Cyp19a1a Promotes Ovarian Maturation through Regulating E2 Synthesis with Estrogen Receptor 2a in Pampus argenteus (Euphrasen, 1788)
Abstract
1. Introduction
2. Results
2.1. Molecular Identification and Phylogenetics of the P. argenteus cyp19a1a and cyp19a1b Genes
2.2. Expression Profiles of cyp19a1a and cyp19a1b in P. argenteus
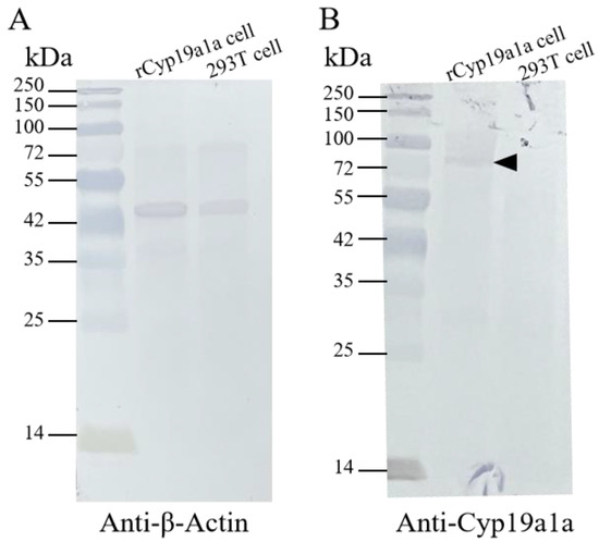
2.3. Western Blot Analysis and the Localization of Cyp19a1a
2.4. The Production of rCyp19a1a and the Role of rCyp19a1a in Gonadal Tissue Culture
2.5. The Influence of Different Hormones on Gonadal Tissue Culture
3. Discussion
3.1. Duplicated Aromatase Genes in P. argenteus
3.2. The Ovarian-Type Aromatase Might Play an Important Role in Ovarian Differentiation and Maturation
3.3. The Brain-Type Aromatase Might Be Involved in the Regulation of Both Brain and Gonadal Development
3.4. Cyp19a1a Participates in E2 Synthesis through Co-Regulation with esr2a
4. Materials and Methods
4.1. Animal and Sample Collection
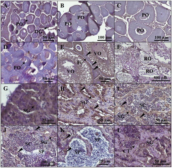
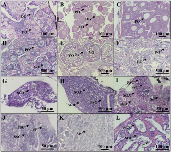
4.2. Gonadal Histology
4.3. Total RNA Extraction and cDNA Synthesis
4.4. Cloning of cyp19a1a and cyp19a1b cDNA
4.5. Sequence Alignment and Phylogenetic Analysis
4.6. Quantitative Real-Time PCR
4.7. Recombinant Cyp19a1a Protein Production
4.8. Western Blot Analysis
4.9. IHC Analyses
4.10. rCyp19a1a Treatment
4.11. Sex Hormone Treatment
4.12. Data Analysis
5. Conclusions
Supplementary Materials
Author Contributions
Funding
Institutional Review Board Statement
Informed Consent Statement
Data Availability Statement
Conflicts of Interest
References
- Zhao, F.; Dong, Y.H.; Zhuang, P.; Zhang, T.; Zhang, L.Z.; Shi, Z.H. Genetic diversity of silver pomfret (Pampus argenteus) in the Southern Yellow and East China Seas. Biochem. Syst. Ecol. 2011, 39, 145–150. [Google Scholar] [CrossRef]
- Archangi, B.; Bazrafshan, K.H.; Ronagh, M.T.; Savari, A.; Abadi, M.S.A. Population genetic structure of silver pomfret (Pampus argenteus) in Persian Gulf and Oman Sea, inferred from 11 microsatellite loci. World J. Fish Mar. Sci. 2013, 5, 227–232. [Google Scholar]
- Mohitha, C.; Joy, L.; Divya, P.R.; Gopalakrishnan, A.; Basheer, V.S.; Koya, M.; Jena, J.K. Characterization of microsatellite markers in silver pomfret, Pampus argenteus (Perciformes: Stromateidae) through cross-species amplification and population genetic applications. J. Genet. 2014, 93, e89–e93. [Google Scholar] [CrossRef]
- Al-Abdul-Elah, K.; Hossain, M.A.; Akatsu, S. Recent advances in artificial breeding and larval rearing of silver pomfret Pampus argenteus (Euphrasen 1788) in Kuwait. Saudi. J. Biol. Sci. 2021, 28, 5808–5815. [Google Scholar] [CrossRef]
- Zhang, C.; Jacques, K.J.; Zhang, S.; Xu, S.L.; Wang, Y.J.; Wang, D.L. Analyses of growth performance and realized heritability of Pampus argenteus in a breeding program in China. Front. Mar. Sci. 2022, 9, 935924. [Google Scholar] [CrossRef]
- Conley, A.; Hinshelwood, M. Mammalian aromatases. Reproduction 2001, 121, 685–695. [Google Scholar] [CrossRef]
