Experimental Myopia Results in Peripapillary Ganglion Cell and Astrocyte Reorganization with No Functional Implications During Early Development
Abstract
1. Introduction
2. Results
2.1. Effect of Binocular Lens Treatment on Refraction, Eye Size and Nerve Fiber Layer Thickness
2.2. Characterization of Retinal Ganglion Cell (RGC) and Astrocyte Density and Distribution in the Untreated Marmoset Retina
2.3. Effect of Myopic Eye Growth on RGC and Astrocyte Density and Distribution
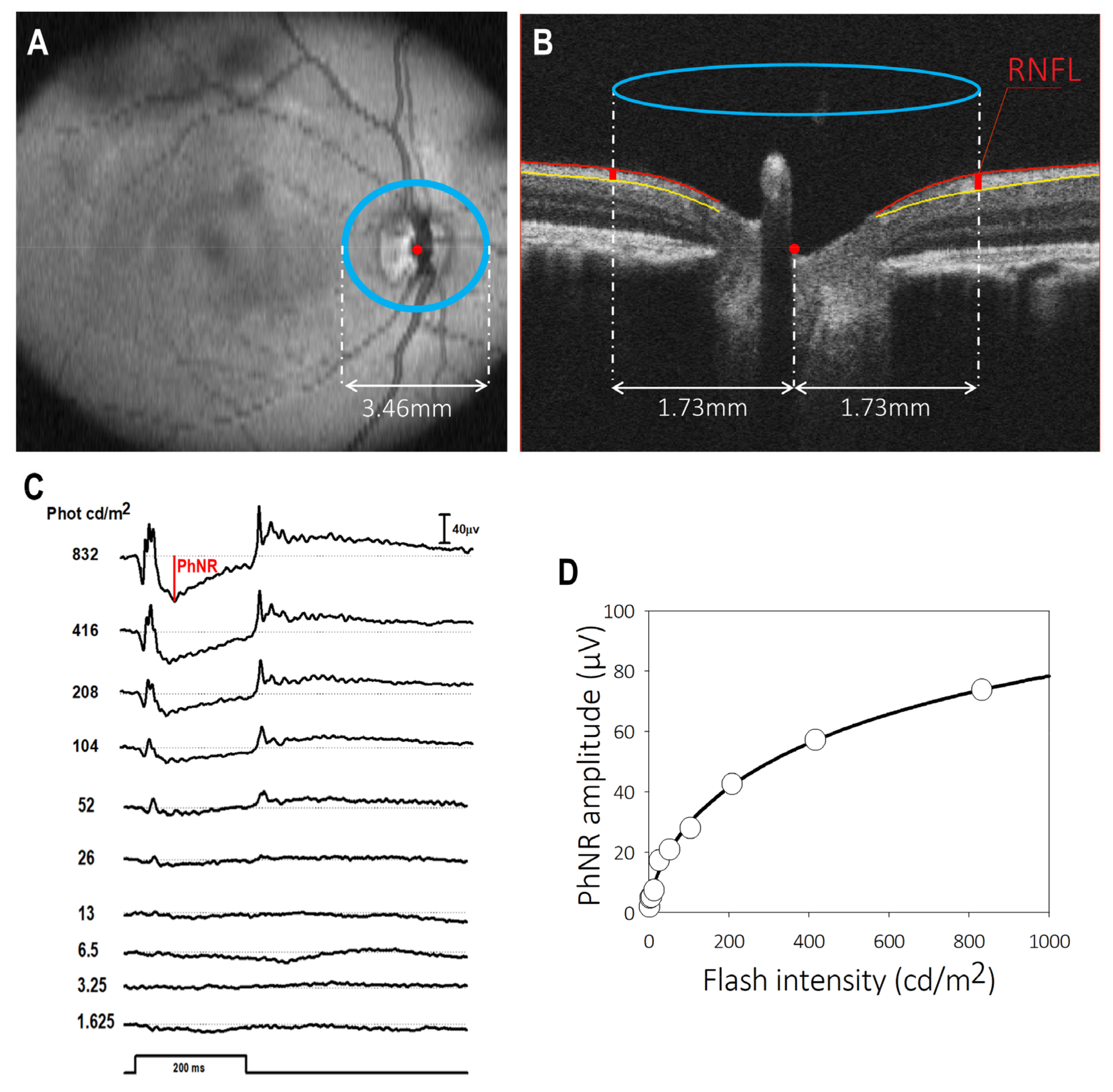
2.4. Effect of Lens Treatment on the Photopic Negative Response
2.5. Relationship Between Inner Retina Structural and Functional Measures
3. Discussion
4. Materials and Methods
4.1. The Marmoset Myopia Model
4.2. Refractive and Ocular Biometric Measures
4.3. Peripapillary Retinal Nerve Fiber Layer Measure
4.4. Photopic Negative Response Electroretinogram Recordings
4.5. Immunohistochemistry of Whole Mounts
4.6. Quantification of Ganglion and Astrocytic Cell Density
4.7. Statistics
5. Conclusions
Supplementary Materials
Author Contributions
Funding
Institutional Review Board Statement
Data Availability Statement
Acknowledgments
Conflicts of Interest
References
- Flitcroft, D.I. The complex interactions of retinal, optical and environmental factors in myopia aetiology. Prog. Retin. Eye Res. 2012, 31, 622–660. [Google Scholar] [CrossRef] [PubMed]
- Chui, T.Y.; Yap, M.K.; Chan, H.H.; Thibos, L.N. Retinal stretching limits peripheral visual acuity in myopia. Vis. Res. 2005, 45, 593–605. [Google Scholar] [CrossRef] [PubMed]
- Atchison, D.A.; Schmid, K.L.; Pritchard, N. Neural and optical limits to visual performance in myopia. Vis. Res. 2006, 46, 3707–3722. [Google Scholar] [CrossRef] [PubMed]
- Liou, S.W.; Chiu, C.J. Myopia and contrast sensitivity function. Curr. Eye Res. 2001, 22, 81–84. [Google Scholar] [CrossRef] [PubMed]
- Troilo, D.; Gottlieb, M.D.; Wallman, J. Visual deprivation causes myopia in chicks with optic nerve section. Curr. Eye Res. 1987, 6, 993–999. [Google Scholar] [CrossRef]
- Shpak, A.A.; Korobkova, M.V. Causes of ganglion cell-inner plexiform layer thinning in myopic eyes. Graefes Arch. Clin. Exp. Ophthalmol. 2020, 258, 3–7. [Google Scholar] [CrossRef]
- Zhao, Z.; Jiang, C. Effect of myopia on ganglion cell complex and peripapillary retinal nerve fibre layer measurements: A Fourier-domain optical coherence tomography study of young Chinese persons. Clin. Exp. Ophthalmol. 2013, 41, 561–566. [Google Scholar] [CrossRef]
- Swiatczak, B.; Feldkaemper, M.; Schaeffel, F. Changes in fundus reflectivity during myopia development in chickens. Biomed. Opt. Express 2019, 10, 1822–1840. [Google Scholar] [CrossRef]
- Swiatczak, B.; Feldkaemper, M.; Schraermeyer, U.; Schaeffel, F. Demyelination and shrinkage of axons in the retinal nerve fiber layer in chickens developing deprivation myopia. Exp. Eye Res. 2019, 188, 107783. [Google Scholar] [CrossRef]
