 183–188. [Google Scholar] [CrossRef]
- Nair, B.G.; Horibe, M.; Neradilek, M.B.; Newman, S.F.; Peterson, G.N. The Effect of intraoperative blood glucose management on postoperative blood glucose levels in noncardiac surgery patients. Anesth. Analg. 2016, 122, 893–902. [Google Scholar] [CrossRef]
- El-Radaideh, K.; Alhowary, A.A.; Alsawalmeh, M.; Abokmael, A.; Odat, H.; Sindiani, A. Effect of spinal anesthesia versus general anesthesia on blood glucose concentration in patients undergoing elective cesarean section surgery: A prospective comparative study. Anesthesiol. Res. Pract. 2019, 2019, 7585043. [Google Scholar] [CrossRef] [PubMed]
- Govender, P.; Tosh, W.; Burt, C.; Falter, F. Evaluation of increase in intraoperative lactate level as a predictor of outcome in adults after cardiac surgery. J. Cardiothorac. Vasc. Anesth. 2020, 34, 877–884. [Google Scholar] [CrossRef]
- Cotter, E.K.; Kidd, B.; Flynn, B.C. Elevation of intraoperative lactate levels during cardiac surgery: Is there power in this prognostication? J. Cardiothorac. Vasc. Anesth. 2020, 34, 885–887. [Google Scholar] [CrossRef]
- Klee, P.; Rimensberger, P.C.; Karam, O. Association between lactates, blood glucose, and systemic oxygen delivery in children after cardiopulmonary bypass. Front. Pediatr. 2020, 8, 332. [Google Scholar] [CrossRef]
- Azem, R.; Daou, R.; Bassil, E.; Anvari, E.M.; Taliercio, J.J.; Arrigain, S.; Schold, J.D.; Vachharajani, T.; Nally, J.; Na Khoul, G.N. Serum magnesium, mortality and disease progression in chronic kidney disease. BMC Nephrol. 2020, 21, 49. [Google Scholar]
- Moysés-Neto, M.; Guimarães, F.M.; Ayoub, F.H.; Vieira-Neto, O.M.; Costa, J.A.; Dantas, M. Acute renal failure and hypercalcemia. Ren Fail. 2006, 28, 153–159. [Google Scholar] [CrossRef]
- Sadiq, N.M.; Naganathan, S.; Badireddy, M. Hypercalcemia. In StatPearls; StatPearls Publishing: Treasure Island, FL, USA, 2023. Available online: https://www.ncbi.nlm.nih.gov/books/NBK430714 (accessed on 17 December 2023).
- Edelstein, C.L. Biomarkers of acute kidney injury. Adv. Chronic Kidney Dis. 2008, 15, 222–234. [Google Scholar] [CrossRef] [PubMed]
- Hanif, M.O.; Bali, A.; Ramphul, K. Acute renal tubular necrosis. In StatPearls; StatPearls Publishing: Treasure Island, FL, USA, 2023. Available online: https://www.ncbi.nlm.nih.gov/books/NBK507815/ (accessed on 20 December 2023).