- Simpson, E.R.; Clyne, C.; Rubin, G.; Boon, W.C.; Robertson, K.; Britt, K.; Speed, C.; Jones, M. Aromatase-a brief overview. Annu. Rev. Physiol. 2002, 64, 93–127. [Google Scholar] [CrossRef]
- Chang, X.T.; Kobayashi, T.; Senthilkumaran, B.; Kobayashi-Kajura, H.; Sudhakumari, C.C.; Nagahama, Y. Two types of distribution aromatase with different encoding genes, tissue and developmental expression in Nile tilapia (Oreochromis niloticus). Gen. Comp. Endocrinol. 2005, 141, 101–115. [Google Scholar] [CrossRef]
- Guiguen, Y.; Fostier, A.; Piferrer, F.; Chang, C.F. Ovarian aromatase and estrogens: A pivotal role for gonadal sex differentiation and sex change in fish. Gen. Comp. Endocrinol. 2010, 165, 352–366. [Google Scholar] [CrossRef]
- Zhang, Y.; Zhang, S.; Liu, Z.; Zhang, L.; Zhang, W. Epigenetic modifications during sex change repress gonadotropin stimulation of cyp19a1a in a teleost ricefield eel (Monopterus albus). Endocrinology 2013, 154, 2881–2890. [Google Scholar] [CrossRef]
- Lu, H.; Zhang, S.; Liu, Q.; Zhang, L.; Zhang, W. Cytoplasmic localization of Lrh-1 down-regulates ovarian follicular cyp19a1a expression in a teleost, the orange-spotted grouper Epinephelus coioides. Biol. Reprod. 2014, 91, 29. [Google Scholar] [CrossRef]
- Thomas, J.T.; Todd, E.V.; Muncaster, S.; Lokman, P.M.; Damsteegt, E.L.; Liu, H.; Soyano, K.; Gléonnec, F.; Lamm, M.S.; Godwin, J.R.; et al. Conservation and diversity in expression of candidate genes regulating socially-induced female-male sex change in wrasses. PeerJ 2019, 7, e7032. [Google Scholar] [CrossRef]
- Hou, M.; Feng, K.; Luo, H.; Jiang, Y.; Xu, W.; Li, Y.; Tao, B.; Chen, J.; Zhu, Z.; Song, Y.; et al. Multi-locus gene editing effectively knocked out cyp19a1a and foxl2 in Monopterus albus, a hermaphroditic fish. Aquaculture 2023, 565, 739130. [Google Scholar] [CrossRef]
- García-López, A.; Sánchez-Amaya, M.I.; Prat, F. Targeted gene expression profiling in European sea bass (Dicentrarchus labrax, L.) follicles from primary growth to late vitellogenesis. Comp. Biochem. Physiol. A Mol. Integr. Physiol. 2011, 160, 374–380. [Google Scholar] [CrossRef]
- Kwon, J.Y.; Kim, J. Differential expression of two distinct aromatase genes (cyp19a1a and cyp19a1b) during vitellogenesis and gestation in the viviparous black rockfish Sebastes schlegelii. Animal. Cell Syst. 2013, 17, 88–98. [Google Scholar] [CrossRef]
- Yan, T.; Cai, Y.; He, J.; Zhang, Q.; Wang, X.; Zhang, S.; He, L.; He, Z. Characterization and expression profiles of cyp19a1a in the schizothoracine fish Schizothorax prenanti. Tissue Cell 2019, 58, 70–75. [Google Scholar] [CrossRef]
- Mouriec, K.; Gueguen, M.M.; Manuel, C.; Percevault, F.; Thieulant, M.L.; Pakdel, F.; Kah, O. Androgens upregulate cyp19a1b (aromatase B) gene expression in the brain of zebrafish (Danio rerio) through estrogen receptors. Biol. Reprod. 2009, 80, 889–896. [Google Scholar] [CrossRef]
