DNA Polymerase I Large Fragment from Deinococcus radiodurans, a Candidate for a Cutting-Edge Room-Temperature LAMP
Abstract
1. Introduction
2. Results
2.1. DraLF-PolI Displays Efficient Catalytic Activity over a Wide Temperature Range
2.2. DraLF-PolI Retains Its Catalytic Activity after Exposure to High Temperatures
2.3. Structural Analysis of DraLF-PolI with Far-UV CD Spectrum
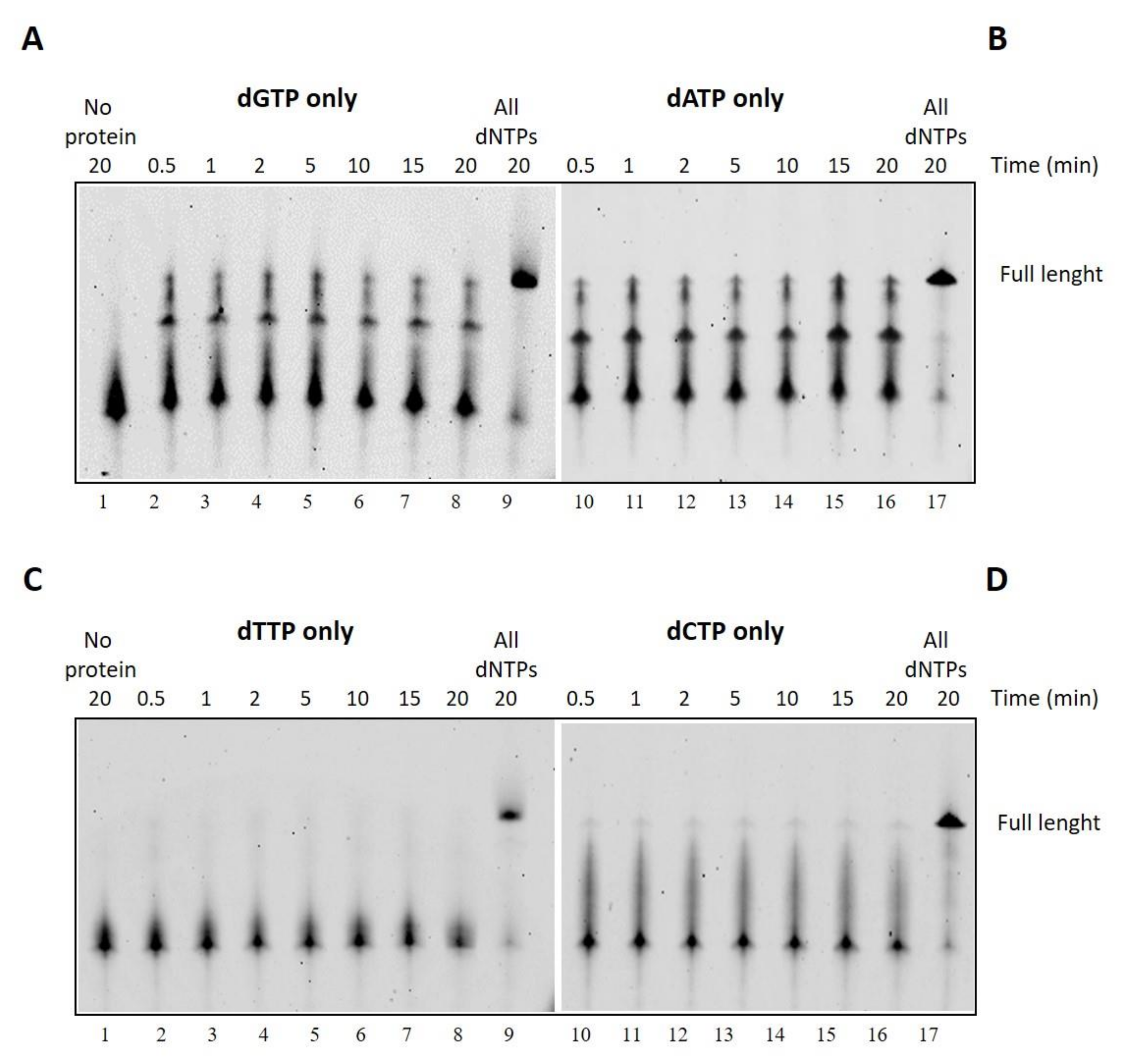
2.4. DraFT-PolI Is Able to Continue DNA Synthesis Even in the Absence of the Correct Complementary Nucleotide
2.5. DraLF-PolI Possesses a Strand-Displacement Activity
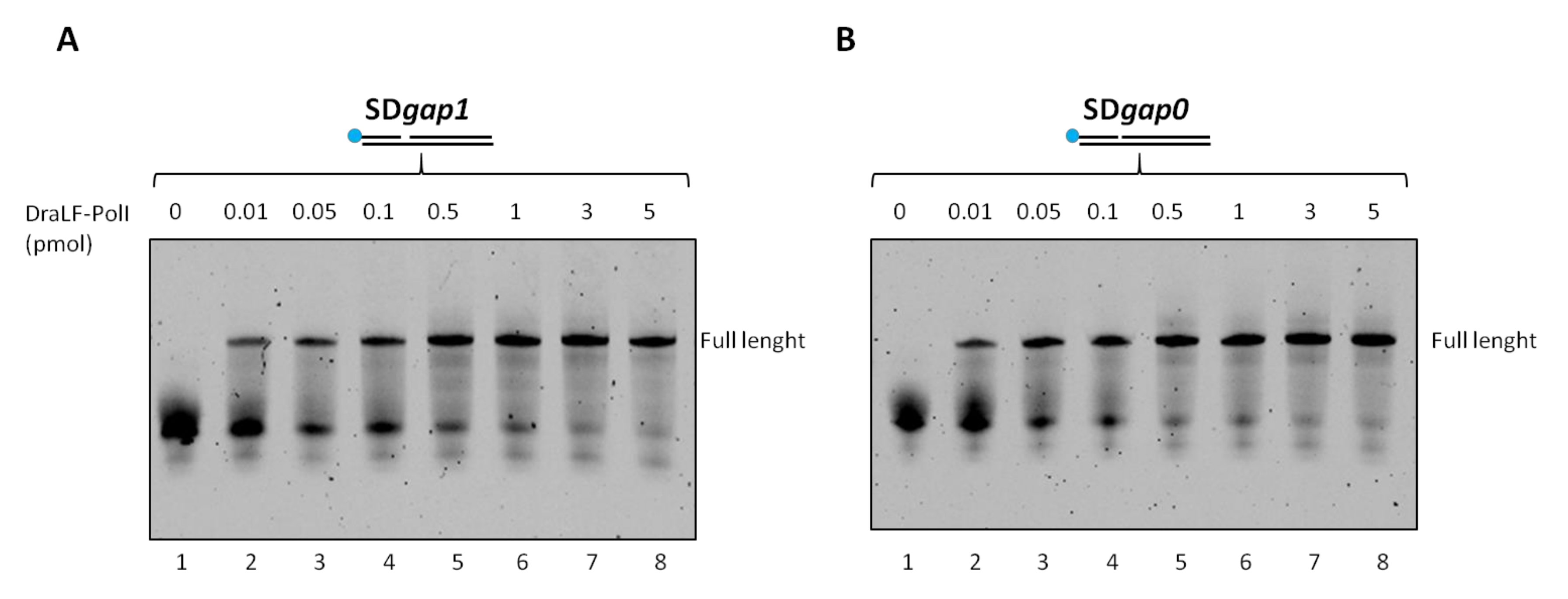
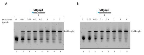
2.6. DraLF-PolI Displays Strand-Displacement Activity Even with a 1-nt Gap or 0-nt Gap
2.7. DraLF-PolI Exhibits Strand-Displacement Activity from 10 °C to 40 °C
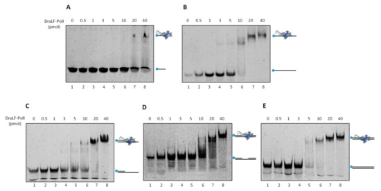
2.8. DraLF-PolI Binding to DNA Molecules
2.9. DraLF-PolI Remains Fully Active over a Wide pH Range
2.10. Analysis of DraLF-PolI Activity under Various Storage Conditions
3. Discussion
4. Material and Methods
4.1. Protein Structure Prediction
4.2. Cloning of DraLF-PolI Encoding Gene
4.3. Expression and Purification of Recombinant Proteins
4.4. Substrate Preparation
4.5. DNA Polymerase and Strand Displacement Assays
4.6. Circular Dichroism
4.7. Electrophoretic Mobility Shift Assay, EMSA
Supplementary Materials
Author Contributions
Funding
Institutional Review Board Statement
Informed Consent Statement
Data Availability Statement
Acknowledgments
Conflicts of Interest
References
- Kornberg, A. Pyrophosphorylases and phosphorylases in biosynthetic reactions. Adv. Enzymol. Relat. Areas Mol. Biol. 1957, 18, 191. [Google Scholar]
- Friedberg, E.C. The eureka enzyme: The discovery of DNA polymerase. Nat. Rev. Mol. Cell Biol. 2006, 7, 143–147. [Google Scholar] [CrossRef] [PubMed]
- Hübscher, U.; Spadari, S.; Villani, G.; Maga, G. DNA Polymerases; Asia-Pacific Region; World Scientific Publishing Co., Pte, Ltd.: Singapore, 2010; ISBN 978-981-4299-16-9. [Google Scholar] [CrossRef]
- Kuznetsova, A.A.; Fedorova, O.S.; Kuznetsov, N.A. Structural and Molecular Kinetic Features of Activities of DNA Polymerases. Int. J. Mol. Sci. 2022, 23, 6373. [Google Scholar] [CrossRef]