- Root, A.W.; Diamond, F.B. Disorders of mineral homeostasis in children and adolescents. In Pediatric Endocrinology; Saunders: Philadelphia, PA, USA, 2014; pp. 734–845. [Google Scholar]
- Tombach, B.; Bremer, C.; Reimer, P.; Schaefer, R.M.; Ebert, W.; Geens, V.; Heindel, W. Pharmacokinetics of 1M gadobutrol in patients with chronic renal failure. Invest. Radiol. 2000, 35, 35–40. [Google Scholar] [CrossRef] [PubMed]
- Baker, J.F.; Kratz, L.C.; Stevens, G.R.; Wible, J.H., Jr. Pharmacokinetics and safety of the MRI contrast agent gadoversetamide injection (OptiMARK) in healthy pediatric subjects. Invest. Radiol. 2004, 39, 334–339. [Google Scholar] [CrossRef]
- Aime, S.; Caravan, P. Biodistribution of gadolinium-based contrast agents, including gadolinium deposition. J. Magn. Reson. Imaging 2009, 30, 1259–1267. [Google Scholar] [CrossRef]
- Wedeking, P.; Kumar, K.; Tweedle, M.F. Dissociation of gadolinium chelates in mice: Relationship to chemical characteristics. Magn. Reson. Imaging. 1992, 10, 641–648. [Google Scholar] [CrossRef] [PubMed]
- Wedeking, P.; Kumar, K.; Tweedle, M.F. Dose-dependent biodistribution of [153Gd]Gd(acetate)n in mice. Nucl. Med. Biol. 1993, 20, 679–691. [Google Scholar] [CrossRef]
- Tweedle, M.F.; Wedeking, P.; Kumar, K. Biodistribution of radiolabeled, formulated gadopentetate, gadoteridol, gadoterate, and gadodiamide in mice and rats. Invest. Radiol. 1995, 30, 372–380. [Google Scholar] [CrossRef]
- Zheng, J.; Liu, J.; Dunne, M.; Jaffray, D.A.; Allen, C. In vivo performance of a liposomal vascular contrast agent for CT and MR-based image guidance applications. Pharm. Res. 2007, 24, 1193–1201. [Google Scholar] [CrossRef]
- Joshi, A.A.; Aziz, R.M. Deep learning approach for brain tumor classification using metaheuristic optimization with gene expression data. Int. J. Imaging Syst. Tech. 2023, 34, e23007. [Google Scholar] [CrossRef]
- Pan, Y.; Abazari, R.; Tahir, B.; Sanati, S.; Zheng, Y.; Tahir, M.; Gao, J. Iron-based metal–organic frameworks and their derived materials for photocatalytic and photoelectrocatalytic reactions. Coordin. Chem. Rev. 2024, 499, 215538. [Google Scholar] [CrossRef]
- Wang, L.; Dai, P.; Ma, H.; Sun, T.; Peng, J. Advancing biomedical applications of polyoxometalate-based metal–organic frameworks: From design to therapeutic potential. Inorg. Chem. Front. 2024. [Google Scholar] [CrossRef]
- Ginsberg, A.P. Inorganic Syntheses; John Wiley and Sons: New York, NY, USA, 1990; Volume 27. [Google Scholar]
- Brianda, L.E.; Thomas, H.J.; Baronetti, G.T. Thermal stability and catalytic activity of Wells-Dawson tungsten heteropoly salts. Appl. Catal. A-Gen. 2000, 201, 191–202. [Google Scholar] [CrossRef]
- Percie du Sert, N.; Hurst, V.; Ahluwalia, A.; Alam, S.; Avey, M.T.; Baker, M.; Browne, W.J.; Clark, A.; Cuthill, I.C.; Dirnagl, U.; et al. The ARRIVE guidelines 2.0: Updated guidelines for reporting animal research. PLoS Biol. 2020, 18, e3000410. [Google Scholar]
- OECD. Guidance for the Testing of Chemicals, Acute Oral Toxicity—Fixed Dose Procedure; No 420; OECD: Paris, France, 2001. [Google Scholar]