- Abbott, C.J.; Grünert, U.; Pianta, M.J.; McBrien, N.A. Retinal thinning in tree shrews with induced high myopia: Optical coherence tomography and histological assessment. Vis. Res. 2011, 51, 376–385. [Google Scholar] [CrossRef]
- Troilo, D.; Xiong, M.; Crowley, J.C.; Finlay, B.L. Factors controlling the dendritic arborization of retinal ganglion cells. Vis. Neurosci. 1996, 13, 721–733. [Google Scholar] [CrossRef] [PubMed]
- Luu, C.D.; Lau, A.M.I.; Lee, S.-Y. Multifocal electroretinogram in adults and children with myopia. Arch. Ophthalmol. 2006, 124, 328–334. [Google Scholar] [CrossRef] [PubMed]
- Oner, A.; Gumus, K.; Arda, H.; Karakucuk, S.; Mirza, E. Pattern electroretinographic recordings in eyes with myopia. Eye Contact Lens. 2009, 35, 238–241. [Google Scholar] [CrossRef] [PubMed]
- Ho, W.C.; Kee, C.S.; Chan, H.H. Myopic children have central reduction in high contrast multifocal ERG response, while adults have paracentral reduction in low contrast response. Investig. Ophthalmol. Vis. Sci. 2012, 53, 3695–3702. [Google Scholar] [CrossRef]
- Westall, C.A.; Dhaliwal, H.S.; Panton, C.M.; Sigesmun, D.; Levin, A.V.; Nischal, K.K.; Héon, E. Values of electroretinogram responses according to axial length. Doc. Ophthalmologica. Adv. Ophthalmol. 2001, 102, 115–130. [Google Scholar] [CrossRef]
- Kader, M.A. Electrophysiological study of myopia. Saudi J. Ophthalmol. 2012, 26, 91–99. [Google Scholar] [CrossRef]
- Lin, C.; Toychiev, A.; Ablordeppey, R.; Slavi, N.; Srinivas, M.; Benavente-Perez, A. Myopia Alters the Structural Organization of the Retinal Vasculature, GFAP-Positive Glia, and Ganglion Cell Layer Thickness. Int. J. Mol. Sci. 2022, 23, 6202. [Google Scholar] [CrossRef]
- Lin, C.R.; Toychiev, A.; Ablordeppey, R.K.; Srinivas, M.; Benavente-Perez, A. Age exacerbates the effect of myopia on retinal capillaries and string vessels. Front. Med. 2023, 10, 1112396. [Google Scholar] [CrossRef]
- Yoo, H.-S.; Shanmugalingam, U.; Smith, P.D. Harnessing Astrocytes and Müller Glial Cells in the Retina for Survival and Regeneration of Retinal Ganglion Cells. Cells 2021, 10, 1339. [Google Scholar] [CrossRef]
- Guo, X.; Jiang, Q.; Tuccitto, A.; Chan, D.; Alqawlaq, S.; Won, G.J.; Sivak, J.M. The AMPK-PGC-1α signaling axis regulates the astrocyte glutathione system to protect against oxidative and metabolic injury. Neurobiol. Dis. 2018, 113, 59–69. [Google Scholar] [CrossRef]
- Francisco, B.-M.; Salvador, M.; Amparo, N. Oxidative Stress in Myopia. Oxid. Med. Cell Longev. 2015, 2015, 750637. [Google Scholar] [CrossRef] [PubMed]
- Ablordeppey, R.K.; Nieu, R.; Lin, C.R.; Benavente-Perez, A. Early Alterations in Inner-Retina Neural and Glial Saturated Responses in Lens-Induced Myopia. Transl. Vis. Sci. Technol. 2024, 13, 16. [Google Scholar] [CrossRef]
- Ismael, Z.F.; El-Shazly, A.A.E.; Farweez, Y.A.; Osman, M.M.M. Relationship between functional and structural retinal changes in myopic eyes. Clin. Exp. Optom. 2017, 100, 695–703. [Google Scholar] [CrossRef]
- Wolsley, C.J.; Saunders, K.J.; Silvestri, G.; Anderson, R.S. Investigation of changes in the myopic retina using multifocal electroretinograms, optical coherence tomography and peripheral resolution acuity. Vis. Res. 2008, 48, 1554–1561. [Google Scholar] [CrossRef]
