Vaccinia Virus Defective Particles Lacking the F17 Protein Do Not Inhibit Protein Synthesis: F17, a Double-Edged Sword for Protein Synthesis?
Abstract
1. Introduction
2. Results
2.1. Viral iF17− Particles Were Produced in Similar Amounts as That of iF17 or Wild-Type WR Viruses
2.2. The iF17− Particles Are Not Infectious Whereas iF17 Virions Are Less Infectious Than the Parental WR Virion
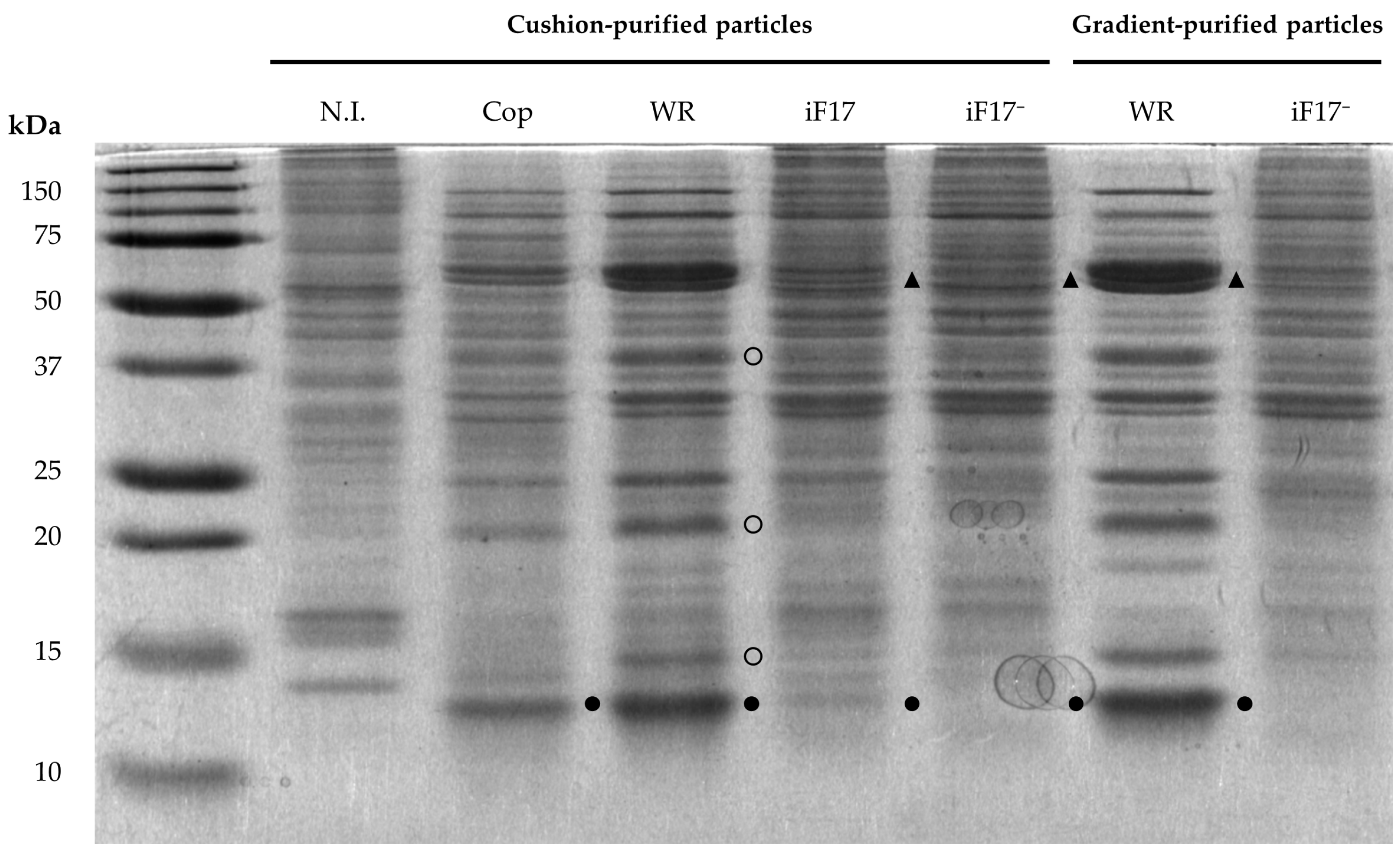
2.3. Viral iF17− Particles Had Similar SDS-PAGE Protein Profile as That of the iF17 Virions (Except for 11K/F17)
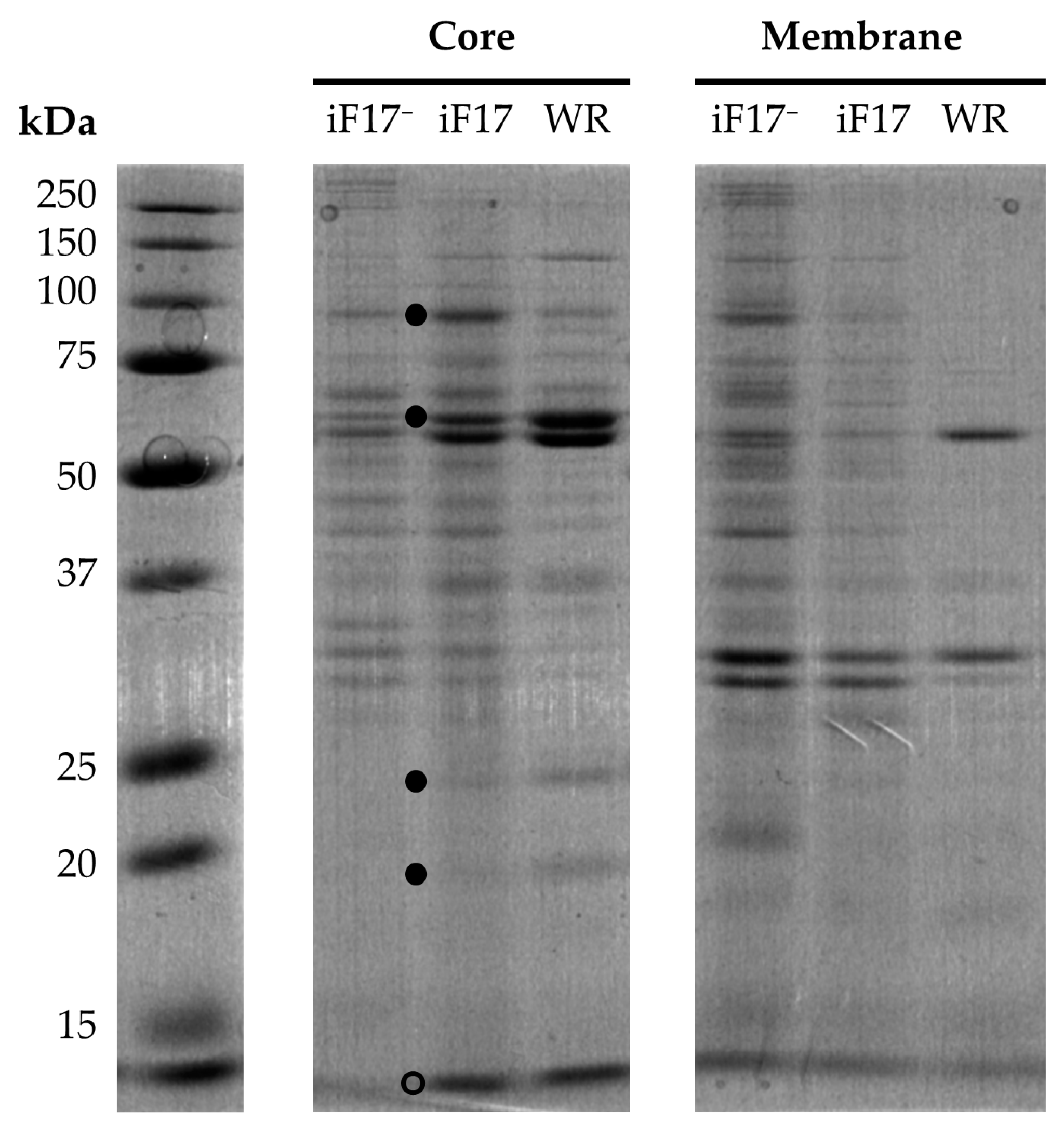
2.4. SDS-PAGE Analysis of Core and Soluble (Membrane) Proteins Confirmed the Lower Content in F17 of the Infectious iF17 Virions When Compared to Wild-Type WR
2.5. The iF17− Particles Attached to BSC40 Cells and the Viral DNA Was Released into the Cytoplasm
2.6. The Co-Infection of MVA-T7g Virus with the iF17− Particles in Non-Permissive BSC40 Cells Induced a Strong mCherry Fluorescence
2.7. The Virion-Associated F17 Protein Is Essential to Mediate Protein Synthesis Inhibition Occurring When Cells Are Infected with VV at High Multiplicities of Infection
3. Discussion
4. Materials and Methods
4.1. Cell Line and Viruses
4.2. Purification of Viral Particles
4.3. Analysis of Cores and Membrane Proteins
4.4. qPCR Measurements
4.5. Immunofluorescence Analysis
4.6. Peptidyl-Puromycin Measurements
4.6.1. Preparation of Cytoplasmic Lysates
4.6.2. Polysome Freezing
Supplementary Materials
Author Contributions
Funding
Institutional Review Board Statement
Informed Consent Statement
Data Availability Statement
Acknowledgments
Conflicts of Interest
References
- Moss, B. Poxviridae. In Fields Virology, 6th ed.; Knipe, D.M., Howley, P.M., Eds.; Lippincott, Williams & Wilkins: Philadelphia, PA, USA, 2013; pp. 2129–2159. [Google Scholar]
- Sarov, I.; Joklik, W.K. Studies on the nature and location of the capsid polypeptides of vaccinia virions. Virology 1972, 50, 579–592. [Google Scholar] [CrossRef] [PubMed]
- Zhang, Y.F.; Moss, B. Inducer-dependent conditional-lethal mutant animal viruses. Proc. Natl. Acad. Sci. USA 1991, 88, 1511–1515. [Google Scholar] [CrossRef] [PubMed]
- Wickramasekera, N.T.; Traktman, P. Structure/Function analysis of the vaccinia virus F18 phosphoprotein, an abundant core component required for virion maturation and infectivity. J. Virol. 2010, 84, 6846–6860. [Google Scholar] [CrossRef] [PubMed]
