Selection of GABA-Producing Lactic Acid Bacteria Strains by Polymerase Chain Reaction Using Novel gadB and gadC Multispecies Primers for the Development of New Functional Foods
Abstract
1. Introduction
2. Results
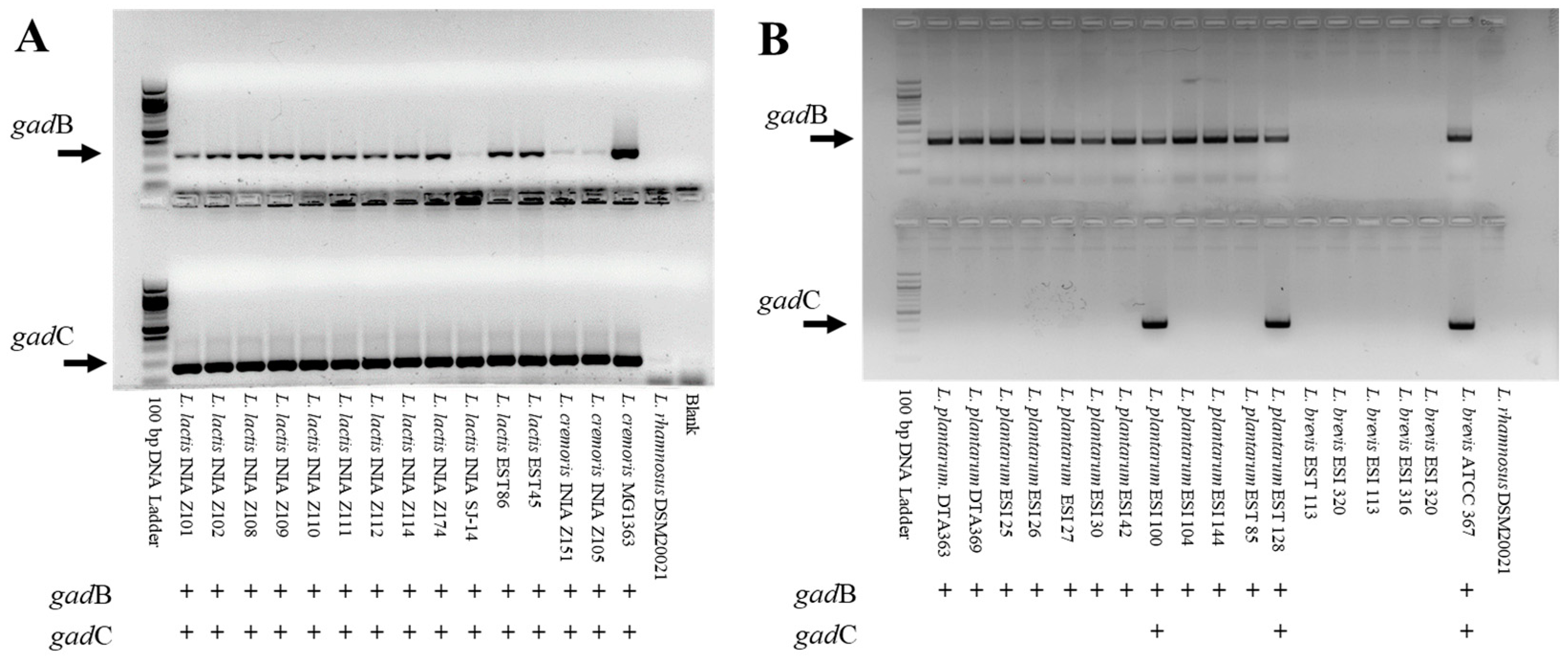
2.1. Optimization of PCR Conditions and Subsequent Detection of gadB and gadC Genes in LAB Strains
2.2. Screening of GABA-Producing LAB Strains by the Glutamate Descarboxylase (GAD) Assay
2.3. Quantification of GABA in Supernatants of LAB Strains by GABase
3. Discussion
4. Materials and Methods
4.1. Bacterial Strains
4.2. Detection of gadB and gadC Genes in LAB Strains by PCR Using Multispecies Primer
4.3. Determination of the Glutamate Decarboxylase Activity (GAD Assay)
4.4. Determination and Quantification of GABA Production by the GABase Enzymatic Method
5. Conclusions
Author Contributions
Funding
Institutional Review Board Statement
Informed Consent Statement
Data Availability Statement
Conflicts of Interest
References
- Watanabe, M.; Maemura, K.; Kanbara, K.; Tamayama, T.; Hayasaki, H. GABA and GABA receptors in the central nervous system and other organs. Int. Rev. Cytol. 2002, 213, 1–47. [Google Scholar] [CrossRef]
- Inoue, K.; Shirai, T.; Ochiai, H.; Kasao, M.; Hayakawa, K.; Kimura, M.; Sansawa, H. Blood-pressure-lowering effect of a novel fermented milk containing gamma-aminobutyric acid (GABA) in mild hypertensives. Eur. J. Clin. Nutr. 2003, 57, 490–495. [Google Scholar] [CrossRef] [PubMed]
- Liu, C.F.; Tung, Y.T.; Wu, C.L.; Lee, B.H.; Hsu, W.H.; Pan, T.M. Antihypertensive effects of Lactobacillus fermented milk orally administered to spontaneously hypertensive rats. J. Agric. Food Chem. 2011, 59, 4537–4543. [Google Scholar] [CrossRef]
- Matsubara, F.; Ueno, H.; Tadano, K.; Suyama, T.; Imaizumi, K.; Suzuki, T.; Magata, K.; Kikuchi, N.; Muneyuki, K.; Nakamichi, N.; et al. Effects of GABA supplementation on blood pressure and safety in adults with mild hypertension. Jpn. J. Pharmacol. Ther. 2002, 30, 963–972. [Google Scholar]
- Watanabe, T.; Yamada, T.; Tanaka, H.; Hang, S.; Mazumder, T.K.; Nagai, S.; Tsuji, K. Antihypertensive effect of γ-aminobutyric acid-enriched on spontaneously hypertensive rats. J. Jpn. Soc. Food Sci. 2002, 49, 166–173. [Google Scholar] [CrossRef]
- Wu, S.-J.; Chang, C.Y.; Lai, Y.T.; Shyu, Y.T. Increasing γ-aminobutyric acid content in vegetable soybeans via high-pressure processing and efficacy of their antidepressant like activity in mice. Food 2020, 9, 1673. [Google Scholar] [CrossRef] [PubMed]
- Watanabe, S.; Katsube, T.; Sonomoto, K. Cholesterol-lowering effects of isolated from Turnip “Tsuda Kabu”. Food Sci. Technol. Res. 2012, 18, 825–834. [Google Scholar] [CrossRef]