- OECD. Guidance Document on the Recognition, Assessment and Use of Clinical Signs as Humane Endpoints for Experimental Animals Used in Safety Evaluation. Environmental Health and Safety Monograph Series on Testing and Assessment; No 19; OECD: Paris, France, 2000. [Google Scholar]
- Abdalla, Y.O.A.; Nyamathulla, S.; Shamsuddin, N.; Arshad, N.M.; Mun, K.S.; Awang, K.; Nagoor, N.H. Acute and 28-day sub-acute intravenous toxicity studies of 1’-S-1’-acetoxychavicol acetate in rats. Toxicol. Appl. Pharmacol. 2018, 356, 204–213. [Google Scholar] [CrossRef] [PubMed]
- Le Tourneau, C.; Stathis, A.; Vidal, L.; Moore, M.J.; Siu, L.L. Choice of starting dose for molecularly targeted agents evaluated in first-in-human phase I cancer clinical trials. J. Clin. Oncol. 2010, 28, 1401–1407. [Google Scholar] [CrossRef] [PubMed]
- Mahdian-Shakib, A.; Hashemzadeh, M.S.; Anissian, A.; Oraei, M.; Mirshafiey, A. Evaluation of the acute and 28-day sub-acute intravenous toxicity of α-l-guluronic acid (ALG.; G2013) in mice. Drug Chem. Toxicol. 2022, 45, 151–160. [Google Scholar] [CrossRef] [PubMed]
- Charan, J.; Kantharia, N.D. How to calculate sample size in animal studies? J. Pharmacol. Pharmacother. 2013, 4, 303–306. [Google Scholar] [CrossRef] [PubMed]












| Analyte | Units | Control (n = 5) | 1/10 MAD (n = 5) | 1/5 MAD (n = 5) | 1/3 MAD (n = 5) | ANOVA p-Value | Normal Range |
|---|---|---|---|---|---|---|---|
| pH | / | 7.16 ± 0.03 | 7.16 ± 0.03 | 7.28 ± 0.17 | 7.07 ± 0.12 | 0.0545 | 7.3–7.4 |
| pCO2 | kPa | 4.97 ± 1.02 | 9.84 ± 2.54 | 9.92 ± 4.50 | 15.78 ± 3.57 | 0.0007 *** | 4.66–5.99 |
| HCO3− | mmol/L | 17.52 ± 3.48 | 26.43 ± 5.57 | 29.79 ± 2.46 | 34.41 ± 1.77 | <0.0001 ***†††‡‡ | 21–28 |
| Base excess of blood | mmol/L | (−) 6.64 ± 1.54 | (−) 2.85 ± 3.47 | (−) 0.7 ± 1.79 | 1.56 ± 2.86 | 0.0008 ***† | −2 to +3 |
| Anion gap | mmol/L | 15.94 ± 1.88 | 13.60 ± 2.57 | 9.01 ± 3.53 | 5.11 ± 1.45 | <0.0001 ***†† | 8.00–16.00 |
| Analyte | Units | Control (n = 5) | 1/10 MAD (n = 5) | 1/5 MAD (n = 5) | 1/3 MAD (n = 5) | ANOVA p-Value | Normal Range |
|---|---|---|---|---|---|---|---|
| Total hemoglobin | g/L | 164.50 ± 7.02 | 173 ± 10.97 | 173.20 ± 13.88 | 156.40 ± 8.96 | 0.0669 | 140–178 |
| Oxyhemoglobin | % | 97.87 ± 0.52 | 67.36 ± 12.78 | 60.04 ± 7.88 | 73.61 ± 13.69 | 0.0001 **†††‡‡ | 94–97 |
| Carboxyhemoglobin | % | 0.45 ± 0.04 | 0.43 ± 0.03 | 0.7 ± 0.46 | 0.61 ± 0.31 | 0.3869 | 0.0–1.5 |
| Methemoglobin | % | 0.82 ± 0.29 | 0.39 ± 0.04 | 0.4 ± 0.07 | 0.40 ± 0.06 | 0.0008 **††‡‡ | 0.0–1.5 |
| Deoxyhemoglobin | % | 0.55 ± 0.07 | 30.91 ± 11.68 | 36.92 ± 4.22 | 23.93 ± 10.96 | <0.0001 **†††‡‡‡ | 0.0–5.0 |
| Oxygen saturation | % | 97.8 ± 3.82 | 69.50 ± 14.16 | 60 ± 8.68 | 74.63 ± 15.67 | 0.004 ††‡ | 95–98 |
| Oxygen content of hemoglobin | vol % | 21.97 ± 3.46 | 14.93 ± 5.04 | 13.38 ± 3.50 | 16.18 ± 3.61 | 0.0202 † | 18–24 |
| Oxygen capacity of hemoglobin | vol % | 23.42 ± 1.85 | 23.89 ± 1.56 | 24.04 ± 1.96 | 21.24 ± 1.21 | 0.0994 | 18–25 |
| Analyte | Units | Control (n = 5) | 1/10 MAD (n = 5) | 1/5 MAD (n = 5) | 1/3 MAD (n = 5) | ANOVA p Value | Normal Range |
|---|---|---|---|---|---|---|---|