- Trubiroha, A.; Kroupova, H.; Wuertz, S.; Kloas, W. Up-regulation of gonadotropin mRNA-expression at the onset of gametogenesis in the roach (Rutilus rutilus): Evidence for an important role of brain-type aromatase (cyp19a1b) in the pituitary. Gen. Comp. Endocrinol. 2012, 178, 529–538. [Google Scholar] [CrossRef]
- Chaube, R.; Rawat, A.; Joy, K.P. Molecular cloning and characterization of brain and ovarian cytochrome P450 aromatase genes in the catfish Heteropneustes fossilis: Sex, tissue and seasonal variation in, and effects of gonadotropin on gene expression. Gen. Comp. Endocrinol. 2015, 221, 120–133. [Google Scholar] [CrossRef]
- Yamaguchi, A.; Tsunematsu, T.; Motojima, Y.; Toriyama, K.; Horinouchi, A.; Ishii, Y.; Murata, H.; Yoshikawa, S.; Nyuji, M.; Shimizu, A. Pituitary luteinizing hormone synthesis starts in aromatase (cyp19a1b)-positive cells expressing esr1 and esr2b at the onset of puberty in Takifugu rubripes (fugu). Cell Tissue Res. 2022, 389, 259–287. [Google Scholar] [CrossRef]
- Wu, G.C.; Li, H.W.; Tey, W.G.; Lin, C.J.; Chang, C.F. Expression profile of amh/Amh during bi-directional sex change in the protogynous orange-spotted grouper Epinephelus coioides. PLoS ONE 2017, 12, e0185864. [Google Scholar] [CrossRef] [PubMed]
- Tanaka, M.; Telecky, T.M.; Fukada, S.; Adachi, S.; Chen, S.; Nagahama, Y. Cloning and sequence analysis of the cDNA encoding P-450 aromatase (P450arom) from a rainbow trout (Oncorhynchus mykiss) ovary; relationship between the amount of P450arom mRNA and the production of oestradiol-17 beta in the ovary. J. Mol. Endocrinol. 1992, 8, 53–61. [Google Scholar] [CrossRef] [PubMed]
- Valle, L.; Ramina, A.; Vianello, S.; Belvedere, P.; Colombo, L. Cloning of two mRNA variants of brain aromatase cytochrome P450 in rainbow trout (Oncorhynchus mykiss Walbaum). J. Steroid. Biochem. Mol. Biol. 2002, 82, 19–32. [Google Scholar] [CrossRef] [PubMed]
- Kishida, M.; Callard, G.V. Distinct cytochrome P450 aromatase isoforms in zebrafish (Danio rerio) brain and ovary are differentially programmed and estrogen regulated during early development. Endocrinology 2001, 142, 740–750. [Google Scholar] [CrossRef]
- Kwon, J.Y.; McAndrew, B.J.; Penman, D.J. Cloning of brain aromatase gene and expression of brain and ovarian aromatase genes during sexual differentiation in genetic male and female Nile tilapia Oreochromis niloticus. Mol. Reprod. Dev. 2001, 59, 359–370. [Google Scholar] [CrossRef]
- Blázquez, M.; Piferrer, F. Cloning, sequence analysis, tissue distribution, and sex-specific expression of the neural form of P450 aromatase in juvenile sea bass (Dicentrarchus labrax). Mol. Cell. Endocrinol. 2004, 219, 83–94. [Google Scholar] [CrossRef]
- Zhang, Y.; Zhang, W.; Zhang, L.; Zhu, T.; Tian, J.; Li, X.; Lin, H. Two distinct cytochrome P450 aromatases in the orange-spotted grouper (Epinephelus coioides): cDNA cloning and differential mRNA expression. J. Steroid. Biochem. Mol. Biol. 2004, 92, 39–50. [Google Scholar] [CrossRef]