- Cotter, P.D.; Gahan, C.G.; Hill, C.A. glutamate decarboxylase system protects Listeria monocytogenes in gastric fluid. Mol. Microbiol. 2001, 40, 465–475. [Google Scholar] [CrossRef]
- Cotter, P.D.; Hill, C. Surviving the acid test. Responses of Gram-positive bacteria to low pH. Microbiol. Mol. Biol. Rev. 2003, 67, 429–433. [Google Scholar] [CrossRef] [PubMed]
- Foster, L.W. Escherichia coli acid resistance tales of an amateur acidophile. Nat. Rev. Microbiol. 2004, 2, 898–907. [Google Scholar] [CrossRef]
- Yunes, R.A.; Poluektova, E.U.; Dyachkova, M.S.; Klimina, K.M.; Kovtun, A.S.; Averina, O.V.; Orlova, V.S.; Danilenko, V.N. GABA production and structure of gadB gad genes in Lactobacillus and Bifidobacterium strains from human microbiota. Anaerobe 2016, 42, 197–204. [Google Scholar] [CrossRef] [PubMed]
- Yogeswara, B.A.; Maneerat, S.; Haltrich, D. Glutamate decarboxylase from lactic acid bacteria a key enzyme in GABA synthesis. Microorganisms 2020, 8, 1923. [Google Scholar] [CrossRef] [PubMed]
- Bhanwar, S.; Singh, A.; Ganguli, A. Probiotic characterization of potential hydrolases producing Lactococcus lactis subsp. lactis isolated from pickled yani. Dt. J. Food Sci. Nutr. 2013, 63, 53–61. [Google Scholar] [CrossRef]
- Edalatian Dovom, M.R.; Habibi Najafi, M.B.; Rahnama Vosough, P.; Norouzi, N.; Ebadi Nezhad, S.J.; Mayo, B. Screening of lactic acid bacteria strains isolated from Iranian traditional dairy products for GABA production and optimization by response surface methodology. Sci. Rep. 2023, 13, 440. [Google Scholar] [CrossRef]
- Komatsuzaki, N.; Shima, J.; Kawamoto, S.; Momose, H.; Kimura, T. Production of γ-aminobutyric acid (GABA) by Lactobacillus paracasei isolated from traditional fermented foods. Food Microbiol. 2005, 22, 497–504. [Google Scholar] [CrossRef]
- Redruello, B.; Saidi, Y.; Sampedro, L.; Ladero, V.; del Rio, B.; Alvarez, M.A. GABA producing Lactococcus lactis strains isolated from camel’s milk as starters for the production of GABA-enriched cheese. Food 2021, 10, 633. [Google Scholar] [CrossRef] [PubMed]
- Lee, X.Y.; Tan, J.S.; Cheng, L.H. Gamma aminobutyric acid (GABA) enrichment in plant-based food- a mini review. Food Rev. Int. 2023, 39, 5864. [Google Scholar] [CrossRef]
- Rayavarapu, B.; Tallapragada, P.; MS, U. Optimization and comparison of y aminobutyric acid (GABA) production by LAB in soymilk using RSM and ANN models. Beni-Suef Univ. J. Basic Appl. Sci. 2021, 10, 14. [Google Scholar] [CrossRef]
- Xiao, T.; Shah, N.P. Lactic acid produced by Streptococcus thermophilus activated glutamate decarboxylase (GadA) in Lactobacillus brevis NPS-QW 145 to improve γ-amino butyric acid production during soymilk fermentation. LWT 2021, 137, 110474. [Google Scholar] [CrossRef]