| Na+ | mmol/L | 135.8 ± 1.52 | 135.9 ± 3.02 | 137.7 ± 2.78 | 135.4 ± 4.12 | 0.6297 | 136–146 |
| K+ | mmol/L | 5.42 ± 0.46 | 5.59 ± 0.55 | 5.22 ± 0.49 | 5.52 ± 0.26 | 0.6168 | 3.5–5.2 |
| Cl− | mmol/L | 103.70 ± 2.39 | 102.0 ± 1.39 | 104.10 ± 2.63 | 103.8 ± 3.33 | 0.554 | 98–106 |
| Ca2+ | mmol/L | 1.23 ± 0.04 | 1.27± 0.04 | 1.29 ± 0.06 | 1.39 ± 0.08 | 0.0058 ** | 1.09–1.30 |
| Mg2+ | mmol/L | 0.66 ± 0.10 | 0.96 ± 0.13 | 0.95 ± 0.16 | 1.32 ± 0.23 | 0.0001 *** | 0.45–0.65 |
| Ionized Ca2+ normalized to pH 7.4 (nCa) | mmol/L | 1.12 ± 0.04 | 1.12 ± 0.03 | 1.22 ± 0.08 | 1.19 ± 0.07 | 0.0151 † | 1.09–1.30 |
| Ionized Mg2+ normalized to pH 7.4 (nMg) | mmol/L | 0.61 ± 0.04 | 0.83 ± 0.10 | 0.89 ± 0.23 | 1.04 ± 0.13 | 0.002 **† | 0.45–0.6 |
Disclaimer/Publisher’s Note: The statements, opinions and data contained in all publications are solely those of the individual author(s) and contributor(s) and not of MDPI and/or the editor(s). MDPI and/or the editor(s) disclaim responsibility for any injury to people or property resulting from any ideas, methods, instructions or products referred to in the content. |
© 2024 by the authors. Licensee MDPI, Basel, Switzerland. This article is an open access article distributed under the terms and conditions of the Creative Commons Attribution (CC BY) license (https://creativecommons.org/licenses/by/4.0/).
Share and Cite
Stojanović, M.; Čolović, M.B.; Lalatović, J.; Milosavljević, A.; Savić, N.D.; Declerck, K.; Radosavljević, B.; Ćetković, M.; Kravić-Stevović, T.; Parac-Vogt, T.N.; et al. Monolacunary Wells-Dawson Polyoxometalate as a Novel Contrast Agent for Computed Tomography: A Comprehensive Study on In Vivo Toxicity and Biodistribution. Int. J. Mol. Sci. 2024, 25, 2569. https://doi.org/10.3390/ijms25052569
Stojanović M, Čolović MB, Lalatović J, Milosavljević A, Savić ND, Declerck K, Radosavljević B, Ćetković M, Kravić-Stevović T, Parac-Vogt TN, et al. Monolacunary Wells-Dawson Polyoxometalate as a Novel Contrast Agent for Computed Tomography: A Comprehensive Study on In Vivo Toxicity and Biodistribution. International Journal of Molecular Sciences. 2024; 25(5):2569. https://doi.org/10.3390/ijms25052569
Chicago/Turabian StyleStojanović, Marko, Mirjana B. Čolović, Jovana Lalatović, Aleksandra Milosavljević, Nada D. Savić, Kilian Declerck, Branimir Radosavljević, Mila Ćetković, Tamara Kravić-Stevović, Tatjana N. Parac-Vogt, and et al. 2024. "Monolacunary Wells-Dawson Polyoxometalate as a Novel Contrast Agent for Computed Tomography: A Comprehensive Study on In Vivo Toxicity and Biodistribution" International Journal of Molecular Sciences 25, no. 5: 2569. https://doi.org/10.3390/ijms25052569
APA StyleStojanović, M., Čolović, M. B., Lalatović, J., Milosavljević, A., Savić, N. D., Declerck, K., Radosavljević, B., Ćetković, M., Kravić-Stevović, T., Parac-Vogt, T. N., & Krstić, D. (2024). Monolacunary Wells-Dawson Polyoxometalate as a Novel Contrast Agent for Computed Tomography: A Comprehensive Study on In Vivo Toxicity and Biodistribution. International Journal of Molecular Sciences, 25(5), 2569. https://doi.org/10.3390/ijms25052569