- Choi, J.Y.; Park, J.G.; Jeong, H.B.; Lee, Y.D.; Takemura, A.; Kim, S.J. Molecular cloning of cytochrome P450 aromatases in the protogynous wrasse, Halichoeres tenuispinis. Comp. Biochem. Physiol. B Biochem. Mol. Biol. 2005, 141, 49–59. [Google Scholar] [CrossRef]
- Zhang, Y.; Zhang, W.; Yang, H.; Zhou, W.; Hu, C.; Zhang, L. Two cytochrome P450 aromatase genes in the hermaphrodite ricefield eel Monopterus albus: mRNA expression during ovarian development and sex change. J. Endocrinol. 2008, 199, 317–331. [Google Scholar] [CrossRef]
- Steinke, D.; Hoegg, S.; Brinkmann, H.; Meyer, A. Three rounds (1R/2R/3R) of genome duplications and the evolution of the glycolytic pathway in vertebrates. BMC Biol. 2006, 4, 16. [Google Scholar] [CrossRef]
- Lin, C.J.; Maugars, G.; Lafont, A.G.; Jeng, S.R.; Wu, G.C.; Dufour, S.; Chang, C.F. Basal teleosts provide new insights into the evolutionary history of teleost-duplicated aromatase. Gen. Comp. Endocrinol. 2020, 291, 113395. [Google Scholar] [CrossRef]
- Gohin, M.; Bodinier, P.; Fostier, A.; Chesnel, F.; Bobe, J. Aromatase is expressed and active in the rainbow trout oocyte during final oocyte maturation. Mol. Reprod. Dev. 2011, 78, 510–518. [Google Scholar] [CrossRef]
- Rodríguez-Marí, A.; Yan, Y.L.; Bremiller, R.A.; Wilson, C.; Cañestro, C.; Postlethwait, J.H. Characterization and expression pattern of zebrafish Anti-Müllerian hormone (Amh) relative to sox9a, sox9b, and cyp19a1a, during gonad development. Gene Expr. Patterns 2005, 5, 655–667. [Google Scholar] [CrossRef]
- Liu, H.; Mu, X.; Gui, L.; Su, M.; Li, H.; Zhang, G.; Liu, Z.; Zhang, J. Characterization and gonadal expression of FOXL2 relative to Cyp19a genes in spotted scat Scatophagus argus. Gene 2015, 561, 6–14. [Google Scholar] [CrossRef] [PubMed]
- Gen, K.; Okuzawa, K.; Kumakura, N.; Yamaguchi, S.; Kagawa, H. Correlation between messenger RNA expression of cytochrome P450 aromatase and its enzyme activity during oocyte development in the red seabream (Pagrus major). Biol. Reprod. 2001, 65, 1186–1194. [Google Scholar] [CrossRef] [PubMed]
- Harvey, S.C.; Kwon, J.Y.; Penman, D.J. Physical mapping of the brain and ovarian aromatase genes in the Nile Tilapia, Oreochromis niloticus, by fluorescence in situ hybridization. Anim. Genet. 2003, 34, 62–64. [Google Scholar] [CrossRef] [PubMed]
- Paixão, R.V.; Silva, G.F.; Caetano, A.R.; Cintra, L.C.; Varela, E.S.; O’Sullivan, F.L.A. Phylogenomic and expression analysis of Colossoma macropomum cyp19a1a and cyp19a1b and their non-classical role in tambaqui sex differentiation. Gene 2022, 843, 146795. [Google Scholar] [CrossRef]
- Li, C.; Li, Y.Y.; Qin, C.L.; Yu, C.H.; Hu, J.B.; Wang, Y.J.; Guo, C.Y. Determination of the timing of early gonadal differentiation in silver pomfret, Pampus argenteus. Anim. Reprod. Sci. 2023, 107373. [Google Scholar] [CrossRef]
- Ijiri, S.; Kaneko, H.; Kobayashi, T.; Wang, D.S.; Sakai, F.; Paul-Prasanth, B.; Nakamura, M.; Nagahama, Y. Sexual dimorphic expression of genes in gonads during early differentiation of a teleost fish, the Nile Tilapia Oreochromis niloticus. Biol. Reprod. 2008, 78, 333–341. [Google Scholar] [CrossRef]