- Koh, V.; Tan, C.; Nah, G.; Zhao, P.; Yang, A.; Lin, S.T.; Wong, T.Y.; Saw, S.M.; Chia, A. Correlation of structural and electrophysiological changes in the retina of young high myopes. Ophthalmic Physiol. Opt. J. Br. Coll. Ophthalmic Opt. (Optom.) 2014, 34, 658–666. [Google Scholar] [CrossRef]
- Riddell, N.; Murphy, M.J.; Crewther, S.G. Electroretinography and Gene Expression Measures Implicate Phototransduction and Metabolic Shifts in Chick Myopia and Hyperopia Models. Life. 2021, 11, 501. [Google Scholar] [CrossRef]
- Machida, S.; Gotoh, Y.; Toba, Y.; Ohtaki, A.; Kaneko, M.; Kurosaka, D. Correlation between Photopic Negative Response and Retinal Nerve Fiber Layer Thickness and Optic Disc Topography in Glaucomatous Eyes. Investig. Ophthalmol. Vis. Sci. 2008, 49, 2201–2207. [Google Scholar] [CrossRef]
- Shen, W.; Sivak, J.G. Eyes of a Lower Vertebrate Are Susceptible to the Visual Environment. Investig. Ophthalmol. Vis. Sci. 2007, 48, 4829–4837. [Google Scholar] [CrossRef]
- Schaeffel, F.; Glasser, A.; Howland, H.C. Accommodation, refractive error and eye growth in chickens. Vis. Res. 1988, 28, 639–657. [Google Scholar] [CrossRef]
- Siegwart, J.T., Jr.; Norton, T.T. Binocular lens treatment in tree shrews: Effect of age and comparison of plus lens wear with recovery from minus lens-induced myopia. Exp. Eye Res. 2010, 91, 660–669. [Google Scholar] [CrossRef]
- Barathi, V.A.; Boopathi, V.G.; Yap, E.P.; Beuerman, R.W. Two models of experimental myopia in the mouse. Vis. Res. 2008, 48, 904–916. [Google Scholar] [CrossRef] [PubMed]
- Howlett, M.H.C.; McFadden, S.A. Spectacle lens compensation in the pigmented guinea pig. Vis. Res. 2009, 49, 219–227. [Google Scholar] [CrossRef] [PubMed]
- Ni, J.; Smith, E.L., 3rd. Effects of chronic optical defocus on the kitten’s refractive status. Vis. Res. 1989, 29, 929–938. [Google Scholar] [CrossRef]
- Hung, L.F.; Crawford, M.L.; Smith, E.L. Spectacle lenses alter eye growth and the refractive status of young monkeys. Nat. Med. 1995, 1, 761–765. [Google Scholar] [CrossRef]
- Bullimore, M.A.; Gilmartin, B.; Royston, J.M. Steady-state accommodation and ocular biometry in late-onset myopia. Doc. Ophthalmologica. Adv. Ophthalmol. 1992, 80, 143–155. [Google Scholar] [CrossRef]
- Ablordeppey, R.K.; Lin, C.; Benavente-Perez, A. The age-related pattern of inner retinal thickening is affected by myopia development and progression. Sci. Rep. 2022, 12, 22190. [Google Scholar] [CrossRef]
- Benavente-Perez, A.; Nour, A.; Ansel, T.; Zhu, X.; Nieu, R.; Feng, H.; Cheng, X.; Brennan, N.A.; Troilo, D. The Effects of Atropine on the Development of Binocular and Monocular Lens-Induced Myopia in Marmosets. Investig. Ophthalmol. Vis. Sci. 2017, 58, 5466. [Google Scholar]
- Leung, C.K.-S.; Mohamed, S.; Leung, K.S.; Cheung, C.Y.-L.; Chan, S.L.-w.; Cheng, D.K.-y.; Lee, A.K.-c.; Leung, G.Y.-o.; Rao, S.K.; Lam, D.S.C. Retinal Nerve Fiber Layer Measurements in Myopia: An Optical Coherence Tomography Study. Investig. Ophthalmol. Vis. Sci. 2006, 47, 5171–5176. [Google Scholar] [CrossRef]