- Cui, Y.; Miao, K.; Niyaphorn, S.; Qu, X. Production of gamma-aminobutyric acid from lactic acid bacteria: A systematic review. Int. J. Mol. Sci. 2020, 21, 995. [Google Scholar] [CrossRef]
- Laroute, V.; Aubry, N.; Audonnet, M.; Mercier Bonin, M.; Daveran Mingot, M.L.; Cocaign Bousquet, M. Natural diversity of lactococci in y-aminobutyric acid GABA production and genetic and phenotypic determinants. Microb. Cell Fact. 2023, 22, 178. [Google Scholar] [CrossRef]
- Valenzuela, J.A.; Flórez, A.B.; Vázquez, L.; Vasek, O.M.; Mayo, B. Production of γ-aminobutyric acid (GABA) by lactic acid bacteria strains isolated from traditional, starter-free dairy products made of raw milk. Benef. Microbes 2019, 10, 579–587. [Google Scholar] [CrossRef] [PubMed]
- Wu, Q.; Law, Y.S.; Shah, N. Dairy Streptococcus thermophilus improves cell viability of Lactobacillus brevis NPS-QW-145 and and its γ-aminobutyric acid biosynthesis ability in milk. Sci. Rep. 2015, 5, 12885. [Google Scholar] [CrossRef] [PubMed]
- Dinan, T.G.; Stanton, C.; Cryan, J.F. Psychobiotics: A Novel Class of Psychotropic. Biol. Psychiatry 2013, 74, 720–726. [Google Scholar] [CrossRef] [PubMed]
- Dhyani, P.; Goyal, C.; Dhull, S.B.; Chauhan, A.K.; Singh Saharan, B.; Harshita; Duhan, J.S.; Goksen, G. Psychobiotics for Mitigation of Neuro-Degenerative Diseases: Recent Advancements. Mol. Nutr. Food Res. 2024, 68, 2300461. [Google Scholar] [CrossRef] [PubMed]
- Matsumoto, M.; Kibe, R.; Ooga, T.; Aiba, Y.; Sawaki, E.; Koga, Y.; Benno, Y. Cerebral low-molecular metabolites influenced by intestinal microbiota: A pilot study. Front. Syst. Neurosci. 2013, 7, 9. [Google Scholar] [CrossRef]
- Langa, S.; Peirotén, A.; Rodríguez, S.; Calzada, J.; Prieto-Paredes, R.; Curiel, J.A.; Landete, J.M. Riboflavin bio-enrichment of soy beverage by selected roseoflavin-resistant and engineered lactic acid bacteria. Int. J. Food Microbiol. 2024, 411, 110547. [Google Scholar] [CrossRef]
- Nomura, M.; Kobayashi, M.; Ohmomo, S.; Okamoto, T. Inactivation of the glutamate decarboxylase gene in Lactococcus lactis subsp. cremoris. Appl. Environ. Microbiol. 2000, 66, 2235–2237. [Google Scholar] [CrossRef] [PubMed][Green Version]
- Sezgin, E.; Tekin, B. Molecular evolution and population genetics of glutamate decarboxylase acid resistance pathway in lactic acid bacteria. Front. Genet. 2023, 14, 1027156. [Google Scholar] [CrossRef] [PubMed]
- Sanders, J.W.; Leenhouts, K.; Burghoorn, J.; Brands, J.R.; Venema, G.; Kok, J. A chloride-inducible acid resistance mechanism in Lactococcus lactis and its regulation. Mol. Microbiol. 1998, 27, 299–310. [Google Scholar] [CrossRef] [PubMed]