- Zhang, Y.F.; Moss, B. Vaccinia virus morphogenesis is interrupted when expression of the gene encoding an 11-kilodalton phosphorylated protein is prevented by the Escherichia coli lac repressor. J. Virol. 1991, 65, 6101–6110. [Google Scholar] [CrossRef] [PubMed]
- Traktman, P.; Liu, K.; DeMasi, J.; Rollins, R.; Jesty, S.; Unger, B. Elucidating the essential role of the A14 phosphoprotein in vaccinia virus morphogenesis: Construction and characterization of a tetracycline-inducible recombinant. J. Virol. 2000, 74, 3682–3695. [Google Scholar] [CrossRef] [PubMed]
- Kao, S.Y.; Ressner, E.; Kates, J.; Bauer, W.R. Purification and characterization of a superhelix binding protein from vaccinia virus. Virology 1981, 111, 500–508. [Google Scholar] [CrossRef]
- Pedersen, K.; Snijder, E.J.; Schleich, S.; Roos, N.; Griffiths, G.; Locker, J.K. Characterization of vaccinia virus intracellular cores: Implications for viral uncoating and core structure. J. Virol. 2000, 74, 3525–3536. [Google Scholar] [CrossRef] [PubMed]
- Schmidt, F.I.; Bleck, C.K.; Reh, L.; Novy, K.; Wollscheid, B.; Helenius, A.; Stahlberg, H.; Mercer, J. Vaccinia Virus Entry Is Followed by Core Activation and Proteasome-Mediated Release of the Immunomodulatory Effector VH1 from Lateral Bodies. Cell Rep. 2013, 4, 464–476. [Google Scholar] [CrossRef]
- Mirzakhanyan, Y.; Gershon, P. The Vaccinia virion: Filling the gap between atomic and ultrastructure. PLoS Pathog. 2019, 15, e1007508. [Google Scholar] [CrossRef]
- Paoletti, E.; Moss, B. Protein kinase and specific phosphate acceptor proteins associated with vaccinia virus cores. J. Virol. 1972, 10, 417–424. [Google Scholar] [CrossRef]
- Rosemond, H.; Moss, B. Phosphoprotein component of vaccinia virions. J. Virol. 1973, 11, 961–970. [Google Scholar] [CrossRef] [PubMed]
- Pogo, B.G.; Katz, J.R.; Dales, S. Biogenesis of poxviruses: Synthesis and phosphorylation of a basic protein associated with the DNA. Virology 1975, 64, 531–543. [Google Scholar] [CrossRef] [PubMed]
- Sagot, J.; Beaud, G. Phosphorylation in vivo of a vaccinia-virus structural protein found associated with the ribosomes from infected cells. Eur. J. Biochem. 1979, 98, 131–140. [Google Scholar] [CrossRef] [PubMed]
- Kao, S.Y.; Bauer, W.R. Biosynthesis and phosphorylation of vaccinia virus structural protein VP11. Virology 1987, 159, 399–407. [Google Scholar] [CrossRef] [PubMed]
- Liu, K.; Lemon, B.; Traktman, P. The dual-specificity phosphatase encoded by vaccinia virus, VH1, is essential for viral transcription in vivo and in vitro. J. Virol. 1995, 69, 7823–7834. [Google Scholar] [CrossRef] [PubMed]