- Patel, S.B.; Reddy, N.; Lin, X.; Whitson, J.T. Optical coherence tomography retinal nerve fiber layer analysis in eyes with long axial lengths. Clin. Ophthalmol. 2018, 12, 827–832. [Google Scholar] [CrossRef]
- Choplin, N.T.; Lundy, D.C.; Dreher, A.W. Differentiating patients with glaucoma from glaucoma suspects and normal subjects by nerve fiber layer assessment with scanning laser polarimetry. Ophthalmology 1998, 105, 2068–2076. [Google Scholar] [CrossRef]
- Hoh, S.T.; Lim, M.C.; Seah, S.K.; Lim, A.T.; Chew, S.J.; Foster, P.J.; Aung, T. Peripapillary retinal nerve fiber layer thickness variations with myopia. Ophthalmology 2006, 113, 773–777. [Google Scholar] [CrossRef] [PubMed]
- Kremmer, S.; Zadow, T.; Steuhl, K.P.; Selbach, J.M. Scanning laser polarimetry in myopic and hyperopic subjects. Graefes Arch. Clin. Exp. Ophthalmol. 2004, 242, 489–494. [Google Scholar] [CrossRef] [PubMed]
- Kang, S.H.; Hong, S.W.; Im, S.K.; Lee, S.H.; Ahn, M.D. Effect of Myopia on the Thickness of the Retinal Nerve Fiber Layer Measured by Cirrus HD Optical Coherence Tomography. Investig. Ophthalmol. Vis. Sci. 2010, 51, 4075–4083. [Google Scholar] [CrossRef] [PubMed]
- Moghadas Sharif, N.; Shoeibi, N.; Ehsaei, A. Structure versus function in high myopia using optical coherence tomography and automated perimetry. Clin. Exp. Optom. 2019, 102, 335–340. [Google Scholar] [CrossRef]
- Kumar, S.; Benavente-Perez, A.; Ablordeppey, R.; Lin, C.; Viswanathan, S.; Akopian, A.; Bloomfield, S.A. A Robust Microbead Occlusion Model of Glaucoma for the Common Marmoset. Transl. Vis. Sci. Technol. 2022, 11, 14. [Google Scholar] [CrossRef]
- Rodriguez, A.R.; de Sevilla Müller, L.P.; Brecha, N.C. The RNA binding protein RBPMS is a selective marker of ganglion cells in the mammalian retina. J. Comp. Neurol. 2014, 522, 1411–1443. [Google Scholar] [CrossRef]
- Silveira, L.C.; Picanço-Diniz, C.W.; Sampaio, L.F.; Oswaldo-Cruz, E. Retinal ganglion cell distribution in the cebus monkey: A comparison with the cortical magnification factors. Vis. Res. 1989, 29, 1471–1483. [Google Scholar] [CrossRef]
- Muniz, J.A.; de Athaide, L.M.; Gomes, B.D.; Finlay, B.L.; Silveira, L.C. Ganglion cell and displaced amacrine cell density distribution in the retina of the howler monkey (Alouatta caraya). PLoS ONE 2014, 9, e115291. [Google Scholar] [CrossRef]
- Stone, J.; Johnston, E. The topography of primate retina: A study of the human, bushbaby, and new- and old-world monkeys. J. Comp. Neurol. 1981, 196, 205–223. [Google Scholar] [CrossRef]
- Silveira, L.C.; Perry, V.H.; Yamada, E.S. The retinal ganglion cell distribution and the representation of the visual field in area 17 of the owl monkey, Aotus trivirgatus. Vis. Neurosci. 1993, 10, 887–897. [Google Scholar] [CrossRef]