- Gong, L.; Ren, C.; Xu, Y. GlnR negatively regulates glutamate-dependent acid resistance in Lactobacillus brevis. Appl. Environ. Microbiol. 2020, 86, e02615-19. [Google Scholar] [CrossRef] [PubMed]
- Wu, Q.; Tun, H.M.; Law, Y.S.; Khafipour, E.; Shah, N.P. Common distribution of gad operon in Lactobacillus brevis and its GadA contributes to efficient GABA synthesis toward cytosolic near-neutral pH. Front. Microbiol. 2017, 8, 206. [Google Scholar] [CrossRef] [PubMed]
- Wessels, S.; Axelsson, L.; Hansen, E.B.; De Vuyst, L.; Laulund, S.; Lähteenmäki, L.; Lindgren, S.; Mollet, B.; Salminen, S.; von Wright, A. The lactic acid bacteria, the food chain, and their regulation. Trends Food Sci. Technol. 2004, 15, 498–505. [Google Scholar] [CrossRef]
- Lacroix, N.; St-Gelais, D.; Champagne, C.; Vuillemard, J. Gamma-aminobutyric acid-producing abilities of lactococcal strains isolated from old-style cheese starters. Dairy Sci. Technol. 2013, 93, 315–327. [Google Scholar] [CrossRef]
- Tsukatani, T.; Higuchi, T.; Matsumoto, K. Enzyme-based microtiter plate assay for γ-aminobutyric acid: Application to the screening of γ-aminobutyric acid-producing lactic acid bacteria. Anal. Chim. Acta 2005, 540, 293–297. [Google Scholar] [CrossRef]

| Primers | Sequence (5′ -> 3′) | Primers |
|---|---|---|
| F.gadB | TGGGARAAGTTCTGTRYCTACTGG | gadB from L. brevis ATCC367, L. lactis IL1403, L. fermentum F6 and L. plantarum KACC92189 |
| R.gadB | ACGTTCKYCARCCGGAAGTCCC | |
| F.gadC1 | GCATTGTTCTACCAATGGATTCA | gadC from L. brevis ATCC367 and L. plantarum KACC92189 |
| R.gadC1 | TGTGGTGCCGACCCTTCGGCACC | |
| F.gadC2 | GTTTCKTTYATTCTAGCTTATATGGG | gadC from L. cremoris MG1363 and L. reuteri AM LB1 |
| R.gadC2 | GCACTTAATGATARYTCTTTTTG |
| Primer Pair | F.gadB/R.gadB | F.gadC1/R.gadC1 | F.gadC2/R.gadC2 |
|---|---|---|---|
| Gen detected | gadB | gadC | gadC |
| Amplicon size (bps) | 304 | 397 | 184 |
| Annealing temperature and time | 48 °C/30 s | 48 °C/30 s | 40 °C/30 s |
| Primers concentration (μM) | 0.25 | 0.50 | 0.50 |
| L. cremoris MG1363 | + | − | + |
| L. brevis ATCC 367 | + | + | − |
| L. lactis IL1403 | + | − | + |
| L. plantarum WCFS1 | + | − | − |
| L. rhamnosus DSM 20021 (negative control) | − | − | − |
| Species | Strains Tested 1 | Positive to gadB 1 | Positive to gadC 1 | Positive by GAD Assay 1 | Positive by GABAse 1 |
|---|---|---|---|---|---|
| L. cremoris | 8 | 5 | 5 | 1 | 0 |
| L. lactis | 42 | 27 | 22 | 25 | 20 |
| L. brevis | 5 | 0 | 0 | 0 | 0 |
| L. fermentum | 4 | 3 | 0 | 3 | 2 |
| L. reuteri | 4 | 1 | 0 | 2 | 0 |