- Delarue, M.; Poch, O.; Tordo, N.; Moras, D.; Argos, P. An attempt to unify the structure of polymerases. Protein Eng. 1990, 3, 461–467. [Google Scholar] [CrossRef] [PubMed]
- Kornberg, A.; Lehman, I.R.; Bessman, M.J.; Simms, E.S. Enzymic synthesis of deoxyribonucleic acid. Biochim. Biophys. Acta 1956, 1000, 57–58. [Google Scholar] [CrossRef] [PubMed]
- Steitz, T.A. A mechanism for all polymerases. Nature 1998, 391, 231–232. [Google Scholar] [CrossRef] [PubMed]
- Choi, K.H. Viral polymerases. Adv. Exp. Med. Biol. 2012, 726, 267–304. [Google Scholar] [CrossRef] [PubMed]
- Hashimoto, Y.; Yamamoto, T.; Fujiwara, S.; Takagi, M.; Imanaka, T. Extracellular synthesis, specific recognition, and intracellular degradation of cyclomaltodextrins by the hyperthermophilic archaeon Thermococcus sp. strain B1001. J. Bacteriol. 2001, 183, 5050–5057. [Google Scholar] [CrossRef][Green Version]
- Harrington, J.J.; Lieber, M.R. Functional domains within FEN-1 and RAD2 define a family of structure-specific endonucleases: Implications for nucleotide excision repair. Genes Dev. 1994, 8, 1344–1355. [Google Scholar] [CrossRef]
- Xie, P.; Sayers, J.R. A model for transition of 5′-nuclease domain of DNA polymerase I from inert to active modes. PLoS ONE 2011, 6, e16213. [Google Scholar] [CrossRef]
- Persing, D.H.; Landry, M.L. In vitro amplification techniques for the detection of nucleic acids: New tools for the diagnostic laboratory. Yale J. Biol. Med. 1989, 62, 159–171. [Google Scholar]
- Cai, D.; Behrmann, O.; Hufert, F.; Dame, G.; Urban, G. Capacity of rTth polymerase to detect RNA in the presence of various inhibitors. PLoS ONE 2018, 13, e0190041. [Google Scholar] [CrossRef]
- Mullis, K.B. The unusual origin of the polymerase chain reaction. Sci. Am. 1990, 262, 56–65. [Google Scholar] [CrossRef]
- Kwok, S.; Mack, D.H.; Mullis, K.B.; Poiesz, B.; Ehrlich, G.; Blair, D.; Friedman-Kien, A.; Sninsky, J.J. Identification of human immunodeficiency virus sequences by using in vitro enzymatic amplification and oligomer cleavage detection. J. Virol. 1987, 61, 1690–1694. [Google Scholar] [CrossRef] [PubMed]