- Matson, J.; Chou, W.; Ngo, T.; Gershon, P.D. Static and dynamic protein phosphorylation in the Vaccinia virion. Virology 2014, 452–453, 310–323. [Google Scholar] [CrossRef] [PubMed]
- Ngo, T.; Mirzakhanyan, Y.; Moussatche, N.; Gershon, P.D. Protein Primary Structure of the Vaccinia Virion at Increased Resolution. J. Virol. 2016, 90, 9905–9919. [Google Scholar] [CrossRef]
- Ichihashi, Y.; Oie, M.; Tsuruhara, T. Location of DNA-binding proteins and disulfide-linked proteins in vaccinia virus structural elements. J. Virol. 1984, 50, 929–938. [Google Scholar] [CrossRef]
- Krijnse Locker, J.; Griffiths, G. An Unconventional Role for Cytoplasmic Disulfide Bonds in Vaccinia Virus Proteins. J. Cell Biol. 1999, 144, 267–279. [Google Scholar] [CrossRef]
- Meade, N.; Furey, C.; Li, H.; Verma, R.; Chai, Q.; Rollins, M.G.; DiGiuseppe, S.; Naghavi, M.H.; Walsh, D. Poxviruses Evade Cytosolic Sensing through Disruption of an mTORC1-mTORC2 Regulatory Circuit. Cell 2018, 174, 1143–1157. [Google Scholar] [CrossRef]
- Meade, N.; King, M.; Munger, J.; Walsh, D. mTOR dysregulation by vaccinia virus F17 controls multiple processes with varying roles in infection. J. Virol. 2019, 93, e00784-19. [Google Scholar] [CrossRef] [PubMed]
- Moss, B. Inhibition of HeLa cell protein synthesis by the vaccinia virion. J. Virol. 1968, 2, 1028–1037. [Google Scholar] [CrossRef] [PubMed]
- Moss, B.; Filler, R. Irreversible effects of cycloheximide during the early period of vaccinia virus replication. J. Virol. 1970, 20, 94–97. [Google Scholar] [CrossRef] [PubMed][Green Version]
- Ben-Hamida, F.; Beaud, G. In vitro inhibition of protein synthesis by purified cores from vaccinia virus. Proc. Natl. Acad. Sci. USA 1978, 75, 175–179. [Google Scholar] [CrossRef] [PubMed]
- Pelham, H.R.; Sykes, J.M.; Hunt, T. Characteristics of a coupled cell-free transcription and translation system directed by vaccinia cores. Eur. J. Biochem. 1978, 82, 199–209. [Google Scholar] [CrossRef] [PubMed]
- Person, A.; Ben-Hamida, F.; Beaud, G. Inhibition of 40S–Met–tRNAfMet ribosomal initiation complex formation by vaccinia virus. Nature 1980, 287, 355–357. [Google Scholar] [CrossRef] [PubMed]
- Ghosh-Dastidar, P.; Goswami, B.B.; Das, A.; Das, P.; Gupta, N.K. Vaccinia viral core inhibits Met-tRNA.40S initiation complex formation with physiological mRNAs. Biochem. Biophys. Res. Commun. 1981, 99, 946–953. [Google Scholar] [CrossRef] [PubMed]
- Ben-Hamida, F.; Person, A.; Beaud, G. Solubilization of a protein synthesis inhibitor from vaccinia virions. J. Virol. 1983, 45, 452–455. [Google Scholar] [CrossRef]