| L. plantarum | 29 | 27 | 2 | 28 | 22 |
| Total | 92 | 63 | 29 | 59 | 44 |
| Strain | F.gadB/ R.gadB | F.gadC1/ R.gadC1 | F.gadC2/ R.gadC2 | GAD Activity | GABase |
|---|---|---|---|---|---|
| Lactiplantibacillus plantarum DTA 211 | + | − | + | 1.14 ± 0.19 a,b | |
| Lactiplantibacillus plantarum DTA 330 | + | − | + | 0.75 ± 0.40 a | |
| Lactiplantibacillus plantarum DTA 332 | + | − | + | ND | |
| Lactiplantibacillus plantarum DTA 336 | + | − | + | ND | |
| Lactiplantibacillus plantarum DTA 348 | + | − | + | 2.26 ± 0.73 a–d | |
| Lactiplantibacillus plantarum DTA 350 | + | − | + | 3.95 ± 0.09 a–f | |
| Lactiplantibacillus plantarum DTA 351 | + | − | + | ND | |
| Lactiplantibacillus plantarum DTA 352 | + | − | + | ND | |
| Lactiplantibacillus plantarum DTA 358 | + | − | + | 0.96 ± 0.25 a,b | |
| Lactiplantibacillus plantarum DTA 363 | + | − | + | 2.80 ± 0.47 a–d | |
| Lactiplantibacillus plantarum DTA 365 | + | − | + | 1.96 ± 0.40 a–c | |
| Lactiplantibacillus plantarum DTA 369 | + | − | + | 24.68 ± 1.39 m | |
| Lactiplantibacillus plantarum ESI 100 | + | + | + | 1.85 ± 0.46 a–c | |
| Lactiplantibacillus plantarum ESI 104 | + | − | + | 2.59 ± 0.36 a–d | |
| Lactiplantibacillus plantarum ESI 144 | + | − | + | 3.23 ± 0.17 a–f | |
| Lactiplantibacillus plantarum ESI 25 | + | − | + | 6.55 ± 0.75 f,g | |
| Lactiplantibacillus plantarum ESI 26 | + | − | + | 2.92 ± 0.21 a–d | |
| Lactiplantibacillus plantarum ESI 27 | + | − | + | 4.04 ± 1.35 a–f | |
| Lactiplantibacillus plantarum ESI 28 | + | − | + | 2.60 ± 0.29 a–d | |
| Lactiplantibacillus plantarum ESI 298 | − | − | + | ND | |
| Lactiplantibacillus plantarum ESI 30 | + | − | + | 2.13 ± 0.50 a–d | |
| Lactiplantibacillus plantarum ESI 305 | − | − | + | ND | |
| Lactiplantibacillus plantarum ESI 357 | + | − | + | 6.36 ± 0.72 e–f | |
| Lactiplantibacillus plantarum ESI 38 | + | − | − | ND | |
| Lactiplantibacillus plantarum ESI 42 | + | − | + | 2.26 ± 0.56 a–d | |
| Lactiplantibacillus plantarum EST 128 | + | + | + | 2.06 ± 1.46 a–d | |
| Lactiplantibacillus plantarum EST 214 | + | − | + | 1.74 ± 0.22 a–c | |
| Lactiplantibacillus plantarum EST 37 | + | − | + | 1.33 ± 0.32 a–c | |
| Lactiplantibacillus plantarum EST 85 | + | − | + | 4.56 ± 1.07 c–f | |
| Lactococcus cremoris ESI 277 | − | − | − | ND | |
| Lactococcus cremoris INIA 450 | − | − | − | ND | |
| Lactococcus cremoris INIA Z105 | + | + | − | ND | |
| Lactococcus cremoris INIA Z113 | + | + | − | ND | |
| Lactococcus cremoris INIA Z127 | + | + | − | ND | |
| Lactococcus cremoris INIA Z151 | + | + | + | ND | |
| Lactococcus cremoris INIA Z72 | + | + | − | ND | |
| Lactococcus cremoris TAB 24 | − | − | − | ND | |