- Nakamoto, M.; Muramatsu, S.; Yoshida, S.; Matsuda, M.; Nagahama, Y.; Shibata, N. Gonadal sex differentiation and expression of Sox9a2, Dmrt1, and Foxl2 in Oryzias luzonensis. Genesis 2009, 47, 289–299. [Google Scholar] [CrossRef]
- Jiang, M.; Jia, S.; Chen, J.; Chen, K.; Ma, W.; Wu, X.; Luo, H.; Li, Y.; Zhu, Z.; Hu, W. Timing of gonadal development and dimorphic expression of sex-related genes in gonads during early sex differentiation in the Yellow River carp. Aquaculture 2020, 518, 734825. [Google Scholar] [CrossRef]
- Lubzens, E.; Young, G.; Bobe, J.; Cerda, J. Oogenesis inteleosts: How eggs are formed. Gen. Comp. Endocrinol. 2010, 165, 367–389. [Google Scholar] [CrossRef]
- Nagahama, Y.; Yamashita, M. Regulation of oocyte maturation in fish. Dev. Growth Differ. 2008, 50, S195–S219. [Google Scholar] [CrossRef]
- Callard, G.V.; Tchoudakova, A.V.; Kishida, M.; Wood, E. Differential tissue distribution, developmental programming, estrogen regulation and promoter characteristics of cyp19 genes in teleost fish. J. Steroid Biochem. Mol. Biol. 2001, 79, 305–314. [Google Scholar] [CrossRef]
- Godwin, J. Neuroendocrinology of sexual plasticity in teleost fishes. Front. Neuroendocrinol. 2010, 31, 203–216. [Google Scholar] [CrossRef] [PubMed]
- Diotel, N.; Vaillant, C.; Kah, O.; Pellegrini, E. Mapping of brain lipid binding protein (Blbp) in the brain of adult zebrafish, co-expression with aromatase B and links with proliferation. Gene. Expr. Patterns 2016, 20, 42–54. [Google Scholar] [CrossRef] [PubMed]
- Ulhaq, Z.S.; Kishida, M. Brain aromatase modulates serotonergic neuron by regulating serotonin levels in Zebrafish embryos and larvae. Front. Endocrinol. 2018, 9, 230. [Google Scholar] [CrossRef] [PubMed]
- Shaw, K.; Therrien, M.; Lu, C.; Liu, X.; Trudeau, V.L. Mutation of brain aromatase disrupts spawning behavior and reproductive health in female zebrafish. Front. Endocrinol. 2023, 14, 1225199. [Google Scholar] [CrossRef] [PubMed]
- Lin, C.J.; Wu, G.C.; Dufour, S.; Chang, C.F. Activation of the brain-pituitary-gonadotropic axis in the black porgy Acanthopagrus schlegelii during gonadal differentiation and testis development and effect of estradiol treatment. Gen. Comp. Endocrinol. 2019, 281, 17–29. [Google Scholar] [CrossRef]
- Jagarlamudi, K.; Rajkovic, A. Oogenesis: Transcriptional regulators and mouse models. Mol. Cell. Endocrinol. 2012, 356, 31–39. [Google Scholar] [CrossRef]
- Fang, D.A.; Yang, X.J.; Feng, X.; Zhou, Y.F.; Xu, D.P.; Zhang, M.Y.; Liu, K. FoxL2 combined with Cyp19a1a regulate the spawning upstream migration in Coilia nasus. Gene 2019, 10, 307–315. [Google Scholar] [CrossRef]
- Zhang, X.; Li, M.; Ma, H.; Liu, X.; Shi, H.; Li, M.; Wang, D. Mutation of foxl2 or cyp19a1a results in female to male sex reversal in XX Nile tilapia. Endocrinology 2017, 158, 2634–2647. [Google Scholar] [CrossRef]