- Person-Fernandez, A.; Beaud, G. Purification and characterization of a protein synthesis inhibitor associated with vaccinia virus. J. Biol. Chem. 1986, 261, 8283–8289. [Google Scholar] [CrossRef]
- Chakrabarti, D.; Ramaiah, K.V.A.; Roy, A.L.; Bagchi, M.; Gupta, N.K. Mechanism of protein synthesis inhibition by vaccinia viral core and reversal of this inhibition by reticulocyte peptide chain initiation factors. J. Biosci. 1987, 11, 503–513. [Google Scholar] [CrossRef]
- Damaso, C.R.; Moussatche, N. Vaccinia core transcription prevents in vitro depolymerization of polyribosomes in rabbit reticulocyte lysate. Braz. J. Med. Biol. Res. 1987, 20, 763–766. [Google Scholar] [PubMed]
- Damaso, C.R.; Moussatche, N. Proteins released from vaccinia cores are probably not involved in protein synthesis inhibition in vitro. Braz. J. Med. Biol. Res. 1992, 25, 115–124. [Google Scholar] [PubMed]
- Joklik, W.K. The purification fo four strains of poxvirus. Virology 1962, 18, 9–18. [Google Scholar] [CrossRef] [PubMed]
- Jensen, O.N.; Houthaeve, T.; Shevchenko, A.; Cudmore, S.; Ashford, T.; Mann, M.; Griffiths, G.; Krijnse Locker, J. Identification of the major membrane and core proteins of vaccinia virus by two-dimensional electrophoresis. J. Virol. 1996, 70, 7485–7497. [Google Scholar] [CrossRef] [PubMed]
- Heljasvaara, R.; Rodriguez, D.; Risco, C.; Carrascosa, J.L.; Esteban, M.; Rodriguez, J.R. The major core protein P4a (A10L gene) of vaccinia virus is essential for correct assembly of viral DNA into the nucleoprotein complex to form immature viral particles. J. Virol. 2001, 75, 5778–5795. [Google Scholar] [CrossRef] [PubMed]
- Kato, S.E.; Strahl, A.L.; Moussatche, N.; Condit, R.C. Temperature-sensitive mutants in the vaccinia virus 4b virion structural protein assemble malformed, transcriptionally inactive intracellular mature virions. Virology 2004, 330, 127–146. [Google Scholar] [CrossRef] [PubMed]
- Williams, O.; Wolffe, E.J.; Weisberg, A.S.; Merchlinsky, M. Vaccinia virus WR gene A5L is required for morphogenesis of mature virions. J. Virol. 1999, 73, 4590–4599. [Google Scholar] [CrossRef]
- Easterbrook, K.B. Controlled degradation of vaccinia virions in vitro: An electron microscopic study. J. Ultrastruct. Res. 1966, 14, 484–496. [Google Scholar] [CrossRef]
- Carroll, M.W.; Moss, B. Host range and cytopathogenicity of the highly attenuated MVA strain of vaccinia virus: Propagation and generation of recombinant viruses in a nonhuman mammalian cell line. Virology 1997, 238, 198–211. [Google Scholar] [CrossRef]