| Lactococcus lactis ESI 153 | − | − | − | ND | |
| Lactococcus lactis ESI 240 | + | + | + | 4.29 ± 0.23 b–f | |
| Lactococcus lactis ESI 515 | − | − | − | ND | |
| Lactococcus lactis ESI 561 | − | − | − | ND | |
| Lactococcus lactis ESI 718 | + | − | + | 2.19 ± 0.10 a–d | |
| Lactococcus lactis EST 187 | − | − | − | ND | |
| Lactococcus lactis EST 221 | − | − | − | ND | |
| Lactococcus lactis EST 30 | − | − | − | ND | |
| Lactococcus lactis EST 32 | − | − | − | ND | |
| Lactococcus lactis EST 45 | + | + | + | ND | |
| Lactococcus lactis EST 5 | − | − | − | ND | |
| Lactococcus lactis EST 70 | − | − | + | ND | |
| Lactococcus lactis EST 72 | − | − | − | ND | |
| Lactococcus lactis EST 86 | + | + | + | ND | |
| Lactococcus lactis EST 89 | + | + | + | ND | |
| Lactococcus lactis EST 91 | + | + | + | ND | |
| Lactococcus lactis INIA 12 | − | − | − | ND | |
| Lactococcus lactis INIA 13 | − | − | − | ND | |
| Lactococcus lactis INIA 14 | − | − | − | ND | |
| Lactococcus lactis INIA 415 | + | − | + | 3.03 ± 0.35 a–e | |
| Lactococcus lactis INIA 437 | + | − | + | 1.42 ± 0.14 a–c | |
| Lactococcus lactis INIA SJ-14 | + | + | + | 12.38 ± 0.19 i,j | |
| Lactococcus lactis INIA SJ-43 | + | − | + | 10.75 ± 0.27 h,i | |
| Lactococcus lactis INIA Z101 | + | + | + | 8.06 ± 0.79 g,h | |
| Lactococcus lactis INIA Z102 | + | + | + | 6.44 ± 0.31 e–f | |
| Lactococcus lactis INIA Z103 | + | + | + | 5.37 ± 0.18 d–f | |
| Lactococcus lactis INIA Z108 | + | + | + | 21.11 ± 0.90 l | |
| Lactococcus lactis INIA Z109 | + | + | + | 20.47 ± 2.04 l | |
| Lactococcus lactis INIA Z11 | + | + | + | 1.01 ± 0.17 a,b | |
| Lactococcus lactis INIA Z110 | + | + | + | 18.22 ± 3.82 k,l | |
| Lactococcus lactis INIA Z111 | + | + | + | 18.23 ± 2.15 k,l | |
| Lactococcus lactis INIA Z112 | + | + | + | 11.24 ± 0.37 h,i | |
| Lactococcus lactis INIA Z114 | + | + | + | 14.85 ± 0.91 j,k | |
| Lactococcus lactis INIA Z174 | + | + | + | 18.41 ± 2.67 l | |
| Lactococcus lactis INIA Z29 | + | + | − | ND | |
| Lactococcus lactis INIA Z34 | + | + | − | ND | |
| Lactococcus lactis INIA Z39 | + | + | − | ND | |
| Lactococcus lactis INIA Z53 | + | + | + | 2.06 ± 0.20 a–d | |
| Lactococcus lactis INIA15 | + | + | + | 1.22 ± 1.12 a–c | |
| Lactococcus lactis TAB 26 | + | − | + | 0.73 ± 0.50 a | |
| Lactococcus lactis TAB 50 | − | − | − | ND | |
| Lactococcus lactis TAB 75 | − | − | − | ND | |
| Levilactobacillus brevis ESI 113 | − | − | − | ND | |
| Levilactobacillus brevis ESI 316 | − | − | − | ND | |
| Levilactobacillus brevis ESI 317 | − | − | − | ND | |
| Levilactobacillus brevis ESI 320 | − | − | − | ND | |
| Levilactobacillus brevis EST 113 | − | − | − | ND | |