- Lau, E.S.; Zhang, Z.; Qin, M.; Ge, W. Knockout of zebrafish ovarian aromatase gene (cyp19a1a) by TALEN and CRISPR/Cas9 leads to all-male offspring due to failed ovarian differentiation. Sci. Rep. 2016, 6, 37357. [Google Scholar] [CrossRef]
- Nakamoto, M.; Shibata, Y.; Ohno, K.; Usami, T.; Kamei, Y.; Taniguchi, Y.; Todo, T.; Sakamoto, T.; Young, G.; Swanson, P.; et al. Ovarian aromatase loss-of-function mutant medaka undergo ovary degeneration and partial female-to-male sex reversal after puberty. Mol. Cell. Endocrinol. 2018, 460, 104–122. [Google Scholar] [CrossRef] [PubMed]
- Piferrer, F. Endocrine sex control strategies for the feminization of teleost fish. Auaculture 2001, 197, 229–281. [Google Scholar] [CrossRef]
- Kobayashi, T.; Kajiura-Kobayashi, H.; Nagahama, Y. Induction of XY sex reversal by estrogen involves altered gene expression in a teleost, tilapia. Cytogenet. Genome. Res. 2003, 101, 289–294. [Google Scholar] [CrossRef] [PubMed]
- Gárriz, Á.; Del Fresno, P.S.; Miranda, L.A. Exposure to E2 and EE2 environmental concentrations affect different components of the Brain-Pituitary-Gonadal axis in pejerrey fish (Odontesthes bonariensis). Ecotoxicol. Environ. Saf. 2017, 144, 45–53. [Google Scholar] [CrossRef]
- Rodrigues-Filho, J.A.; Garcia, C.E.O.; Chehade, C.G.; Sanches, E.G.; Borella, M.I.; Nostro, F.L.L.; Araújo, B.C.; Branco, G.S.; Moreira, R.G. Gonadal remodeling and hormonal regulation during sex change of juvenile dusky grouper Epinephelus marginatus (Teleostei, Serranidae), an endangered protogynous hermaphrodite fish. Fish. Physiol. Biochem. 2020, 46, 1809–1824. [Google Scholar] [CrossRef]
- Jiang, Y.; Luo, H.; Hou, M.; Chen, J.; Tao, B.; Zhu, Z.; Song, Y.; Hu, W. Aromatase inhibitor induces sex reversal in the protogynous hermaphroditic rice field eel (Monopterus albus). Aquaculture 2022, 551, 737960. [Google Scholar] [CrossRef]
- Pinto, P.I.S.; Passos, A.L.; Martins, R.S.; Power, D.M.; Canário, A.V.M. Characterization of estrogen receptor βb in sea bream (Sparus auratus): Phylogeny, ligand-binding, and comparative analysis of expression. Gen. Comp. Endocrinol. 2006, 145, 197–207. [Google Scholar] [CrossRef]
- Choi, C.Y.; Habibi, H.R. Molecular cloning of estrogen receptor α and expression pattern of estrogen receptor subtypes in male and female goldfish. Mol. Cell. Endocrinol. 2003, 204, 169–177. [Google Scholar] [CrossRef] [PubMed]
- Hawkins, M.B.; Thomas, P. The unusual binding properties of the third distinct teleost estrogen receptor subtype ERβa are accompanied by highly conserved amino acid changes in the ligand binding domain. Endocrinology 2004, 145, 2968–2977. [Google Scholar] [CrossRef] [PubMed]
- Guo, C.Y.; Tseng, P.W.; Hwang, J.S.; Wu, G.C.; Chang, C.F. The characteristics and expression profile of gonadal soma-derived factor (gsdf/Gsdf) during androgen-induced reversible sex change in the protogynous orange-spotted grouper, Epinephelus coioides. Aquaculture 2021, 542, 736832. [Google Scholar] [CrossRef]









| Primer Name | Gene | Oritetation | Length (bp) | Sequence |