- Stirling, D.R.; Swain-Bowden, M.J.; Lucas, A.M.; Carpenter, A.E.; Cimini, B.A.; Goodman, A. CellProfiler 4: Improvements in speed, utility and usability. BMC Bioinform. 2021, 22, 433. [Google Scholar] [CrossRef]
- de Magalhaes, J.C.; Andrade, A.A.; Silva, P.N.; Sousa, L.P.; Ropert, C.; Ferreira, P.C.; Kroon, E.G.; Gazzinelli, R.T.; Bonjardim, C.A. A mitogenic signal triggered at an early stage of vaccinia virus infection: Implication of MEK/ERK and protein kinase A in virus multiplication. J. Biol. Chem. 2001, 276, 38353–38360. [Google Scholar] [CrossRef] [PubMed]
- Izmailyan, R.; Hsao, J.C.; Chung, C.S.; Chen, C.H.; Hsu, P.W.; Liao, C.L.; Chang, W. Integrin beta1 mediates vaccinia virus entry through activation of PI3K/Akt signaling. J. Virol. 2012, 86, 6677–6687. [Google Scholar] [CrossRef] [PubMed]
- Soares, J.A.; Leite, F.G.; Andrade, L.G.; Torres, A.A.; De Sousa, L.P.; Barcelos, L.S.; Teixeira, M.M.; Ferreira, P.C.; Kroon, E.G.; Souto-Padron, T.; et al. Activation of the PI3K/Akt pathway early during vaccinia and cowpox virus infections is required for both host survival and viral replication. J. Virol. 2009, 83, 6883–6899. [Google Scholar] [CrossRef] [PubMed]
- Bonjardim, C.A. Viral exploitation of the MEK/ERK pathway—A tale of vaccinia virus and other viruses. Virology 2017, 507, 267–275. [Google Scholar] [CrossRef] [PubMed]
- Beaud, G.; Dru, A. Protein synthesis in vaccinia virus-infected cells in the presence of amino acid analogs: A translational control mechanism. Virology 1980, 100, 10–21. [Google Scholar] [CrossRef] [PubMed]
- Miller, G.; Enders, J.F. Vaccinia virus replication and cytopathic effect in cultures of phytohemagglutinin-treated human peripheral blood leukocytes. J. Virol. 1968, 2, 787–792. [Google Scholar] [CrossRef]
- Nishmi, M.; Bernkopf, H. The toxic effect of vaccinia virus on leucocytes in vitro. J. Immunol. 1958, 81, 460–466. [Google Scholar] [CrossRef]
- Smith, G.L.; Benfield, C.T.; Maluquer de Motes, C.; Mazzon, M.; Ember, S.W.; Ferguson, B.J.; Sumner, R.P. Vaccinia virus immune evasion: Mechanisms, virulence and immunogenicity. J. Gen. Virol. 2013, 94, 2367–2392. [Google Scholar] [CrossRef]
- Najy, A.J.; Pham, T.; Pradeau-Aubreton, K.; Drillien, R.; Kim, H.C. The production of recombinant platelet-derived growth factor D using the second generation modified vaccinia Ankara viral system. Protein Sci. 2022, 31, e4468. [Google Scholar] [CrossRef]