- Gomes, F.L.; Silveira, L.C.; Saito, C.A.; Yamada, E.S. Density, proportion, and dendritic coverage of retinal ganglion cells of the common marmoset (Callithrix jacchus jacchus). Braz. J. Med. Biol. Res. 2005, 38, 915–924. [Google Scholar] [CrossRef] [PubMed]
- Wilder, H.D.; Grünert, U.; Lee, B.B.; Martin, P.R. Topography of ganglion cells and photoreceptors in the retina of a New World monkey: The marmoset Callithrix jacchus. Vis. Neurosci. 1996, 13, 335–352. [Google Scholar] [CrossRef] [PubMed]
- Perry, V.H.; Cowey, A. The ganglion cell and cone distributions in the monkey’s retina: Implications for central magnification factors. Vis. Res. 1985, 25, 1795–1810. [Google Scholar] [CrossRef] [PubMed]
- Curcio, C.A.; Allen, K.A. Topography of ganglion cells in human retina. J. Comp. Neurol. 1990, 300, 5–25. [Google Scholar] [CrossRef] [PubMed]
- Büssow, H. The astrocytes in the retina and optic nerve head of mammals: A special glia for the ganglion cell axons. Cell Tissue Res. 1980, 206, 367–378. [Google Scholar] [CrossRef]
- Karschin, A.; Wässle, H.; Schnitzer, J. Shape and distribution of astrocytes in the cat retina. Investig. Ophthalmol. Vis. Sci. 1986, 27, 828–831. [Google Scholar]
- Distler, C.; Weigel, H.; Hoffmann, K.P. Glia cells of the monkey retina. I. Astrocytes. J. Comp. Neurol. 1993, 333, 134–147. [Google Scholar] [CrossRef]
- Ikui, H.; Uga, S.; Kohno, T. Electron Microscope Study on Astrocytes in the Human Retina Using Ruthenium Red. Ophthalmic Res. 1976, 8, 100–110. [Google Scholar] [CrossRef]
- Wang, L.; Cioffi, G.A.; Cull, G.; Dong, J.; Fortune, B. Immunohistologic Evidence for Retinal Glial Cell Changes in Human Glaucoma. Investig. Ophthalmol. Vis. Sci. 2002, 43, 1088–1094. [Google Scholar]
- Fernández-Sánchez, L.; Lax, P.; Campello, L.; Pinilla, I.; Cuenca, N. Astrocytes and Müller Cell Alterations During Retinal Degeneration in a Transgenic Rat Model of Retinitis Pigmentosa. Front. Cell. Neurosci. 2015, 9, 484. [Google Scholar] [CrossRef]
- Shaw, G.; Weber, K. The structure and development of the rat retina: An immunofluorescence microscopical study using antibodies specific for intermediate filament proteins. Eur. J. Cell Biol. 1983, 30, 219–232. [Google Scholar] [PubMed]
- Dixon, R.G.; Eng, L.F. Glial fibrillary acidic protein in the retina of the developing albino rat: An immunoperoxidase study of paraffin-embedded tissue. J. Comp. Neurol. 1980, 195, 305–321. [Google Scholar] [CrossRef] [PubMed]
- O’Sullivan, M.L.; Puñal, V.M.; Kerstein, P.C.; Brzezinski IV, J.A.; Glaser, T.; Wright, K.M.; Kay, J.N. Astrocytes follow ganglion cell axons to establish an angiogenic template during retinal development. Glia 2017, 65, 1697–1716. [Google Scholar] [CrossRef] [PubMed]
- Schnitzer, J. Retinal astrocytes: Their restriction to vascularized parts of the mammalian retina. Neurosci. Lett. 1987, 78, 29–34. [Google Scholar] [CrossRef]
- Ogden, T.E. Nerve fiber layer astrocytes of the primate retina: Morphology, distribution, and density. Investig. Ophthalmol. Vis. Sci. 1978, 17, 499–510. [Google Scholar]