- Regina de Oliveira, T.; Oliveira Leite, T.H.; Miranda, W.N.; Manuli, E.R.; Leal, F.; Sabino, E.; Pott-Junior, H.; Melendez, M.; Faria, R.C. Molecular test for COVID-19 diagnosis based on a colorimetric genomagnetic assay. Anal. Chim. Acta 2023, 1257, 341167. [Google Scholar] [CrossRef] [PubMed]
- Zanoli, L.M.; Spoto, G. Isothermal amplification methods for the detection of nucleic acids in microfluidic devices. Biosensors 2012, 3, 18–43. [Google Scholar] [CrossRef] [PubMed]
- Notomi, T.; Okayama, H.; Masubuchi, H.; Yonekawa, T.; Watanabe, K.; Amino, N.; Hase, T. Loop-mediated isothermal amplification of DNA. Nucleic Acids Res. 2000, 28, E63. [Google Scholar] [CrossRef]
- Chaouch, M. Loop-mediated isothermal amplification (LAMP): An effective molecular point-of-care technique for the rapid diagnosis of coronavirus SARS-CoV-2. Rev. Med. Virol. 2021, 31, e2215. [Google Scholar] [CrossRef]
- De Felice, M.; De Falco, M.; Zappi, D.; Antonacci, A.; Scognamiglio, V. Isothermal amplification-assisted diagnostics for COVID-19. Biosens. Bioelectron. 2022, 205, 114101. [Google Scholar] [CrossRef]
- De Felice, M.; De Falco, M.; Serra, A.; Frisulli, V.; Antonacci, A.; Isticato, R.; de Stefano, L.; Scognamiglio, V. Fighting nosocomial antibiotic-resistant infections through rapid and sensitive isothermal amplification-powered point-of-care (POC) diagnostics. TrAC Trends Anal. Chem. 2023, 165, 117135. [Google Scholar] [CrossRef]
- De Falco, M.; De Felice, M.; Rota, F.; Zappi, D.; Antonacci, A.; Scognamiglio, V. Next-generation diagnostics: Augmented sensitivity in amplification-powered biosensing. TrAC Trends Anal. Chem. 2022, 148, 116538. [Google Scholar] [CrossRef]
- Tomita, N.; Mori, Y.; Kanda, H.; Notomi, T. Loop-mediated isothermal amplification (LAMP) of gene sequences and simple visual detection of products. Nat. Protoc. 2008, 3, 877–882. [Google Scholar] [CrossRef] [PubMed]
- Wu, C.; Zeng, Y.; He, Y. Rapid visualization and detection of Staphylococcus aureus based on loop-mediated isothermal amplification. World J. Microbiol. Biotechnol. 2021, 37, 209. [Google Scholar] [CrossRef] [PubMed]
- Kim, Y.; Eom, S.H.; Wang, J.; Lee, D.S.; Suh, S.W.; Steitz, T.A. Crystal structure of Thermus aquaticus DNA polymerase. Nature 1995, 376, 612–616. [Google Scholar] [CrossRef] [PubMed]