- Americo, J.L.; Earl, P.L.; Moss, B. Droplet digital PCR for rapid enumeration of viral genomes and particles from cells and animals infected with orthopoxviruses. Virology 2017, 511, 19–22. [Google Scholar] [CrossRef]
- Livak, K.J.; Schmittgen, T.D. Analysis of relative gene expression data using real-time quantitative PCR and the 2(-Delta Delta C(T)) Method. Methods 2001, 25, 402–408. [Google Scholar] [CrossRef] [PubMed]
- Schmidt, E.K.; Clavarino, G.; Ceppi, M.; Pierre, P. SUnSET, a nonradioactive method to monitor protein synthesis. Nat. Methods 2009, 6, 275–277. [Google Scholar] [CrossRef] [PubMed]
- David, A.; Dolan, B.P.; Hickman, H.D.; Knowlton, J.J.; Clavarino, G.; Pierre, P.; Bennink, J.R.; Yewdell, J.W. Nuclear translation visualized by ribosome-bound nascent chain puromycylation. J. Cell Biol. 2012, 197, 45–57. [Google Scholar] [CrossRef] [PubMed]





| Virion | Number of Preparations | Particle/PFU |
|---|---|---|
| WR gradient | 2 | 30 |
| WR cushion | 3 | 73 |
| iF17 gradient | 2 | 441 |
| iF17 cushion | 8 | 155 |
| iF17− gradient | 4 | 5872 |
| iF17− cushion | 4 | 68,118 |
| Fraction | WR | iF17 | iF17− |
|---|---|---|---|
| Cores (pixels) | 515,666 (64%) | 776,925 (63%) | 544,265 (40%) |
| Membrane (pixels) | 288,244 (36%) | 465,252 (37%) | 806,565 (60%) |
| Cores + Membrane | 803,910 | 1,242,177 | 1,350,830 |
| 11 kDa (F17) | 66,176 (8.2%) | 35,618 (2.9%) | 16,679 (1.2%) |
| Fraction | WR | iF17 | iF17− | iF17− (10×) |
|---|---|---|---|---|
| Attached virions after infection | 2.23 × 108 (100%) | 7.39 × 107 (100%) | 6.24 × 107 (100%) | 4.11 × 108 (100%) |
| Attached virions after trypsin treatment | 1.26 × 108 (56%) | 2.64 × 107 (36%) | 7.30 × 106 (12%) | 6.06 × 107 (15%) |
| Viral DNA in cells after 1 h at 37 °C | 4.06 × 108 (182%) | 4.89 × 107 (66%) | 6.18 × 107 (99%) | 3.05 × 108 (74%) |
| Input iF17− | Input MVA | Output iF17 | Output MVA | Ratio O/I | Ratio O/I |
|---|---|---|---|---|---|
| BSC40 | BHK21 | BSC40 | BHK21 | iF17 | MVA |
| 1.0 × 104 | - | 7.3 × 106 | - | 730 | |
| 8.0 × 103 | - | 2.0 × 107 | - | 2500 | - |
| 8.0 × 103 | 1.0 × 104 | 3.6 × 105 | 1.8 × 107 | 45 | 1800 |
| 2.4 × 104 | - | 7.2 × 106 | - | 300 | - |
| 2.4 × 104 | 1.0 × 104 | 6.2 × 105 | 3.6 × 107 | 26 | 3600 |
| Experiment | Virus | Treatment | NB | a | b | R2 | Particle/Cell | Ratio iF17/WR |
|---|---|---|---|---|---|---|---|---|
| 1 | WR | CHX | 4 | −0.4484 | 0.4611 | 0.998 | 11 | 8.1 |
| iF17 | CHX | 4 | −0.4105 | 0.8033 | 0.977 | 89 | ||
| 2 | WR | No | 3 | −0.4412 | 0.6259 | 0.987 | 26 | 3.5 |
| iF17 | No | 3 | −0.5790 | 1.1367 | 0.999 | 92 | ||