- Bignami, A.; Dahl, D. The radial glia of Müller in the rat retina and their response to injury. An immunofluorescence study with antibodies to the glial fibrillary acidic (GFA) protein. Exp. Eye Res. 1979, 28, 63–69. [Google Scholar] [CrossRef]
- Tokoro, T. Types of Fundus Changes in the Posterior Pole. In Atlas of Posterior Fundus Changes in Pathologic Myopia; Springer Japan: Tokyo, Japan, 1998; pp. 5–22. [Google Scholar]
- Wang, Y.X.; Panda-Jonas, S.; Jonas, J.B. Optic nerve head anatomy in myopia and glaucoma, including parapapillary zones alpha, beta, gamma and delta: Histology and clinical features. Prog. Retin. Eye Res. 2021, 83, 100933. [Google Scholar] [CrossRef]
- Jonas, J.B.; Ohno-Matsui, K.; Spaide, R.F.; Holbach, L.; Panda-Jonas, S. Macular Bruch’s Membrane Defects and Axial Length: Association with Gamma Zone and Delta Zone in Peripapillary Region. Investig. Ophthalmol. Vis. Sci. 2013, 54, 1295–1302. [Google Scholar] [CrossRef]
- Zhong, W.; Lan, C.; Gu, Z.; Tan, Q.; Xiang, X.; Zhou, H.; Liao, X. The Mechanosensitive Piezo1 Channel Mediates Mechanochemical Transmission in Myopic Eyes. Investig. Ophthalmol. Vis. Sci. 2023, 64, 1. [Google Scholar] [CrossRef]
- Fresta, C.G.; Fidilio, A.; Caruso, G.; Caraci, F.; Giblin, F.J.; Leggio, G.M.; Salomone, S.; Drago, F.; Bucolo, C. A New Human Blood-Retinal Barrier Model Based on Endothelial Cells, Pericytes, and Astrocytes. Int. J. Mol. Sci. 2020, 21, 1636. [Google Scholar] [CrossRef]
- Zhou, B.; Zuo, Y.-X.; Jiang, R.-T. Astrocyte morphology: Diversity, plasticity, and role in neurological diseases. CNS Neurosci. Ther. 2019, 25, 665–673. [Google Scholar] [CrossRef] [PubMed]
- Zhang, X.; Wen, Y.; Jin, L.; Zhang, D.; Zhang, L.; Xie, C.; Guo, D.; Tong, J.; Shen, Y. Retinal glial cells under hypoxia possibly function in mammalian myopia by responding to mechanical stimuli, affecting hormone metabolism and peptide secretion. bioRxiv 2020. [Google Scholar] [CrossRef]
- Kornzweig, A.L.; Eliasoph, I.; Feldstein, M. Selective atrophy of the radial peripapillary capillaries in chronic glaucoma. Arch. Ophthalmol. 1968, 80, 696–702. [Google Scholar] [CrossRef]
- Moshayedi, P.; Costa Lda, F.; Christ, A.; Lacour, S.P.; Fawcett, J.; Guck, J.; Franze, K. Mechanosensitivity of astrocytes on optimized polyacrylamide gels analyzed by quantitative morphometry. J. Phys. Condens. Matter. 2010, 22, 194114. [Google Scholar] [CrossRef]
- García-Bermúdez, M.Y.; Freude, K.K.; Mouhammad, Z.A.; van Wijngaarden, P.; Martin, K.K.; Kolko, M. Glial Cells in Glaucoma: Friends, Foes, and Potential Therapeutic Targets. Front. Neurol. 2021, 12, 624983. [Google Scholar] [CrossRef]
- Sun, D.; Moore, S.; Jakobs, T.C. Optic nerve astrocyte reactivity protects function in experimental glaucoma and other nerve injuries. J. Exp. Med. 2017, 214, 1411–1430. [Google Scholar] [CrossRef]
- Livne-Bar, I.; Wei, J.; Liu, H.H.; Alqawlaq, S.; Won, G.J.; Tuccitto, A.; Gronert, K.; Flanagan, J.G.; Sivak, J.M. Astrocyte-derived lipoxins A4 and B4 promote neuroprotection from acute and chronic injury. J. Clin. Investig. 2017, 127, 4403–4414. [Google Scholar] [CrossRef]