| Limosilactobacillus fermentum 584L | + | − | + | 2.26 ± 0.19 a–d | |
| Limosilactobacillus fermentum 832L | + | − | + | ND | |
| Limosilactobacillus fermentum INIA P143 | + | − | + | 3.71 ± 0.11 a–f | |
| Limosilactobacillus fermentum S900 | − | − | − | ND | |
| Limosilactobacillus reuteri INIA P570 | − | − | − | ND | |
| Limosilactobacillus reuteri INIA P572 | − | − | − | ND | |
| Limosilactobacillus reuteri INIA P576 | − | − | + | ND | |
| Limosilactobacillus reuteri INIA P580 | + | − | + | ND |
Disclaimer/Publisher’s Note: The statements, opinions and data contained in all publications are solely those of the individual author(s) and contributor(s) and not of MDPI and/or the editor(s). MDPI and/or the editor(s) disclaim responsibility for any injury to people or property resulting from any ideas, methods, instructions or products referred to in the content. |
© 2024 by the authors. Licensee MDPI, Basel, Switzerland. This article is an open access article distributed under the terms and conditions of the Creative Commons Attribution (CC BY) license (https://creativecommons.org/licenses/by/4.0/).
Share and Cite
Langa, S.; Santos, S.; Flores, J.A.; Peirotén, Á.; Rodríguez, S.; Curiel, J.A.; Landete, J.M. Selection of GABA-Producing Lactic Acid Bacteria Strains by Polymerase Chain Reaction Using Novel gadB and gadC Multispecies Primers for the Development of New Functional Foods. Int. J. Mol. Sci. 2024, 25, 13696. https://doi.org/10.3390/ijms252413696
Langa S, Santos S, Flores JA, Peirotén Á, Rodríguez S, Curiel JA, Landete JM. Selection of GABA-Producing Lactic Acid Bacteria Strains by Polymerase Chain Reaction Using Novel gadB and gadC Multispecies Primers for the Development of New Functional Foods. International Journal of Molecular Sciences. 2024; 25(24):13696. https://doi.org/10.3390/ijms252413696
Chicago/Turabian StyleLanga, Susana, Silvia Santos, José Antonio Flores, Ángela Peirotén, Susana Rodríguez, José Antonio Curiel, and José María Landete. 2024. "Selection of GABA-Producing Lactic Acid Bacteria Strains by Polymerase Chain Reaction Using Novel gadB and gadC Multispecies Primers for the Development of New Functional Foods" International Journal of Molecular Sciences 25, no. 24: 13696. https://doi.org/10.3390/ijms252413696
APA StyleLanga, S., Santos, S., Flores, J. A., Peirotén, Á., Rodríguez, S., Curiel, J. A., & Landete, J. M. (2024). Selection of GABA-Producing Lactic Acid Bacteria Strains by Polymerase Chain Reaction Using Novel gadB and gadC Multispecies Primers for the Development of New Functional Foods. International Journal of Molecular Sciences, 25(24), 13696. https://doi.org/10.3390/ijms252413696