| 3 | WR | No | 3 | −0.5215 | 0.9397 | 0.999 | 63 | 2.6 |
| iF17 | No | 3 | −0.4842 | 1.0724 | 0.999 | 164 |
| Parameter | Setting |
|---|---|
| Threshold strategy | Global |
| Thresholding method | Manual |
| Manual threshold | 0.1 |
| Threshold smoothing scale | 1.3488 |
| Method to distinguish clumped objects | Intensity |
| Method to draw diving lines between clumped objects | Intensity |
Disclaimer/Publisher’s Note: The statements, opinions and data contained in all publications are solely those of the individual author(s) and contributor(s) and not of MDPI and/or the editor(s). MDPI and/or the editor(s) disclaim responsibility for any injury to people or property resulting from any ideas, methods, instructions or products referred to in the content. |
© 2024 by the authors. Licensee MDPI, Basel, Switzerland. This article is an open access article distributed under the terms and conditions of the Creative Commons Attribution (CC BY) license (https://creativecommons.org/licenses/by/4.0/).
Share and Cite
Beaud, G.; Costa, F.; Klonjkowski, B.; Piumi, F.; Coulpier, M.; Drillien, R.; Monsion, B.; Mohd Jaafar, F.; Attoui, H. Vaccinia Virus Defective Particles Lacking the F17 Protein Do Not Inhibit Protein Synthesis: F17, a Double-Edged Sword for Protein Synthesis? Int. J. Mol. Sci. 2024, 25, 1382. https://doi.org/10.3390/ijms25031382
Beaud G, Costa F, Klonjkowski B, Piumi F, Coulpier M, Drillien R, Monsion B, Mohd Jaafar F, Attoui H. Vaccinia Virus Defective Particles Lacking the F17 Protein Do Not Inhibit Protein Synthesis: F17, a Double-Edged Sword for Protein Synthesis? International Journal of Molecular Sciences. 2024; 25(3):1382. https://doi.org/10.3390/ijms25031382
Chicago/Turabian StyleBeaud, Georges, Fleur Costa, Bernard Klonjkowski, François Piumi, Muriel Coulpier, Robert Drillien, Baptiste Monsion, Fauziah Mohd Jaafar, and Houssam Attoui. 2024. "Vaccinia Virus Defective Particles Lacking the F17 Protein Do Not Inhibit Protein Synthesis: F17, a Double-Edged Sword for Protein Synthesis?" International Journal of Molecular Sciences 25, no. 3: 1382. https://doi.org/10.3390/ijms25031382
APA StyleBeaud, G., Costa, F., Klonjkowski, B., Piumi, F., Coulpier, M., Drillien, R., Monsion, B., Mohd Jaafar, F., & Attoui, H. (2024). Vaccinia Virus Defective Particles Lacking the F17 Protein Do Not Inhibit Protein Synthesis: F17, a Double-Edged Sword for Protein Synthesis? International Journal of Molecular Sciences, 25(3), 1382. https://doi.org/10.3390/ijms25031382