- Patel, P.H.; Loeb, L.A. DNA polymerase active site is highly mutable: Evolutionary consequences. Proc. Natl. Acad. Sci. USA 2000, 97, 5095–5100. Available online: https://www.pnas.org/doi/full/10.1073/pnas.97.10.5095 (accessed on 21 January 2024). [CrossRef] [PubMed]
- Washington, M.T. DNA Polymerase Fidelity: Beyond Right and Wrong. Structure 2016, 24, 1855–1856. [Google Scholar] [CrossRef] [PubMed]
- He, Y. High cell density production of Deinococcus radiodurans under optimized conditions. J. Ind. Microbiol. Biotechnol. 2009, 36, 539–546. [Google Scholar] [CrossRef]
- Jiang, H.; Li, Y.; Lv, X.; Deng, Y.; Li, X. Recent advances in cascade isothermal amplification techniques for ultra-sensitive nucleic acid detection. Talanta 2023, 260, 124645. [Google Scholar] [CrossRef]
- Das, D.; Lin, C.W.; Chuang, H.S. LAMP-Based Point-of-Care Biosensors for Rapid Pathogen Detection. Biosensors 2022, 12, 1068. [Google Scholar] [CrossRef]
- Zhang, X.; Zhao, Y.; Zeng, Y.; Zhang, C. Evolution of the Probe-Based Loop-Mediated Isothermal Amplification (LAMP) Assays in Pathogen Detection. Diagnostics 2023, 13, 1530. [Google Scholar] [CrossRef]
- Jumper, J.; Evans, R.; Pritzel, A.; Green, T.; Figurnov, M.; Ronneberger, O.; Tunyasuvunakool, K.; Bates, R.; Žídek, A.; Potapenko, A.; et al. Highly accurate protein structure prediction with AlphaFold. Nature 2021, 596, 583–589. [Google Scholar] [CrossRef] [PubMed]
- Varadi, M.; Anyango, S.; Deshpande, M.; Nair, S.; Natassia, C.; Yordanova, G.; Yuan, D.; Stroe, O.; Wood, G.; Laydon, A.; et al. AlphaFold Protein Structure Database: Massively expanding the structural coverage of protein-sequence space with high-accuracy models. Nucleic Acids Res. 2022, 50, D439–D444. [Google Scholar] [CrossRef] [PubMed]
- Pirone, L.; Caldinelli, L.; Di Lascio, S.; Di Girolamo, R.; Di Gaetano, S.; Fornasari, D.; Pollegioni, L.; Benfante, R.; Pedone, E. Molecular insights into the role of the polyalanine region in mediating PHOX2B aggregation. FEBS J. 2019, 286, 2505–2521. [Google Scholar] [CrossRef] [PubMed]














| Substrate | Oligonucleotide Sequence |
|---|---|
| 21mer-CY5 | 5′-CY5-GCTATCGTACATGATAT CCTC-3′ |