|---|---|---|---|---|
| Clone | cyp19a1a | Sense | 1591 | 5′-GATTTGATCTTGGCTTGTGAGCAGG-3′ |
| Antisense | 5′-CACCACATAATGTTTGCACAGCCAT-3′ | |||
| cyp19a1b | Sense | 1763 | 5′-ATGGTCTGATGACAAACTAACA-3′ | |
| Antisense | 5′-TCCTAAATACAACGGTGCTT-3′ | |||
| Specific qPCR | β-actin | Sense | 212 | 5′-ACCCAGATCATGTTCGAGACC-3′ |
| Antisense | 5′-ATGAGGTAGTCTGTGAGGTCG-3′ | |||
| cyp19a1a | Sense | 155 | 5′-CTCTCTCCATCAGCCTCTTCTTC-3′ | |
| Antisense | 5′-GTTGATGAAGCTCTCCAGCACCTG-3′ | |||
| cyp19a1b | Sense | 210 | 5′-GCCCAAGAGCTACAAGATGTAATG-3′ | |
| Antisense | 5′-GAAGAAGAGGCTGATGGAAAGTG-3′ | |||
| esr1 | Sense | 115 | 5′-CTCCACCACTGGCTACTACTCTACTCC-3′ | |
| Antisense | 5′-GCTGGAGGGCACAAACACAAGAG-3′ | |||
| esr2a | Sense | 165 | 5′-CCACTATCTTCAGCTATGCTGGCC-3′ | |
| Antisense | 5′-ACGGACTCTGCATTGGTTGGC-3′ | |||
| arα | Sense | 139 | 5′-CAACAGTTCTGCATGCTGAACGTCAC-3′ | |
| Antisense | 5′-GCTCCTTTATGTAGGAGGTCCGCAG-3′ | |||
| figla | Sense | 148 | 5′-TTGAAGCGGCTGACTGGCGA-3′ | |
| Antisense | 5′-TCAGCCGTTCCTTGGCGTTG-3′ | |||
| hsd17β1 | Sense | 204 | 5′-CAGCTGGATACACACACACTCAGC-3′ | |
| Antisense | 5′-CAAGCCATCTGGTTCAGTGAGCTTC-3′ |
Disclaimer/Publisher’s Note: The statements, opinions and data contained in all publications are solely those of the individual author(s) and contributor(s) and not of MDPI and/or the editor(s). MDPI and/or the editor(s) disclaim responsibility for any injury to people or property resulting from any ideas, methods, instructions or products referred to in the content. |
© 2024 by the authors. Licensee MDPI, Basel, Switzerland. This article is an open access article distributed under the terms and conditions of the Creative Commons Attribution (CC BY) license (https://creativecommons.org/licenses/by/4.0/).
Share and Cite
Guo, C.; Zhang, K.; Li, C.; Xing, R.; Xu, S.; Wang, D.; Wang, X. Cyp19a1a Promotes Ovarian Maturation through Regulating E2 Synthesis with Estrogen Receptor 2a in Pampus argenteus (Euphrasen, 1788). Int. J. Mol. Sci. 2024, 25, 1583. https://doi.org/10.3390/ijms25031583
Guo C, Zhang K, Li C, Xing R, Xu S, Wang D, Wang X. Cyp19a1a Promotes Ovarian Maturation through Regulating E2 Synthesis with Estrogen Receptor 2a in Pampus argenteus (Euphrasen, 1788). International Journal of Molecular Sciences. 2024; 25(3):1583. https://doi.org/10.3390/ijms25031583
Chicago/Turabian StyleGuo, Chunyang, Kai Zhang, Chang Li, Ruixue Xing, Shanliang Xu, Danli Wang, and Xubo Wang. 2024. "Cyp19a1a Promotes Ovarian Maturation through Regulating E2 Synthesis with Estrogen Receptor 2a in Pampus argenteus (Euphrasen, 1788)" International Journal of Molecular Sciences 25, no. 3: 1583. https://doi.org/10.3390/ijms25031583
APA StyleGuo, C., Zhang, K., Li, C., Xing, R., Xu, S., Wang, D., & Wang, X. (2024). Cyp19a1a Promotes Ovarian Maturation through Regulating E2 Synthesis with Estrogen Receptor 2a in Pampus argenteus (Euphrasen, 1788). International Journal of Molecular Sciences, 25(3), 1583. https://doi.org/10.3390/ijms25031583