- Liu, Y.-X.; Sun, H.; Guo, W.-Y. Astrocyte polarization in glaucoma: A new opportunity. Neural Regen. Res. 2022, 17, 2582–2588. [Google Scholar] [CrossRef]
- Lin, C.R.; Toychiev, A.; Ablordeppey, R.K.; Srinivas, M.; Benavente-Perez, A. Sustained Retinal Defocus Increases the Effect of Induced Myopia on the Retinal Astrocyte Template. Cells 2024, 13, 595. [Google Scholar] [CrossRef]
- Benavente-Perez, A.; Nour, A.; Troilo, D. The effect of simultaneous negative and positive defocus on eye growth and development of refractive state in marmosets. Investig. Ophthalmol. Vis. Sci. 2012, 53, 6479–6487. [Google Scholar] [CrossRef]
- Ablordeppey, R.K.; Lin, C.R.; Song, B.; Benavente-Perez, A. Choroidal Morphology and Photoreceptor Activity Are Related and Affected by Myopia Development. Investig. Ophthalmol. Vis. Sci. 2024, 65, 3. [Google Scholar] [CrossRef] [PubMed]
- Azieva, G.; Makrynioti, D.; Ablordeppey, R.K.; Lin, C.; Benavente-Perez, A. Development of a novel protocol to evaluate contact-lens related ocular surface health on marmosets (Callithrix jacchus). Exp. Eye Res. 2023, 231, 109472. [Google Scholar] [CrossRef] [PubMed]
- Ablordeppey, R.K.; Pope, A.; Zhu, X.; Benavente-Perez, A. Growth-related changes in thickness in individual retinal layers in marmoset eyes. Investig. Ophthalmol. Vis. Sci. 2019, 60, 5871. [Google Scholar]
- Stein, D.M.; Wollstein, G.; Ishikawa, H.; Hertzmark, E.; Noecker, R.J.; Schuman, J.S. Effect of corneal drying on optical coherence tomography. Ophthalmology 2006, 113, 985–991. [Google Scholar] [CrossRef]
- Antony, B.; Abràmoff, M.D.; Tang, L.; Ramdas, W.D.; Vingerling, J.R.; Jansonius, N.M.; Lee, K.; Kwon, Y.H.; Sonka, M.; Garvin, M.K. Automated 3-D method for the correction of axial artifacts in spectral-domain optical coherence tomography images. Biomed. Opt. Express 2011, 2, 2403–2416. [Google Scholar] [CrossRef]










| Tag | Eye | Sex | Age (days) | SER (D) | VCD (mm) | AXL (mm) |
|---|---|---|---|---|---|---|
| Control marmosets (N = 11, n = 17) | ||||||
| H16 | LE d,e | F | 205 | −1.12 | 6.61 | 10.31 |
| Z18 | RE d,e | M | 122 | −1.13 | 6.48 | 10.03 |
| Z18 | LE e | M | 122 | −1.13 | 6.48 | 10.03 |
| H19 | RE d,e | M | 105 | −2.42 | 6.28 | 10.13 |
| G19 | RE d,e | M | 237 | 0.06 | 6.85 | 10.56 |
| H18 | RE c,d,e | M | 266 | −2.17 | 6.69 | 10.32 |
| H18 | LE c | M | 266 | −2.49 | 6.66 | 10.32 |
| I18 | RE c,d,e | M | 273 | −1.14 | 6.63 | 10.29 |
| I18 | LE c | M | 273 | −1.99 | 6.69 | 10.40 |
| M18 | RE c | F | 247 | −1.35 | 6.79 | 10.51 |
| M18 | LE c,b | F | 247 | −1.02 | 6.84 | 10.59 |
| N18 | RE c,b | M | 247 | −1.26 | 6.59 | 10.28 |
| R18 | RE a,c,e | F | 238 | −2.07 | 6.80 | 10.46 |
| U18 | RE a,e | M | 230 | −1.16 | 6.83 | 10.24 |
| U18 | LE a,b,e | M | 230 | −0.91 | 6.77 | 10.23 |
| W18 | RE c,b,d,e | F | 238 | −1.08 | 6.90 | 10.61 |
| W18 | LE c,b | F | 238 | −1.08 | 6.90 | 10.57 |
| Mean ± SEM | 222.59 ± 13.01 | −1.38 ± 0.16 | 6.69 ± 0.04 | 10.35 ± 0.04 | ||