| 50mer | 5′-GTAGTGACTGGGAAAACATGTACGATAGCGAGGATATCATG TACGATAGC-3′ |
| 17mer | 5′-GTTTCCCCAGTCACGAC-3′ |
| 27mer-gap1 | 5′-CTATCGTACATGTTTTCCCAGTCACTAC-3′ |
| 28mer-no-gap | 5′-GCTATCGTACATGTTTTCCCAGTCACTAC-3′ |
| 50mer-CY5 | 5′-CY5-GCTATCGTACATGATATCCTCGCTATCGTACATGTTTTCC …CAGTCACTAC-3′ |
Disclaimer/Publisher’s Note: The statements, opinions and data contained in all publications are solely those of the individual author(s) and contributor(s) and not of MDPI and/or the editor(s). MDPI and/or the editor(s) disclaim responsibility for any injury to people or property resulting from any ideas, methods, instructions or products referred to in the content. |
© 2024 by the authors. Licensee MDPI, Basel, Switzerland. This article is an open access article distributed under the terms and conditions of the Creative Commons Attribution (CC BY) license (https://creativecommons.org/licenses/by/4.0/).
Share and Cite
Manzo, M.; Serra, A.; Pedone, E.; Pirone, L.; Scognamiglio, V.; De Felice, M.; De Falco, M. DNA Polymerase I Large Fragment from Deinococcus radiodurans, a Candidate for a Cutting-Edge Room-Temperature LAMP. Int. J. Mol. Sci. 2024, 25, 1392. https://doi.org/10.3390/ijms25031392
Manzo M, Serra A, Pedone E, Pirone L, Scognamiglio V, De Felice M, De Falco M. DNA Polymerase I Large Fragment from Deinococcus radiodurans, a Candidate for a Cutting-Edge Room-Temperature LAMP. International Journal of Molecular Sciences. 2024; 25(3):1392. https://doi.org/10.3390/ijms25031392
Chicago/Turabian StyleManzo, Marilena, Assunta Serra, Emilia Pedone, Luciano Pirone, Viviana Scognamiglio, Mariarita De Felice, and Mariarosaria De Falco. 2024. "DNA Polymerase I Large Fragment from Deinococcus radiodurans, a Candidate for a Cutting-Edge Room-Temperature LAMP" International Journal of Molecular Sciences 25, no. 3: 1392. https://doi.org/10.3390/ijms25031392
APA StyleManzo, M., Serra, A., Pedone, E., Pirone, L., Scognamiglio, V., De Felice, M., & De Falco, M. (2024). DNA Polymerase I Large Fragment from Deinococcus radiodurans, a Candidate for a Cutting-Edge Room-Temperature LAMP. International Journal of Molecular Sciences, 25(3), 1392. https://doi.org/10.3390/ijms25031392