| Negative-lens treated marmosets (N = 14, n = 18) | ||||||
| D16 | RE d,e | F | 336 | −13.54 | 7.52 | 11.17 |
| B17 | LE d,e | F | 199 | −7.43 | 7.17 | 10.85 |
| E17 | LE d,e | F | 175 | −9.61 | 6.88 | 10.61 |
| Y18 | RE e | F | 121 | −5.96 | 6.59 | 10.25 |
| Y18 | LE d,e | F | 121 | −4.41 | 6.42 | 10.13 |
| B19 | LE d,e | F | 264 | −2.35 | 6.84 | 10.51 |
| C19 | RE d,e | F | 241 | −4.36 | 6.91 | 10.61 |
| D19 | RE e | M | 234 | −2.21 | 6.57 | 10.09 |
| D19 | LE d,e | M | 234 | −1.74 | 6.45 | 10.09 |
| I19 | LE d,e | M | 369 | −6.91 | 7.23 | 10.89 |
| J19 | RE d,e | M | 369 | −2.28 | 6.99 | 10.67 |
| D18 | RE a,c,b,d,e | F | 288 | −8.76 | 7.40 | 11.02 |
| D18 | LE a,c,b,e | F | 288 | −10.96 | 7.39 | 11.04 |
| E19 | RE c | F | 226 | −4.18 | 6.52 | 10.31 |
| F19 | RE a,c,b,e | F | 233 | −8.68 | 7.05 | 10.66 |
| J18 | RE c,d,e | M | 244 | −14.89 | 7.49 | 11.11 |
| J18 | LE c | M | 244 | −14.94 | 7.55 | 11.23 |
| T18 | LE b,e | F | 256 | −1.89 | 7.09 | 10.74 |
| Mean ± SEM | 246.78 ± 16.34 | −6.95 ± 1.05 | 7.00 ± 0.09 | 10.67 ± 0.09 | ||
| Differences between groups | ||||||
| p-value | 0.26 | <0.001 | <0.01 | <0.01 | ||
Disclaimer/Publisher’s Note: The statements, opinions and data contained in all publications are solely those of the individual author(s) and contributor(s) and not of MDPI and/or the editor(s). MDPI and/or the editor(s) disclaim responsibility for any injury to people or property resulting from any ideas, methods, instructions or products referred to in the content. |
© 2024 by the authors. Licensee MDPI, Basel, Switzerland. This article is an open access article distributed under the terms and conditions of the Creative Commons Attribution (CC BY) license (https://creativecommons.org/licenses/by/4.0/).
Share and Cite
Ablordeppey, R.K.; Lin, C.R.; Srinivas, M.; Benavente-Perez, A. Experimental Myopia Results in Peripapillary Ganglion Cell and Astrocyte Reorganization with No Functional Implications During Early Development. Int. J. Mol. Sci. 2024, 25, 13484. https://doi.org/10.3390/ijms252413484
Ablordeppey RK, Lin CR, Srinivas M, Benavente-Perez A. Experimental Myopia Results in Peripapillary Ganglion Cell and Astrocyte Reorganization with No Functional Implications During Early Development. International Journal of Molecular Sciences. 2024; 25(24):13484. https://doi.org/10.3390/ijms252413484
Chicago/Turabian StyleAblordeppey, Reynolds Kwame, Carol Ren Lin, Miduturu Srinivas, and Alexandra Benavente-Perez. 2024. "Experimental Myopia Results in Peripapillary Ganglion Cell and Astrocyte Reorganization with No Functional Implications During Early Development" International Journal of Molecular Sciences 25, no. 24: 13484. https://doi.org/10.3390/ijms252413484
APA StyleAblordeppey, R. K., Lin, C. R., Srinivas, M., & Benavente-Perez, A. (2024). Experimental Myopia Results in Peripapillary Ganglion Cell and Astrocyte Reorganization with No Functional Implications During Early Development. International Journal of Molecular Sciences, 25(24), 13484. https://doi.org/10.3390/ijms252413484

